Peripheral Bone Relapse of Paediatric TCF3-HLF Positive Acute Lymphoblastic Leukaemia during Haematopoietic Stem Cell Transplantation: A Case Report
Abstract
1. Introduction
2. Case Presentation
2.1. Diagnosis and Initial Treatment
2.2. The Course of HSCT
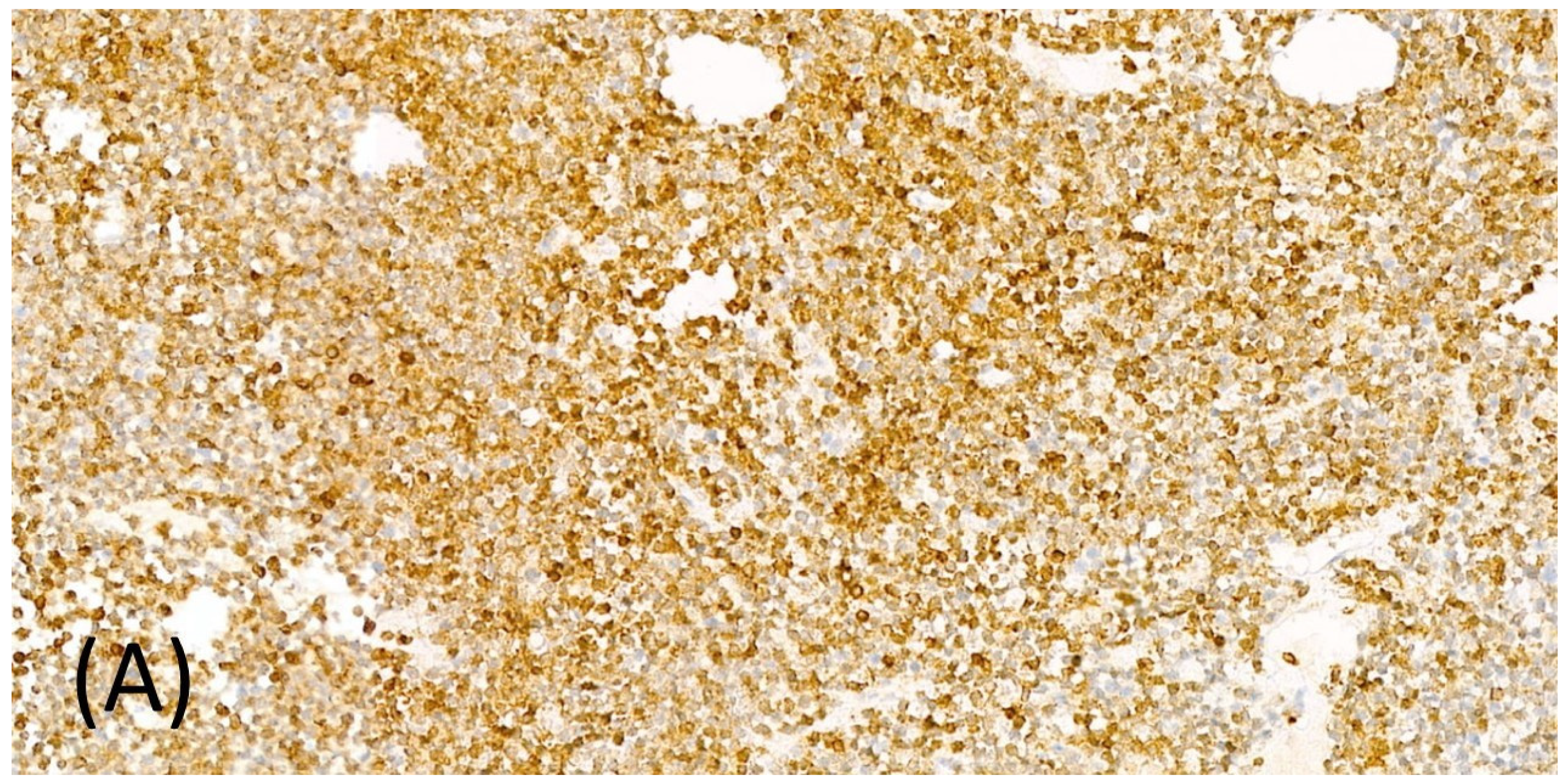
2.3. Early Relapse and the Final Course of the Disease
3. Discussion
4. Conclusions
Author Contributions
Funding
Institutional Review Board Statement
Informed Consent Statement
Data Availability Statement
Acknowledgments
Conflicts of Interest
References
- Gatta, G.; Capocaccia, R.; Stiller, C.; Kaatsch, P.; Berrino, F.; Terenziani, M. Childhood cancer survival trends in Europe: A EUROCARE Working Group study. J. Clin. Oncol. Off. J. Am. Soc. Clin. Oncol. 2005, 23, 3742–3751. [Google Scholar] [CrossRef] [PubMed]
- Vora, A.; Goulden, N.; Wade, R.; Mitchell, C.; Hancock, J.; Hough, R.; Rowntree, C.; Richards, S. Treatment reduction for children and young adults with low-risk acute lymphoblastic leukaemia defined by minimal residual disease (UKALL 2003): A randomised controlled trial. Lancet. Oncol. 2013, 14, 199–209. [Google Scholar] [CrossRef] [PubMed]
- Teachey, D.T.; Hunger, S.P. Predicting relapse risk in childhood acute lymphoblastic leukaemia. Br. J. Haematol. 2013, 162, 606–620. [Google Scholar] [CrossRef] [PubMed]
- Nguyen, K.; Devidas, M.; Cheng, S.C.; La, M.; Raetz, E.A.; Carroll, W.L.; Winick, N.J.; Hunger, S.P.; Gaynon, P.S.; Loh, M.L. Factors influencing survival after relapse from acute lymphoblastic leukemia: A Children’s Oncology Group study. Leukemia 2008, 22, 2142–2150. [Google Scholar] [CrossRef]
