Absence of TFE3 Immunoexpression in a Spectrum of Cutaneous Mixed Tumors: A Retrospective Pilot Study
Abstract
:1. Introduction
2. Materials and Methods
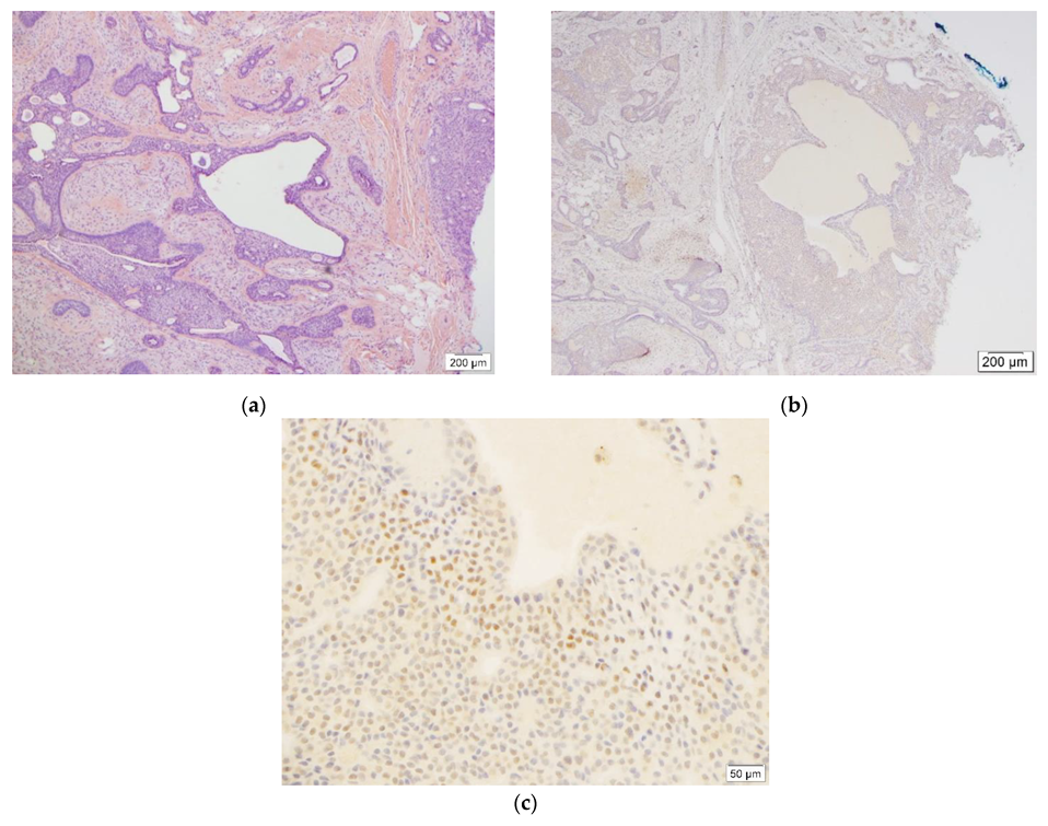
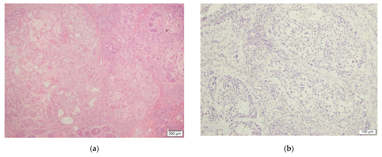
3. Results
4. Discussion
Supplementary Materials
Author Contributions
Funding
Institutional Review Board Statement
Informed Consent Statement
Data Availability Statement
Acknowledgments
Conflicts of Interest
References
- Pinto, K.R. Chetty, Gene of the month: TFE 3. J Clin Pathol 2020, 73, 691–694. [Google Scholar] [CrossRef] [PubMed]
- Panagopoulos, I.; Gorunova, L.; Lund-Iversen, M.; Bassarova, A.; Heim, S. Fusion of the Genes PHF1 and TFE3 in Malignant Chondroid Syringoma. Cancer Genom. Proteom. 2019, 16, 345–351. [Google Scholar] [CrossRef] [PubMed] [Green Version]
- Patterson, J.W. Tumors of Cutaneous Appendages in Weedon’s Skin Pathology; Elsevier: Amsterdam, The Netherlands, 2019; pp. 997, 998, 1004. [Google Scholar]
- Panagopoulos, I.; Gorunova, L.; Andersen, K.; Lund-Iversen, M.; Lobmaier, I.; Micci, F.; Heim, S. NDRG1-PLAG1 and TRPS1-PLAG1 Fusion Genes in Chondroid Syringoma. Cancer Genom. Proteom. 2020, 17, 237–248. [Google Scholar] [CrossRef] [PubMed]
- Matsuyama, A.; Hisaoka, M.; Hashimoto, H. PLAG1 expression in cutaneous mixed tumors: An immunohistochemical and molecular genetic study. Virchows Arch. 2011, 459, 539–545. [Google Scholar] [CrossRef] [PubMed]
- Bahrami, A.; Dalton, J.D.; Krane, J.F.; Fletcher, C.D. A subset of cutaneous and soft tissue mixed tumors are genetically linked to their salivary gland counterpart. Genes Chromosomes Cancer 2012, 51, 140–148. [Google Scholar] [CrossRef] [PubMed] [Green Version]
- Mentzel, T.; Requena, L.; Kaddu, S.; Soares de Aleida, L.M.; Sangueza, O.P.; Kutzner, H. Cutaneous myoepithelial neoplasms: Clinicopathologic and immunohistochemical study of 20 cases suggesting a continuous spectrum ranging from benign mixed tumor of the skin to cutaneous myoepithelioma and myoepithelial carcinoma. J. Cutan. Pathol. 2003, 30, 294–302. [Google Scholar] [CrossRef] [PubMed]
- Antonescu, C.R.; Zhang, L.; Shao, S.Y.; Mosquera, J.M.; Weinreb, I.; Katabi, N.; Fletcher, C.D. Frequent PLAG1 gene rearrangements in skin and soft tissue myoepithelioma with ductal differentiation. Genes Chromosomes Cancer 2013, 52, 675–682. [Google Scholar] [PubMed] [Green Version]
- Hofvander, J.; Jo, V.Y.; Fletcher, C.D.; Puls, F.; Flucke, U.; Nilsson, J.; Magnusson, L.; Mertens, F. PHF1 fusions cause distinct gene expression and chromatin accessibility profiles in ossifying fibromyxoid tumors and mesenchymal cells. Mod. Pathol. 2020, 33, 1331–1340. [Google Scholar] [CrossRef] [PubMed]



