Abstract
This study was aimed to investigate the effect of Guisangyou tea (GSY tea) in improving abnormal lipid metabolism in mice with obesity induced by a high-fat diet (HFD). The results showed that intervention of the water extract of GSY tea (WE) decreased serum levels of lipids, and positively regulated the related antioxidant enzyme activities and the inflammatory factors in the serum and liver. In the liver, the mRNA and protein expression levels of sterol regulatory element-binding proteins-1 (SREBP-1), stearoyl-CoA desaturase-1 (SCD-1), fatty acid synthase (FASN), and acetyl CoA carboxylase (ACC) related to lipid synthesis were downregulated, and the mRNA and protein expression levels of the farnesoid X receptor (FXR) and small heterodimer partner (SHP) related to bile acid production were upregulated. The results demonstrate that GSY tea can improve abnormal lipid metabolism in obese mice by improving the body’s antioxidant capacity, regulating the inflammatory state, and reducing the synthesis of lipids and increasing the production of bile acids. GSY tea can be processed and utilized as a safe and effective resource for improving abnormal lipid metabolism.
1. Introduction
Obesity is a disease characterized by aberrant lipid metabolism, primarily manifested as white adipose tissue hypertrophy and excessive fat accumulation in the body [,]. The prevalence of overweight, obese, and severely obese individuals has increased significantly, and the age at which they develop these conditions has become younger, owing to changes in diet and lifestyle []. As a result, obesity has emerged as a major global health challenge []. Previous studies have demonstrated that the increased oxidative stress and chronic inflammatory state resulting from aberrant lipid metabolism in the liver are important pathogenic mechanisms of obesity-related metabolic syndrome. Thus, improving the body’s oxidative stress and chronic inflammatory state may facilitate obesity management [,]. Currently, drugs remain one of the commonly employed treatments for obesity, but most of them are synthetic drugs []. Synthetic drugs typically target a single entity and have limited systemic regulatory effects. Furthermore, prolonged synthetic drug use can cause several toxic side effects []. Consequently, the use of natural, low-toxicity, multi-pathway, multi-mode, and multi-target plant-based remedies to ameliorate aberrant lipid metabolism has garnered much attention.
Guisangyou tea (GSY tea) is made of the tender leaves of the Guisangyou mulberry tree, which is a hybrid mulberry variety bred and selected in Guangxi, China. The variety is an economically efficient mulberry with high yield and efficiency, and has a large planting area and boasts several advantages, such as wide adaptability, strong regeneration ability, high temperature resistance, drought resistance, cutting resistance, and rich nutrition [].
Mulberry leaves are rich in numerous active ingredients beneficial to human health, such as polyphenols, flavonoids, and polysaccharides. They possess unique properties that can reduce blood lipids, exhibiting antioxidant and anti-inflammatory properties [,,]. Studies have revealed that mulberry leaves can reduce blood lipids by improving the intestinal environment and accelerating the excretion of steroids and bile acids in high-fat diet (HFD) mice []. Mulberry leaf polyphenols can inhibit body weight and fat accumulation in mice with obesity induced by a HFD, and have potential lipid-lowering and weight-loss effects []. Mulberry leaves can also ameliorate lipid metabolism disorders in mice fed a long-term high-fat and high-sugar diet and possess blood-lipid-lowering, antioxidant, and anti-inflammatory properties [].
However, there have been few reports on the effects of GSY tea on ameliorating aberrant lipid metabolism via multiple pathways and targets. This study aimed to explore the impact of GSY tea on lipid metabolism, oxidative stress, and inflammatory response in HFD-induced obese mice through in vivo animal experiments, which are important for developing the Guisangyou mulberry resource.
2. Materials and Methods
2.1. Materials and Reagents
The ordinary and high-fat diet (HFD) feeds were prepared according to the methodology outlined by YU et al. [] and their compositions are displayed in Table S1. Oleic acid and palmitic acid were procured from Shanghai Aladdin Biochemical Technology Co., Ltd., Shanghai, China. Free fatty acids were prepared by 2:1 ratio of oleic acid and palmitic acid by weight. The BCA protein concentration assay kit, glyceraldehyde-3-phosphate dehydrogenase (GAPDH), sterol regulatory element-binding proteins-1 (SREBP-1), stearoyl-CoA desaturase-1 (SCD-1), fatty acid synthase (FASN), acetyl CoA carboxylase (ACC), farnesoid X receptor (FXR), and small heterodimer partner (SHP) antibodies were obtained from Shanghai Biyuntian Biotechnology Co., Ltd., Shanghai, China. Total cholesterol (TC), triglyceride (TG), low-density lipoprotein cholesterol (LDL-C), high-density lipoprotein cholesterol (HDL-C), aspartate aminotransferase (AST), alanine aminotransferase (ALT), superoxide dismutase (SOD), malonic dialdehyde (MDA), catalase (CAT), glutathione peroxidase (GSH-Px), tumor necrosis factor α (TNF-α), interleukin-6 (IL-6), interleukin 1β (IL-1β), and interleukin 10 (IL-10) kits were purchased from Nanjing Jiancheng Bioengineering Institute. Trizol reagent was procured from Life Technologies Corporation. MonScriptTMRTII All-in-One Mix with dsDNase, MonAmpTMSYBR®Green qPCR Mix (Low ROX) kits were purchased from Mona Biotechnology Co., Ltd., Suzhou, China. Beta-actin (β-Actin), SREBP-1, SCD-1, FASN, ACC, FXR, and SHP primers were designed and synthesized by Wuhan Jinkairui Bioengineering Co., Ltd., Wuhan, China. The ECL chemiluminescence liquid was obtained from UElandy Biotechnology Co., Ltd., Suzhou, China.
