Subcutaneous Fat Necrosis and Hypercalcemia with Nephrocalcinosis in Infancy: Case Report and Review of the Literature
Abstract
1. Introduction
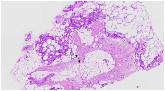
2. Case Presentation
3. Discussion
4. Conclusions
Author Contributions
Funding
Institutional Review Board Statement
Informed Consent Statement
Data Availability Statement
Acknowledgments
Conflicts of Interest
References
- Del Pozzo-Magaña, B.R.; Ho, N. Subcutaneous Fat Necrosis of the Newborn: A 20-Year Retrospective Study. Pediatr. Dermatol. 2016, 33, e353–e355. [Google Scholar] [CrossRef] [PubMed]
- Mahé, E.; Girszyn, N.; Hadj-Rabia, S.; Bodemer, C.; Hamel-Teillac, D.; De Prost, Y. Subcutaneous fat necrosis of the newborn: A systematic evaluation of risk factors, clinical manifestations, complications and outcome of 16 children. Br. J. Dermatol. 2007, 156, 709–715. [Google Scholar] [CrossRef] [PubMed]
- Rubin, G.; Spagnut, G.; Morandi, F.; Valerio, E.; Cutrone, M. Subcutaneous fat necrosis of the newborn. Clin. Case Rep. 2015, 3, 1017–1020. [Google Scholar] [CrossRef] [PubMed]
- Tran, J.T.; Sheth, A.P. Complications of Subcutaneous Fat Necrosis of the Newborn: A Case Report and Review of the Literature. Pediatr. Dermatol. 2003, 20, 257–261. [Google Scholar] [CrossRef] [PubMed]
- Shumer, D.E.; Thaker, V.; Taylor, G.A.; Wassner, A.J. Severe hypercalcaemia due to subcutaneous fat necrosis: Presentation, management and complications: Table 1. Arch. Dis. Child. Fetal Neonatal Ed. 2014, 99, F419–F421. [Google Scholar] [CrossRef]
- Coondoo, A.; Lahiry, R.; Choudhury, A.; Sengupta, S. Tender skin nodules in a newborn. Ind. J. Dermatol. 2013, 58, 328. [Google Scholar] [CrossRef]
- Canpolat, N.; Özdil, M.; Kuruğoğlu, S.; Çalışkan, S.; Sever, L. Nephrocalcinosis as a complication of subcutaneous fat necrosis of the newborn. Turk. J. Pediatr. 2013, 54, 667–670. [Google Scholar]
- Stefanko, N.S.; Drolet, B.A. Subcutaneous fat necrosis of the newborn and associated hypercalcemia: A sys-tematic review of the literature. Pediatr. Dermatol. 2019, 36, 24–30. [Google Scholar] [CrossRef]
- Silverman, A.K.; Michels, E.H.; Rasmussen, J.E. Subcutaneous fat necrosis in an infant, occurring after hypothermic cardiac surgery: Case report and analysis of etiologic factors. J. Am. Acad. Dermatol. 1986, 15, 331–336. [Google Scholar] [CrossRef]
- Karochristou, K.; Siahanidou, T.; Kakourou-Tsivitanidou, T.; Stefanaki, K.; Mandyla, H. Subcutaneous fat necrosis associated with severe hypocalcaemia in a neonate. J. Perinatol. 2005, 26, 64–66. [Google Scholar] [CrossRef]
- Mosalli, R. Whole body cooling for infants with hypoxic-ischemic encephalopathy. J. Clin. Neonatol. 2012, 1, 101–106. [Google Scholar] [CrossRef]
