Beneficial Perioperative Aspects Favor the Use of Percutaneous Crossed Pinning over Antegrade Nailing in Pediatric Supracondylar Fractures—A Retrospective Comparative Study
Abstract
1. Introduction
2. Materials and Methods
2.1. Statistical Analysis
2.2. Surgical Technique
2.2.1. Closed Reduction
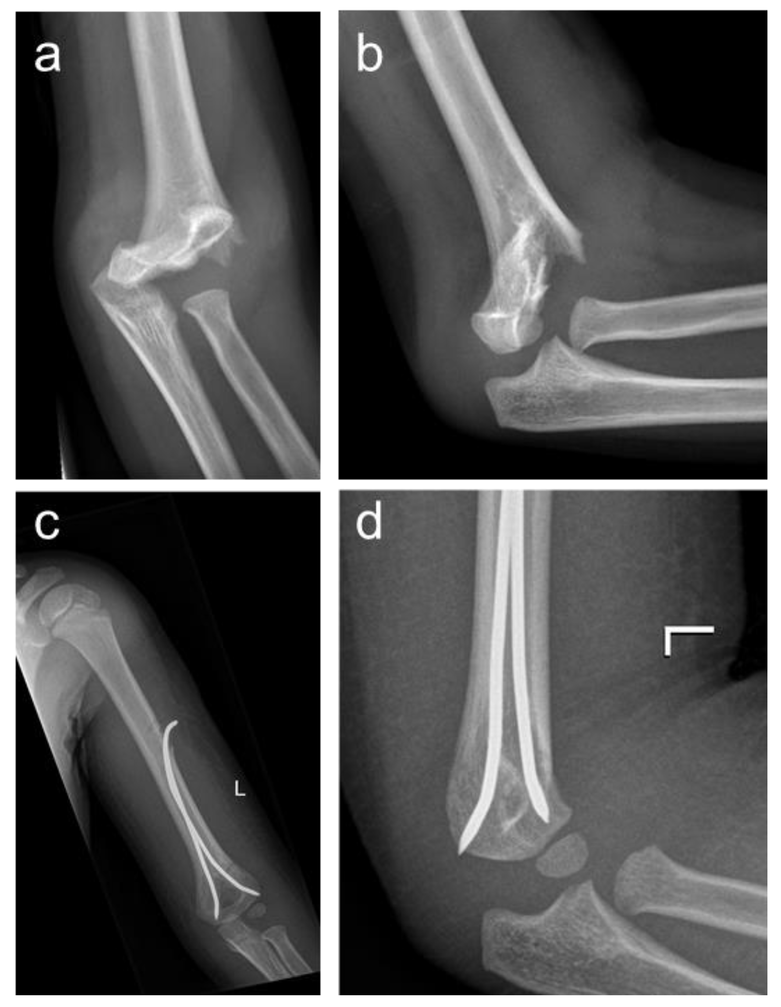
2.2.2. Retention by Antegrade Nailing (AN)
2.2.3. Retention by Percutaneous crossed Pinning (PCP)
3. Results
3.1. Study Population
3.2. Preoperative Nerve Lesions
3.3. Surgery Duration and Radiation Exposure
3.4. Postoperative Nerve Lesions
3.5. Postoperative Malrotation
3.6. Rehabilitation Protocol and Cast Removal
3.7. Revision Surgery
3.8. Implant Removal
4. Discussion
5. Conclusions
Author Contributions
Funding
Institutional Review Board Statement
Informed Consent Statement
Data Availability Statement
Conflicts of Interest
References
- Omid, R.; Choi, P.D.; Skaggs, D.L. Supracondylar humeral fractures in children. J. Bone Jt. Surg. Am. 2008, 90, 1121–1132. [Google Scholar] [CrossRef] [PubMed]
- Schalamon, J.; Dampf, S.; Singer, G.; Ainoedhofer, H.; Petnehazy, T.; Hoellwarth, M.E.; Saxena, A.K. Evaluation of fractures in children and adolescents in a Level I Trauma Center in Austria. J. Trauma 2011, 71, E19–E25. [Google Scholar] [CrossRef] [PubMed]
- Okubo, H.; Nakasone, M.; Kinjo, M.; Onaka, K.; Futenma, C.; Kanaya, F. Epidemiology of paediatric elbow fractures: A retrospective multi-centre study of 488 fractures. J. Child. Orthop. 2019, 13, 516–521. [Google Scholar] [CrossRef]
- Gartland, J.J. Management of supracondylar fractures of the humerus in children. Surg. Gynecol. Obstet. 1959, 109, 145–154. [Google Scholar]
- Leitch, K.K.; Kay, R.M.; Femino, J.D.; Tolo, V.T.; Storer, S.K.; Skaggs, D.L. Treatment of multidirectionally unstable supracondylar humeral fractures in children. A modified Gartland type-IV fracture. J. Bone Jt. Surg. Am. 2006, 88, 980–985. [Google Scholar] [CrossRef]
- Blount, W.P. Fractures in Children; Williams & Wilkins Co.: Baltimore, MD, USA, 1955. [Google Scholar]
- Mulpuri, K.; Wilkins, K. The treatment of displaced supracondylar humerus fractures: Evidence-based guideline. J. Pediatr. Orthop. 2012, 32 (Suppl. S2), S143–S152. [Google Scholar] [CrossRef]
- Singer, G.; Kraus, T.; Ruttenstock, E.M.; Ferlic, P.; Eberl, R. Antegrade nailing can prevent cubitus varus and valgus after pediatric supracondylar fractures with impacted columns. J. Orthop. Trauma 2013, 27, e285–e290. [Google Scholar] [CrossRef]
- Lyons, J.P.; Ashley, E.; Hoffer, M.M. Ulnar nerve palsies after percutaneous cross-pinning of supracondylar fractures in children’s elbows. J. Pediatr. Orthop. 1998, 18, 43–45. [Google Scholar] [CrossRef] [PubMed]
- Piton, C.; Laville, J.M. Ulnar nerve palsy after percutaneous crossed pinning of supracondylar fractures of the humerus in children. Rev. Chir. Orthop. Reparatrice Appar. Mot. 1993, 79, 415–417. [Google Scholar]