2.2. Guisangyou Tea
GSY tea was prepared with the tender leaves of the Guisangyou mulberry tree, which were collected from Rong’an County, Liuzhou City, Guangxi in November. The leaves were washed thoroughly with clean water, and then were pan-fired for 20 min at 150–180 °C with a drum-type heater, rolled for 15 min in a rolling machine and dried at 60 °C for 12 h to yield GSY tea.
2.3. Experimental and Animals
Eighteen SPF-grade Kunming male mice (5 weeks old, body weight 18–22 g) were purchased from Hunan Silaikejingda Experimental Animal Co., Ltd., Changsha, China. license number SCXK (Xiang) 2019-0004.
2.4. Preparation of Water Extract (WE) of GSY Tea
We prepared a water extract (WE) of GSY tea for in vivo studies since GSY tea is used for a drink by brewing with hot water. The GSY tea was precisely weighed and immersed with water with a solid–liquid ratio of 1:30, and then was subsequently subjected to ultrasonication for 30 min by a SCIENTZ-950E Ultrasonic processor (Ningbo Scientz Biotechnology Co., Ltd., Ningbo, China) at 80 °C, followed by filtration to yield a water extraction solution, which was evaporated in vacuum at 55 °C, and then freeze-dried to yield WE.
2.5. Animal Grouping and Intervention with GSY Tea Water Extract (WE)
After adaptive feeding (1 week), mice were randomly allocated to the normal (CON) group, the high-fat diet (HFD) model group, or the WE group, with 6 mice in each group. In the conditioning period (8 weeks), the CON group received a normal diet, while the HFD and WE groups were fed a high-fat diet. Mice were housed in a breeding environment with a temperature of 22 ± 2 °C, a humidity of 50 ± 10%, and a 12 h light–dark cycle. Food and water were provided ad libitum and sterilized. After a conditioning period, in the test period (4 weeks), the WE group was administered by gavage with 0.1 mL 40 mg/kg WE (prepared with ultrapure water), while the HFD and CON groups received the same volume of water as the WE group. Body weight of mice was recorded every 2 weeks for the determination of body weight change.
2.6. Sample Collection
At the end of the experiment, the mice were fasted for 12 h, and their body weight was recorded. Under ether anesthesia, blood was collected from the abdominal aorta, and the organs were quickly isolated on ice, washed with PBS, and weighed accurately. Tissue samples intended for slice analysis were fixed in 10% formalin, while the remaining samples were stored in a −80 °C freezer for later use. The fat and organ indexes were calculated using the following formula:
Fat/organ index/% = fat/visceral weight (g)/body weight (g) × 100
2.7. Determination of Serum and Liver Tissue Biochemical Indicators
Serum total cholesterol (TC), TG, high-density lipoprotein cholesterol (HDL-C), low-density lipoprotein cholesterol (LDL-C), as well as aspartate transaminase (AST), alanine transaminase (ALT), catalase (CAT), superoxide dismutase (SOD), glutathione peroxidase (GSH-Px) activity, malondialdehyde (MDA) content, tumor necrosis factor-alpha (TNF-α), interleukin-6 (IL-6), interleukin-1 beta (IL-1β), and interleukin-10 (IL-10) concentrations were determined directly according to the instructions provided in the commercial kits. For the liver tissue, after homogenization (by tissue and chilled PBS in a ratio of 1:9 (w/v)), the supernatant was obtained by centrifugation (4 °C, 8000 rpm for 15 min). The supernatant was used to determine the biochemical indicators.
2.8. Slice Analysis of Liver and Adipose Tissue
Adipose and liver tissues were collected, fixed in 10% formalin, and removed within 48 h. The tissues were then dehydrated using ethanol, followed by xylene treatment, and subsequently infiltrated with a series of solutions containing ethanol/xylene, xylene/paraffin, and paraffin to enable embedding. The embedded samples were sectioned into 4 μm thickness, stained with hematoxylin-eosin (HE) [], and then examined and photographed under an optical microscope []. The cross-sectional area was calculated by using the image processing software Image J (image J v1.8.0, National Institutes of Health(NIH), Bethesda, USA).
