Clinical Improvement and P63-Deficiency Correction in OLP Patients After Photobiomodulation
Abstract
1. Introduction
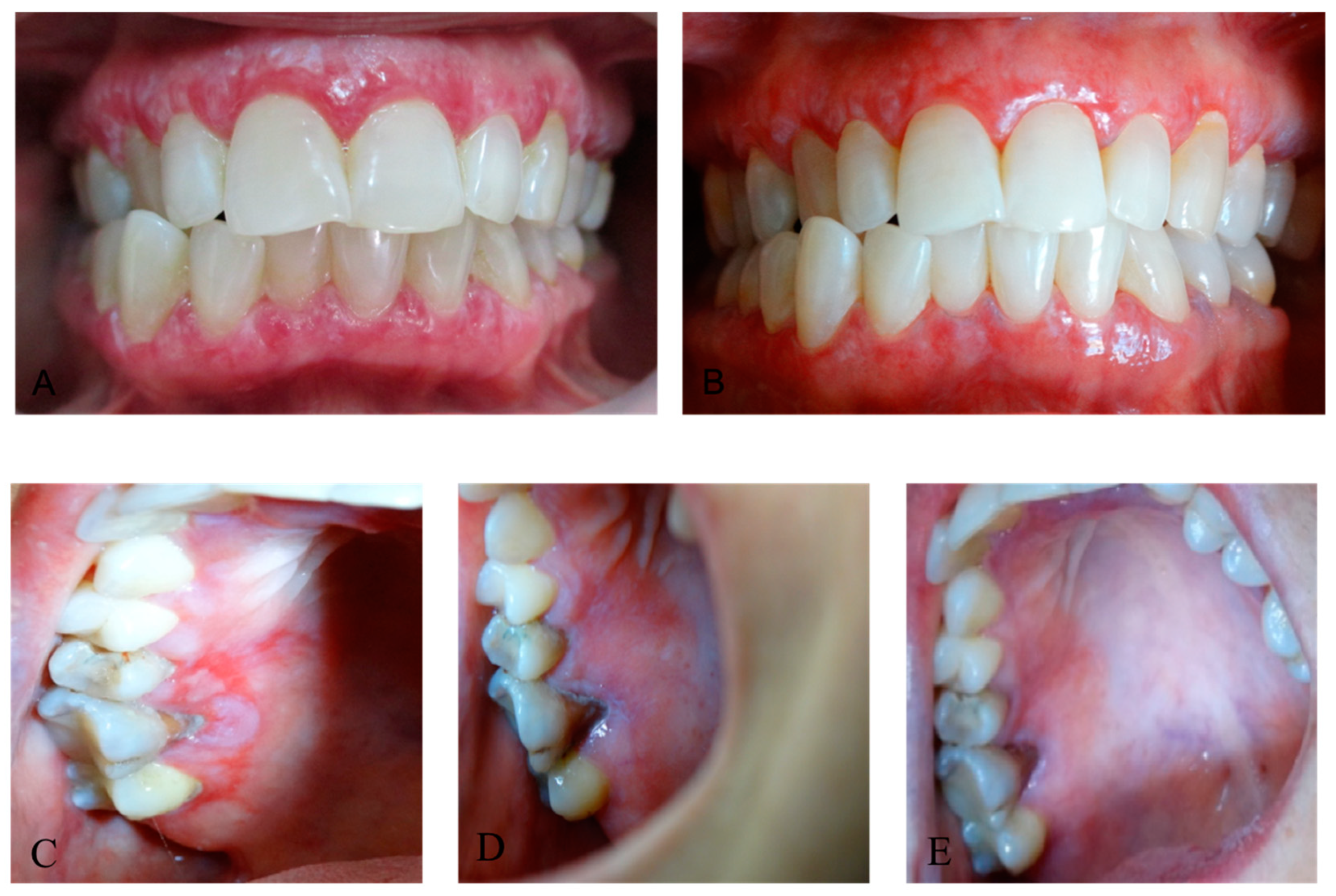
1.1. Clinical Characteristics of OLP
1.2. Etiopathogenesis
1.3. P63 Protein
1.4. P63 Expression in Patients with OLP
1.5. Treatment Modalities of OLP
1.6. Laser Therapy in OLP
2. Materials and Methods
2.1. Study Design
2.1.1. Research-Focused Questions
- Is the expression of the epidermal factor p63 pathologically altered in the epithelium of OLP lesions?
