Characteristics, Diagnosis and Treatment of Compound Odontoma Associated with Impacted Teeth
Abstract
1. Introduction
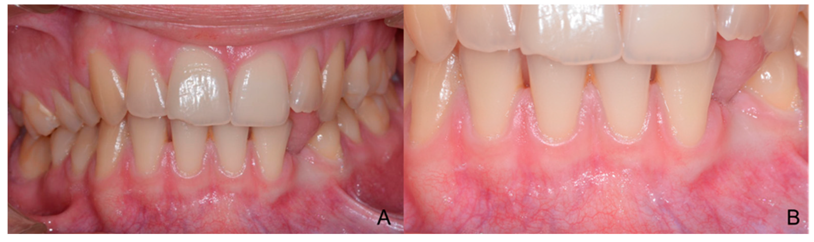
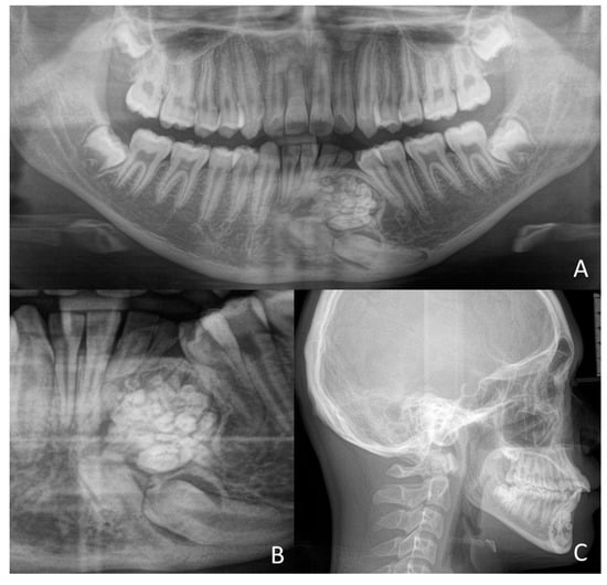
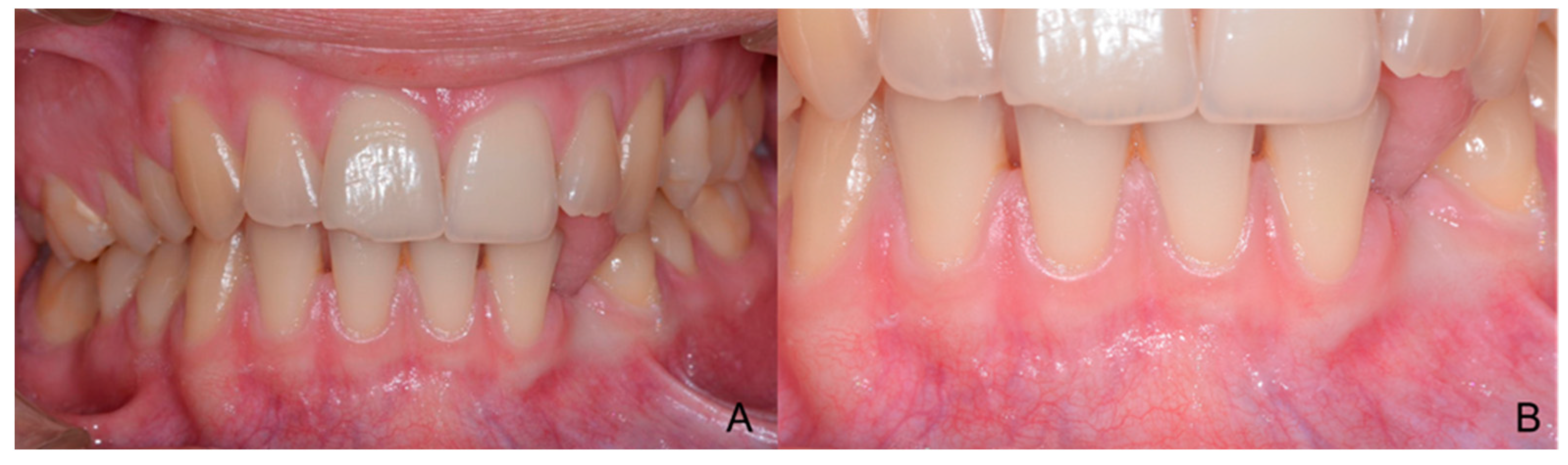
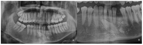
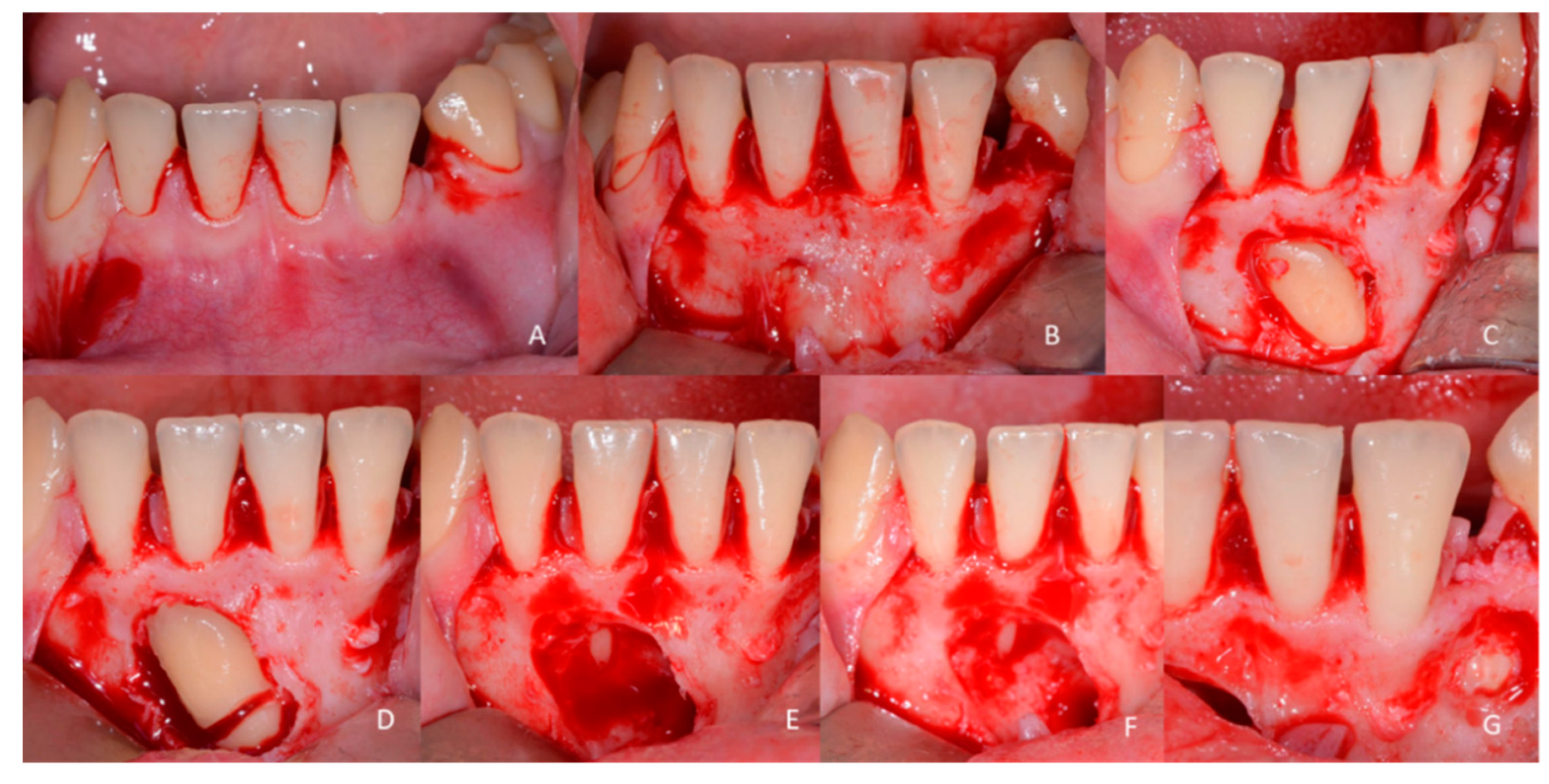
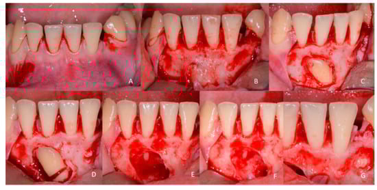
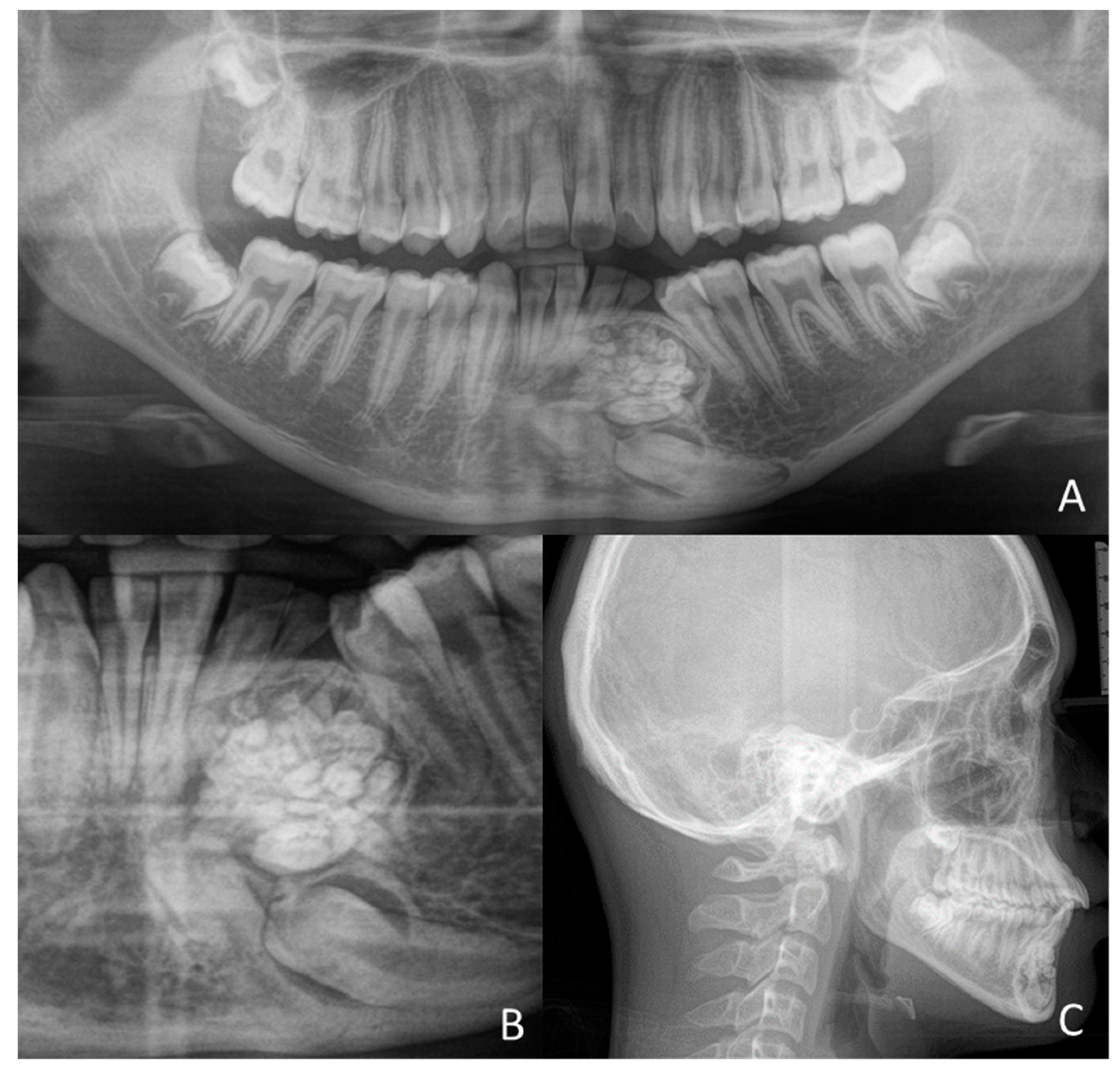
1.1. Case Number 1
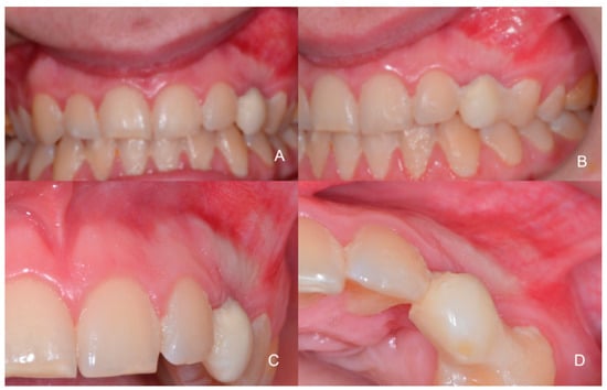
1.2. Case Number 2
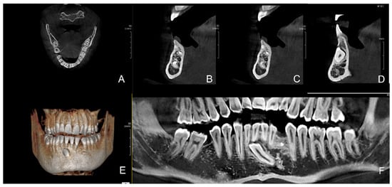
1.3. Case Number 3
2. Literature Review
3. Discussion
4. Conclusions
Author Contributions
Funding
Institutional Review Board Statement
Informed Consent Statement
Data Availability Statement
Conflicts of Interest
References
- Maltagliati, A.; Ugolini, A.; Crippa, R.; Farronato, M.; Paglia, M.; Blasi, S.; Angiero, F. Complex odontoma at the upper right maxilla: Surgical management and histomorphological profile. Eur. J. Paediatr. Dent. 2020, 21, 199–202. [Google Scholar] [CrossRef] [PubMed]
- Philipsen, H.P.; Reichart, P.A. Revision of the 1992-edition of the WHO histological typing of odontogenic tumours. A suggestion. J. Oral Pathol Med. 2002, 31, 253–258. [Google Scholar] [CrossRef] [PubMed]
- Yadav, M.; Godge, P.; Meghana, S.M.; Kulkarni, S.R. Compound odontoma. Contemp Clin. Dent. 2012, 3, S13–S15. [Google Scholar] [CrossRef] [PubMed]
- Altay, M.A.; Ozgur, B.; Cehreli, Z.C. Management of a Compound Odontoma in the Primary Dentition. J. Dent. Child. (Chic) 2016, 83, 98–101. [Google Scholar]
- Bueno, N.P.; Bergamini, M.L.; Elias, F.M.; Braz-Silva, P.H.; Ferraz, E.P. Unusual giant complex odontoma: A case report. J. Stomatol. Oral Maxillofac Surg. 2020, 121, 604–607, Epub 2 January 2020. [Google Scholar] [CrossRef]
