Cutaneous Syncytial Myoepithelioma: A Unique Variant Worth Recognizing
Abstract
1. Introduction
2. Origin and Derivation
3. Clinical Presentation
4. Microscopic Features
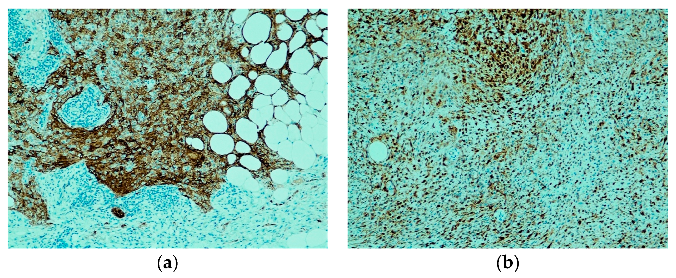
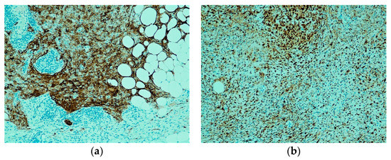
5. Immunohistochemical Profile and Genetics
6. Pathological Differential Diagnosis
7. Clinical Behavior
8. Conclusions
Funding
Institutional Review Board Statement
Informed Consent Statement
Data Availability Statement
Conflicts of Interest
References
- Michal, M.; Miettinen, M. Myoepitheliomas of the skin and soft tissues. Report of 12 cases. Virchows Arch. 1999, 434, 393–400. [Google Scholar] [CrossRef] [PubMed]
- Mentzel, T.; Requena, L.; Kaddu, S.; Soares de Aleida, L.M.; Sangueza, O.P.; Kutzner, H. Cutaneous myoepithelial neoplasms: Clinicopathologic and immunohistochemical study of 20 cases suggesting a continuous spectrum ranging from benign mixed tumor of the skin to cutaneous myoepithelioma and myoepithelial carcinoma. J. Cutan. Pathol. 2003, 30, 294–302. [Google Scholar] [CrossRef] [PubMed]
- Hornick, J.L.; Fletcher, C.D. Cutaneous myoepithelioma: A clinicopathologic and immunohistochemical study of 14 cases. Hum. Pathol. 2004, 35, 14–24. [Google Scholar] [CrossRef] [PubMed]
- Jo, V.Y.; Antonescu, C.R.; Zhang, L.; Dal Cin, P.; Hornick, J.L.; Fletcher, C.D. Cutaneous syncytial myoepithelioma: Clinicopathologic characterization in a series of 38 cases. Am. J. Surg. Pathol. 2013, 37, 710–718. [Google Scholar] [CrossRef] [PubMed]
- Jo, V.Y.; Fletcher, C.D. Myoepithelial neoplasms of soft tissue: An updated review of the clinicopathologic, immunophenotypic, and genetic features. Head Neck Pathol. 2015, 9, 32–38. [Google Scholar] [CrossRef]
- Plaza, J.A.; Brenn, T.; Chung, C.; Salim, S.; Linos, K.D.; Jour, G.; Duran Rincon, J.; Wick, M.; Sangueza, M.; Gru, A.A. Histomorphological and immunophenotypical spectrum of cutaneous myoepitheliomas: A series of 35 cases. J. Cutan Pathol. 2021, 48, 847–855. [Google Scholar] [CrossRef]
- Balachander, N.; Masthan, K.M.; Babu, N.A.; Anbazhagan, V. Myoepithelial cells in pathology. J. Pharm. Bioallied Sci. 2015, 7, S190–S193. [Google Scholar] [CrossRef]
- Schön, M.; Benwood, J.; O’Connell-Willstaedt, T.; Rheinwald, J.G. Human sweat gland myoepithelial cells express a unique set of cytokeratins and reveal the potential for alternative epithelial and mesenchymal differentiation states in culture. J. Cell Sci. 1999, 112, 1925–1936. [Google Scholar] [CrossRef]
- Obaidat, N.A.; Alsaad, K.O.; Ghazarian, D. Skin adnexal neoplasms—Part 2: An approach to tumours of cutaneous sweat glands. J. Clin. Pathol. 2007, 60, 145–159. [Google Scholar] [CrossRef]
- Kazakov, D.V.; Belousova, I.E.; Bisceglia, M.; Calonje, E.; Emberger, M.; Grayson, W.; Hantschke, M.; Kempf, W.; Kutzner, H.; Michal, M.; et al. Apocrine mixed tumor of the skin (“mixed tumor of the folliculosebaceous-apocrine complex”). Spectrum of differentiations and metaplastic changes in the epithelial, myoepithelial, and stromal components based on a histopathologic study of 244 cases. J. Am. Acad. Dermatol. 2007, 57, 467–483. [Google Scholar] [CrossRef]
- Elder, D.E.; Massi, D.; Scolyer, R.A.; Willemze, R. WHO Classification of Skin Tumours, 4th ed.; IARC: Lyon, France, 2018; p. 194. [Google Scholar]
- Alós, L.; Cardesa, A.; Bombí, J.A.; Mallofré, C.; Cuchi, A.; Traserra, J. Myoepithelial tumors of salivary glands: A clinicopathologic, immunohistochemical, ultrastructural, and flow-cytometric study. Semin. Diagn. Pathol. 1996, 13, 138–147. [Google Scholar] [PubMed]
- Montalvo, N.; Redrobán, L.; Galarza, D.; Ramírez, I. Cutaneous Myoepithelioma: An Unusual Tumor in the Hand. Case Rep. Pathol. 2020, 2020, 3747013. [Google Scholar] [CrossRef] [PubMed]
- Naujokas, A.; Charli-Joseph, Y.; Ruben, B.S.; Yeh, I.; LeBoit, P.E.; McCalmont, T.H.; Pincus, L.B. SOX-10 expression in cutaneous myoepitheliomas and mixed tumors. J. Cutan. Pathol. 2014, 41, 353–363. [Google Scholar] [CrossRef] [PubMed]
