An Ecchymosis with Fulminant Evolution
Abstract
:1. Introduction
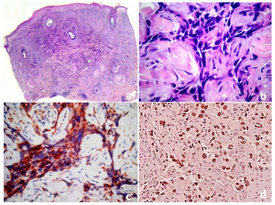
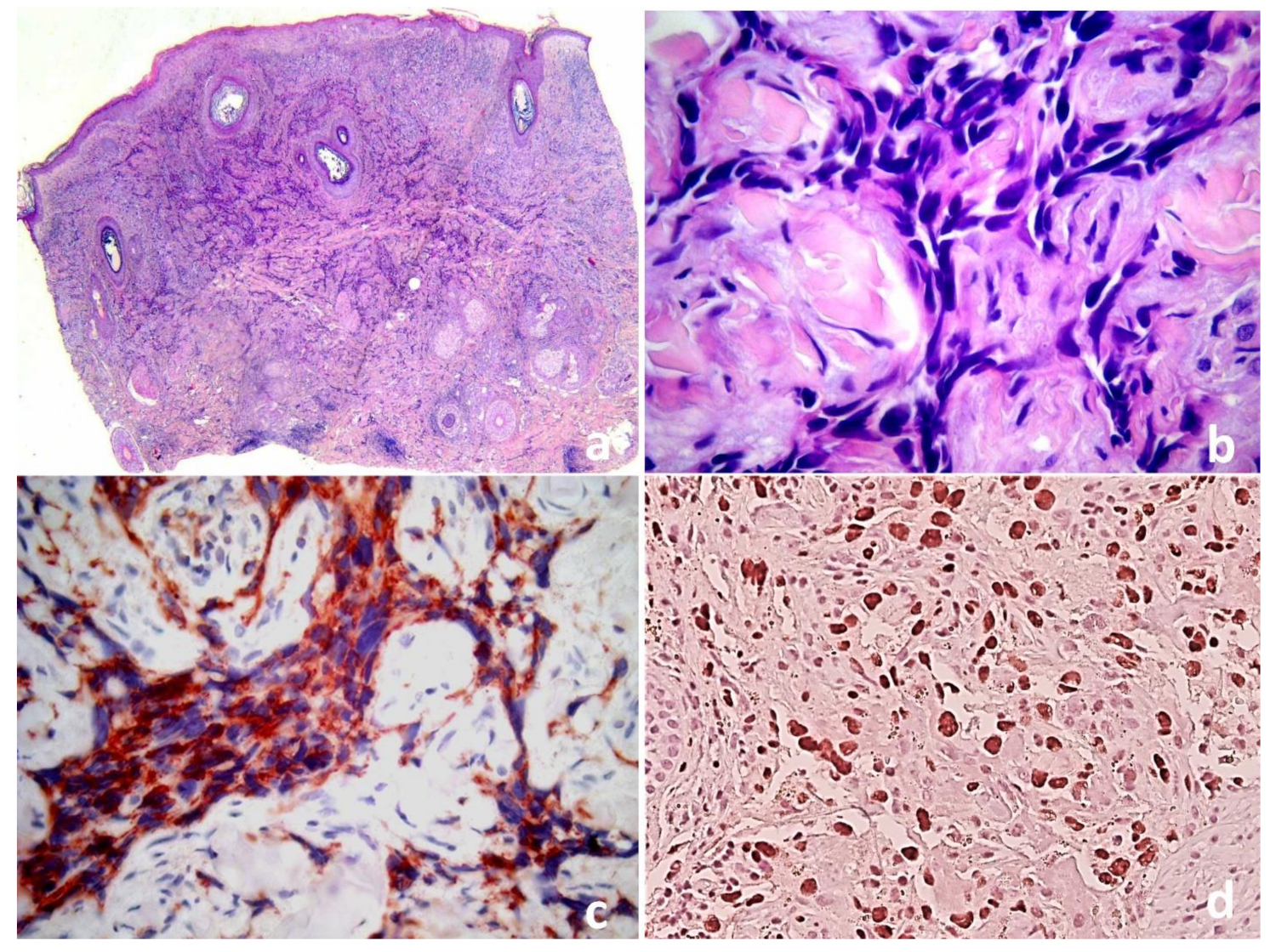
2. Case Report
3. Discussion
4. Conclusions
Author Contributions
Funding
Institutional Review Board Statement
Informed Consent Statement
Data Availability Statement
Acknowledgments
Conflicts of Interest
References
- Young, R.J.; Brown, N.J.; Reed, M.W.; Hughes, D.; Woll, P.J. Angiosarcoma. Lancet Oncol. 2010, 11, 983–991. [Google Scholar] [CrossRef]
- Shustef, E.; Kazlouskaya, V.; Prieto, V.G.; Ivan, D.; Aung, P.P. Cutaneous angiosarcoma: A current update. J. Clin. Pathol. 2017, 70, 917–925. [Google Scholar] [CrossRef] [PubMed]
- Morgan, M.B.; Swann, M.; Somach, S.; Eng, W.; Smoller, B. Cutaneous angiosarcoma: A case series with prognostic correlation. J. Am. Acad. Dermatol. 2004, 50, 867–874. [Google Scholar] [CrossRef] [PubMed]
- Donghi, D.; Kerl, K.; Dummer, R.; Schoenewolf, N.; Cozzio, A. Cutaneous angiosarcoma: Own experience over 13 years. Clinical features, disease course and immunohistochemical profile. J. Eur. Acad. Dermatol. Venereol. 2010, 24, 1230–1234. [Google Scholar] [CrossRef] [PubMed]
- Sullivan, H.C.; Edgar, M.A.; Cohen, C.; Kovach, C.K.; HooKim, K.; Reid, M.D. The utility of ERG, CD31 and CD34 in the cytological diagnosis of angiosarcoma: An analysis of 25 cases. J. Clin. Pathol. 2015, 68, 44–50. [Google Scholar] [CrossRef] [PubMed] [Green Version]
- Grayson, W.; Pantanowitz, L. Histological variants of cutaneous Kaposi sarcoma. Diagn. Pathol. 2008, 3, 31. [Google Scholar] [CrossRef] [PubMed] [Green Version]
- Albores-Saavedra, J.; Schwartz, A.M.; Henson, D.E.; Kostun, L.; Hart, A.; Angeles-Albores, D.; Chablé-Montero, F. Cutaneous angiosarcoma. Analysis of 434 cases from the Surveil-lance, Epidemiology, and End Results Program, 1973–2007. Ann. Diagn. Pathol. 2011, 15, 93–97. [Google Scholar] [CrossRef]
- Lee, B.L.; Chen, C.F.; Chen, P.C.; Lee, H.C.; Liao, W.C.; Perng, C.K.; Ma, H.; Lin, C.H. Investigation of Prognostic Features in Primary Cutaneous and Soft Tissue Angiosarcoma After Surgical Resection: A Retrospective Study. Ann. Plast. Surg. 2017, 78 (Suppl 2), S41–S46. [Google Scholar] [CrossRef] [PubMed]
- Shon, W.; Sukov, W.R.; Jenkins, S.M.; Folpe, A.L. MYC amplification and overexpression in primary cutaneous angiosarcoma: A fluorescence in-situ hybridization and immuno-histochemical study. Mod. Pathol. 2014, 2, 509–515. [Google Scholar] [CrossRef] [PubMed]