- Weinberg, A.M.; von Bismarck, S.; Castellani, C.; Mayr, J. Descending intramedullary nailing for the treatment of displaced supracondylar humeral fractures in children. Chirurg 2003, 74, 432–436. [Google Scholar] [CrossRef]
- Prevot, J.; Lascombes, P.; Metaizeau, J.P.; Blanquart, D. Supracondylar fractures of the humerus in children: Treatment by downward nailing. Rev. Chir. Orthop. Reparatrice Appar. Mot. 1990, 76, 191–197. [Google Scholar]
- Eberl, R.; Eder, C.; Smolle, E.; Weinberg, A.M.; Hoellwarth, M.E.; Singer, G. Iatrogenic ulnar nerve injury after pin fixation and after antegrade nailing of supracondylar humeral fractures in children. Acta Orthop. 2011, 82, 606–609. [Google Scholar] [CrossRef] [PubMed]
- Lacher, M.; Schaeffer, K.; Boehm, R.; Dietz, H.G. The treatment of supracondylar humeral fractures with elastic stable intramedullary nailing (ESIN) in children. J. Pediatr. Orthop. 2011, 31, 33–38. [Google Scholar] [CrossRef] [PubMed]
- Schäffer, K.; Böhm, R.; Dietz, H.G. Elastic stable intramedullary nailing (ESIN) of supracondylar fractures of the humerus in children. Unfallchirurg 2007, 110, 852–858. [Google Scholar] [CrossRef] [PubMed]
- Weinberg, A.M.; Castellani, C.; Arzdorf, M.; Schneider, E.; Gasser, B.; Linke, B. Osteosynthesis of supracondylar humerus fractures in children: A biomechanical comparison of four techniques. Clin. Biomech. 2007, 22, 502–509. [Google Scholar] [CrossRef]
- von Laer, L. The supracondylar fracture of the humerus in children (author’s transl). Arch. Orthop. Trauma Surg. 1979, 95, 123–140. [Google Scholar] [CrossRef]
- Greve, F.; Müller, M.; Wurm, M.; Biberthaler, P.; Singer, G.; Till, H.; Wegmann, H. Standalone Axial Malrotation after Pediatric Supracondylar Fracture Does Not Seem to Be an Indication for Immediate Postoperative Revision Surgery. Children 2022, 9, 1013. [Google Scholar] [CrossRef]
- Brauer, C.A.; Lee, B.M.; Bae, D.S.; Waters, P.M.; Kocher, M.S. A systematic review of medial and lateral entry pinning versus lateral entry pinning for supracondylar fractures of the humerus. J. Pediatr. Orthop. 2007, 27, 181–186. [Google Scholar] [CrossRef]
- Kocher, M.S.; Kasser, J.R.; Waters, P.M.; Bae, D.; Snyder, B.D.; Hresko, M.T.; Hedequist, D.; Karlin, L.; Kim, Y.J.; Murray, M.M.; et al. Lateral entry compared with medial and lateral entry pin fixation for completely displaced supracondylar humeral fractures in children: A randomized clinical trial. J. Bone Jt. Surg. Am. 2007, 89, 706–712. [Google Scholar] [CrossRef]
- Reisoglu, A.; Kazimoglu, C.; Hanay, E.; Agus, H. Is pin configuration the only factor causing loss of reduction in the management of pediatric type III supracondylar fractures? Acta Orthop. Traumatol. Turc. 2017, 51, 34–38. [Google Scholar] [CrossRef]
- Davis, R.T.; Gorczyca, J.T.; Pugh, K. Supracondylar humerus fractures in children. Comparison of operative treatment methods. Clin. Orthop. Relat. Res. 2000, 376, 49–55. [Google Scholar] [CrossRef]
- Zamzam, M.M.; Bakarman, K.A. Treatment of displaced supracondylar humeral fractures among children: Crossed versus lateral pinning. Injury 2009, 40, 625–630. [Google Scholar] [CrossRef] [PubMed]
