Targeting of Nrf2/PPARγ/NLRP3 Signaling Pathway by Stevia rebudiana Bertoni Extract Provides a Novel Insight into Its Protective Effect against Acute Gouty Arthritis-Induced Synovial Inflammation, Oxidative Stress and Apoptosis in a Rat Model
Abstract
:1. Introduction
2. Materials and Methods
2.1. Animals
2.2. Chemicals
2.3. MSU Crystals-Induced Acute Gouty Arthritis Animal Model
2.4. Experimental Groups: Rats Were Subdivided into Four Groups (10 Rats/Group)
2.5. Methanolic Extraction of Stevia R Leaves
2.6. Assessment of Ankle Edema and Specimen Collection
2.7. Radiographic Assessments
2.8. Biochemical Analysis
2.9. Histopathological Examination
2.10. Immunohistochemical Assay of Nuclear Factor Kappa-B (NFκB), Nuclear Factor Erythroid 2-Related Factor 2 (Nrf2), Caspase 3, CD68, and Caspase 1
2.11. Tissue Homogenate Measurement of TNFα, IL-1β, IL6, IL18, Cyclooxygenase-2 (Cox-2), Cytochrome c, Bcl-2 Associated X Protein (Bax), B-Cell Lymphoma 2 (Bcl-2), Heme Oxygenase-1 (HO-1) and NAD (P)H Quinone Dehydrogenase (NQO1) in Synovial Tissue
2.12. RT-PCR Assessment
2.13. Statistical Analysis
3. Results
3.1. Effect of Stevia Extracts on the Edema of the Ankle Joint in Monosodium Urates Induced Gouty Arthritis
3.2. Ameliorative Effect of Stevia Extract on Oxidative Stress Marker in Synovial Tissues
3.3. Impact of Stevia Extract on Nrf2/ARE Pathway in the Ankle Joint Synovial Tissue
3.4. Ameliorative Effect of Stevia Extract on Synovial Tissue Neutrophil Infiltration of Gouty Arthritis
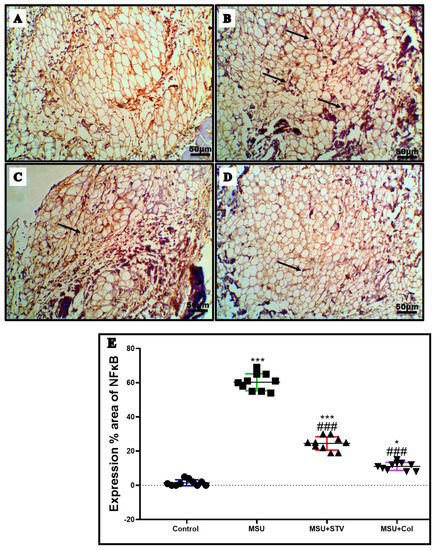
3.5. Ameliorative Effect of Stevia Extract on Synovial Tissue Inflammatory Markers
3.6. Impact of Stevia Extract on PPARγ/NLRP3 Pathway in the Ankle Joint Synovial Tissue
3.7. Stevia Extract Mitigates Synovial Cells’ Proapoptotic Markers Cytochrome C, BAX, BCL2, and Apoptotic Caspase 3 Cells Markers
4. Discussion
5. Conclusions
Author Contributions
Funding
Institutional Review Board Statement
Informed Consent Statement
Data Availability Statement
Acknowledgments
Conflicts of Interest
References
- Harre, U.; Derer, A.; Schorn, C.; Schett, G.; Herrmann, M. T cells as key players for bone destruction in gouty arthritis? Arthritis Res. Ther. 2011, 13, 135. [Google Scholar] [CrossRef] [PubMed]
- Molloy, E.S.; McCarthy, G.M. How crystals damage tissue. Curr. Rheumatol. Rep. 2004, 6, 228–234. [Google Scholar] [CrossRef] [PubMed]
- Liu-Bryan, R. Intracellular innate immunity in gouty arthritis: Role of NALP3 inflammasome. Immunol. Cell Biol. 2010, 88, 20–23. [Google Scholar] [CrossRef] [PubMed]
- Wei, H.; Hu, C.; Xie, J.; Yang, C.; Zhao, Y.; Guo, Y.; Mei, Z.; Chen, L.; Lan, Z. Doliroside A attenuates monosodium urate crystals-induced inflammation by targeting NLRP3 inflammasome. Eur. J. Pharmacol. 2014, 740, 321–328. [Google Scholar] [CrossRef]
- Ponce, L.; Arjona, M.; Blanco, G.; Alvarez, S.; Arcila, E.; Ortega, A.; Nuñez, D.; Verzura, J.; Tovar, R.; Bethencourt, S.; et al. The effect of montelukast in a model of gouty arthritis induced by sodium monourate crystals. Investig. Clin. 2011, 52, 15–22. [Google Scholar]
