The Potential Anti-Cancerous Activity of Prunus amygdalus var. amara Extract
Abstract
1. Introduction
2. Materials and Methods
2.1. Collection and Extraction of P. amygdalus var. amara
2.2. Cell Cultures
2.3. Cell Viability
2.4. Percentage of Cell Viability
2.5. Statistical Analysis
3. Results
4. Discussion
5. Conclusions
Author Contributions
Funding
Data Availability Statement
Conflicts of Interest
References
- Garita-Cambronero, J.; Palacio-Bielsa, A.; Cubero, J. Xanthomonas arboricola pv. pruni, causal agent of bacterial spot of stone fruits and almond: Its genomic and phenotypic characteristics in the X. arboricola species context. Mol. Plant Pathol. 2018, 19, 2053–2065. [Google Scholar] [CrossRef]
- Brennan, R. Introduction to Fruit Crops; Rieger, M., Ed.; Haworth Press: New York, NY, USA, 2007; Experimental Agriculture; Volume 43, p. 406. [Google Scholar]
- Gallier, S.; Gordon, K.C.; Singh, H. Chemical and structural characterisation of almond oil bodies and bovine milk fat globules. Food Chem. 2012, 132, 1996–2006. [Google Scholar]
- Jin, F.; Wang, J.; Regenstein, J.M.; Wang, F. Effect of Roasting Temperatures on the Properties of Bitter Apricot (Armeniaca sibirica L.) Kernel Oil. J. Oleo Sci. 2018, 67, 813–822. [Google Scholar] [CrossRef] [PubMed]
- Kamil, A.; Chen, C.Y.O. Health Benefits of Almonds beyond Cholesterol Reduction. J. Agric. Food Chem. 2012, 60, 6694–6702. [Google Scholar] [CrossRef] [PubMed]
- Grundy, M.M.; Lapsley, K.; Ellis, P.R. A review of the impact of processing on nutrient bioaccessibility and digestion of almonds. Int. J. Food Sci. Technol. 2016, 51, 1937–1946. [Google Scholar] [CrossRef]
- Martínez, M.L.; Marín, M.A.; Gili, R.D.; Penci, M.C.; Ribotta, P.D. Effect of defatted almond flour on cooking, chemical and sensorial properties of gluten-free fresh pasta. Int. J. Food Sci. Technol. 2017, 52, 2148–2155. [Google Scholar] [CrossRef]
- Staugler, J.M.; Babin, M.C.; Matthews, M.C.; Brittain, M.K.; Perry, M.R. Development of a hydrogen cyanide inhalation exposure system and determination of the inhaled median lethal dose in the swine model. Inhal. Toxicol. 2018, 30, 195–202. [Google Scholar] [CrossRef]
- Karsavuran, N.; Charehsaz, M.; Celik, H.; Asma, B.M.; Yakıncı, C.; Aydin, A.; Aydın, A. Amygdalin in bitter and sweet seeds of apricots. Toxicol. Environ. Chem. 2014, 96, 1564–1570. [Google Scholar] [CrossRef]
- Shalayel, M.H.F. Beyond Laetrile (Vitamin B-17) Controversy-Antitumor Illusion or Revolution. Br. Biomed. Bull. 2017, 5, 296. [Google Scholar]
- Stamyr, K.; Mörk, A.K.; Johanson, G. Physiologically based pharmacokinetic modeling of hydrogen cyanide levels in human breath. Arch. Toxicol. 2015, 89, 1287–1296. [Google Scholar] [CrossRef]
- Brückner, A.; Raspotnig, G.; Wehner, K.; Meusinger, R.; Norton, R.A.; Heethoff, M. Storage and release of hydrogen cyanide in a chelicerate (Oribatula tibialis). Proc. Natl. Acad. Sci. USA 2017, 114, 3469–3472. [Google Scholar] [CrossRef]
- Kashala-Abotnes, E.; Sombo, M.-T.; Okitundu, D.L.; Kunyu, M.; Makila-Mabe, G.B.; Tylleskär, T.; Sikorskii, A.; Banea, J.-P.; Ngoyi, D.M.; Tshala-Katumbay, D.; et al. Dietary cyanogen exposure and early child neurodevelopment: An observational study from the Democratic Republic of Congo. PLoS ONE 2018, 13, e0193261. [Google Scholar] [CrossRef]
