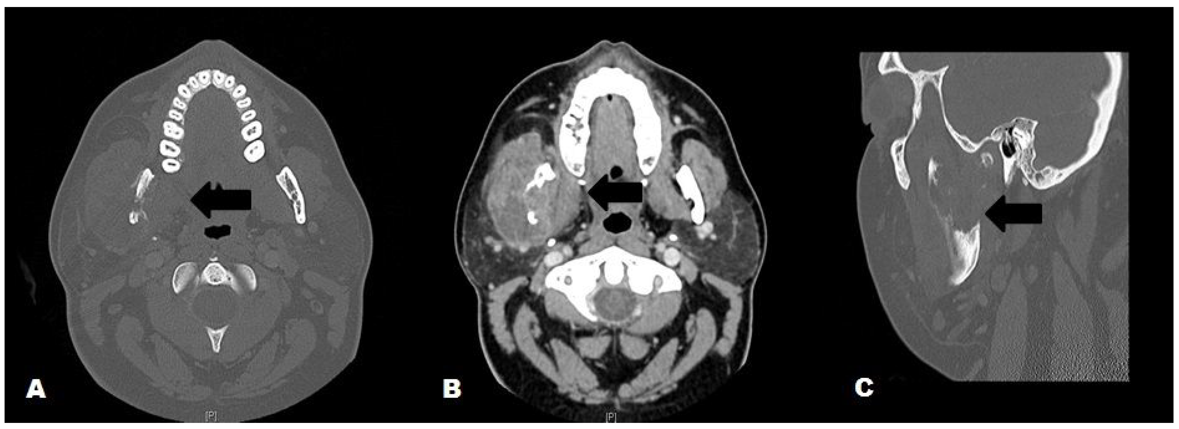
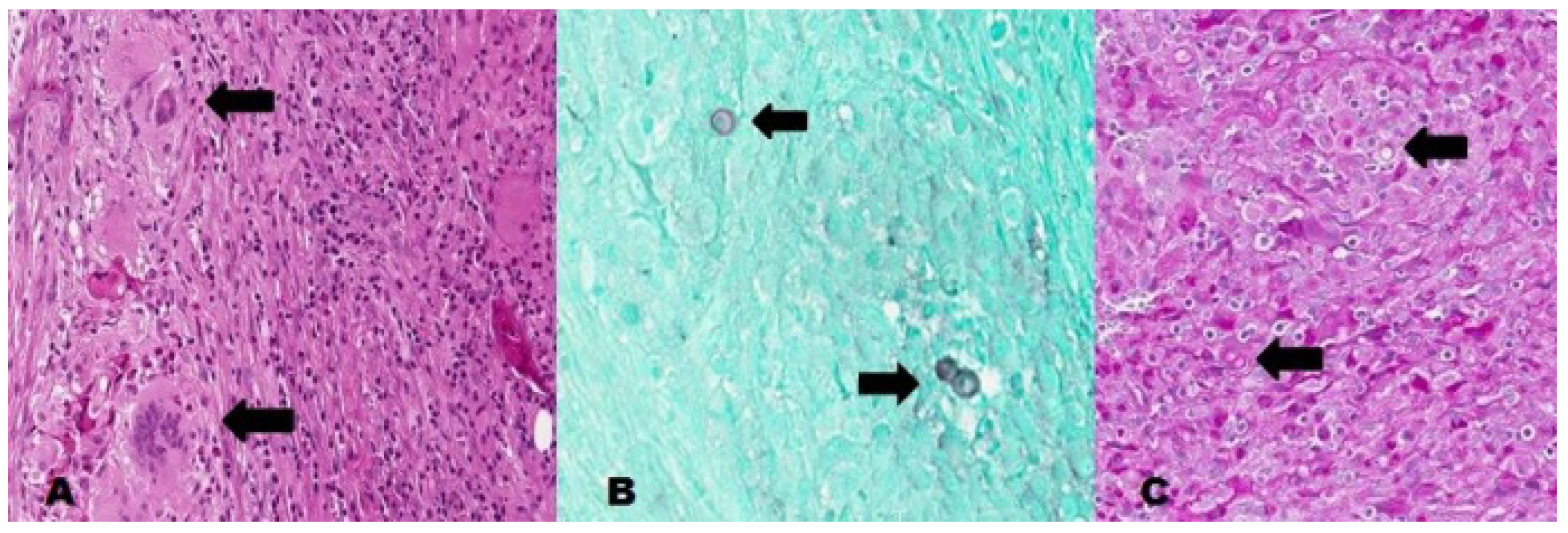
Mandibular Blastomycosis: A Case Report and Review of the Literature
Abstract
Share and Cite
Albarillo, F.S.; Varma, G.T.; MacLeod, S.P.R. Mandibular Blastomycosis: A Case Report and Review of the Literature. GERMS 2018, 8, 207-213. https://doi.org/10.18683/germs.2018.1148
Albarillo FS, Varma GT, MacLeod SPR. Mandibular Blastomycosis: A Case Report and Review of the Literature. GERMS. 2018; 8(4):207-213. https://doi.org/10.18683/germs.2018.1148
Chicago/Turabian StyleAlbarillo, Fritzie S., Gotam T. Varma, and Stephen P.R. MacLeod. 2018. "Mandibular Blastomycosis: A Case Report and Review of the Literature" GERMS 8, no. 4: 207-213. https://doi.org/10.18683/germs.2018.1148
APA StyleAlbarillo, F. S., Varma, G. T., & MacLeod, S. P. R. (2018). Mandibular Blastomycosis: A Case Report and Review of the Literature. GERMS, 8(4), 207-213. https://doi.org/10.18683/germs.2018.1148
