Posterior Reversible Encephalopathy Syndrome in a Pediatric Patient with End-Stage Renal Disease
Abstract
1. Introduction
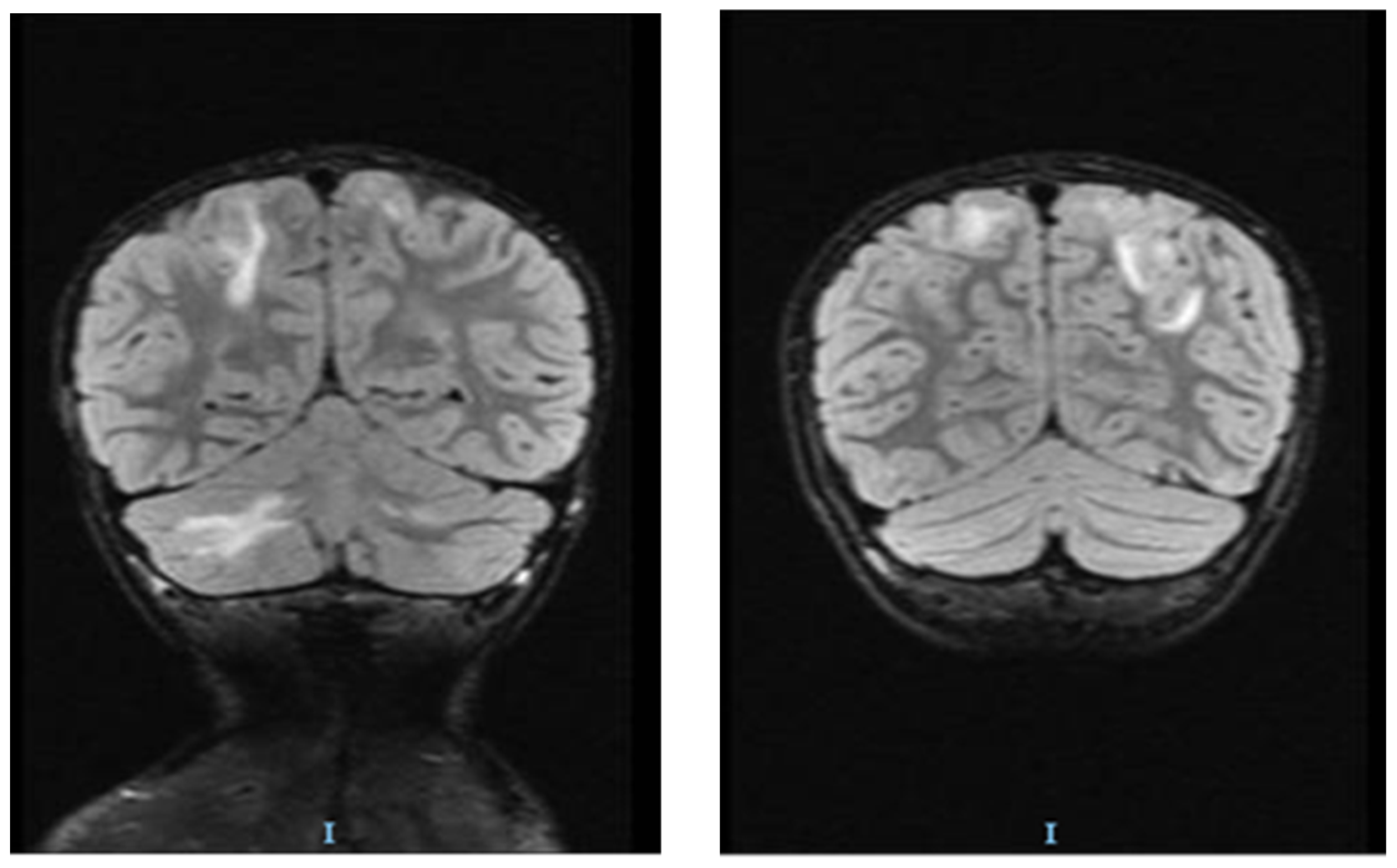
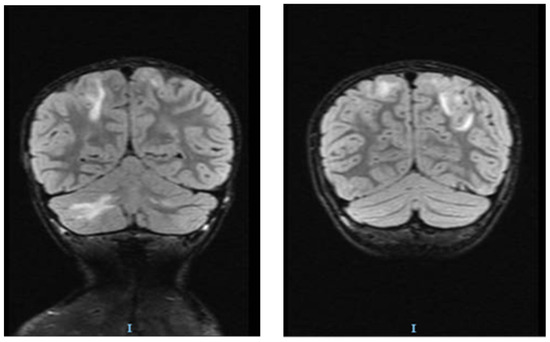
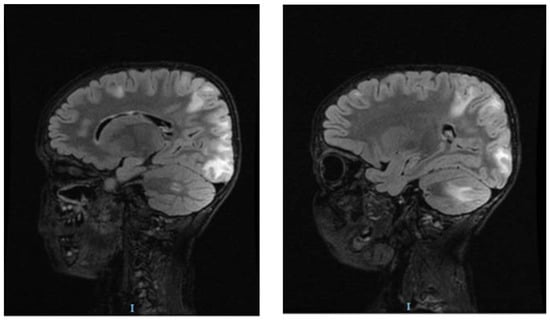
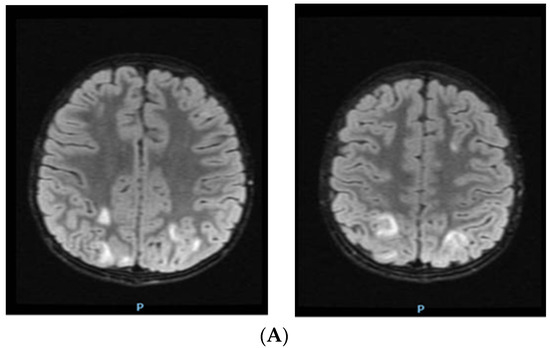
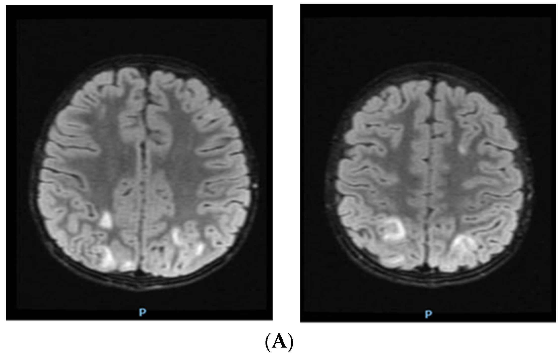
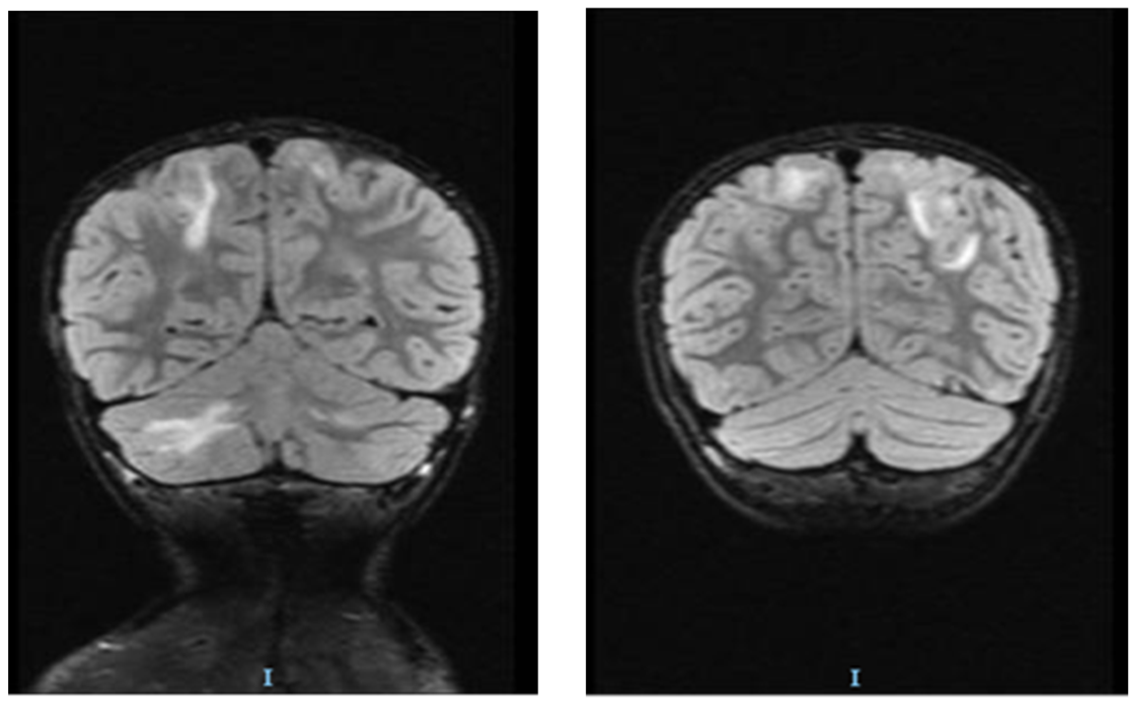
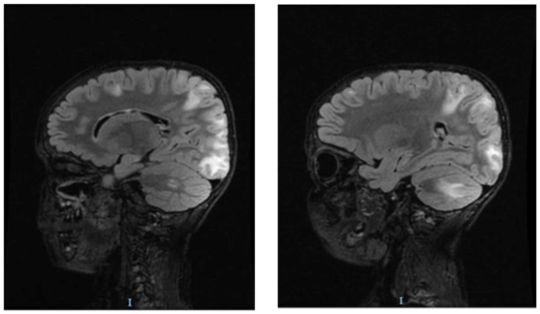
2. Case Report
3. Discussion
4. Conclusions
Author Contributions
Funding
Institutional Review Board Statement
Informed Consent Statement
Data Availability Statement
Acknowledgments
Conflicts of Interest
References
- Hinduja, A. Posterior Reversible Encephalopathy Syndrome: Clinical Features and Outcome. Front. Neurol. 2020, 11, 71. [Google Scholar] [CrossRef] [PubMed]
- Parasher, A.; Jhamb, R. Posterior reversible encephalopathy syndrome (PRES): Presentation, diagnosis and treatment. Postgrad. Med. J. 2020, 96, 623–628. [Google Scholar] [CrossRef] [PubMed]
- Tetsuka, S.; Ogawa, T. Posterior reversible encephalopathy syndrome: A review with emphasis on neuroimaging characteristics. J. Neurol. Sci. 2019, 404, 72–79. [Google Scholar] [CrossRef] [PubMed]
- Thavamani, A.; Umapathi, K.K.; Puliyel, M.; Super, D.; Allareddy, V.; Ghori, A. Epidemiology, Comorbidities, and outcomes of pos-terior reversible encephalopathy syndrome in children in the United States. Pediatr. Neurol. 2020, 103, 21–26. [Google Scholar] [CrossRef]
- Legriel, S.; Pico, F.; Azoulay, E. Understanding Posterior Reversible Encephalopathy Syndrome. In Annual Update in Intensive Care and Emergency Medicine; Vincent, J.L., Ed.; Springer: Berlin/Heidelberg, Germany, 2011; pp. 631–653. [Google Scholar] [CrossRef]
- Korkmazer, B.; Ozogul, M.; Hikmat, E.; Kilic, H.; Aygun, F.; Arslan, S.; Kizilkilic, O.; Kocer, N. Posterior Reversible Encephalopathy Syndrome in a Pediatric COVID-19 Patient. Pediatr. Infect. Dis. J. 2021, 40, e240–e242. [Google Scholar] [CrossRef]