- Lounglawan, P.; Khungaew, M.; Suksombat, W. Silage Production from Cassava Peel and Cassava Pulp as Energy Source in Cattle Diets. J. Anim. Vet. Adv. 2011, 10, 1007–1011. [Google Scholar] [CrossRef]
- Zhang, L.; Zhao, M.; Chen, J.; Wang, M.; Yu, X. Reduction of cyanide content of bitter almond and its oil using different treatments. Int. J. Food Sci. Technol. 2019, 54, 3083–3090. [Google Scholar] [CrossRef]
- Duke, J.A. CRC Handbook of Medicinal Spices, 1st ed.; CRC Press: Boca Raton, FL, USA, 2003. [Google Scholar]
- Fukuda, T.; Ito, H.; Mukainaka, T.; Tokuda, H.; Nishino, H.; Yoshida, T. Anti-tumor promoting effect of glycosides from Prunus persica seeds. Biol. Pharm. Bull. 2003, 26, 271–273. [Google Scholar] [CrossRef]
- Chen, Y.; Ma, J.; Wang, F.; Hu, J.; Cui, A.; Wei, C.; Yang, Q.; Li, F. Amygdalin induces apoptosis in human cervical cancer cell line HeLa cells. Immunopharmacol. Immunotoxicol. 2013, 35, 43–51. [Google Scholar] [CrossRef]
- Makarević, J.; Rutz, J.; Juengel, E.; Kaulfuss, S.; Reiter, M.; Tsaur, I.; Bartsch, G.; Haferkamp, A.; Blaheta, R.A. Amygdalin blocks bladder cancer cell growth in vitro by diminishing cyclin A and cdk2. PLoS ONE 2014, 9, e105590. [Google Scholar] [CrossRef]
- Ebetino, F.H.; Sun, S.; Cherian, P.; Roshandel, S.; Neighbors, J.D.; Hu, E.; Dunford, J.E.; Sedghizadeh, P.P.; McKenna, C.E.; Srinivasan, V.; et al. Bisphosphonates: The role of chemistry in understanding their biological actions and structure-activity relationships, and new directions for their therapeutic use. Bone 2022, 156, 116289. [Google Scholar] [CrossRef]
- Rudge, E.S.; Chan, A.H.Y.; Leeper, F.J. Prodrugs of pyrophosphates and bisphosphonates: Disguising phosphorus oxyanions. RSC Med. Chem. 2022, 13, 375–391. [Google Scholar] [CrossRef]
- Shalayel, M.H.F.; Alsareii, S.A.; Elbashir, A.M. Bisphosphonates: From bone anti-resorptive to anti-cancer drugs. J. Med. Oncol. Ther. 2017, 2, 20–23. [Google Scholar]
- Sánchez-Pérez, R.; Belmonte, F.S.; Borch, J.; Dicenta, F.; Møller, B.L.; Jørgensen, K. Prunasin hydrolases during fruit development in sweet and bitter almonds. Plant Physiol. 2012, 158, 1916–1932.24. [Google Scholar] [CrossRef]
- Zhou, J.; Hartmann, S.; Shepherd, B.K.; Poulton, J.E. Investigation of the microheterogeneity and aglycone specificity-conferring residues of black cherry prunasin hydrolases. Plant Physiol. 2002, 129, 1252–1264. [Google Scholar] [CrossRef] [PubMed]
- Bailly, C. Anticancer properties of Prunus mume extracts (Chinese plum, Japanese apricot). J. Ethnopharmacol. 2020, 246, 112215. [Google Scholar] [CrossRef] [PubMed]
- Savić, I.; Nikolić, V.D.; Savić-Gajić, I.; Kundaković, T.; Stanojković, T.; Najman, S.J. Chemical composition and biological activity of the plum seed extract. Adv. Technol. 2016, 5, 38–45. [Google Scholar] [CrossRef]
- Mosmann, T. Rapid colorimetric assay for cellular growth and survival: Application to proliferation and cytotoxicity assays. J. Immunol. Methods 1983, 65, 55–63. [Google Scholar] [CrossRef]
- Sodde, V.K.; Lobo, R.; Kumar, N.; Maheshwari, R.; Shreedhara, C.S. Cytotoxic activity of Macrosolen parasiticus (L.) Danser on the growth of breast cancer cell line (MCF-7). Pharmacogn. Mag. 2015, 11 (Suppl. 1), S156–S160. [Google Scholar]
- Nelson, V.K.; Sahoo, N.K.; Sahu, M.; Sudhan, H.H.; Pullaiah, C.P.; Muralikrishna, K.S. In Vitro anticancer activity of Eclipta alba whole plant extract on colon cancer cell HCT-116. BMC Compl. Med. 2020, 20, 355. [Google Scholar] [CrossRef]
