Next Article in Journal
Oral Biofilms–Pivotal Role in Understanding Microbes and Their Relevance to the Human Host
Previous Article in Journal
Facial Nerve Palsy: An Early Sign of COVID-19
 
 
Germs is published by MDPI from Volume 15 Issue 4 (2025). Previous articles were published by another publisher in Open Access under a CC-BY (or CC-BY-NC-ND) licence, and they are hosted by MDPI on mdpi.com as a courtesy and upon agreement with the former publisher Infection Science Forum.
Font Type:
Arial Georgia Verdana
Font Size:
Aa Aa Aa
Line Spacing:
Column Width:
Background:
Case Report

Facial Palsy at the Onset of SARS-CoV-2 Infection. A Case Report

by
Victoria Bîrluţiu
1,2,
Rareş Mircea Bîrluţiu
3,*,
Alin Iulian Feiereisz
1,2 and
Elena Simona Dobriţoiu
1,2
1
Faculty of Medicine Sibiu, Lucian Blaga University of Sibiu, Romania
2
County Clinical Emergency Hospital, 2A Lucian Blaga street, 550169 Sibiu, Romania
3
FOIȘOR Clinical Hospital of Orthopedics, Traumatology, and Osteoarticular TB, 35-37 Ferdinand boulevard, District 2, 021382 Bucharest, Romania
*
Author to whom correspondence should be addressed.
Germs 2023, 13(1), 65-71; https://doi.org/10.18683/germs.2023.1368
Submission received: 18 July 2022 / Revised: 15 January 2023 / Accepted: 31 January 2023 / Published: 31 March 2023

Abstract

Introduction: SARS-CoV-2 infection has been associated with an increased number of deaths, due to severe respiratory damage, cardiovascular impairment, acute renal failure, and also neurological injury, including stroke, which is most commonly responsible for death. These are elements that determine patients to seek medical advice. Case report: This is a case report of a female Caucasian patient, aged 65 years, with type 2 diabetes mellitus on metformin 1000 mg twice/day, and hypertension, who presented to the emergency department with one day history of left orbital hyperlacrimation and chewing and swallowing difficulty. On physical examination there was a decreased blink reflex, flattened nasolabial fold, and drooping left corner of the mouth, with left conjunctival hyperemia, and a present corneal reflex. Motion limited head CT and MRI revealed no pathological changes suggestive for the appearance of paresis. The patient was transferred to the Department of Infectious Diseases after laboratory confirmation of SARS-CoV-2 infection. Under treatment, improvement of paresis after three days was observed, with minimal asymmetry left five days after admission. A reassessment one month after discharge revealed complete recovery of the paresis, physical asthenia, and headache, in the context of long-COVID syndrome. Conclusions: The appearance of paresis may be a consequence of the direct action of the virus on the nervous system, of hypercoagulability, or, later, of an immune mechanism. The case presented is judged as an early, direct action of the virus on the central nervous system, the respiratory symptoms were minimized by the patient at the time of presentation.