- Serra-Serra, G.; Berini-Aytés, L.; Gay-Escoda, C. Erupted odontomas: A report of three cases and review of the literature. Med. Oral Patol. Oral Cir. Bucal. 2009, 14, E299–E303. [Google Scholar] [PubMed]
- Troeltzsch, M.; Liedtke, J.; Troeltzsch, V.; Frankenberger, R.; Steiner, T.; Troeltzsch, M. Odontoma-associated tooth impaction: Accurate diagnosis with simple methods? Case report and literature review. J. Oral Maxillofac. Surg. 2012, 70, e516–e520. [Google Scholar] [PubMed]
- Kämmerer, P.W.; Schneider, D.; Schiegnitz, E.; Schneider, S.; Walter, C.; Frerich, B.; Kunkel, M. Clinical parameter of odontoma with special emphasis on treatment of impacted teeth-a retrospective multicentre study and literature review. Clin. Oral Investig. 2016, 20, 1827–1835. [Google Scholar] [CrossRef] [PubMed]
- Hidalgo-Sánchez, O.; Leco-Berrocal, M.I.; Martínez-González, J.M. Metaanalysis of the epidemiology and clinical manifestations of odontomas. Med. Oral Patol. Oral Cir. Bucal. 2008, 13, E730–E734. [Google Scholar]
- Angiero, F.; Benedicenti, S.; Parker, S.; Signore, A.; Sorrenti, E.; Giacometti, E.; Crippa, R. Clinical and surgical management of odontoma. Photomed. Laser Surg. 2014, 32, 47–53. [Google Scholar] [CrossRef]
- Kamakura, S.; Matsui, K.; Katou, F.; Shirai, N.; Kochi, S.; Motegi, K. Surgical and orthodontic management of compound odontoma without removal of the impacted permanent tooth. Oral Surg. Oral Med. Oral Pathol. Oral Radiol. Endod. 2002, 94, 540–542. [Google Scholar] [CrossRef] [PubMed]
- de Oliveira, B.H.; Campos, V.; Marçal, S. Compound odontoma--diagnosis and treatment: Three case reports. Pediatr. Dent. 2001, 23, 151–157. [Google Scholar] [PubMed]
- Boffano, P.; Zavattero, E.; Roccia, F.; Gallesio, C. Complex and compound odontomas. J. Cranio. Craniofac. Surg. 2012, 23, 685–688. [Google Scholar] [CrossRef] [PubMed]
