Leptomeningeal Dissemination in Choroid Plexus Tumors: Magnetic Resonance Imaging Appearance and Risk Factors
Abstract
1. Introduction
2. Materials and Methods
3. Results
3.1. Patients
3.2. Imaging Characteristics of the Primary Tumor (Table 1)
| CPP (n = 12) | aCPP (n = 4) | CPC (n = 2) | p Value | |
|---|---|---|---|---|
| age at diagnosis median and range in years | 8.3 (0.2–17.1) | 1.3 (0.3–4.2) | 8.2 (0.7–15.6) | 0.127 |
| gender | 0.029 | |||
| • male | 10 (83.3%) | 2 (50%) | - | |
| • female | 2 (16.7%) | 2 (50%) | 2 (100%) | |
| tumor localization | 0.164 | |||
| • IT | 8 (66.7%) | 1 (25%) | - | |
| • ST | 4 (33.3%) | 3 (75%) | 2 (100%) | |
| tumor volume median (range) in cm3 | 5.2 (0.45–268.1) | 35.8 (9.5–61.5) | 173.9 (39.9–308) | 0.196 |
| perifocal edema | 0.349 | |||
| • present | 4 (33.3%) | 1 (25%) | 2 (100%) | |
| • absent | 8 (66.7%) | 3 (75%) | - | |
| T1 signal intensity | 1 | |||
| • isointense | 11 (91.7%) | 4 (100%) | 2 (100%) | |
| • hyperintense | 1 (8.3%) | - | - | |
| • hypointense | - | - | - | |
| T2 signal intensity | 1 | |||
| • isointense | 4 (33.3%) | 1 (25%) | 1 (50%) | |
| • hypointense | - | - | - | |
| • hyperintense | 8 (66.7%) | 3 (75%) | 1 (50%) | |
| cystic components | 1 | |||
| • absent | 8 (66.7%) | 3 (75%) | 1 (50%) | |
| • <25% | 2 (16.7%) | - | - | |
| • 26–50% | 1 (8.3%) | 1 (25%) | 1 (50%) | |
| • 51–75% | 1 (8.3%) | - | - | |
| • >75% | - | - | - | |
| iron deposition | 0.465 | |||
| • present | 6 (50%) | 3 (75%) | 2 (100%) | |
| • absent | 6 (50%) | 1 (25%) | 0 | |
| contrast enhancement | 1 | |||
| • slight | 1 (8.3%) | 0 | 0 | |
| • moderate | 3 (25%) | 1 (25%) | 0 | |
| • strong | 8 (66.7%) | 3 (75%) | 2 (100%) |
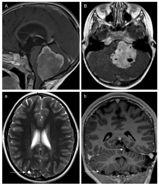
3.3. Leptomeningeal Dissemination (Table 2)
3.3.1. At Diagnosis
| CPP (n = 13) | aCPP (n = 6) | CPC (n = 3) | |
|---|---|---|---|
| resection status | |||
| • GTR | 10 * | 4 | 1 |
| • STR | 3 | 2 | 2 |
| LMD at diagnosis | n = 2 | n = 0 | n = 2 |
| classification | |||
| • M2a | 1 | - | 1 |
| • M2b + M3b | 1 | - | 1 |
| morphology | |||
| • solid | 1 | - | 1 |
| • mixed | - | - | 1 |
| • pseudo LMD | 1 | - | |
| LMD on follow-up | n = 2 | n = 1 | n = 0 |
| classification | |||
| • M2b | 2 | 1 | - |
| morphology | |||
| • solid | - | 1 | - |
| • cystic | 2 | - | - |
3.3.2. On Follow-Up
4. Discussion
Author Contributions
Funding
Institutional Review Board Statement
Informed Consent Statement
Data Availability Statement
Conflicts of Interest
References
- WHO Classification of Tumours Editorial Board. Central Nervous System Tumours; IARC, Ed.; IARC: Lyon, France, 2022; Volume 1, pp. 189–197. [Google Scholar]
- Cannon, D.M.; Mohindra, P.; Gondi, V.; Kruser, T.J.; Kozak, K.R. Choroid Plexus Tumor Epidemiology and Outcomes: Implications for Surgical and Radiotherapeutic Management. J. Neurooncol. 2015, 121, 151–157. [Google Scholar] [CrossRef] [PubMed]
