Uprighting an Impacted Permanent Mandibular First Molar Associated with a Dentigerous Cyst and a Missing Second Mandibular Molar—A Case Report
Abstract
1. Introduction
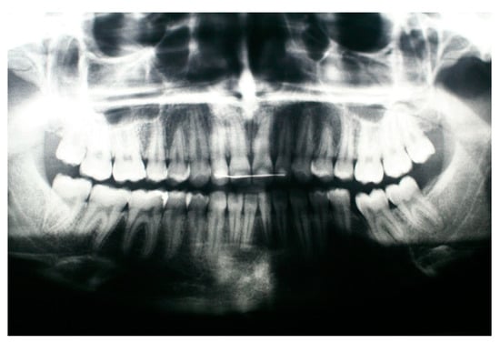
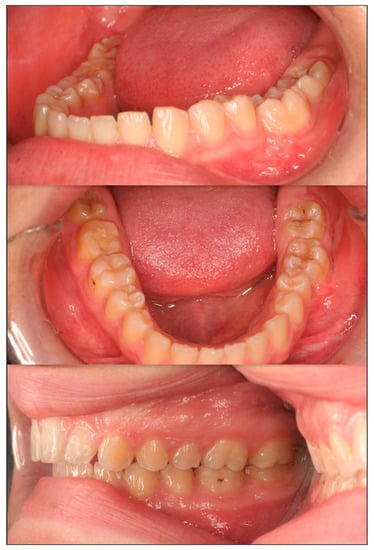
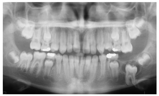
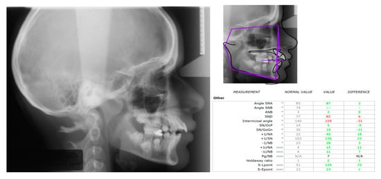
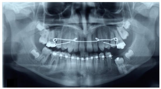
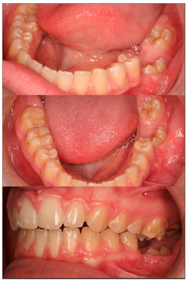
2. Case Presentation
3. Discussion
4. Conclusions
Author Contributions
Funding
Conflicts of Interest
References
- Andreasen, J.O.; Petersen, J.K.; Laskin, D.M. Textbook and Color Atlas of Tooth Impactions: Diagnosis, Treatment, Prevention; Munksgaard: Copenhagen, Denmark, 1997. [Google Scholar]
- Dachi, S.F.; Howell, F.V. A survey of 3874 routine full-mouth radiographs: II. A study of impacted teeth. Oral Surg. Oral Med. Oral Pathol. 1961, 14, 1165–1169. [Google Scholar] [CrossRef]
- Fu, P.S.; Wang, J.C.; Wu, Y.M.; Huang, T.K.; Chen, W.C.; Tseng, Y.C.; Tseng, C.H.; Hung, C.C. Impacted mandibular second molars. Angle Orthod. 2012, 82, 670–675. [Google Scholar] [CrossRef]
- Ahmad, S.; Bister, D.; Cobourne, M.T. The clinical features and aetiological basis of primary eruption failure. Eur. J. Orthod. 2006, 28, 535–540. [Google Scholar] [CrossRef]
- Raghoebar, G.M.; Boering, G.; Vissink, A.; Stegenga, B. Eruption disturbance of permanent molars: A review. J. Oral Pathol. Med. 1991, 20, 159–166. [Google Scholar] [CrossRef]
- Neville, B.W. Oral and Maxillofacial Pathology, 2nd ed.; Saunders: Philadelphia, PA, USA, 2005. [Google Scholar]
- Kushukakawa, J.; Irie, K.; Morimatsu, M. Dentigerous cyst associated with deciduous tooth: A case report. Oral Surg. Oral Med. Oral Pathol. 1992, 73, 415–418. [Google Scholar] [CrossRef]
- Peterson, L.J.; Eliis, E.; Hupp, J.R.; Tucker, M.R. Contemporary Oral and Maxillofacial Surgery, 4th ed.; Mosby: St. Louis, MO, USA, 2003. [Google Scholar]
- Mourshed, F. A roentgenographic study of dentigerous cysts. I. Incidence in a population sample. Oral Surg. Oral Med. Oral Pathol. 1964, 18, 47–53. [Google Scholar] [CrossRef]
- McDonald, J.S. Tumors of the Oral Soft Tissues and Cysts and Tumors of Bone. In Dean JA. McDonald and Avery’s Dentistry for the Child and Adolescent, 10th ed.; Elsevier: St Louis, MO, USA, 2016; pp. 603–626. [Google Scholar]
- Scully, C. Oral and Maxillofacial Medicine, 3rd ed.; Elsevier: Edinburg, UK, 2013. [Google Scholar]
- Bodner, L.; Woldenberg, Y.; Bar-Ziv, J. Radiographic features of large cysts lesions of the jaws in children. Pediatr. Radiol. 2003, 33, 3–6. [Google Scholar] [CrossRef]
- School, R.J.; Kellett, H.M.; Neumann, D.P.; Lurie, A.G. Cysts and cystic lesions of the mandible: Clinical and radiologic—Histopathologic review. Radiographics 1999, 19, 1107–1124. [Google Scholar] [CrossRef]
- Wood, N.K.; Kuc, I.M. Pericoronal radiolucencies. In Differential Diagnosis of Oral and Maxillofacial Lesions, 5th ed.; Wood, N.K., Goaz, P.W., Eds.; Mosby: St. Louis, MO, USA, 1997; pp. 279–295. [Google Scholar]
