Exploring Cardiovascular Involvement in Tuberous Sclerosis: Insights for Pediatric Clinicians
Abstract
1. Introduction
2. Cardiac Manifestations in Tuberous Sclerosis
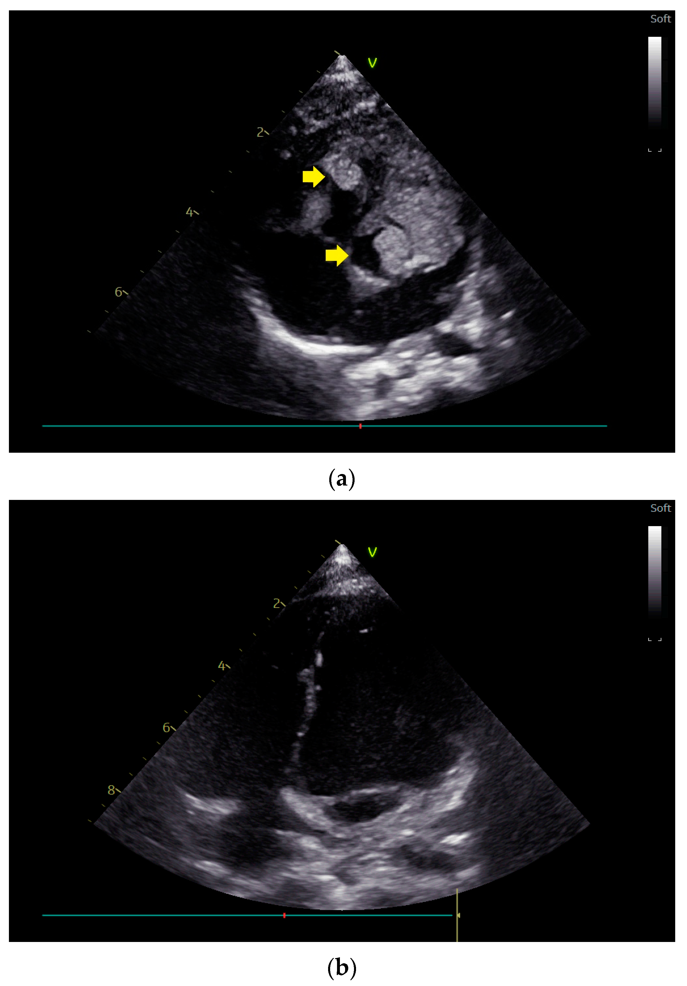
2.1. Definition and Manifestations of Cardiac Rhabdomyomas in Children with Tuberous Sclerosis
2.1.1. Manifestations during Foetal Period
2.1.2. Manifestations during Postnatal Period
2.1.3. Evolution of Cardiac Rhabdomyoma
2.2. Arrhythmia in Patients with Tuberous Sclerosis
2.2.1. Clinical Manifestations
2.2.2. Incidence of Arrhythmia in Children with Tuberous Sclerosis
2.2.3. Pathophysiological Substrates of Arrhythmia
Preexcitation Syndromes and Paroxysmal Supraventricular Tachycardias
Arrhythmia Related to Ventricular Obstruction
3. Vascular Manifestations in Tuberous Sclerosis
4. Screening for Cardiac Manifestations in Tuberous Sclerosis
5. Treatment According to the Evolution of Cardiovascular Manifestations
6. Conclusions
Author Contributions
Funding
Institutional Review Board Statement
Informed Consent Statement
Data Availability Statement
Conflicts of Interest
References
- Northrup, H.; Aronow, M.E.; Bebin, E.M.; Bissler, J.; Darling, T.N.; de Vries, P.J.; Frost, M.D.; Fuchs, Z.; Gosnell, E.S.; Gupta, N.; et al. Updated International Tuberous Sclerosis Complex Diagnostic Criteria and Surveillance and Management Recommendations. Pediatr. Neurol. 2021, 123, 50–66. [Google Scholar] [CrossRef] [PubMed]
- National Organization for Rare Disorders. Tuberous Sclerosis. Available online: https://rarediseases.org/rare-diseases/tuberous-sclerosis/#disease-overview-main (accessed on 3 March 2024).