Introduction

SARS-CoV-2 infection is responsible for more than 540 million cases around the world and has been associated with more than 6.3 million deaths, due to severe respiratory damage, cardiovascular impairment, acute renal failure, and also neurological injury, including stroke that is most commonly responsible for death. Multiple mechanisms of multisystemic damage have been reported, including the direct action of the virus or transsynaptic transfer via olfactory nerve or vascular endothelium [1], the cytokine storm, immunological mechanisms, autoimmune mechanisms, sepsis, coagulation disorders, or drug-induced toxicity (antivirals drugs, antibiotics, monoclonal antibodies, antifungal medications). The neurological injury from SARS-CoV-2 infection may be a consequence of the direct viral injury of nervous tissue [2], excessive inflammation in the nervous tissue [3], a consequence of the binding of the virus to ACE2 receptors, exerting a proinflammatory action, with the release of proinflammatory cytokines that are responsible for altering the homeostasis, as in sepsis-associated encephalopathy [4,5], the production of anti-neuronal autoantibodies, vasculitis, hypoxia, and a procoagulant action [6,7].
In the case of hospitalized COVID-19 patients, neurological impairment is present in up to 37% of critical cases [8], and up to 84% of the patients admitted to the intensive care unit also present neurological impairment [9]. In moderate or severe forms of the disease, 20-70% of patients present neurocognitive disorders [8,9] and develop embolic strokes or peripheral neurological impairment [8,9].
From the point of view of serological markers in response to SARS-CoV-2 infection, suggestive of nerve injury, there are increases in the levels of the axonal lesion marker, respectively the neurofilament light chain protein, both in mild and moderate or severe forms, as well as increases in markers of astrocyte activation and glial fibrillary acidic protein, in moderate and severe forms of the disease [10].
However, there are also situations in which neurological impairment can be associated with pre-existing lesions that increase the vulnerability of the nervous system to SARS-CoV-2 infection with proven neurotropic action [11]. Additional auto-immune etiologies that include Guillain-Barré syndrome, or temporal arteritis, trauma, stroke, and tumors such as acoustic neuroma, or perineural spread could be taken into consideration.
Also, in SARS-CoV-2 infection, there is an association in 0.008% of cases with Bell's palsy [12], increased incidence of Guillain-Barré syndrome and stroke (5.7%), especially in severe cases [9].