2.9. Determination of Expression Levels of Key Genes Related to Lipid and Bile Acid Regulation in the Liver
The relative expression levels of SREBP-1, SCD-1, FASN, ACC, FXR, and SHP mRNA in liver tissue were quantified by real-time quantitative polymerase chain reaction (qRT-PCR). Total RNA was extracted from liver tissue using a reference method, and the concentration and integrity of RNA were assessed with a micro-nucleic acid protein analyzer (NanoDrop 2000). The RNA was reverse-transcribed into cDNA using the MonScriptTM RTIIII All-in-One Mix with dsDNase kit. The mRNA expression level was detected using the MonAmpTM SYBR®Green (Shanghai Anhe Gene Technology Co. Ltd., Shanghai, China) qPCR Mix (Low) kit and the QuanStudio 6 system. The relative gene expression was calculated using the comparative method (2−ΔΔCt), with Ct values normalized to β-Actin. The primer pairs for the target genes are listed in Table 1.

Table 1.
Primer sequences of the target genes (mouse source).
2.10. Western Blot Analysis for Determination of Protein Levels in Liver Tissue
The protein levels of key regulatory factors including SREBP-1, SCD-1, FASN, ACC, FXR, and SHP in liver tissue were determined using Western blot analysis. Briefly, liver tissues were homogenized in chilled RIPA lysis buffer (P0013C, Beyotime, Shanghai, China) containing protease inhibitors (P1046, Beyotime, Shanghai, China). The concentration of total protein was quantified using a BCA protein assay kit. Subsequently, equal amounts of protein (20 μg) were separated by electrophoresis on 10% or 12% SDS-PAGE gels and transferred onto PVDF membranes. After blocking in 5% de-fatted milk at room temperature for 2 h, the membranes were incubated with specific primary antibodies against SREBP-1, SCD-1, FASN, ACC, FXR, and SHP overnight at 4 °C. The membranes were then washed with TBST and probed with horseradish peroxidase-conjugated secondary antibodies for 1 h at room temperature. After another wash with TBST, protein bands were detected by enhanced chemiluminescence (ECL) and visualized using a chemiluminescence imaging system. GAPDH was used as an internal control. The optical density of each band was quantified using ImageJ software, and the protein expression levels were normalized to GAPDH expression.
2.11. Statistical Analysis
The results were expressed as mean ± standard deviation, and statistical analysis was conducted using one-way analysis of variance (ANOVA) followed by Tukey’s post hoc test in GraphPad Prism 8.0. A p-value of less than 0.05 was considered statistically significant.
3. Results
3.1. Effect of GSY Tea on Body Weight, Fat, and Visceral Index in Mice
As shown in Figure 1, during the conditioning period, body weight gain was significantly increased in high-fat diet mice compared with CON mice. However, there was no significant difference between HFD and WE group. During the test period, the CON and HFD mice continued to gain weight, with their growth rate gradually stabilizing, whereas the mice in the WE group exhibited a weight loss. The body weight of the WE group decreased around 10% compared with the HFD group, and returned to a similar level to that of the CON group.

Figure 1.
The mice body weight of the control group (CON), high-fat diet group (HFD), and high-fat diet-WE treatment group (WE). Significant differences between groups are denoted by different letters (p < 0.05).
The organ index provides an indirect measurement of organ damage severity []. As shown in Table 2 and Table S2, compared with the CON group, the epididymal fat, perirenal fat, and liver index of HFD mice increased significantly. Compared with the HFD group, the epididymal fat, perirenal fat, and liver index in the WE group were decreased by 46.6%, 34.6%, and 11.1%, respectively, and the liver index returned to the level of the CON group. No significant differences were found in the spleen, kidney, and heart indexes among the three groups of mice (Table S2).

Table 2.
The mouse fat indexes of the control group (CON), high-fat diet group (HFD), and high-fat diet-WE treatment group (WE).
3.2. Effect of GSY Tea on Serum and Liver Biochemical Indicators in HFD Mice
TC, TG, LDL-C, and HDL-C are commonly used clinical indicators for detecting dyslipidemia []. As shown in Figure 2a–d, the serum levels of TC, TG, and LDL-C were significantly increased, while the level of HDL-C was decreased in the HFD group as compared with the CON group. The serum levels of TC, TG, and LDL-C were improved to varying degrees in the WE group as compared with the HFD group. Specifically, the levels of TC and TG were reduced by 11.6% and 20.3%, respectively, and LDL-C level decreased while HDL-C level increased, although the difference was not significant. Clinically, the activities of ALT and AST in serum are sensitive indicators for detecting liver injury []. As shown in Figure 2e,f, the serum activities of ALT and AST were significantly increased in the HFD group as compared with the CON group. When compared with the HFD group, the serum activities of ALT and AST in the WE group were significantly decreased by 22.5% and 24.2%, respectively, and the AST activity returned to the level of CON group.