- Wolff, J.E.; Van Gool, S.W.; Kutluk, T.; Diez, B.; Kebudi, R.; Timmermann, B.; Garami, M.; Sterba, J.; Fuller, G.N.; Bison, B.; et al. Final Results of the Choroid Plexus Tumor Study CPT-SIOP-2000. J. Neurooncol. 2022, 156, 599–613. [Google Scholar] [CrossRef]
- Thomas, C.; Ruland, V.; Kordes, U.; Hartung, S.; Capper, D.; Pietsch, T.; Gerß, J.; Wolff, J.E.A.; Paulus, W.; Hasselblatt, M. Pediatric Atypical Choroid Plexus Papilloma Reconsidered: Increased Mitotic Activity Is Prognostic Only in Older Children. Acta Neuropathol. 2015, 129, 925–927. [Google Scholar] [CrossRef] [PubMed]
- Thomas, C.; Sill, M.; Ruland, V.; Witten, A.; Hartung, S.; Kordes, U.; Jeibmann, A.; Beschorner, R.; Keyvani, K.; Bergmann, M.; et al. Methylation Profiling of Choroid Plexus Tumors Reveals 3 Clinically Distinct Subgroups. Neuro-Oncology 2016, 18, 790–796. [Google Scholar] [CrossRef]
- Capper, D.; Jones, D.T.W.; Sill, M.; Hovestadt, V.; Schrimpf, D.; Sturm, D.; Koelsche, C.; Sahm, F.; Chavez, L.; Reuss, D.E.; et al. DNA Methylation-Based Classification of Central Nervous System Tumours. Nature 2018, 555, 469–474. [Google Scholar] [CrossRef] [PubMed]
- Bettegowda, C.; Adogwa, O.; Mehta, V.; Chaichana, K.L.; Weingart, J.; Carson, B.S.; Jallo, G.I.; Ahn, E.S. Treatment of Choroid Plexus Tumors: A 20-Year Single Institutional Experience. J. Neurosurg. Pediatr. 2012, 10, 398–405. [Google Scholar] [CrossRef]
- Meyers, S.P.; Khademian, Z.P.; Chuang, S.H.; Pollack, I.F.; Korones, D.N.; Zimmerman, R.A. Choroid Plexus Carcinomas in Children: MRI Features and Patient Outcomes. Neuroradiology 2004, 46, 770–780. [Google Scholar] [CrossRef] [PubMed]
- Wrede, B.; Hasselblatt, M.; Peters, O.; Thall, P.F.; Kutluk, T.; Moghrabi, A.; Mahajan, A.; Rutkowski, S.; Diez, B.; Wang, X.; et al. Atypical Choroid Plexus Papilloma: Clinical Experience in the CPT-SIOP-2000 Study. J. Neurooncol. 2009, 95, 383–392. [Google Scholar] [CrossRef]
- Tavallaii, A.; Keykhosravi, E.; Rezaee, H.; Kianbakht, C. Role of Available Adjuvant Therapies Following Surgical Resection of Atypical Choroid Plexus Papilloma-a Systematic Review and Pooled Analysis. Neurooncol. Adv. 2020, 2, vdaa139. [Google Scholar] [CrossRef]
- Sun, M.Z.; Ivan, M.E.; Clark, A.J.; Oh, M.C.; Delance, A.R.; Oh, T.; Safaee, M.; Kaur, G.; Bloch, O.; Molinaro, A.; et al. Gross Total Resection Improves Overall Survival in Children with Choroid Plexus Carcinoma. J. Neurooncol. 2014, 116, 179–185. [Google Scholar] [CrossRef] [PubMed][Green Version]
- Schneider, C.; Kamaly-Asl, I.; Ramaswamy, V.; Lafay-Cousin, L.; Kulkarni, A.V.; Rutka, J.T.; Remke, M.; Coluccia, D.; Tabori, U.; Hawkins, C.; et al. Neoadjuvant Chemotherapy Reduces Blood Loss during the Resection of Pediatric Choroid Plexus Carcinomas. J. Neurosurg. Pediatr. 2015, 16, 126–133. [Google Scholar] [CrossRef] [PubMed]
