Effectiveness of Modified Clear Aligner Attachment Designs on Molar Extrusion: An In Vitro Typodont Study
Abstract
1. Introduction
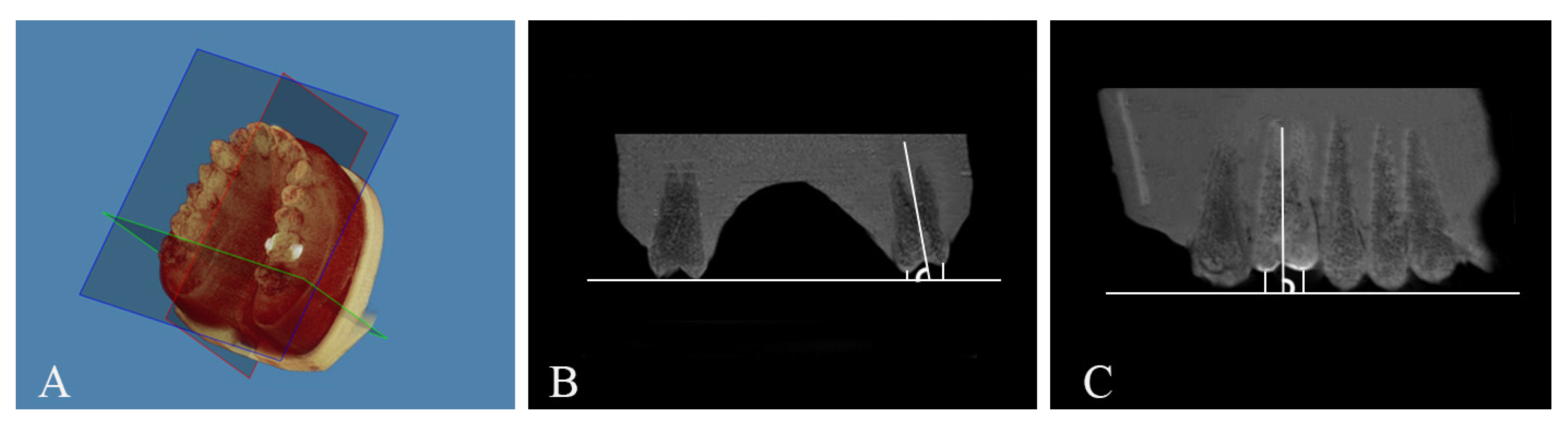
2. Materials and Methods
Statistical Analysis
3. Results
4. Discussion
5. Conclusions
Author Contributions
Funding
Institutional Review Board Statement
Informed Consent Statement
Data Availability Statement
Conflicts of Interest
References
- Wahl, N. Orthodontics in 3 millennia. Chapter 1: Antiquity to the mid-19th century. Am. J. Orthod. Dentofac. Orthop. 2005, 127, 255–259. [Google Scholar] [CrossRef] [PubMed]
- Christensen, L.R. Digital workflows in contemporary orthodontics. APOS Trends Orthod. 2017, 7, 12–18. [Google Scholar] [CrossRef]
- Alajmi, S.; Shaban, A.; Al-Azemi, R. Comparison of Short-Term Oral Impacts Experienced by Patients Treated with Invisalign or Conventional Fixed Orthodontic Appliances. Med. Princ. Pract. 2020, 29, 382–388. [Google Scholar] [CrossRef]
- Galan-Lopez, L.; Barcia-Gonzalez, J.; Plasencia, E. A systematic review of the accuracy and efficiency of dental movements with Invisalign®. Korean J. Orthod. 2019, 49, 140–149. [Google Scholar] [CrossRef] [PubMed]
- AlMogbel, A. Clear Aligner Therapy: Up to date review article. J. Orthod. Sci. 2023, 12, 37. [Google Scholar] [CrossRef]
- Castroflorio, T.; Parrini, S.; Rossini, G. Aligner biomechanics: Where we are now and where we are heading for. J. World Fed. Orthod. 2024, 13, 57–64. [Google Scholar] [CrossRef]
- Jedliński, M.; Mazur, M.; Greco, M.; Belfus, J.; Grocholewicz, K.; Janiszewska-Olszowska, J. Attachments for the Orthodontic Aligner Treatment-State of the Art—A Comprehensive Systematic Review. Int. J. Environ. Res. Public Health 2023, 20, 4481. [Google Scholar] [CrossRef]
- Nguyen, V.A.; Trinh, K.L.; Le, T.L.A.; Nguyen, H.C. Comparison of shear bond strengths of clear aligner attachments to full-contour zirconia crowns with different sandblasting times and primers: An in vitro study. Am. J. Orthod. Dentofac. Orthop. 2025, in press. [CrossRef]
- Lagravère, M.O.; Flores-Mir, C. The treatment effects of Invisalign orthodontic aligners: A systematic review. J. Am. Dent. Assoc. 2005, 136, 1724–1729. [Google Scholar] [CrossRef]
- Zheng, M.; Liu, R.; Ni, Z.; Yu, Z. Efficiency, effectiveness and treatment stability of clear aligners: A systematic review and meta-analysis. Orthod. Craniofac. Res. 2017, 20, 127–133. [Google Scholar] [CrossRef]
