Pilomatricoma in Syndromic Contexts: A Literature Review and a Report of a Case in Apert Syndrome
Abstract
1. Introduction
2. Methods
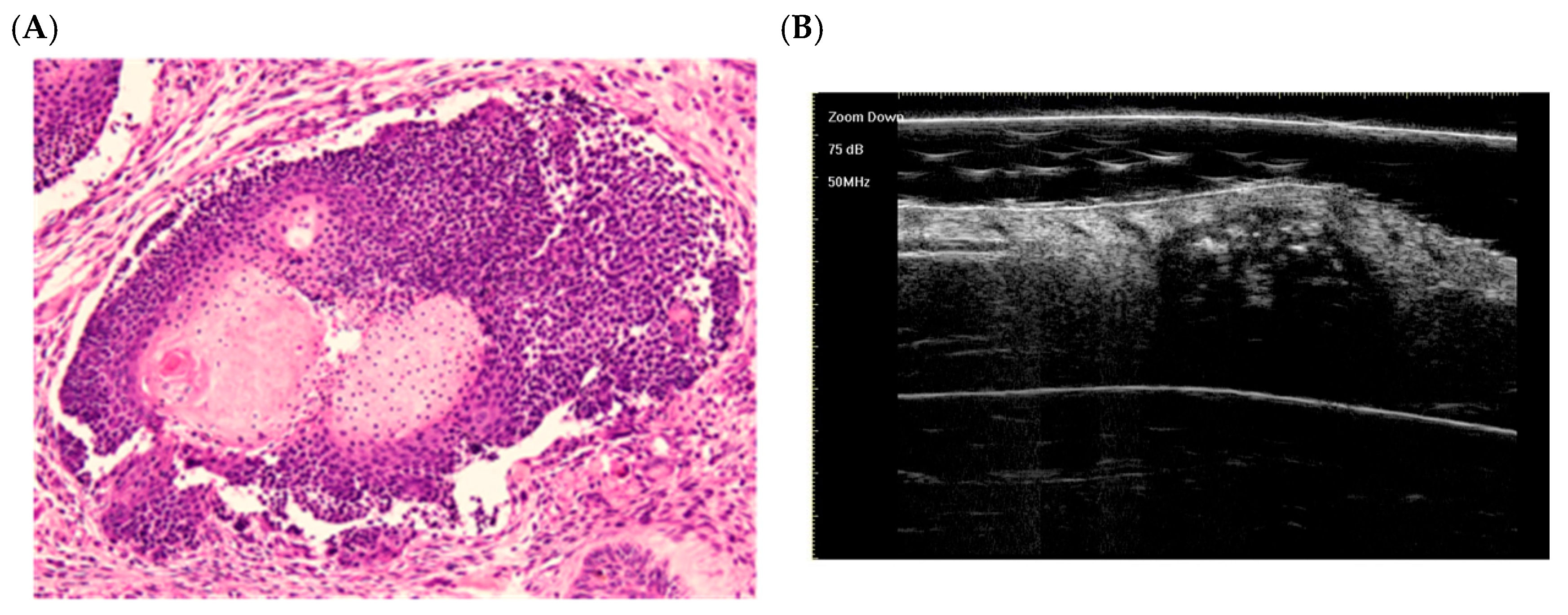
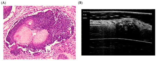
3. Case Report
Molecular Analysis
4. Result
5. Discussion
6. Results
7. Age, Sex, and Distribution
8. Pathophysiology and Genetic Associations
9. Pathological Findings
10. Pilomatricoma: Histological Morphological Stages
- In the early stage, the lesion appears as a small cyst with internal fissuring, filled with keratin and ghost (shadow) cells, and surrounded by a peripheral layer of basaloid cells.
- In the fully developed stage, larger eosinophilic keratin masses containing numerous shadow cells are surrounded by a mantle of active peripheral basaloid cells [58].
- The regressive stages are marked by loss of basaloid epithelium:
- In the early regressive stage, residual basaloid aggregates persist at the periphery, with central shadow cells, inflammatory infiltrate, and multinucleated giant cells.
- In the late regressive stage, the tumor becomes an amorphous keratinized mass (often calcified/ossified), with very few viable cellular elements [58].
