The Effects of Antimicrobial Photodynamic Therapy Used to Sterilize Carious Dentin on Rat Dental Pulp Tissue
Abstract
:1. Introduction
2. Materials and Methods
2.1. Animals
2.2. Materials and Experimental Groups
2.3. Specimen Preparation
2.4. Perfusion Fixation
2.5. Preparation of Serial Thin Sections
2.6. Histological Evaluation
- ▪
- PTD
- ▪
- ICI
- ▪
- TDF
2.7. Immunostaining and Observation
2.8. Measurement of the Remaining Dentin Thickness
2.9. Statistical Analysis
3. Results
3.1. Thinnest Diameter of the Remaining Dentin
3.2. Results of the Histopathological Evaluation
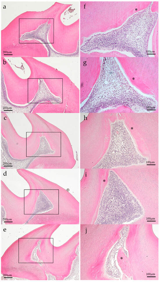
3.3. Histopathological Observation
3.4. Immunohistochemical Observation
4. Discussion
5. Conclusions
Author Contributions
Funding
Institutional Review Board Statement
Informed Consent Statement
Data Availability Statement
Conflicts of Interest
References
- Coleton, S. Lasers in surgical periodontics and oral medicine. Dent. Clin. N. Am. 2004, 48, 937–962. [Google Scholar] [CrossRef]
- Cieplik, F.; Deng, D.; Crielaard, W.; Buchalla, W.; Hellwig, E.; Al-Ahmad, A.; Maisch, T. Antimicrobial photodynamic therapy—What we know and what we don’t. Crit. Rev. Microbiol. 2018, 44, 571–589. [Google Scholar] [CrossRef]
- Gursoy, H.; Ozcakir-Tomruk, C.; Tanalp, J.; Yilmaz, S. Photodynamic therapy in dentistry: A literature review. Clin. Oral Investig. 2013, 17, 1113–1125. [Google Scholar] [CrossRef]
- Marotti, J.; Tortamano, P.; Cai, S.; Ribeiro, M.S.; Franco, J.E.; de Campos, T.T. Decontamination of dental implant surfaces by means of photodynamic therapy. Lasers Med. Sci. 2013, 28, 303–309. [Google Scholar] [CrossRef] [PubMed]
- Rahman, B.; Acharya, A.B.; Siddiqui, R.; Verron, E.; Badran, Z. Photodynamic therapy for peri-implant diseases. Antibiotics 2022, 11, 918. [Google Scholar] [CrossRef] [PubMed]
- Katsikanis, F.; Strakas, D.; Vouros, I. The application of antimicrobial photodynamic therapy (aPDT, 670 nm) and diode laser (940 nm) as adjunctive approach in the conventional cause-related treatment of chronic periodontal disease: A randomized controlled split-mouth clinical trial. Clin. Oral Investig. 2020, 24, 1821–1827. [Google Scholar] [CrossRef] [PubMed]
- Cheng, X.; Guan, S.; Lu, H.; Zhao, C.; Chen, X.; Li, N.; Bai, Q.; Tian, Y.; Yu, Q. Evaluation of the bactericidal effect of Nd: YAG. Lasers Surg. Med. Er YAG 2012, 44, 824–831. [Google Scholar] [CrossRef]
- Stájer, A.; Kajári, S.; Gajdács, M.; Musah-Eroje, A.; Baráth, Z. Utility of photodynamic therapy in dentistry: Current concepts. Dent. J. 2020, 8, 43. [Google Scholar] [CrossRef] [PubMed]
- Nagai, Y.; Suzuki, A.; Katsuragi, H.; Shinkai, K. Effect of antimicrobial photodynamic therapy (aPDT) on the sterilization of infected dentin in vitro. Odontology 2018, 106, 154–161. [Google Scholar] [CrossRef]
- Yoshii, D.; Katsuragi, H.; Shinkai, K. Bactericidal effect of antimicrobial photodynamic therapy (aPDT) on dentin plate infected with Lactobacillus acidophilus. Odontology 2021, 109, 67–75. [Google Scholar] [CrossRef]