Case report

This is a case report of a female Caucasian patient, aged 65 years, with type 2 diabetes mellitus, under treatment with oral antihyperglycemic agents (metformin 1000 mg twice/day) and essential high blood pressure, who presented to the Emergency Department of the County Clinical Emergency Hospital Sibiu, Romania for left eye hyperlacrimation that had started one day prior, with swallowing difficulties of food and water secondary to backflow. At the time of admission, on physical examination, the following changes were noted: class I obesity with a BMI of 35 kg/m2, pale skin, pulmonary examination without crackles, peripheral oxygen saturation 98% (while breathing room air), heart rate of 70 beats per minute, blood pressure 142 over 62 mmHg, respiratory rate of 18 breaths per minute, peripheral left facial paralysis (left lagophthalmia, eyelid excursion 4/5, wiped left forehead folds, drooping of the left corner of the mouth), left conjunctival hyperemia, and a present corneal reflex. Only after insisting on other complaints did the patient admit physical asthenia and dry cough for the last two days, which worsened at night.
The patient was admitted to the hospital for further investigations and was tested prior to hospitalization in the Neurology clinic for SARS-CoV-2 infection. SARS-CoV-2 infection was confirmed by a positive result of a real-time reverse transcriptase polymerase chain reaction (RT-PCR) assay from nasal and pharyngeal swabs with a real-time PCR cycle threshold value of 27.8. Genome sequencing was not performed, and the Omicron variant was mostly circulating in the territory for approximately a month. The patient was transferred to the Infectious Diseases Department for the initiation of SARS-CoV-2 infection therapy. Comorbidities such as diabetes mellitus, essential high blood pressure, and obesity were potentially unfavorable evolution factors.
From the laboratory examinations that were performed, we report the following: a D-dimer level of 584.26 ng/mL (reference values 45-499 ng/mL), blood sugar concentration of 451 mg/dL (80-115 mg/dL), leukocytes 4910 cells/mm3, hemoglobin 14.5 g/dL (12-15 g/dL), hematocrit 44.6% (37-47%), differential leukocyte count: neutrophils 67% (30-75%), lymphocytes 21% (25-35%), monocytes 8.6% (2-10%), eosinophils 2.2% (1-4%), basophils 1.2% (0-1 %), neutrophil-lymphocyte ratio 3.194. The urine culture was positive for Escherichia coli (>100000 CFU/mL), a strain that maintained its sensitivity to aminopenicillins, third-generation cephalosporins, carbapenems, aztreonam, and fluoroquinolones. From the rest of the laboratory examinations (C-reactive protein, ferritin, fibrinogen, urea, and creatinine), all results were within reference levels.
A chest X-ray was also performed and revealed a bilateral marked pulmonary interstitium.
A cranial computerized tomography (CT) scan with intravenous contrast medium administration was performed, and acute brain lesions (cerebral edema, intracerebral hemorrhage, or tumor) or chronic brain lesions were excluded.
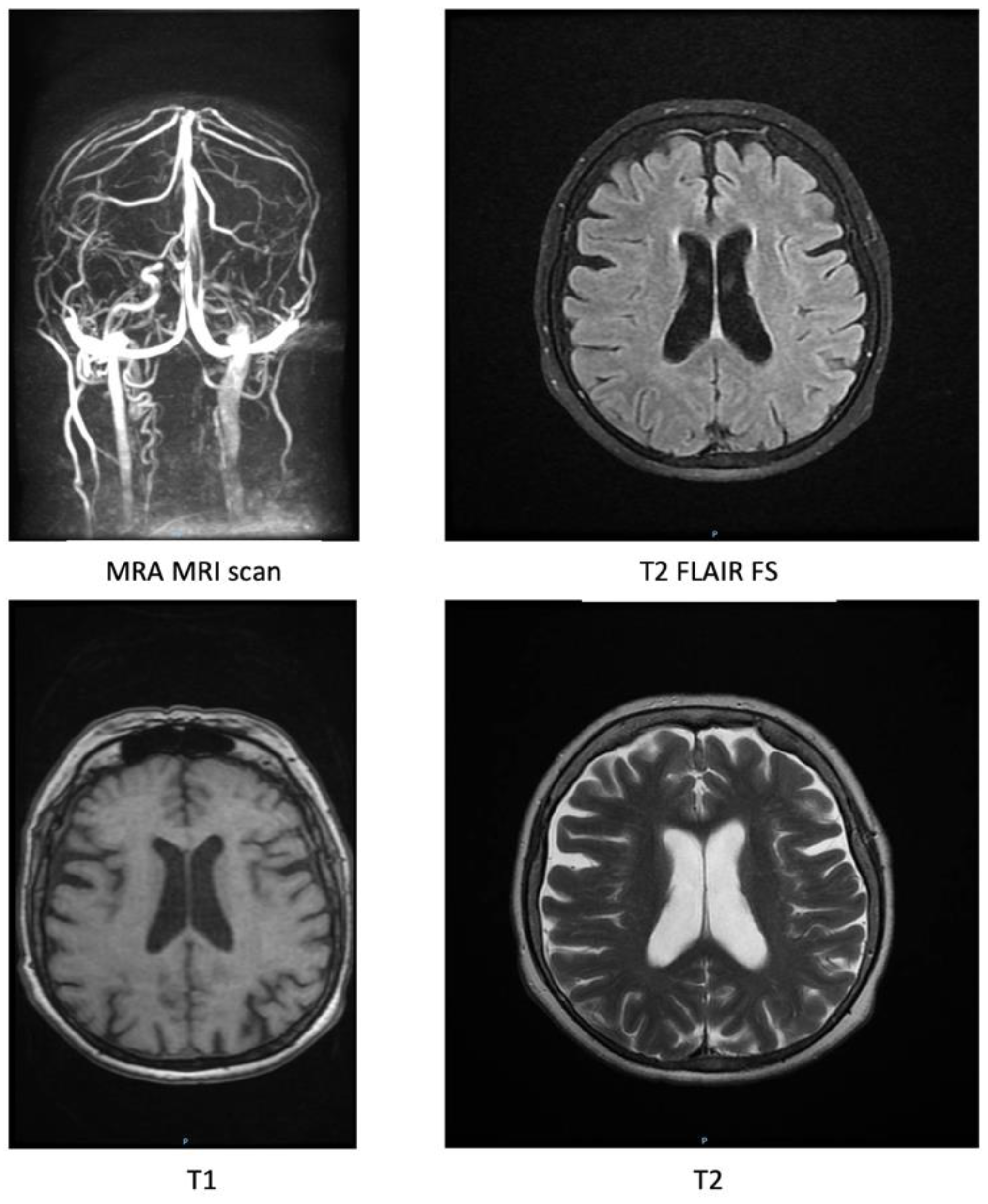