- Can immunohistochemistry analysis of p63 levels add value in understanding the pathogenesis of the disease?
- Is PBM therapy able to correct the established molecular disturbances?
2.1.2. Research Contingent
- Twenty patients, clinically and histologically diagnosed with different forms of oral lichen planus. All patients were first diagnosed with OLP, with no history of previous biopsy or treatment.
- Ten healthy volunteers.
2.1.3. Inclusion Criteria
- Patients with any kind of clinical forms of OLP—reticular, papular, plaque-like, atrophic, bullous, or erosive forms.
- OLP patients of both genders (female and male) aged ≥18 years old.
- Patients who reported pain or some degree of oral discomfort.
- Patients with a histologically confirmed diagnosis of OLP—the WHO’s modification of the criteria of Van der Meij [5] were applied to obtain a histological diagnosis of OLP: well-defined, band-like, predominately lymphocytic infiltrate, confined to the epithelium–lamina propria interface; basal cell liquefactive (hydropic) degeneration; and the absence of epithelial dysplasia.
- Patients agreed to comply with the study design.
- Age- and sex-matched healthy volunteers (without OLP or any other mucosal lesions) who needed any surgical procedure associated with tissue excision (mainly tooth extraction). Only tissues with no visible signs of inflammation were collected. Histological examination was then performed to confirm normal oral mucosa (NOM) (control group).
2.1.4. Exclusion Criteria
- Patients who have received local or systemic therapy (corticosteroids, non-steroidal anti-inflammatory drugs, or immunosuppressive agents) for this or any other autoimmune, inflammatory, or allergic comorbidity in the last month due to the risk of compromising the results.
- Patients with clinical presentation that resembles a lichenoid reaction—unilateral lesions with a direct topographic relationship to amalgam fillings/dental restoration(s), a history of a temporal association between the introduction of a drug and the onset of the disease, or history of past transplantation.
- Patients with dysplastic features
2.2. Incisional Biopsy with ER:YAG Laser
2.3. Treatment Protocol
2.4. Clinical Result Assessment Tools
- Treatment efficacy index (EI) [24].
- ⮚
- Healed: EI = 100%;
- ⮚
- Marked improvement: 75% ≤ EI < 100%;
- ⮚
- Moderate improvement: 25% ≤ EI < 75%;
- ⮚
- Mild improvement: 0 < EI < 25%;
- ⮚
- No improvement: EI = 0.
- ⮚
- VAS0 and VAS1 signify the pain score before and pain score after therapy, respectively;
- ⮚
- TSSS0 and TSSS1 signify clinical sign scores for lesions before and clinical sign scores for lesions after therapy, respectively;
- ⮚
- VAS [42] was used to measure the level of pain from 0 (“no pain”) to 10 (“extremely severe pain”), and the values were then categorized as follows: score 0: (VAS = 0); score 1: (0 < VAS ≤ 3); score 2: (3 < VAS ≤ 7); score 3: (7 < VAS ≤ 10).
- ⮚
- Clinical sign scores of the lesions according to the TSSS are as listed: score 0: no lesions; score 1: white striae only; score 2: white striae with atrophic area < 1 cm2; score 3: white striae with atrophic area > 1 cm2; score 4: white striae with erosive area < 1 cm2; score 5: white striae with erosive area > 1 cm2 [24,43].