- Clauser, C.; Zuccati, G.; Baroue, R.; Villano, A. Simplified surgical orthodontic treatment of a dentigerous cyst. J. Clin. Orthod. 1994, 28, 103–106. [Google Scholar]
- Murakami, A.; Kawabata, K.; Suzuki, A.; Murakami, S.; Ooshima, T. Eruption of an impacted second premolar after marsupialization of a large dentigerous cyst: Case report. Pediatr. Dent. 1995, 17, 372–374. [Google Scholar]
- Ziccardi, V.B.; Eggleston, T.I.; Schneider, R.E. Using a fenestration technique to treat a large dentigerous cyst. J. Am. Dent. Assoc. 1997, 128, 201–205. [Google Scholar] [CrossRef]
- Pogrel, M.A. Treatment of keratocysts: The case for decompression and marsupialization. J. Oral Maxillofac. Surg. 2005, 63, 1667–1673. [Google Scholar] [CrossRef]
- Hyomoto, M.; Kawakami, M.; Inoue, M.; Kirita, T. Clinical conditions for eruption of maxillary canines and mandibular premolars associated with dentigerous cysts. Am. J. Orthod. Dentofac. Orthop. 2003, 124, 515–520. [Google Scholar] [CrossRef]
- Fujii, R.; Kawakami, M.; Hyomoto, M.; Ishida, J.; Kirita, J. Panoramic findings for predicting eruption of mandibular premolars associated with dentigerous cyst after marsupialization. J. Oral Maxillofac. Surg. 2008, 66, 272–276. [Google Scholar] [CrossRef]
- Giancotti, A.; Muzzi, F.; Santini, F.; Arcuri, C. Miniscrew treatment of ectopic mandibular molars. J. Clin. Orthod. 2003, 37, 380–383. [Google Scholar]
- Roberts, W.W.; Chacker, F.M.; Brustone, C.J. A segmental approach to mandibular molar uprighting. Am. J. Orthod. 1982, 81, 177–184. [Google Scholar] [CrossRef]
- Zachrisson, B.U.; Bantleon, H.P. Optimal mechanics for mandibular molar uprighting. World J. Orthod. 2005, 6, 80–87. [Google Scholar]
- Aktan, A.; Kara, I.; Sener, I.; Bereket, C.; Ay, S.; Ciftci, M.E. Radiographic study of tooth agenesis in the Turkish population. Oral Radiol. 2010, 26, 95–100. [Google Scholar] [CrossRef]
- Shear, M. Cysts of the Oral and Maxillofacial Region, 4th ed.; Blackwell: Johannesburg, South Africa, 2006. [Google Scholar]
- Chiapasco, M.; Rossi, A.; Motta, J.J.; Crescentini, M. Spontaneous bone regeneration after enucleation of large mandibular cysts: A radiographic computed analysis of 27 consecutive cases. J. Oral Maxillofac. Surg. 2000, 58, 942–948. [Google Scholar] [CrossRef]
- Daley, T.D.; Wysocki, G.P. The small dentigerous cyst. A diagnostic dilemma. Oral Surg. Oral Med. Oral Pathol. Oral Radiol. Endod. 1995, 79, 77–81. [Google Scholar] [CrossRef]
- Enislidis, G.; Fock, N.; Sulzbacher, I.; Ewers, R. Conservative treatment of large cystic lesions of the mandible: A prospective study of the effect of decompression. Br. J. Oral Maxillofac. Surg. 2004, 42, 546–550. [Google Scholar] [CrossRef]