- Ramachandran, M.; Birch, R.; Eastwood, D.M. Clinical outcome of nerve injuries associated with supracondylar fractures of the humerus in children: The experience of a specialist referral centre. J. Bone Jt. Surg. Br. 2006, 88, 90–94. [Google Scholar] [CrossRef] [PubMed]
- Ippolito, E.; Caterini, R.; Scola, E. Supracondylar fractures of the humerus in children. Analysis at maturity of fifty-three patients treated conservatively. J. Bone Jt. Surg. Am. 1986, 68, 333–344. [Google Scholar] [CrossRef]
- McGraw, J.J.; Akbarnia, B.A.; Hanel, D.P.; Keppler, L.; Burdge, R.E. Neurological complications resulting from supracondylar fractures of the humerus in children. J. Pediatr. Orthop. 1986, 6, 647–650. [Google Scholar] [CrossRef] [PubMed]
- Yen, Y.M.; Kocher, M.S. Lateral entry compared with medial and lateral entry pin fixation for completely displaced supracondylar humeral fractures in children. Surgical technique. J. Bone Jt. Surg. Am. 2008, 90 (Suppl. S2), 20–30. [Google Scholar] [CrossRef] [PubMed]
- Eidelman, M.; Hos, N.; Katzman, A.; Bialik, V. Prevention of ulnar nerve injury during fixation of supracondylar fractures in children by ‘flexion-extension cross-pinning’ technique. J. Pediatr. Orthop. B 2007, 16, 221–224. [Google Scholar] [CrossRef]
- Campbell, C.C.; Waters, P.M.; Emans, J.B.; Kasser, J.R.; Millis, M.B. Neurovascular injury and displacement in type III supracondylar humerus fractures. J. Pediatr. Orthop. 1995, 15, 47–52. [Google Scholar] [CrossRef]
- Marson, B.A.; Ikram, A.; Craxford, S.; Lewis, S.R.; Price, K.R.; Ollivere, B.J. Interventions for treating supracondylar elbow fractures in children. Cochrane Database Syst. Rev. 2022, 6, CD013609. [Google Scholar]
- Radaideh, A.M.; Rusan, M.; Obeidat, O.; Al-Nusair, J.; Albustami, I.S.; Mohaidat, Z.M.; Sunallah, A.W. Functional and radiological outcomes of different pin configuration for displaced pediatric supracondylar humeral fracture: A retrospective cohort study. World J. Orthop. 2022, 13, 250–258. [Google Scholar] [CrossRef]
- Afaque, S.F.; Singh, A.; Maharjan, R.; Ranjan, R.; Panda, A.K.; Mishra, A. Comparison of clinic-radiological outcome of cross pinning versus lateral pinning for displaced supracondylar fracture of humerus in children: A randomized controlled trial. J. Clin. Orthop. Trauma 2020, 11, 259–263. [Google Scholar] [CrossRef] [PubMed]
- Zionts, L.E.; McKellop, H.A.; Hathaway, R. Torsional Strength of Pin Configurations Used to Fix Supracondylar Fractures of the Humerus in Children. J. Bone Jt. Surg.-Am. Vol. 1994, 76, 253–256. [Google Scholar] [CrossRef] [PubMed]
- Basaran, S.H.; Ercin, E.; Bayrak, A.; Bilgili, M.G.; Kizilkaya, C.; Dasar, U.; Avkan, M.C. The outcome and parents-based cosmetic satisfaction following fixation of paediatric supracondylar humerus fractures treated by closed method with or without small medial incision. SpringerPlus 2016, 5, 174. [Google Scholar] [CrossRef] [PubMed]



