Molar Incisor Hypomineralisation—To Extract or to Restore beyond the Optimal Age?
Abstract
1. Introduction
1.1. Aetiology
1.2. Prevalence
1.3. Classification
- Mild MIH: The demarcated opacities located at non-stress bearing areas, no caries associated with the affected enamel, no hypersensitivity and incisor involvement is usually mild if present;
- Moderate MIH: The demarcated opacities present on molars and incisors, the post-eruptive enamel breakdown limited to one or two surfaces without cuspal involvement, atypical restorations can be needed and normal dental sensitivity;
- Severe MIH: Post-eruptive enamel breakdown, crown destruction, caries associated with affected enamel, a history of dental sensitivity and aesthetic concerns.
1.4. Clinical Considerations
1.5. Management Strategies: Cost Effectiveness and Long-Term Prognosis
1.6. The Orthodontic Interface: Timely Versus Delayed Extractions
- ▪
- Clinician comfort with orthodontics cases involving the planned extraction of premolars for space creation;
- ▪
- Lack of experience in handling FPM extraction cases;
- ▪
- Presence of an inter-dependence for patients between dental specialists in some financially driven healthcare systems.
- Level of oral hygiene;
- Patient and parent motivation to orthodontic treatment;
- Amount and site of crowding;
- Presence or absence of other permanent teeth, particularly the third molars.
2. Cases Presentation
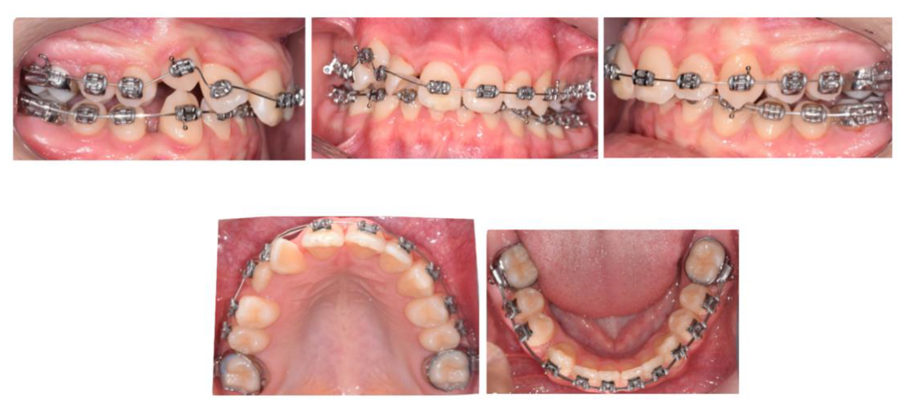
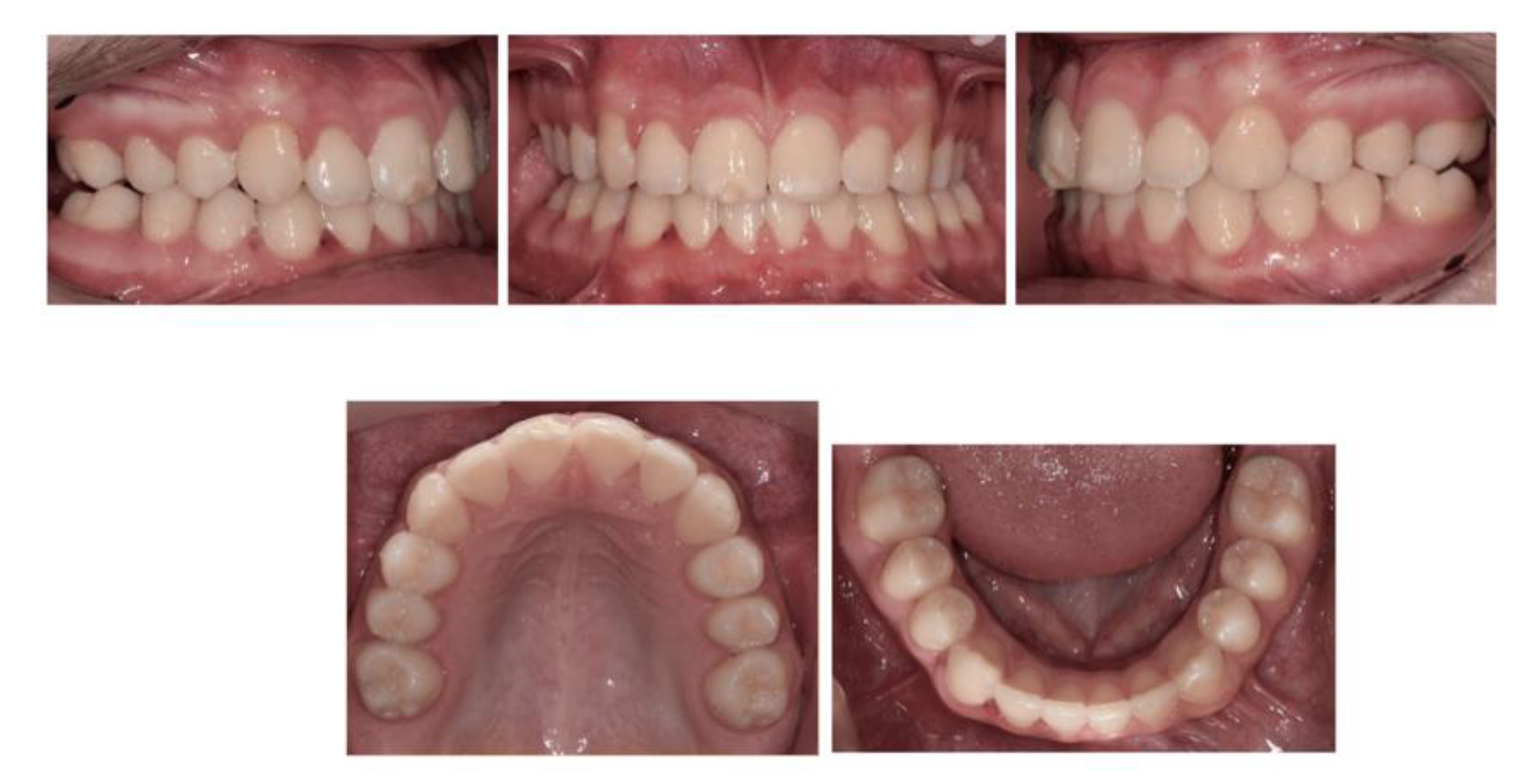
2.1. Case 1—Delayed Extraction of FPMs
Discussion
- ▪
- The upper second permanent molars were still within bone at the time of extraction;
- ▪
- The OPT revealed signs of molar stacking of upper right and left second permanent molars, and distally tipped lower right and left second permanent molars reflecting posterior molar crowding;
- ▪
- The distinct vertical growth pattern and presence of a steep mandibular plane, which encouraged molar mesial movement.