- Kravitz, N.D.; Kusnoto, B.; BeGole, E.; Obrez, A.; Agran, B. How well does Invisalign work? A prospective clinical study evaluating the efficacy of tooth movement with Invisalign. Am. J. Orthod. Dentofac. Orthop. 2009, 135, 27–35. [Google Scholar] [CrossRef]
- Lee, S.Y.; Kim, H.; Kim, H.-J.; Chung, C.J.; Choi, Y.J.; Kim, S.-J.; Cha, J.-Y. Thermo-mechanical properties of 3D printed photocurable shape memory resin for clear aligners. Sci. Rep. 2022, 12, 6246. [Google Scholar] [CrossRef]
- Atta, I.; Bourauel, C.; Alkabani, Y.; Mohamed, N.; Kim, H.; Alhotan, A.; Ghoneima, A.; Elshazly, T. Physiochemical and mechanical characterisation of orthodontic 3D printed aligner material made of shape memory polymers (4D aligner material). J. Mech. Behav. Biomed. Mater. 2024, 150, 106337. [Google Scholar] [CrossRef]
- Tartaglia, G.M.; Mapelli, A.; Maspero, C.; Santaniello, T.; Serafin, M.; Farronato, M.; Caprioglio, A. Direct 3D Printing of Clear Orthodontic Aligners: Current State and Future Possibilities. Materials 2021, 14, 1799. [Google Scholar] [CrossRef] [PubMed]
- Narongdej, P.; Hassanpour, M.; Alterman, N.; Rawlins-Buchanan, F.; Barjasteh, E. Advancements in Clear Aligner Fabrication: A Comprehensive Review of Direct-3D Printing Technologies. Polymers 2024, 16, 371. [Google Scholar] [CrossRef]
- Baik, J.-C.; Choi, Y.-K.; Cho, Y.; Baek, Y.; Kim, S.-H.; Kim, S.-S.; Park, S.-B.; Kim, K.B.; Kim, Y.-I. Evaluation of different designs of 3D printed clear aligners on mandibular premolar extrusion using force/moment measurement devices and digital image correlation method. Korean J. Orthod. 2024, 54, 359–373. [Google Scholar] [CrossRef]
- Hassanaly, T.; Rabal-Solans, A.; Mediero-Pérez, M.; Nieto-Sánchez, I. A comparison of the upper anterior teeth movements with optimized and conventional attachment. J. Clin. Exp. Dent. 2024, 16, e480–e484. [Google Scholar] [CrossRef] [PubMed]
- Groody, J.T.; Lindauer, S.J.; Kravitz, N.D.; Carrico, C.K.; Madurantakam, P.; Shroff, B.; Darkazanli, M.; Gardner, W.G. Effect of clear aligner attachment design on extrusion of maxillary lateral incisors: A multicenter, single-blind randomized clinical trial. Am. J. Orthod. Dentofac. Orthop. 2023, 164, 618–627. [Google Scholar] [CrossRef]