11. Discussion
12. Conclusions
Supplementary Materials
Author Contributions
Funding
Institutional Review Board Statement
Informed Consent Statement
Conflicts of Interest
References
- King, I.C.; Rahman, K.M.; Henderson, A.; Ragbir, M. Multiple familial pilomatrixomas in three generations: An unusual clinical picture. Pediatr. Dermatol. 2015, 32, 97–101. [Google Scholar] [CrossRef] [PubMed]
- Hassan, S.F.; Stephens, E.; Fallon, S.C.; Schady, D.; Hicks, M.J.; Lopez, M.E.; Lazar, D.A.; Rodriguez, M.A.; Brandt, M.L. Characterizing pilomatricomas in children: A single institution experience. J. Pediatr. Surg. 2013, 48, 1551–1556. [Google Scholar] [CrossRef] [PubMed]
- Danielson-Cohen, A.; Lin, S.J.; Hughes, C.A.; An, Y.H.; Maddalozzo, J. Head and neck pilomatrixoma in children. Arch. Otolaryngol. Head Neck Surg. 2001, 127, 1481–1483. [Google Scholar] [CrossRef] [PubMed]
- Graham, J.L.; Merwin, C.F. The tent sign of pilomatricoma. Cutis 1978, 22, 577–580. [Google Scholar] [PubMed]
- Guinot-Moya, R.; Valmeaseda-Castellon, E.; Berini-Aytes, L.; Gay-Escoda, C. Pilomatrixoma: Review of 205 cases. Med. Oral Patol. Oral. Cir. Bucal 2011, 16, 552–555. [Google Scholar] [CrossRef]
- Julian, C.G. Pilomatrix carcinoma: A report of two cases and review of the literature. J. Am. Acad. Dermatol. 2000, 42 Pt 2, 287–290. [Google Scholar]
- Li, M.M.; Datto, M.; Duncavage, E.J.; Kulkarni, S.; Lindeman, N.I.; Roy, S.; Tsimberidou, A.M.; Vnencak-Jones, C.L.; Wolff, D.J.; Younes, A.; et al. Standards and Guidelines for the Interpretation and Reporting of Sequence Variants in Cancer: A Joint Consensus Recommendation of the Association for Molecular Pathology, American Society of Clinical Oncology, and College of American Pathologists. J. Mol. Diagn. 2017, 19, 4–23. [Google Scholar] [CrossRef]
- Miyoshi, Y.; Iwao, K.; Nagasawa, Y.; Aihara, T.; Sasaki, Y.; Imaoka, S.; Murata, M.; Shimano, T.; Nakamura, Y. Activation of the beta-catenin gene in primary hepatocellular carcinomas by somatic alterations involving exon 3. Cancer Res. 1998, 58, 2524–2527. [Google Scholar] [PubMed]
- Ciriacks, K.; Knabel, D.; Waite, M.B. Syndromes associated with multiple pilomatricomas: When should clinicians be concerned? Pediatr. Dermatol. 2019, 37, 9–17. [Google Scholar] [CrossRef] [PubMed]
- Polakis, P. The oncogenic activation of beta-catenin. Curr. Opin. Genet. Dev. 1999, 9, 15–21. [Google Scholar] [CrossRef] [PubMed]
- Easwaran, V.; Song, V.; Polakis, P.; Byers, S. The ubiquitin-proteasome pathway and serine kinase activity modulate adenomatous polyposis coli protein-mediated regulation of beta-catenin-lymphocyte enhancer-binding factor signaling. J. Biol. Chem. 1999, 274, 16641–16645. [Google Scholar] [CrossRef] [PubMed]
- Abraham, S.C.; Klimstra, D.S.; Wilentz, R.E.; Yeo, C.J.; Conlon, K.; Brennan, M.; Cameron, J.L.; Wu, T.-T.; Hruban, R.H. Solid-pseudopapillary tumors of the pancreas are genetically distinct from pancreatic ductal adenocarcinomas and almost always harbor beta-catenin mutations. Am. J. Pathol. 2002, 160, 1361–1369. [Google Scholar] [CrossRef] [PubMed] [PubMed Central]