- Alomari, A.K.; Brown, N.; Andea, A.A.; Betz, B.L.; Patel, R.M. Cutaneous syncytial myoepithelioma: A recently described neoplasm which may mimic nevoid melanoma and epithelioid sarcoma. J. Cutan. Pathol. 2017, 44, 892–897. [Google Scholar] [CrossRef]
- Doyle, L.A.; Mariño-Enriquez, A.; Fletcher, C.D.; Hornick, J.L. ALK rearrangement and overexpression in epithelioid fibrous histiocytoma. Mod. Pathol. 2015, 28, 904–912. [Google Scholar] [CrossRef]
- Jo, V.Y.; Antonescu, C.R.; Dickson, B.C.; Swanson, D.; Zhang, L.; Fletcher, C.D.M.; Demicco, E.G. Cutaneous Syncytial Myoepithelioma Is Characterized by Recurrent EWSR1-PBX3 Fusions. Am. J. Surg. Pathol. 2019, 43, 1349–1354. [Google Scholar] [CrossRef]
- MacKinnon, W.F.; Carter, M.D.; Bridge, J.A.; Tremaine, R.D.; Walsh, N.M.G. EWSR1-PBX3 gene fusion in cutaneous syncytial myoepithelioma. J. Cutan. Pathol. 2019, 46, 421–424. [Google Scholar] [CrossRef]
- Bahrami, A.; Dalton, J.D.; Krane, J.F.; Fletcher, C.D. A subset of cutaneous and soft tissue mixed tumors are genetically linked to their salivary gland counterpart. Genes Chromosomes Cancer 2012, 51, 140–148. [Google Scholar] [CrossRef]
- Lee, J.H.; Huang, H.Y.; Lan, J.; Hwang, C.C.; Liu, C.Y. Cutaneous syncytial myoepithelioma: A case report with emphasis on the differential diagnosis of problematic dermal tumors. Oncol Lett. 2015, 9, 2275–2277. [Google Scholar] [CrossRef]
- Wales, C.; Diamond, S.; Hinds, B. Cutaneous Syncytial Myoepithelioma: A Nondescript Skin Tumor with Serious Diagnostic Pitfalls. Int. J. Surg. Pathol. 2020, 28, 63–67. [Google Scholar] [CrossRef]
- Doyle, L.A.; Fletcher, C.D. EMA positivity in epithelioid fibrous histiocytoma: A potential diagnostic pitfall. J. Cutan. Pathol. 2011, 38, 697–703. [Google Scholar] [CrossRef] [PubMed]
- Plaza, J.A.; Torres-Cabala, C.; Evans, H.; Diwan, A.H.; Prieto, V.G. Immunohistochemical expression of S100A6 in cellular neurothekeoma: Clinicopathologic and immunohistochemical analysis of 31 cases. Am. J. Dermatopathol. 2009, 31, 419–422. [Google Scholar] [CrossRef]
- Tanahashi, J.; Kashima, K.; Daa, T.; Kondo, Y.; Kuratomi, E.; Yokoyama, S. A case of cutaneous myoepithelial carcinoma. J. Cutan. Pathol. 2007, 34, 648–653. [Google Scholar] [CrossRef] [PubMed]
- Hirai, I.; Tanese, K.; Nakamura, Y.; Amagai, M.; Mikami, S.; Funakoshi, T. Case of metastatic cutaneous myoepithelial carcinoma lacking severe cytological atypia. J. Dermatol. 2020, 47, e97–e98. [Google Scholar] [CrossRef] [PubMed]


Clinical presentation
|
Microscopic features
|
Immunohistochemical profile
|
Genetic profile
|
Pathological differential diagnosis
|
Prognosis
|
Disclaimer/Publisher’s Note: The statements, opinions and data contained in all publications are solely those of the individual author(s) and contributor(s) and not of MDPI and/or the editor(s). MDPI and/or the editor(s) disclaim responsibility for any injury to people or property resulting from any ideas, methods, instructions or products referred to in the content. |
© 2023 by the author. Licensee MDPI, Basel, Switzerland. This article is an open access article distributed under the terms and conditions of the Creative Commons Attribution (CC BY) license (https://creativecommons.org/licenses/by/4.0/).
Share and Cite
Mahmood, M.N. Cutaneous Syncytial Myoepithelioma: A Unique Variant Worth Recognizing. Dermatopathology 2023, 10, 219-225. https://doi.org/10.3390/dermatopathology10030030
Mahmood MN. Cutaneous Syncytial Myoepithelioma: A Unique Variant Worth Recognizing. Dermatopathology. 2023; 10(3):219-225. https://doi.org/10.3390/dermatopathology10030030
Chicago/Turabian StyleMahmood, Muhammad N. 2023. "Cutaneous Syncytial Myoepithelioma: A Unique Variant Worth Recognizing" Dermatopathology 10, no. 3: 219-225. https://doi.org/10.3390/dermatopathology10030030
APA StyleMahmood, M. N. (2023). Cutaneous Syncytial Myoepithelioma: A Unique Variant Worth Recognizing. Dermatopathology, 10(3), 219-225. https://doi.org/10.3390/dermatopathology10030030
