Congenital Hypertrophic Pyloric Stenosis in a Preterm Dizygotic Female Twin Infant: Case Report
Abstract
1. Introduction
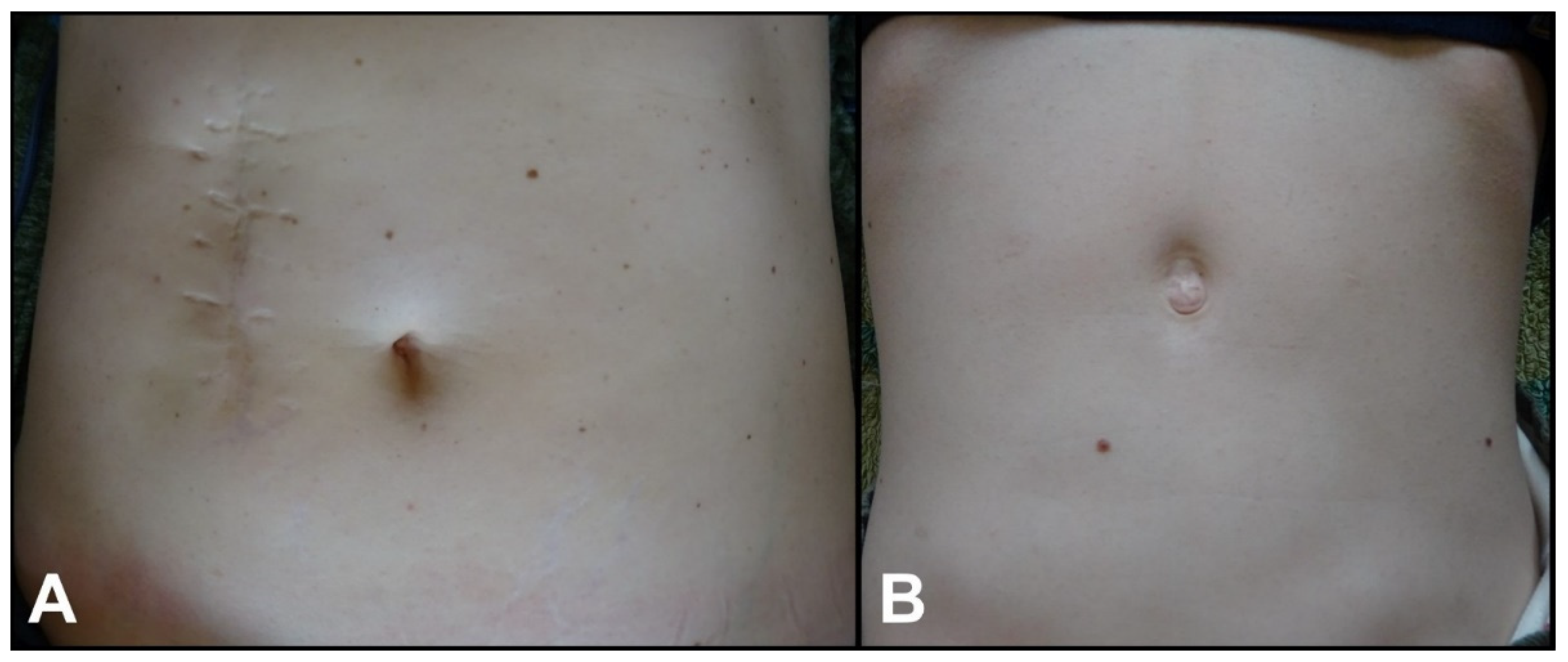
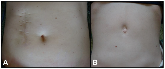
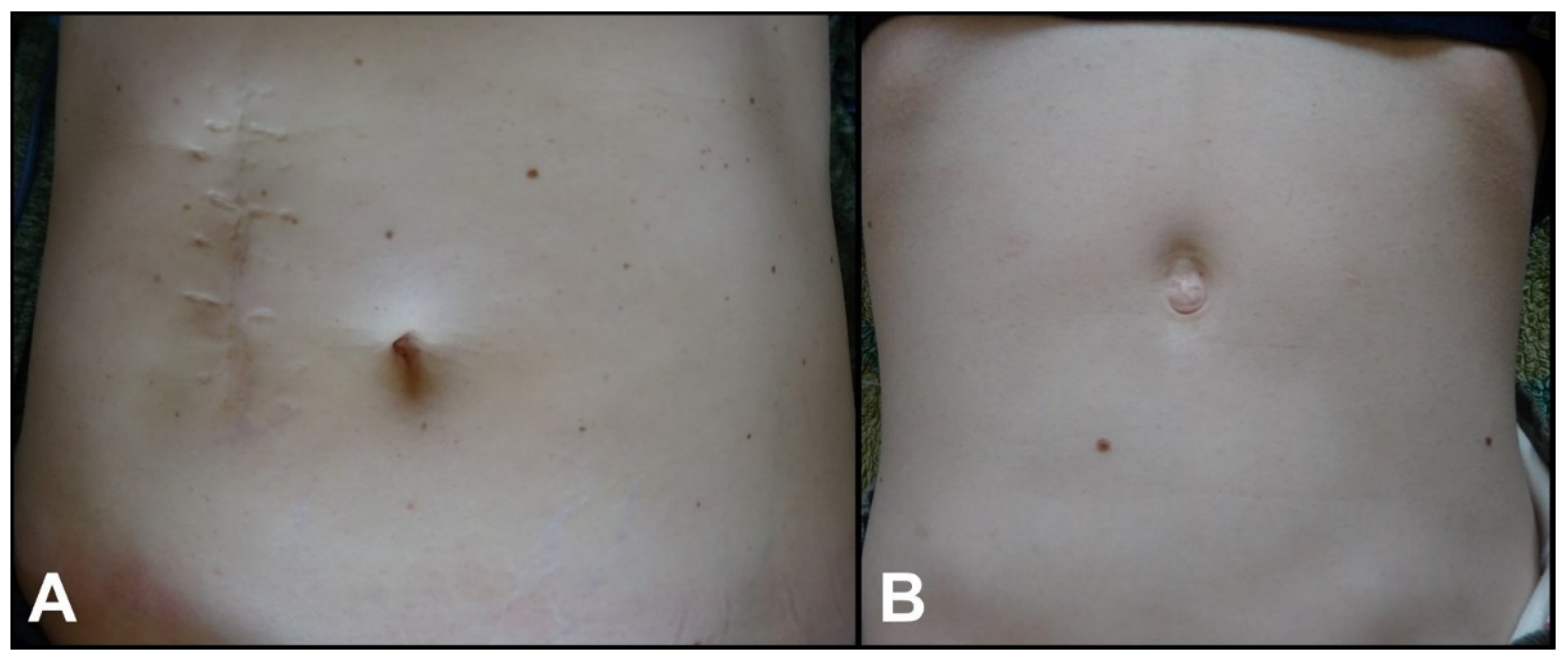
2. Case Report
3. Discussion
Author Contributions
Funding
Institutional Review Board Statement
Informed Consent Statement
Data Availability Statement
Conflicts of Interest
References
- Hernanz-Schulman, M. Infantile Hypertrophic Pyloric Stenosis. Radiology 2003, 227, 319–331. [Google Scholar] [CrossRef] [PubMed]
- Schechter, R.; Torfs, C.P.; Bateson, T.F. The epidemiology of infantile hypertrophic pyloric stenosis. Paediatr. Perinat. Epidemiol. 1997, 11, 407–427. [Google Scholar] [CrossRef] [PubMed]
- Iijima, T.; Okamatsu, T.; Matsumura, M.; Yatsuzuka, M. Hypertrophic Pyloric Stenosis Associated With Hiatal Hernia. J. Pediatr. Surg. 1996, 31, 227–279. [Google Scholar] [CrossRef]
- Demian, M.; Nguyen, S.; Emil, S. Early pyloric stenosis: A case control study. Pediatr. Surg. Int. 2009, 25, 1053–1057. [Google Scholar] [CrossRef] [PubMed][Green Version]
- Pogorelic, Z.; Cagaj, I.C.; Zitko, V.; Nevescanin, A.; Krzelj, V. Late-Onset Hypertrophic Pyloric Stenosis in a 14-Weeks-Old Full Term Male Infant. Acta Med. 2019, 62, 82–84. [Google Scholar] [CrossRef] [PubMed][Green Version]
- Yesildag, E.; Buyukunal, S.N. Pyloric stenosis in in vitro fertilized triplets—Is it a coincidence? J. Ped. Surg. 2005, 40, 1802–1804. [Google Scholar] [CrossRef]
- Hatiboğlu, M.C.; Dindar, H.; Cakmak, M.; Kanmaz, T.; Naycl, A.; Barlas, M.; Gökçora, H.; Yücesan, S. Neonatal hypertrophic pyloric stenosis: Congenital or infantile. Tokai J. Exp. Clin. Med. 1996, 21, 203–205. [Google Scholar]
- Poudel, I. Hypertrophic Pyloric Stenosis in Dizygotic Twins: Case Report. Cureus 2021, 13, e20350. [Google Scholar] [CrossRef]
- Panteli, C. New insights into the pathogenesis of infantile pyloric stenosis. Pediatr. Surg. Int. 2009, 25, 1043–1052. [Google Scholar] [CrossRef]
- Ali, K.I.; Haddad, M.J. Early infantile hypertrophic pyloric stenosis: Surgery at 26 hours of age. Eur. J. Pediatr. Surg. 1996, 6, 233–234. [Google Scholar] [CrossRef]