- Desai, J.; Steiger, S.; Anders, H.J. Molecular pathophysiology of gout. Trends Mol. Med. 2017, 23, 756–768. [Google Scholar] [CrossRef]
- Kim, Y.; Oh, H.-C.; Park, J.W.; Kim, I.-S.; Kim, J.-Y.; Kim, K.-C.; Chae, D.-S.; Joo-Hyoun, S.; Song, J.-H. Diagnosis and Treatment of Inflammatory Joint Disease. Hip Pelvis 2017, 29, 211–222. [Google Scholar] [CrossRef]
- Kim, S.-K.; Choe, J.-Y.; Park, K.-Y. Rebamipide Suppresses Monosodium Urate Crystal-Induced Interleukin-1β Production Through Regulation of Oxidative Stress and Caspase-1 in THP-1 Cells. Inflammation 2016, 39, 473–482. [Google Scholar] [CrossRef]
- Pouliot, M.; James, M.J.; McColl, S.R.; Naccache, P.H.; Cleland, L.G. Monosodium urate microcrystals induce cyclooxygenase-2 in human monocytes. Blood 2012, 91, 1769–1776. [Google Scholar] [CrossRef]
- Schlesinger, N.; Moore, D.F.; Sun, J.D.; Schumacher, H.R. A survey of current evaluation and treatment of gout. J. Rheumatol. 2006, 33, 2050–2052. [Google Scholar]
- Keith, M.P.; Gilliland, W.R. Updates in the Management of Gout. Am. J. Med. 2007, 120, 221–224. [Google Scholar] [CrossRef] [PubMed]
- Eleftheriou, G.; Bacis, G.; Fiocchi, R.; Sebastiano, R. Colchicine-induced toxicity in a heart transplant patient with chronic renal failure. Clin. Toxicol. 2008, 46, 827–830. [Google Scholar] [CrossRef] [PubMed]
- Jayaprakash, V.; Ansell, G.; Galler, D. Colchicine overdose: The devil is in the detail. N. Z. Med. J. 2007, 120, 1248. [Google Scholar]
- Lemus-Mondaca, R.; Vega-Gálvez, A.; Zura-Bravo, L.; Ah-Hen, K. Stevia rebaudiana Bertoni, source of a high-potency natural sweetener: A comprehensive review on the biochemical, nutritional and functional aspects. Food Chem. 2012, 132, 1121–1132. [Google Scholar] [CrossRef]
- Chen, T.H.; Chen, S.C.; Chan, P.; Chu, Y.L.; Yang, H.Y.; Cheng, J.T. Mechanism of the hypoglycemic effect of stevioside, a glycoside of Stevia rebaudiana. Planta Med. 2005, 71, 108–113. [Google Scholar] [CrossRef]
- Cekic, V.; Vasovic, V.; Jakovljevic, V.; Mikov, M.; Sabo, A. Hypoglycemic action of stevioside and a barley and brewer’s yeast-based preparation in the experimental model on mice. Bosn. J. Basic Med. Sci. 2011, 11, 11–16. [Google Scholar] [CrossRef]
- Momtazi, A.A.; Esmaeili, S.-A.; Abdollahi, E.; Sahebkar, A. A Review on the Pharmacology and Toxicology of Steviol Glycosides Extracted from Stevia rebaudiana. Curr. Pharm. Des. 2017, 23, 1616–1622. [Google Scholar] [CrossRef]
- Ghaheri, M.; Miraghaee, S.; Babaei, A.; Mohammadi, B.; Kahrizi, D.; Haghighi, Z.M.S.; Bahrami, G. Effect of Stevia rebaudiana Bertoni extract on sexual dysfunction in Streptozotocin-induced diabetic male rats. Cell. Mol. Biol. 2018, 64, 6–10. [Google Scholar] [CrossRef]
- Kahrizi, D.; Ghari, S.; Ghaheri, M.; Fallah, F.; Ghorbani, T.; Beheshti, A.A.A.; Kazemi, E.; Ansarypour, Z. Effect of KH2PO4 on gene expression, morphological and biochemical characteristics of Stevia rebaudiana Bertoni under in vitro conditions. Cell. Mol. Biol. 2017, 63, 107–111. [Google Scholar] [CrossRef]