A rapid-sequence cranial magnetic resonance imaging (MRI) and magnetic resonance angiography (MRA) were also performed. Under subject motion artifacts conditions, the following results were reported: symmetrical cortical relief with wide cortical and cerebellar grooves and a deep Sylvian fissure. Midline structures with normal topography. The symmetrical ventricular system was located on the midline, slightly compensatory dilated, and had normal pressure. No areas of focused edema or mass edema, no restriction in diffusion sequences, no blood degradation products in magnetic susceptibility sequences, a non-specific frontal demyelinating lesion, non-restrictive, and with a diameter of about 5 mm, with vasculo-degenerative substrate. The 3D time of flight angiography sequence highlights a sinuous trajectory in the V4 portion of the vertebral arteries and in the basilar arteries, without other abnormalities of trajectory, caliber, or flow in the cerebral arterial system. The 2D time of flight angiography sequence does not show abnormalities in trajectory, caliber, or flow in the vessels of the cerebral venous system. Orbits, optic nerves, chiasm and optic tracts, pituitary gland, and internal auditory canals had a normal MRI appearance. The sequence with thin sections of the base of the skull did not highlight any pathological or signal abnormalities in the cranial nerves. Hypertrophy of the mucosa of the middle and lower right nasal conchae was noted; a right-deviated nasal septum. In conclusion, cerebral atrophy and right-deviated nasal septum were observed.
Further tests were conducted, and the following pathologies were excluded: an infection caused by herpes simplex virus, varicella-zoster virus, cytomegalovirus, Epstein Barr virus, facial paresis in the context of Lyme disease (western blot IgM and IgG negative tests, a lack of an epidemiological context regarding the circulation of Borrelia spp. vectors in February), and HIV infection (HIV antibody negative test). The patient was investigated also for Mycobacterium tuberculosis infection, and the result of the QuantiFERON®-TB Gold test was negative. Unfortunately, a lumbar puncture was not performed, it was refused by the patient, however as we mentioned, the patient did not have neck stiffness. The identification of SARS-CoV-2 from the cerebrospinal fluid was thus not technically possible.
The evolution was favorable under antiviral treatment with favipiravir, a pyrazine carboxamide derivative, administered orally against SARS-CoV-2 as follows: day 1: 1800 mg twice daily; days 2-9: 600 mg twice daily; dexamethasone 8 mg twice daily for 7 days i.v., group B vitamins, insulin, enoxaparin 60 mg in 0.6 mL, 2 single dose syringe/day for subcutaneous administration, ciprofloxacin 500 mg twice daily orally for 7 days for urinary tract infection, facial massage with the improvement of paresis after three days, and minimal asymmetry left five days after admission. The patient was discharged on the 9thday, with the following recommendations: 180 carbohydrates diet per day, 38 units of basal insulin, metformin 1000 mg twice/day, benfotiamine/pyridoxine hydrochloride/cyanocobalamin 2 capsules/day, and neurological rehabilitation. A reassessment one month after discharge revealed complete recovery of the paresis, physical asthenia, and headache (Figure 1 and Figure 2).