- Gezer, H.; Oguzkurt, P.; Temiz, A.; Hicsonmez, A. Hypertrophic pyloric stenosis in twins; genetic or environmental factors. Clin. Genet. 2015, 87, 388–391. [Google Scholar] [CrossRef] [PubMed]
- Zenn, M.R.; Redo, S.F. Hypertrophic pyloric stenosis in the newborn. J. Pediatr. Surg. 1993, 28, 1577–1578. [Google Scholar] [CrossRef]
- Houben, C.H.; Kiely, E.M. Congenital hypertrophic pyloric stenosis with associated polyhydramnios in a premature infant. Eur. J. Pediatr. Surg. 1997, 7, 184–185. [Google Scholar] [CrossRef] [PubMed]
- Giaretto, G.; Bini, P.; Rossi, E. Congenital hypertrophic stenosis of the pylorus in the newborn. Observations of 2 cases with early onset. Minerva Pediatr. 1978, 30, 1009–1013. [Google Scholar]
- Hall, N.J.; Pacilli, M.; Eaton, S.; Reblock, K.; Gaines, B.A.; Pastor, A.; Langer, J.C.; Koivusalo, A.I.; Pakarinen, M.P.; Stroedter, L.; et al. Recovery after open versus laparoscopic pyloromyotomy for pyloric stenosis: A double-blind multicentre randomised controlled trial. Lancet 2009, 373, 390–398. [Google Scholar] [CrossRef]
- Pogorelic, Z.; Zelic, A.; Jukic, M.; Munoz, C.M.L. The Safety and Effectiveness of Laparoscopic Pyloromyotomy Using 3-mm Electrocautery Hook versus Open Surgery for Treatment of Hypertrophic Pyloric Stenosis in Infants. Children 2021, 8, 701. [Google Scholar] [CrossRef]
- Fadista, J.; Skotte, L.; Geller, F.; Bybjerg-Grauholm, J.; Gørtz, S.; Romitti, P.A.; Caggana, M.; Kay, D.M.; Matsson, H.; Boyd, H.A.; et al. Genome-wide meta-analysis identifies BARX1 and EML4-MTA3 as new loci associated with infantile hypertrophic pyloric stenosis. Hum. Mol. Genet. 2019, 28, 332–340. [Google Scholar] [CrossRef]
- Chung, E. Infantile hypertrophic pyloric stenosis: Genes and environment. Arch. Dis. Child. 2008, 93, 1003–1004. [Google Scholar] [CrossRef]
- Vanderwinden, J.M.; Mailleux, P.; Schiffmann, S.N.; Vanderhaeghen, J.J.; De Laet, M.H. Nitric oxide synthase activity in infantile hypertrophic pyloric stenosis. N. Engl. J. Med. 1992, 327, 511–515. [Google Scholar] [CrossRef]
