Immunohistopathological Analysis of Spongiosis Formation in Atopic Dermatitis Compared with Other Skin Diseases
Abstract
1. Introduction
2. Materials and Methods
2.1. Subjects and Skin Samples
2.2. Histological, Immunohistochemical, and Double-Immunofluorescence Staining
2.3. Evaluation of Immunohistopathological Findings
3. Results
3.1. Clinical Data for Subjects and Preliminary Analysis
3.2. Immunohistopathological Findings of Spongiosis Formation in Atopic Dermatitis, Other Eczematous Dermatitis, and Other Types of Inflammatory Skin Diseases
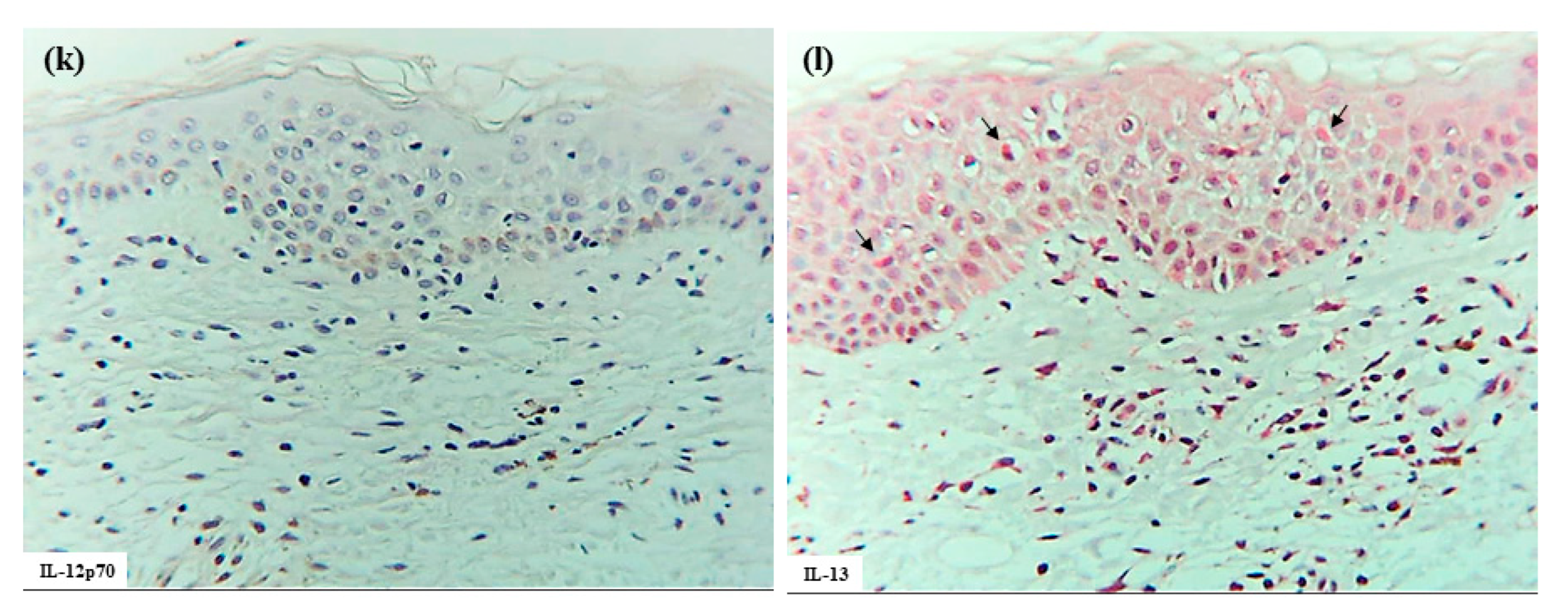
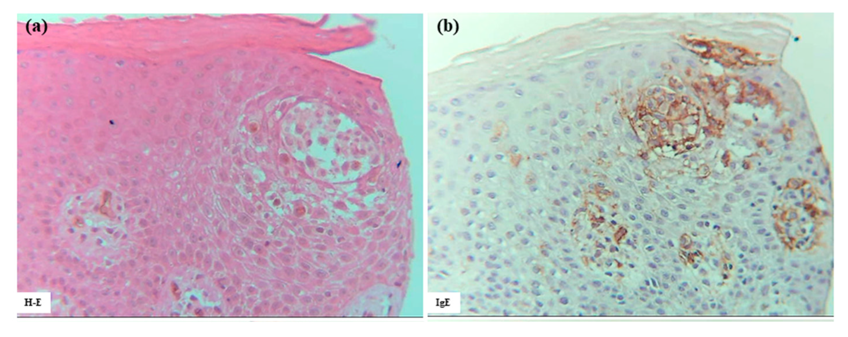
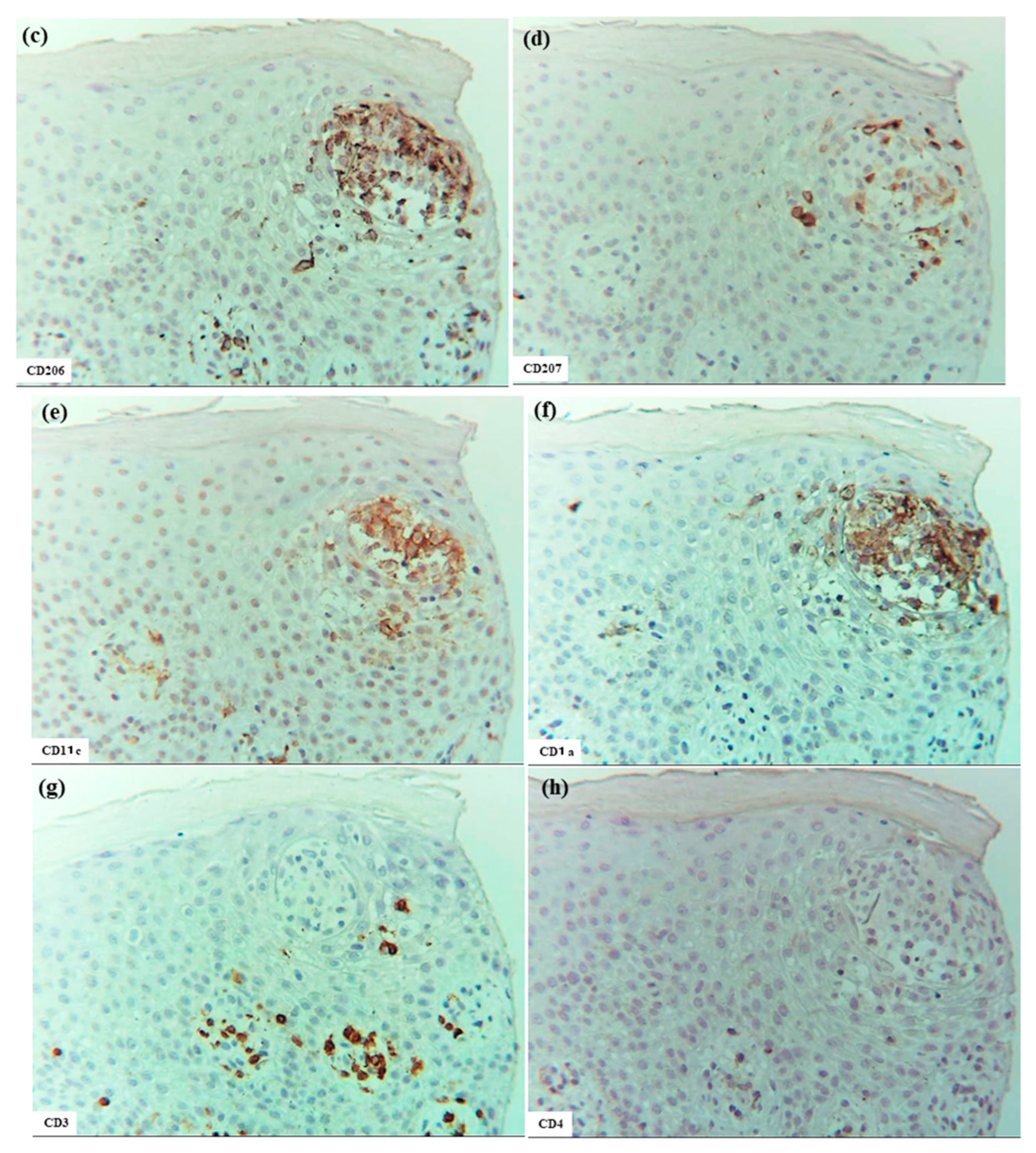
3.2.1. Atopic Dermatitis
- IgE-mediated atopic dermatitis (AD)
- Atopy patch test in a patient with IgE-mediated atopic dermatitis
- Non-IgE-mediated atopic dermatitis
3.2.2. Xerotic Eczema
3.2.3. Allergic Contact Dermatitis and Systemic-Type Contact Dermatitis
3.2.4. Other Forms of Eczematous Dermatitis
- Nummular eczema (NE)
3.2.5. Other Types of Inflammatory Skin Diseases
- Pigmented purpuric dermatosis
- Bullous pemphigoid
3.3. Immunohistopathological Findings of Epidermal Dendritic Cell Clusters in Eczematous Dermatitis Versus Pautrier Collections in Cutaneous T-Cell Lymphoma
3.3.1. Epidermal Dendritic Cell Clusters
- IgE-mediated atopic dermatitis
- Allergic contact dermatitis and systemic-type contact dermatitis
- Pigmented purpuric dermatosis
3.3.2. Pautrier Collections in Cutaneous T-Cell Lymphoma
3.4. Quantitative Evaluations of Immunohistopathological Findings
3.4.1. Spongiotic Formation in IgE-Mediated Atopic Dermatitis, Xerotic Eczema, and Allergic Contact Dermatitis
3.4.2. Epidermal Dendritic Cells Clusters in Eczematous Dermatitis Versus Pautrier Collections in Cutaneous T-Cell Lymphoma
4. Discussion
5. Conclusions
Author Contributions
Funding
Institutional Review Board Statement
Informed Consent Statement
Data Availability Statement
Acknowledgments
Conflicts of Interest
References
- Tanei, R.; Hasegawa, Y. Immunological Pathomechanisms of Spongiotic Dermatitis in Skin Lesions of Atopic Dermatitis. Int. J. Mol. Sci. 2022, 23, 6682. [Google Scholar] [CrossRef] [PubMed]