Figure 2.
The concentration of lipids and enzyme activity in mice serum of the control group (CON), high-fat diet group (HFD), and high-fat diet-WE treatment group (WE). (a) TC, (b) TG, (c) HDL-C, (d) LDL-C, (e) AST, (f) ALT. Significant differences between groups are denoted by different letters (p < 0.05).
Long-term dysregulation of lipid metabolism leads to excessive accumulation of lipids in the liver, inducing a lipotoxic state that triggers the body’s oxidation pathway, producing a large amount of reactive oxygen species (ROS), and causing oxidative stress. Excessive oxidative stress is closely related to the pathogenesis of obesity-related syndromes []. CAT, SOD, and GSH-Px are important antioxidant enzymes in the body that play a vital role in maintaining the body’s redox balance. MDA is a sensitive indicator of free radical damage in the body and a product of lipid peroxidation []. As shown in Figure 3a–h, compared with the CON group, the activities of CAT, SOD, and GSH-Px in the serum and liver of mice in the HFD group were significantly decreased, while the content of MDA was significantly increased. In the WE group, the activities of CAT, SOD, and GSH-Px in the serum were increased by 20.0%, 33.8%, and 21.1%, respectively, compared with the HFD group, and returned to the levels of the CON group. Although the content of MDA showed a downward trend, there was no significant difference. The activity of CAT and SOD in the liver showed an upward trend, but also no significant difference was found. The activity of GSH-Px increased by 25.7%, while the content of MDA decreased by 22.3%. It has been reported that lipid metabolism disorders can trigger inflammation through multiple pathways, leading to an imbalance in proinflammatory and anti-inflammatory factors in the body, and an increase in inflammatory mediators []. In addition, TNF-α, IL-6, IL-1β, and IL-10 are important inflammatory factors in the body and are key contributors to obesity-related diseases [], and IL-10 is a critical anti-inflammatory factor in the body that inhibits the release of various inflammatory factors and combats inflammation []. As depicted in Figure 4a–d, the concentrations of TNF-α, IL-6, and IL-1β in the serum of HFD group mice were increased, while the IL-10 concentration in the serum of HFD group mice was decreased, compared with the CON group. The concentrations of TNF-α, IL-6, and IL-1β in the serum of WE mice decreased by 18.4%, 16.7%, and 15.6%, respectively, compared with the HFD group, while the IL-10 concentration in the serum increased by 43.2%. All four inflammatory indicators returned to the CON group levels.

Figure 3.
The activities of the oxidation biochemical indexes in the mice of the control group (CON), high-fat diet group (HFD), and high-fat diet-WE treatment group (WE). (a) CAT in serum, (b) SOD in serum, (c) GSH-Px in serum, (d) MAD in serum, (e) CAT in liver, (f) SOD in liver, (g) GSH-Px in liver, (h) MAD in liver. Significant differences between groups are denoted by different letters (p < 0.05).

Figure 4.
The level of the inflammatory biochemical indexes in mice serum of the control group (CON), high-fat diet group (HFD), and high-fat diet-WE treatment group (WE). (a) TNF-α, (b) IL-6, (c) IL-1β, (d) IL-10. Significant differences between groups are denoted by different letters (p < 0.05).
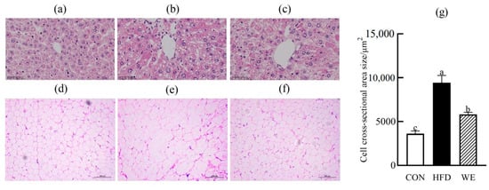
3.3. Effect of GSY Tea on Morphology of Hepatocyte and Epididymal Adipose Tissue
Hepatocytes in the CON group exhibited uniform size and shape, well-defined outlines, and orderly arranged nuclei (Figure 5a). Conversely, hepatocytes in the HFD group appeared enlarged, with a higher accumulation of fat vacuoles and disordered nuclei (Figure 5b). Among the WE group, the vacuoles of mice hepatocytes reduced in size, the outlines became clearer, and the nuclei gradually arranged in a more organized manner (Figure 5c). Moreover, as demonstrated in Figure 5e,f, compared with the CON group (Figure 5d), epididymal adipocytes of HFD mice displayed an extremely irregular shape, disorderly arrangement, and significantly increased cell cross-sectional area (Figure 5g). Compared with the HFD group, epididymal adipocytes of the WE group gradually regained a more regular shape, arranged in an orderly fashion, and exhibited a reduced cell cross-sectional area.

Figure 5.
The morphology of liver and epididymal adipose tissue in the mice of the control group (CON), high-fat diet group (HFD), and high-fat diet-WE treatment group (WE). (a) Control, liver tissue; (b) HFD, liver tissue; (c) WE, liver tissue; (d) control, epididymal fat; (e) HFD, epididymal fat tissue; (f) WE, epididymal fat tissue; (g) cell cross-sectional area size/μm2. Significant differences between groups are denoted by different letters (p < 0.05).