- Sano, H.; Yamazaki, T.; Kudo, E.; Hatakeyama, K.; Ito, T. Posterior reversible encephalopathy syndrome associated with mild COVID-19 infection in a 9-year-old child: A case report and literature review. Idcases 2023, 31, e01699. [Google Scholar] [CrossRef]
- Thust, S.C.; Burke, C.; Siddiqui, A. Neuroimaging findings in sickle cell disease. Br. J. Radiol. 2014, 87, 20130699. [Google Scholar] [CrossRef]
- Merola, J.; Magdum, S. An unusual complication following ventriculoperitoneal shunting. J. Pediatr. Neurosci. 2017, 12, 61–63. [Google Scholar] [CrossRef]
- Jayaweera, J.L.; Withana, M.R.; Dalpatadu, C.K.; Beligaswatta, C.D.; Rajapakse, T.; Jayasinghe, S.; Chang, T. Cyclophosphamide-induced posterior reversible encephalopathy syndrome (PRES): A case report. J. Med. Case Rep. 2014, 8, 442. [Google Scholar] [CrossRef]
- Stübgen, J.-P. Posterior reversible encephalopathy syndrome (PRES) after granulocyte-colony stimulating factor (G-CSF) therapy: A report of 2 cases. J. Neurol. Sci. 2012, 321, 35–38. [Google Scholar] [CrossRef]
- Fugate, J.E.; Claassen, D.O.; Cloft, H.J.; Kallmes, D.F.; Kozak, O.S.; Rabinstein, A.A. Posterior Reversible Encephalopathy Syndrome: Associated Clinical and Radiologic Findings. Mayo Clin. Proc. 2010, 85, 427–432. [Google Scholar] [CrossRef] [PubMed]
- Bandyopadhyay, S.; Mondal, K.K.; Das, S.; Gupta, A.; Biswas, J.; Bhattacharyya, S.K.; Biswas, G. Reversible cortical blindness: Posterior reversible encephalopathy syndrome. J. Indian Med. Assoc. 2010, 108, 778–780. [Google Scholar] [PubMed]
- Sudulagunta, S.R.; Sodalagunta, M.B.; Kumbhat, M.; Nataraju, A.S. Posterior reversible encephalopathy syndrome (PRES). Oxf. Med. Case Rep. 2017, 2017, omx011. [Google Scholar] [CrossRef] [PubMed]
- Ergün, T.; Lakadamyali, H.; Yilmaz, A. Recurrent posterior reversible encephalopathy syndrome in a hypertensive patient with end-stage renal disease. Diagn. Interv. Radiol. 2008, 14, 182. [Google Scholar]
