Failed Orthodontic PEEK Retainer: A Scanning Electron Microscopy Analysis and a Possible Failure Mechanism in a Case Report
Abstract
1. Introduction
2. Materials and Methods
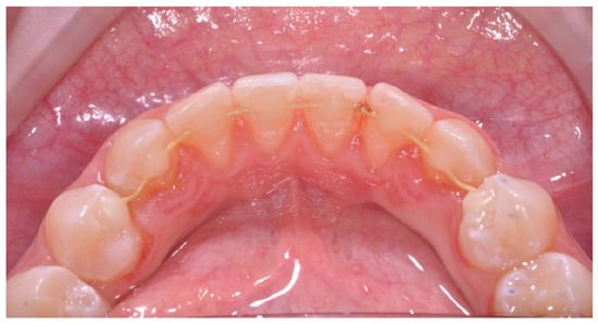
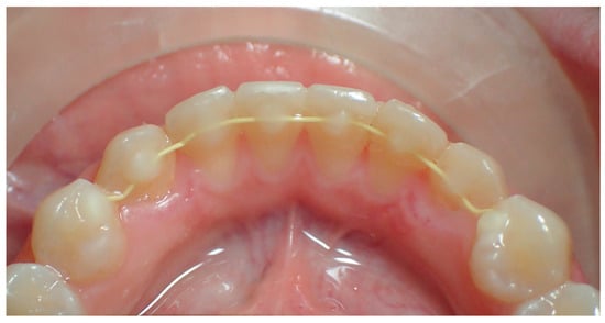
3. Results
4. Discussion
5. Conclusions
Author Contributions
Funding
Institutional Review Board Statement
Informed Consent Statement
Data Availability Statement
Acknowledgments
Conflicts of Interest
References
- Al-Moghrabi, D.; Pandis, N.; Fleming, P.S. The effects of fixed and removable orthodontic retainers: A systematic review. Prog. Orthod. 2016, 17, 24. [Google Scholar] [CrossRef] [PubMed]
- Kusaibati, A.M.; Sultan, K.; Hajeer, M.Y.; Burhan, A.S.; Alam, M.K. Adult patient expectations and satisfaction: Can they be influenced by viewing the three-dimensional predicted outcome before fixed orthodontic treatment of dental crowding? J. World Fed. Orthod. 2023, 12, 269–279. [Google Scholar] [CrossRef]
- Seide, M.; Kruse, T.; Graf, I.; Bourauel, C.; Lapatki, B.G.; Jäger, R.; Braumann, B. Inadvertent side effects of fixed lingual retainers: An in vitro study. J. Orofac. Orthop. Fortschritte Kieferorthopädie 2024, 85, 223–232. [Google Scholar] [CrossRef]
- Naraghi, S.; Ganzer, N.; Bondemark, L.; Sonesson, M. Comparison of post-treatment changes with and without retention in adolescents treated for maxillary impacted canines—A randomized controlled trial. Eur. J. Orthod. 2021, 43, 121–127. [Google Scholar] [CrossRef] [PubMed]
- Win, P.P.; Chen, D.D.S.; Sainbayar, B.; Peng, T.Y.; Cheng, J.H.C. Assessment of mechanical characteristics of polyetheretherketone as orthodontic fixed lingual retainers. J. Dent. Sci. 2023, 18, 1804–1811. [Google Scholar] [CrossRef]
- Nagani, N.I.; Ahmed, I.; Tanveer, F.; Khursheed, H.M.; Farooqui, W.A. Clinical comparison of bond failure rate between two types of mandibular canine-canine bonded orthodontic retainers- a randomized clinical trial. BMC Oral Health 2020, 20, 180. [Google Scholar] [CrossRef] [PubMed]
- Sfondrini, M.F.; Vallittu, P.K.; Lassila, L.V.J.; Viola, A.; Gandini, P.; Scribante, A. Glass Fiber Reinforced Composite Orthodontic Retainer: In Vitro Effect of Tooth Brushing on the Surface Wear and Mechanical Properties. Materials 2020, 13, 1028. [Google Scholar] [CrossRef]
- Tacken, M.P.E.; Cosyn, J.; De Wilde, P.; Aerts, J.; Govaerts, E.; Vannet, B.V. Glass fibre reinforced versus multistranded bonded orthodontic retainers: A 2 year prospective multi-centre study. Eur. J. Orthod. 2010, 32, 117–123. [Google Scholar] [CrossRef]
- Beretta, M. Contenzione fissa in ortodonzia analgica, digitale, responsabile e 4D. Dent. Mod. 2022, 10, 54–63. [Google Scholar]
- Panayotov, I.V.; Orti, V.; Cuisinier, F.; Yachouh, J. Polyetheretherketone (PEEK) for medical applications. J. Mater. Sci. Mater. Med. 2016, 27, 118. [Google Scholar] [CrossRef]
- Beretta, M.; Mangano, A.; Gianolio, A.; Negrini, S.; Canova, F.F.; Cirulli, N. A Fully Digital Workflow for PEEK Fixed Retainers. J. Clin. Orthod. 2021, 55, 249–253. [Google Scholar]
- Ierardo, G.; Luzzi, V.; Lesti, M.; Vozza, I.; Brugnoletti, O.; Polimeni, A.; Bossù, M. Peek polymer in orthodontics: A pilot study on children. J. Clin. Exp. Dent. 2017, 9, e1271–e1275. [Google Scholar] [CrossRef]
- Nai, T.A.P.; Aydin, B.; Brand, H.S.; Jonkman, R.E.G. Present and Theoretical Applications of Poly-Ether-Ether-Ketone (PEEK) in Orthodontics: A Scoping Review. Materials 2022, 15, 7414. [Google Scholar] [CrossRef]
- Beretta, M.; Paglia, M.; Colombo, S.; Quinzi, V. PEEK polymer in orthodontics: A scoping review. Eur. J. Paediatr. Dent. 2022, 23, 137–139. [Google Scholar] [CrossRef]
- Stawarczyk, B.; Beuer, F.; Wimmer, T.; Jahn, D.; Sener, B.; Roos, M.; Schmidlin, P.R. Polyetheretherketone—A suitable material for fixed dental prostheses?: Polyetheretherketone. J. Biomed. Mater. Res. B Appl. Biomater. 2013, 101, 1209–1216. [Google Scholar] [CrossRef]