- Khan, T.; Ali, M.; Khan, A.; Nisar, P.; Jan, S.A.; Afridi, S.; Shinwari, Z.K. Anticancer Plants: A Review of the Active Phytochemicals, Applications in Animal Models, and Regulatory Aspects. Biomolecules 2019, 10, 47. [Google Scholar] [CrossRef]
- Sohi, K.K.; Mittal, N.; Hundal, M.K.; Khanduja, K.L. Gallic acid, an antioxidant, exhibits antiapoptotic potential in normal human lymphocytes: A Bcl-2 independent mechanism. J. Nutr. Sci. Vitaminol. 2003, 49, 221–227. [Google Scholar] [CrossRef]
- Yan, J.; Tong, S.; Li, J.; Lou, J. Preparative isolation and purification of amygdalin from Prunus armeniaca L. with high recovery by high-speed countercurrent chromatography. J. Liq. Chromatog. Rela. Technol. 2006, 29, 1271–1279. [Google Scholar] [CrossRef]
- Gomaa, E.Z. In vitro antioxidant, antimicrobial, and antitumor activities of bitter almond and sweet apricot (Prunus armeniaca L.) kernels. Food Sci. Biotechnol. 2013, 22, 455–463. [Google Scholar] [CrossRef]
- Madrau, M.A.; Piscopo, A.; Sanguinetti, A.M.; Del Caro, A.; Poiana, M.; Romeo, F.V.; Piga, A. Effect of drying temperature on polyphenolic content and antioxidant activity of apricots. Eur. Food Res. Technol. 2009, 228, 441. [Google Scholar] [CrossRef]
- Vardi, N.; Parlakpinar, H.; Ozturk, F.; Ates, B.; Gul, M.; Cetin, A.; Erdogan, A.; Otlu, A. Potent protective effect of apricot and β-carotene on methotrexate-induced intestinal oxidative damage in rats. Food Chem. Toxicol. 2008, 46, 3015–3022. [Google Scholar] [CrossRef]
- Park, H.-J.; Yoon, S.-H.; Han, L.-S.; Zheng, L.-T.; Jung, K.-H.; Uhm, Y.-K.; Lee, J.-H.; Jeong, J.-S.; Joo, W.-S.; Yim, S.-V.; et al. Amygdalin inhibits genes related to cell cycle in SNU-C4 human colon cancer cells. World J. Gastroenterol. 2005, 11, 5156–5161. [Google Scholar]
- Lee, H.M.; Moon, A. Amygdalin Regulates Apoptosis and Adhesion in Hs578T Triple-Negative Breast Cancer Cells. Biomol. Ther. 2016, 24, 62–66. [Google Scholar] [CrossRef]
- Singh, R.; Hasan, S.M.; Ved, A.; Prakash, O. An update on phytochemicals, nutritional composition, and pharmacological significance of prunus amygdalus batsch: A comprehensive review. Int. J. Pharm. Sci. Res. 2022, 13, 1463–1478. [Google Scholar]




| X Value | A | B | ||||
|---|---|---|---|---|---|---|
| Agonist | No Inhibitor | Inhibitor 1:10 | ||||
| X | Y1 | Y2 | Y3 | Y1 | Y2 | Y3 |
| −5.000 | 0.000 | 0.000 | 0.000 | 0.000 | 0.000 | 0.000 |
| −7.000 | 290.3 | 80.32 | 19.42 | 256.22 | ||
| −8.500 | 55.5 | 245.72 | 13.07 | 75.22 | 10.21 | 223.18 |
| −6.000 | 262.1 | 211.21 | 129.4 | 74.35 | 8.22 | 188.67 |
| −7.000 | 86.43 | 193.5 | 153.62 | 73.46 | ||
| −5.532 | 200.5 | 117.37 | 68.54 | 92.77 | 94.83 | |
| −9.251 | 156 | 97.5 | 31.2 | 67.11 | 43 | 92.77 |
| −10.566 | 148.7 | 86.92 | 74 | 52.7 | 38.39 | 90.3 |
| −8.244 | 98.65 | 98.21 | 11.43 | 51.6 | 89.12 | |
| −5.532 | 40.65 | 108.15 | 48.17 | 83.54 | ||
| −7.522 | 17.3 | 112.7 | 295.32 | 47.3 | 83.54 | 94.83 |
| −5.522 | 22.98 | 100.67 | 33.05 | 171.05 | ||
| −4.256 | 100.3 | 304.1 | 49.54 | 90.3 | ||
| −8.566 | 88.46 | 273.43 | 18.6 | 37.82 | 89.12 | |
| −8.232 | ||||||
| −7.532 | 90.32 | 38.76 | 29.06 | 94.83 | ||
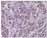
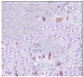
