Developmental and Epileptic Encephalopathy 76: Case Report and Review of Literature
Abstract
1. Introduction
2. Case Report
2.1. Clinical Manifestation
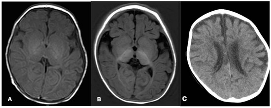
2.2. Neuroimaging and VEEG
2.3. Genetic Analysis
3. Literature Review
4. Discussion
5. Conclusions
Author Contributions
Funding
Institutional Review Board Statement
Informed Consent Statement
Data Availability Statement
Acknowledgments
Conflicts of Interest
References
- Fiumara, A.; Barone, R.; Del Campo, G.; Striano, P.; Jaeken, J. Early-Onset Epileptic Encephalopathy in infants with different forms of Congenital Disorders of Glycosylation (CDG). Brain Dev. 2017, 39, 366–367. [Google Scholar] [CrossRef] [PubMed]
- Mastrangelo, M. Novel Genes of Early-Onset Epileptic Encephalopathies: From Genotype to Phenotypes. Pediatric Neurol. 2015, 53, 119–129. [Google Scholar] [CrossRef] [PubMed]
- Thomas, R.H.; Berkovic, S.F. The hidden genetics of epilepsy-a clinically important new paradigm. Nat. Rev. Neurol. 2014, 10, 283–292. [Google Scholar] [CrossRef]
- Scheffer, I.E.; Berkovic, S.; Capovilla, G.; Connolly, M.B.; French, J.; Guilhoto, L.; Zuberi, S.M.; Zhang, Y.-H.; Wiebe, S.; Tomson, T.; et al. ILAE classification of the epilepsies: Position paper of the ILAE Commission for Classification and Terminology. Epilepsia 2017, 58, 512–521. [Google Scholar] [CrossRef] [PubMed]
- Köhler, S.; Carmody, L.; Vasilevsky, N.; Jacobsen, J.O.B.; Danis, D.; Gourdine, J.P.; Robinson, P.N.; Matentzoglu, N.; Harris, N.L.; Gargano, M.; et al. Expansion of the Human Phenotype Ontology (HPO) knowledge base and resources. Nucleic Acids Res. 2019, 47, D1018–D1027. [Google Scholar] [CrossRef] [PubMed]
- Strom, S.P.; Hossain, W.A.; Grigorian, M.; Li, M.; Fierro, J.; Scaringe, W.; Butler, M.G.; Gao, H.; Liu, J.; Teguh, M.; et al. A Streamlined Approach to Prader-Willi and Angelman Syndrome Molecular Diagnostics. Front. Genet. 2021, 12, 608889. [Google Scholar] [CrossRef] [PubMed]
- Richards, S.; Aziz, N.; Bale, S.; Bick, D.; Das, S.; Gastier-Foster, J.; Rehm, H.L.; Voelkerding, K.; Spector, E.; Lyon, E.; et al. Standards and guidelines for the interpretation of sequence variants: A joint consensus recommendation of the American College of Medical Genetics and Genomics and the Association for Molecular Pathology. Genet. Med. 2015, 17, 405–424. [Google Scholar] [CrossRef] [PubMed]
- Bell, S.; Rousseau, J.; Peng, H.; Aouabed, Z.; Priam, P.; Theroux, J.F.; Campeau, P.M.; Ernst, C.; Lessard, J.; Michaud, J.L.; et al. Mutations in ACTL6B Cause Neurodevelopmental Deficits and Epilepsy and Lead to Loss of Dendrites in Human Neurons. Am. J. Hum. Genet. 2019, 104, 815–834. [Google Scholar] [CrossRef] [PubMed]
- Fichera, M.; Failla, P.; Saccuzzo, L.; Miceli, M.; Salvo, E.; Castiglia, L.; Elia, M.; Romano, C.; Amato, C.; Greco, D.; et al. Mutations in ACTL6B, coding for a subunit of the neuron-specific chromatin remodeling complex nBAF, cause early onset severe developmental and epileptic encephalopathy with brain hypomyelination and cerebellar atrophy. Hum. Genet. 2019, 138, 187–198. [Google Scholar] [CrossRef] [PubMed]
- Yüksel, Z.; Yazol, M.; Gümüş, E. Pathogenic homozygous variations in ACTL6B cause DECAM syndrome: Developmental delay, Epileptic encephalopathy, Cerebral Atrophy, and abnormal Myelination. Am. J. Med. Genet. Part A 2019, 179, 1603–1608. [Google Scholar] [CrossRef] [PubMed]
- Meagher, R.B.; Kandasamy, M.K.; Deal, R.B.; McKinney, E.C. Actin-related proteins in chromatin-level control of the cell cycle and developmental transitions. Trends Cell Biol. 2007, 17, 325–332. [Google Scholar] [CrossRef] [PubMed]