3.4. Effect of GSY Tea on mRNA and Protein Related to Lipid and Bile Acid
In the liver, SREBP-1, SCD-1, FASN, and ACC genes are closely related to lipid production [], and FXR and SHP genes are closely related to bile acid synthesis []. The relative expression levels of SREBP-1, SCD-1, FASN, ACC mRNA, and protein in the liver of the HFD group were upregulated, while the relative expression levels of FXR, and SHP mRNA and protein in the liver of the HFD group were downregulated, compared with the CON group (Figure 6). Compared with the HFD group, SCD-1, FASN, and ACC mRNA in the liver of the WE group were downregulated by 43.3%, 41.3%, and 50.8%, respectively. FXR and SHP mRNA were upregulated by 114.3% and 54.6%, respectively. The relative mRNA expression levels of ACC, SHP, SREBP-1, FASN, and FXR recovered to the levels of the CON group. FXR and SHP protein levels were upregulated by 92.7% and 119.6% compared with the HFD group.

Figure 6.
The relative expression of the gene mRNAs related to lipid and bile acid regulation in the mice of the control group (CON), high-fat diet group (HFD), and high-fat diet-WE treatment group (WE). Significant differences between groups are denoted by different letters (p < 0.05).
Correspondingly, the HFD group showed upregulated relative protein expression levels of SREBP-1, SCD-1, FASN, and ACC in mice liver, and SREBP-1, SCD-1, and FASN, and ACC protein were downregulated by 27.3%, 19.8%, 35.2%, and 16.2%, compared with the CON group (Figure 7). In contrast, the relative protein expression of FXR and SHP were downregulated in the HFD group. However, those were upregulated in the WE group by 92.7% and 119.6%, respectively. The relative protein expression levels of SCD-1, FASN, and ACC in the liver of the WE group were downregulated by 43.3%, 41.3%, and 50.8%, respectively, when compared with the HFD group. Additionally, SREBP-1, SCD-1, and FASN, ACC protein levels were downregulated by 27.3%, 19.8%, 35.2%, and 16.2% respectively, while the protein levels of FXR and SHP were upregulated by 114.3% and 54.6%, respectively, and the protein levels of FXR and SHP were upregulated by 92.7% and 119.6%, respectively. The relative protein expression levels of ACC, SHP, SREBP-1, FASN, and FXR were positively changed compared with those of the CON group.

Figure 7.
The relative expression of proteins related to lipid and bile acid regulation in mice livers of the control group (CON), high-fat diet group (HFD), and high-fat diet-WE treatment group (WE). (a) Protein level by Western blot. (b) Relative levels normalized to GAPDH. Significant differences between groups are denoted by different letters (p < 0.05).
4. Discussion
The effects of water extract of GSY tea (WE) on HFD-induced obese mice were studied since obesity is a complex multifactorial disorder, and long-term HFD is a major contributing factor []. The lard in HFD used in this experiment had a high content of 17%, and the obese mice induced by it exhibited increased body weight, fat, and liver indexes, which was consistent with previous research [].
Obesity is a chronic, low-grade inflammatory condition that leads to long-term abnormalities in lipid metabolism, resulting in lipid accumulation in the liver []. This, in turn, increases the liver’s burden and causes liver damage, while also activating the body’s oxidative stress pathway and causing more severe damage to the body []. In the WE group, the serum levels of TC, TG, and LDL-C, and the activities of AST and ALT decreased, while the activities of antioxidant enzymes CAT, SOD, and GSH-Px increased compared with the obesity model group. Moreover, the concentration of pro-inflammatory factors TNF-α, IL-6, and IL-1β decreased, and the concentration of anti-inflammatory factor IL-10 increased. These results suggest that WE can improve abnormal lipid metabolism in HFD mice by enhancing the body’s antioxidant capacity and regulating the inflammatory state, which are consistent with previous studies that have shown the effectiveness of mulberry leaf extracts in improving blood lipid disorders in rats with atherosclerosis [] and in attenuating clinical signs, reducing inflammatory cytokine secretion, and inhibiting inflammatory pathway activation in mice with colitis induced by dextran sulfate sodium [].
The liver plays a crucial role in lipid and bile acid synthesis in humans. Liver damage can lead to impaired utilization and metabolism of lipids and bile acids, resulting in abnormal lipid metabolism in the body. In the hepatic levels of the WE group, the protein expression of SREBP-1 was downregulated, along with downregulation of the mRNA expression and protein levels of SCD-1, FASN, and ACC, and the mRNA and protein expression levels of FXR and SHP in the liver were upregulated. It has been reported that SREBP-1, SCD-1, and FASN are involved in the regulation of lipid synthesis, and their abnormal expression can lead to lipid metabolism disorders []. ACC catalyzes the production of malonyl-CoA, which is involved in the synthesis of fatty acids []. Upon FXR activation in the liver, downstream SHP is also involved in regulating bile acid synthesis []. Our results involving ACC, FXR, and SHP support that WE possesses a positive effect in improving abnormal lipid metabolism.