- Grass, B.; Weibel, L.; Hagmann, C.; Brotschi, B. National Asphyxia and Cooling Register Group Subcutaneous fat necrosis in neonates with hypoxic ischaemic encephalopathy registered in the Swiss National Asphyxia and Cooling Register. BMC Pediatr. 2015, 15, 73. [Google Scholar] [CrossRef]
- Strohm, B.; Hobson, A.; Brocklehurst, P.; Edwards, A.D.; Azzopardi, D. Subcutaneous Fat Necrosis After Moderate Therapeutic Hypothermia in Neonates. Pediatrics 2011, 128, e450–e452. [Google Scholar] [CrossRef]
- Filippi, L.; Catarzi, S.; Padrini, L.; Fiorini, P.; La Marca, G.; Guerrini, R.; Donzelli, G.P. Strategies for reducing the incidence of skin complications in newborns treated with whole-body hypothermia. J. Matern. Neonatal Med. 2012, 25, 2115–2121. [Google Scholar] [CrossRef]
- Alsaleem, M.; Saadeh, L.; Elberson, V.; Kumar, V.H.S. Subcutaneous fat necrosis, a rare but serious side effect of hypoxic-ischemic encephalopa-thy and whole-body hypothermia. J. Perinatal Med. 2019, 47, 986–990. [Google Scholar] [CrossRef]
- Muzy, G.; Mayor, S.A.S.; Lellis, R.F. Subcutaneous fat necrosis of the newborn: Clinical and histopathological correlation. An. Bras. Dermatol. 2018, 93, 412–414. [Google Scholar] [CrossRef]
- Collins, H.A.; Stahlman, M.; Scott, H.W., Jr. The occurrence of subcutaneous fat necrosis in an infant follow-ing induced hypothermia used as an adjuvant in cardiac surgery. Ann. Surg. 1953, 138, 880–885. [Google Scholar] [CrossRef]
- Polcari, I.C.; Stein, S.L. Panniculitis in childhood. Dermatol. Ther. 2010, 23, 356–367. [Google Scholar] [CrossRef]
- Zeb, A.; Darmstadt, G.L. Sclerema neonatorum: A review of nomenclature, clinical presentation, histological features, differential diagnoses and management. J. Perinatol. 2008, 28, 453–460. [Google Scholar] [CrossRef]
- Akin, M.A.; Akin, L.; Coban, D.; Akcakus, M.; Balkanli, S.; Kurtoglu, S. Post-Operative Subcutaneous Fat Necrosis in a Newborn: A Case Report. Fetal Pediatr. Pathol. 2011, 30, 363–369. [Google Scholar] [CrossRef]
- Rosbotham, J.L.; Johnson, A.; Haque, K.N.; Holden, C.A. Painful subcutaneous fat necrosis of the newborn associated with intra-partum use of a calcium channel blocker. Clin. Exp. Dermatol. 1998, 23, 19–21. [Google Scholar] [CrossRef]
- Burden, A.D.; Krafchik, B.R. Subcutaneous Fat Necrosis of the Newborn: A Review of 11 Cases. Pediatr. Dermatol. 2002, 16, 384–387. [Google Scholar] [CrossRef]
- Farooque, A.; Moss, C.; Zehnder, D.; Hewison, M.; Shaw, N.J. Expression of 25-hydroxyvitamin D3-1α-hydroxylase in subcutaneous fat necrosis. Br. J. Dermatol. 2009, 160, 423–425. [Google Scholar] [CrossRef]