- Alam, M.K.; Kanwal, B.; Shqaidef, A.; Alswairki, H.J.; Alfawzan, A.A.; Alabdullatif, A.I.; Aalmunif, A.N.; Aljrewey, S.H.; Alothman, T.A.; Shrivastava, D.; et al. A Systematic Review and Network Meta-Analysis on the Impact of Various Aligner Materials and Attachments on Orthodontic Tooth Movement. J. Funct. Biomater. 2023, 14, 209. [Google Scholar] [CrossRef] [PubMed]
- Fan, D.; Liu, H.; Yuan, C.-Y.; Wang, S.-Y.; Wang, P.-L. Effectiveness of the attachment position in molar intrusion with clear aligners: A finite element study. BMC Oral Health 2022, 22, 474. [Google Scholar] [CrossRef]
- Wang, Y.; Long, H.; Zhao, Z.; Bai, D.; Han, X.; Wang, J.; Fang, B.; Jin, Z.; He, H.; Bai, Y.; et al. Expert consensus on the clinical strategies for orthodontic treatment with clear aligners. Int. J. Oral Sci. 2025, 17, 19. [Google Scholar] [CrossRef] [PubMed]
- Elshazly, T.M.; Keilig, L.; Alkabani, Y.; Ghoneima, A.; Abuzayda, M.; Talaat, S.; Bourauel, C.P. Primary Evaluation of Shape Recovery of Orthodontic Aligners Fabricated from Shape Memory Polymer (A Typodont Study). Dent. J. 2021, 9, 31. [Google Scholar] [CrossRef] [PubMed]
- Elshazly, T.M.; Keilig, L.; Alkabani, Y.; Ghoneima, A.; Abuzayda, M.; Talaat, W.; Talaat, S.; Bourauel, C.P. Potential Application of 4D Technology in Fabrication of Orthodontic Aligners. Front. Mater. 2022, 8, 794536. [Google Scholar] [CrossRef]





| Measurements | Definition |
|---|---|
| Ext PC | The distance (mm) between the palatal cusp (PC) and the occlusal plane, measured from the coronal section. |
| Ext BC | The distance (mm) between the buccal cusp (BC) and the occlusal plane, measured from the coronal section. |
| Ext MBC | The distance (mm) between the mesiobuccal cusp (MBC) and the occlusal plane, measured from the sagittal section. |
| Ext DBC | The distance (mm) between the distobuccal cusp (DBC) and the occlusal plane, measured from the sagittal section. |
| BL Tip angle | The buccolingual (BL) angle (degree) between the long axis of the upper left first molar to the occlusal plane, measured from the coronal section. |
| MD Tip angle | The mesiodistal (MD) tip angle (degree) between the long axis of the upper left first molar to the occlusal plane, measured from the sagittal section. |
| Group 1 | n | Mean | SD | Min | Max | 95% CI | |
|---|---|---|---|---|---|---|---|
| LB | UB | ||||||