- Ozdemir, C.; Akdis, M.; Akdis, C.A. Role of T cells. In Atopic Dermatitis, 2nd ed.; Bieber, T., Leung, D.Y.M., Eds.; Informa Healthcare: London, UK, 2009; pp. 121–147. [Google Scholar]
- Clarke, L.E.; Clarke, J.T.; Helm, K.F. Chapter 2: The Spongiotic and Psoriasiform Patterns. In Color Atlas of Differential Diagnosis in Dermatopathology, 1st ed.; Jaypee Brothers Medical Pub.: New Delhi, India, 2014; pp. 19–44. [Google Scholar]
- Pallás, I.M.; Del Mazo, R.C.; Biosca, V.L. Pigmented Purpuric Dermatosis: A Review of the Literature. Actas Dermosifiliogr. 2020, 111, 196–204. [Google Scholar] [CrossRef] [PubMed]
- Szegedi, A.; Baráth, S.; Nagy, G.; Szodoray, P.; Gál, M.; Sipka, S.; Bagdi, E.; Banham, A.H.; Krenács, L. Regulatory T cells in atopic dermatitis: Epidermal dendritic cell clusters may contribute to their local expansion. Br. J. Dermatol. 2009, 160, 984–993. [Google Scholar] [CrossRef] [PubMed]
- LeBoit, P.E.; Epstein, B.A. A vase-like shape characterizes the epidermal-mononuclear cell collections seen in spongiotic dermatitis. Am. J. Dermatopathol. 1990, 12, 612–616. [Google Scholar] [CrossRef] [PubMed]
- Burkert, K.L.; Huhn, K.; Menezes, D.W.; Murphy, G.F. Langerhans cell microgranulomas (pseudo-pautrier abscesses): Morphologic diversity, diagnostic implications and pathogenetic mechanisms. J. Cutan. Pathol. 2002, 29, 511–516. [Google Scholar] [CrossRef] [PubMed]
- Abreu Velez, A.M.; Howard, M.S.; Brown, V.M. Spongiotic dermatitis with Langerhans cell microvesicles. J. Cutan. Pathol. 2016, 43, 181–186. [Google Scholar] [CrossRef] [PubMed]
- Bhat, R.M.; Madhumita, M. Pautrier’s microabscess: An eponym by mistake. Indian J. Derm. Venereol. Leprol. 2020, 86, 747–749. [Google Scholar]
- Tanei, R.; Hasegawa, Y. Immunohistopathological Analysis of Immunoglobulin E-Positive Epidermal Dendritic Cells with House Dust Mite Antigens in Naturally Occurring Skin Lesions of Adult and Elderly Patients with Atopic Dermatitis. Dermatopathology 2021, 8, 426–441. [Google Scholar] [CrossRef] [PubMed]
- Hanifin, J.M.; Rajka, G. Diagnostic features of atopic dermatitis. Acta Derm. 1980, 92, 44–47. [Google Scholar] [CrossRef]