- Iatrou, I.; Vardas, E.; Theologie-Lygidakis, N.; Leventis, M. A retrospective analysis of the characteristics, treatment and follow-up of 26 odontomas in Greek children. J. Oral Sci. 2010, 52, 439. [Google Scholar] [CrossRef]
- An, S.; An, C.; Choi, K. Odontoma: A retrospective study of 73 cases. Imaging Sci. Dent. 2012, 42, 77–81. [Google Scholar] [CrossRef]
- El-Gehani, R.; Orafi, M.; Elarbi, M.; Subhashraj, K. Benign tumours of orofacial region at Benghazi, Libya: A study of 405 cases. J. Craniomaxillofac Surg. 2009, 37, 370–375. [Google Scholar] [CrossRef]
- Ochsenius, G.; Ortega, A.; Godoy, L.; Peñafiel, C.; Escobar, E. Odontogenic tumors in Chile: A study of 362 cases. J. Oral Pathol. Med. 2002, 31, 415–420. [Google Scholar] [CrossRef]
- Sekerci, A.; Nazlim, S.; Etoz, M.; Deniz, K.; Yasa, Y. Odontogenic tumors: A collaborative study of 218 cases diagnosed over 12 years and comprehensive review of the literature. Med. Oral Patol. Oral Cir. Bucal 2015, 20, e34–e44. [Google Scholar] [CrossRef]
- Luo, H.; Li, T. Odontogenic tumors: A study of 1309 cases in a Chinese population. Oral Oncol. 2009, 45, 706–711. [Google Scholar] [CrossRef]
- da Silva, L.F.; Faria, L.; David, L.; Ribeiro, D.; Felino, A. Odontomas: A clinicopathologic study in a Portuguese population. Quintessence Int. 2009, 40, 61–72. [Google Scholar]
- Taghavi, N.; Rajabi, M.; Mehrdad, L.; Sajjadi, S. A 10-year retrospective study on odontogenic tumors in Iran. Indian J. Dent. Res. 2013, 24, 220–224. [Google Scholar] [CrossRef]
- Hisatomi, M.; Asaumi, J.I.; Konouchi, H.; Honda, Y.; Wakasa, T.; Kishi, K. A case of complex odontoma associated with an impacted lower deciduous second molar and analysis of the 107 odontomas. Oral Dis. 2002, 8, 100–105. [Google Scholar] [CrossRef]