- Krueger, D.A.; Northrup, H.; International Tuberous Sclerosis Complex Consensus Group. Tuberous sclerosis complex surveillance and management: Recommendations of the 2012 International Tuberous Sclerosis Complex Consensus Conference. Pediatr. Neurol. 2013, 49, 255–265. [Google Scholar] [CrossRef] [PubMed]
- van Slegtenhorst, M.; de Hoogt, R.; Hermans, C.; Nellist, M.; Janssen, B.; Verhoef, S.; Lindhout, D.; van den Ouweland, A.; Halley, D.; Young, J.; et al. Identification of the tuberous sclerosis gene TSC1 on chromosome 9q34. Science 1997, 277, 805–808. [Google Scholar] [CrossRef] [PubMed]
- Tyburczy, M.E.; Dies, K.A.; Glass, J.; Camposano, S.; Chekaluk, Y.; Thorner, A.R.; Lin, L.; Krueger, D.; Franz, D.N.; Thiele, E.A.; et al. Mosaic and Intronic Mutations in TSC1/TSC2 Explain the Majority of TSC Patients with No Mutation Identified by Conventional Testing. PLoS Genet. 2015, 11, e1005637. [Google Scholar] [CrossRef] [PubMed]
- Kwiatkowski, D.J.; Manning, B.D. Molecular basis of giant cells in tuberous sclerosis complex. N. Engl. J. Med. 2014, 371, 778–780. [Google Scholar] [CrossRef] [PubMed]
- Kingswood, J.C.; d’Augères, G.B.; Belousova, E.; Ferreira, J.C.; Carter, T.; Castellana, R.; Jansen, A.C.; TOSCA consortium and TOSCA investigators. TuberOus SClerosis registry to increase disease Awareness (TOSCA)—baseline data on 2093 patients. Orphanet J. Rare Dis. 2017, 12, 2. [Google Scholar] [CrossRef] [PubMed]
- Jóźwiak, S.; Kotulska, K.; Domańska-Pakieła, D.; Lojszczyk, B.; Syczewska, M.; Chmielewski, D.; Respondek-Liberska, M. Antiepileptic treatment before the onset of seizures reduces epilepsy severity and risk of mental retardation in infants with tuberous sclerosis complex. Eur. J. Paediatr. Neurol. 2011, 15, 424–431. [Google Scholar] [CrossRef] [PubMed]
- Jansen, A.C.; Vanclooster, S.; de Vries, P.J.; Fladrowski, C.; Beaure d’Augères, G.; Carter, T.; Kingswood, J.C. Burden of Illness and Quality of Life in Tuberous Sclerosis Complex: Findings From the TOSCA Study. Front. Neurol. 2020, 11, 904. [Google Scholar] [CrossRef]
- Bar, C.; Ghobeira, R.; Azzi, R.; Ville, D.; Riquet, A.; Touraine, R.; Nabbout, R. Experience of follow-up, quality of life, and transition from pediatric to adult healthcare of patients with tuberous sclerosis complex. Epilepsy Behav. 2019, 96, 23–27. [Google Scholar] [CrossRef]
- Kingswood, C.; Bolton, P.; Crawford, P.; Harland, C.; Johnson, S.R.; Sampson, J.R.; Shepherd, C.; Spink, J.; Demuth, D.; Lucchese, L.; et al. The clinical profile of tuberous sclerosis complex (TSC) in the United Kingdom: A retrospective cohort study in the Clinical Practice Research Datalink (CPRD). Eur. J. Paediatr. Neurol. 2016, 20, 296–308. [Google Scholar] [CrossRef]
- Davis, P.E.; Filip-Dhima, R.; Sideridis, G.; Peters, J.M.; Au, K.S.; Northrup, H.; Bebin, E.M.; Wu, J.Y.; Krueger, D.; Sahin, M.; et al. Presentation and Diagnosis of Tuberous Sclerosis Complex in Infants. Pediatrics. 2017, 140, e20164040. [Google Scholar] [CrossRef] [PubMed]
- Pearsson, K.; Björk Werner, J.; Lundgren, J.; Gränse, L.; Karlsson, E.; Källén, K.; Eklund, E.A.; Bekassy, Z. Childhood tuberous sclerosis complex in southern Sweden: A paradigm shift in diagnosis and treatment. BMC Pediatr. 2023, 23, 329. [Google Scholar] [CrossRef] [PubMed]
- Fenoglio, J.J., Jr.; McAllister, H.A., Jr.; Ferrans, V.J. Cardiac rhabdomyoma: A clinicopathologic and electron microscopic study. Am. J. Cardiol. 1976, 38, 241–251. [Google Scholar] [CrossRef] [PubMed]
- Svobodov, A.A.; Glushko, L.A.; Ergashov, A.Y. Surgical Treatment of Primary Cardiac Tumours in Children Systematic Review and Meta-analysis. Pediatr. Cardiol. 2022, 43, 251–266. [Google Scholar] [CrossRef] [PubMed]
- Chao, A.S.; Chao, A.; Wang, T.H.; Chang, Y.C.; Chang, Y.L.; Hsieh, C.C.; Lien, R.; Su, W.J. Outcome of antenatally diagnosed cardiac rhabdomyoma: Case series and a meta-analysis. Ultrasound Obstet. Gynecol. 2008, 31, 289–295. [Google Scholar] [CrossRef] [PubMed]