- Gomes, M.P.D.C.L.; Porro, A.M.; Enokihara, M.M.S.D.S.; Floriano, M.C. Subcutaneous fat necrosis of the newborn: Clinical manifestations in two cases. Anais Bras. Dermatol. 2013, 88, 154–157. [Google Scholar] [CrossRef]
- Woods, A.G.; Cederholm, C.K. Subcutaneous fat necrosis and whole-body cooling therapy for neonatal en-cephalopathy. Adv. Neonatal Care 2012, 12, 345–348. [Google Scholar] [CrossRef]
- Glover, M.T.; Catterall, M.D.; Atherton, D.J. Subcutaneous fat necrosis in two infants after hypothermic car-diac surgery. Pediatr. Dermatol. 1991, 8, 210–212. [Google Scholar] [CrossRef]
- Dudink, J.; Walther, F.J.; Beekman, R.P. Subcutaneous fat necrosis of the newborn: Hypercalcaemia with hepatic and atrial myocardial calcification. Arch. Dis. Child. Fetal Neonatal Ed. 2003, 88, 343F–345F. [Google Scholar] [CrossRef]
- Gu, L.L.; Daneman, A.; Binet, A.; Kooh, S.-W. Nephrocalcinosis and nephrolithiasis due to subcutaneous fat necrosis with hypercalcemia in two full-term asphyxiated neonates: Sonographic findings. Pediatr. Radiol. 1995, 25, 142–144. [Google Scholar] [CrossRef]
- Van Goudoever, J.B.; Wattimena, J.; Carnielli, V.P.; Sulkers, E.J.; Degenhart, H.J.; Sauer, P. Effect of dexamethasone on protein metabolism in infants with bronchopulmonary dysplasia. J. Pediatr. 1994, 124, 112–118. [Google Scholar] [CrossRef]
- Leitch, C.A.; Ahlrichs, J.; Karn, C.; Denne, S.C. Energy expenditure and energy intake during dexamethasone therapy for chronic lung dis-ease. Pediatr. Res. 1999, 46, 109–113. [Google Scholar] [CrossRef]
- Yeh, T.F.; Lin, Y.J.; Lin, H.C.; Huang, C.C.; Hsieh, W.S.; Lin, C.H.; Tsai, C.H. Outcomes at school age after postnatal dexamethasone therapy for lung disease of prematurity. N. Engl. J. Med. 2004, 350, 1304–1313. [Google Scholar] [CrossRef] [PubMed]
- Tijsseling, D.; Ter Wolbeek, M.; Derks, J.B.; De Vries, W.B.; Heijnen, C.J.; Van Bel, F.; Mulder, E.J.H. Neonatal corticosteroid therapy affects growth patterns in early infancy. PLoS ONE 2018, 13, e0192162. [Google Scholar] [CrossRef] [PubMed]
- Lombardi, G.; Cabano, R.; Bollani, L.; Del Forno, C.; Stronati, M. Effectiveness of pamidronate in severe neonatal hypercalcemia caused by subcutaneous fat necrosis: A case report. Eur. J. Nucl. Med. Mol. Imaging 2008, 168, 625–627. [Google Scholar] [CrossRef] [PubMed]
- Dunford, J.; Thompson, K.; Coxon, F.P.; Luckman, S.P.; Hahn, F.M.; Poulter, C.D.; Ebetino, F.H.; Rogers, M.J. Structure-activity relationships for inhibition of farnesyl diphosphate synthase in vitro and inhibition of bone resorption in vivo by nitrogen-containing bisphosphonates. J. Pharmacol. Exp. Ther. 2001, 296, 235–242. [Google Scholar] [PubMed]
- Chesover, A.D.; Harrington, J.; Mahmud, F.H. Pamidronate as first-line treatment of hypercalcemia in neo-natal subcutaneous fat necrosis: A case series. Paediatr. Child. Health 2021, 26, e52–e56. [Google Scholar] [CrossRef]