- Girişgen, I.; Tosun, A.; Sönmez, F.; Ozsunar, Y. Recurrent and atypical posterior reversible encephalopathy syndrome in a child with peritoneal dialysis. Turk. J. Pediatr. 2010, 52, 416–419. [Google Scholar] [PubMed]
- Raj, S.; Overby, P.; Erdfarb, A.; Ushay, H.M. Posterior Reversible Encephalopathy Syndrome: Incidence and Associated Factors in a Pediatric Critical Care Population. Pediatr. Neurol. 2013, 49, 335–339. [Google Scholar] [CrossRef]
- Fugate, J.E.; Rabinstein, A.A. Posterior reversible encephalopathy syndrome: Clinical and radiological manifestations, pathophysiology, and outstanding questions. Lancet Neurol. 2015, 14, 914–925. [Google Scholar] [CrossRef]
- Granata, G.; Greco, A.; Iannella, G.; Granata, M.; Manno, A.; Savastano, E.; Magliulo, G. Posterior reversible encephalopathy syndrome—Insight into pathogenesis, clinical variants and treatment approaches. Autoimmun. Rev. 2015, 14, 830–836. [Google Scholar] [CrossRef] [PubMed]
- Bucharles, S.G.E.; Wallbach, K.K.; de Moraes, T.P.; Pecoits-Filho, R. Hypertension in patients on dialysis: Diagnosis, mechanisms, and management. Braz. J. Nephrol. 2019, 41, 400–411. [Google Scholar] [CrossRef]
- Marra, A.; Vargas, M.; Striano, P.; Del Guercio, L.; Buonanno, P.; Servillo, G. Posterior reversible encephalopathy syndrome: The endothelial hypotheses. Med. Hypotheses 2014, 82, 619–622. [Google Scholar] [CrossRef]
- Chen, T.-H.; Lin, W.-C.; Tseng, Y.-H.; Tseng, C.-M.; Chang, T.-T.; Lin, T.-J. Posterior reversible encephalopathy syndrome in children: Case series and systematic review. J. Child Neurol. 2013, 28, 1378–1386. [Google Scholar] [CrossRef]
- Cordelli, D.M.; Masetti, R.; Bernardi, B.; Barcia, G.; Gentile, V.; Biagi, C.; Prete, A.; Pession, A.; Franzoni, E. Status epilepticus as a main manifestation of posterior reversible encephalopathy syndrome after pediatric hematopoietic stem cell transplantation. Pediatr. Blood Cancer 2011, 58, 785–790. [Google Scholar] [CrossRef]