- Huang, J.; Zhu, M.; Tao, Y.; Wang, S.; Chen, J.; Sun, W.; Li, S. Therapeutic properties of quercetin on monosodium urate crystal-induced inflammation in rat. J. Pharm. Pharmacol. 2012, 64, 1119–1127. [Google Scholar] [CrossRef]
- Han, J.; Xie, Y.; Sui, F.; Liu, C.; Du, X.; Liu, C.; Feng, X.; Jiang, D. Zisheng Shenqi decoction ameliorates monosodium urate crystal-induced gouty arthritis in rats through anti-inflammatory and anti-oxidative effects. Mol. Med. Rep. 2016, 14, 2589–2597. [Google Scholar] [CrossRef]
- Alavala, S.; Nalban, N.; Sangaraju, R.; Kuncha, M.; Jerald, M.K.; Kilari, E.K.; Sistla, R. Anti-inflammatory effect of stevioside abates Freund’s complete adjuvant (FCA)-induced adjuvant arthritis in rats. Inflammopharmacology 2020, 28, 1579–1597. [Google Scholar] [CrossRef]
- El-Mousalamy, A.M.D.; Hussein, S.A.M.; Hussein, A.M.; Mahmoud, S.A.; El Azab, K.M. Reno Protective Effect of Methanolic Stevia rebaudiana Bertoni Leaves Extract and Its Phenolic Compounds in Type-1-Diabetes. Egypt. J. Chem. 2018, 61, 609–615. [Google Scholar]
- Ramos-Vara, J.A. Technical Aspects of Immunohistochemistry. Veter. Pathol. 2005, 42, 405–426. [Google Scholar] [CrossRef]
- Martinon, F. Mechanisms of uric acid crystal-mediated autoinflammation. Immunol. Rev. 2010, 233, 218–232. [Google Scholar] [CrossRef]
- Sabina, E.P.; Nagar, S.; Rasool, M. A Role of Piperine on Monosodium Urate Crystal-Induced Inflammation—An Experimental Model of Gouty Arthritis. Inflammation 2011, 34, 184–192. [Google Scholar] [CrossRef]
- Ghosh, S.; Karin, M. Missing pieces in the NF-κB puzzle. Cell 2002, 109, S81–S96. [Google Scholar] [CrossRef]
- Park, M.H.; Hong, J.T. Roles of NF-κB in Cancer and Inflammatory Diseases and Their Therapeutic Approaches. Cells 2016, 5, 15. [Google Scholar] [CrossRef]
- Hayden, M.S.; Ghosh, S. Signaling to NF-B. Genes Dev. 2004, 18, 2195–2224. [Google Scholar] [CrossRef]
- Laavola, M.; Nieminen, R.; Yam, M.F.; Sadikun, A.; Asmawi, M.Z.; Basir, R.; Welling, J.; Vapaatalo, H.; Korhonen, R.; Moilanen, E. Flavonoids Eupatorin and Sinensetin Present in Orthosiphon stamineus Leaves Inhibit Inflammatory Gene Expression and STAT1 Activation. Planta Med. 2012, 78, 779–786. [Google Scholar] [CrossRef]
- Lee, J.; Scagel, C.F. Chicoric acid: Chemistry, distribution, and production. Front. Chem. 2013, 1, 40. [Google Scholar] [CrossRef]
- Kou, Y.-Y.; Li, Y.-F.; Xu, M.; Li, W.-Y.; Yang, M.; Li, R.-L. Effects of RuPeng15 Powder (RPP15) on Monosodium Urate Crystal-Induced Gouty Arthritis in Rats. Evid. Based Complement. Altern. Med. 2015, 2015, 527019. [Google Scholar] [CrossRef]
- Potočnjak, I.; Broznić, D.; Kindl, M.; Kropek, M.; Vladimir-Knežević, S.; Domitrović, R. Stevia and stevioside protect against cisplatin nephrotoxicity through inhibition of ERK1/2, STAT3, and NF-κB activation. Food Chem. Toxicol. 2017, 107, 215–225. [Google Scholar] [CrossRef]