- Lima, J.P.; Sampaio de Melo, M.A.; Borges, F.M.; Teixeira, A.H.; Steiner-Oliveira, C.; Nobre Dos Santos, M.; Rodrigues, L.K.; Zanin, I.C. Evaluation of the antimicrobial effect of photodynamic antimicrobial therapy in an in situ model of dentine caries. Eur. J. Oral Sci. 2009, 117, 568–574. [Google Scholar] [CrossRef]
- Ahrari, F.; Shahabi, M.; Fekrazad, R.; Eslami, N.; Mazhari, F.; Ghazvini, K.; Emrani, N. Antimicrobial photodynamic therapy of Lactobacillus acidophilus by indocyanine green and 810-nm diode laser. Photodiagn. Photodyn. Ther. 2018, 24, 145–149. [Google Scholar] [CrossRef] [PubMed]
- Orhan, A.I.; Oz, F.T.; Ozcelik, B.; Orhan, K. A clinical and microbiological comparative study of deep carious lesion treatment in deciduous and young permanent molars. Clin. Oral Investig. 2008, 12, 369–378. [Google Scholar] [CrossRef] [PubMed]
- Hayashi, M.; Fujitani, M.; Yamaki, C.; Momoi, Y. Ways of enhancing pulp preservation by stepwise excavation—A systematic review. J. Dent. 2011, 39, 95–107. [Google Scholar] [CrossRef] [PubMed]
- Asgary, S.; Hassanizadeh, R.; Torabzadeh, H.; Eghbal, M.J. Treatment outcomes of 4 vital pulp therapies in mature molars. J. Endod. 2018, 44, 529–535. [Google Scholar] [CrossRef] [PubMed]
- Tong, H.J.; Seremidi, K.; Stratigaki, E.; Kloukos, D.; Duggal, M.; Gizani, S. Deep dentine caries management of immature permanent posterior teeth with vital pulp: A systematic review and meta-analysis. J. Dent. 2022, 124, 104214. [Google Scholar] [CrossRef] [PubMed]
- Yazdanfar, I.; Gutknecht, N.; Franzen, R. Effects of diode laser on direct pulp capping treatment: A pilot study. Lasers Med. Sci. 2015, 30, 1237–1243. [Google Scholar] [CrossRef]
- Li, W.; Huang, D.; Zhang, Y.; Liu, Y.; Gu, Y.; Qian, Z. Real-time monitoring of singlet oxygen and oxygen partial pressure during the deep photodynamic therapy in vitro. Ann. Biomed. Eng. 2016, 44, 2737–2745. [Google Scholar] [CrossRef]
- Diniz, I.M.; Horta, I.D.; Azevedo, C.S.; Elmadjian, T.R.; Matos, A.B.; Simionato, M.R.; Marques, M.M. Antimicrobial photodynamic therapy: A promise candidate for caries lesions treatment. Photodiagn. Photodyn. Ther. 2015, 12, 511–518. [Google Scholar] [CrossRef]
- Otsuki, M.; Kijima, M.; Tagami, J. Transmission of diode laser through dentin. J. Jpn. Soc. Laser Dent. 2010, 21, 18–21. [Google Scholar] [CrossRef]
- Nammour, S.; Zeinoun, T.; Bogaerts, I.; Lamy, M.; Geerts, S.O.; Bou Saba, S.; Lamard, L.; Peremans, A.; Limme, M. Evaluation of dental pulp temperature rise during photo-activated decontamination (PAD) of caries: An in vitro study. Lasers Med. Sci. 2010, 25, 651–654. [Google Scholar] [CrossRef]
- Mirzaie, M.; Yassini, E.; Ashnagar, S.; Hadadi, A.; Chiniforush, N. Evaluation of temperature change during antimicrobial photodynamic therapy with two different photosensitizers in dental caries. Photodiagn. Photodyn. Ther. 2016, 14, 115–118. [Google Scholar] [CrossRef] [PubMed]
- Lau, X.E.; Liu, X.; Chua, H.; Wang, W.J.; Dias, M.; Choi, J.J.E. Heat generated during dental treatments affecting intrapulpal temperature: A review. Clin. Oral Investig. 2023, 27, 2277–2297. [Google Scholar] [CrossRef] [PubMed]
