The Inhibitory Activity of Citral against Malassezia furfur
Abstract
1. Introduction
2. Materials and Methods
2.1. Materials
2.2. Microorganism and Cultivation
2.3. Antifungal Susceptibility Tests
2.4. Morphological Analysis
2.5. Analysis of Apoptosis Markers
2.5.1. Phosphatidylserine Externalization
2.5.2. TUNEL Assay
2.5.3. Metacaspase Activation
2.6. Cell Culture
2.7. MTT Assay
2.8. Treatment of HaCaT Cells with M. furfur in the Presence or Absence of Citral
2.9. ELISA Analysis
2.10. RNA Extraction and RT-PCR Analysis
2.11. Statistical Analysis
3. Results
3.1. Antifungal Activity of Citral against M. furfur
3.2. Citral Induced Apoptosis in M. furfur
3.2.1. Phosphatidylserine Externalization
3.2.2. DNA Fragmentation
3.2.3. Metacaspase Activation
3.3. Citral Can Decrease the Adhesiveness and Invasiveness of M. furfur to Human Keratinocytes at Sub-MIC
3.3.1. The Cytotoxic Effect of Citral on HaCaT Cells
3.3.2. The Inhibitory Effect of Citral on M. furfur Adhesion to HaCaT Cells
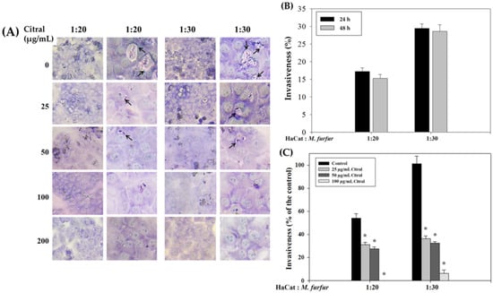
3.3.3. The Inhibitory Effect of Citral on M. furfur Invasiveness into HaCaT Cells
3.4. Citral Can Modulate the Immune Response of HUMAN keratinocytes and Interfere with M. furfur Infection
3.4.1. TLR2, HBD-2, and TSLP Gene Expression
3.4.2. Cytokine Expression Assay
4. Discussion
5. Conclusions
Author Contributions
Funding
Institutional Review Board Statement
Informed Consent Statement
Data Availability Statement
Acknowledgments
Conflicts of Interest
References
- Theelen, B.; Cafarchia, C.; Gaitanis, G.; Bassukas, I.D.; Boekhout, T.; Dawson, J.T.L. Malassezia ecology, pathophysiology, and treatment. Med. Mycol. 2018, 56, S10–S25. [Google Scholar] [CrossRef] [PubMed]
- Ryu, S.; Choi, S.Y.; Acharya, S.; Chun, Y.J.; Gurley, C.; Park, Y.; Armstrong, C.A.; Song, P.I.; Kim, B.J. Antimicrobial and anti-inflammatory effects of cecropin A (1-8)–Magainin2 (1-12) hybrid peptide analog P5 against Malassezia furfur infection in human keratinocytes. J. Investig. Dermatol. 2011, 131, 1677–1683. [Google Scholar] [CrossRef] [PubMed]
- Saunte, D.M.; Gaitanis, G.; Hay, R.J. Malassezia-associated skin diseases, the use of diagnostics and treatment. Front. Cell. Infect. Microbiol. 2020, 10, 112. [Google Scholar] [CrossRef] [PubMed]
- Celis, A.M.; Wösten, H.A.B.; Triana, S.; Restrepo, S.; de Cock, H. Malassezia spp. beyond the mycobiota. SM Dermatol. J. 2017, 3, 1–10. [Google Scholar]
- Angiolella, L.; Carradori, S.; Maccallini, C.; Giusiano, G.; Supuran, C.T. Targeting Malassezia species for novel synthetic and natural antidandruff agents. Curr. Med. Chem. 2017, 24, 2392–2412. [Google Scholar] [CrossRef]
- Kyriakidis, I.; Tragiannidis, A.; Munchen, S.; Groll, A.H. Clinical hepatotoxicity associated with antifungal agents. Expert Opin. Drug Saf. 2017, 16, 149–165. [Google Scholar] [CrossRef]
- Youngchim, S.; Nosanchuk, J.D.; Chongkae, S.; Vanittanokom, N. Ketoconazole inhibits Malassezia furfur morphogenesis in vitro under filamentation optimized conditions. Arch. Dermatol. Res. 2017, 309, 47–53. [Google Scholar] [CrossRef]