| Category | Case Number | Age | Gender | Biopsy Site | Treatment/Follow-Up |
|---|---|---|---|---|---|
| Benign | 1 | 66 | Male | Scalp | Complete excision/No recurrence for 51 months |
| 2 | 25 | Female | Upper lip | Complete excision/No recurrence for 54 months | |
| 3 | 32 | Male | Nasal area | Complete excision/Recurrence on 15th month | |
| 4 | 74 | Female | Right lateral eyebrow | Complete excision/Not available | |
| 5 | 65 | Male | Right upper forehead | Complete excision/No recurrence for 43 months | |
| 6 | 44 | Male | Left chin | Complete excision/No recurrence for 12 months | |
| 7 | 52 | Female | Left nasal ala | Complete excision/Not available | |
| 8 | 38 | Male | Right nasal skin area | Complete excision/No recurrence for 11 months | |
| 9 | 39 | Female | Right lateral shin | Complete excision/No recurrence for 6 months | |
| 10 | 34 | Female | Right parietal scalp | Complete excision/No recurrence for 6 months | |
| 11 | 51 | Male | Forehead | Complete excision/No recurrence for 34 months | |
| Atypical | 12 | 61 | Male | Right cheek | Complete excision/No recurrence for 11 months |
| Malignant | 13 | 82 | Female | Right dorsal hand | Complete excision/No recurrence for 3 months |
Publisher’s Note: MDPI stays neutral with regard to jurisdictional claims in published maps and institutional affiliations. |
© 2022 by the authors. Licensee MDPI, Basel, Switzerland. This article is an open access article distributed under the terms and conditions of the Creative Commons Attribution (CC BY) license (https://creativecommons.org/licenses/by/4.0/).
Share and Cite
Zengin, H.B.; Yildiz, B.; Pukhalskaya, T.; Smoller, B.R. Absence of TFE3 Immunoexpression in a Spectrum of Cutaneous Mixed Tumors: A Retrospective Pilot Study. Dermatopathology 2022, 9, 48-53. https://doi.org/10.3390/dermatopathology9010008
Zengin HB, Yildiz B, Pukhalskaya T, Smoller BR. Absence of TFE3 Immunoexpression in a Spectrum of Cutaneous Mixed Tumors: A Retrospective Pilot Study. Dermatopathology. 2022; 9(1):48-53. https://doi.org/10.3390/dermatopathology9010008
Chicago/Turabian StyleZengin, Hatice B., Bahadir Yildiz, Tatsiana Pukhalskaya, and Bruce R. Smoller. 2022. "Absence of TFE3 Immunoexpression in a Spectrum of Cutaneous Mixed Tumors: A Retrospective Pilot Study" Dermatopathology 9, no. 1: 48-53. https://doi.org/10.3390/dermatopathology9010008
APA StyleZengin, H. B., Yildiz, B., Pukhalskaya, T., & Smoller, B. R. (2022). Absence of TFE3 Immunoexpression in a Spectrum of Cutaneous Mixed Tumors: A Retrospective Pilot Study. Dermatopathology, 9(1), 48-53. https://doi.org/10.3390/dermatopathology9010008

