Effects of Gender and Age in Mandibular Leeway Space for Taiwanese Children
Abstract
1. Introduction
2. Materials and Methods
2.1. Patient Selection
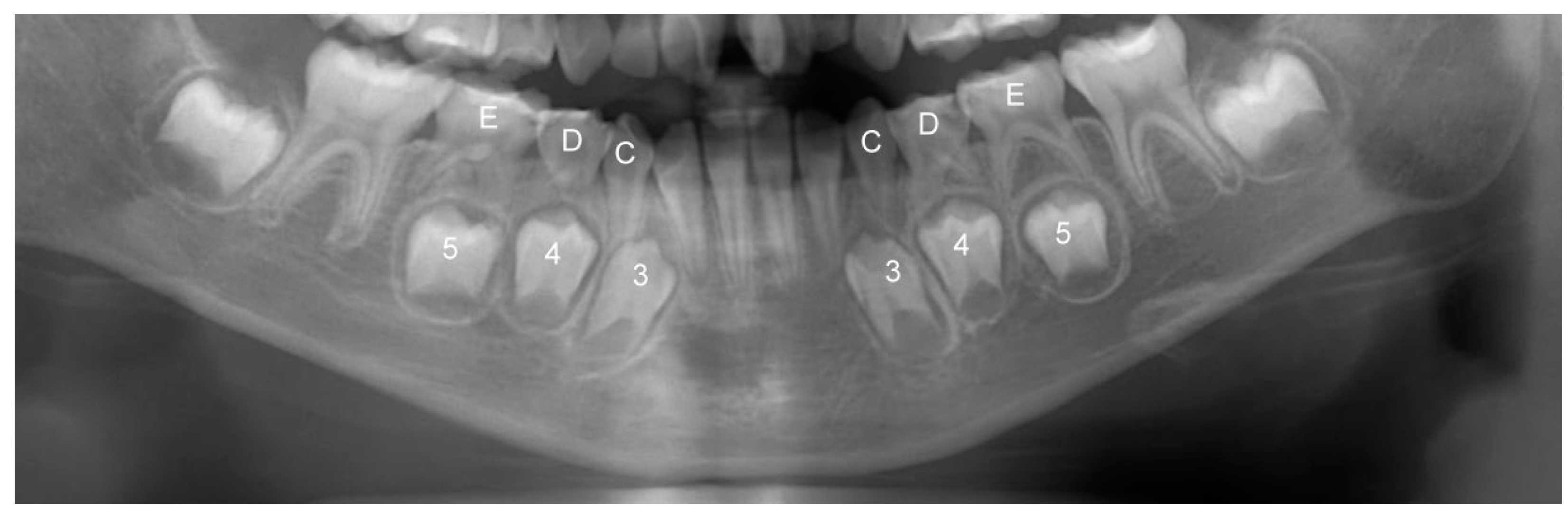
2.2. Digital Panoramic Scanning and Measurement of Leeway Space
2.3. Statistical Analysis
3. Results
4. Discussion
5. Conclusions
- The average leeway space was 1.29 ± 1.48 mm on each side of the lower arch.
- The leeway space of children aged 5–6 years was significantly greater than that of children aged 7–8 years.
- No gender differences in mandibular leeway space were found.
- Permanent teeth had a greater impact on leeway space for girls than for boys.