2.5. Immunohistochemical Examination
2.6. Statistical Analysis
3. Results
3.1. Epidemiology Characteristics
3.2. Treatment Efficacy Evaluation
3.3. Immunohistochemical Analysis Results
4. Discussion
5. Conclusions
Author Contributions
Funding
Institutional Review Board Statement
Informed Consent Statement
Data Availability Statement
Conflicts of Interest
References
- Vicic, M.; Hlaca, N.; Kastelan, M.; Brajac, I.; Sotosek, V.; Prpic Massari, L. Comprehensive Insight into Lichen Planus Immunopathogenesis. Int. J. Mol. Sci. 2023, 24, 3038. [Google Scholar] [CrossRef] [PubMed]
- Mutafchieva, M.Z.; Draganova-Filipova, M.N.; Zagorchev, P.I.; Tomov, G.T. Oral Lichen Planus—Known and Unknown: A Review. Folia Med. 2018, 60, 528–535. [Google Scholar] [CrossRef] [PubMed]
- Cheng, Y.S.; Gould, A.; Kurago, Z.; Fantasia, J.; Muller, S. Diagnosis of oral lichen planus: A position paper of the American Academy of Oral and Maxillofacial Pathology. Oral Surg. Oral Med. Oral Pathol. Oral Radiol. 2016, 122, 332–354. [Google Scholar] [CrossRef] [PubMed]
- Kramer, I.R.; Lucas, R.B.; Pindborg, J.J.; Sobin, L.H. Definition of leukoplakia and related lesions: An aid to studies on oral precancer. Oral Surg. Oral Med. Oral Pathol. 1978, 46, 518–539. [Google Scholar]
- van der Meij, E.H.; van der Waal, I. Lack of clinicopathologic correlation in the diagnosis of oral lichen planus based on the presently available diagnostic criteria and suggestions for modifications. J. Oral Pathol. Med. 2003, 32, 507–512. [Google Scholar] [CrossRef]
- Warnakulasuriya, S.; Johnson, N.W.; van der Waal, I. Nomenclature and classification of potentially malignant disorders of the oral mucosa. J. Oral Pathol. Med. 2007, 36, 575–580. [Google Scholar] [CrossRef]
- Warnakulasuriya, S.; Kujan, O.; Aguirre-Urizar, J.M.; Bagan, J.V.; Gonzalez-Moles, M.A.; Kerr, A.R.; Lodi, G.; Mello, F.W.; Monteiro, L.; Ogden, G.R.; et al. Oral potentially malignant disorders: A consensus report from an international seminar on nomenclature and classification, convened by the WHO Collaborating Centre for Oral Cancer. Oral Dis. 2021, 27, 1862–1880. [Google Scholar] [CrossRef]
- Manchanda, Y.; Rathi, S.K.; Joshi, A.; Das, S. Oral Lichen Planus: An Updated Review of Etiopathogenesis, Clinical Presentation, and Management. Indian Dermatol. Online J. 2024, 15, 8–23. [Google Scholar] [CrossRef]
- Pansini, P.F.; do Valle, I.B.; Damasceno, T.C.D.; de Abreu, P.M.; Co, A.C.G.; Lopez, R.V.M.; Lenzi, J.; Rocha, R.M.; Souza, E.D.; Curado, M.P.; et al. Differential Expression of Potential Biomarkers of Oral Squamous Cell Carcinoma Development. Head Neck Pathol. 2021, 15, 1127–1136. [Google Scholar] [CrossRef]
- Sundberg, J.; Pandey, S.; Giglio, D.; Holmberg, E.; Kjeller, G.; Kovacs, A.; Sand, L.P.; Tokozlu, B.; Ohman, J.; Sapkota, D.; et al. Expression of p53, p63, podoplanin and Ki-67 in recurring versus non-recurring oral leukoplakia. Sci. Rep. 2021, 11, 20781. [Google Scholar] [CrossRef]