- Sivasankar, C.; Gayathri, S.; Bhaskar, J.P.; Krishnan, V.; Pandian, S.K. Evaluation of selected Indian medicinal plants for antagonistic potential against Malassezia spp. and the synergistic effect of embelin in combination with ketoconazole. Microb. Pathog. 2017, 110, 66–72. [Google Scholar] [CrossRef]
- Kulkarni, M.; Hastak, V.; Jadhav, V.; Date, A.A. Fenugreek leaf extract and its gel formulation show activity against Malassezia furfur. Assay Drug Dev. Technol. 2020, 18, 45–55. [Google Scholar] [CrossRef]
- Onlom, C.; Khanthawong, S.; Waranuch, N.; Ingkaninan, K. In vitro anti-Malassezia activity and potential use in anti-dandruff formulation of Asparagus racemosus. Int. J. Cosmet. Sci. 2014, 36, 74–78. [Google Scholar] [CrossRef]
- Simonetti, G.; Tocci, N.; Valletta, A.; Brasili, E.; D’Auria, F.D.; Idoux, A.; Pasqua, G. In vitro antifungal activity of extracts obtained from Hypericum perforatum adventitious roots cultured in a mist bioreactor against planktonic cells and biofilm of Malassezia furfur. Nat. Prod. Res. 2016, 30, 544–550. [Google Scholar] [CrossRef] [PubMed]
- Rhimi, W.; Ben Salem, I.; Immediato, D.; Saidi, M.; Boulila, A.; Cafarchia, C. Chemical composition, antibacterial and antifungal activities of crude Dittrichia viscosa (L.) greuter leaf extracts. Molecules 2017, 22, 942. [Google Scholar] [CrossRef]
- Simonetti, G.; D’Auria, F.D.; Mulinacci, N.; Innocenti, M.; Antonacci, D.; Angiolella, L.; Santamaria, A.R.; Valletta, A.; Donati, L.; Pasqua, G. Anti-dermatophyte and anti-Malassezia activity of extracts rich in polymeric flavan-laols obtained from Vitis vinifera seeds. Phytother. Res. 2017, 31, 124–131. [Google Scholar] [CrossRef] [PubMed]
- Boukhatem, M.N.; Ferhat, M.A.; Kameli, A.; Saidi, F.; Kebir, H.T. Lemon grass (Cymbopogon citratus) essential oil as a potent anti-inflammatory and antifungal drugs. Libyan J. Med. 2014, 9, 25431. [Google Scholar] [CrossRef]
- Leite, M.C.A.; Bezerra, A.P.D.B.; Sousa, J.P.D.; Guerra, F.Q.S.; Lima, E.D.O. Evaluation of antifungal activity and mechanism of action of citral against Candida albicans. Evid. Based Complement. Altern. Med. 2014, 2014, 378280. [Google Scholar] [CrossRef] [PubMed]
- Ambade, S.V.; Kale, S.S.; Ambade, V.N. Antimicrobial and antibiofilm activity of citral and its derivative against microflora from dental plaque. Asian J. Org. Med. Chem. 2020, 5, 120–126. [Google Scholar] [CrossRef]
- OuYang, Q.; Tao, N.; Zhang, M. A damaged oxidative phosphorylation mechanism is involved in the antifungal activity of citral against Penicillium digitatum. Front. Microbiol. 2018, 9, 239. [Google Scholar] [CrossRef] [PubMed]
- Api, A.M.; Belsito, D.; Biserta, S.; Botelho, D.; Bruze, M.; Burton, G.A.; Buschmanne, J.; Cancellieria, M.A.; Daglif, M.L.; Datea, M.; et al. RIFM fragrance ingredient safety assessment, citral, CAS Registry Number 5392-40-5. Food Chem. Toxicol. 2020, 141, 111339. [Google Scholar] [CrossRef]
- Balato, A.; Paoletti, I.; De Gregorio, V.; Cantelli, M.; Ayala, F.; Donnarumma, G. Tacrolimus does not alter the production of several cytokines and antimicrobial peptide in Malassezia furfur-furfurzia furfurhe production. Mycoses 2014, 57, 176–183. [Google Scholar] [CrossRef]