- Alos, N.; Eugène, D.; Fillion, M.; Powell, J.; Kokta, V.; Chabot, G. Pamidronate: Treatment for Severe Hypercalcemia in Neonatal Subcutaneous Fat Necrosis. Horm. Res. Paediatr. 2006, 65, 289–294. [Google Scholar] [CrossRef]
- Alsofyani, K.A. Neonatal subcutaneous fat necrosis with hypercalcemia treatment using calcitonin. Saudi Med. J. 2018, 39, 622–626. [Google Scholar] [CrossRef]
- Oza, V.; Treat, J.; Cook, N.; Tetzlaff, M.T.; Yan, A. Subcutaneous Fat Necrosis as a Complication of Whole-Body Cooling for Birth Asphyxia. Arch. Dermatol. 2010, 146, 882–885. [Google Scholar] [CrossRef]
- Fenniche, S.; Daoud, L.; Benmously, R.; Ben Ammar, F.; Khelifa, I.; Chaabane, S.; Mokhtar, I. Subcutaneous fat necrosis: Report of two cases. Dermatol. Online J. 2004, 10, 12. [Google Scholar]
- Srinath, G.; Cohen, M. Imaging findings in subcutaneous fat necrosis in a newborn. Pediatr. Radiol. 2006, 36, 361–363. [Google Scholar] [CrossRef]
- Khan, N.; Licata, A.; Rogers, D. Intravenous bisphosphonate for hypercalcemia accompanying subcutaneous fat necrosis: A novel treatment approach. Clin. Pediatr. 2001, 40, 217–219. [Google Scholar] [CrossRef]
- Tuddenham, E.; Kumar, A.; Tarn, A. Subcutaneous fat necrosis causing neonatal hypercalcaemia. BMJ Case Rep. 2015, 2015. [Google Scholar] [CrossRef]
- Vijayakumar, M.; Prahlad, N.; Nammalwar, B.R.; Shanmughasundharam, R. Subcutaneous fat necrosis with hypercalcemia. Ind. Pediatr. 2006, 43, 360–363. [Google Scholar]
- Aucharaz, K.; Baker, E.; Millman, G.; Ball, R. Treatment of Hypercalcaemia in Subcutaneous Fat Necrosis Is Controversial. Horm. Res. Paediatr. 2007, 68, 31. [Google Scholar] [CrossRef]
- Tizki, S.; Lasry, F.; Elftoiki, F.Z.; Khalifa, H.H.; Itri, M.; Khadir, K.; Benchikhi, H. Renal ultrasound in fat necrosis. Arch. Pediatr. 2013, 20, 768–771. [Google Scholar] [CrossRef]
- Trullemans, B.; Bottu, J.; van Nieuwenhuyse, J.P. Etidronate per os in subcutaneous fat necrosis with hypercalcemia and nephrocalcinosis. Arch. Pediatr. 2007, 14, 170–172. [Google Scholar] [CrossRef]
- Borgia, F.; De Pasquale, L.; Cacace, C.; Meo, P.; Guarneri, C.; Cannavò, S.P. Subcutaneous fat necrosis of the newborn: Be aware of hypercalcaemia. J. Paediatr. Child. Health 2006, 42, 316–318. [Google Scholar] [CrossRef]
- Nair, S.; Nair, S.G.; Borade, A.; Ramakrishnan, K. Hypercalcemia and metastatic calcification in a neonate with subcutaneous fat necrosis. Ind. J. Pediatr. 2009, 76, 1155–1157. [Google Scholar] [CrossRef]
- Subcutaneous Fat Necrosis of the Newborn. Available online: https://www.uptodate.com/contents/subcutaneous-fat-necrosis-of-the-newborn (accessed on 15 December 2019).