- Tomizawa, M.; Otsuka, Y.; Noda, T. Clinical observations of odontomas in Japanese children: 39 cases including one recurrent case. Int. J. Paediatr. Dent. 2005, 15, 37–43. [Google Scholar] [CrossRef] [PubMed]
- Amado, S.; Gargallo Albiol, J.; Berini Aytés, L.; Gay Escoda, C. Review of 61 cases of odontoma. Presentation of an erupted complex odontoma. Med. Oral 2003, 8, 366–373. [Google Scholar]
- Pippi, R. Benign odontogenic tumours: Clinical, epidemiological and therapeutic aspects of a sixteen years sample. Minerva Stomatol. 2006, 55, 503–513. [Google Scholar]
- Fernandes, A.M.; Duarte, E.C.B.; Pimenta, F.J.G.S.; Souza, L.N.; Santos, V.R.; Mesquita, R.A.; Aguiar, D.; Ferreira, M.C. Odontogenic tumors: A study of 340 cases in a Brazilian population. J. Oral Pathol. Med. 2005, 34, 583–587. [Google Scholar] [CrossRef] [PubMed]
- Saghravanian, N.; Jafarzadeh, H.; Bashardoost, N.; Pahlavan, N.; Shirinbak, I. Odontogenic tumors in an Iranian population: A 30-year evaluation. J. Oral Sci. 2010, 52, 391–396. [Google Scholar] [CrossRef]
- Jing, W.; Xuan, M.; Lin, Y.; Wu, L.; Liu, L.; Zheng, X.; Tang, W.; Qiao, J.; Tian, W. Odontogenic tumours: A retrospective study of 1642 cases in a Chinese population. Int. J. Oral Maxillofac. Surg. 2007, 36, 20–25. [Google Scholar] [CrossRef] [PubMed]
- Soluk, T.M.; Pehlivan, S.; Olgac, V.; Aksakallı, N.; Alatli, C. Clinical and histopathological investigation of odontomas: Review of the literature and presentation of 160 cases. J. Oral Maxillofac. Surg. 2012, 70, 1358–1361. [Google Scholar] [CrossRef] [PubMed]
- Tamme, T.; Soots, M.; Kulla, A.; Karu, K.; Hanstein, S.; Sokk, A.; Jõeste, E.; Leibur, E. Odontogenic tumours, a collaborative retrospective study of 75 cases covering more than 25 years from Estonia. J. Craniomaxillofac. Surg. 2004, 32, 161–165. [Google Scholar] [CrossRef]