- Williams, B.; Mancia, G.; Spiering, W.; Agabiti Rosei, E.; Azizi, M.; Burnier, M.; Clement, D.L.; Coca, A.; De Simone, G.; Dominiczak, A.; et al. 2018 ESC/ESH guidelines for the management of arterial hypertension: The task force for the management of arterial hypertension of the European Society of cardiology and the European Society of hypertension: The task force for the management of arterial hypertension of the European Society of cardiology and the European Society of hypertension. J. Hypertens. 2018, 36, 1953–2041. [Google Scholar] [CrossRef]
- Ducros, A.; Boukobza, M.; Porcher, R.; Sarov, M.; Valade, D.; Bousser, M.-G. The clinical and radiological spectrum of reversible cerebral vasoconstriction syndrome. A prospective series of 67 patients. Brain 2007, 130, 3091–3101. [Google Scholar] [CrossRef] [PubMed]
- Singhal, A.B.; Hajj-Ali, R.A.; Topcuoglu, M.A.; Fok, J.; Bena, J.; Yang, D.; Calabrese, L.H. Reversible cerebral vasoconstriction syndromes: Analysis of 139 cases. Arch. Neurol. 2011, 68, 1005–1012. [Google Scholar] [CrossRef] [PubMed]
- Casey, S.O.; Sampaio, R.C.; Michel, E.; Truwit, C.L. Posterior Reversible Encephalopathy Syndrome: Utility of Fluid-attenuated Inversion Recovery MR Imaging in the Detection of Cortical and Subcortical Lesions. Am. J. Neuroradiol. 2000, 21, 1199–1206. [Google Scholar]
- Bartynski, W.S.; Boardman, J.F. Distinct imaging patterns and lesion distribution in posterior reversible encephalopathy syndrome. AJNR Am. J. Neuroradiol. 2020, 34, 1764–1768. [Google Scholar] [CrossRef]
- Sweany, J.M.; Bartynski, W.S.; Boardman, J.F. “Recurrent” posterior reversible encephalopathy syndrome: Report of 3 cases PRES can strike twice! J. Comput. Assist. Tomog. 2007, 31, 148–156. [Google Scholar] [CrossRef]
- Onder, A.M.; Lopez, R.; Teomete, U.; Francoeur, D.; Bhatia, R.; Knowbi, O.; Hizaji, R.; Chandar, J.; Abitbol, C.; Zilleruelo, G. Posterior reversible encephalopathy syndrome in the pediatric renal population. Pediatr. Nephrol. 2007, 22, 1921–1929. [Google Scholar] [CrossRef]