- Mitra, S.; Dove, J.; Somisetty, S.K. Subcutaneous fat necrosis in newborn-an unusual case and review of literature. Eur. J. Pediatr. 2011, 170, 1107–1110. [Google Scholar] [CrossRef]



| Study | Case | Age | Calcium Level | Treatment | Outcome |
|---|---|---|---|---|---|
| Mahé, E. et al. Br J Dermatol, 2007 [2] | 3/16 patients with SCFN with nephrocalcinosis | infant period | most severe hypercalcemia > 3 mmol/L | Patient 1: furosemide+ prednisone Patient 2: furosemide+ pamidronate Patient 3: furosemide alone In all hydration | 1/3: transient renal insufficiency in all (3/3) complete resolution of hypercalcemia, nephrocalcinosis and renal insufficiency |
| Khan, N., A. Licata, and D. Rogers, Clin Pediatr (Phila), 2001 [41] | 1 patient with nephrocalcinosis | 7-week-old boy | 4.35 mmol/L | hydration, furosemide, prednisone, calcium free formula | at age 3 months, persistent stable bilateral nephrocalcinosis -normal renal function |
| Gu, L.L. et al., Pediatr Radiol, 1995 [28] | 2 patients with nephrocalcinosis and nephrolithiasis | patient 1: 6-week-old boy patient 2: 21/2-month-old infant | 3.87 mmol/L 3.63 mmol/L | not available | 1: resolution of nephrolithiasis at the age of 7 months and nephrocalcinosis at the age of 15 months 2: resolution of nephrolithiasis and some decrease in the degree of increased echogenicity of the renal cortex at follow up at 7 and 15 months |
| Tran, J.T. and A.P. Sheth, Pediatr Dermatol, 2003 [4] | 1 patient with nephrolithiasis | 1-month-old boy | 18.4 mg/dL | hydration, furosemide, polycitrate, low calcium and vitamin D free formula | not available |
| Canpolat, N. et al., Turk J Pediatr, 2012 [7] | 1 patient with nephrocalcinosis | 4-month-old girl | 13.5 mg/dL | hydration, discontinuation of vitamin D, low-calcium diet, potassium citrate | persistence of bilateral grade III nephrocalcinosis until the age of 5 years, with normal renal function |
| Alos, N. et al. Horm Res, 2006 [36] | 4 patients with nephrocalcinosis | patient 1: 42-day-old boy patient 2: 30-day-old girl patient 3: 13-day-old girl patient 4: 20-day-old girl | 2.19 mmol/L 1.58 mmol/L 1.64 mmol/L 1.49 mmol/L | hydration, furosemide, diet low in calcium and vitamin D, pamidronate in patients 1,2,3 without furosemide in patient 4 | Resolution of nephrocalcinosis Patient 1: at the age of 3 years Patient 2: 7 months Patient 3: 2 months Patient 4: 3 months |
| Shumer, D.E. et al., Arch Dis Child Fetal Neonatal Ed, 2014 [5] | 5/7 patients with severe hypercalcemia due to SCFN, who developed nephrocalcinosis | patient 1: 38-day-old boy patient 2: 32-day-old male patient 3: 35-day-old girl patient 4: 21-day-old boy patient 5: 28-day-old girl | 4.4 mmol/L 5.1 mmol/L 4.1 mmol/L 3.8 mmol/L 4.8 mmol/L | 1: hydration, furosemide, glycocorticoid, dietary calcium restriction 2: the same with patient 1 plus calcitonin and citrate 3: hydration, furosemide, glycocorticoid 4: hydration, furosemide, glycocorticoid, pamidronate, citrate, dietary calcium restriction 5: hydration, furosemide, glycocorticoid, citrate, dietary calcium restriction | persistent on the most recent ultrasound 1: 10 months 2: 20 months 3: 8 months 4: 48 months 5: 36 months |
| Stefanko, N.S. and B.A. Drolet, Pediatr Dermatol, 2019 [8] | 1 patient with nephrocalcinosis | 41-day-old girl | 17.2 mg/dL | furosemide, calcitonin, prednisone, bisphosphonates | persistent nephrocalcinosis until the age of 8 months |
| Del Pozzo-Magaña, B.R. and N. Ho, Pediatr Dermatol, 2016 [1] | 3/30 cases of SCFN with nephrocalcinosis | 18 months after the diagnosis of SCFN | not available | not available | persistent after 2 years despite treatment |