- Yanagisawa, N.; Mikami, T.; Saegusa, M.; Okayasu, I. More frequent beta-catenin exon 3 mutations in gallbladder adenomas than in carcinomas indicate different lineages. Cancer Res. 2001, 61, 19–22. [Google Scholar] [PubMed]
- Yaguchi, T.; Goto, Y.; Kido, K.; Mochimaru, H.; Sakurai, T.; Tsukamoto, N.; Kudo-Saito, C.; Fujita, T.; Sumimoto, H.; Kawakami, Y. Immune suppression and resistance mediated by constitutive activation of Wnt/β-catenin signaling in human melanoma cells. J. Immunol. 2012, 189, 2110–2117. [Google Scholar] [CrossRef] [PubMed]
- Rubinfeld, B.; Robbins, P.; El-Gamil, M.; Albert, I.; Porfiri, E.; Polakis, P. Stabilization of beta-catenin by genetic defects in melanoma cell lines. Science 1997, 275, 1790–1792. [Google Scholar] [CrossRef] [PubMed]
- Liu, P.; Liang, B.; Liu, M.; Lebbink, J.H.; Li, S.; Qian, M.; Lavrijsen, M.; Peppelenbosch, M.P.; Chen, X.; Smits, R. Oncogenic Mutations in Armadillo Repeats 5 and 6 of β-Catenin Reduce Binding to APC, Increasing Signaling and Transcription of Target Genes. Gastroenterology 2020, 158, 1029–1043.e10. [Google Scholar] [CrossRef] [PubMed] [PubMed Central]
- Gao, C.; Wang, Y.; Broaddus, R.; Sun, L.; Xue, F.; Zhang, W. Exon 3 mutations of CTNNB1 drive tumorigenesis: A review. Oncotarget 2017, 9, 5492–5508. [Google Scholar] [CrossRef] [PubMed] [PubMed Central]
- Valenta, T.; Hausmann, G.; Basler, K. The many faces and functions of β-catenin. EMBO J. 2012, 31, 2714–2736. [Google Scholar] [CrossRef] [PubMed] [PubMed Central]
- He, T.-C.; Sparks, A.B.; Rago, C.; Hermeking, H.; Zawel, L.; da Costa, L.T.; Morin, P.J.; Vogelstein, B.; Kinzler, K.W. Identification of c-MYC as a target of the APC pathway. Science 1998, 281, 1509–1512. [Google Scholar] [CrossRef] [PubMed]
- Nelson, W.J.; Nusse, R. Convergence of Wnt, beta-catenin, and cadherin pathways. Science 2004, 303, 1483–1487. [Google Scholar] [CrossRef] [PubMed] [PubMed Central]
- Mitteldorf, C.A.T.d.S.; Vilela, R.S.; Fugimori, M.L.; de Godoy, C.D.; Coudry, R.A. Novel Mutations in Pilomatrixoma, CTNNB1 p.s45F, and FGFR2 p.s252L: A Report of Three Cases Diagnosed by Fine-Needle Aspiration Biopsy, with Review of the Literature. Case Rep. Genet. 2020, 2020, 8831006. [Google Scholar] [CrossRef] [PubMed] [PubMed Central]
- Yamada, T.; Masuda, M. Emergence of TNIK inhibitors in cancer therapeutics. Cancer Sci. 2017, 108, 818–823. [Google Scholar] [CrossRef] [PubMed] [PubMed Central]
- Katoh, M.; Katoh, M. Molecular genetics and targeted therapy of WNT-related human diseases (Review). Int. J. Mol. Med. 2017, 40, 587–606. [Google Scholar] [CrossRef] [PubMed] [PubMed Central]
- Zhang, S.; Da, L.; Yang, X.; Feng, D.; Yin, R.; Li, M.; Zhang, Z.; Jiang, F.; Xu, L. Celecoxib potentially inhibits metastasis of lung cancer promoted by surgery in mice, via suppression of the PGE2-modulated β-catenin pathway. Toxicol. Lett. 2014, 225, 201–207. [Google Scholar] [CrossRef] [PubMed]
- Sareddy, G.R.; Kesanakurti, D.; Kirti, P.B.; Babu, P.P. Nonsteroidal anti-inflammatory drugs diclofenac and celecoxib attenuates Wnt/β-catenin/Tcf signaling pathway in human glioblastoma cells. Neurochem. Res. 2013, 38, 2313–2322. [Google Scholar] [CrossRef] [PubMed]