Discussion

SARS-CoV-2 infection, as experienced in the first two pandemic years, presented various clinical aspects, from asymptomatic or mild cases to severe and critical cases. Respiratory, cardiovascular, digestive, and neuropsychological symptoms were the most common. During the first wave, 36% of hospitalized patients in Wuhan, China presented various central, peripheral, or musculoskeletal neurological manifestations [8]. There are other authors who have also described neurological manifestations associated with COVID-19, such as Guillain Barré syndrome [13], but also encephalopathy [2,5], disseminated encephalomyelitis secondary to hemorrhagic and necrotic lesions or encephalitic syndromes [2].
The most common neurological symptoms associated with SARS-CoV-2 infection are headache (especially associated with the cytokine storm) [14], migraine (associated with inflammatory neurovascular processes) [15], chemosensory dysfunctions (anosmia/hyposmia, ageusia or hypogeusia), myalgia, nausea, dizziness, ataxia, agitation, psychosis, anxiety, and sleep disorders. Neurological manifestations of SARS-CoV-2 infection are attributed to either viral neurotropism [8] by the direct action of the virus or via ACE2 receptors, present in glial cells, neurons, and in the capillary endothelium, allowing the virus to enter the brain through the disruption of the blood-brain barrier, or through the interface of the olfactory mucosa via an axonal pathway, with the presence of viral RNA, especially in the medulla and cerebellum [16]. Central nervous system impairment can also be the prerogative of the immune mechanism, in the proinflammatory phase of the cytokine storm [12].
In our experience during the first wave, we noticed some elements of neurological manifestations, such as syncope, and micturition syncope in addition to the commonly described manifestations such as strokes, especially ischemic strokes associated with an increased inflammatory response [17,18], or a hemorrhagic one associated with renin angiotensin system (RAS) downregulation [19], intracranial hypertension syndrome, cerebral venous sinus thrombosis, opsoclonus-myoclonus-ataxia syndrome (either as a consequence of an immune mechanism or secondary to immunotherapy used in SARS-CoV-2 infection) [20], hyposmia, hypogeusia, brain hemorrhage, encephalitis, myelitis, peripheral neuritis, etc. During this fifth wave of SARS-CoV-2 infection, neurological onset as ischemic stroke is much more frequent (from personal observations), suggesting that one of the Omicron variants had significant neurotropism. Chou SH et al. report in their study that included a total number of 3740 patients with neurological signs, that the highest prevalence, 49% of manifestations, belong to acute encephalopathy, followed by coma 17%, stroke 6%, meningitis and or encephalitis only in 0.5% of cases, suggesting that patients with neurological manifestations have a higher risk of death during hospitalization [5].
The most common neurological impairment described in SARS-CoV-2 infection with onset prior to respiratory manifestations is dysosmia or anosmia and dysgeusia or ageusia.
We have not encountered in patients previously treated in our clinic the presence of facial paresis as a manifestation of SARS-CoV-2 infection. We also performed a literature search to identify similar cases. We found reports of facial paralysis associated with Guillain-Barré syndrome [21] as well as cases with facial diplegia as a possible variant of Guillain-Barré syndrome [22] or isolated facial diplegia [23].
Facial paralysis with no respiratory symptoms or fever before onset has been described. Figueiredo et al [24]. described peripheral facial paralysis as the first manifestation of SARS-CoV-2 infection in a pregnant woman who was subsequently diagnosed with COVID-19. Other cases have been diagnosed in Asia, in a Nepalese patient [25] and Singapore, in another case of left facial paralysis accompanied by left retroauricular pain and dysgeusia on the 6th day of SARS CoV-2 infection [12].
Zammit et al. reported an incidence of 3.5% (30 of 852) for facial paralysis in 2020, considering that the increasing number of cases can be assigned to SARS-CoV-2 infection [26]. Pediatric cases of SARS-CoV-2 infection associated with facial palsy have also been described in children with comorbidities such as hyper-IgM syndrome [27] or previously healthy children [28].
Cases of facial palsy occurring in young male patients without comorbidities have been described. A case was reported in a 27 year-old patient, on day 6 of infection [12] not simultaneously with respiratory onset, as we found in our case. Muras et al. described a case of SARS-CoV-2 and Epstein-Barr coinfection associated with bilateral facial paresis [29], while Ozer et al [30]. describe concomitant damage to cranial nerves VII and VIII during the course of SARS-CoV-2 infection.
Bosco D et al. report that disorders of carbohydrate metabolism are found more frequently in patients with facial paralysis, in their study 38% of cases versus 18% in the control group, for newly diagnosed patients, the association was reported to be present in 19% of cases versus 6% in the control group. In our case, the association of facial paralysis with SARS-CoV-2 infection is not accidental, as the uncontrolled blood glucose levels were also present previously in the history of the patient based on the previously performed laboratory examinations [31].