- Tanei, R.; Hasegawa, Y.; Sawabe, M. Abundant immunoglobulin E-positive cells in skin lesions support an allergic etiology of atopic dermatitis in the elderly. J. Eur. Acad. Dermatol. Venereol. 2013, 27, 952–960. [Google Scholar] [CrossRef] [PubMed]
- Tanei, R.; Hasegawa, Y. Double-positive immunoglobulin E+ and Dermatophagoides farinae antigen + dendritic cells are observed in skin lesions of older adults with atopic dermatitis: An immunohistological study. Dermatol. Clin. Res. 2017, 3, 134–150. [Google Scholar]
- Wollenberg, A. Inflammatory dendritic epidermal cells. In Handbook of Atopic Eczema, 2nd ed.; Ring, J., Przybilla, B., Ruzicka, T., Eds.; Springer: Berlin, Germany, 2006; pp. 288–295. [Google Scholar]
- Guttman-Yassky, E.; Lowes, M.A.; Fuentes-Duculan, J.; Whynot, J.; Novitskaya, I.; Cardinale, I.; Haider, A.; Khatcherian, A.; Carucci, J.; Bergman, R.; et al. Major differences in inflammatory dendritic cells and their products distinguish atopic dermatitis from psoriasis. J. Allergy Clin. Immunol. 2007, 119, 1210–1217. [Google Scholar] [CrossRef] [PubMed]
- Yawalkar, N.; Karlen, S.; Egli, F.; Brand, C.U.; Graber, H.U.; Pichler, W.J.; Braathen, L.R. Down-regulation of IL-12 by topical corticosteroids in chronic atopic dermatitis. J. Allergy Clin. Immunol. 2000, 106, 941–947. [Google Scholar] [CrossRef] [PubMed]
- Hamid, Q.; Naseer, T.; Minshall, E.M.; Song, Y.L.; Boguniewicz, M.; Leung, D.Y. In vivo expression of IL-12 and IL-13 in atopic dermatitis. J. Allergy Clin. Immunol. 1996, 98, 225–231. [Google Scholar] [CrossRef] [PubMed]
- Wang, A.; Fogel, A.L.; Murphy, M.J.; Panse, G.; McGeary, M.K.; McNiff, J.M.; Bosenberg, M.; Vesely, M.D.; Cohen, J.M.; Ko, C.J.; et al. Cytokine RNA In Situ Hybridization Permits Individualized Molecular Phenotyping in Biopsies of Psoriasis and Atopic Dermatitis. JID Innov. 2021, 1, 100021. [Google Scholar] [CrossRef] [PubMed]
- McLeod, J.J.A.; Baker, B.N.; Ryan, J.J. Mast Cell Production and Response to IL-4 and IL-13. Cytokine 2015, 75, 57–61. [Google Scholar] [CrossRef] [PubMed]
