Bimaxillary Dentoalveolar Protrusion Case Treated with Anchorage by Buccally Implemented Mini-Implants Using a 3D-Printed Surgical Guide
Abstract
1. Introduction
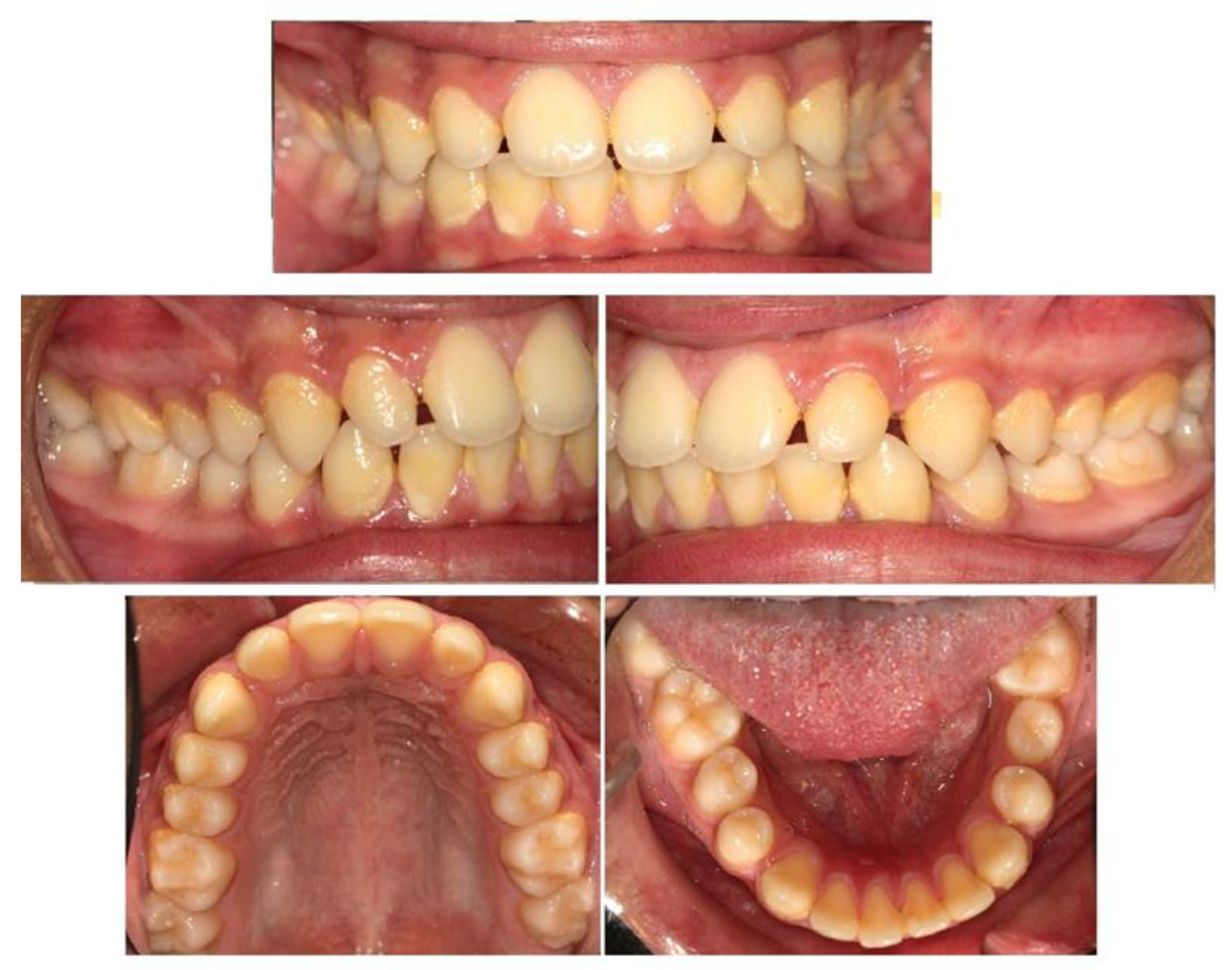
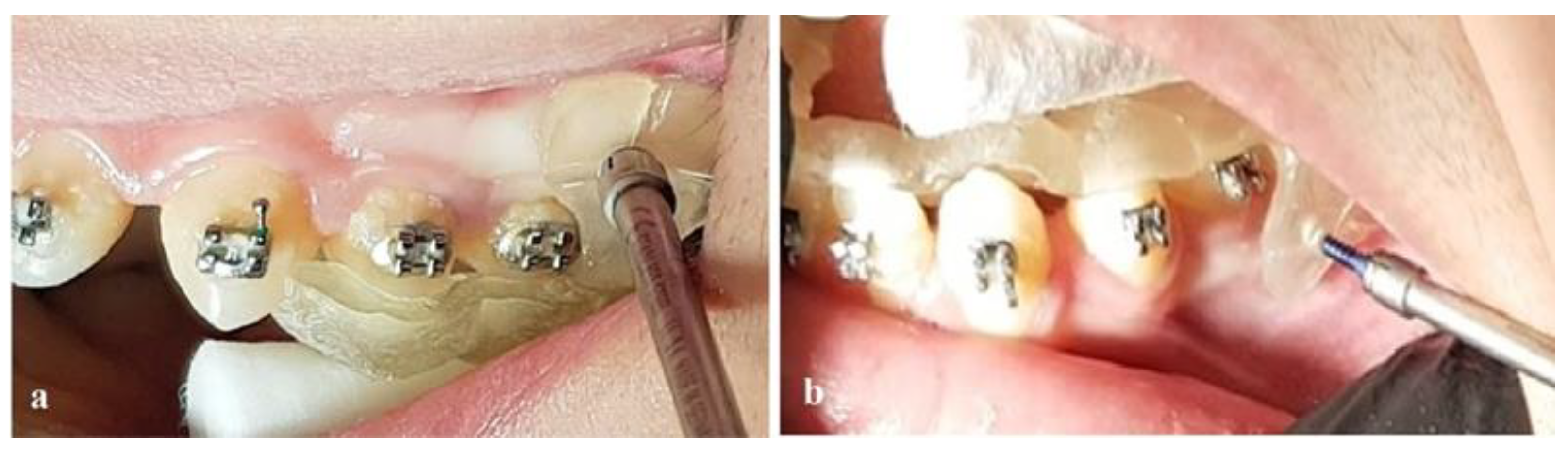
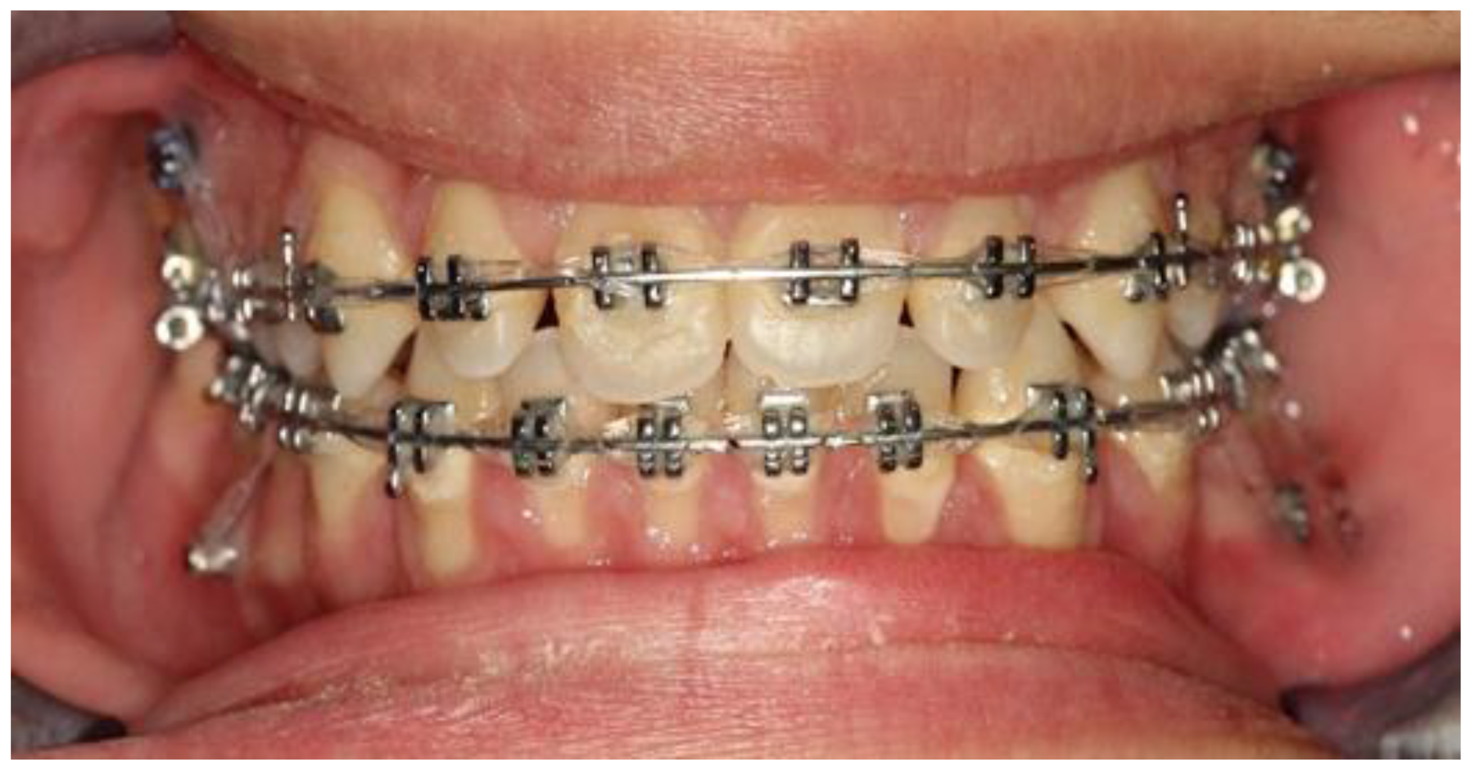
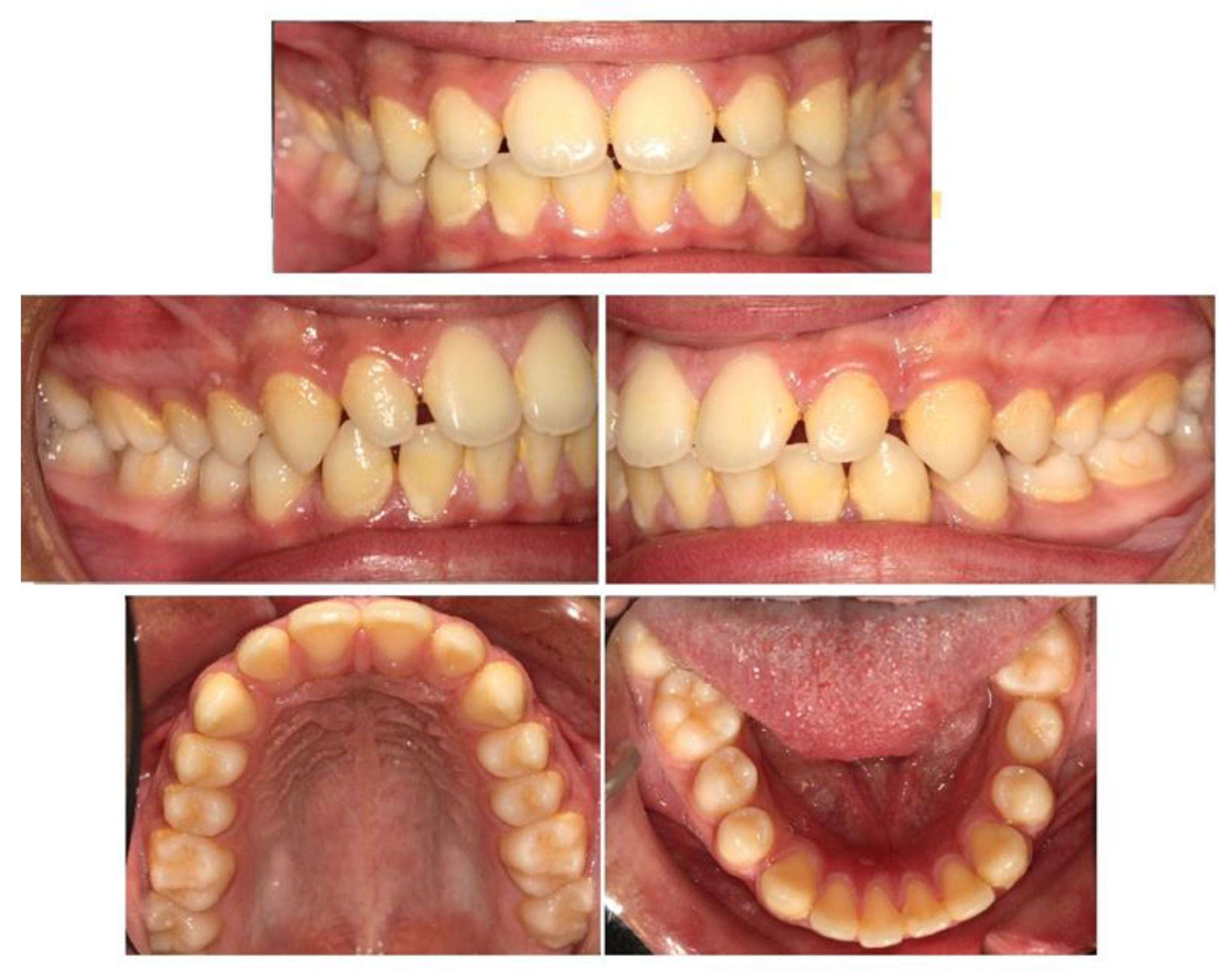
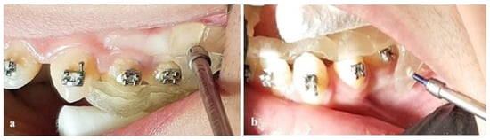
2. Materials and Methods
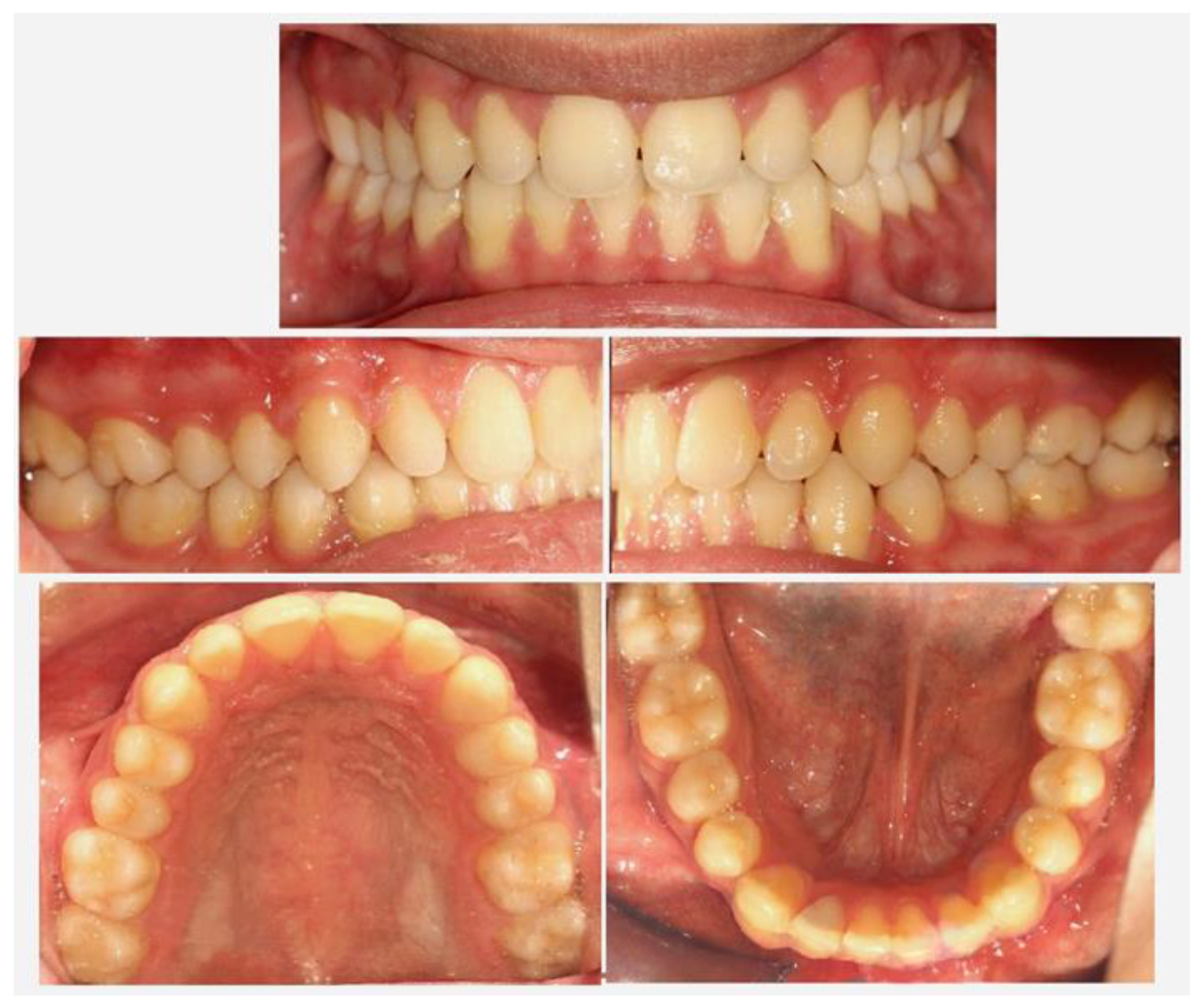
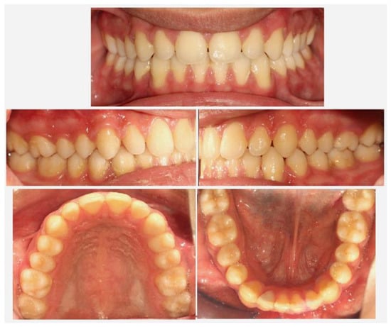
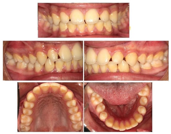
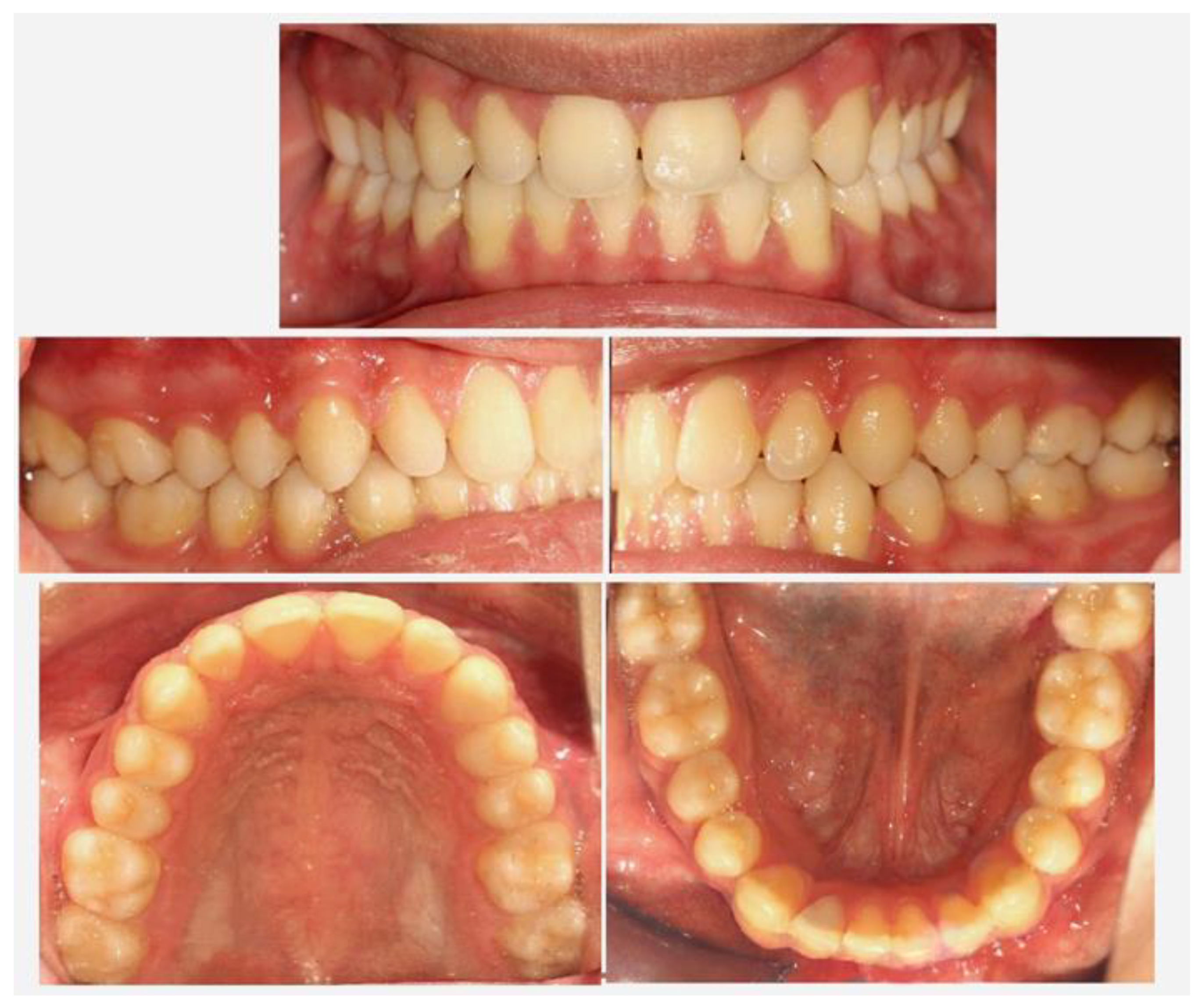
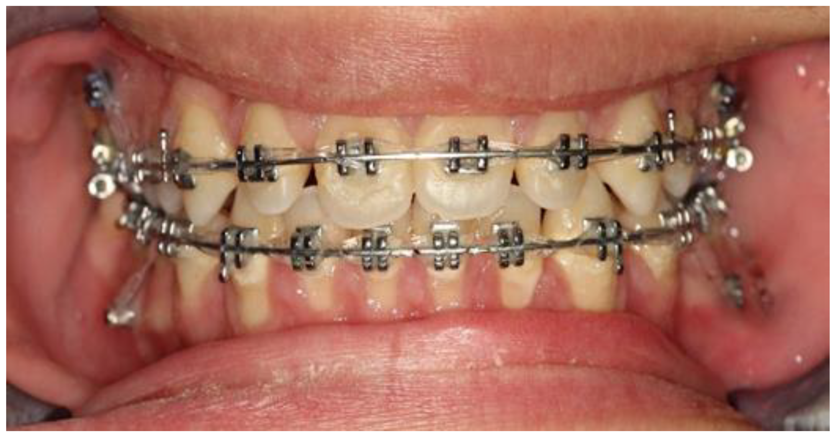
3. Results
4. Discussion
5. Conclusions
Author Contributions
Funding
Institutional Review Board Statement
Informed Consent Statement
Data Availability Statement
Conflicts of Interest
References
- Bills, D.A.; Handelman, C.S.; BeGole, E.A. Bimaxillary dentoalveolar protrusion: Traits and orthodontic correction. Angle Orthod. 2005, 75, 333–339. [Google Scholar]
- Lamberton, C.M.; Reichart, P.A.; Triratananimit, P. Bimaxillary protrusion as a pathologic problem in the Thai. Am. J. Orthod. 1980, 77, 320–329. [Google Scholar] [CrossRef] [PubMed]
- Lew, K. Profile changes following orthodontic treatment of bimaxillary protrusion in adults with the Begg appliance. Eur. J. Orthod. 1989, 11, 375–381. [Google Scholar] [CrossRef] [PubMed]
- Leonardi, R.; Annunziata, A.; Licciardello, V.; Barbato, E. Soft Tissue Changes Following the Extraction of Premolars in Nongrowing Patients With Bimaxillary Protrusion. A systematic review. Angle Orthod. 2010, 80, 211–216. [Google Scholar] [CrossRef]
- Lee, J.K.; Chung, K.R.; Baek, S.H. Treatment outcomes of orthodontic treatment, corticotomy-assisted orthodontic treatment and anterior segmental osteotomy for bimaxillary dentoalveolar protrusion. Plast. Reconstr. Surg. 2007, 120, 1027–1036. [Google Scholar] [CrossRef]