- Peng, L.; Cai, Y.; Wu, J.; Ling, W.; Wu, Q.; Guo, S.; Huang, B.; Jiang, C.; Weng, Z. Prenatal diagnosis and clinical management of cardiac rhabdomyoma: A single-center study. Front. Cardiovasc. Med. 2024, 11, 1340271. [Google Scholar] [CrossRef] [PubMed]
- Will, J.C.; Siedentopf, N.; Schmid, O.; Gruber, T.M.; Henrich, W.; Hertzberg, C.; Weschke, B. Successful Prenatal Treatment of Cardiac Rhabdomyoma in a Fetus with Tuberous Sclerosis. Pediatr. Rep. 2023, 15, 245–253. [Google Scholar] [CrossRef] [PubMed]
- Yinon, Y.; Chitayat, D.; Blaser, S.; Seed, M.; Amsalem, H.; Yoo, S.J.; Jaeggi, E.T. Fetal cardiac tumours: A single-center experience of 40 cases. Prenat. Diagn. 2010, 30, 941–949. [Google Scholar] [CrossRef]
- Fesslova, V.M.E.; Evangelista, M.; Piazza, L.; Saracino, A.; Andronache, A.; Chiarello, C.; Varrica, A.; Giamberti, A.; Frigiola, A. Regression of Cardiac Rhabdomyomas Producing a Severe Aortic Stenosis: Case Report and Discussion of the Literature. Diagnostics 2024, 14, 470. [Google Scholar] [CrossRef]
- Sciacca, P.; Giacchi, V.; Mattia, C.; Greco, F.; Smilari, P.; Betta, P.; Distefano, G. Rhabdomyomas and tuberous sclerosis complex: Our experience in 33 cases. BMC Cardiovasc. Disord. 2014, 14, 66. [Google Scholar] [CrossRef]
- Gu, X.; Han, L.; Chen, J.; Wang, J.; Hao, X.; Zhang, Y.; Zhang, J.; Ge, S.; He, Y. Antenatal screening and diagnosis of tuberous sclerosis complex by fetal echocardiography and targeted genomic sequencing. Medicine 2018, 97, e0112. [Google Scholar] [CrossRef] [PubMed]
- Webb, D.W.; Thomas, R.D.; Osborne, J.P. Cardiac rhabdomyomas and their association with tuberous sclerosis. Arch. Dis. Child. 1993, 68, 367–370. [Google Scholar] [CrossRef] [PubMed]
- Frudit, P.; Vitturi, B.K.; Navarro, F.C.; Rondelli, I.; Pozzan, G. Multiple cardiac rhabdomyomas in tuberous sclerosis complex: Case report and review of the literature. Autops. Case Rep. 2019, 9, e2019125. [Google Scholar] [CrossRef] [PubMed]
- Jawad, A.; Hannouneh, Z.A.; Salame, H.; Jaber, R.; Eid, N. Solitary atrial Rhabdomyoma in an infant with tuberous sclerosis: A case report and review of the literature. BMC Cardiovasc. Disord. 2023, 23, 597. [Google Scholar] [CrossRef]
- Quek, S.C.; Yip, W.; Quek, S.T.; Chang, S.K.; Wong, M.L.; Low, P.S. Cardiac manifestations in tuberous sclerosis: A 10-year review. J. Paediatr. Child Health. 1998, 34, 283–287. [Google Scholar] [CrossRef]
- Wilbur, C.; Sanguansermsri, C.; Chable, H.; Anghelina, M.; Peinhof, S.; Anderson, K.; Connolly, M.B. Manifestations of Tuberous Sclerosis Complex: The Experience of a Provincial Clinic. Can. J. Neurol. Sci. 2017, 44, 35–43. [Google Scholar] [CrossRef] [PubMed]
- Al Kindi, H.N.; Ibrahim, A.M.; Roshdy, M.; Abdelghany, B.S.; Yehia, D.; Masoud, A.N.; Simry, W.; Aguib, Y.; Yacoub, M.H. Clinical, cellular, and molecular characterisation of cardiac rhabdomyoma in tuberous sclerosis. Cardiol. Young. 2021, 31, 1297–1305. [Google Scholar] [CrossRef] [PubMed]
- Song, E.S.; Jeong, K.; Kim, G.; Hwang, I.J.; Lee, M.J.; Cho, H.J.; Cho, Y.K. Spontaneous Regression of Cardiac Rhabdomyoma Presenting as Severe Left Ventricular Inlet Obstruction in a Neonate with Tuberous Sclerosis. Case Rep. Cardiol. 2018, 2018, 8395260. [Google Scholar] [CrossRef] [PubMed]
- Batmaz, G.; Besikçi, R.; Arslan, G.; Kafadar, I.; Ahunbay, G. Spontaneous regression of huge cardiac rhabdomyoma in an infant. Images Paediatr. Cardiol. 2000, 2, 4–10. [Google Scholar]
- Pipitone, S.; Mongiovì, M.; Grillo, R.; Gagliano, S.; Sperandeo, V. Cardiac rhabdomyoma in intrauterine life: Clinical features and natural history. A case series and review of published reports. Ital. Heart J. 2002, 3, 48–52. [Google Scholar]
- Mettin, R.R.; Merkenschlager, A.; Bernhard, M.K.; Elix, H.; Hirsch, W.; Kiess, W.; Syrbe, S. Wide spectrum of clinical manifestations in children with tuberous sclerosis complex—Follow-up of 20 children. Brain Dev. 2014, 36, 306–314. [Google Scholar] [CrossRef] [PubMed]
- Jóźwiak, S.; Kotulska, K.; Kasprzyk-Obara, J.; Domańska-Pakieła, D.; Tomyn-Drabik, M.; Roberts, P.; Kwiatkowski, D. Clinical and genotype studies of cardiac tumours in 154 patients with tuberous sclerosis complex. Pediatrics 2006, 118, e1146 –51. [Google Scholar] [CrossRef] [PubMed]