- Gonfloni, S.; Caputo, V.; Iannizzotto, V. P63 in health and cancer. Int. J. Dev. Biol. 2015, 59, 87–93. [Google Scholar] [CrossRef] [PubMed]
- Yang, A.; Schweitzer, R.; Sun, D.; Kaghad, M.; Walker, N.; Bronson, R.T.; Tabin, C.; Sharpe, A.; Caput, D.; Crum, C.; et al. p63 is essential for regenerative proliferation in limb, craniofacial and epithelial development. Nature 1999, 398, 714–718. [Google Scholar] [CrossRef] [PubMed]
- Mills, A.A.; Zheng, B.; Wang, X.J.; Vogel, H.; Roop, D.R.; Bradley, A. p63 is a p53 homologue required for limb and epidermal morphogenesis. Nature 1999, 398, 708–713. [Google Scholar] [CrossRef] [PubMed]
- Fisher, M.L.; Balinth, S.; Mills, A.A. p63-related signaling at a glance. J. Cell Sci. 2020, 133, jcs228015. [Google Scholar] [CrossRef]
- Rinne, T.; Brunner, H.G.; van Bokhoven, H. p63-associated disorders. Cell Cycle 2007, 6, 262–268. [Google Scholar] [CrossRef]
- Truong, A.B.; Kretz, M.; Ridky, T.W.; Kimmel, R.; Khavari, P.A. p63 regulates proliferation and differentiation of developmentally mature keratinocytes. Genes Dev. 2006, 20, 3185–3197. [Google Scholar] [CrossRef]
- Woodstock, D.L.; Sammons, M.A.; Fischer, M. p63 and p53: Collaborative Partners or Dueling Rivals? Front. Cell Dev. Biol. 2021, 9, 701986. [Google Scholar] [CrossRef]
- Ebrahimi, M.; Wahlin, Y.B.; Coates, P.J.; Wiik, A.; Roos, G.; Nylander, K. Detection of antibodies against p63 and p73 isoforms in sera from patients diagnosed with oral lichen planus. J. Oral Pathol. Med. 2007, 36, 93–98. [Google Scholar] [CrossRef]
- Ebrahimi, M.; Nylander, E.; Backlund, B.; Wahlin, Y.B.; Coates, P.J.; Nylander, K. The use of a novel ELISA method for detection of antibodies against p63 in sera from patients diagnosed with oral and/or genital and skin lichen planus. J. Oral Pathol. Med. 2010, 39, 486–490. [Google Scholar] [CrossRef]
- Feller, L.; Khammissa, R.A.G.; Lemmer, J. Is chronic ulcerative stomatitis a variant of lichen planus, or a distinct disease? J. Oral Pathol. Med. 2017, 46, 859–863. [Google Scholar] [CrossRef]
- Ebrahimi, M.; Boldrup, L.; Wahlin, Y.B.; Coates, P.J.; Nylander, K. Decreased expression of the p63 related proteins beta-catenin, E-cadherin and EGFR in oral lichen planus. Oral Oncol. 2008, 44, 634–638. [Google Scholar] [CrossRef] [PubMed]
- Ebrahimi, M.; Wahlin, Y.B.; Coates, P.J.; Sjostrom, B.; Nylander, K. Decreased expression of p63 in oral lichen planus and graft-vs.-host disease associated with oral inflammation. J. Oral Pathol. Med. 2006, 35, 46–50. [Google Scholar] [CrossRef] [PubMed]
- Sniezek, J.C.; Matheny, K.E.; Westfall, M.D.; Pietenpol, J.A. Dominant negative p63 isoform expression in head and neck squamous cell carcinoma. Laryngoscope 2004, 114, 2063–2072. [Google Scholar] [CrossRef] [PubMed]
- Pakfetrat, A.; Falaki, F.; Ahrari, F.; Bidad, S. Removal of refractory erosive-atrophic lichen planus by the CO2 laser. Oral Health Dent. Manag. 2014, 13, 595–599. [Google Scholar]
- Fornaini, C.; Raybaud, H.; Augros, C.; Rocca, J.P. New clinical approach for use of Er:YAG laser in the surgical treatment of oral lichen planus: A report of two cases. Photomed. Laser Surg. 2012, 30, 234–238. [Google Scholar] [CrossRef]