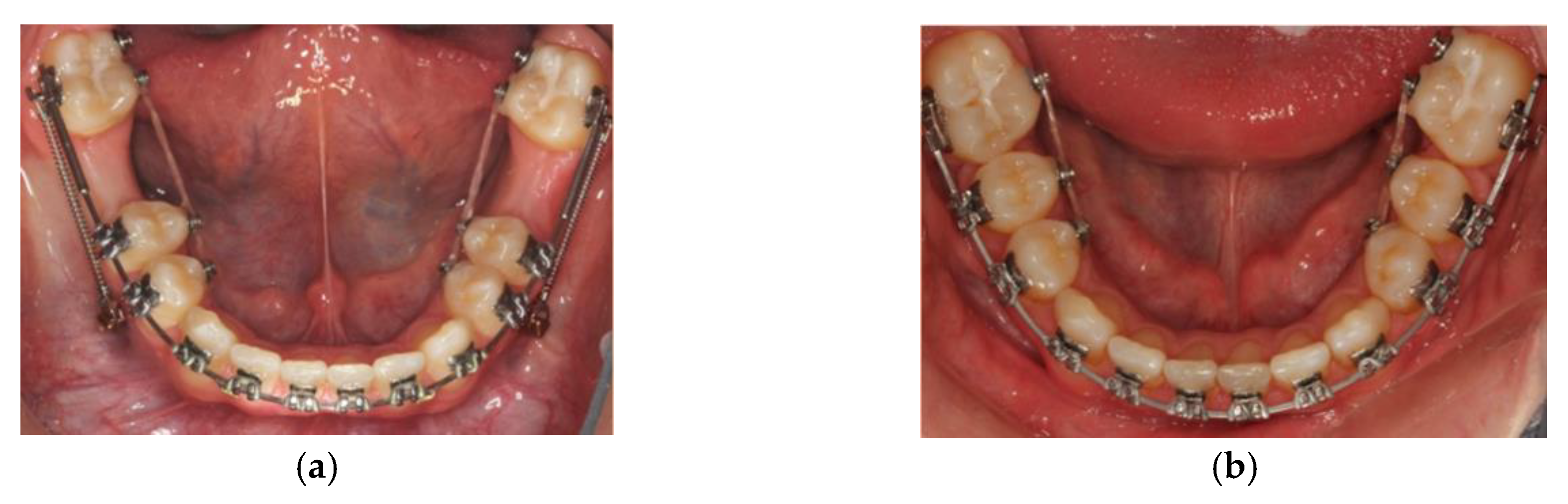
2.2. Case 2—Timely Extraction of FPMs
Discussion
- ▪
- Round tipping of upper and lower second permanent molars;
- ▪
- Distal tipping of lower second premolars;
- ▪
- Spacing in the lower arch;
- ▪
- Excessive retroclination of the lower labial segment that worsened an inherent deepbite.
3. Conclusions
Author Contributions
Funding
Acknowledgments
Conflicts of Interest
References
- Weerheijm, K.; Jälevik, B.; Alaluusua, S. Molar–incisor hypomineralisation. Caries Res. 2001, 35, 390–391. [Google Scholar] [CrossRef] [PubMed]
- Elfrink, M.; Ten Cate, J.; Jaddoe, V.; Hofman, A.; Moll, H.; Veerkamp, J. Deciduous molar hypomineralization and molar incisor hypomineralization. J. Dent. Res. 2012, 91, 551–555. [Google Scholar] [CrossRef]
- Schmalfuss, A.; Stenhagen, K.; Tveit, A.; Crossner, C.-G.; Espelid, I. Canines are affected in 16-year-olds with molar–incisor hypomineralisation (MIH): An epidemiological study based on the Tromsø study: “Fit Futures”. Eur. Arch. Paediatr. Dent. 2016, 17, 107–113. [Google Scholar] [CrossRef]
- Vieira, A.R.; Kup, E. On the etiology of molar-incisor hypomineralization. Caries Res. 2016, 50, 166–169. [Google Scholar] [CrossRef]
- Mittal, R.; Chandak, S.; Chandwani, M.; Singh, P.; Pimpale, J. Assessment of association between molar incisor hypomineralization and hypomineralized second primary molar. J. Int. Soc. Prev. Community Dent. 2016, 6, 34. [Google Scholar] [PubMed]
- Pang, L.; Li, X.; Wang, K.; Tao, Y.; Cui, T.; Xu, Q.; Lin, H. Interactions with the aquaporin 5 gene increase the susceptibility to molar-incisor hypomineralization. Arch. Oral Biol. 2020, 111, 104637. [Google Scholar] [CrossRef] [PubMed]
- Crombie, F.; Manton, D.; Kilpatrick, N. Aetiology of molar–incisor hypomineralization: A critical review. Int. J. Paediatr. Dent. 2009, 19, 73–83. [Google Scholar] [CrossRef] [PubMed]
- Schwendicke, F.; Elhennawy, K.; Reda, S.; Bekes, K.; Manton, D.J.; Krois, J. Global burden of molar incisor hypomineralization. J. Dent. 2018, 68, 10–18. [Google Scholar] [CrossRef]
- Jälevik, B. Prevalence and diagnosis of molar-incisor-hypomineralisation (MIH): A systematic review. Eur. Arch. Paediatr. Dent. 2010, 11, 59–64. [Google Scholar] [CrossRef] [PubMed]
- Cho, S.Y.; Ki, Y.; Chu, V. Molar incisor hypomineralization in Hong Kong Chinese children. Int. J. Paediatr. Dent. 2008, 18, 348–352. [Google Scholar] [CrossRef]
- Soviero, V.; Haubek, D.; Trindade, C.; Da Matta, T.; Poulsen, S. Prevalence and distribution of demarcated opacities and their sequelae in permane nt 1st molars and incisors in 7 to 13-year-old Brazilian children. Acta Odontol. Scand. 2009, 67, 170–175. [Google Scholar] [CrossRef] [PubMed]