- Tenbaum, S.P.; Ordóñez-Morán, P.; Puig, I.; Chicote, I.; Arqués, O.; Landolfi, S.; Fernández, Y.; Herance, J.R.; Gispert, J.D.; Mendizabal, L.; et al. β-catenin confers resistance to PI3K and AKT inhibitors and subverts FOXO3a to promote metastasis in colon cancer. Nat. Med. 2012, 18, 892–901. [Google Scholar] [CrossRef] [PubMed]
- Clevers, H.; Nusse, R. Wnt/β-catenin signaling and disease. Cell 2012, 149, 1192–1205. [Google Scholar] [CrossRef] [PubMed]
- Chen, P.; Zhang, L.; Weng, T.; Zhang, S.; Sun, S.; Chang, M.; Li, Y.; Zhang, B.; Zhang, L. A Ser252Trp mutation in fibroblast growth factor receptor 2 (FGFR2) mimicking human Apert syndrome reveals an essential role for FGF signaling in the regulation of endochondral bone formation. PLoS ONE 2014, 9, e87311. [Google Scholar] [CrossRef] [PubMed] [PubMed Central]
- Zhou, X.; Pu, D.; Liu, R.; Li, X.; Wen, X.; Zhang, L.; Chen, L.; Deng, M.; Liu, L. The Fgfr2(S252W/+) mutation in mice retards mandible formation and reduces bone mass as in human Apert syndrome. Am. J. Med. Genet. Part A 2013, 161, 983–992. [Google Scholar] [CrossRef] [PubMed]
- Dutt, A.; Salvesen, H.B.; Chen, T.-H.; Ramos, A.H.; Onofrio, R.C.; Hatton, C.; Nicoletti, R.; Winckler, W.; Grewal, R.; Hanna, M.; et al. Drug-sensitive FGFR2 mutations in endometrial carcinoma. Proc. Natl. Acad. Sci. USA 2008, 105, 8713–8717. [Google Scholar] [CrossRef] [PubMed] [PubMed Central]
- Byron, S.A.; Gartside, M.; Powell, M.A.; Wellens, C.L.; Gao, F.; Mutch, D.G.; Goodfellow, P.J.; Pollock, P.M. FGFR2 point mutations in 466 endometrioid endometrial tumors: Relationship with MSI, KRAS, PIK3CA, CTNNB1 mutations and clinicopathological features. PLoS ONE 2012, 7, e30801. [Google Scholar] [CrossRef] [PubMed] [PubMed Central]
- Wilkie, A.O. Bad bones, absent smell, selfish testes: The pleiotropic consequences of human FGF receptor mutations. Cytokine Growth Factor Rev. 2005, 16, 187–203. [Google Scholar] [CrossRef] [PubMed]
- Wang, Y.; Xiao, R.; Yang, F.; Karim, B.O.; Iacovelli, A.J.; Cai, J.; Lerner, C.P.; Richtsmeier, J.T.; Leszl, J.M.; Hill, C.A.; et al. Abnormalities in cartilage and bone development in the Apert syndrome FGFR2(+/S252W) mouse. Development 2005, 132, 3537–3548. [Google Scholar] [CrossRef] [PubMed]
- Matsumoto, K.; Urano, Y.; Kubo, Y.; Nakanishi, H.; Arase, S. Mutation of the fibroblast growth factor receptor 2 gene in Japanese patients with Apert syndrome. Plast. Reconstr. Surg. 1998, 101, 307–311. [Google Scholar] [CrossRef] [PubMed]
- Ibarra-Arce, A.; De Zárate-Alarcón, G.O.; Flores-Peña, L.; Martinez-Hernandez, F.; Romero-Valdovinos, M.; Olivo-Diaz, A. Mutations in the FGFR2 gene in Mexican patients with Apert syndrome. Genet. Mol. Res. 2015, 14, 2341–2346. [Google Scholar] [CrossRef] [PubMed][Green Version]
- Liu, T.; Willmore-Payne, C.; Wallander, M.L.; Layfield, L.J. Utilization of unlabeled probes for the detection of fibroblast growth factor receptor 2 exons 7 and 12 mutations in endometrial carcinoma. Appl. Immunohistochem. Mol. Morphol. 2011, 19, 341–346. [Google Scholar] [CrossRef] [PubMed]