- Schumacher, H.R., Jr. Febuxostat: A non-purine, selective inhibitor of xanthine oxidase for the management of hyperuricemia in patients with gout. Expert Opin. Investig. Drugs 2005, 14, 893–903. [Google Scholar] [CrossRef]
- Dalbeth, N.; Haskard, D.O. Mechanisms of inflammation in gout. Rheumatology 2005, 44, 1090–1096. [Google Scholar] [CrossRef]
- Yang, C.-C.; Wu, C.-H.; Lin, T.-C.; Cheng, Y.-N.; Chang, C.-S.; Lee, K.-T.; Tsai, P.-J.; Tsai, Y.-S. Inhibitory effect of PPARγ on NLRP3 inflammasome activation. Theranostics 2021, 11, 2424–2441. [Google Scholar] [CrossRef]
- Jiang, C.; Ting, A.T.; Seed, B. PPAR-gamma agonists inhibit production of monocyte inflammatory cytokines. Nature 1998, 391, 82–86. [Google Scholar] [CrossRef]
- Wang, Q.; Lin, B.; Li, Z.; Su, J.; Feng, Y. Cichoric Acid Ameliorates Monosodium Urate-Induced Inflammatory Response by Reducing NLRP3 Inflammasome Activation via Inhibition of NF-kB Signaling Pathway. Evid. Based Complement. Altern. Med. 2021, 2021, 8868527. [Google Scholar] [CrossRef] [PubMed]
- Wang, J.; Chen, G.; Lu, L.; Zou, H. Sirt1 inhibits gouty arthritis via activating PPARγ. Clin. Rheumatol. 2019, 38, 3235–3242. [Google Scholar] [CrossRef] [PubMed]
- Mostafa, A.F.; Elalfy, M.M.; Shata, A.; Elhadidy, M.G. Prophylactic effect of aquatic extract of stevia on acetic acid induced-ulcerative colitis in male rats: A possible role of Nrf2 and PPARγ. J. Basic Clin. Physiol. Pharmacol. 2020, 32, 1093–1104. [Google Scholar] [CrossRef]
- Rasool, M.; Varalakshmi, P. Suppressive effect of Withania somnifera root powder on experimental gouty arthritis: An in vivo and in vitro study. Chem. Biol. Interact. 2006, 164, 174–180. [Google Scholar] [CrossRef] [PubMed]
- Martin, W.J.; Herst, P.M.; Chia, E.W.; Harper, J.L. Sesquiterpene dialdehydes inhibit MSU crystal-induced superoxide production by infiltrating neutrophils in an in vivo model of gouty inflammation. Free Radic. Biol. Med. 2009, 47, 616–621. [Google Scholar] [CrossRef] [PubMed]
- Afonso, V.; Champy, R.; Mitrovic, D.; Collin, P.; Lomri, A. Reactive oxygen species and superoxide dismutases: Role in joint diseases. Jt. Bone Spine 2007, 74, 324–329. [Google Scholar] [CrossRef]
- Jhang, J.-J.; Cheng, Y.-T.; Ho, C.-Y.; Yen, G.-C. Monosodium urate crystals trigger Nrf2- and heme oxygenase-1-dependent inflammation in THP-1 cells. Cell. Mol. Immunol. 2015, 12, 424–434. [Google Scholar] [CrossRef] [Green Version]
- Zhao, L.; Yang, H.; Xu, M.; Wang, X.; Wang, C.; Lian, Y.; Mehmood, A.; Dai, H. Stevia residue extract ameliorates oxidative stress in D-galactose-induced aging mice via Akt/Nrf2/HO-1 pathway. J. Funct. Foods 2019, 52, 587–595. [Google Scholar] [CrossRef]
- Zamudio-Cuevas, Y.; Martínez-Flores, K.; Fernández-Torres, J.; Loissell-Baltazar, Y.A.; Medina-Luna, D.; López-Macay, A.; Camacho-Galindo, J.; Hernández-Díaz, C.; Santamaría-Olmedo, M.G.; Villegas, E.O.L.; et al. Monosodium urate crystals induce oxidative stress in human synoviocytes. Arthritis Res. Ther. 2016, 18, 117. [Google Scholar] [CrossRef]