| Antegrade Nailing (AN) | Percutaneous Crossed Pinning (PCP) | |
|---|---|---|
| Patients | n = 173, 63.8% | n = 98, 36.2% |
| Age (years) | 5 (IQR 4–6) | 6 (IQR 4–7) |
| Gender (m:f) | n = 92, 53.2% n = 81, 46.8% | n = 55, 56.1% n = 43, 43.9% |
| Gartland (2/3) | 2:n = 27, 22.9% 3:n = 91, 77.1% | 2:n = 13, 17.6% 3:n = 61, 82.4% |
| Follow-up (months) | 2 (IQR 1–4) | 3.5 (IQR 2–5) |
| AN | PCP | p-Value | |
|---|---|---|---|
| Duration of surgery (min) | 48.3 ± 25.2 (19–150) | 32.2 ± 22.6 (5–125) | <0.01 |
| Fluoroscopy time (min), available in n = 247 | 1.5 ± 1.3 (0.1–7.1) | 1.1 ± 1.3 (0.1–8.1) | <0.01 |
| DAP (cGycm2), available in n = 169 | 34.7 ± 39.2 (2.4–223) | 20.1 ± 21.8 (0.3–152) | <0.01 |
| Localization of Iatrogenic Nerve Injury | Total | |||||
|---|---|---|---|---|---|---|
| Median Nerve | Radial Nerve | Ulnar Nerve | Median + Radial Nerve | Median + Ulnar Nerve | ||
| PCP (n) | 5 | 0 | 18 | 0 | 1 | 24 |
| AN (n) | 5 | 4 | 3 | 1 | 1 | 14 |
| p-value (Total Lesions PCP vs. AN): | - | - | - | - | - | <0.01 |
| Total (n) | 10 | 4 | 21 | 1 | 2 | 38 |
Disclaimer/Publisher’s Note: The statements, opinions and data contained in all publications are solely those of the individual author(s) and contributor(s) and not of MDPI and/or the editor(s). MDPI and/or the editor(s) disclaim responsibility for any injury to people or property resulting from any ideas, methods, instructions or products referred to in the content. |
© 2023 by the authors. Licensee MDPI, Basel, Switzerland. This article is an open access article distributed under the terms and conditions of the Creative Commons Attribution (CC BY) license (https://creativecommons.org/licenses/by/4.0/).
Share and Cite
Greve, F.; Biberthaler, P.; Castellani, C.; Singer, G.; Till, H.; Wegmann, H. Beneficial Perioperative Aspects Favor the Use of Percutaneous Crossed Pinning over Antegrade Nailing in Pediatric Supracondylar Fractures—A Retrospective Comparative Study. Children 2023, 10, 830. https://doi.org/10.3390/children10050830
Greve F, Biberthaler P, Castellani C, Singer G, Till H, Wegmann H. Beneficial Perioperative Aspects Favor the Use of Percutaneous Crossed Pinning over Antegrade Nailing in Pediatric Supracondylar Fractures—A Retrospective Comparative Study. Children. 2023; 10(5):830. https://doi.org/10.3390/children10050830
Chicago/Turabian StyleGreve, Frederik, Peter Biberthaler, Christoph Castellani, Georg Singer, Holger Till, and Helmut Wegmann. 2023. "Beneficial Perioperative Aspects Favor the Use of Percutaneous Crossed Pinning over Antegrade Nailing in Pediatric Supracondylar Fractures—A Retrospective Comparative Study" Children 10, no. 5: 830. https://doi.org/10.3390/children10050830
APA StyleGreve, F., Biberthaler, P., Castellani, C., Singer, G., Till, H., & Wegmann, H. (2023). Beneficial Perioperative Aspects Favor the Use of Percutaneous Crossed Pinning over Antegrade Nailing in Pediatric Supracondylar Fractures—A Retrospective Comparative Study. Children, 10(5), 830. https://doi.org/10.3390/children10050830