- Natsuaki, Y.; Egawa, G.; Nakamizo, S.; Ono, S.; Hanakawa, S.; Okada, T.; Kusuba, N.; Otsuka, A.; Kitoh, A.; Honda, T.; et al. Perivascular leukocyte clusters are essential for efficient activation of effector T cells in the skin. Nat. Immunol. 2014, 15, 1064–1069. [Google Scholar] [CrossRef] [PubMed]
- Natsuaki, Y.; Kabashima, K. Inducible lymphoid clusters, iSALTs, in contact dermatitis: A new concept of acquired cutaneous immune responses. Med. Mol. Morphol. 2016, 49, 127–132. [Google Scholar] [CrossRef] [PubMed]
- Yamaguchi, H.L.; Yamaguchi, Y.; Peeva, E. Role of Innate Immunity in Allergic Contact Dermatitis: An Update. Int. J. Mol. Sci. 2023, 24, 12975. [Google Scholar] [CrossRef] [PubMed]
- Wu, Z.; Zheng, Y.; Sheng, J.; Han, Y.; Yang, Y.; Pan, H.; Yao, J. CD3+CD4-CD8- (Double-Negative) T Cells in Inflammation, Immune Disorders and Cancer. Front. Immunol. 2022, 13, 816005. [Google Scholar] [CrossRef] [PubMed]
- Wood, G.S.; Warner, N.L.; Warnke, R.A. Anti-Leu-3/T4 antibodies react with cells of monocyte/macrophage and Langerhans lineage. J. Immunol. 1983, 131, 212–216. [Google Scholar] [CrossRef] [PubMed]
- Kempf, W.; Mitteldorf, C. Cutaneous T-cell lymphomas—An update 2021. Hematol. Oncol. 2021, 39, 46–51. [Google Scholar] [CrossRef] [PubMed]
- Frings, V.G.; Böer-Auer, A.; Breuer, K. Histomorphology and Immunophenotype of Eczematous Skin Lesions Revisited—Skin Biopsies Are Not Reliable in Differentiating Allergic Contact Dermatitis, Irritant Contact Dermatitis, and Atopic Dermatitis. Am. J. Dermatopathol. 2018, 40, 7–16. [Google Scholar] [CrossRef] [PubMed]
- Bieber, T. FcεRI-expressing antigen-presenting cells: New players in atopic game. Immunol. Today 1997, 18, 311–313. [Google Scholar] [CrossRef] [PubMed]
- Criado, P.R.; Miot, H.A.; Bueno-Filho, R.; Ianhez, M.; Criado, R.F.J.; Silva de Castro, C.C. Update on the pathogenesis of atopic dermatitis. An. Bras. Dermatol. 2024, 99, 895–915. [Google Scholar] [CrossRef] [PubMed]
- Torres, T.; Mendes-Bastos, P.; Cruz, M.J.; Duarte, B.; Filipe, P.; Lopes, M.J.P.; Gonçalo, M. Interleukin-4 and Atopic Dermatitis: Why Does it Matter? A Narrative Review. Dermatol. Ther. 2025, 15, 579–597. [Google Scholar] [CrossRef] [PubMed]