- Fortin, T.; Coudert, J.L.; Francois, B.; Huet, A.; Niogret, F.; Jourlin, M.; Gremillet, P. Marsupialization of dentigerous cyst associated with foreign body using 3D CT images: A case report. J. Clin. Pediatr. Dent. 1997, 22, 29–33. [Google Scholar]
- Perez, D.M.; Molare, M.V. Conservative treatment of dentigerous cysts in children. A report of 4 cases. J. Indian Soc. Pedod. Prev. Dent. 1996, 14, 49–51. [Google Scholar]
- Motamedi, M.; Talesh, K.T. Management of extensive dentigerous cyst. Br. Dent. J. 2005, 198, 203–206. [Google Scholar] [CrossRef]
- Bonetti, G.A.; Bendandi, M.; Laino, L.; Checchi, V.; Checchi, L. Orthodontic extraction: Riskless extraction of impacted lower third molars close to the mandibular canal. J. Oral Maxillofac. Surg. 2007, 65, 2580–2586. [Google Scholar] [CrossRef]
- McAboy, C.P.; Grumet, J.T.; Siegel, E.B.; Iacopino, A.M. Surgical uprighting and repositioning of severely impacted mandibular second molars. J. Am. Dent. Assoc. 2003, 134, 1459–1462. [Google Scholar] [CrossRef]
- Shapira, Y.; Borell, G.; Nahlieli, O.; Kuftinec, M.M. Uprighting mesially impacted mandibular permanent second molars. Angle Orthod. 1998, 68, 173–178. [Google Scholar]
- Orton-Gibbs, S.; Crow, V.; Orton, H.S. Eruption of third permanent molars after the extraction of second permanent molars. Part 1: Assessment of third molar position and size. Am. J. Orthod. Dentofac. Orthop. 2001, 119, 226–238. [Google Scholar] [CrossRef]
- Bonetti, G.A.; Parenti, S.I.; Checchi, L. Orthodontic extraction of mandibular third molar to avoid nerve injury and promote periodontal healing. J. Clin. Periodontol. 2008, 35, 719–723. [Google Scholar] [CrossRef]







© 2019 by the authors. Licensee MDPI, Basel, Switzerland. This article is an open access article distributed under the terms and conditions of the Creative Commons Attribution (CC BY) license (http://creativecommons.org/licenses/by/4.0/).
Share and Cite
Tsironi, K.; Inglezos, E.; Vardas, E.; Mitsea, A. Uprighting an Impacted Permanent Mandibular First Molar Associated with a Dentigerous Cyst and a Missing Second Mandibular Molar—A Case Report. Dent. J. 2019, 7, 63. https://doi.org/10.3390/dj7030063
Tsironi K, Inglezos E, Vardas E, Mitsea A. Uprighting an Impacted Permanent Mandibular First Molar Associated with a Dentigerous Cyst and a Missing Second Mandibular Molar—A Case Report. Dentistry Journal. 2019; 7(3):63. https://doi.org/10.3390/dj7030063
Chicago/Turabian StyleTsironi, Konstantina, Emmanouil Inglezos, Emmanouil Vardas, and Anastasia Mitsea. 2019. "Uprighting an Impacted Permanent Mandibular First Molar Associated with a Dentigerous Cyst and a Missing Second Mandibular Molar—A Case Report" Dentistry Journal 7, no. 3: 63. https://doi.org/10.3390/dj7030063
APA StyleTsironi, K., Inglezos, E., Vardas, E., & Mitsea, A. (2019). Uprighting an Impacted Permanent Mandibular First Molar Associated with a Dentigerous Cyst and a Missing Second Mandibular Molar—A Case Report. Dentistry Journal, 7(3), 63. https://doi.org/10.3390/dj7030063