- Miyata, S.; Miyaji, H.; Kawasaki, H.; Yamamoto, M.; Nishida, E.; Takita, H.; Akasaka, T.; Ushijima, N.; Iwanaga, T.; Sugaya, T. Antimicrobial photodynamic activity and cytocompatibility of Au25(Capt)18 clusters photoexcited by blue LED light irradiation. Int. J. Nanomed. 2017, 12, 2703–2716. [Google Scholar] [CrossRef] [PubMed]
- Ateş, G.B.; Ak, A.; Garipcan, B.; Gülsoy, M. Ak Methylene blue mediated photobiomodulation on human osteoblast cells. Lasers Med. Sci. 2017, 32, 1847–1855. [Google Scholar] [CrossRef]
- Diniz, I.M.; Teixeira, K.I.; Araújo, P.V.; Araújo, M.S.; Marques, M.M.; Poletto, L.T.; Cortés, M.E. Evaluation of antibacterial photodynamic therapy effects on human dental pulp cell cultures. Photodiagn. Photodyn. Ther. 2014, 11, 300–306. [Google Scholar] [CrossRef] [PubMed]
- Nogueira, A.C.; Graciano, A.X.; Nagata, J.Y.; Fujimaki, M.; Terada, R.S.; Bento, A.C.; Astrath, N.G.; Baesso, M.L. Photosensitizer and light diffusion through dentin in photodynamic therapy. J. Biomed. Opt. 2013, 18, 55004. [Google Scholar] [CrossRef] [PubMed]
- George, S.; Kishen, A. Photophysical, photochemical, and photobiological characterization of methylene blue formulations for light-activated root canal disinfection. J. Biomed. Opt. 2007, 12, 034029. [Google Scholar] [CrossRef]
- Kosarieh, E.; Khavas, S.S.; Rahimi, A.; Chiniforush, N.; Gutknecht, N. The comparison of penetration depth of two different photosensitizers in root canals with and without smear layer: An in vitro study. Photodiagn. Photodyn. Ther. 2016, 13, 10–14. [Google Scholar] [CrossRef]
- de Alencar Mollo, M.; Frigo, L.; Favero, G.M.; Lopes-Martins, R.A.; Brugnera Junior, A. In vitro analysis of human tooth pulp chamber temperature after low-intensity laser therapy at different power outputs. Lasers Med. Sci. 2011, 26, 143–147. [Google Scholar] [CrossRef]
- Moreira, M.S.; Diniz, I.M.; Rodrigues, M.F.; de Carvalho, R.A.; de Almeida Carrer, F.C.; Neves, I.I.; Gavini, G.; Marques, M.M. In vivo experimental model of orthotopic dental pulp regeneration under the influence of photobiomodulation therapy. J. Photochem. Photobiol. B 2017, 166, 180–186. [Google Scholar] [CrossRef]
- Yong, J.; Gröger, S.; Wu, Z.; Ruf, S.; Ye, Y.; Chen, X. Photobiomodulation therapy and pulp-regenerative endodontics: A narrative review. Bioengineering 2023, 10, 371. [Google Scholar] [CrossRef]
- Passarella, S.; Karu, T. Absorption of monochromatic and narrow band radiation in the visible and near IR by both mitochondrial and non-mitochondrial photoacceptors results in photobiomodulation. J. Photochem. Photobiol. B 2014, 140, 344–358. [Google Scholar] [CrossRef] [PubMed]
- Kreisler, M.; Al-Haj, H.; D’Hoedt, B. Intrapulpal temperature changes during root surface irradiation with an 809-nm GaAlAs laser. Oral Surg. Oral Med. Oral Pathol. Oral Radiol. Endod. 2002, 93, 730–735. [Google Scholar] [CrossRef] [PubMed]
- Guzhova, I.; Margulis, B. Hsp70 chaperone as a survival factor in cell pathology. Int. Rev. Cytol. 2006, 254, 101–149. [Google Scholar] [CrossRef] [PubMed]
- Eisenberg, E.; Greene, L.E. Multiple roles of auxilin and hsc70 in clathrin-mediated endocytosis. Traffic 2007, 8, 640–646. [Google Scholar] [CrossRef] [PubMed]