- Akbulut, N.; Kursun, E.S.; Tumer, M.K.; Kamburoglu, K.; Gulsen, U. Is the 810-nm diode laser the best choice in oral soft tissue therapy? Eur. J. Dent. 2013, 7, 207–211. [Google Scholar] [CrossRef]
- Hamblin, M.R. Mechanisms and applications of the anti-inflammatory effects of photobiomodulation. AIMS Biophys. 2017, 4, 337–361. [Google Scholar] [CrossRef]
- Peralta-Mamani, M.; Silva, B.M.D.; Honorio, H.M.; Rubira-Bullen, I.R.F.; Hanna, R.; Silva, P. Clinical Efficacy of Photodynamic Therapy in Management of Oral Potentially Malignant Disorders: A Systematic Review and Meta-Analysis. J. Evid.-Based Dent. Pract. 2024, 24, 101899. [Google Scholar] [CrossRef]
- Khan, I.; Arany, P. Biophysical Approaches for Oral Wound Healing: Emphasis on Photobiomodulation. Adv. Wound Care 2015, 4, 724–737. [Google Scholar] [CrossRef]
- Hanna, R.; Bensadoun, R.J.; Beken, S.V.; Burton, P.; Carroll, J.; Benedicenti, S. Outpatient Oral Neuropathic Pain Management with Photobiomodulation Therapy: A Prospective Analgesic Pharmacotherapy-Paralleled Feasibility Trial. Antioxidants 2022, 11, 533. [Google Scholar] [CrossRef]
- Hanna, R.; Miron, I.C.; Benedicenti, S. A Novel Therapeutic Approach of 980 nm Photobiomodulation Delivered with Flattop Beam Profile in Management of Recurrent Aphthous Stomatitis in Paediatrics and Adolescents—A Case Series with 3-Month Follow-Up. J. Clin. Med. 2024, 13, 2007. [Google Scholar] [CrossRef]
- Iranpour, B.; Mohammadi, K.; Hodjat, M.; Hakimiha, N.; Sayar, F.; Kharazi Fard, M.J.; Sadatmansouri, S.; Hanna, R. An evaluation of photobiomodulation effects on human gingival fibroblast cells under hyperglycemic condition: An in vitro study. Lasers Med. Sci. 2023, 39, 9. [Google Scholar] [CrossRef] [PubMed]
- Sperandio, F.F.; Simoes, A.; Correa, L.; Aranha, A.C.; Giudice, F.S.; Hamblin, M.R.; Sousa, S.C. Low-level laser irradiation promotes the proliferation and maturation of keratinocytes during epithelial wound repair. J. Biophotonics 2015, 8, 795–803. [Google Scholar] [CrossRef]
- Ruiz Roca, J.A.; Lopez Jornet, P.; Gomez Garcia, F.J.; Marcos Aroca, P. Effect of Photobiomodulation on Atrophic-Erosive Clinical Forms of Oral Lichen Planus: A Systematic Review. Dent. J. 2022, 10, 221. [Google Scholar] [CrossRef] [PubMed]
- Mutafchieva, M.Z.; Draganova-Filipova, M.N.; Zagorchev, P.I.; Tomov, G.T. Effects of Low Level Laser Therapy on Erosive-atrophic Oral Lichen Planus. Folia Med. 2018, 60, 417–424. [Google Scholar] [CrossRef] [PubMed]
- Del Vecchio, A.; Palaia, G.; Grassotti, B.; Tenore, G.; Ciolfi, C.; Podda, G.; Impellizzeri, A.; Mohsen, A.; Galluccio, G.; Romeo, U. Effects of laser photobiomodulation in the management of oral lichen planus: A literature review. Clin. Ter. 2021, 172, 467–483. [Google Scholar] [CrossRef]
- Mohamed, R.K.; Elsayed, N.M.; Mahmoud, S.A.; Gaweesh, Y.Y. Photobiomodulation versus corticosteroid in the management of erosive oral lichen planus: A randomized controlled clinical trial. BMC Oral Health 2024, 24, 246. [Google Scholar] [CrossRef]