Conclusions

Studies published during the first two years of the pandemic have confirmed an increase in the incidence of facial paralysis and certainly include SARS-CoV-2 among the triggers of this condition. The appearance of paresis may be the consequence of the direct action of the virus on the nervous system, hypercoagulability, or, later, an immune mechanism. The case presented is judged as an early, direct action of the virus on the central nervous system, with the respiratory symptoms being minimized by the patient at the time of presentation.

Author Contributions

All authors made contributions in equal parts to this manuscript in terms of acquisition, analysis, and interpretation of data, conception, and design, and drafting the manuscript. VB designed the study and coordinated data collection. VB, AF and ESD were involved in providing the treatment for the patient and in collecting the data. All authors were involved in revising the manuscript. All authors read and approved the final version of the manuscript.

Funding

None to declare.

Data Availability Statement

All data generated or analyzed during this study are included in this published article.

Conflicts of Interest

All authors – none to declare.

Consent

Written informed consent was obtained from the patient for publication of their case report and any accompanying images.

Ethics Approval

The study was accepted by the Ethics Committee of the County Clinical Emergency Hospital, Sibiu, Romania, and they encouraged publishing the article.

References

  1. Zubair, A.S.; McAlpine, L.S.; Gardin, T.; Farhadian, S.; Kuruvilla, D.E.; Spudich, S. Neuropathogenesis and neurologic manifestations of the coronaviruses in the age of coronavirus disease 2019: A review. JAMA Neurol 2020, 77, 1018–1027. [Google Scholar] [CrossRef]
  2. Paterson, R.W.; Brown, R.L.; Benjamin, L.; et al. The emerging spectrum of COVID-19 neurology: Clinical, radiological and laboratory findings. Brain 2020, 143, 3104–3120. [Google Scholar] [CrossRef]
  3. Yang, A.C.; Kern, F.; Losada, P.M.; et al. Dysregulation of brain and choroid plexus cell types in severe COVID-19. Nature 2021, 595, 565–571. [Google Scholar] [CrossRef] [PubMed]
  4. Chung, H.Y.; Wickel, J.; Brunkhorst, F.M.; Geis, C. Sepsis-associated encephalopathy: From delirium to dementia? J Clin Med 2020, 9, 703. [Google Scholar] [CrossRef] [PubMed]
  5. Chou, S.H.; Beghi, E.; Helbok, R.; et al. Global incidence of neurological manifestations among patients hospitalized with COVID-19 – A report for the GCS-NeuroCOVID Consortium and the ENERGY Consortium. JAMA Netw Open 2021, 4, e2112131. [Google Scholar] [CrossRef] [PubMed]
  6. Becker, R.C. COVID-19-associated vasculitis and vasculopathy. J Thromb Thrombolysis 2020, 50, 499–511. [Google Scholar] [CrossRef]
  7. Song, E.; Zhang, C.; Israelow, B.; et al. Neuroinvasion of SARS-CoV-2 in human and mouse brain. J Exp Med 2021, 218, e20202135. [Google Scholar] [CrossRef]
  8. Mao, L.; Jin, H.; Wang, M.; et al. Neurologic manifestations of hospitalized patients with coronavirus disease 2019 in Wuhan, China. JAMA Neurol 2020, 77, 683–690. [Google Scholar] [CrossRef]
  9. Helms, J.; Kremer, S.; Merdji, H.; et al. Neurologic features in severe SARS-CoV-2 infection. N Engl J Med 2020, 382, 2268–2270. [Google Scholar] [CrossRef]
  10. Kanberg, N.; Ashton, N.J.; Andersson, L.M.; et al. Neurochemical evidence of astrocytic and neuronal injury commonly found in COVID-19. Neurology 2020, 95, e1754–e1759. [Google Scholar] [CrossRef]
  11. Douaud, G.; Lee, S.; Alfaro-Almagro, F.; et al. SARS-CoV-2 is associated with changes in brain structure in UK Biobank. Nature 2022, 604, 697–707. [Google Scholar] [CrossRef] [PubMed]
  12. Goh, Y.; Beh, D.L.L.; Makmur, A.; Somani, J.; Chan, A.C.Y. Pearls & Oy-sters: Facial nerve palsy in COVID-19 infection. Neurology 2020, 95, 364–367. [Google Scholar] [CrossRef] [PubMed]