- Covas, D.T.; Panepucci, R.A.; Fontes, A.M.; Silva, W.A.; Orellana, M.D.; Freitas, M.C.; Neder, L.; Santos, A.R.; Peres, L.C.; Jamur, M.C.; et al. Multipotent mesenchymal stromal cells obtained from diverse human tissues share functional properties and gene-expression profile with CD146+ perivascular cells and fibroblasts. Exp. Hematol. 2008, 36, 642–654. [Google Scholar] [CrossRef]
- Russell, K.C.; Phinney, D.G.; Lacey, M.R.; Barrilleaux, B.L.; Meyertholen, K.E.; O’Connor, K.C. In vitro high-capacity assay to quantify the clonal heterogeneity in trilineage potential of mesenchymal stem cells reveals a complex hierarchy of lineage commitment. Stem Cells 2010, 28, 788–798. [Google Scholar] [CrossRef]





| Materials | Composition | Lot | Manufacturer |
|---|---|---|---|
| BeautiBond Xtreme | Acetone, purified water, Bis-GMA, carboxylic acid monomers, TEGDMA, phosphate monomers, silane coupling materials, and others | 012117 | Shofu |
| Beautifil Flow Plus X F00 | Glass powder, Bis-GMA, Bis-MPEPP, TEGDMA, reaction initiators, colorants, and others | 072152 | Shofu |
| Group | Laser Power/Irradiation Times | PS |
|---|---|---|
| Control | Not applicable | Not applicable |
| Group 1 | 100 mW/60 s | MB |
| Group 2 | 100 mW/60 s | BB |
| Group 3 | 50 mW/120 s | BB |
| Group 4 | 200 mW/30 s | BB |
| Group | Day 1 | Day 14 |
|---|---|---|
| Control | 175.1 (59.1), 170.3 (101/257) | 205.7 (54.5), 197.9 (133/310) |
| Group 1 | 218.3 (76.2), 220.3 (131/346) | 234.7 (39.5), 240.9 (184/277) |
| Group 2 | 180.6 (39.6), 170.1 (150/260) | 198.1 (63.4), 197.2 (124/264) |
| Group 3 | 239.0 (23.5), 244.5 (205/268) | 242.9 (19.0), 247.0 (216/264) |
| Group 4 | 240.3 (19.5), 238.3 (210/266) | 251.9 (15.2), 253.6 (231/267) |
Disclaimer/Publisher’s Note: The statements, opinions and data contained in all publications are solely those of the individual author(s) and contributor(s) and not of MDPI and/or the editor(s). MDPI and/or the editor(s) disclaim responsibility for any injury to people or property resulting from any ideas, methods, instructions or products referred to in the content. |
© 2023 by the authors. Licensee MDPI, Basel, Switzerland. This article is an open access article distributed under the terms and conditions of the Creative Commons Attribution (CC BY) license (https://creativecommons.org/licenses/by/4.0/).
Share and Cite
Takahashi, T.; Sato, F.; Shinkai, K. The Effects of Antimicrobial Photodynamic Therapy Used to Sterilize Carious Dentin on Rat Dental Pulp Tissue. Dent. J. 2023, 11, 283. https://doi.org/10.3390/dj11120283
Takahashi T, Sato F, Shinkai K. The Effects of Antimicrobial Photodynamic Therapy Used to Sterilize Carious Dentin on Rat Dental Pulp Tissue. Dentistry Journal. 2023; 11(12):283. https://doi.org/10.3390/dj11120283
Chicago/Turabian StyleTakahashi, Tenyu, Fumiaki Sato, and Koichi Shinkai. 2023. "The Effects of Antimicrobial Photodynamic Therapy Used to Sterilize Carious Dentin on Rat Dental Pulp Tissue" Dentistry Journal 11, no. 12: 283. https://doi.org/10.3390/dj11120283
APA StyleTakahashi, T., Sato, F., & Shinkai, K. (2023). The Effects of Antimicrobial Photodynamic Therapy Used to Sterilize Carious Dentin on Rat Dental Pulp Tissue. Dentistry Journal, 11(12), 283. https://doi.org/10.3390/dj11120283