5. Conclusions
The water extract of Guisangyou tea (WE) effectively lowers serum lipid levels, regulates enzyme activities, and improves abnormal lipid metabolism in obese mice. It decreases the expression of key genes (SREBP-1, SCD-1, FASN, ACC) involved in lipid synthesis, while enhancing the expression of FXR and SHP proteins associated with bile acid production. These findings highlight the significant impact of GSY tea on rectifying abnormal lipid metabolism in obese mice. Therefore, GSY tea can be processed and utilized as a safe and effective resource for improving abnormal lipid metabolism.
Supplementary Materials
The following supporting information can be downloaded at: https://www.mdpi.com/article/10.3390/foods12112171/s1, Table S1: The nutrient composition of normal diet and high-fat diet; Table S2: The mouse organ indexes of the control group (CON), high-fat diet group (HFD), and high-fat diet-WE treatment group (WE).
Author Contributions
Conceptualization, supervisor, Q.D.; investigation, writing—original draft, Y.Z., X.Z., Q.Y. and H.W.; formal analysis, Q.Y. and Q.D.; funding acquisition, Q.Y. and Q.D.; methodology, Y.Z., X.Z., N.L., Q.Y., H.W. and Q.D.; project administration, Q.Y. and Q.D.; validation, Y.Z., Q.Y. and Q.D.; writing—review and editing, Q.Y. and Q.D. All authors have read and agreed to the published version of the manuscript.
Funding
This research was funded by National Natural Science Foundation of China (No. 82060627), Guangxi Natural Science Foundation of China (No. 2020GXNSFAA 159149, No. 2018GXNSFAA281114), and the Key R&D Program Project of Zhejiang Province (Grant 2022C02033).
Institutional Review Board Statement
The animal study protocol was approved by the Ethics Committee of Guilin Medical College Experimental Animal Ethics Committee (protocol code GLMC202003197).
Informed Consent Statement
Not applicable.
Data Availability Statement
Data are contained within the article or supplementary material.
Conflicts of Interest
The authors declare that they have no conflict of interest.
References
- Wang, Y.; Zhao, L.; Gao, L.; Pan, A.; Xue, H. Health policy and public health implications of obesity in China. Lancet Diabetes Endocrinol. 2021, 9, 446–461. [Google Scholar] [CrossRef]
- Mayoral, L.P.; Andrade, G.M.; Mayoral, E.P.; Huerta, T.H.; Canseco, S.P.; Rodal Canales, F.J.; Cabrera-Fuentes, H.A.; Cruz, M.M.; Pérez Santiago, A.D.; Alpuche, J.J.; et al. Obesity subtypes, related biomarkers heterogeneity. Indian J. Med. Res. 2020, 151, 11–21. [Google Scholar]
- Luca, A.C.; Curpan, A.S.; Braha, E.E.; Ţarcă, E.; Iordache, A.C.; Luca, F.A.; Adumitrachioaiei, H. Increasing trends in obesity-related cardiovascular risk factors in Romanian children and adolescents-retrospective study. Healthcare 2022, 10, 2452. [Google Scholar] [CrossRef]
- Endalifer, M.L.; Diress, G. Epidemiology, predisposing factors, biomarkers, and prevention mechanism of obesity: A systematic review. J. Obesity 2020, 2020, 6134362. [Google Scholar] [CrossRef]
- Malesza, I.J.; Malesza, M.; Walkowiak, J.; Mussin, N.; Walkowiak, D.; Aringazina, R.; Bartkowiak-Wieczorek, J.; Mądry, E. High-fat, western-style diet, systemic inflammation, and gut microbiota: A narrative review. Cells 2021, 10, 3164. [Google Scholar] [CrossRef]
- Nani, A.; Murtaza, B.; Sayed Khan, A.; Khan, N.A.; Hichami, A. Antioxidant and anti-Inflammatory potential of polyphenols contained in Mediterranean diet in obesity: Molecular mechanisms. Molecules 2021, 26, 985. [Google Scholar] [CrossRef]
- Heck, A.M.; Yanovski, J.A.; Calis, K.A. Orlistat, a new lipase inhibitor for the management of obesity. Pharmacotherapy 2000, 20, 270–279. [Google Scholar] [CrossRef]