- Pollock, P.M.; Gartside, M.G.; Dejeza, L.C.; Powell, M.A.; Mallon, M.A.; Davies, H.; Mohammadi, M.; Futreal, P.A.; Stratton, M.R.; Trent, J.M.; et al. Frequent activating FGFR2 mutations in endometrial carcinomas parallel germline mutations associated with craniosynostosis and skeletal dysplasia syndromes. Oncogene 2007, 26, 7158–7162. [Google Scholar] [CrossRef] [PubMed] [PubMed Central]
- Gallo, L.H.; Nelson, K.N.; Meyer, A.N.; Donoghue, D.J. Functions of Fibroblast Growth Factor Receptors in cancer defined by novel translocations and mutations. Cytokine Growth Factor Rev. 2015, 26, 425–449. [Google Scholar] [CrossRef] [PubMed]
- Yu, K.; Herr, A.B.; Waksman, G.; Ornitz, D.M. Loss of fibroblast growth factor receptor 2 ligand-binding specificity in Apert syndrome. Proc. Natl. Acad. Sci. USA 2000, 97, 14536–14541. [Google Scholar] [CrossRef] [PubMed] [PubMed Central]
- Ibrahimi, O.A.; Eliseenkova, A.V.; Plotnikov, A.N.; Yu, K.; Ornitz, D.M.; Mohammadi, M. Structural basis for fibroblast growth factor receptor 2 activation in Apert syndrome. Proc. Natl. Acad. Sci. USA 2001, 98, 7182–7187. [Google Scholar] [CrossRef] [PubMed] [PubMed Central]
- Shin, H.R.; Bae, H.S.; Kim, B.S.; Yoon, H.I.; Cho, Y.D.; Kim, W.J.; Choi, K.Y.; Lee, Y.S.; Woo, K.M.; Baek, J.H.; et al. PIN1 is a new therapeutic target of craniosynostosis. Hum. Mol. Genet. 2018, 27, 3827–3839. [Google Scholar] [CrossRef] [PubMed] [PubMed Central]
- Julian, C.G.; Bowers, P. A clinical review of 209 pilomatricomas. J. Am. Acad. Dermatol. 1998, 39, 191–195. [Google Scholar] [CrossRef]
- Lin, S.-F.; Xu, S.-H.; Xie, Z.-L. Calcifying epithelioma of malherbe (Pilomatrixoma): Clinical and sonographic features. J. Clin. Ultrasound 2018, 46, 3–7. [Google Scholar] [CrossRef]
- Demirkan, N.C.; Bir, F.; Erdem, O.; Düzcan, E. Immunohistochemical expression of beta-catenin, E-cadherin, cyclin D1 and c-myc in benign trichogenic tumors. J. Cutan. Pathol. 2007, 34, 467–473. [Google Scholar] [CrossRef] [PubMed]
- Kwon, D.; Grekov, K.; Krishnan, M.; Dyleski, R. Characteristics of pilomatrixoma in children: A review of 137 patients. Int. J. Pediatr. Otorhinolaryngol. 2014, 78, 1337–1341. [Google Scholar] [CrossRef] [PubMed]
- Blaya, B.; Gonzalez-Hermosa, R.; Gardeazabal, J.; Diaz-Perez, J.L. Multiple pilomatricomas in association with trisomy 9. Pediatr. Dermatol. 2009, 26, 482–484. [Google Scholar] [CrossRef] [PubMed]
- Uchimiya, H.; Kanekura, T.; Gushi, A.; Fukumaru, S.; Baba, Y.; Kanzaki, T. Multiple giant pilomatricoma. J. Dermatol. 2006, 33, 644–645. [Google Scholar] [CrossRef] [PubMed]
- Levy, J.; Ilsar, M.; Deckel, Y.; Maly, A.; Anteby, I.; Pe’er, J. Eyelid pilomatrixoma: A description of 16 cases and a review of the literature. Surv. Ophthalmol. 2008, 53, 526–535. [Google Scholar] [CrossRef] [PubMed]
- Maeda, D.; Kubo, T.; Miwa, H.; Kitamura, N.; Onoda, M.; Ohgo, M.; Kawai, K. Multiple pilomatricomas in a patient with Turner syndrome. J. Dermatol. 2014, 41, 563–564. [Google Scholar] [CrossRef] [PubMed]