- Ferri, E.P.; Cunha, K.R.L.; Abboud, C.S.; de Barros Gallo, C.; de Sousa Sobral, S.; de Fatima Teixeira da Silva, D.; Horliana, A.; Franco, A.L.; Rodrigues, M. Photobiomodulation is effective in oral lichen planus: A randomized, controlled, double-blind study. Oral Dis. 2021, 27, 1205–1216. [Google Scholar] [CrossRef]
- Nammour, S.; El Mobadder, M.; Brugnera, A.J.; Namour, M.; Houeis, S.; Heysselaer, D.; Vanheusden, A.; Namour, A. Photobiomodulation Therapy vs. Corticosteroid for the Management of Erosive/Ulcerative and Painful Oral Lichen Planus. Assessment of Success Rate during One-Year Follow-Up: A Retrospective Study. Healthcare 2021, 9, 1137. [Google Scholar] [CrossRef]
- Wang, T.; Song, Y.; Yang, L.; Liu, W.; He, Z.; Shi, Y.; Song, B.; Yu, Z. Photobiomodulation Facilitates Rat Cutaneous Wound Healing by Promoting Epidermal Stem Cells and Hair Follicle Stem Cells Proliferation. Tissue Eng. Regen. Med. 2024, 21, 65–79. [Google Scholar] [CrossRef]
- Dias, K.B.; Costa Flores, A.P.; Oliveira, M.G.; Rados, P.V. Predictive Value of p63, ki-67, and Survivin Expression in Oral Leukoplakia: A Tissue Microarray Study. Microsc Res Tech. 2017, 80, 845–850. [Google Scholar] [CrossRef] [PubMed]
- DeLoach, L.J.; Higgins, M.S.; Caplan, A.B.; Stiff, J.L. The visual analog scale in the immediate postoperative period: Intrasubject variability and correlation with a numeric scale. Anesth. Analg. 1998, 86, 102–106. [Google Scholar] [CrossRef] [PubMed]
- Thongprasom, K.; Luangjarmekorn, L.; Sererat, T.; Taweesap, W. Relative efficacy of fluocinolone acetonide compared with triamcinolone acetonide in treatment of oral lichen planus. J. Oral Pathol. Med. 1992, 21, 456–458. [Google Scholar] [CrossRef]
- Chaithanya, K.; Jangam, A.G.; Deepthi, S. Comparative Evaluation of Imunohistochemical Expression of Ki-67 in Oral Lichen Planus, Oral Leukoplakia and Normal Mucosa Cases. J. Int. Oral Health 2015, 7, 82. [Google Scholar]
- Hall, P.A.; McKee, P.H.; Menage, H.D.; Dover, R.; Lane, D.P. High levels of p53 protein in UV-irradiated normal human skin. Oncogene 1993, 8, 203–207. [Google Scholar] [PubMed]
- Liefer, K.M.; Koster, M.I.; Wang, X.J.; Yang, A.; McKeon, F.; Roop, D.R. Down-regulation of p63 is required for epidermal UV-B-induced apoptosis. Cancer Res. 2000, 60, 4016–4020. [Google Scholar]
- Carroll, D.K.; Carroll, J.S.; Leong, C.O.; Cheng, F.; Brown, M.; Mills, A.A.; Brugge, J.S.; Ellisen, L.W. p63 regulates an adhesion programme and cell survival in epithelial cells. Nat. Cell Biol. 2006, 8, 551–561. [Google Scholar] [CrossRef]
- Graziano, V.; De Laurenzi, V. Role of p63 in cancer development. Biochim. Biophys. Acta 2011, 1816, 57–66. [Google Scholar] [CrossRef]
- Sinha, A.; Chandra, S.; Raj, V.; Zaidi, I.; Saxena, S.; Dwivedi, R. Expression of p63 in potentially malignant and malignant oral lesions. J. Oral Biol. Craniofac Res. 2015, 5, 165–172. [Google Scholar] [CrossRef]