| Ext PC—T1 | 10 | 1.96 | 0.30 | 1.60 | 2.60 | 1.75 | 2.17 |
| Ext BC—T1 | 10 | 3.39 | 0.34 | 2.90 | 4.00 | 3.15 | 3.63 |
| Ext MBC—T1 | 10 | 3.21 | 0.33 | 2.90 | 3.90 | 2.97 | 3.45 |
| Ext DBC—T1 | 10 | 3.34 | 0.40 | 2.80 | 3.90 | 3.05 | 3.63 |
| BL Tip angle—T1 | 10 | 73.68 | 4.12 | 68.10 | 81.30 | 70.73 | 76.63 |
| MD Tip angle—T1 | 10 | 90.63 | 0.82 | 89.20 | 91.70 | 90.05 | 91.21 |
| Group 2 | |||||||
| Ext PC—T1 | 10 | 2.13 | 0.38 | 1.20 | 2.50 | 1.86 | 2.40 |
| Ext BC—T1 | 10 | 3.61 | 0.41 | 3.20 | 4.50 | 3.31 | 3.91 |
| Ext MBC—T1 | 10 | 3.22 | 0.21 | 2.90 | 3.70 | 3.07 | 3.37 |
| Ext DBC—T1 | 10 | 3.32 | 0.25 | 3.00 | 3.90 | 3.14 | 3.50 |
| BL Tip angle—T1 | 10 | 73.40 | 2.85 | 70.00 | 78.30 | 71.36 | 75.44 |
| MD Tip angle—T1 | 10 | 90.47 | 0.59 | 89.50 | 91.40 | 90.05 | 90.89 |
| Group 3 | |||||||
| Ext PC—T1 | 10 | 2.11 | 0.27 | 1.50 | 2.60 | 1.92 | 2.31 |
| Ext BC—T1 | 10 | 3.77 | 0.30 | 3.40 | 4.40 | 3.56 | 3.98 |
| Ext MBC—T1 | 10 | 3.23 | 0.19 | 3.00 | 3.60 | 3.09 | 3.37 |
| Ext DBC—T1 | 10 | 3.42 | 0.15 | 3.10 | 3.70 | 3.31 | 3.53 |
| BL Tip angle—T1 | 10 | 70.65 | 2.60 | 64.00 | 72.70 | 68.79 | 72.51 |
| MD Tip angle—T1 | 10 | 90.98 | 0.97 | 90.00 | 92.50 | 90.29 | 91.67 |
| Group 4 | |||||||
| Ext PC—T1 | 10 | 2.08 | 0.26 | 1.40 | 2.30 | 1.89 | 2.27 |
| Ext BC—T1 | 10 | 3.16 | 0.23 | 2.80 | 3.40 | 3.00 | 3.32 |
| Ext MBC—T1 | 10 | 3.08 | 0.18 | 2.80 | 3.40 | 2.95 | 3.21 |
| Ext DBC—T1 | 10 | 3.46 | 0.18 | 3.20 | 3.70 | 3.33 | 3.59 |
| BL Tip angle—T1 | 10 | 72.25 | 3.25 | 68.30 | 77.30 | 69.92 | 74.58 |
| MD Tip angle—T1 | 10 | 89.27 | 1.24 | 86.30 | 90.90 | 88.39 | 90.15 |
| Group 1 | T1 | T2 | Difference | p-Value | |||
|---|---|---|---|---|---|---|---|
| Mean | SD | Mean | SD | Mean | SD | ||
| Ext PC | 1.96 | 0.30 | 1.95 | 0.25 | 0.01 | 0.29 | 0.916 |
| Ext BC | 3.39 | 0.34 | 3.18 | 0.42 | 0.21 | 0.35 | 0.094 |
| Ext MBC | 3.21 | 0.33 | 2.94 | 0.40 | 0.27 | 0.23 | 0.004 * |
| Ext DBC | 3.34 | 0.40 | 3.09 | 0.38 | 0.25 | 0.26 | 0.015 * |
| BL Tip angle | 73.68 | 4.12 | 72.92 | 4.23 | 0.76 | 0.99 | 0.038 * |
| MD Tip angle | 90.63 | 0.82 | 90.78 | 0.73 | −0.15 | 0.35 | 0.213 |
| Group 2 | |||||||
| Ext PC | 2.13 | 0.38 | 1.52 | 0.67 | 0.61 | 0.46 | 0.002 * |
| Ext BC | 3.61 | 0.41 | 2.98 | 0.76 | 0.63 | 0.69 | 0.018 * |
| Ext MBC | 3.22 | 0.21 | 2.81 | 0.48 | 0.41 | 0.41 | 0.012 * |