- Roy, A.; Cargill, A.; Love, S.; Moorman, A.V.; Stoneham, S.; Lim, A.; Darbyshire, P.J.; Lancaster, D.; Hann, I.; Eden, T.; et al. Outcome after first relapse in childhood acute lymphoblastic leukaemia—lessons from the United Kingdom R2 trial. Br. J. Haematol. 2005, 130, 67–75. [Google Scholar] [CrossRef]
- Bunin, N.J.; Pui, C.H.; Hustu, H.O.; Rivera, G.K. Unusual extramedullary relapses in children with acute lymphoblastic leukemia. J. Pediatr. 1986, 109, 665–668. [Google Scholar] [CrossRef]
- Murray, J.C.; Gmoser, D.J.; Barnes, D.A.; Oshman, D.; Hawkins, H.K.; Gresik, M.V.; Dreyer, Z.E. Isolated bone relapse during hematologic remission in childhood acute lymphoblastic leukemia: Report of a metatarsal relapse and review of the literature. Med. Pediatr. Oncol. 1994, 23, 153–157. [Google Scholar] [CrossRef]
- Rush, M.; Toth, B.B.; Pinkel, D. Clinically isolated mandibular relapse in childhood acute leukemia. Cancer 1990, 66, 369–372. [Google Scholar] [CrossRef]
- Wong, K.Y.; Benton, C.; Gelfand, M.J.; Aron, B.S.; Lampkin, B.C.; Bove, K.E. Isolated bone relapse in long-term survivors of acute lymphoblastic leukemia. J. Pediatr. 1983, 102, 92–94. [Google Scholar] [CrossRef]
- Williams, S.A.; Duggan, M.B.; Bailey, C.C. Jaw involvement in acute lymphoblastic leukaemia. Br. Dent. J. 1983, 155, 164–166. [Google Scholar] [CrossRef]
- Bernstein, M.L.; Schwartz, S. Mandibular relapse in acute leukemia. Report of a case. Am. J. Pediatr. Hematol. Oncol. 1986, 8, 240–244. [Google Scholar] [CrossRef] [PubMed]
- Meena, J.P.; Ahad, A.; Gupta, A.K.; Mallick, S.; Seth, R. Bone relapse in T-lineage acute lymphoblastic leukemia in a child. Oxf. Med. Case Rep. 2018, 2018, omx110. [Google Scholar] [CrossRef] [PubMed]
- Padmanjali, K.S.; Bakhshi, S.; Thavaraj, V.; Karak, A.K.; Arya, L.S. Bone relapse in acute lymphoblastic leukemia. Indian J. Pediatr. 2004, 71, 555–557. [Google Scholar] [CrossRef] [PubMed]