- Kang, J.G.; Park, C.Y. Anti-Obesity Drugs: A Review about Their Effects and Safety. Diabetes Metab. J. 2012, 36, 13–25. [Google Scholar] [CrossRef]
- Jiang, Y.; Jiang, S.; Huang, R.; Wang, M.; Cao, H.; Li, Z. Accumulation of Cd by three forage mulberry (Morus atropurpurea Roxb.) cultivars in heavy metal-polluted farmland: A field experiment. Environ. Sci. Poll. Res. Int. 2021, 28, 3354–3360. [Google Scholar] [CrossRef]
- Li, J.S.; Ji, T.; Su, S.L.; Zhu, Y.; Chen, X.L.; Shang, E.X.; Guo, S.; Qian, D.W.; Duan, J.A. Mulberry leaves ameliorate diabetes via regulating metabolic profiling and AGEs/RAGE and p38 MAPK/NF-κB pathway. J. Ethnopharmacol. 2022, 283, 114713. [Google Scholar] [CrossRef]
- Ma, G.; Chai, X.; Hou, G.; Zhao, F.; Meng, Q. Phytochemistry, bioactivities and future prospects of mulberry leaves: A review. Food Chem. 2022, 372, 131335. [Google Scholar] [CrossRef]
- Liang, H.W.; Yang, T.Y.; Teng, C.S.; Lee, Y.J.; Yu, M.H.; Lee, H.J.; Hsu, L.S.; Wang, C.J. Mulberry leaves extract ameliorates alcohol-induced liver damages through reduction of acetaldehyde toxicity and inhibition of apoptosis caused by oxidative stress signals. Int. J. Med. Sci. 2021, 18, 53–64. [Google Scholar] [CrossRef]
- Andallu, B.; Vinay Kumar, A.V.; Varadacharyulu, N.C. Lipid abnormalities in streptozotocin-diabetes: Amelioration by Morus indica L. cv Suguna leaves. Int. J. Diabetes Dev. 2009, 29, 123–128. [Google Scholar] [CrossRef]
- Li, R.; Zhu, Q.; Wang, X.; Wang, H. Mulberry leaf polyphenols alleviated high-fat diet-induced obesity in mice. Front. Nutr. 2022, 9, 979058. [Google Scholar] [CrossRef]
- Du, Y.; Li, D.X.; Lu, D.Y.; Zhang, R.; Zhao, Y.L.; Zhong, Q.Q.; Ji, S.; Wang, L.; Tang, D.Q. Lipid metabolism disorders and lipid mediator changes of mice in response to long-term exposure to high-fat and high sucrose diets and ameliorative effects of mulberry leaves. Food Funct. 2022, 13, 4576–4591. [Google Scholar] [CrossRef]
- Yu, Q.M.; Lim, E.J.; Choi, S.K.; Seo, J.S. Antioxidant effect of grapevine leaf extract on the oxidative stress induced by a high-fat diet in rats. Food Sci. Biotechnol. 2014, 23, 849–857. [Google Scholar] [CrossRef]
- Zhang, C.; Liu, Y.; Wang, Y.; Ge, X.; Jiao, T.; Yin, J.; Wang, K.; Li, C.; Guo, S.; Xie, X.; et al. Discovery of betulinic acid derivatives as potent intestinal farnesoid X receptor antagonists to ameliorate nonalcoholic steatohepatitis. J. Med. Chem. 2022, 65, 13452–13472. [Google Scholar] [CrossRef]
- Wu, S.S.; Hao, L.J.; Shi, Y.Y.; Lu, Z.J.; Yu, J.L.; Jiang, S.Q.; Liu, Q.L.; Wang, T.; Guo, S.Y.; Li, P.; et al. Network pharmacology-based analysis on the effects and mechanism of the Wang-Bi capsule for rheumatoid arthritis and osteoarthritis. ACS Omega 2022, 7, 7825–7836. [Google Scholar] [CrossRef]
- Li, W.; Jiang, L.; Lu, X.; Liu, X.; Ling, M. Curcumin protects radiation-induced liver damage in rats through the NF-κB signaling pathway. BMC Compment. Med. Ther. 2021, 21, 10. [Google Scholar] [CrossRef]
- Zhao, S.; Zhong, J.; Sun, C.; Zhang, J. Effects of aerobic exercise on TC, HDL-C, LDL-C and TG in patients with hyperlipidemia: A protocol of systematic review and meta-analysis. Medicine 2021, 100, e25103. [Google Scholar] [CrossRef]
- Chen, X.; Zhang, Y.; Zhu, Z.; Liu, H.; Guo, H.; Xiong, C.; Kerang, X.K.; Zhang, X.; Su, S. Protective effect of berberine on doxorubicin-induced acute hepatorenal toxicity in rats. Mol. Med. Rep. 2016, 13, 3953–3960. [Google Scholar] [CrossRef]
- Vincent, H.K.; Innes, K.E.; Vincent, K.R. Oxidative stress and potential interventions to reduce oxidative stress in overweight and obesity. Diabets Obes. Metab. 2007, 9, 813–839. [Google Scholar] [CrossRef]
