Chronic Sclerosing Osteomyelitis of Garré of the Femur in a 4-Year-Old Girl Caused by Coagulase-Negative Staphylococci: A Case Report
Abstract
1. Introduction
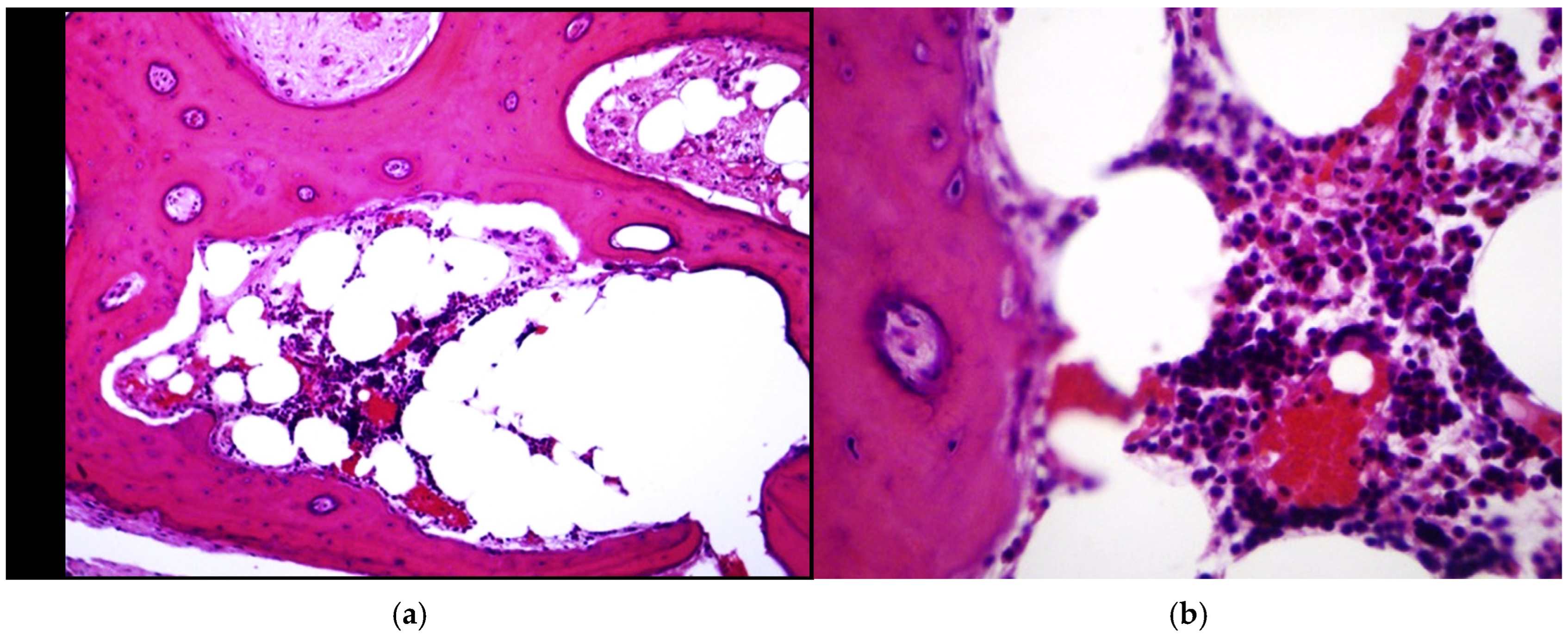
2. Case Presentation
3. Discussion
4. Conclusions
Author Contributions
Funding
Institutional Review Board Statement
Informed Consent Statement
Data Availability Statement
Acknowledgments
Conflicts of Interest
Abbreviations
| CSO | Chronic sclerosing osteomyelitis of Garré |
| CoNS | coagulase-negative staphylococcal |
| MR-CoNS | methicillin-resistant CoNS |
| IDSA | According to the Infectious Diseases Society of America |
| ICM | International Consensus Meeting |
References
- de Moraes, F.B.; Motta, T.M.V.; Severin, A.A.; de Alencar Faria, D.; de Oliveira César, F.; de Souza Carneiro, S. Garré’s Sclerosing Osteomyelitis: Case Report. Rev. Bras. Ortop. 2014, 49, 401–404. [Google Scholar] [CrossRef] [PubMed]
- Baltensperger, M.; Eyrich, G. Osteomyelitis of the Jaws: Definition and Classification. In Osteomyelitis of the Jaws; Baltensperger, M.M., Eyrich, G.K.H., Eds.; Springer: Berlin/Heidelberg, Germany, 2009; pp. 5–56. [Google Scholar]
- Eyrich, G.K.H.; Baltensperger, M.M.; Bruder, E.; Graetz, K.W. Primary Chronic Osteomyelitis in Childhood and Adolescence: A Retrospective Analysis of 11 Cases and Review of the Literature. J. Oral Maxillofac. Surg. 2003, 61, 561–573. [Google Scholar] [CrossRef] [PubMed]