- El Nashar, E.M.; Obydah, W.; Alghamdi, M.A.; Saad, S.; Yehia, A.; Maryoud, A.; Kiwan, N.A.; Alasmari, W.A.; Hussein, A.M. Effects of Stevia rebaudiana Bertoni extracts in the rat model of epilepsy induced by pentylenetetrazol: Sirt-1, at the crossroads between inflammation and apoptosis. J. Integr. Neurosci. 2022, 21, 21. [Google Scholar] [CrossRef]

















| Control Group | MSU Group | MSU+STV Group | MSU+Col Group | |
|---|---|---|---|---|
| GSH (μmol/g tissue) | 1.72. ± 0.085 | 0.55 ± 0.053 *** | 1.36 ± 0.07 *** ### | 1.32 ± 0.090 *** ### |
| SOD (U/g tissue) | 220 ± 13.2 | 109 ± 14.5 *** | 161 ± 8.2*** ### | 172 ± 10.4 *** ### |
| MDA (nmol/g tissue) | 12.6 ± 1.59 | 30.47 ± 3.76 *** | 16.3 ± 1.68 ### | 21.4 ± 2.1 *** ## |
| CAT (U/g tissue) | 3.02 ± 0.19 | 0.9 ± 0.15 *** | 2 ± 0.25 *** ### | 1.8 ± 0.14 *** ### |
Publisher’s Note: MDPI stays neutral with regard to jurisdictional claims in published maps and institutional affiliations. |
© 2022 by the authors. Licensee MDPI, Basel, Switzerland. This article is an open access article distributed under the terms and conditions of the Creative Commons Attribution (CC BY) license (https://creativecommons.org/licenses/by/4.0/).
Share and Cite
Badawy, A.M.; Taha, M.; Elazab, S.T.; El-Shenbaby, I.; Alghamdi, B.A.; M, H.; Al-Kushi, A.G.; Fathy, K.; Baokbah, T.A.S.; Ibrahim, M.M. Targeting of Nrf2/PPARγ/NLRP3 Signaling Pathway by Stevia rebudiana Bertoni Extract Provides a Novel Insight into Its Protective Effect against Acute Gouty Arthritis-Induced Synovial Inflammation, Oxidative Stress and Apoptosis in a Rat Model. Processes 2022, 10, 1751. https://doi.org/10.3390/pr10091751
Badawy AM, Taha M, Elazab ST, El-Shenbaby I, Alghamdi BA, M H, Al-Kushi AG, Fathy K, Baokbah TAS, Ibrahim MM. Targeting of Nrf2/PPARγ/NLRP3 Signaling Pathway by Stevia rebudiana Bertoni Extract Provides a Novel Insight into Its Protective Effect against Acute Gouty Arthritis-Induced Synovial Inflammation, Oxidative Stress and Apoptosis in a Rat Model. Processes. 2022; 10(9):1751. https://doi.org/10.3390/pr10091751
Chicago/Turabian StyleBadawy, Alaa M., Medhat Taha, Sara T. Elazab, Ibrahim El-Shenbaby, Bandar A Alghamdi, Hendawy M, Abdullah G. Al-Kushi, Khaled Fathy, Tourki A. S. Baokbah, and Mohie Mahmoud Ibrahim. 2022. "Targeting of Nrf2/PPARγ/NLRP3 Signaling Pathway by Stevia rebudiana Bertoni Extract Provides a Novel Insight into Its Protective Effect against Acute Gouty Arthritis-Induced Synovial Inflammation, Oxidative Stress and Apoptosis in a Rat Model" Processes 10, no. 9: 1751. https://doi.org/10.3390/pr10091751
APA StyleBadawy, A. M., Taha, M., Elazab, S. T., El-Shenbaby, I., Alghamdi, B. A., M, H., Al-Kushi, A. G., Fathy, K., Baokbah, T. A. S., & Ibrahim, M. M. (2022). Targeting of Nrf2/PPARγ/NLRP3 Signaling Pathway by Stevia rebudiana Bertoni Extract Provides a Novel Insight into Its Protective Effect against Acute Gouty Arthritis-Induced Synovial Inflammation, Oxidative Stress and Apoptosis in a Rat Model. Processes, 10(9), 1751. https://doi.org/10.3390/pr10091751