- Park, J.U.; Hwang, Y.-S. Evaluation of the Soft and Hard Tissue Changes After Anterior Segmental Osteotomy on the Maxilla and Mandible. J. Oral Maxillofac. Surg. 2008, 66, 98–103. [Google Scholar] [CrossRef]
- Baik, U.-B.; Han, K.-H.; Yoo, S.-J.; Park, J.-U.; Kook, Y.-A. Combined multisegmental surgical-orthodontic treatment of bialveolar protrusion and chin retrusion with severe facial asymmetry. Am. J. Orthod. Dentofac. Orthop. 2013, 143, S148–S160. [Google Scholar] [CrossRef] [PubMed]
- Hwang, B.-Y.; Choi, B.-J.; Lee, B.-S.; Kwon, Y.-D.; Lee, J.-W.; Jung, J.; Ohe, J.-Y. Comparison between anterior segmental osteotomy versus conventional orthodontic treatment in root resorption: A radiographic study using cone-beam computed tomography. Maxillofac. Plast. Reconstr. Surg. 2017, 39, 34. [Google Scholar] [CrossRef]
- Baek, S.-H.; Kim, B.-H. Determinants of Successful Treatment of Bimaxillary Protrusion: Orthodontic Treatment versus Anterior Segmental Osteotomy. J. Craniofacial Surg. 2005, 16, 234–246. [Google Scholar] [CrossRef]
- Stock, G. Die Chirurgische Immediatre-Gulierung der Keifer, Speziell Die Chirurgische Behandlung der Prognathie; Vjschr Zahnheilk: Berlin, Germany, 1921; Volume 37, p. 320. [Google Scholar]
- Cupar, I. Surgical treatment of alterations in form and positionof the maxilla. Osterreichische Z. Stomatol. 1954, 51, 565. [Google Scholar]
- Wassmund, M. Lehrbuch der Praktischen Chirurgie de Mundes und der Keifer; Verlag Von Hermann Meusser: Berlin, Germany, 1935; pp. 260–282. [Google Scholar]