- Browne-Farmer, C.; Hazrati, L.N.; Mamatjan, Y.; Zadeh, G.; Dirks, P.; Rutka, J.; Malkin, D.; Bouffet, E.; Huang, A.; Tabori, U.; et al. Paediatric Atypical Choroid Plexus Papilloma: Is Adjuvant Therapy Necessary? J. Neurooncol. 2021, 155, 63–70. [Google Scholar] [CrossRef]
- Johnson, G.W.; Mian, A.Y.; Dahiya, S.; Rich, K.M.; Chicoine, M.R.; Limbrick, D.D. Cystic Dissemination of Choroid Plexus Papilloma: Illustrative Cases. J. Neurosurg. Case Lessons 2022, 4, 1–6. [Google Scholar] [CrossRef] [PubMed]
- Leblanc, R.; Bekhor, S.; Melanson, D.; Carpenter, S. Diffuse Craniospinal Seeding from a Benign Fourth Ventricle Choroid Plexus Papilloma: Case Report. J. Neurosurg. 1998, 88, 757–760. [Google Scholar] [CrossRef]
- Doglietto, F.; Lauretti, L.; Tartaglione, T.; Gessi, M.; Fernandez, E.; Maira, G. Diffuse Craniospinal Choroid Plexus Papilloma with Involvement of Both Cerebellopontine Angles. Neurology 2005, 65, 842. [Google Scholar] [CrossRef]
- Mazur-Hart, D.J.; Yaghi, N.K.; Larson, E.W.; Pang, B.W.; Woltjer, R.L.; Pettersson, D.R.; Sayama, C.M. Rare Case of Pediatric Disseminated Choroid Plexus Papilloma: Literature Review and Call for Reclassification. Pediatr. Neurosurg. 2022, 57, 348–357. [Google Scholar] [CrossRef] [PubMed]
- Rivière, R.N.; Johnston, D.L.; Story, E. A Unique Presentation of an Adolescent with Disseminated Atypical Choroid Plexus Papilloma. J. Neurooncol. 2018, 139, 777–778. [Google Scholar] [CrossRef] [PubMed]
- McCall, T.; Binning, M.; Blumenthal, D.T.; Jensen, R.L. Variations of Disseminated Choroid Plexus Papilloma: 2 Case Reports and a Review of the Literature. Surg. Neurol. 2006, 66, 62–67. [Google Scholar] [CrossRef]
- Stock, A.; Mynarek, M.; Pietsch, T.; Pfister, S.M.; Clifford, S.C.; Goschzik, T.; Sturm, D.; Schwalbe, E.C.; Hicks, D.; Rutkowski, S.; et al. Imaging Characteristics of Wingless Pathway Subgroup Medulloblastomas: Results from the German HIT/SIOP-Trial Cohort. AJNR Am. J. Neuroradiol. 2019, 40, 1811–1817. [Google Scholar] [CrossRef]
- Chang, C.H.; Housepian, E.M.; Herbert, C. An Operative Staging System and a Megavoltage Radiotherapeutic Technic for Cerebellar Medulloblastomas. Radiology 1969, 93, 1351–1359. [Google Scholar] [CrossRef] [PubMed]
- Morana, G.; Alves, C.A.; Tortora, D.; Severino, M.; Nozza, P.; Cama, A.; Ravegnani, M.; D’Apolito, G.; Raso, A.; Milanaccio, C.; et al. Added Value of Diffusion Weighted Imaging in Pediatric Central Nervous System Embryonal Tumors Surveillance. Oncotarget 2017, 8, 60401. [Google Scholar] [CrossRef] [PubMed]
- Bühring, U.; Strayle-Batra, M.; Freudenstein, D.; Scheel-Walter, H.G.; Küker, W. MRI Features of Primary, Secondary and Metastatic Medulloblastoma. Eur. Radiol. 2002, 12, 1342–1348. [Google Scholar] [CrossRef] [PubMed]
- Chen, Y.; Zhao, R.; Shi, W.; Li, H. Pediatric Atypical Choroid Plexus Papilloma: Clinical Features and Diagnosis. Clin. Neurol. Neurosurg. 2021, 200, 106345. [Google Scholar] [CrossRef] [PubMed]