- Manome-Zenke, Y.; Denda-Nagai, K.; Murakami, R.; Noji, M.; Tsuneda, N.; Ishii-Schrade, K.B.; Kanomata, N.; Arai, S.; Irimura, T.; Ikeda, S. Possible Involvement of Antigen-Presenting Cells Expressing the Macrophage Galactose-type C-type Lectin in Inflammatory Skin Diseases. J. Investig. Dermatol. 2023, 143, 1834–1838. [Google Scholar] [CrossRef] [PubMed]
- Carl, G.; Figdor, C.G.; van Kooyk, Y.; Adema, G.J. C-type lectin receptors on dendritic cells and Langerhans cells. Nat. Rev. Immunol. 2002, 2, 77–84. [Google Scholar] [PubMed]
- Angelina, A.; Martín-Cruz, L.; de la Rocha-Muñoz, A.; Lavín-Plaza, B.; Palomares, O. C-Type Lectin Receptor Mediated Modulation of T2 Immune Responses to Allergens. Curr. Allergy Asthma Rep. 2023, 23, 141–151. [Google Scholar] [CrossRef] [PubMed]
- Lee, W.-J.; Shim, W.-S. Cutaneous Neuroimmune Interactions of TSLP and TRPV4 Play Pivotal Roles in Dry Skin-Induced Pruritus. Front. Immunol. 2021, 12, 772941. [Google Scholar] [CrossRef] [PubMed]
- Aoyama, H.; Tanaka, M.; Hara, M.; Tabata, N.; Tagami, H. Nummular Eczema: An Addition of Senile Xerosis and Unique Cutaneous Reactivities to Environmental Aeroallergens. Dermatology 1999, 199, 135–139. [Google Scholar] [CrossRef] [PubMed]
- Leung, D.Y.M. Pathogenesis of atopic dermatitis. J. Allergy Clin. Immunol. 1999, 104, S99–S108. [Google Scholar] [CrossRef] [PubMed]
- Novak, N.; Valenta, R.; Bohle, B.; Laffer, S.; Haberstok, J.; Kraft, S.; Bieber, T. Fc epsilon RI engagement of Langerhans cell-like dendritic cells and inflammatory dendritic epidermal cell-like dendritic cells induces chemotactic signals and different T-cell phenotypes in vitro. J. Allergy Clin. Immunol. 2004, 113, 949–957. [Google Scholar] [CrossRef] [PubMed]
- Verhagen, J.; Akdis, M.; Traidl-Hoffmann, C.; Schmid-Grendelmeier, P.; Hijnen, D.; Knol, E.F.; Behrendt, H.; Blaser, K.; Akdis, C.A. Absence of T-regulatory cell expression and unction in atopic dermatitis skin. J. Allergy Clin. Immunol. 2006, 117, 176–183. [Google Scholar] [CrossRef] [PubMed]