| Tuddenham, E., A. Kumar, and A. Tarn, BMJ Case Rep, 2015 [42] | 1 patient with nephrocalcinosis | 1-month-old girl | 4.34 mmol/L | hydration, prednisone, furosemide, | nephrocalcinosis remains until the age of 2 years |
| Vijayakumar, M. et al., Indian Pediatr, 2006 [43] | 1 patient with nephrocalcinosis | 1-month-old infant | 17.8 mg/dL | hydration, furosemide, etidronate, potassium citrate | nephrocalcinosis until the 2nd month, then data not available |
| Aucharaz, K.S. et al., Horm Res, 2007 [44] | 1 patient with nephrocalcinosis | 1-month-old girl | 3.99 mmol/L | hydration, furosemide, prednisone and low calcium formula milk | nephrocalcinosis until the 9th month, then data not available |
| Tizki, S. et al., Arch Pediatr, 2013 [45] | 1 patient with nephrocalcinosis | 1-month-old infant | 3.9 mmol/L | hydration, furosemide, corticosteroids | nephrocalcinosis until 6th month, then data not available |
| Trullemans, B., J. Bottu, and J.P. Van Nieuwenhuyse Arch Pediatr, 2007 [46] | 1 patient with nephrocalcinosis | 1-month-old infant | 15.1 mg/dL | hydration, furosemide, prednisone, etidronate, low calcium and vitamin D free formula | nephrocalcinosis until the age of three years old |
| Borgia, F. et al., J Paediatr Child Health, 2006 [47] | 1 patient with nephrolithiasis | 1-month-old boy | 16.2 mg/dL | hydration, furosemide, prednisone, low-calcium and vitamin D- free formula | not available |
| Nair, S. et al. [48] | 1 patient with nephrocalcinosis | 1-month-old boy | 18.8 mg/dL | hydration, furosemide, prednisone, alendronate, potassium citrate | significant reduction in nephrocalcinosis at 3 months of age |
| N, O.B. and B. Hayes BMJ Case Rep, 2019, [49] | 1 patient with nephrocalcinosis | 1-month-old girl | 3.11 mmol/L | hydration, furosemide, low calcium formula | resolution by 4 months |
| Mitra, S., J. Dove, and S.K. Somisetty, Eur J Pediatr, 2011 [50] | 1 patient with nephrocalcinosis | 5-day-old boy | 3.12 mmol/L | hydration, furosemide, prednisone | not available |
Publisher’s Note: MDPI stays neutral with regard to jurisdictional claims in published maps and institutional affiliations. |
© 2021 by the authors. Licensee MDPI, Basel, Switzerland. This article is an open access article distributed under the terms and conditions of the Creative Commons Attribution (CC BY) license (https://creativecommons.org/licenses/by/4.0/).
Share and Cite
Chrysaidou, K.; Sargiotis, G.; Karava, V.; Liasis, D.; Gourvas, V.; Moutsanas, V.; Christoforidis, A.; Stabouli, S. Subcutaneous Fat Necrosis and Hypercalcemia with Nephrocalcinosis in Infancy: Case Report and Review of the Literature. Children 2021, 8, 374. https://doi.org/10.3390/children8050374
Chrysaidou K, Sargiotis G, Karava V, Liasis D, Gourvas V, Moutsanas V, Christoforidis A, Stabouli S. Subcutaneous Fat Necrosis and Hypercalcemia with Nephrocalcinosis in Infancy: Case Report and Review of the Literature. Children. 2021; 8(5):374. https://doi.org/10.3390/children8050374
Chicago/Turabian StyleChrysaidou, Katerina, Georgios Sargiotis, Vasiliki Karava, Dimitrios Liasis, Victor Gourvas, Vissarios Moutsanas, Athanasios Christoforidis, and Stella Stabouli. 2021. "Subcutaneous Fat Necrosis and Hypercalcemia with Nephrocalcinosis in Infancy: Case Report and Review of the Literature" Children 8, no. 5: 374. https://doi.org/10.3390/children8050374
APA StyleChrysaidou, K., Sargiotis, G., Karava, V., Liasis, D., Gourvas, V., Moutsanas, V., Christoforidis, A., & Stabouli, S. (2021). Subcutaneous Fat Necrosis and Hypercalcemia with Nephrocalcinosis in Infancy: Case Report and Review of the Literature. Children, 8(5), 374. https://doi.org/10.3390/children8050374