  13. Dinkin, M.; Gao, V.; Kahan, J.; et al. COVID-19 presenting with ophthalmoparesis from cranial nerve palsy. Neurology 2020, 95, 221–223. [Google Scholar] [CrossRef] [PubMed]
  14. Divani, A.A.; Andalib, S.; Biller, J.; et al. Central nervous system manifestations associated with COVID-19. Curr Neurol Neurosci Rep 2020, 20, 60. [Google Scholar] [CrossRef] [PubMed]
  15. Bolay, H.; Özge, A.; Uludüz, D.; Baykan, B. Are migraine patients at increased risk for symptomatic coronavirus disease 2019 due to shared comorbidities? Headache 2020, 60, 2508–2521. [Google Scholar] [CrossRef]
  16. Meinhardt, J.; Radke, J.; Dittmayer, C.; et al. Olfactory transmucosal SARS-CoV-2 invasion as a port of central nervous system entry in individuals with COVID-19. Nat Neurosci 2021, 24, 168–175. [Google Scholar] [CrossRef]
  17. Ntaios, G.; Michel, P.; Georgiopoulos, G.; et al. Characteristics and outcomes in patients with COVID-19 and acute ischemic stroke: The Global COVID-19 Stroke Registry. Stroke 2020, 51, e254–e258. [Google Scholar] [CrossRef]
  18. Li, Y.; Li, M.; Wang, M.; et al. Acute cerebrovascular disease following COVID-19: A single center, retrospective, observational study. Stroke Vasc Neurol 2020, 5, 279–284. [Google Scholar] [CrossRef]
  19. Hess, D.C.; Eldahshan, W.; Rutkowski, E. COVID-19-related stroke. Transl Stroke Res 2020, 11, 322–325. [Google Scholar] [CrossRef]
  20. Oh, S.Y.; Kim, J.S.; Dieterich, M. Update on opsoclonus-myoclonus syndrome in adults. J Neurol 2019, 266, 1541–1548. [Google Scholar] [CrossRef]
  21. Juliao Caamaño, D.S.; Alonso Beato, R. Facial diplegia, a possible atypical variant of Guillain-Barré syndrome as a rare neurological complication of SARS-CoV-2. J Clin Neurosci 2020, 77, 230–232. [Google Scholar] [CrossRef]
  22. Vargas, J.; Niebles, C. Diplejia facial una variante del síndrome de Guillain Barre. Rev Fac Med 2015, 23, 110–113. [Google Scholar] [CrossRef]
  23. Ramirez, N.; Ujueta, D.; Diaz, L.F.; et al. Guillain-Barré syndrome with bilateral facial diplegia secondary to severe acute respiratory syndrome coronavirus-2 infection: A case report. J Med Case Rep 2021, 15, 558. [Google Scholar] [CrossRef]
  24. Figueiredo, R.; Falcão, V.; Pinto, M.J.; Ramalho, C. Peripheral facial paralysis as presenting symptom of COVID-19 in a pregnant woman. BMJ Case Rep 2020, 13, e237146. [Google Scholar] [CrossRef] [PubMed]
  25. Bastola, A.; Sah, R.; Nepal, G.; et al. Bell's palsy as a possible neurological complication of COVID-19: A case report. Clin Case Rep 2020, 9, 747–750. [Google Scholar] [CrossRef] [PubMed]
  26. Zammit, M.; Markey, A.; Webb, C. A rise in facial nerve palsies during the coronavirus disease 2019 pandemic. J Laryngol Otol. 2020, 1–4. [Google Scholar] [CrossRef] [PubMed]
  27. Theophanous, C.; Santoro, J.D.; Itani, R. Bell's palsy in a pediatric patient with hyper IgM syndrome and severe acute respiratory syndrome coronavirus 2 (SARS-CoV-2). Brain Dev 2021, 43, 357–359. [Google Scholar] [CrossRef]
  28. Bsales, S.; Olson, B.; Gaur, S.; et al. Bell's palsy associated with SARS-CoV-2 infection in a 2-year-old child. J Pediatr Neurol 2021, 19, 440–442. [Google Scholar] [CrossRef]
  29. Cabrera Muras, A.; Carmona-Abellán, M.M.; Collía Fernández, A.; Uterga Valiente, J.M.; Antón Méndez, L.; García-Moncó, J.C. Bilateral facial nerve palsy associated with COVID-19 and Epstein-Barr virus co-infection. Eur J Neurol 2021, 28, 358–360. [Google Scholar] [CrossRef]
  30. Ozer, F.; Alkan, O. Simultaneous sudden hearing loss and peripheral facial paralysis in a patient with Covid-19. Ear Nose Throat J. 2021, 1455613211028094. [Google Scholar] [CrossRef]
  31. Bosco, D.; Plastino, M.; Bosco, F.; et al. Bell's palsy: A manifestation of prediabetes? Acta Neurol Scand 2011, 123, 68–72. [Google Scholar] [CrossRef]
Figure 1. Facial palsy, clinical aspect in our patient.
Figure 1. Facial palsy, clinical aspect in our patient.
Germs 13 00065 g001
Figure 2. Magnetic resonance imaging scan sequences.
Figure 2. Magnetic resonance imaging scan sequences.
Germs 13 00065 g002