- Ohtani, T.; Memezawa, A.; Okuyama, R.; Sayo, T.; Sugiyama, Y.; Inoue, S.; Aiba, S. Increased hyaluronan production and decreased E-cadherin expression by cytokine-stimulated keratinocytes lead to spongiosis formation. J. Investig. Dermatol. 2009, 129, 1412–1420. [Google Scholar] [CrossRef] [PubMed]
- Dhingra, N.; Shemer, A.; Correa da Rosa, J.; Rozenblit, M.; Fuentes-Duculan, J.; Gittler, J.K.; Finney, R.; Czarnowicki, T.; Zheng, X.; Xu, H.; et al. Molecular profiling of contact dermatitis skin identifies allergen-dependent differences in immune response. J. Allergy Clin. Immunol. 2014, 134, 362–372. [Google Scholar] [CrossRef] [PubMed]
















| Case | Age/Sex | Disease | Biopsy Site | Remarks | Cont. Case | Cont. Age/Sex | Cont. Disease | Cont. Biopsy Site | Cont. Remarks |
|---|---|---|---|---|---|---|---|---|---|
| 1 | 78/M | IgE-mediated AD | Forearm | Allergic to HDMs, etc. | 14 | 80/F | ACD | Thigh | Allergen: plants |
| 2 | 61/F | IgE-mediated AD | Forearm | Allergic to HDMs, etc. APT-positive † | 15 | 91/F | ACD | Face | Allergen: plants |
| 3 | 83/F | IgE-mediated AD | Thigh | Allergic to HDMs, etc. | 16 | 82/F | ACD | Face | Allergen: cosmetics |
| 4 | 49/M | IgE-mediated AD | Abdomen | Allergic to HDMs, etc. | 17 | 77/F | ACD | Face | Allergen: eyeglass |
| 5 | 84/M | IgE-mediated AD | Upper back | Allergic to HDMs, etc. APT-positive † | 18 | 52/M | ACD | Sole | Allergen: shoes |
| 6 | 40/M | IgE-mediated AD | Chest | Allergic to HDMs, etc. | 19 | 69/M | SCD | Forearm | Allergen: dialysis-related medicines |
| 7 | 81/F | Non-IgE- mediated AD | Forearm | Serum total and specific IgEs: WNL | 20 | 73/M | NE | Lower leg | Dispersed form |
| 21 | 70/M | NE | Upper back | Dispersed form | |||||
| 22 | 34/F | NE | Lower leg | Dispersed form | |||||
| 8 | 78/M | XE | Lower leg | Caused by SX | 23 | 71/F | PPD | Lower leg | With venous stasis |
| 24 | 81/F | PPD | Lower leg | Unknown cause | |||||
| 9 | 83/M | XE | Lower leg | Caused by SX | 25 | 77/M | BP | Sole | ES Serum anti-BP 180NC16a Ab: positive |
| 10 | 72/M | XE | Side chest | Caused by SX | 26 | 72/F | CTCL | Trunk | Disease type: ATL |
| 27 | 68/F | CTCL | Lower leg | Disease type: ATL | |||||