- Zhang, Y.J.; Han, Y.; Sun, Y.Z.; Jiang, H.H.; Liu, M.; Qi, R.Q.; Gao, X.H. Extracellular vesicles derived from Malassezia furfur stimulate IL-6 production in keratinocytes as demonstrated in in vitro and in vivo models. J. Dermatol. Sci. 2019, 93, 168–175. [Google Scholar] [CrossRef]
- Wang, K.; Cheng, L.; Li, W.; Jiang, H.; Zhang, X.; Liu, S.; Huang, Y.; Qiang, M.; Dong, T.; Li, Y.; et al. Susceptibilities of Malassezia strains from pityriasis versicolor, Malassezia folliculitis and seborrheic dermatitis to antifungal drugs. Heliyon 2020, 6, e04203. [Google Scholar] [CrossRef] [PubMed]
- Hao, B.; Cheng, S.; Clancy, C.J.; Nguyen, M.H. Caspofungin kills Candida albicans by causing both cellular apoptosis and necrosis. Antimicrob. Agents Chemother. 2013, 57, 326–332. [Google Scholar] [CrossRef] [PubMed]
- Choi, H.; Lee, D.G. Lycopene induces apoptosis in Candida albicans through reactive oxygen species production and mitochondrial dysfunction. Biochimie 2015, 115, 108–115. [Google Scholar] [CrossRef] [PubMed]
- Far, F.E.; Al-Obaidi, M.M.J.; Desa, M.N.M. Efficacy of modified Leeming-Notman media in a resazurin microtiter assay in the evaluation of in-vitro activity of fluconazole against Malassezia furfur ATCC 14521. J. Mycol. Med. 2018, 28, 486–491. [Google Scholar] [CrossRef] [PubMed]
- Leong, C.; Buttafuoco, A.; Glatz, M.; Bosshard, P.P. Antifungal susceptibility testing of Malassezia spp. with an optimized colorimetric broth microdilution method. J. Clin. Microbiol. 2017, 55, 1883–1893. [Google Scholar] [CrossRef]
- Kwun, M.S.; Lee, D.G. Quercetin-induced yeast apoptosis through mitochondrial dysfunction under the accumulation of magnesium in Candida albicans. Fungal Biol. 2020, 124, 83–90. [Google Scholar] [CrossRef]
- Mihoubi, W.; Sahli, E.; Gargouri, A.; Amiel, C. FTIR spectroscopy of whole cells for the monitoring of yeast apoptosis mediated by p53 over-expression and its suppression by Nigella sativa extracts. PLoS ONE 2017, 12, e0180680. [Google Scholar] [CrossRef]
- Yun, D.G.; Lee, D.G. Silibinin triggers yeast apoptosis related to mitochondrial Ca2+ influx in Candida albicans. Int. J. Biochem. Cell Biol. 2016, 80, 1–9. [Google Scholar] [CrossRef]
- Donnarumma, G.; Perfetto, B.; Paoletti, I.; Oliviero, G.; Clavaud, C.; Del Bufalo, A.; Guéniche, A.; Jourdain, R.; Antonietta Tufano, M.; Breton, L. Analysis of the response of human keratinocytes to Malassezia globosa and restricta strains. Arch. Dermatol. Res. 2014, 306, 763–768. [Google Scholar] [CrossRef]
- Lee, H.C.; Headley, M.B.; Iseki, M.; Ikuta, K.; Ziegler, S.F. Cutting edge: Inhibition of NF-κB-mediated TSLP expression by retinoid X receptor. J. Immunol. 2008, 181, 5189–5193. [Google Scholar] [CrossRef]
- Voss, E.; Wehkamp, J.; Wehkamp, K.; Stange, E.F.; Schröder, J.M.; Harder, J. NOD2/CARD15 mediates induction of the antimicrobial peptide human beta-defensin-2. J. Biol. Chem. 2006, 281, 2005–2011. [Google Scholar] [CrossRef]