- Do, J.E.; Noh, S.; Jee, H.J.; Oh, S.H. Familial multiple pilomatricomas showing clinical features of a giant mass without associated diseases. Int. J. Dermatol. 2013, 52, 250–252. [Google Scholar] [CrossRef] [PubMed]
- Wachter-Giner, T.; Bieber, I.; Warmuth-Metz, M.; Bröcker, E.; Hamm, H. Multiple pilomatricomas and gliomatosis cerebri—A new association? Pediatr. Dermatol. 2009, 26, 75–78. [Google Scholar] [CrossRef] [PubMed]
- Sherrod, Q.J.; Chiu, M.W.; Gutierrez, M. Multiple pilomatricomas: Cutaneous marker for myotonic dystrophy. Dermatol. Online J. 2008, 14, 22. [Google Scholar] [CrossRef] [PubMed]
- Douglas, J.; Hanks, S.; Temple, I.K.; Davies, S.; Murray, A.; Upadhyaya, M.; Tomkins, S.; Hughes, H.E.; Cole, R.T.; Rahman, N. NSD1 mutations are the major cause of Sotos syndrome and occur in some cases of Weaver syndrome but are rare in other overgrowth phenotypes. Am. J. Hum. Genet. 2003, 72, 132–143. [Google Scholar] [CrossRef] [PubMed] [PubMed Central]
- Liu, K.; Luo, J.; Ma, T.; Fang, M.; Xu, Z.; Wang, L.; Zhang, X.Y.; Wen, J.; Liu, C.; Cao, Y.; et al. Germline Mutation of PLCD1 Contributes to Human Multiple Pilomatricomas through Protein Kinase D/Extracellular Signal-Regulated Kinase1/2 Cascade and TRPV6. J. Investig. Dermatol. 2021, 141, 533–544. [Google Scholar] [CrossRef] [PubMed]
- Morgan, P.R.; Accurso, B. Clinical pathologic conference case 1: A woman with a lump in her cheek. Oral Surg. Oral Med. Oral Pathol. Oral Radiol. 2013, 115, e34–e36. [Google Scholar] [CrossRef] [PubMed]
- Jones, C.D.; Ho, W.; Robertson, B.F.; Gunn, E.; Morley, S. Pilomatrixoma: A Comprehensive Review of the Literature. Am. J. Dermatopathol. 2018, 40, 631–641. [Google Scholar] [CrossRef] [PubMed]
- Mundinger, G.S.; Steinbacher, D.M.; Bishop, J.A.; Tufaro, A.P. Giant pilomatricoma involving the parotid: Case report and literature review. J. Craniomaxillofacial Surg. 2011, 39, 519–524. [Google Scholar] [CrossRef] [PubMed]
- Cozzi, D.A.; D’Ambrosio, G.; Cirigliano, E.; Negro, V.; Iacusso, C.; Totonelli, G.; Uccini, S. Giant pilomatricoma mimicking a malignant parotid mass. J. Pediatr. Surg. 2011, 46, 1855–1858. [Google Scholar] [CrossRef] [PubMed]
- Su, N.; Jin, M.; Chen, L. Role of FGF/FGFR signaling in skeletal development and homeostasis: Learning from mouse models. Bone Res. 2014, 2, 14003. [Google Scholar] [CrossRef] [PubMed]
- Rice, D.P.; Rice, R.; Thesleff, I. Fgfr mRNA isoforms in craniofacial bone development. Bone 2003, 33, 14–27. [Google Scholar] [CrossRef] [PubMed]
- Iseki, S.; Wilkie, A.O.; Morriss-Kay, G.M. Fgfr1 and Fgfr2 have distinct differentiation- and proliferation-related roles in the developing mouse skull vault. Development 1999, 126, 5611–5620. [Google Scholar] [CrossRef] [PubMed]
- Lazarus, J.E.; Hegde, A.; Andrade, A.C.; Nilsson, O.; Baron, J. Fibroblast growth factor expression in the postnatal growth plate. Bone 2007, 40, 577–586. [Google Scholar] [CrossRef] [PubMed]
- Neben, C.L.; Idoni, B.; Salva, J.E.; Tuzon, C.T.; Rice, J.C.; Krakow, D.; Merrill, A.E. Bent bone dysplasia syndrome reveals nucleolar activity for FGFR2 in ribosomal DNA transcription. Hum. Mol. Genet. 2014, 23, 5659–5671. [Google Scholar] [CrossRef] [PubMed] [PubMed Central]