- Weerheijm, K.L.; Duggal, M.; Mejàre, I.; Papagiannoulis, L.; Koch, G.; Martens, L.C. Judgement criteria for Molar Incisor Hypomincralisation (MIH) in epidemiologic studies: A summary of the European meeting on MIH held in Athens, 2003. Eur. J. Paediatr. Dent. 2003, 4, 110–114. [Google Scholar] [PubMed]
- Lygidakis, N.; Wong, F.; Jälevik, B.; Vierrou, A.; Alaluusua, S.; Espelid, I. Best Clinical Practice Guidance for clinicians dealing with children presenting with Molar-Incisor-Hypomineralisation (MIH). Eur. Arch. Paediatr. Dent. 2010, 11, 75–81. [Google Scholar] [CrossRef]
- Wright, J. Diagnosis and treatment of molar-incisor hypomineralization. In Handbook of Clinical Techniques in Pediatric Dentistr; Wiley: Hoboken, NJ, USA, 2015; pp. 99–106. [Google Scholar]
- Ghanim, A.; Elfrink, M.; Weerheijm, K.; Marino, R.; Manton, D. A practical method for use in epidemiological studies on enamel hypomineralisation. Eur. Arch. Paediatr. Dent. 2015, 16, 235–246. [Google Scholar] [CrossRef] [PubMed]
- Steffen, R.; Krämer, N.; Bekes, K. The Würzburg MIH concept: The MIH treatment need index (MIH TNI). Eur. Arch. Paediatr. Dent. 2017, 18, 355–361. [Google Scholar] [CrossRef] [PubMed]
- Leppaniemi, A.; Lukinmaa, P.-L.; Alaluusua, S. Nonfluoride hypomineralizations in the permanent first molars and their impact on the treatment need. Caries Res. 2001, 35, 36–40. [Google Scholar]
- Kotsanos, N.; Kaklamanos, E.; Arapostathis, K. Treatment management of first permanent molars in children with Molar-Incisor Hypomineralisation. Eur. J. Paediatr. Dent. 2005, 6, 179. [Google Scholar]
- Jälevik, B.; Klingberg, G.A. Dental treatment, dental fear and behaviour management problems in children with severe enamel hypomineralization of their permanent first molars. Int. J. Paediatr. Dent. 2002, 12, 24–32. [Google Scholar]
- Jälevik, B.; Dietz, W.; Norén, J. Scanning electron micrograph analysis of hypomineralized enamel in permanent first molars. Int. J. Paediatr. Dent. 2005, 15, 233–240. [Google Scholar] [CrossRef]
- Elhennawy, K.; Bekes, K.; Dobsak, A.; Tangl, S.; Shokoohi-Tabrizi, H.; Schwendicke, F. Structural, Mechanical, and Chemical Evaluation of Molar Incisor Hypomineralization-Affected Enamel. In Molar Incisor Hypomineralization; Springer: Berlin/Heidelberg, Germany, 2020; pp. 11–20. [Google Scholar]
- Farah, R.A.; Monk, B.C.; Swain, M.V.; Drummond, B.K. Protein content of molar–incisor hypomineralisation enamel. J. Dent. 2010, 38, 591–596. [Google Scholar] [CrossRef]
- Xie, Z.; Kilpatrick, N.M.; Swain, M.V.; Munroe, P.R.; Hoffman, M. Transmission electron microscope characterisation of molar-incisor-hypomineralisation. J. Mater. Sci. Mater. Med. 2008, 19, 3187. [Google Scholar] [CrossRef] [PubMed]
- Crombie, F.A.; Manton, D.J.; Palamara, J.E.; Zalizniak, I.; Cochrane, N.J.; Reynolds, E.C. Characterisation of developmentally hypomineralised human enamel. J. Dent. 2013, 41, 611–618. [Google Scholar] [CrossRef]