| Ext DBC | 3.32 | 0.25 | 2.82 | 0.61 | 0.50 | 0.59 | 0.026 * |
| BL Tip angle | 73.40 | 2.85 | 73.77 | 3.37 | −0.37 | 2.43 | 0.642 |
| MD Tip angle | 90.47 | 0.59 | 90.27 | 0.83 | 0.20 | 0.71 | 0.399 |
| Group 3 | |||||||
| Ext PC | 2.11 | 0.27 | 1.12 | 0.41 | 0.99 | 0.53 | 0.001 * |
| Ext BC | 3.77 | 0.30 | 3.25 | 0.59 | 0.52 | 0.47 | 0.006 * |
| Ext MBC | 3.23 | 0.19 | 2.28 | 0.32 | 0.95 | 0.45 | 0.001 * |
| Ext DBC | 3.42 | 0.15 | 2.34 | 0.42 | 1.08 | 0.41 | 0.001 * |
| BL Tip angle | 70.65 | 2.60 | 67.23 | 3.11 | 3.42 | 0.99 | 0.001 * |
| MD Tip angle | 90.98 | 0.97 | 91.58 | 1.22 | −0.60 | 0.45 | 0.002 * |
| Group 4 | |||||||
| Ext PC | 2.08 | 0.26 | 1.11 | 0.53 | 0.97 | 0.60 | 0.001 * |
| Ext BC | 3.16 | 0.23 | 2.84 | 0.40 | 0.32 | 0.52 | 0.057 |
| Ext MBC | 3.08 | 0.18 | 2.21 | 0.41 | 0.87 | 0.50 | 0.001 * |
| Ext DBC | 3.46 | 0.18 | 2.74 | 0.67 | 0.72 | 0.59 | 0.010 * |
| BL Tip angle | 72.25 | 3.25 | 71.07 | 2.73 | 1.18 | 2.34 | 0.205 |
| MD Tip angle | 89.27 | 1.24 | 87.65 | 2.20 | 1.62 | 1.41 | 0.043 * |
| Parameters | Groups | T2 | Difference | p-Value | ||
|---|---|---|---|---|---|---|
| Mean | SD | Mean | SD | |||
| Ext PC T2 | G1 | 1.95 | 0.25 | 0.01 | 0.29 | 0.082 |
| G2 | 1.52 | 0.67 | 0.61 | 0.46 | ||
| Ext BC T2 | G1 | 3.18 | 0.42 | 0.21 | 0.35 | 0.477 |
| G2 | 2.98 | 0.76 | 0.63 | 0.69 | ||
| Ext MBC T2 | G1 | 2.94 | 0.40 | 0.27 | 0.23 | 0.519 |
| G2 | 2.81 | 0.48 | 0.41 | 0.41 | ||
| Ext DBC T2 | G1 | 3.09 | 0.38 | 0.25 | 0.26 | 0.250 |
| G2 | 2.82 | 0.61 | 0.50 | 0.59 | ||
| BL Tip angle T2 | G1 | 72.92 | 4.23 | 0.76 | 0.99 | 0.626 |
| G2 | 73.77 | 3.37 | −0.37 | 2.43 | ||
| MD Tip angle T2 | G1 | 90.78 | 0.73 | −0.15 | 0.35 | 0.162 |
| G2 | 90.27 | 0.83 | 0.20 | 0.71 | ||
| Parameters | Groups | T2 | Difference | p-Value | ||
|---|---|---|---|---|---|---|
| Mean | SD | Mean | SD | |||
| Ext PC T2 | G1 | 1.95 | 0.25 | 0.01 | 0.29 | 0.001 * |
| G3 | 1.12 | 0.41 | 0.99 | 0.53 | ||
| Ext BC T2 | G1 | 3.18 | 0.42 | 0.21 | 0.35 | 0.764 |
| G3 | 3.25 | 0.59 | 0.52 | 0.47 | ||
| Ext MBC T2 | G1 | 2.94 | 0.40 | 0.27 | 0.23 | 0.001 * |
| G3 | 2.28 | 0.32 | 0.95 | 0.45 | ||
| Ext DBC T2 | G1 | 3.09 | 0.38 | 0.25 | 0.26 | 0.001 * |
| G3 | 2.34 | 0.42 | 1.08 | 0.41 | ||
| BL Tip angle T2 | G1 | 72.92 | 4.23 | 0.76 | 0.99 | 0.003 * |
| G3 | 67.23 | 3.11 | 3.42 | 0.99 | ||
| MD Tip angle T2 | G1 | 90.78 | 0.73 | −0.15 | 0.35 | 0.093 |