- Hangai, M.; Watanabe, K.; Shiozawa, R.; Hiwatari, M.; Ida, K.; Takita, J. Relapsed acute lymphoblastic leukemia with unusual multiple bone invasions: A case report. Oncol. Lett. 2014, 7, 991–993. [Google Scholar] [CrossRef] [PubMed]
- Takahashi, N.; Mochizuki, K.; Kobayashi, S.; Ohara, Y.; Kudo, S.; Saito, Y.; Ikeda, K.; Ohto, H.; Kikuta, A.; Sano, H. T-Cell-Replete Haploidentical Hematopoietic Stem Cell Transplantation for a Patient With Tcf3-Hlf-Positive Acute Lymphoblastic Leukemia Extramedullary Relapse After Unrelated Bone Marrow Transplantation. J. Pediatr. Hematol. Oncol. 2022. [Google Scholar] [CrossRef] [PubMed]
- Gomoll, A.H. Childhood leukemia presenting as sternal osteomyelitis. Am. J. Orthop. Belle Mead N.J. 2007, 36, E148–E150. [Google Scholar]
- Jonsson, O.G.; Sartain, P.; Ducore, J.M.; Buchanan, G.R. Bone pain as an initial symptom of childhood acute lymphoblastic leukemia: Association with nearly normal hematologic indexes. J. Pediatr. 1990, 117, 233–237. [Google Scholar] [CrossRef]
- Balwierz, A.I. A Randomized Trial of the I-BFM-SG for the Management of Childhood Non-B Acute Lymphoblastic Leukemia. Final Version of Therapy Protocol from August-14-2009. 2009. Available online: http://www.bialaczka.org/wp-content/uploads/2016/10/ALLIC_BFM_2009.pdf (accessed on 7 November 2022).
- Allogeneic Stem Cell Transplantation for Children and Adolescents with Acute Lymphoblastic Leukaemia. Available online: https://clinicaltrials.gov/ct2/show/NCT01949129 (accessed on 7 November 2022).
- ALL-IC REL 2016 version 1.1. Available online: https://semmelweis.hu/gyermekklinika2/files/2022/05/ALL-IC-REL-2016_v1.1_2019-09-16.pdf (accessed on 7 November 2022).