- Thatte, N.M.; Guleserian, K.J.; Veeram Reddy, S.R. New-onset cardiac rhabdomyoma beyond infancy in a patient with tuberous sclerosis complex. Cardiol. Young 2016, 26, 396–399. [Google Scholar] [CrossRef] [PubMed]
- Tresoldi, S.; Munari, A.; Di Leo, G.; Pompili, G.; Magistrelli, P.; Secchi, F.; La Briola, F.; Canevini, M.P.; Cornalba, G.; Sardanelli, F. Myocardial Fatty Foci in Adult Patients with Tuberous Sclerosis Complex: Association with Gene Mutation and Multiorgan Involvement. Radiology 2015, 277, 398–405. [Google Scholar] [CrossRef] [PubMed]
- Adriaensen, M.E.; Cramer, M.J.; Brouha, M.E.; Schaefer-Prokop, C.M.; Prokop, M.; Doevendans, P.A.; Zonnenberg, B.A.; Feringa, H.H. Echocardiographic screening results in patients with tuberous sclerosis complex. Tex. Heart Inst. J. 2010, 37, 280–283. [Google Scholar] [PubMed]
- Au, K.S.; Williams, A.T.; Roach, E.S.; Batchelor, L.; Sparagana, S.P.; Delgado, M.R.; Wheless, J.W.; Baumgartner, J.E.; Roa, B.B.; Wilson, C.M.; et al. Genotype/phenotype correlation in 325 individuals referred for a diagnosis of tuberous sclerosis complex in the United States. Genet. Med. 2007, 9, 88–100. [Google Scholar] [CrossRef] [PubMed]
- Mühler, E.G.; Turniski-Harder, V.; Engelhardt, W.; von Bernuth, G. Cardiac involvement in tuberous sclerosis. Br. Heart J. 1994, 72, 584–590. [Google Scholar] [CrossRef] [PubMed]
- Karatza, A.A.; Gkentzi, D.; Loukopoulou, S.; Dimitriou, G. Supraventricular tachycardia in a 5-month-old infant with tuberous sclerosis complex. Pediatr. Int. 2021, 63, 342–343. [Google Scholar] [CrossRef] [PubMed]
- Castilla Cabanes, E.; Lacambra Blasco, I. Multiple cardiac rhabdomyomas, Wolff-Parkinson-White syndrome, and tuberous sclerosis: An infrequent combination. Case Rep. Pediatr. 2014, 2014, 973040. [Google Scholar] [CrossRef][Green Version]
- O’Callaghan, F.J.; Clarke, A.C.; Joffe, H.; Keeton, B.; Martin, R.; Salmon, A.; Thomas, R.D.; Osborne, J.P. Tuberous sclerosis complex and Wolff-Parkinson-White syndrome. Arch. Dis. Child. 1998, 78, 159–162. [Google Scholar] [CrossRef]
- Silva-Sánchez, M.P.; Alvarado-Socarras, J.L.; Castro-Monsalve, J.; Meneses, K.M.; Santiago, J.; Prada, C.E. Everolimus for severe arrhythmias in tuberous sclerosis complex related cardiac rhabdomyomas. Am. J. Med. Genet. A. 2021, 185, 1525–1531. [Google Scholar] [CrossRef] [PubMed]
- Howell, A.J.; Vanderlaan, R.D.; Lam, C.Z.; Losenno, K.L.; Putra, J.; Villemain, O. Innocent until proven guilty? Longstanding atrial ectopy preceding cardiac rhabdomyoma diagnosis in tuberous sclerosis complex: A case report. Eur. Heart J. Case Rep. 2022, 6, ytac068. [Google Scholar] [CrossRef] [PubMed]
- Motoki, N.; Inaba, Y.; Matsuzaki, S.; Akazawa, Y.; Nishimura, T.; Fukuyama, T.; Koike, K. Successful treatment of arrhythmia-induced cardiomyopathy in an infant with tuberous sclerosis complex. BMC Pediatr. 2016, 16, 16. [Google Scholar] [CrossRef]
- Hinton, R.B.; Prakash, A.; Romp, R.L.; Krueger, D.A.; Knilans, T.K.; International Tuberous Sclerosis Consensus Group. Cardiovascular manifestations of tuberous sclerosis complex and summary of the revised diagnostic criteria and surveillance and management recommendations from the International Tuberous Sclerosis Consensus Group. J. Am. Heart Assoc. 2014, 3, e001493. [Google Scholar] [CrossRef]
- Cowley, C.G.; Tani, L.Y.; Judd, V.E.; Shaddy, R.E. Sinus node dysfunction in tuberous sclerosis. Pediatr. Cardiol. 1996, 17, 51–52. [Google Scholar] [CrossRef] [PubMed]
- De Wilde, H.; Benatar, A. Cardiac rhabdomyoma with long-term conduction abnormality: Progression from pre-excitation to bundle branch block and finally complete heart block. Med. Sci. Monit. 2007, 13, CS21–CS23. [Google Scholar]
- Wacker-Gussmann, A.; Strasburger, J.F.; Cuneo, B.F.; Wiggins, D.L.; Gotteiner, N.L.; Wakai, R.T. Fetal arrhythmias associated with cardiac rhabdomyomas. Heart Rhythm. 2014, 11, 677–683. [Google Scholar] [CrossRef]