- Mutafchieva, M.D.-F.M.; Zagorchev, P.; Tomov, G. Ин витрo ефекти на диoден лазер (810 nm). Дoзoметрия [In vitro effects of Diod laser (810 nm). Dosimetry]. Bulg. Dent. Assoc. Online Mag. 2017, 1, 31–38. [Google Scholar]
- Khan, I.; Rahman, S.U.; Tang, E.; Engel, K.; Hall, B.; Kulkarni, A.B.; Arany, P.R. Accelerated burn wound healing with photobiomodulation therapy involves activation of endogenous latent TGF-beta1. Sci. Rep. 2021, 11, 13371. [Google Scholar] [CrossRef]
- Azzi, L.; Cerati, M.; Lombardo, M.; Pellilli, M.; Croveri, F.; Maurino, V.; Tagliabue, A.; Tettamanti, L.; Olszewska, M. Chronic ulcerative stomatitis: A comprehensive review and proposal for diagnostic criteria. Oral Dis. 2019, 25, 1465–1491. [Google Scholar] [CrossRef] [PubMed]






| Gender | Age | Clinical form | Localization | ||||
|---|---|---|---|---|---|---|---|
| Variable | n (%) | Variable | n (%) | Variable | n (%) | Variable | n (%) |
| male | 3 (15%) | <30 | 1 (5%) | reticular | 6 (30%) | buccal mucosa | 14 (70%) |
| female | 17 (85%) | 31–40 | 2 (10%) | papular | 1 (5%) | tongue | 7 (35%) |
| 41–50 | 7 (35%) | plaque-like | 2 (10%) | labial mucosa | 4 (20%) | ||
| 51–60 | 3 (15%) | atrophic | 5 (25%) | gingiva | 10 (50%) | ||
| >61 | 7 (35%) | erosive | 5 (25%) | palate | 2 (10%) | ||
| bullous | 1 (5%) | ||||||
Disclaimer/Publisher’s Note: The statements, opinions and data contained in all publications are solely those of the individual author(s) and contributor(s) and not of MDPI and/or the editor(s). MDPI and/or the editor(s) disclaim responsibility for any injury to people or property resulting from any ideas, methods, instructions or products referred to in the content. |
© 2024 by the authors. Licensee MDPI, Basel, Switzerland. This article is an open access article distributed under the terms and conditions of the Creative Commons Attribution (CC BY) license (https://creativecommons.org/licenses/by/4.0/).
Share and Cite
Mutafchieva, M.Z.; Draganova, M.N.; Yaneva, B.K.; Zagorchev, P.I.; Tomov, G.T. Clinical Improvement and P63-Deficiency Correction in OLP Patients After Photobiomodulation. Dent. J. 2024, 12, 338. https://doi.org/10.3390/dj12110338
Mutafchieva MZ, Draganova MN, Yaneva BK, Zagorchev PI, Tomov GT. Clinical Improvement and P63-Deficiency Correction in OLP Patients After Photobiomodulation. Dentistry Journal. 2024; 12(11):338. https://doi.org/10.3390/dj12110338
Chicago/Turabian StyleMutafchieva, Maria Zaharieva, Milena Nenkova Draganova, Blagovesta Konstantinova Yaneva, Plamen Ivanov Zagorchev, and Georgi Tomchev Tomov. 2024. "Clinical Improvement and P63-Deficiency Correction in OLP Patients After Photobiomodulation" Dentistry Journal 12, no. 11: 338. https://doi.org/10.3390/dj12110338
APA StyleMutafchieva, M. Z., Draganova, M. N., Yaneva, B. K., Zagorchev, P. I., & Tomov, G. T. (2024). Clinical Improvement and P63-Deficiency Correction in OLP Patients After Photobiomodulation. Dentistry Journal, 12(11), 338. https://doi.org/10.3390/dj12110338