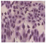
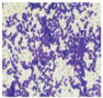
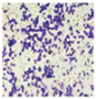
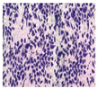
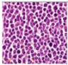
| Cell Line | Control Cell | Cell after Treatment |
|---|---|---|
| NB4 acute promyelocytic leukemia (APL) | ![]() | ![]() |
| Liver cancer (Huh-7) | ![]() | ![]() |
| Lung cancer (A-549: non-small-cell lung cancer) | ![]() | ![]() |
| Ovarian cancer (SKOV-3) | ![]() | ![]() |
| Prostate cancer (PC-3) | ![]() | ![]() |
| Urinary Bladder cancer (T-24) | ![]() | ![]() |
| Lymphoma (U937: Human lymphoma) | ![]() | ![]() |
| Head and neck cancer (Hep-2) | ![]() | ![]() |
| Cell Line | IC50 (µg/mL) | Cell Viability % | Cell Viability % Untreated (Control) | |||||||||
|---|---|---|---|---|---|---|---|---|---|---|---|---|
| 12 h | 24 h | 48 h | 72 h | 12 h | 24 h | 48 h | 72 h | 12 h | 24 h | 48 h | 72 h | |
| NB4 | 43 | 29.06 | 8.22 | 48.17 | 77.32 | 62.76 | 34.65 | 72.05 | 98.59 | 98.59 | 98.34 | 99.12 |
| Huh-7 | 51.60 | 19.42 | 10.21 | 37.82 | 81.02 | 51.06 | 41.65 | 63.21 | 98.16 | 98.11 | 98.34 | 98.88 |
| A-549 | 103.06 | 83.54 | 68.54 | 94.83 | 75.76 | 71.92 | 63.43 | 70.01 | 100 | 99.87 | 98.94 | 99.23 |
| SKOV-3 | 111.35 | 92.77 | 80.32 | 124.6 | 81 | 78.21 | 71.11 | 83.43 | 98.06 | 99.08 | 97.98 | 99.01 |
| PC-3 | 119.55 | 89.12 | 75.22 | 90.3 | 74.23 | 71.04 | 67.46 | 83.6 | 98.78 | 98.66 | 98.55 | 98.9 |
| T-24 | 67.11 | 52.7 | 38.39 | 73.46 | 65.5 | 62.83 | 56.09 | 70.04 | 99.11 | 99.4 | 99.22 | 98.67 |
| U937 | 55.10 | 47.3 | 33.05 | 74.35 | 77.45 | 72.32 | 64.67 | 79.2 | 98.67 | 98.8 | 99.00 | 98.87 |
| Hep-2 | 223.18 | 188.67 | 171.05 | 256.22 | 87.98 | 84.32 | 80.14 | 88.9 | 98.2 | 99.04 | 98.61 | 98.33 |
Disclaimer/Publisher’s Note: The statements, opinions and data contained in all publications are solely those of the individual author(s) and contributor(s) and not of MDPI and/or the editor(s). MDPI and/or the editor(s) disclaim responsibility for any injury to people or property resulting from any ideas, methods, instructions or products referred to in the content. |
© 2023 by the authors. Licensee MDPI, Basel, Switzerland. This article is an open access article distributed under the terms and conditions of the Creative Commons Attribution (CC BY) license (https://creativecommons.org/licenses/by/4.0/).
Share and Cite
Shalayel, M.H.F.; Al-Mazaideh, G.M.; Alanezi, A.A.; Almuqati, A.F.; Alotaibi, M. The Potential Anti-Cancerous Activity of Prunus amygdalus var. amara Extract. Processes 2023, 11, 1277. https://doi.org/10.3390/pr11041277
Shalayel MHF, Al-Mazaideh GM, Alanezi AA, Almuqati AF, Alotaibi M. The Potential Anti-Cancerous Activity of Prunus amygdalus var. amara Extract. Processes. 2023; 11(4):1277. https://doi.org/10.3390/pr11041277
Chicago/Turabian StyleShalayel, Mohammed Helmy Faris, Ghassab M. Al-Mazaideh, Abdulkareem A. Alanezi, Afaf F. Almuqati, and Meshal Alotaibi. 2023. "The Potential Anti-Cancerous Activity of Prunus amygdalus var. amara Extract" Processes 11, no. 4: 1277. https://doi.org/10.3390/pr11041277
APA StyleShalayel, M. H. F., Al-Mazaideh, G. M., Alanezi, A. A., Almuqati, A. F., & Alotaibi, M. (2023). The Potential Anti-Cancerous Activity of Prunus amygdalus var. amara Extract. Processes, 11(4), 1277. https://doi.org/10.3390/pr11041277

