- Shiono, J.; Horigome, H.; Yasui, S.; Miyamoto, T.; Takahashi-Igari, M.; Iwasaki, N.; Matsui, A. Electrocardiographic changes in patients with cardiac rhabdomyomas associated with tuberous sclerosis. Cardiol. Young. 2003, 13, 258–263. [Google Scholar] [CrossRef] [PubMed]
- Aslan, E.; Sap, F.; Sert, A.; Odabas, D. Tuberous sclerosis and cardiac tumours: New electrocardiographic finding in an infant. Tex. Heart Inst. J. 2014, 41, 530–532. [Google Scholar] [CrossRef]
- Facin, M.; Pastore, C.A.; Samesima, N.; Pereira Filho, H.G. Ventricular repolarization abnormalities: The electrocardiographic track of cardiac tumoural involvement in an infant with tuberous sclerosis complex. A case report. Eur. Heart J. Case Rep. 2020, 4, 1–6. [Google Scholar] [CrossRef]
- Nguyen, T.; Smythe, J.; Baranchuk, A. Rhabdomyoma of the interventricular septum presenting as a Brugada phenocopy. Cardiol. Young 2011, 21, 591–594. [Google Scholar] [CrossRef] [PubMed]
- Janson, C.M.; Bhupathiraju, V.; Talathi, S.; Glotzbach, K. Multiple Accessory Pathways in an Infant With Cardiac Rhabdomyomas and Tuberous Sclerosis. JACC Clin. Electrophysiol. 2018, 4, 553–554. [Google Scholar] [CrossRef] [PubMed]
- Emmel, M.; Brockmeier, K.; Sreeram, N. Rhabdomyoma as accessory pathway: Electrophysiologic and morphologic confirmation. Heart 2004, 90, 43. [Google Scholar] [CrossRef] [PubMed]
- Benyounes, N.; Fohlen, M.; Devys, J.M.; Delalande, O.; Moures, J.M.; Cohen, A. Cardiac rhabdomyomas in tuberous sclerosis patients: A case report and review of the literature. Arch. Cardiovasc. Dis. 2012, 105, 442–445. [Google Scholar] [CrossRef] [PubMed]
- Cao, J.; Gong, L.; Guo, D.C.; Mietzsch, U.; Kuang, S.Q.; Kwartler, C.S.; Safi, H.; Estrera, A.; Gambello, M.J.; Milewicz, D.M. Thoracic aortic disease in tuberous sclerosis complex: Molecular pathogenesis and potential therapies in Tsc2+/− mice. Hum. Mol. Genet. 2010, 19, 1908–1920. [Google Scholar] [CrossRef] [PubMed]
- Salerno, A.E.; Marsenic, O.; Meyers, K.E.; Kaplan, B.S.; Hellinger, J.C. Vascular involvement in tuberous sclerosis. Pediatr. Nephrol. 2010, 25, 1555–1561. [Google Scholar] [CrossRef]
- Jost, C.J.; Gloviczki, P.; Edwards, W.D.; Stanson, A.W.; Joyce, J.W.; Pairolero, P.C. Aortic aneurysms in children and young adults with tuberous sclerosis: Report of two cases and review of the literature. J. Vasc. Surg. 2001, 33, 639–642. [Google Scholar] [CrossRef]
- Moon, S.B.; Shin, W.Y.; Park, Y.J.; Kim, S.J. An abdominal aortic aneurysm in an 8-month-old girl with tuberous sclerosis. Eur. J. Vasc. Endovasc. Surg. 2009, 37, 569–571. [Google Scholar] [CrossRef]
- Calcagni, G.; Gesualdo, F.; Tamisier, D.; Brunelle, F.; Sidi, D.; Ou, P. Arterial aneurysms and tuberous sclerosis: A classic but little known association. Pediatr. Radiol. 2008, 38, 795–797. [Google Scholar] [CrossRef]
- Dueppers, P.; Duran, M.; Grabitz, K.; Schelzig, H. Open Repair for Abdominal Aortic Aneurysm in a Young Boy with Tuberous Sclerosis and Review of the Literature. Ann. Vasc. Surg. 2017, 39, 286.e1–286.e5. [Google Scholar] [CrossRef]
- Craiu, D.C.; Bastian, A.E.; Zurac, S.A.; Băilă, S.L.; Croitoru, M.; Craiu, M.; Diaconu, R.; Vinţan, M.A.; Bârcă, D.G. Brachial and subclavian arteries aneurysms due to tuberous sclerosis complex mechanisms—Case report and literature review. Rom. J. Morphol. Embryol. 2022, 63, 181–189. [Google Scholar] [CrossRef] [PubMed]
- Jarrett, M.E.; Libertiny, G.; Gould, S.J.; Morris, P. Carotid artery aneurysm in a child with tuberous sclerosis. Eur. J. Vasc. Endovasc. Surg. 1998, 16, 80–81. [Google Scholar] [CrossRef] [PubMed]
- Dunet, V.; Qanadli, S.D.; Lazor, R.; Beigelman-Aubry, C. Multiple pulmonary artery aneurysms in tuberous sclerosis complex. BMJ Case Rep. 2013, 2013, bcr2012007911. [Google Scholar] [CrossRef]
- Burrows, N.J.; Johnson, S.R. Pulmonary artery aneurysm and tuberous sclerosis. Thorax. 2004, 59, 86. [Google Scholar] [CrossRef] [PubMed]
- Bogue, C.O.; Hodnett, P.; Doyle, D.J.; Plant, W.D.; Barry, J.E.; Maher, M.M. Giant pseudoaneurysm complicating an angiomyolipoma in a patient with tuberous sclerosis. Can Assoc Radiol J. 2008, 59, 213–216. [Google Scholar] [PubMed]