- Vogel Ciernia, A.; Kramár, E.A.; Matheos, D.P.; Havekes, R.; Hemstedt, T.J.; Magnan, C.N.; Wood, M.A.; Lynch, G.; Abel, T.; Baldi, P.; et al. Mutation of neuron-specific chromatin remodeling subunit BAF53b: Rescue of plasticity and memory by manipulating actin remodeling. Learn. Mem. 2017, 24, 199–209. [Google Scholar] [CrossRef] [PubMed]
- Wu, J.I.; Lessard, J.; Olave, I.A.; Qiu, Z.; Ghosh, A.; Graef, I.A.; Crabtree, G.R. Regulation of dendritic development by neuron-specific chromatin remodeling complexes. Neuron 2007, 56, 94–108. [Google Scholar] [CrossRef] [PubMed]
- Wright, C.F.; McRae, J.F.; Clayton, S.; Gallone, G.; Aitken, S.; FitzGerald, T.W.; Firth, H.V.; FitzPatrick, D.R.; Hurles, M.E.; Barrett, J.C.; et al. Making new genetic diagnoses with old data: Iterative reanalysis and reporting from genome-wide data in 1,133 families with developmental disorders. Genet. Med. Off. J. Am. Coll. Med. Genet. 2018, 20, 1216–1223. [Google Scholar] [CrossRef] [PubMed]
- Mercimek-Mahmutoglu, S.; Patel, J.; Cordeiro, D.; Hewson, S.; Callen, D.; Donner, E.J.; Snead, O.C., III; Weiss, S.K.; Siriwardena, K.; Moharir, M.; et al. Diagnostic yield of genetic testing in epileptic encephalopathy in childhood. Epilepsia 2015, 56, 707–716. [Google Scholar] [CrossRef] [PubMed]


| Patient | Total (N = 18) |
|---|---|
| Gender | F 72% (13/18) |
| M 28% (5/18) | |
| Epilepsy | |
| Onset age of seizures | <1 month 28% (5/18) |
| 1 month~1 year 39% (7/18) | |
| >1 year 5% (1/18) | |
| NR 28% (5/18) | |
| Seizure type | Tonic seizures 39% (7/18) |
| Myoclonic seizures 22% (4/18) | |
| Epileptic spasms 17% (3/18) | |
| NR 44% (8/18) | |
| Initial EEG | Multifocal epileptic activity 50% (9/18) |
| Generalized slowing of background rhythms 39% (7/18) | |
| Generalized epileptiform discharges 22% (4/18) | |
| NR 11% (2/18) | |
| Major signs besides epilepsy | Developmental delay 100% (18/18) |
| Hypertonia 100% (18/18) | |
| Axial hypotonia 83% (15/18) | |
| feeding difficulties 50% (9/18) | |
| dysphagia 17% (3/18) | |
| Dysmorphic features | Microcephaly 67% (12/18) |
| Facial abnormalities 33% (6/18) | |
| NR 11% (2/18) | |
| Normal 5% (1/18) | |
| MRI | Hypoplasia of corpus callosum 56% (10/18) |
| Delayed myelination 56% (10/18) | |
| Cerebral and cerebellar atrophy 33% (6/18) | |
| NR 11% (2/18) | |
| Normal 5% (1/18) |
Publisher’s Note: MDPI stays neutral with regard to jurisdictional claims in published maps and institutional affiliations. |
© 2022 by the authors. Licensee MDPI, Basel, Switzerland. This article is an open access article distributed under the terms and conditions of the Creative Commons Attribution (CC BY) license (https://creativecommons.org/licenses/by/4.0/).
Share and Cite
Han, X.; Deng, J.; Chen, C.; Wang, X.; Fang, F.; Li, H.; Luo, J.; Wu, J. Developmental and Epileptic Encephalopathy 76: Case Report and Review of Literature. Children 2022, 9, 1967. https://doi.org/10.3390/children9121967
Han X, Deng J, Chen C, Wang X, Fang F, Li H, Luo J, Wu J. Developmental and Epileptic Encephalopathy 76: Case Report and Review of Literature. Children. 2022; 9(12):1967. https://doi.org/10.3390/children9121967
Chicago/Turabian StyleHan, Xiaodi, Jie Deng, Chunhong Chen, Xiaohui Wang, Fang Fang, Hua Li, Jie Luo, and Jie Wu. 2022. "Developmental and Epileptic Encephalopathy 76: Case Report and Review of Literature" Children 9, no. 12: 1967. https://doi.org/10.3390/children9121967
APA StyleHan, X., Deng, J., Chen, C., Wang, X., Fang, F., Li, H., Luo, J., & Wu, J. (2022). Developmental and Epileptic Encephalopathy 76: Case Report and Review of Literature. Children, 9(12), 1967. https://doi.org/10.3390/children9121967