- Suei, Y.; Taguchi, A.; Tanimoto, K. Diagnosis and Classification of Mandibular Osteomyelitis. Oral Surg. Oral Med. Oral Pathol. Oral Radiol. Endodontol. 2005, 100, 207–214. [Google Scholar] [CrossRef]
- Neville, B.W.; Damm, D.D.; Allen, C.M.; Chi, A.C. Oral & Maxillofacial Pathology, 4th ed.; Saunders, W.B., Ed.; Elsevier: St. Louis, MO, USA, 2016; pp. 604–605. Available online: https://www.scirp.org/reference/referencespapers?referenceid=2148437 (accessed on 5 March 2026).
- Baltensperger, M.; Grätz, K.; Bruder, E.; Lebeda, R.; Makek, M.; Eyrich, G. Is Primary Chronic Osteomyelitis a Uniform Disease? Proposal of a Classification Based on a Retrospective Analysis of Patients Treated in the Past 30 Years. J. Craniomaxillofac. Surg. 2004, 32, 43–50. [Google Scholar] [CrossRef] [PubMed]
- Chang, Y.-C.; Shieh, Y.-S.; Lee, S.-P.; Hsia, Y.-J.; Lin, C.-K.; Nieh, S.; Sytwu, H.-K.; Chen, Y.-W. Chronic Osteomyelitis with Proliferative Periostitis in the Lower Jaw. J. Dent. Sci. 2015, 10, 450–455. [Google Scholar] [CrossRef]
- Oral and Maxillofacial Pathology: A Rationale for Diagnosis and Treatment—University of Miami. Available online: https://scholarship.miami.edu/esploro/outputs/book/Oral-and-maxillofacial-pathology-a-rationale/991031716735902976 (accessed on 5 March 2026).