- Johnson, D.; Wilkie, A.O. Craniosynostosis. Eur. J. Hum. Genet. 2011, 19, 369–376. [Google Scholar] [CrossRef] [PubMed] [PubMed Central]
- Lozzi, G.P.; Soyer, H.P.; Fruehauf, J.; Massone, C.; Kerl, H.; Peris, K. Giant pilomatricoma. Am. J. Dermatopathol. 2007, 29, 286–289. [Google Scholar] [CrossRef] [PubMed]
- Gustin, A.F.; Lee, E.Y. Pilomatricoma in a pediatric patient. Pediatr. Radiol. 2006, 36, 1113. [Google Scholar] [CrossRef] [PubMed]
- Kaddu, S.; Soyer, H.P.; Hödl, S.; Kerl, H. Morphological stages of pilomatricoma. Am. J. Dermatopathol. 1996, 18, 333–338. [Google Scholar] [CrossRef]
- Vayner, J.; Jacob, J.; McNew, G.; Tran, B.Y. Pilomatricoma in a Patient with Chronic Low Testosterone: A Case Report and Literature Review. Cureus 2025, 17, e77859. [Google Scholar] [CrossRef]
- Li, L.; Xu, J.; Wang, S.; Yang, J. Ultra-High-Frequency Ultrasound in the Evaluation of Paediatric Pilomatricoma Based on the Histopathologic Classification. Front. Med. 2021, 8, 673861. [Google Scholar] [CrossRef]





| Gene | Reference Sequence | Coding Position | Amino Acid Position | VAF% | Coverage | Tier |
|---|---|---|---|---|---|---|
| CTNNB1 | NM_001904.3 | c.110C>T | p.(Ser37Phe) | 16% | 927X | IIC |
| FGFR2 | NM_022970.3 | c.755C>G | p.(Ser252 Trp) | 44.1% | 764X | IIC |
| CUX1 | NM_181552.3 | c.2507C>T | p.(Ala836Val) | 49.9% | 605X | III |
| INPP4B | NM_001101669.1 | c.2017A>G | p.(Ser673Gly) | 47.1% | 554X | III |
| INSR | NM_000208.2 | c.2677G>A | p.(Asp893Asn) | 47.4% | 426X | III |
| NOTCH3 | NM_000435.2 | c.2738C>T | p.(Pro913Leu) | 50% | 344X | III |
| PTPRD | NM_002839.3 | c.68C>T | p.(Pro23Leu) | 46.1% | 532X | III |
| SLIT2 | NM_004787.4 | c.734A>G | p.(His245Arg) | 52.3% | 675X | III |
| SPTA1 | NM_003126.4 | c.4408G>A | p.(Glu1470Lys) | 50.6% | 712X | III |
| SPTA1 | NM_003126.4 | c.3167G>T | p.(Arg1056Leu) | 47.2% | 721X | III |
| Syndrome | Age of Presentation | Number of Patients | Gender | Number of Pilomatricomas | Age of Onset of First Pilomatricoma | Family History of Pilomatricoma | Mutation/Pathway Activation | Immunohistochemistry |
|---|---|---|---|---|---|---|---|---|
| Myotonic Dystrophy | 36.2 years (5–57 years) | 53 and others (one article does not specify) | M/F | 8.4 ± 8.8 | 27.1 years (3–52 years) | 29% | DMPK (Myotonic Dystrophy Protein Kinase) Mutation | |
| FAP-related Syndromes | 21.2 years (6–40 years) | 8 and others (one article does not specify) | M/F | 9.2 ± 6.6 | 9.6 years (2–17.5 years) | 100% | CTNNB1 gene activation, Wnt/β-catenin pathway | CD10, β-catenin, AE1/AE3 positivity |
| Turner Syndrome | 15.5 years (9–24 years) | 14 | Female | 6.4 ± 4.5 | 5.8 years (3–8 years) | Alteration/Absence of X chromosome (karyotype 45, X) | Nuclear expression of β-catenin in basaloid cells | |
| Rubinstein–Taybi Syndrome | 14.4 years (5–20 years) | 11 | M/F (<F) | 5.8 ± 5.2 (only 1 patient had single) | 6.4 years (4–10 years) | CREBBP and EP300 mutations | ||