| G3 | 91.58 | 1.22 | −0.60 | 0.45 | ||
| Parameters | Groups | T2 | Difference | p-Value | ||
|---|---|---|---|---|---|---|
| Mean | SD | Mean | SD | |||
| Ext PC T2 | G1 | 1.95 | 0.25 | 0.01 | 0.29 | 0.001 * |
| G4 | 1.11 | 0.53 | 0.97 | 0.60 | ||
| Ext BC T2 | G1 | 3.18 | 0.42 | 0.21 | 0.35 | 0.040 * |
| G4 | 2.84 | 0.40 | 0.32 | 0.52 | ||
| Ext MBC T2 | G1 | 2.94 | 0.40 | 0.27 | 0.23 | 0.001 * |
| G4 | 2.21 | 0.41 | 0.87 | 0.50 | ||
| Ext DBC T2 | G1 | 3.09 | 0.38 | 0.25 | 0.26 | 0.085 |
| G4 | 2.74 | 0.67 | 0.72 | 0.59 | ||
| BL Tip angle T2 | G1 | 72.92 | 4.23 | 0.76 | 0.99 | 0.131 |
| G4 | 71.07 | 2.73 | 1.18 | 2.34 | ||
| MD Tip angle T2 | G1 | 90.78 | 0.73 | −0.15 | 0.35 | 0.001 * |
| G4 | 87.65 | 2.20 | 1.62 | 1.41 | ||
Disclaimer/Publisher’s Note: The statements, opinions and data contained in all publications are solely those of the individual author(s) and contributor(s) and not of MDPI and/or the editor(s). MDPI and/or the editor(s) disclaim responsibility for any injury to people or property resulting from any ideas, methods, instructions or products referred to in the content. |
© 2025 by the authors. Licensee MDPI, Basel, Switzerland. This article is an open access article distributed under the terms and conditions of the Creative Commons Attribution (CC BY) license (https://creativecommons.org/licenses/by/4.0/).
Share and Cite
Bin Hussain, A.; Elshazly, T.; Hassan, A.; Ghoneima, A. Effectiveness of Modified Clear Aligner Attachment Designs on Molar Extrusion: An In Vitro Typodont Study. Dent. J. 2025, 13, 551. https://doi.org/10.3390/dj13120551
Bin Hussain A, Elshazly T, Hassan A, Ghoneima A. Effectiveness of Modified Clear Aligner Attachment Designs on Molar Extrusion: An In Vitro Typodont Study. Dentistry Journal. 2025; 13(12):551. https://doi.org/10.3390/dj13120551
Chicago/Turabian StyleBin Hussain, Aisha, Tarek Elshazly, Amar Hassan, and Ahmed Ghoneima. 2025. "Effectiveness of Modified Clear Aligner Attachment Designs on Molar Extrusion: An In Vitro Typodont Study" Dentistry Journal 13, no. 12: 551. https://doi.org/10.3390/dj13120551
APA StyleBin Hussain, A., Elshazly, T., Hassan, A., & Ghoneima, A. (2025). Effectiveness of Modified Clear Aligner Attachment Designs on Molar Extrusion: An In Vitro Typodont Study. Dentistry Journal, 13(12), 551. https://doi.org/10.3390/dj13120551