- Kamrani, R.S.; Azaditalab, H.; Alitaleshi, H.; Abbaszadeh, M. Management of a Garré Sclerosing Osteomyelitis of Forearm: Report of a Resistant Case. J. Orthop. Spine Trauma 2024, 10, 177–179. [Google Scholar] [CrossRef]
- Fukuda, M.; Inoue, K.; Sakashita, H. Periostitis Ossificans Arising in the Mandibular Bone of a Young Patient: Report of an Unusual Case and Review of the Literature. J. Oral Maxillofac. Surg. 2017, 75, 1834.e1–1834.e8. [Google Scholar] [CrossRef]
- Michels, R.; Last, K.; Becker, S.L.; Papan, C. Update on Coagulase-Negative Staphylococci—What the Clinician Should Know. Microorganisms 2021, 9, 830. [Google Scholar] [CrossRef]
- Piette, A.; Verschraegen, G. Role of Coagulase-Negative Staphylococci in Human Disease. Vet. Microbiol. 2009, 134, 45–54. [Google Scholar] [CrossRef]
- Garre, K. Über Besondere Formen Und Folgezustände Der Akuten Infektiösen Osteomyelitis. Beiträge Klin. Chir. 1893, 10, 241–295. [Google Scholar]
- Liu, D.; Zhang, J.; Li, T.; Li, C.; Liu, X.; Zheng, J.; Su, Z.; Wang, X. Chronic Osteomyelitis with Proliferative Periostitis of the Mandibular Body: Report of a Case and Review of the Literature. Annals 2019, 101, 328–332. [Google Scholar] [CrossRef] [PubMed]
- Smith, S.S.; Lee, Y.; Wang, L. Adolescent with Osteomyelitis after Intramuscular Administration of a Vaccine: A Case Report. J. Am. Pharm. Assoc. 2020, 60, e357–e360. [Google Scholar] [CrossRef] [PubMed]
- Yi, T.-I.; Ha, S.-A.; Choe, Y.-R.; Kim, J.-S.; Kwon, K.-W. Calcaneal Osteomyelitis Due to Non-Tuberculous Mycobacteria: A Case Report. Ann. Rehabil. Med. 2016, 40, 172–176. [Google Scholar] [CrossRef] [PubMed]
- Yagdiran, A.; Paul, G.; Meyer-Schwickerath, C.; Scheder-Bieschin, J.; Tobys, D.; Kernich, N.; Eysel, P.; Jung, N. Clinical Features and Outcome of Vertebral Osteomyelitis after Spinal Injection: Is It Worth the Price? Infection 2023, 51, 599–607. [Google Scholar] [CrossRef]
- Gaetti-Jardim Júnior, E.; Fardin, A.C.; Gaetti-Jardim, E.C.; de Castro, A.L.; Schweitzer, C.M.; Avila-Campos, M.J. Microbiota Associated with Chronic Osteomyelitis of the Jaws. Braz. J. Microbiol. 2010, 41, 1056–1064. [Google Scholar] [CrossRef]
- Lucidarme, Q.; Lebrun, D.; Vernet-Garnier, V.; Le Gall, J.; Diallo, S.; Mauprivez, C.; Derruau, S. Chronic Osteomyelitis of the Jaw: Pivotal Role of Microbiological Investigation and Multidisciplinary Management-A Case Report. Antibiotics 2022, 11, 568. [Google Scholar] [CrossRef]
- Paley, D.; Moseley, C.F.; Armstrong, P.; Prober, C.G. Primary Osteomyelitis Caused by Coagulase-Negative Staphylococci. J. Pediatr. Orthop. 1986, 6, 622–626. [Google Scholar] [CrossRef]
- Lew, D.P.; Waldvogel, F.A. Osteomyelitis. Lancet 2004, 364, 369–379. [Google Scholar] [CrossRef]
- Becker, K.; Heilmann, C.; Peters, G. Coagulase-Negative Staphylococci. Clin. Microbiol. Rev. 2014, 27, 870–926. [Google Scholar] [CrossRef]
- Unsworth, A.; Young, B.; Scarborough, M.; McNally, M. A Comparison of Causative Pathogens in Bone and Prosthetic Joint Infections: Implications for Antimicrobial Therapy. Antibiotics 2024, 13, 1125. [Google Scholar] [CrossRef]