- Wattchow, D.A.; Cass, D.T.; Furness, J.B.; Costa, M.; O’Brien, P.E.; Little, K.E.; Pitkin, J. Abnormalities of peptide-containing nerve fibers in infantile hypertrophic pyloric stenosis. Gastroenterology 1987, 92, 443–448. [Google Scholar] [CrossRef]
- Okazaki, T.; Yamataka, A.; Fujiwara, T.; Nishiye, H.; Fujimoto, T.; Miyano, T. Abnormal distribution of nerve terminals in infantile hypertrophic pyloric stenosis. J. Pediatr. Surg. 1994, 29, 655–658. [Google Scholar] [CrossRef]
- Piotrowska, A.P.; Solari, V.; Puri, P. Distribution of heme oxygenase-2 in nerves and interstitial cells of Cajal in the normal pylorus and in infantile hypertrophic pyloric stenosis. Arch. Pathol. Lab. Med. 2003, 127, 1182–1186. [Google Scholar] [CrossRef] [PubMed]
- Rogers, I.M. The true cause of pyloric stenosis is hyperacidity. Acta Pædiatr. 2006, 95, 132–136. [Google Scholar] [CrossRef] [PubMed]



Publisher’s Note: MDPI stays neutral with regard to jurisdictional claims in published maps and institutional affiliations. |
© 2022 by the authors. Licensee MDPI, Basel, Switzerland. This article is an open access article distributed under the terms and conditions of the Creative Commons Attribution (CC BY) license (https://creativecommons.org/licenses/by/4.0/).
Share and Cite
Beqo, B.P.; Basharkhah, A.; Haxhija, E.Q. Congenital Hypertrophic Pyloric Stenosis in a Preterm Dizygotic Female Twin Infant: Case Report. Children 2022, 9, 573. https://doi.org/10.3390/children9040573
Beqo BP, Basharkhah A, Haxhija EQ. Congenital Hypertrophic Pyloric Stenosis in a Preterm Dizygotic Female Twin Infant: Case Report. Children. 2022; 9(4):573. https://doi.org/10.3390/children9040573
Chicago/Turabian StyleBeqo, Besiana P., Alireza Basharkhah, and Emir Q. Haxhija. 2022. "Congenital Hypertrophic Pyloric Stenosis in a Preterm Dizygotic Female Twin Infant: Case Report" Children 9, no. 4: 573. https://doi.org/10.3390/children9040573
APA StyleBeqo, B. P., Basharkhah, A., & Haxhija, E. Q. (2022). Congenital Hypertrophic Pyloric Stenosis in a Preterm Dizygotic Female Twin Infant: Case Report. Children, 9(4), 573. https://doi.org/10.3390/children9040573