- Tamisier, D.; Goutière, F.; Sidi, D.; Vaksmann, G.; Bruneval, P.; Vouhé, P.; Leca, F. Abdominal aortic aneurysm in a child with tuberous sclerosis. Ann. Vasc. Surg. 1997, 11, 637. [Google Scholar] [CrossRef] [PubMed]
- Henglein, D.; Guirgis, N.M.; Bloch, G. Surgical ablation of a cardiac rhabdomyoma in an infant with tuberous sclerosis. Cardiol. Young. 1998, 8, 134–135. [Google Scholar] [CrossRef] [PubMed]
- Padalino, M.A.; Vida, V.L.; Boccuzzo, G.; Tonello, M.; Sarris, G.E.; Berggren, H.; Comas, J.V.; Di Carlo, D.; Di Donato, R.M.; Ebels, T.; et al. Surgery for primary cardiac tumours in children: Early and late results in a multicenter European Congenital Heart Surgeons Association study. Circulation 2012, 126, 22–30. [Google Scholar] [CrossRef] [PubMed]
- French, J.A.; Lawson, J.A.; Yapici, Z.; Ikeda, H.; Polster, T.; Nabbout, R.; Curatolo, P.; de Vries, P.J.; Dlugos, D.J.; Berkowitz, N.; et al. Adjunctive everolimus therapy for treatment-resistant focal-onset seizures associated with tuberous sclerosis (EXIST-3): A phase 3, randomised, double-blind, placebo-controlled study. Lancet 2016, 388, 2153–2163. [Google Scholar] [CrossRef]
- Curatolo, P.; Franz, D.N.; Lawson, J.A.; Yapici, Z.; Ikeda, H.; Polster, T.; Nabbout, R.; de Vries, P.J.; Dlugos, D.J.; Fan, J.; et al. Adjunctive everolimus for children and adolescents with treatment-refractory seizures associated with tuberous sclerosis complex: Post-hoc analysis of the phase 3 EXIST-3 trial. Lancet Child Adolesc. Health. 2018, 2, 495–504. [Google Scholar] [CrossRef]
- Jóźwiak, S.; Kotulska, K.; Berkowitz, N.; Brechenmacher, T.; Franz, D.N. Safety of Everolimus in Patients Younger than 3 Years of Age: Results from EXIST-1, a Randomized, Controlled Clinical Trial. J. Pediatr. 2016, 172, 151–155.e1. [Google Scholar] [CrossRef] [PubMed]
- Tiberio, D.; Franz, D.N.; Phillips, J.R. Regression of a cardiac rhabdomyoma in a patient receiving everolimus. Pediatrics 2011, 127, e1335–e1337. [Google Scholar] [CrossRef]
- Doğan, V.; Yeşil, Ş.; Kayalı, Ş.; Beken, S.; Özgür, S.; Ertuğrul, İ.; Bozkurt, C.; Örün, U.A.; Karademir, S. Regression of symptomatic multiple cardiac rhabdomyomas associated with tuberous sclerosis complex in a neonate receiving everolimus. J. Trop. Pediatr. 2015, 61, 74–77. [Google Scholar] [CrossRef] [PubMed]
- Martínez-García, A.; Michel-Macías, C.; Cordero-González, G.; Escamilla-Sánchez, K.I.; Aguinaga-Ríos, M.; Coronado-Zarco, A.; Cardona-Pérez, J.A. Giant left ventricular rhabdomyoma treated successfully with everolimus: Case report and review of literature. Cardiol. Young 2018, 28, 903–909. [Google Scholar] [CrossRef] [PubMed]
- Weiland, M.D.; Bonello, K.; Hill, K.D. Rapid regression of large cardiac rhabdomyomas in neonates after sirolimus therapy. Cardiol. Young 2018, 28, 485–489. [Google Scholar] [CrossRef] [PubMed]
- Mohamed, I.; Ethier, G.; Goyer, I.; Major, P.; Dahdah, N. Oral everolimus treatment in a preterm infant with multifocal inoperable cardiac rhabdomyoma associated with tuberous sclerosis complex and a structural heart defect. BMJ Case Rep. 2014, 2014, bcr2014205138. [Google Scholar] [CrossRef] [PubMed]
- Hurtado-Sierra, D.; Ramos Garzón, J.X.; Rojas, L.Z.; Fernández-Gómez, O.; Manrique-Rincón, F. Case report: Accelerated regression of giant cardiac rhabdomyomas in neonates with low dose everolimus. Front. Pediatr. 2023, 11, 1109646. [Google Scholar] [CrossRef] [PubMed]
- MacKeigan, J.P.; Krueger, D.A. Differentiating the mTOR inhibitors everolimus and sirolimus in the treatment of tuberous sclerosis complex. Neuro Oncol. 2015, 17, 1550–1559. [Google Scholar] [CrossRef] [PubMed]
- Barnes, B.T.; Procaccini, D.; Crino, J.; Blakemore, K.; Sekar, P.; Sagaser, K.G.; Jelin, A.C.; Gaur, L. Maternal Sirolimus Therapy for Fetal Cardiac Rhabdomyomas. N. Engl. J. Med. 2018, 378, 1844–1845. [Google Scholar] [CrossRef] [PubMed]