Author Contributions
Funding
Institutional Review Board Statement
Informed Consent Statement
Data Availability Statement
Conflicts of Interest
References
- Proffit, W.R.; Fields Jr, H.W.; Sarver, D.M. Contemporary Orthodontics; Elsevier Health Sciences: Amsterdam, The Netherlands, 2006. [Google Scholar]
- Fernandes, L.Q.; Almeida, R.C.; de Andrade, B.N.; Felipe de Assis, R.C.; Almeida, M.A.d.O.; Artese, F.R. Tooth size discrepancy: Is the E space similar to the leeway space? J. World Fed. Orthod. 2013, 2, e49–e51. [Google Scholar] [CrossRef]
- Vyas, M.B.; Hantodkar, N. Resolving mandibular arch discrepancy through utilization of leeway space. Contemp. Clin. Dent. 2011, 2, 115–118. [Google Scholar] [CrossRef] [PubMed]
- Gianelly, A.A. Crowding: Timing of treatment. Angle Orthod. 1994, 64, 415–418. [Google Scholar] [PubMed]
- Ngan, P.; Alkire, R.G.; Fields, H., Jr. Management of space problems in the primary and mixed dentitions. J. Am. Dent. Assoc. 1999, 130, 1330–1339. [Google Scholar] [CrossRef] [PubMed]
- Reddy, M.; Jain, S.; Raghav, P.; Mohan, S.; Wadhawan, A. Sequential Utilization of E-space for Correction of Moderate Crowding: A Case Report. Int. J. Clin. Pediatr. Dent. 2018, 11, 519–525. [Google Scholar] [PubMed]
- Eigbobo, J.; Sote, E.; Oredugba, F. Tooth Crown Dimensions of Primary Dentition in the Nigerian Population. Acta Stomatol. Croat 2010, 44, 269–277. [Google Scholar]
- Allen, T.R.; Trojan, T.M.; Harris, E.F. Evidence favoring a secular reduction in mandibular leeway space. Angle Orthod. 2017, 87, 576–582. [Google Scholar] [CrossRef] [PubMed]
- Botero Mariaca, P.M.; Gonzalez Ariza, S.; Meneses, D.; Zapata, E.; Gonzalo Alvarez, L. Appraisal of the difference between the mesiodistal diameters of deciduous incisors and molars and permanent teeth. Eur. J. Paediatr. Dent. 2015, 16, 39–44. [Google Scholar]
- Bishara, S.E.; Hoppens, B.J.; Jakobsen, J.R.; Kohout, F.J. Changes in the molar relationship between the deciduous and permanent dentitions: A longitudinal study. Am. J. Orthod. Dentofac. Orthop. 1988, 93, 19–28. [Google Scholar] [CrossRef]
- Harila-Kaera, V.; Heikkinen, T.; Alvesalo, L.; Osborne, R.H. Permanent tooth crown dimensions in prematurely born children. Early Hum. Dev. 2001, 62, 131–147. [Google Scholar] [CrossRef]
- Almeida, R.R.D.; Oltramari-Navarro, P.V.P.; Almeida, M.R.D.; Conti, A.C.D.C.F.; Navarro, R.D.L.; Pacenko, M.R. The nance lingual arch: An auxiliary device in solving lower anterior crowding. Braz. Dent. J. 2011, 22, 329–333. [Google Scholar] [CrossRef] [PubMed]
- Martín-Vacas, A.; Caleya, A.M.; Gallardo, N.E. Comparative Analysis of Space Maintenance Using Transpalatal Arch and Nance Button. J. Clin. Pediatr. Dent. 2021, 45, 129–134. [Google Scholar] [CrossRef] [PubMed]
- Hudson, A.; Harris, A.; Mohamed, N. Early identification and management of mandibular canine ectopia: Clinical. S. Afr. Dent. J. 2011, 66, 462–467. [Google Scholar]
- Park, J.; Tai, K.; Ikeda, M.; Kanao, A. Regaining leeway space and anterior crossbite correction with a modified maxillary molar distalizing appliance. J. Clin. Pediatr. Dent. 2013, 37, 329–334. [Google Scholar] [CrossRef] [PubMed]
- Steigman, S.; Harari, D.; Kuraita-Landman, S. Relationship between mesiodistal crown diameter of posterior deciduous and succedaneous teeth in Israeli children. Eur. J. Orthod. 1982, 4, 219–227. [Google Scholar] [CrossRef] [PubMed]