- Yong, C.; Sng, T.; Quah, B.; Lee, C.; Lim, A.; Wong, R. The role of anterior segmental osteotomies in orthognathic surgery for protrusive faces in a Southeast Asian population: 10-year retrospective data of 51 patients treated in a single centre. Int. J. Oral Maxillofac. Surg. 2023, 52, 468–475. [Google Scholar] [CrossRef] [PubMed]
- Ishida, T.; Yoon, H.S.; Ono, T. Asymmetrical distalization of maxillary molars with zygomatic anchorage, improved superelastic nickel-titanium alloy wires, and open-coil springs. Am. J. Orthod. Dentofac. Orthop. 2013, 144, 583–593. [Google Scholar] [CrossRef] [PubMed]
- Erverdi, N.; Acar, A. Zygomatic anchorage for en masse retraction in the treatment of severe Class II division 1. Angle Orthod. 2005, 75, 483–490. [Google Scholar]
- Kook, Y.-A.; Kim, S.-H.; Chung, K.-R. A modified palatal anchorage plate for simple and efficient distalization. J. Clin. Orthod. JCO 2010, 44, 719. [Google Scholar]
- Kook, Y.-A.; Park, J.H.; Bayome, M.; Jung, C.Y.; Kim, Y.; Kim, S.-H. Application of palatal plate for nonextraction treatment in an adolescent boy with severe overjet. Am. J. Orthod. Dentofac. Orthop. 2017, 152, 859–869. [Google Scholar] [CrossRef] [PubMed]
- Han, S.; Park, J.; Jung, C.; Kook, Y.; Hong, M. Full-step Class II Correction Using a Modified C-palatal Plate for Total Arch Distalization in an Adolescent. J. Clin. Pediatr. Dent. 2018, 42, 307–313. [Google Scholar] [CrossRef]
- Park, J.H.; Kook, Y.-A.; Kim, Y.; Ham, L.K.; Lee, N.-K. Improved facial profile with non-extraction treatment of severe protrusion using TSADs. Semin. Orthod. 2022, 28, 157–163. [Google Scholar] [CrossRef]
- Chang, C. Clinical applications of orthodontic bone screw in Beethoven Orthodontic Center. Int. J. Orthod. Implantol. 2011, 23, 50–51. [Google Scholar]