- Park, H.; Chang, C.S.; Choi, S.J.; Oh, S.Y.; Roh, C.R. Sirolimus therapy for fetal cardiac rhabdomyoma in a pregnant woman with tuberous sclerosis. Obstet. Gynecol. Sci. 2019, 62, 280–284. [Google Scholar] [CrossRef]
- Chen, X.Q.; Wang, Y.Y.; Zhang, M.N.; Lu, Q.; Pang, L.Y.; Liu, L.Y.; Li, Y.F.; Zou, L.P. Sirolimus Can Increase the Disappearance Rate of Cardiac Rhabdomyomas Associated with Tuberous Sclerosis: A Prospective Cohort and Self-Controlled Case Series Study. J. Pediatr. 2021, 233, 150–155.e4. [Google Scholar] [CrossRef] [PubMed]
- Sugalska, M.; Tomik, A.; Jóźwiak, S.; Werner, B. Treatment of Cardiac Rhabdomyomas with mTOR Inhibitors in Children with Tuberous Sclerosis Complex-A Systematic Review. Int. J. Environ. Res. Public Health. 2021, 18, 4907. [Google Scholar] [CrossRef] [PubMed]
- Babaoğlu, K.; Başar, E.Z.; Usta, E.; Yılmaz, E.H.; Günlemez, A. Effect of different dose regimens of everolimus in a series of neonates with giant cardiac rhabdomyomas. Cardiol. Young 2023, 33, 2291–2296. [Google Scholar] [CrossRef]
- Nespoli, L.F.; Albani, E.; Corti, C.; Spaccini, L.; Alfei, E.; Daniele, I.; Zuccotti, G.V.; Lista, G.; Calcaterra, V.; Mannarino, S. Efficacy of Everolimus Low-Dose Treatment for Cardiac Rhabdomyomas in Neonatal Tuberous Sclerosis: Case Report and Literature Review. Pediatr. Rep. 2021, 13, 104–112. [Google Scholar] [CrossRef] [PubMed]
- Hofmann, C.; Syrbe, S.; Hebe, J.; Kreft, J.; Stark, S.; Milde, T.; Völkers, M.; Hoffmann, G.F.; Gorenflo, M.; Kovacevic, A. Long-term use of everolimus for refractory arrhythmia in a child with tuberous sclerosis complex. Am. J. Med. Genet. A. 2024, 194, e63508. [Google Scholar] [CrossRef] [PubMed]
- Stelmaszewski, E.V.; Parente, D.B.; Farina, A.; Stein, A.; Gutierrez, A.; Raquelo-Menegassio, A.F.; Manterola, C.; de Sousa, C.F.; Victor, C.; Maki, D.; et al. Everolimus for cardiac rhabdomyomas in children with tuberous sclerosis. The ORACLE study protocol (everOlimus for caRdiac rhAbdomyomas in tuberous sCLErosis): A randomised, multicentre, placebo-controlled, double-blind phase II trial. Cardiol. Young 2020, 30, 337–345. [Google Scholar] [CrossRef] [PubMed]
- Willems, L.M.; Rosenow, F.; Schubert-Bast, S.; Kurlemann, G.; Zöllner, J.P.; Bast, T.; Bertsche, A.; Bettendorf, U.; Ebrahimi-Fakhari, D.; Grau, J.; et al. Efficacy, Retention and Tolerability of Everolimus in Patients with Tuberous Sclerosis Complex: A Survey-Based Study on Patients’ Perspectives. CNS Drugs 2021, 35, 1107–1122. [Google Scholar] [CrossRef] [PubMed]
- Emmel, M.; Brockmeier, K.; Sreeram, N. Intracardiac rhabdomyomas producing symptoms in infancy: The role of radiofrequency catheter ablation. Neth. Heart J. 2006, 14, 215–218. [Google Scholar]
- Colaneri, M.; Quarti, A.; Pozzi, M. Everolimus-induced near-resolution of giant cardiac rhabdomyomas and large renal angiomyolipoma in a newborn with tuberous sclerosis complex. Cardiol. Young 2016, 26, 1025–1028. [Google Scholar] [CrossRef]
- Sagiv, E.; Chikkabyrappa, S.M.; Conwell, J.; Lewin, M.; Chun, T.U.H. Use of Everolimus to treat cardiac rhabdomyomas and incessant arrhythmias in a newborn: Benefits and complications. Ann. Pediatr. Cardiol. 2022, 15, 58–60. [Google Scholar] [CrossRef]
- Saffari, A.; Brösse, I.; Wiemer-Kruel, A.; Wilken, B.; Kreuzaler, P.; Hahn, A.; Bernhard, M.K.; van Tilburg, C.M.; Hoffmann, G.F.; Gorenflo, M.; et al. Safety and efficacy of mTOR inhibitor treatment in patients with tuberous sclerosis complex under 2 years of age—A multicenter retrospective study. Orphanet J. Rare Dis. 2019, 14, 96. [Google Scholar] [CrossRef] [PubMed]




| Study | Fetuses with Single Cardiac Rhabdomyoma | Fetuses with Multiple Cardiac Rhabdomyoma | ||
|---|---|---|---|---|
| Without TS No. | With TS No. (%) | Without TS No. | With TS No. (%) | |
| Peng et al. [17] | 9 | 3 (33.3) | 4 | 35 (89.7) |
| Sciacca et al. [21] | 0 | 0 (0) | 0 | 10 (100) |
| Gu et al. [22] | 2 | 0 (0) | 0 | 13 (100) |
| Webb et al. [23] | N/A | N/A | 0 | 13 (100) |
| Study | Patients with Cardiac RM/Total No. | Incidence of Cardiac RM (%) | Localization | Regression of Cardiac RM in the First 2 Years (%) | |||
|---|---|---|---|---|---|---|---|