| 11 | 75/M | XE | Lower leg | Caused by SX, partially NE-form | 28 | 66/F | CTCL | Lower back | Disease type: ATL |
| 29 | 46/F | CTCL | Face | Disease type: ATL | |||||
| 30 | 47/M | CTCL | Neck | Disease type: ATL | |||||
| 12 | 76/M | XE | Forearm | Caused by SX, partially NE-form | |||||
| 13 | 54/M | XE | Upper arm | Caused by SX, partially NE-form | |||||
| Case and Disease | Single-IHC Staining | Double-IF Staining | |||||||||||
|---|---|---|---|---|---|---|---|---|---|---|---|---|---|
| Infiltrating Cells in Spongiotic Epidermis § | |||||||||||||
| IgE+ Cells | CD11c+ Cells | CD206+ Cells | CD207+ Cells | CD4+ Cells | CD8+ Cells | CD3+ Cells | CD56+ Cells | IL-12p70+ Cells | IL-13+ Cells | IL-13-/CD3+ Cells | IL-13+/CD3+ Cells | IL-13+/CD3- Cells | |
| 1 IgE-AD | 45 | 31 | 47 | 23 | 47 | 19 | 54 | 5 | 0 | 0 | 56 | 0 | 0 |
| 2 IgE-AD | 10 | 13 | 45 | 15 | 25 | 2 | 33 | 4 | 0 | 2 | 16 | 2 | 3 |
| 3 IgE-AD | 20 | 38 | 37 | 9 | 16 | 6 | 14 | 6 | 0 | 1 | 16 | 1 | 1 |
| 4 IgE-AD | 18 | 20 | 21 | 9 | 36 | 14 | 37 | 0 | 0 | 0 | 21 | 4 | 1 |
| 5 IgE-AD | 9 | 12 | 12 | 10 | 30 | 1 | 17 | 0 | 0 | 0 | 14 | 3 | 0 |
| 6 IgE-AD | 16 | 12 | 8 | 7 | 17 | 15 | 15 | 5 | 0 | 2 | 12 | 7 | 2 |
| Mean | 19.7 | 21 | 28.3 | 12.2 | 28.5 | 9.5 | 28.3 | 3.3 | 0 | 0.8 | 22.5 | 2.8 | 1.2 |
| (±SD) | (±13.2) | (±11.1) | (±16.9) | (±5.9) | (±11.8) | (±7.5) | (±15.9) | (±2.6) | (±0) | (±0.9) | (±16.7) | (±2.5) | (±1.1) |
| *, ** | * | * | |||||||||||
| 8 XE | 0 | 11 | 5 | 15 | 6 | 11 | 26 | 3 | 0 | 0 | 54 | 0 | 0 |
| 9 XE | 0 | 10 | 10 | 37 | 1 | 7 | 38 | 2 | 0 | 2 | 48 | 4 | 0 |
| 10 XE | 0 | 2 | 6 | 5 | 0 | 30 | 24 | 7 | 0 | 0 | 25 | 0 | 0 |
| 11 XE | 0 | 26 | 13 | 57 | 11 | 6 | 87 | 6 | 0 | 0 | 64 | 0 | 0 |
| 12 XE | 0 | 14 | 3 | 35 | 0 | 11 | 25 | 0 | 0 | 0 | 24 | 0 | 0 |
| 13 XE | 0 | 11 | 16 | 19 | 3 | 4 | 14 | 0 | 0 | 0 | 18 | 0 | 1 |
| Mean | 0 | 12.3 | 8.8 | 28.0 | 3.5 | 11.5 | 35.7 | 3.0 | 0 | 0.3 | 38.8 | 0.7 | 0.2 |
| (±SD) | (±0) | (±7.8) | (±5.0) | (±18.7) | (±4.3) | (±9.5) | (±26.3) | (±3.0) | (±0) | (±0.8) | (±18.9) | (±1.6) | (±0.4) |
| 14 ACD | 0 | 36 | 54 | 21 | 30 | 1 | 24 | 1 | 0 | 2 | 35 | 2 | 0 |