- Motaparthi, K.; Lauer, S.R.; Patel, R.M.; Vidal, C.I.; Linos, K. MYC gene amplification by fluo-rescence in situ hybridization and MYC protein expression by immunohistochemistry in the diagnosis of cutaneous angiosarcoma: Systematic review and appropriate use crite-ria. J. Cutan. Pathol. 2021, 48, 578–586. [Google Scholar] [CrossRef] [PubMed]
- Guadagnolo, B.A.; Zagars, G.K.; Araujo, D.; Ravi, V.; Shellenberger, T.D.; Sturgis, E.M. Outcomes after definitive treatment for cutaneous angiosarcoma of the face and scalp. Head Neck 2011, 33, 661–667. [Google Scholar] [CrossRef] [PubMed] [Green Version]
- Guida, M.; Campana, L.G.; Curatolo, P.; Strippoli, S.; Bonadies, A.; Grilz, G.; Cabula, C.; Rotunno, R.; Bucher, S.; Solari, N.; et al. Local treatment with electrochemotherapy of superficial angiosarcomas: Efficacy and safety results from a multi-institutional retrospective study. J. Surg. Oncol. 2016, 114, 246–253. [Google Scholar] [CrossRef] [PubMed]
- Campana, L.G.; Kis, E.; Bottyán, K.; Orlando, A.; de Terlizzi, F.; Mitsala, G.; Careri, R.; Curatolo, P.; Snoj, M.; Sersa, G.; et al. Electrochemotherapy for advanced cutaneous angiosarcoma: A European register-based cohort study from the International Network for Sharing Practices of electrochemotherapy (InspECT). Int. J. Surg. 2019, 72, 34–42. [Google Scholar] [CrossRef] [PubMed]


Publisher’s Note: MDPI stays neutral with regard to jurisdictional claims in published maps and institutional affiliations. |
© 2021 by the authors. Licensee MDPI, Basel, Switzerland. This article is an open access article distributed under the terms and conditions of the Creative Commons Attribution (CC BY) license (https://creativecommons.org/licenses/by/4.0/).
Share and Cite
Michelerio, A.; Barruscotti, S.; Rizzo, N.; Tomasini, C. An Ecchymosis with Fulminant Evolution. Dermatopathology 2021, 8, 535-538. https://doi.org/10.3390/dermatopathology8040057
Michelerio A, Barruscotti S, Rizzo N, Tomasini C. An Ecchymosis with Fulminant Evolution. Dermatopathology. 2021; 8(4):535-538. https://doi.org/10.3390/dermatopathology8040057
Chicago/Turabian StyleMichelerio, Andrea, Stefania Barruscotti, Nathalie Rizzo, and Carlo Tomasini. 2021. "An Ecchymosis with Fulminant Evolution" Dermatopathology 8, no. 4: 535-538. https://doi.org/10.3390/dermatopathology8040057
APA StyleMichelerio, A., Barruscotti, S., Rizzo, N., & Tomasini, C. (2021). An Ecchymosis with Fulminant Evolution. Dermatopathology, 8(4), 535-538. https://doi.org/10.3390/dermatopathology8040057