- Chang, C.; Liu, S.S.; Roberts, W.E. Primary failure rate for 1680 extra-alveolar mandibular buccal shelf mini-screws placed in movable mucosa or attached gingiva. Angle Orthod. 2015, 85, 905–910. [Google Scholar] [CrossRef]
- Park, H.S.; Lee, S.K.; Kwon, O.W. Group distal movement of teeth using micro-screw implant anchorage. Angle Orthod. 2005, 75, 602–609. [Google Scholar]
- Oh, Y.H.; Park, H.S.; Kwon, T.G. Treatment effects of microimplant-aided sliding mechanics on distal retraction of posterior teeth. Am. J. Orthod. Dentofacial Orthop. 2011, 139, 470–481. [Google Scholar] [CrossRef]
- Kapila, S.D.; Nervina, J.M. CBCT in orthodontics: Assessment of treatment outcomes and indications for its use. Dentomaxillofacial Radiol. 2015, 44, 20140282. [Google Scholar] [CrossRef]
- Mangano, F.; Gandolfi, A.; Luongo, G.; Logozzo, S. Intraoral scanners in dentistry: A review of the current literature. BMC Oral Health 2017, 17, 149. [Google Scholar] [CrossRef] [PubMed]
- Bae, M.J.; Kim, J.Y.; Park, J.T.; Cha, J.Y.; Kim, H.J.; Yu, H.S.; Hwang, C.J. Accuracy of miniscrew surgical guides assessed from cone-beam computed tomography and digital models. Am. J. Orthod. Dentofac. Orthop. 2013, 143, 893–901. [Google Scholar] [CrossRef] [PubMed]
- Vasoglou, G.; Stefanidaki, I.; Apostolopoulos, K.; Fotakidou, E.; Vasoglou, M. Accuracy of Mini-Implant Placement Using a Computer-Aided Designed Surgical Guide, with Information of Intraoral Scan and the Use of a Cone-Beam CT. Dent. J. 2022, 10, 104. [Google Scholar] [CrossRef]
- Shahnaz, M.; Maimoona, A.K.; Haslim, A. Applications of 3-Dprinting in orthodontics: A review. Int. J. Sci. Study 2016, 3, 267–270. [Google Scholar]