- Akaza, N.; Akamatsu, H.; Kishi, M.; Mizutani, H.; Ishii, I.; Nakata, S.; Matsunaga, K. Effects of Propionibacterium acnes on various mRNA expression levels in normal human epidermal keratinocytes in vitro. J. Dermatol. 2009, 36, 213–223. [Google Scholar] [CrossRef] [PubMed]
- Tian, H.; Qu, S.; Wang, Y.; Lu, Z.; Zhang, M.; Gan, Y.; Zhang, P.; Tian, J. Calcium and oxidative stress mediate perillaldehyde-induced apoptosis in Candida albicans. Appl. Microbiol. Biotechnol. 2017, 101, 3335–3345. [Google Scholar] [CrossRef] [PubMed]
- Jia, C.; Zhang, J.; Yu, L.; Wang, C.; Yang, Y.; Rong, X.; Xu, K.; Chu, M. Antifungal activity of coumarin against Candida albicans is related to apoptosis. Front. Cell. Infect. Microbiol. 2019, 8, 445. [Google Scholar] [CrossRef]
- Akaza, N.; Akamatsu, H.; Takeoka, S.; Mizutani, H.; Nakata, S.; Matsunaga, K. Increased hydrophobicity in Malassezia species correlates with increased proinflammatory cytokine expression in human keratinocytes. Med. Mycol. 2012, 50, 802–810. [Google Scholar] [CrossRef] [PubMed][Green Version]
- Park, H.R.; Oh, J.H.; Lee, Y.J.; Park, S.H.; Lee, Y.W.; Lee, S.; Kang, H.; Kim, J.E. Inflammasome-mediated Inflammation by Malassezia in human keratinocytes: A comparative analysis with different strains. Mycoses 2021, 64, 292–299. [Google Scholar] [CrossRef]
- Bachiega, T.F.; Sforcin, J.M. Lemongrass and citral effect on cytokines production by murine macrophages. J. Ethnopharmacol. 2011, 137, 909–913. [Google Scholar] [CrossRef]












| Gene | Sense and Anti-Sense Sequence | Size (bp) |
|---|---|---|
| TLR2 | 5′-TGTCTTGTGACCGCAATGGT-3′ 5′-TGTTGGACAGGTCAAGGCTTT-3′ | 101 |
| TSLP | 5′-TAGCAATCGGCCACATTGCC-3′ 5′-CTGAGTTTCCGAATAGCCTG-3′ | 145 |
| HBD-2 | 5′-ATCAGCCATGAGGGTCTTGT-3′ 5′-GAGACCACAGGTGCCAATTT-3′ | 172 |
| GAPDH | 5′-TGAACGGGAAGCTCACTGG-3′ 5′-TCCACCACCCTGTTGCTGTA-3 | 307 |
| MIC (μg/mL) | MFC (μg/mL) | |
|---|---|---|
| Citral | 200 ± 15 | 300 ± 25 |
| Ketoconazole | 0.13 ± 0.05 | 0.25 ± 0.09 |
Publisher’s Note: MDPI stays neutral with regard to jurisdictional claims in published maps and institutional affiliations. |
© 2022 by the authors. Licensee MDPI, Basel, Switzerland. This article is an open access article distributed under the terms and conditions of the Creative Commons Attribution (CC BY) license (https://creativecommons.org/licenses/by/4.0/).
Share and Cite
Liu, Y.-T.; Lee, M.-H.; Lin, Y.-S.; Lai, W.-L. The Inhibitory Activity of Citral against Malassezia furfur. Processes 2022, 10, 802. https://doi.org/10.3390/pr10050802
Liu Y-T, Lee M-H, Lin Y-S, Lai W-L. The Inhibitory Activity of Citral against Malassezia furfur. Processes. 2022; 10(5):802. https://doi.org/10.3390/pr10050802
Chicago/Turabian StyleLiu, Yi-Tsz, Meng-Hwan Lee, Yin-Shen Lin, and Wen-Lin Lai. 2022. "The Inhibitory Activity of Citral against Malassezia furfur" Processes 10, no. 5: 802. https://doi.org/10.3390/pr10050802
APA StyleLiu, Y.-T., Lee, M.-H., Lin, Y.-S., & Lai, W.-L. (2022). The Inhibitory Activity of Citral against Malassezia furfur. Processes, 10(5), 802. https://doi.org/10.3390/pr10050802