| Turcot Syndrome | 13.8 years (4–41 years) | NR | 5.8 ± 7.7 | APC gene mutation | ||||
| Kabuki Syndrome | 13.8 years (4–41 years) | 2 | 5.8 ± 7.7 | MLL2 gene mutation and Wnt/β-catenin pathway activation | ||||
| 21-hydroxylase Deficiency | 13.8 years (4–41 years) | NR | 5.8 ± 7.7 | |||||
| Constitutional Mismatch Repair Deficiency (CMMRD) | 13.8 years (4–41 years) | 1 | 5.8 ± 7.7 | 14 years | MLH1, MSH2, MSH6, and PMS2 mutations | CTNNB1 mutation in basophilic cells | ||
| Familial Sotos Syndrome | 13.8 years (4–41 years) | 2 | 5.8 ± 7.7 | NSD1 gene mutation or deletion, may also be associated with Wnt/β-catenin pathway mutation | ||||
| Apert Syndrome | 15 years | 1 | Female (one case) | 1 | FGFR2 mutation | |||
| Churg–Strauss Syndrome | 1 | 15 | Unknown | |||||
| Trisomy 9 | 2 | Multiple | Trisomy 9 | |||||
| Tetrasmy 9p Syndrome | 1 | Multiple (2) | Tetrasomy 9 | |||||
| Familial Cases | 8 | 2.8 ± 2.5 | PLCD1 (phospholipase C-D1) upregulation, leading to increased PKC/PKD/ERK1 and 2 activity, and downregulation of the TPRV6 channel, resulting in keratinocyte proliferation and local calcium accumulation | |||||
| Sporadic Cases | 1812 | 4.0 ± 2.8 | None |
Disclaimer/Publisher’s Note: The statements, opinions and data contained in all publications are solely those of the individual author(s) and contributor(s) and not of MDPI and/or the editor(s). MDPI and/or the editor(s) disclaim responsibility for any injury to people or property resulting from any ideas, methods, instructions or products referred to in the content. |
© 2025 by the authors. Published by MDPI on behalf of the European Society of Dermatopathology. Licensee MDPI, Basel, Switzerland. This article is an open access article distributed under the terms and conditions of the Creative Commons Attribution (CC BY) license (https://creativecommons.org/licenses/by/4.0/).
Share and Cite
Saponaro, G.; De Paolis, E.; Todaro, M.; Azzuni, F.; Gasparini, G.; Bosso, A.; Ascani, G.; Minucci, A.; Moro, A. Pilomatricoma in Syndromic Contexts: A Literature Review and a Report of a Case in Apert Syndrome. Dermatopathology 2025, 12, 24. https://doi.org/10.3390/dermatopathology12030024
Saponaro G, De Paolis E, Todaro M, Azzuni F, Gasparini G, Bosso A, Ascani G, Minucci A, Moro A. Pilomatricoma in Syndromic Contexts: A Literature Review and a Report of a Case in Apert Syndrome. Dermatopathology. 2025; 12(3):24. https://doi.org/10.3390/dermatopathology12030024
Chicago/Turabian StyleSaponaro, Gianmarco, Elisa De Paolis, Mattia Todaro, Francesca Azzuni, Giulio Gasparini, Antonio Bosso, Giuliano Ascani, Angelo Minucci, and Alessandro Moro. 2025. "Pilomatricoma in Syndromic Contexts: A Literature Review and a Report of a Case in Apert Syndrome" Dermatopathology 12, no. 3: 24. https://doi.org/10.3390/dermatopathology12030024
APA StyleSaponaro, G., De Paolis, E., Todaro, M., Azzuni, F., Gasparini, G., Bosso, A., Ascani, G., Minucci, A., & Moro, A. (2025). Pilomatricoma in Syndromic Contexts: A Literature Review and a Report of a Case in Apert Syndrome. Dermatopathology, 12(3), 24. https://doi.org/10.3390/dermatopathology12030024