- Bartkowiak, T.; Walkowiak-Śliziuk, A. 3D printing technology in orthodontics—Review of current applications. J. Stomatol. 2018, 71, 356–364. [Google Scholar] [CrossRef]
- Tartaglia, G.M.; Mapelli, A.; Maspero, C.; Santaniello, T.; Serafin, M.; Farronato, M.; Caprioglio, A. Direct 3D Printing of Clear Orthodontic Aligners: Current State and Future Possibilities. Materials 2021, 14, 1799. [Google Scholar] [CrossRef] [PubMed]
- Tsolakis, I.A.; Gizani, S.; Panayi, N.; Antonopoulos, G.; Tsolakis, A.I. Three-Dimensional Printing Technology in Orthodontics for Dental Models: A Systematic Review. Children 2022, 9, 1106. [Google Scholar] [CrossRef]
- O’Reilly, M.T. Integumental profile changes after surgical orthodontic correction of bimaxillary dentoalveolar protrusion in black patients. Am. J. Orthod. Dentofac. Orthop. 1989, 96, 242–248. [Google Scholar] [CrossRef]
- Kanomi, R. Mini-implant for orthodontic anchorage. J. Clin. Orthod. JCO 1997, 31, 763–767. [Google Scholar]
- Erverdi, N.; Keles, A.; Nanda, R. The use of skeletal anchorage in open bite treatment: A cephalometric evaluation. Angle Orthod. 2004, 74, 381–390. [Google Scholar]
- Melsen, B.; Verna, C. Miniscrew implants: The Aarhus anchorage system. Semin. Orthod. 2005, 11, 24–31. [Google Scholar] [CrossRef]
- Chen, G.; Teng, F.; Xu, T.-M. Distalization of the maxillary and mandibular dentitions with miniscrew anchorage in a patient with moderate Class I bimaxillary dentoalveolar protrusion. Am. J. Orthod. Dentofac. Orthop. 2016, 149, 401–410. [Google Scholar] [CrossRef] [PubMed]
- Shpack, N.; Brosh, T.; Mazor, Y.; Shapinko, Y.; Davidovitch, M.; Sarig, R.; Reimann, S.; Bourauel, C.; Vardimon, A.D. Long- and short-term effects of headgear traction with and without the maxillary second molars. Am. J. Orthod. Dentofac. Orthop. 2014, 146, 467–476. [Google Scholar] [CrossRef] [PubMed]