- Olgac, V.; Koseoglu, B.G.; Aksakalli, N. Odontogenic tumours in Istanbul: 527 cases. Br. J. Oral Maxillofac. Surg. 2006, 44, 386–388. [Google Scholar] [CrossRef] [PubMed]
- Tawfik, M.A.; Zyada, M.M. Odontogenic tumors in Dakahlia, Egypt: Analysis of 82 cases. Oral Surg. Oral Med. Oral Pathol. Oral Radiol. Endod. 2010, 109, e67–e73. [Google Scholar] [CrossRef] [PubMed]
- Preoteasa, C.T.; Preoteasa, E. Compound odontoma-morphology, clinical findings and treatment. Case Report. Rom J. Morphol Embryol 2018, 59, 997–1000. [Google Scholar] [PubMed]
- Isola, G.; Cicciù, M.; Fiorillo, L.; Matarese, G. Association between odontoma and impacted teeth. J. Craniofac. Surg. 2017, 28, 755–758. [Google Scholar] [CrossRef] [PubMed]
- Ćabov, T.; Fuchs, P.N.; Zulijani, A.; Ćabov Ercegović, L.; Marelić, S. Odontomas: Pediatric case report and review of the literature. Acta Clin. Croat. 2021, 60, 146–152. [Google Scholar] [CrossRef] [PubMed]
- Brooks, J.K.; Tran, L.T.; Basile, J.R.; Khoury, Z.H.; Wu, L.L.; Price, J.B. Synchronous gubernacular canals with compound odontoma associated with a calcifying odontogenic cyst and transmigrated canine: An extremely rare event. Pediatr. Dent. J. 2020, 30, 39–44. [Google Scholar] [CrossRef]
- Vuchkova, J.; Farah, C.S. Canine transmigration: Comprehensive literature review and re-port of 4 new Australian cases. Oral Surg. Oral Med. Oral Pathol. Oral Radiol. Endod. 2010, 109, e46–e53. [Google Scholar] [CrossRef]
- Gunashekhar, M.; Rohini, M. Transmigration of mandibular canines: A rare case report and review of literature. J. Dent. Child. (Chic) 2011, 78, 19–23. [Google Scholar]