- Fischer, U.; Forster, M.; Rinaldi, A.; Risch, T.; Sungalee, S.; Warnatz, H.J.; Bornhauser, B.; Gombert, M.; Kratsch, C.; Stütz, A.M.; et al. Genomics and drug profiling of fatal TCF3-HLF-positive acute lymphoblastic leukemia identifies recurrent mutation patterns and therapeutic options. Nat. Genet. 2015, 47, 1020–1029. [Google Scholar] [CrossRef]
- Inukai, T.; Hirose, K.; Inaba, T.; Kurosawa, H.; Hama, A.; Inada, H.; Chin, M.; Nagatoshi, Y.; Ohtsuka, Y.; Oda, M.; et al. Hypercalcemia in childhood acute lymphoblastic leukemia: Frequent implication of parathyroid hormone-related peptide and E2A-HLF from translocation 17;19. Leukemia 2007, 21, 288–296. [Google Scholar] [CrossRef]
- Kurosawa, H.; Goi, K.; Inukai, T.; Inaba, T.; Chang, K.-S.; Shinjyo, T.; Rakestraw, K.M.; Naeve, C.W.; Look, A.T. Two Candidate Downstream Target Genes for E2A-HLF. Blood 1999, 93, 321–332. [Google Scholar] [CrossRef]
- Abad, C.L.; Phuoc, V.; Kapoor, P.; Tosh, P.K.; Sia, I.G.; Osmon, D.R.; Tande, A.J. Bone and Joint Infections among Hematopoietic Stem Cell Transplant Recipients. J. Bone Jt. Infect. 2019, 4, 209–215. [Google Scholar] [CrossRef] [PubMed]
- Peltola, H.; Pääkkönen, M. Acute Osteomyelitis in Children. N. Engl. J. Med. 2014, 370, 352–360. [Google Scholar] [CrossRef] [PubMed]
- Murphy, R.G.; Greenberg, M.L. Osteomyelitis in pediatric patients with leukemia. Cancer 1988, 62, 2628–2630. [Google Scholar] [CrossRef]
- Della Starza, I.; Chiaretti, S.; De Propris, M.S.; Elia, L.; Cavalli, M.; De Novi, L.A.; Soscia, R.; Messina, M.; Vitale, A.; Guarini, A.; et al. Minimal Residual Disease in Acute Lymphoblastic Leukemia: Technical and Clinical Advances. Front. Oncol. 2019, 9, 726. [Google Scholar] [CrossRef] [PubMed]




Publisher’s Note: MDPI stays neutral with regard to jurisdictional claims in published maps and institutional affiliations. |
© 2022 by the authors. Licensee MDPI, Basel, Switzerland. This article is an open access article distributed under the terms and conditions of the Creative Commons Attribution (CC BY) license (https://creativecommons.org/licenses/by/4.0/).
Share and Cite
Horváth, M.; Kertész, G.; Kassa, C.; Goda, V.; Csordás, K.; Hau, L.; Kövér, A.; Stréhn, A.; Horváth, O.; Kállay, K.; et al. Peripheral Bone Relapse of Paediatric TCF3-HLF Positive Acute Lymphoblastic Leukaemia during Haematopoietic Stem Cell Transplantation: A Case Report. Children 2022, 9, 1919. https://doi.org/10.3390/children9121919
Horváth M, Kertész G, Kassa C, Goda V, Csordás K, Hau L, Kövér A, Stréhn A, Horváth O, Kállay K, et al. Peripheral Bone Relapse of Paediatric TCF3-HLF Positive Acute Lymphoblastic Leukaemia during Haematopoietic Stem Cell Transplantation: A Case Report. Children. 2022; 9(12):1919. https://doi.org/10.3390/children9121919
Chicago/Turabian StyleHorváth, Máté, Gabriella Kertész, Csaba Kassa, Vera Goda, Kata Csordás, Lidia Hau, Anna Kövér, Anita Stréhn, Orsolya Horváth, Krisztián Kállay, and et al. 2022. "Peripheral Bone Relapse of Paediatric TCF3-HLF Positive Acute Lymphoblastic Leukaemia during Haematopoietic Stem Cell Transplantation: A Case Report" Children 9, no. 12: 1919. https://doi.org/10.3390/children9121919
APA StyleHorváth, M., Kertész, G., Kassa, C., Goda, V., Csordás, K., Hau, L., Kövér, A., Stréhn, A., Horváth, O., Kállay, K., & Kriván, G. (2022). Peripheral Bone Relapse of Paediatric TCF3-HLF Positive Acute Lymphoblastic Leukaemia during Haematopoietic Stem Cell Transplantation: A Case Report. Children, 9(12), 1919. https://doi.org/10.3390/children9121919