- Kinzinger, G.S.; Fritz, U.B.; Sander, F.-G.; Diedrich, P.R. Efficiency of a pendulum appliance for molar distalization related to second and third molar eruption stage. Am. J. Orthod. Dentofac. Orthop. 2004, 125, 8–23. [Google Scholar] [CrossRef]
- Poletti, L.; Silvera, A.A.; Ghislanzoni, L.T.H. Dentoalveolar class III treatment using retromolar miniscrew anchorage. Prog. Orthod. 2013, 14, 7. [Google Scholar] [CrossRef]
- Felicita, A.S. A simple three-dimensional stent for proper placement of mini-implant. Prog. Orthod. 2013, 14, 45. [Google Scholar] [CrossRef] [PubMed]
- Suzuki, E.Y.; Suzuki, B. Accuracy of Miniscrew Implant Placement With a 3-Dimensional Surgical Guide. J. Oral Maxillofac. Surg. 2008, 66, 1245–1252. [Google Scholar] [CrossRef] [PubMed]
- Martin, W.; Heffernan, M.; Ruskin, J. Template fabrication for a midpalatal orthodontic implant: Technical note. Int. J. Oral Maxillofac. Implant. 2002, 17, 720–722. [Google Scholar]
- Morea, C.; Dominguez, G.C.; Wuo, A.D.V.; Tortamano, A. Surgical guide for optimal positioning of mini-implants. J. Clin. Orthod. 2005, 39, 317–321. [Google Scholar] [PubMed]
- Yu, J.H.; Wang, Y.T.; Lin, C.L. Customized surgical template fabrication under biomechanical consideration by integrating CBCT image, CAD system and finite element analysis. Dent. Mater. J. 2018, 37, 6–14. [Google Scholar] [CrossRef] [PubMed]
- Wang, Y.T.; Yu, J.H.; Lo, L.J.; Hsu, P.H.; Lin, C.L. Developing Customized Dental Miniscrew Surgical Template from Thermoplastic Polymer Material Using Image Superimposition, CAD System, and 3D Printing. BioMed Res. Int. 2017. [Google Scholar] [CrossRef] [PubMed]