- Mupparapu, M. Patterns of intra-osseus transmigration and ectopic eruption of mandibular Cannes: Review of literature and report of nine additional cases. Dentomaxillofac. Radiol. 2002, 31, 355–360. [Google Scholar] [CrossRef] [PubMed]
- Umashreem, N.; Kumar, A.; Nagaraj, T. Transmigration of mandibular canines. Case Rep. Dent. 2013, 2013, 697671. [Google Scholar]
- Verma, S.L.; Sharma, V.P.; Singh, G.P. Management of a transmigrated mandibular canine. J. Orthod. Sci. 2012, 1, 23–28. [Google Scholar] [PubMed]
- Trybek, G.; Jedliński, M.; Jaroń, A.; Preuss, O.; Mazur, M.; Grzywacz, A. Impact of lactoferrin on bone regenerative processes and its possible implementation in oral surgery-a systematic review of novel studies with metanalysis and metaregression. BMC Oral Health 2020, 20, 232. [Google Scholar] [CrossRef] [PubMed]













| Author | Year | Analysed Odontomas | Compound | Complex | Female | Male |
|---|---|---|---|---|---|---|
| Boffano [13] | 2012 | 52 | 20 | 32 | 26 | 26 |
| Iatrou [14] | 2010 | 26 | 15 | 9 | 12 | 14 |
| An [15] | 2012 | 73 | 45 | 28 | 38 | 35 |
| El-Gehani [16] | 2009 | 29 | 19 | 10 | 19 | 10 |
| Ochsenius [17] | 2002 | 163 | 71 | 92 | 85 | 77 |
| Sekerci [18] | 2015 | 35 | 24 | 11 | 24 | 11 |
| Luo [19] | 2009 | 80 | 33 | 47 | 38 | 42 |
| da Silva [20] | 2009 | 48 | 34 | 14 | 22 | 26 |
| Taghavi [21] | 2013 | 27 | 17 | 10 | 8 | 19 |
| Hisatomi [22] | 2002 | 106 | 62 | 44 | 51 | 55 |
| Tomizawa [23] | 2005 | 38 | 31 | 7 | 15 | 23 |
| Amado [24] | 2003 | 61 | 38 | 23 | 29 | 32 |
| Pippi [25] | 2006 | 28 | 15 | 13 | 11 | 17 |
| Fernandes [26] | 2005 | 85 | 33 | 52 | 38 | 47 |
| Saghravanian [27] | 2010 | 44 | 17 | 27 | 16 | 18 |
| Jing [28] | 2007 | 78 | 20 | 58 | 40 | 38 |
| Soluk [29] | 2012 | 160 | 57 | 99 | 80 | 80 |
| Tamme [30] | 2004 | 26 | 12 | 14 | 18 | 8 |