- Chay, P.L.; Manton, D.J.; Palamara, J.E. The effect of resin infiltration and oxidative pre-treatment on microshear bond strength of resin composite to hypomineralised enamel. Int. J. Paediatr. Dent. 2014, 24, 252–267. [Google Scholar] [CrossRef]
- Sönmez, H.; Saat, S. A clinical evaluation of deproteinization and different cavity designs on resin restoration performance in MIH-affected molars: Two-year results. J. Clin. Pediatric Dent. 2017, 41, 336–342. [Google Scholar] [CrossRef] [PubMed]
- Ekambaram, M.; Anthonappa, R.P.; Govindool, S.R.; Yiu, C.K. Comparison of deproteinization agents on bonding to developmentally hypomineralized enamel. J. Dent. 2017, 67, 94–101. [Google Scholar] [CrossRef] [PubMed]
- Hasmun, N.; Lawson, J.; Vettore, M.V.; Elcock, C.; Zaitoun, H.; Rodd, H. Change in oral health-related quality of life following minimally invasive aesthetic treatment for children with molar incisor hypomineralisation: A prospective study. Dent. J. 2018, 6, 61. [Google Scholar] [CrossRef]
- Dantas-Neta, N.B.; Moura, L.D.F.A.D.D.; Cruz, P.F.; Moura, M.S.; Paiva, S.M.; Martins, C.C.; Lima, M.D.D.M.D. Impact of molar-incisor hypomineralization on oral health-related quality of life in schoolchildren. Braz. Oral Res. 2016, 30, e117. [Google Scholar] [CrossRef]
- Leal, S.C.; Oliveira, T.R.M.; Ribeiro, A.P.D. Do parents and children perceive molar–incisor hypomineralization as an oral health problem? Int. J. Paediatr. Dent. 2017, 27, 372–379. [Google Scholar] [CrossRef]
- Elhennawy, K.; Jost-Brinkmann, P.-G.; Manton, D.J.; Paris, S.; Schwendicke, F. Managing molars with severe molar-incisor hypomineralization: A cost-effectiveness analysis within German healthcare. J. Dent. 2017, 63, 65–71. [Google Scholar] [CrossRef]
- Ong, D.V.; Bleakley, J. Compromised first permanent molars: An orthodontic perspective. Aust. Dent. J. 2010, 55, 2–14. [Google Scholar] [CrossRef]
- Sandler, P.J.; Atkinson, R.; Murray, A.M. For four sixes. Am. J. Orthod. Dentofac. Orthop. 2000, 117, 418–434. [Google Scholar] [CrossRef]
- Gill, D.S.; Lee, R.T.; Tredwin, C.J. Treatment planning for the loss of first permanent molars. Dent. Update 2001, 28, 304–308. [Google Scholar] [CrossRef] [PubMed]
- Cobourne, M.; Williams, A.; Harrison, M. National clinical guidelines for the extraction of first permanent molars in children. Br. Dent. J. 2014, 217, 643–648. [Google Scholar] [CrossRef] [PubMed]
- Taylor, G.D.; Pearce, K.F.; Vernazza, C.R. Management of compromised first permanent molars in children: Cross-Sectional analysis of attitudes of UK general dental practitioners and specialists in paediatric dentistry. Int. J. Paediatr. Dent. 2019, 29, 267–280. [Google Scholar] [CrossRef] [PubMed]
- Ashley, P.; Noar, J. Interceptive extractions for first permanent molars: A clinical protocol. Br. Dent. J. 2019, 227, 192–195. [Google Scholar] [CrossRef]