| Atria (%) | IVS (%) | LV (%) | RV (%) | ||||
| Pearsson et al. [13] | 31/40 | 77.5 | N/A | N/A | N/A | N/A | 80 |
| Sciacca et al. [21] | 33/33 | 100 | 2 | 39.2 | 26.5 | 24.5 | 31 |
| Webb et al. [23] | 10/10 | 100 | 13 | 54 | 73 | 73 | N/A |
| Wilbur et al. [27] | 28/81 | 35 | N/A | N/A | N/A | N/A | N/A |
| Al Kindi et al. [28] | 5/5 | 100 | 20 | N/A | 60 | 80 | N/A |
| Mettin et al. [32] | 18/20 | 90 | N/A | N/A | N/A | N/A | 61.1 |
| Au et al. [37] | 114/247 | 46.2 | N/A | N/A | N/A | N/A | N/A |
| Mühler et al. [38] | 14/21 | 66.7 | 7.1 | N/A | 100 | 7.1 | 42.1 |
| Study | Electrocardiographic Findings |
|---|---|
| Supraventricular and Ventricular Arrhythmias | |
| Jawad et al. [25] | premature atrial contractions |
| Karatza et al. [39] | paroxysmal supraventricular tachycardia |
| Castilla Cabanes et al. [40], O’Callaghan et al. [41] | Wolff-Parkinson-White syndrome |
| Silva-Sanchez et al. [42] | sinoatrial nodal re-entrant tachycardia |
| Howell et al. [43] | atrial flutter |
| Jawad et al. [25] | junctional rhythm |
| Mettin et al. [20], Motoki et al. [44] | premature ventricular contractions |
| Hinton et al. [45] | ventricular tachycardia |
| Conduction Defects | |
| Cowley et al. [46] | sinus node dysfunction |
| Mettin et al. [20] | second- and third-degree atrioventricular block |
| De Wilde et al. [47] | incomplete and complete right bundle branch block |
| Wacker-Gussmann et al. [48] | prolonged PR interval |
| Other ECG changes | |
| Shiono et al. [49] | ventricular hypertrophy |
| Wacker-Gussmann et al. [48] | nonspecific changes of ST interval |
| Aslan et al. [50] | dome-shaped T waves |
| Facin et al. [51] | dome–shaped ST–segment elevation |
| Nguyen et al. [52] | Brugada phenocopy |
| Janson et al. [53] | widened QRS |
| Characteristic | Pearsson et al. [13] | Sciacca et al. [21] | Webb et al. [23] | Wilbur et al. [27] | Mettin et al. [32] | Muhler et al. [38] |
|---|---|---|---|---|---|---|
| No. of evaluated patients | 40 | 33 | 15 | 81 | 20 | 20 |
| Patients age range | 0–18 yrs | antenatal to 12 mos | antenatal to 10 mos | 0.2–23.2 yrs | 0–18 yrs | 0–16 yrs |
| Atrial/ventricular ectopic beats, % | N/A | 24.2 | 13.3 | N/A | 20 | 20 |
| WPW syndrome, % | 14.7 | 6 | 20 | N/A | 10 | 5 |
| Supraventricular tachycardia, % | 5.5 | N/A | 20 | 2.4 | N/A | N/A |
| Ventricular tachycardia, % | 2.8 | N/A | N/A | 1.23 | N/A | N/A |
| Bradycardia/AVB, % | N/A | N/A | 6.7 | N/A | N/A | 5 |
| RBBB, % | 2.8 | N/A | N/A | N/A | N/A | N/A |
| Repolarization disturbances, % | N/A | N/A | N/A | N/A | N/A | 20 |
Disclaimer/Publisher’s Note: The statements, opinions and data contained in all publications are solely those of the individual author(s) and contributor(s) and not of MDPI and/or the editor(s). MDPI and/or the editor(s) disclaim responsibility for any injury to people or property resulting from any ideas, methods, instructions or products referred to in the content. |
© 2024 by the authors. Licensee MDPI, Basel, Switzerland. This article is an open access article distributed under the terms and conditions of the Creative Commons Attribution (CC BY) license (https://creativecommons.org/licenses/by/4.0/).
Share and Cite
Lazea, C.; Țaranu, I.; Bolboacă, S.D. Exploring Cardiovascular Involvement in Tuberous Sclerosis: Insights for Pediatric Clinicians. Children 2024, 11, 674. https://doi.org/10.3390/children11060674
Lazea C, Țaranu I, Bolboacă SD. Exploring Cardiovascular Involvement in Tuberous Sclerosis: Insights for Pediatric Clinicians. Children. 2024; 11(6):674. https://doi.org/10.3390/children11060674
Chicago/Turabian StyleLazea, Cecilia, Ioana Țaranu, and Sorana D. Bolboacă. 2024. "Exploring Cardiovascular Involvement in Tuberous Sclerosis: Insights for Pediatric Clinicians" Children 11, no. 6: 674. https://doi.org/10.3390/children11060674
APA StyleLazea, C., Țaranu, I., & Bolboacă, S. D. (2024). Exploring Cardiovascular Involvement in Tuberous Sclerosis: Insights for Pediatric Clinicians. Children, 11(6), 674. https://doi.org/10.3390/children11060674