| 15 ACD | 0 | 52 | 32 | 20 | 50 | 10 | 48 | 2 | 0 | 8 | 35 | 18 | 6 |
| 16 ACD | 0 | 16 | 50 | 7 | 55 | 62 | 74 | 24 | 0 | 0 | 64 | 0 | 0 |
| 17 ACD | 0 | 0 | 13 | 21 | 0 | 22 | 21 | 9 | 0 | 0 | 29 | 0 | 0 |
| 18 ACD | 0 | 47 | 13 | 24 | 90 | 54 | 131 | 16 | 4 | 2 | 48 | 4 | 3 |
| Mean | 0 | 30.2 | 32.4 | 18.6 | 45.0 | 29.8 | 59.6 | 10.4 | 0.8 | 2.4 | 42.2 | 4.8 | 1.8 |
| (±SD) | (±0) | (±21.8) | (±19.5) | (±6.7) | (±33.1) | (±26.9) | (±45.2) | (±9.7) | (±1.7) | (±3.2) | (±14.0) | (±7.5) | (±2.6) |
Disclaimer/Publisher’s Note: The statements, opinions and data contained in all publications are solely those of the individual author(s) and contributor(s) and not of MDPI and/or the editor(s). MDPI and/or the editor(s) disclaim responsibility for any injury to people or property resulting from any ideas, methods, instructions or products referred to in the content. |
© 2025 by the authors. Published by MDPI on behalf of the European Society of Dermatopathology. Licensee MDPI, Basel, Switzerland. This article is an open access article distributed under the terms and conditions of the Creative Commons Attribution (CC BY) license (https://creativecommons.org/licenses/by/4.0/).
Share and Cite
Tanei, R.; Hasegawa, Y. Immunohistopathological Analysis of Spongiosis Formation in Atopic Dermatitis Compared with Other Skin Diseases. Dermatopathology 2025, 12, 23. https://doi.org/10.3390/dermatopathology12030023
Tanei R, Hasegawa Y. Immunohistopathological Analysis of Spongiosis Formation in Atopic Dermatitis Compared with Other Skin Diseases. Dermatopathology. 2025; 12(3):23. https://doi.org/10.3390/dermatopathology12030023
Chicago/Turabian StyleTanei, Ryoji, and Yasuko Hasegawa. 2025. "Immunohistopathological Analysis of Spongiosis Formation in Atopic Dermatitis Compared with Other Skin Diseases" Dermatopathology 12, no. 3: 23. https://doi.org/10.3390/dermatopathology12030023
APA StyleTanei, R., & Hasegawa, Y. (2025). Immunohistopathological Analysis of Spongiosis Formation in Atopic Dermatitis Compared with Other Skin Diseases. Dermatopathology, 12(3), 23. https://doi.org/10.3390/dermatopathology12030023