- Graan, D.; Balogh, Z.J. Microbiology of Fracture Related Infections. J. Orthop. Surg. 2022, 30, 10225536221118512. [Google Scholar] [CrossRef] [PubMed]
- Sybenga, A.B.; Jupiter, D.C.; Speights, V.O.; Rao, A. Diagnosing Osteomyelitis: A Histology Guide for Pathologists. J. Foot Ankle Surg. 2020, 59, 75–85. [Google Scholar] [CrossRef] [PubMed]
- Pineda, C.; Espinosa, R.; Pena, A. Radiographic Imaging in Osteomyelitis: The Role of Plain Radiography, Computed Tomography, Ultrasonography, Magnetic Resonance Imaging, and Scintigraphy. Semin. Plast. Surg. 2009, 23, 80–89. [Google Scholar] [CrossRef] [PubMed]
- Lourtet-Hascoët, J.; Félicé, M.P.; Bicart-See, A.; Bouige, A.; Giordano, G.; Bonnet, E. Species and Antimicrobial Susceptibility Testing of Coagulase-Negative Staphylococci in Periprosthetic Joint Infections. Epidemiol. Infect. 2018, 146, 1771–1776. [Google Scholar] [CrossRef]
- Rupp, M.E.; Archer, G.L. Coagulase-Negative Staphylococci: Pathogens Associated with Medical Progress. Clin. Infect. Dis. 1994, 19, 231–243; quiz 244–245. [Google Scholar] [CrossRef]
- Huebner, J.; Goldmann, D.A. Coagulase-Negative Staphylococci: Role as Pathogens. Annu. Rev. Med. 1999, 50, 223–236. [Google Scholar] [CrossRef]
- Monsen, T.; Olofsson, C.; Rönnmark, M.; Wiström, J. Clonal Spread of Staphylococci among Patients with Peritonitis Associated with Continuous Ambulatory Peritoneal Dialysis. Kidney Int. 2000, 57, 613–618. [Google Scholar] [CrossRef]
- Widerström, M.; Monsen, T.; Karlsson, C.; Wiström, J. Molecular Epidemiology of Meticillin-Resistant Coagulase-Negative Staphylococci in a Swedish County Hospital: Evidence of Intra- and Interhospital Clonal Spread. J. Hosp. Infect. 2006, 64, 177–183. [Google Scholar] [CrossRef]
- Shao, H.; Zhang, X.; Li, Y.; Gao, Y.; Wang, Y.; Shao, X.; Dai, L. Epidemiology and Drug Resistance Analysis of Bloodstream Infections in an Intensive Care Unit from a Children’s Medical Center in Eastern China for Six Consecutive Years. Int. Microbiol. 2024, 27, 1345–1355. [Google Scholar] [CrossRef]
- Tiogo, A.P.P.; Suah, S.S.; Yorulmaz, H.C.; Taguiadzeh, A.; Yavari, M.; Süer, H.K.; Ruh, E.; Tiogo, A.P.P.; Suah, S.S.; Yorulmaz, H.C.; et al. Prevalence and Microbial Etiology of Catheter-Related Bloodstream Infections in a University Hospital in North Cyprus: A Retrospective Study. Cyprus J. Med. Sci. 2025, 10, 279–284. [Google Scholar] [CrossRef]
- Jiang, G.; Wang, W.; Yang, Y.; Zhang, M.; Yang, Y.; Jiang, Q. Organism Profiles and Empirical Treatments for Periprosthetic Joint Infections. J. Orthop. Surg. Res. 2025, 20, 698. [Google Scholar] [CrossRef]
- Rezaei, A.R.; Zienkiewicz, D.; Rezaei, A.R. Surgical Site Infections: A Comprehensive Review. J. Trauma. Inj. 2025, 38, 71–81. [Google Scholar] [CrossRef] [PubMed]
- Yoshida, A. Ewing and Ewing-like Sarcomas: A Morphological Guide through Genetically-defined Entities. Pathol. Int. 2023, 73, 12–26. [Google Scholar] [CrossRef] [PubMed]
- Osteoid Osteoma—An Overview|ScienceDirect Topics. Available online: https://www.sciencedirect.com/topics/medicine-and-dentistry/osteoid-osteoma?utm_source=chatgpt.com (accessed on 5 March 2026).