| Olgac [31] | 2006 | 109 | 42 | 67 | 50 | 59 |
| Tawfik [32] | 2010 | 11 | 7 | 4 | 8 | 3 |
| Total | 1279 | 612 | 661 | 628 | 640 | |
Publisher’s Note: MDPI stays neutral with regard to jurisdictional claims in published maps and institutional affiliations. |
© 2022 by the authors. Licensee MDPI, Basel, Switzerland. This article is an open access article distributed under the terms and conditions of the Creative Commons Attribution (CC BY) license (https://creativecommons.org/licenses/by/4.0/).
Share and Cite
Mazur, M.; Di Giorgio, G.; Ndokaj, A.; Jedliński, M.; Corridore, D.; Marasca, B.; Salucci, A.; Polimeni, A.; Ottolenghi, L.; Bossù, M.; et al. Characteristics, Diagnosis and Treatment of Compound Odontoma Associated with Impacted Teeth. Children 2022, 9, 1509. https://doi.org/10.3390/children9101509
Mazur M, Di Giorgio G, Ndokaj A, Jedliński M, Corridore D, Marasca B, Salucci A, Polimeni A, Ottolenghi L, Bossù M, et al. Characteristics, Diagnosis and Treatment of Compound Odontoma Associated with Impacted Teeth. Children. 2022; 9(10):1509. https://doi.org/10.3390/children9101509
Chicago/Turabian StyleMazur, Marta, Gianni Di Giorgio, Artnora Ndokaj, Maciej Jedliński, Denise Corridore, Beatrice Marasca, Alessandro Salucci, Antonella Polimeni, Livia Ottolenghi, Maurizio Bossù, and et al. 2022. "Characteristics, Diagnosis and Treatment of Compound Odontoma Associated with Impacted Teeth" Children 9, no. 10: 1509. https://doi.org/10.3390/children9101509
APA StyleMazur, M., Di Giorgio, G., Ndokaj, A., Jedliński, M., Corridore, D., Marasca, B., Salucci, A., Polimeni, A., Ottolenghi, L., Bossù, M., & Guerra, F. (2022). Characteristics, Diagnosis and Treatment of Compound Odontoma Associated with Impacted Teeth. Children, 9(10), 1509. https://doi.org/10.3390/children9101509