Share and Cite

MDPI and ACS Style

Bîrluţiu, V.; Bîrluţiu, R.M.; Feiereisz, A.I.; Dobriţoiu, E.S. Facial Palsy at the Onset of SARS-CoV-2 Infection. A Case Report. Germs 2023, 13, 65-71. https://doi.org/10.18683/germs.2023.1368

AMA Style

Bîrluţiu V, Bîrluţiu RM, Feiereisz AI, Dobriţoiu ES. Facial Palsy at the Onset of SARS-CoV-2 Infection. A Case Report. Germs. 2023; 13(1):65-71. https://doi.org/10.18683/germs.2023.1368

Chicago/Turabian Style

Bîrluţiu, Victoria, Rareş Mircea Bîrluţiu, Alin Iulian Feiereisz, and Elena Simona Dobriţoiu. 2023. "Facial Palsy at the Onset of SARS-CoV-2 Infection. A Case Report" Germs 13, no. 1: 65-71. https://doi.org/10.18683/germs.2023.1368

APA Style

Bîrluţiu, V., Bîrluţiu, R. M., Feiereisz, A. I., & Dobriţoiu, E. S. (2023). Facial Palsy at the Onset of SARS-CoV-2 Infection. A Case Report. Germs, 13(1), 65-71. https://doi.org/10.18683/germs.2023.1368

Article Metrics

Back to TopTop