- Lin, H.; Leng, X.; Qin, C.H.; Du, Y.X.; Wang, W.S.; Qiu, S.J. Choroid Plexus Tumours on MRI: Similarities and Distinctions in Different Grades. Cancer Imaging 2019, 19, 17. [Google Scholar] [CrossRef]
- Miyagi, Y.; Natori, Y.; Suzuki, S.O.; Iwaki, T.; Morioka, T.; Arimura, K.; Maeda, Y.; Shono, T.; Matsukado, K.; Sasaki, T. Purely Cystic Form of Choroid Plexus Papilloma with Acute Hydrocephalus in an Infant. Case Report. J. Neurosurg. 2006, 105, 480–484. [Google Scholar] [CrossRef]
- Abdulkader, M.M.; Mansour, N.H.; Van Gompel, J.J.; Bosh, G.A.; Dropcho, E.J.; Bonnin, J.M.; Cohen-Gadol, A.A. Disseminated Choroid Plexus Papillomas in Adults: A Case Series and Review of the Literature. J. Clin. Neurosci. 2016, 32, 148–154. [Google Scholar] [CrossRef] [PubMed]
- Scala, M.; Morana, G.; Milanaccio, C.; Pavanello, M.; Nozza, P.; Garrè, M.L. Atypical Choroid Plexus Papilloma: Spontaneous Resolution of Diffuse Leptomeningeal Contrast Enhancement after Primary Tumor Removal in 2 Pediatric Cases. J. Neurosurg. Pediatr. 2017, 20, 284–288. [Google Scholar] [CrossRef]
- Puerta Roldán, P.; Santa-María López, V.; Morales La Madrid, A.; Cruz, O.; Muchart, J.; Thomas, C.; Guillén Quesada, A. Vanishing Diffuse Leptomeningeal Contrast Enhancement in an Infant with Choroid Plexus Papilloma. Acta Neurochir. 2019, 161, 351–354. [Google Scholar] [CrossRef] [PubMed]
- Heese, O.; Lamszus, K.; Grzyska, U.; Westphal, M. Diffuse Arachnoidal Enhancement of a Well Differentiated Choroid Plexus Papilloma. Acta Neurochir. 2002, 144, 723–728. [Google Scholar] [CrossRef] [PubMed]
- Wiener, M.D.; Boyko, O.B.; Friedman, H.S.; Hockenberger, B.; Oakes, W.J. False-Positive Spinal MR Findings for Subarachnoid Spread of Primary CNS Tumor in Postoperative Pediatric Patients. AJNR Am. J. Neuroradiol. 1990, 11, 1100. [Google Scholar]
- Jinhu, Y.; Jianping, D.; Jun, M.; Hui, S.; Yepeng, F. Metastasis of a Histologically Benign Choroid Plexus Papilloma: Case Report and Review of the Literature. J. Neurooncol. 2007, 83, 47–52. [Google Scholar] [CrossRef]
- Inoue, H.; Kuroda, J.I.; Uetani, H.; Matsuyama, T.; Kaku, Y.; Shinojima, N.; Hirai, T.; Mukasa, A. Postoperative Disappearance of Leptomeningeal Enhancement around the Brainstem in Glioblastoma. Neuroradiology 2024, 66, 325–332. [Google Scholar] [CrossRef] [PubMed]
- Siegfried, A.; Morin, S.; Munzer, C.; Delisle, M.B.; Gambart, M.; Puget, S.; Maurage, C.A.; Miquel, C.; Dufour, C.; Leblond, P.; et al. A French Retrospective Study on Clinical Outcome in 102 Choroid Plexus Tumors in Children. J. Neurooncol. 2017, 135, 151–160. [Google Scholar] [CrossRef]
- Hosmann, A.; Hinker, F.; Dorfer, C.; Slavc, I.; Haberler, C.; Dieckmann, K.; Knosp, E.; Czech, T. Management of Choroid Plexus Tumors-an Institutional Experience. Acta Neurochir. 2019, 161, 745–754. [Google Scholar] [CrossRef]