- Elhussein, M.; O’Dwyer, J.J.; Sandler, J. Effective multidisciplinary approach for treatment of traumatized maxillary incisors and hypodontia. Orthod. Update 2020, 13, 6–9. [Google Scholar] [CrossRef]
- Sandler, J.; Murray, A.; Thiruvenkatachari, B.; Gutierrez, R.; Speight, P.; O’Brien, K. Effectiveness of 3 methods of anchorage reinforcement for maximum anchorage in adolescents: A 3-arm multicenter randomized clinical trial. Am. J. Orthod. Dentofac. Orthop. 2014, 146, 10–20. [Google Scholar] [CrossRef]
- Teo, T.; Ashley, P.; Parekh, S.; Noar, J. The evaluation of spontaneous space closure after the extraction of first permanent molars. Eur. Arch. Paediatr. Dent. 2013, 14, 207–212. [Google Scholar] [CrossRef]
- Williams, R.; Hosila, F.J. The effect of different extraction sites upon incisor retraction. Am. J. Orthod. 1976, 69, 388–410. [Google Scholar] [CrossRef]
- Oyebunmi, B.R.; Ali-Alsuliman, D.; Alsalah, Y.; Agbaje, H.O.; Alalhareth, N.N.; Alsawas, N.M. Complications Associated with The Occurrence of Impacted Mandibular Third Molars in Saudi Arabian Sub-Population: Najran Province Experience. Am. J. Biomed. Sci. Res. 2019. [Google Scholar] [CrossRef]
- Elhussein, M.; Sandler, J. Fixed versus removable appliances–which one to choose? Dent. Update 2018, 45, 874–881. [Google Scholar] [CrossRef]
- Brierley, C.; Sandler, P. Double Traction for Lower-First-Molar Space Closure. J. Clin. Orthod. 2016, 50, 118. [Google Scholar] [PubMed]
- Al-Halabi, M.; Salami, A.; Alnuaimi, E.; Kowash, M.; Hussein, I. Assessment of paediatric dental guidelines and caries management alternatives in the post COVID-19 period. A critical review and clinical recommendations. Eur. Arch. Paediatr. Dent. 2020, 1–14. [Google Scholar] [CrossRef] [PubMed]








© 2020 by the authors. Licensee MDPI, Basel, Switzerland. This article is an open access article distributed under the terms and conditions of the Creative Commons Attribution (CC BY) license (http://creativecommons.org/licenses/by/4.0/).
Share and Cite
Elhussein, M.; Jamal, H. Molar Incisor Hypomineralisation—To Extract or to Restore beyond the Optimal Age? Children 2020, 7, 91. https://doi.org/10.3390/children7080091
Elhussein M, Jamal H. Molar Incisor Hypomineralisation—To Extract or to Restore beyond the Optimal Age? Children. 2020; 7(8):91. https://doi.org/10.3390/children7080091
Chicago/Turabian StyleElhussein, Mustafa, and Hasan Jamal. 2020. "Molar Incisor Hypomineralisation—To Extract or to Restore beyond the Optimal Age?" Children 7, no. 8: 91. https://doi.org/10.3390/children7080091
APA StyleElhussein, M., & Jamal, H. (2020). Molar Incisor Hypomineralisation—To Extract or to Restore beyond the Optimal Age? Children, 7(8), 91. https://doi.org/10.3390/children7080091