- Vasoglou, G.; Lyros, I.; Patatou, A.; Vasoglou, M. Orthodontic Treatment of Palatally Impacted Maxillary Canines with the Use of a Digitally Designed and 3D-Printed Metal Device. Dent. J. 2023, 11, 102. [Google Scholar] [CrossRef]
- Merrett, S.J.; Drage, N.A.; Durning, P. Cone beam computed tomography: A useful tool in orthodontic diagnosis and treatment planning. J. Orthod. 2009, 36, 202–210. [Google Scholar] [CrossRef] [PubMed]
- De Grauwe, A.; Ayaz, I.; Shujaat, S.; Dimitrov, S.; Gbadegbegnon, L.; Vannet, B.V.; Jacobs, R. CBCT in orthodontics: A systematic review on justification of CBCT in a paediatric population prior to orthodontic treatment. Eur. J. Orthod. 2018, 41, 381–389. [Google Scholar] [CrossRef]
- Alqerban, A.; Jacobs, R.; Lambrechts, P.; Loozen, G.; Willems, G. Root resorption of the maxillary lateral incisor caused by impacted canine: A literature review. Clin. Oral Investig. 2009, 13, 247–255. [Google Scholar] [CrossRef] [PubMed]
- Scarfe, W.C.; Azevedo, B.; Toghyani, S.; Farman, A.G. Cone Beam Computed Tomographic imaging in orthodontics. Aust. Dent. J. 2017, 62 (Suppl. 1), 33–50. [Google Scholar] [CrossRef]
- El, A.S.; El, H.; Palomo, J.M.; Baur, D.A. A 3-dimensional airway analysis of an obstructive sleep apnea surgical correction with cone beam computed tomography. J. Oral Maxillofac. Surg. 2011, 69, 2424–2436. [Google Scholar] [CrossRef] [PubMed]













| Measurement | Mean ± SD | Pretreatment | Posttreatment |
|---|---|---|---|
| 1. SNA (°) | 81 ± 3 | 88.1 | 89 |
| 2. SNB (°) | 78 ± 3 | 83 | 84.2 |
| 3. ANB (°) | 3 ± 2 | 5.1 | 4.9 |
| 4. Wits (mm) | 1 ± 2.9 | 0.1 | 0.8 |
| 5. GoGN/SN (°) | 32.5 ± 5.2 | 27.1 | 25.8 |
| 6. U1/PP (°) | 109 ± 6 | 125.9 | 117.1 |
| 7. L1/MP (°) | 93 ± 6 | 110.8 | 94.5 |
| 8. Interincisal angle (°) | 135 ± 10 | 104.6 | 130.2 |