- Unsal, V.; Cicek, M.; Sabancilar, I. Toxicity of carbon tetrachloride, free radicals and role of antioxidants. Rev. Environ. Health 2021, 36, 279–295. [Google Scholar] [CrossRef]
- Khanna, D.; Khanna, S.; Khanna, P.; Kahar, P.; Patel, B.M. Obesity: A chronic low-grade inflammation and its markers. Cureus 2022, 14, e22711. [Google Scholar] [CrossRef]
- Hu, N.; Wang, C.; Dai, X.; Zhou, M.; Gong, L.; Yu, L.; Peng, C.; Li, Y. Phillygenin inhibits LPS-induced activation and inflammation of LX2 cells by TLR4/MyD88/NF-κB signaling pathway. J. Ethnopharmacol. 2020, 248, 112361. [Google Scholar] [CrossRef]
- Saraiva, M.; Vieira, P.; O’Garra, A. Biology and therapeutic potential of interleukin-10. J. Exp. Me. 2020, 217, e20190418. [Google Scholar] [CrossRef]
- Xiao, P.T.; Xie, Z.S.; Kuang, Y.J.; Liu, S.Y.; Zeng, C.; Li, P.; Liu, E.H. Discovery of a potent FKBP38 agonist that ameliorates HFD-induced hyperlipidemia via mTOR/P70S6K/SREBPs pathway. Acta Pharm. Sin. B 2021, 11, 3542–3552. [Google Scholar] [CrossRef]
- Zhu, Q.N.; Xie, H.M.; Zhang, D.; Liu, J.; Lu, Y.F. Hepatic bile acids and bile acid-related gene expression in pregnant and lactating rats. PeerJ 2013, 1, e143. [Google Scholar] [CrossRef]
- Rodriguez, J.; Neyrinck, A.M.; Van Kerckhoven, M.; Gianfrancesco, M.A.; Renguet, E.; Bertrand, L.; Cani, P.D.; Lanthier, N.; Cnop, M.; Paquot, N.; et al. Physical activity enhances the improvement of body mass index and metabolism by inulin: A multicenter randomized placebo-controlled trial performed in obese individuals. BMC Med. 2022, 20, 110. [Google Scholar] [CrossRef]
- Purdy, J.C.; Shatzel, J.J. The hematologic consequences of obesity. Eur. J. Haematol. 2021, 106, 306–319. [Google Scholar] [CrossRef]
- Battineni, G.; Sagaro, G.G.; Chintalapudi, N.; Amenta, F.; Tomassoni, D.; Tayebati, S.K. Impact of obesity-induced inflammation on cardiovascular diseases (CVD). Int. J. Mol. Sci. 2021, 22, 4798. [Google Scholar] [CrossRef]
- Lee, Y.J.; Choi, D.H.; Kim, E.J.; Kim, H.Y.; Kwon, T.O.; Kang, D.G.; Lee, H.S. Hypotensive, hypolipidemic, and vascular protective effects of Morus alba L. in rats fed an atherogenic diet. Am. J. Chin. Med. 2021, 39, 39–52. [Google Scholar] [CrossRef]
- Lin, Z.; Gan, T.; Huang, Y.; Bao, L.; Liu, S.; Cui, X.; Wang, H.; Jiao, F.; Zhang, M.; Su, C.; et al. Anti-inflammatory activity of mulberry leaf flavonoids in vitro and in vivo. Int. J. Mol. Sci. 2022, 23, 7694. [Google Scholar] [CrossRef]
- Chen, M.J.; Liu, C.; Wan, Y.; Yang, L.; Jiang, S.; Qian, D.W.; Duan, J.A. Enterohepatic circulation of bile acids and their emerging roles on glucolipid metabolism. Steroids 2021, 165, 108757. [Google Scholar] [CrossRef]
- Minokoshi, Y.; Kim, Y.B.; Peroni, O.D.; Fryer, L.G.; Müller, C.; Carling, D.; Kahn, B.B. Leptin stimulates fatty-acid oxidation by activating AMP-activated protein kinase. Nature 2002, 415, 339–343. [Google Scholar] [CrossRef]
- Seok, S.; Sun, H.; Kim, Y.C.; Kemper, B.; Kemper, J.K. Defective FXR-SHP regulation in obesity aberrantly increases miR-802 expression, promoting insulin resistance and fatty liver. Diabetes 2021, 70, 733–744. [Google Scholar] [CrossRef]
Disclaimer/Publisher’s Note: The statements, opinions and data contained in all publications are solely those of the individual author(s) and contributor(s) and not of MDPI and/or the editor(s). MDPI and/or the editor(s) disclaim responsibility for any injury to people or property resulting from any ideas, methods, instructions or products referred to in the content. |
© 2023 by the authors. Licensee MDPI, Basel, Switzerland. This article is an open access article distributed under the terms and conditions of the Creative Commons Attribution (CC BY) license (https://creativecommons.org/licenses/by/4.0/).