- Otuyemi, O.D.; Noar, J.H. A comparison of crown size dimensions of the permanent teeth in a Nigerian and a British population. Eur. J. Orthod. 1996, 18, 623–628. [Google Scholar] [CrossRef] [PubMed]
- Hattab, F.N. Mesiodistal crown diameters and tooth size discrepancy of permanent dentition in thalassemic patients. J. Clin. Exp. Dent. 2013, 5, e239. [Google Scholar] [CrossRef] [PubMed][Green Version]
- Bishara, S.E.; Garcia, A.F.; Jakobsen, J.R.; Fahl, J.A. Mesiodistal crown dimensions in Mexico and the United States. Angle Orthod. 1986, 56, 315–323. [Google Scholar] [PubMed]
- Ebeling, C.F.; Ingervall, B.; Hede-gård, B.; Lewin, T. Secular changes in tooth size in Swedish men. Acta Odontol. Scand. 1973, 31, 141–147. [Google Scholar] [CrossRef] [PubMed]
- Hille, H.M. The Mean Leeway Space in a Population of Orthodontic Patients in Zurich. Ph.D. Thesis, University of Zurich, Zürich, Switzerland, 2010. [Google Scholar]

| Mean | SD | Max. | Min. | |
|---|---|---|---|---|
| Whole | 1.29 | 1.48 | 6.45 | −2.79 |
| Boy | 1.17 | 1.48 | 6.45 | −2.79 |
| Girl | 1.53 | 1.45 | 4.33 | −1.80 |
| Tooth | Position | Whole | Boy | Girl | p Value |
|---|---|---|---|---|---|
| Primary teeth | canine | 5.61 ± 0.66 | 5.57 ± 0.62 | 5.7 ± 0.74 | 0.07 |
| First molar | 8.18 ± 1.01 | 8.17 ± 1.07 | 8.2 ± 0.88 | 0.05 | |
| second molar | 10.91 ± 1.25 | 10.88 ± 1.25 | 10.95 ± 1.24 | 0.75 | |
| Permanent teeth | canine | 7.61 ± 1.02 | 7.71 ± 1.01 | 7.43 ± 1.02 | 0.65 |
| First premolar | 7.92 ± 0.97 | 7.9 ± 0.99 | 7.95 ± 0.93 | 0.42 | |
| second premolar | 7.88 ± 0.93 | 7.84 ± 0.87 | 7.94 ± 1.04 | 0.28 |
| Age | Mean * | SD |
|---|---|---|
| 5–6 | 1.92 a | 1.52 |
| 7–8 | 1.04 b | 1.37 |
| 9–10 | 1.2 ab | 1.47 |
| Group | Pearson Correlation Coefficient, r (p) | |
|---|---|---|
| Primary Teeth | Permanent Teeth | |
| Whole | 0.28 (<0.001) * | −0.29 (<0.001) * |
| Boy | 0.34 (<0.001) * | −0.22 (0.016) * |
| Girl | 0.13 (0.309) | −0.42 (0.001) * |
Publisher’s Note: MDPI stays neutral with regard to jurisdictional claims in published maps and institutional affiliations. |
© 2021 by the authors. Licensee MDPI, Basel, Switzerland. This article is an open access article distributed under the terms and conditions of the Creative Commons Attribution (CC BY) license (https://creativecommons.org/licenses/by/4.0/).
Share and Cite
Sun, K.-T.; Wu, Y.-Z.; Hsu, J.-T.; Tsai, M.-C.; Huang, H.-L. Effects of Gender and Age in Mandibular Leeway Space for Taiwanese Children. Children 2021, 8, 999. https://doi.org/10.3390/children8110999
Sun K-T, Wu Y-Z, Hsu J-T, Tsai M-C, Huang H-L. Effects of Gender and Age in Mandibular Leeway Space for Taiwanese Children. Children. 2021; 8(11):999. https://doi.org/10.3390/children8110999
Chicago/Turabian StyleSun, Kuo-Ting, Yun-Zhen Wu, Jui-Ting Hsu, Min-Chia Tsai, and Heng-Li Huang. 2021. "Effects of Gender and Age in Mandibular Leeway Space for Taiwanese Children" Children 8, no. 11: 999. https://doi.org/10.3390/children8110999
APA StyleSun, K.-T., Wu, Y.-Z., Hsu, J.-T., Tsai, M.-C., & Huang, H.-L. (2021). Effects of Gender and Age in Mandibular Leeway Space for Taiwanese Children. Children, 8(11), 999. https://doi.org/10.3390/children8110999