- Pigrau-Serrallach, C.; Rodríguez-Pardo, D. Bone and Joint Tuberculosis. Eur. Spine J. 2013, 22, 556–566. [Google Scholar] [CrossRef]
- Herdea, A.; Marie, H.; Negrila, I.-A.; Ahmed, A.D.A.H.; Ulici, A. Reevaluating Pediatric Osteomyelitis with Osteoarticular Tuberculosis: Addressing Diagnostic Delays and Improving Treatment Outcomes. Children 2024, 11, 1279. [Google Scholar] [CrossRef]
- Walker, G.J.A.; Walker, D.G. Congenital Syphilis: A Continuing but Neglected Problem. Semin. Fetal Neonatal Med. 2007, 12, 198–206. [Google Scholar] [CrossRef] [PubMed]
- Song, S.; Jeong, H.J.; Shin, H.-K.; Kim, E.; Park, S.-J.; Park, J.H. Sclerosing Osteomyelitis of Garré: A Confusing Clinical Diagnosis. J. Orthop. Surg. 2019, 27, 2309499019874704. [Google Scholar] [CrossRef]
- Vannet, N.B.; Williams, H.L.M.; Healy, B.; Morgan-Jones, R. Sclerosing Osteomyelitis of Garré: Management of Femoral Pain by Intramedullary Nailing. BMJ Case Rep. 2014, 2014, bcr2014206533. [Google Scholar] [CrossRef]



| Antibiotic | S. epidermidis | S. capitis |
|---|---|---|
| Penicillin | S | R |
| Ampicillin | Not tested | Not tested |
| Cloxacillin | S | S |
| Carbenicillin | Not tested | Not tested |
| Piperacillin | Not tested | Not tested |
| Cephazolin/Cephalosporins | Not tested | Not tested |
| Gentamicin | S | S |
| Amikacin | S | S |
| Chloramphenicol | Not tested | Not tested |
| Erythromycin | S | S |
| Lincomycin | S | I |
| Clindamycin | S | S |
| Ciprofloxacin | S | S |
| Trimethoprim/Sulfamethoxazole | S | S |
| Rifampicin | S | S |
| Vancomycin | S | S |
Disclaimer/Publisher’s Note: The statements, opinions and data contained in all publications are solely those of the individual author(s) and contributor(s) and not of MDPI and/or the editor(s). MDPI and/or the editor(s) disclaim responsibility for any injury to people or property resulting from any ideas, methods, instructions or products referred to in the content. |
© 2026 by the authors. Licensee MDPI, Basel, Switzerland. This article is an open access article distributed under the terms and conditions of the Creative Commons Attribution (CC BY) license.
Share and Cite
Balgaranov, N.; Elkina, S.; Halvadzhiyan, I.; Marinova-Bulgaranova, T. Chronic Sclerosing Osteomyelitis of Garré of the Femur in a 4-Year-Old Girl Caused by Coagulase-Negative Staphylococci: A Case Report. Children 2026, 13, 451. https://doi.org/10.3390/children13040451
Balgaranov N, Elkina S, Halvadzhiyan I, Marinova-Bulgaranova T. Chronic Sclerosing Osteomyelitis of Garré of the Femur in a 4-Year-Old Girl Caused by Coagulase-Negative Staphylococci: A Case Report. Children. 2026; 13(4):451. https://doi.org/10.3390/children13040451
Chicago/Turabian StyleBalgaranov, Nikolay, Stanimira Elkina, Irina Halvadzhiyan, and Teodora Marinova-Bulgaranova. 2026. "Chronic Sclerosing Osteomyelitis of Garré of the Femur in a 4-Year-Old Girl Caused by Coagulase-Negative Staphylococci: A Case Report" Children 13, no. 4: 451. https://doi.org/10.3390/children13040451
APA StyleBalgaranov, N., Elkina, S., Halvadzhiyan, I., & Marinova-Bulgaranova, T. (2026). Chronic Sclerosing Osteomyelitis of Garré of the Femur in a 4-Year-Old Girl Caused by Coagulase-Negative Staphylococci: A Case Report. Children, 13(4), 451. https://doi.org/10.3390/children13040451