- Venere, D.D.; Pettini, F.; Nardi, G.M.; Laforgia, A.; Stefanachi, G.; Notaro, V.; Rapone, B.; Grassi, F.R.; Corsalini, M. Correlation between parodontal indexes and orthodontic retainders: Prospective study in a group of 16 patients. Oral Implantol. 2017, 10, 78–86. [Google Scholar] [CrossRef]
- Pandis, N.; Vlahopoulos, K.; Madianos, P.; Eliades, T. Long-term periodontal status of patients with mandibular lingual fixed retention. Eur. J. Orthod. 2007, 29, 471–476. [Google Scholar] [CrossRef]
- Monich, P.R.; Berti, F.V.; Porto, L.M.; Henriques, B.; de Oliveira, A.P.N.; Fredel, M.C.; Souza, J.C. Physicochemical and biological assessment of PEEK composites embedding natural amorphous silica fibers for biomedical applications. Mater. Sci. Eng. C 2017, 79, 354–362. [Google Scholar] [CrossRef]
- Tada, Y.; Hayakawa, T.; Nakamura, Y. Load-Deflection and Friction Properties of PEEK Wires as Alternative Orthodontic Wires. Materials 2017, 10, 914. [Google Scholar] [CrossRef]
- Maekawa, M.; Kanno, Z.; Wada, T.; Hongo, T.; Doi, H.; Hanawa, T.; Ono, T.; Uo, M. Mechanical properties of orthodontic wires made of super engineering plastic. Dent. Mater. J. 2015, 34, 114–119. [Google Scholar] [CrossRef]
- Pazzaglia, U.E.; Reguzzoni, M.; Casati, L.; Sibilia, V.; Zarattini, G.; Raspanti, M. New morphological evidence of the ‘fate’ of growth plate hypertrophic chondrocytes in the general context of endochondral ossification. J. Anat. 2020, 236, 305–316. [Google Scholar] [CrossRef] [PubMed]
- Elawadly, T.; Radi, I.A.W.; El Khadem, A.; Osman, R.B. Can PEEK Be an Implant Material? Evaluation of Surface Topography and Wettability of Filled versus Unfilled PEEK with Different Surface Roughness. J. Oral Implantol. 2017, 43, 456–461. [Google Scholar] [CrossRef] [PubMed]
- Etxeberria, M.; Escuin, T.; Vinas, M.; Ascaso, C. Useful surface parameters for biomaterial discrimination. Scanning 2015, 37, 429–437. [Google Scholar] [CrossRef] [PubMed]
- Han, X.; Sharma, N.; Spintzyk, S.; Zhou, Y.; Xu, Z.; Thieringer, F.M.; Rupp, F. Tailoring the biologic responses of 3D printed PEEK medical implants by plasma functionalization. Dent. Mater. 2022, 38, 1083–1098. [Google Scholar] [CrossRef] [PubMed]





Disclaimer/Publisher’s Note: The statements, opinions and data contained in all publications are solely those of the individual author(s) and contributor(s) and not of MDPI and/or the editor(s). MDPI and/or the editor(s) disclaim responsibility for any injury to people or property resulting from any ideas, methods, instructions or products referred to in the content. |
© 2024 by the authors. Licensee MDPI, Basel, Switzerland. This article is an open access article distributed under the terms and conditions of the Creative Commons Attribution (CC BY) license (https://creativecommons.org/licenses/by/4.0/).
Share and Cite
Zecca, P.A.; Bocchieri, S.; Carganico, A.; Caccia, M.; Fastuca, R.; Borgese, M.; Levrini, L.; Reguzzoni, M. Failed Orthodontic PEEK Retainer: A Scanning Electron Microscopy Analysis and a Possible Failure Mechanism in a Case Report. Dent. J. 2024, 12, 223. https://doi.org/10.3390/dj12070223
Zecca PA, Bocchieri S, Carganico A, Caccia M, Fastuca R, Borgese M, Levrini L, Reguzzoni M. Failed Orthodontic PEEK Retainer: A Scanning Electron Microscopy Analysis and a Possible Failure Mechanism in a Case Report. Dentistry Journal. 2024; 12(7):223. https://doi.org/10.3390/dj12070223
Chicago/Turabian StyleZecca, Piero Antonio, Salvatore Bocchieri, Andrea Carganico, Margherita Caccia, Rosamaria Fastuca, Marina Borgese, Luca Levrini, and Marcella Reguzzoni. 2024. "Failed Orthodontic PEEK Retainer: A Scanning Electron Microscopy Analysis and a Possible Failure Mechanism in a Case Report" Dentistry Journal 12, no. 7: 223. https://doi.org/10.3390/dj12070223
APA StyleZecca, P. A., Bocchieri, S., Carganico, A., Caccia, M., Fastuca, R., Borgese, M., Levrini, L., & Reguzzoni, M. (2024). Failed Orthodontic PEEK Retainer: A Scanning Electron Microscopy Analysis and a Possible Failure Mechanism in a Case Report. Dentistry Journal, 12(7), 223. https://doi.org/10.3390/dj12070223