- Wolff, J.E.A.; Sajedi, M.; Brant, R.; Coppes, M.J.; Egeler, R.M. Choroid Plexus Tumours. Br. J. Cancer 2002, 87, 1086–1091. [Google Scholar] [CrossRef]
- Bahar, M.; Hashem, H.; Tekautz, T.; Worley, S.; Tang, A.; de Blank, P.; Wolff, J. Choroid Plexus Tumors in Adult and Pediatric Populations: The Cleveland Clinic and University Hospitals Experience. J. Neurooncol. 2017, 132, 427–432. [Google Scholar] [CrossRef]



| LMD | No LMD | ||
|---|---|---|---|
| CPP | total n = 10, p = 0.11 | 2 (20%) | 8 (80%) |
| GTR | 0 | 6 (75%) | |
| STR | 2 (100%) | 2 (25%) | |
| aCPP | total n = 6, p = 0.33 | 1 (16.7%) | 5 (83.3%) |
| GTR | 0 | 4 (80%) | |
| STR | 1 (100%) | 1 (20%) | |
| CPC | total n = 1 | - | 1 (100%) |
| GTR | - | 1 (100%) | |
| STR | - | - |
Disclaimer/Publisher’s Note: The statements, opinions and data contained in all publications are solely those of the individual author(s) and contributor(s) and not of MDPI and/or the editor(s). MDPI and/or the editor(s) disclaim responsibility for any injury to people or property resulting from any ideas, methods, instructions or products referred to in the content. |
© 2025 by the authors. Licensee MDPI, Basel, Switzerland. This article is an open access article distributed under the terms and conditions of the Creative Commons Attribution (CC BY) license (https://creativecommons.org/licenses/by/4.0/).
Share and Cite
Nunes do Espirito Santo, D.; Warmuth-Metz, M.; Monoranu, C.-M.; Hasselblatt, M.; Thomas, C.; Pietsch, T.; Krauß, J.; Schweitzer, T.; Bison, B.; Eyrich, M.; et al. Leptomeningeal Dissemination in Choroid Plexus Tumors: Magnetic Resonance Imaging Appearance and Risk Factors. Children 2025, 12, 82. https://doi.org/10.3390/children12010082
Nunes do Espirito Santo D, Warmuth-Metz M, Monoranu C-M, Hasselblatt M, Thomas C, Pietsch T, Krauß J, Schweitzer T, Bison B, Eyrich M, et al. Leptomeningeal Dissemination in Choroid Plexus Tumors: Magnetic Resonance Imaging Appearance and Risk Factors. Children. 2025; 12(1):82. https://doi.org/10.3390/children12010082
Chicago/Turabian StyleNunes do Espirito Santo, Daniel, Monika Warmuth-Metz, Camelia-Maria Monoranu, Martin Hasselblatt, Christian Thomas, Torsten Pietsch, Jürgen Krauß, Tilmann Schweitzer, Brigitte Bison, Matthias Eyrich, and et al. 2025. "Leptomeningeal Dissemination in Choroid Plexus Tumors: Magnetic Resonance Imaging Appearance and Risk Factors" Children 12, no. 1: 82. https://doi.org/10.3390/children12010082
APA StyleNunes do Espirito Santo, D., Warmuth-Metz, M., Monoranu, C.-M., Hasselblatt, M., Thomas, C., Pietsch, T., Krauß, J., Schweitzer, T., Bison, B., Eyrich, M., Kordes, U., Obrecht-Sturm, D., Pham, M., & Quenzer, A. (2025). Leptomeningeal Dissemination in Choroid Plexus Tumors: Magnetic Resonance Imaging Appearance and Risk Factors. Children, 12(1), 82. https://doi.org/10.3390/children12010082