| 9. Labionasal angle (°) | 95.96 ± 2.57 | 106.6 | 99 |
Disclaimer/Publisher’s Note: The statements, opinions and data contained in all publications are solely those of the individual author(s) and contributor(s) and not of MDPI and/or the editor(s). MDPI and/or the editor(s) disclaim responsibility for any injury to people or property resulting from any ideas, methods, instructions or products referred to in the content. |
© 2023 by the authors. Licensee MDPI, Basel, Switzerland. This article is an open access article distributed under the terms and conditions of the Creative Commons Attribution (CC BY) license (https://creativecommons.org/licenses/by/4.0/).
Share and Cite
Vasoglou, G.; Patatou, A.; Vasoglou, M. Bimaxillary Dentoalveolar Protrusion Case Treated with Anchorage by Buccally Implemented Mini-Implants Using a 3D-Printed Surgical Guide. Children 2023, 10, 879. https://doi.org/10.3390/children10050879
Vasoglou G, Patatou A, Vasoglou M. Bimaxillary Dentoalveolar Protrusion Case Treated with Anchorage by Buccally Implemented Mini-Implants Using a 3D-Printed Surgical Guide. Children. 2023; 10(5):879. https://doi.org/10.3390/children10050879
Chicago/Turabian StyleVasoglou, Georgios, Athanasia Patatou, and Michail Vasoglou. 2023. "Bimaxillary Dentoalveolar Protrusion Case Treated with Anchorage by Buccally Implemented Mini-Implants Using a 3D-Printed Surgical Guide" Children 10, no. 5: 879. https://doi.org/10.3390/children10050879
APA StyleVasoglou, G., Patatou, A., & Vasoglou, M. (2023). Bimaxillary Dentoalveolar Protrusion Case Treated with Anchorage by Buccally Implemented Mini-Implants Using a 3D-Printed Surgical Guide. Children, 10(5), 879. https://doi.org/10.3390/children10050879