- Chen, Z.; Zhang, G.; Lerner, A.; Wang, A.-H.; Gao, B.; Liu, J. Risk factors for poor outcome in posterior reversible encephalopathy syndrome: Systematic review and meta-analysis. Quant. Imaging Med. Surg. 2018, 8, 421–432. [Google Scholar] [CrossRef] [PubMed]
- Siebert, E.; Bohner, G.; Liebig, T.; Endres, M.; Liman, T.G. Factors associated with fatal outcome in posterior reversible encephalopathy syndrome: A retrospective analysis of the Berlin PRES study. J. Neurol. 2016, 264, 237–242. [Google Scholar] [CrossRef] [PubMed]
- Alhilali, L.M.; Reynolds, A.R.; Fakhran, S. A multi-disciplinary model of risk factors for fatal outcome in posterior reversible encephalopathy syndrome. J. Neurol. Sci. 2014, 347, 59–65. [Google Scholar] [CrossRef] [PubMed]




| Parameters | Results | References |
|---|---|---|
| Kidney Function | ||
| Serum creatinine | 8.14 mg/dL | 0.3–0.7 mg/dL |
| Serum urea | 203 mg/dL | 5–20 mg/dL |
| Uric acid | 7.3 mg/dL | <6 mg/dL |
| BUN | 94.74 mg/dL | |
| BUN—nitrogen content of urea | ||
| Parameters | Results | References |
|---|---|---|
| Cardiac Enzymes | ||
| NT-proBNP | 9176 pg/mL | <125 pg/mL |
| CK-MB | 19 U/L | 5–25 U/L |
| CK | 531 UI/L | <250 U/L |
| Parameters | Results | References |
|---|---|---|
| Ionic calcium | 2.0 mg/dL | 3.8–5.6 mg/dL |
| Serum calcium | 4.33 mg/dL | 8.8–10.8. mg/dL |
| Serum phosphate | 8.41 mg/dL | 3.1–5.5 mg/dL |
| PTH | 1172 pg/mL | 14–65 pg/mL |
| Vitamin D | 10.6 ng/mL | ≥30 ng/mL |
| PTH—parathyroid hormone. |
| Thyroid Function | ||
|---|---|---|
| freeT3 | 1.05 pg/mL | 2.53–5.22 pg/mL |
| freeT4 | 0.24 ng/mL | 0.97–1.67 ng/mL |
| T3 | 0.2 pg/mL | 0.93–2.31 pg/mL |
| T4 | 0.31 ng/mL | 5.99–13.8 ng/mL |
| TSH | 2243 mIU/L | 0.6–4.84 mIU/L |
| TPO | 11.8 U/mL | 0.00–18 U/mL |
Disclaimer/Publisher’s Note: The statements, opinions and data contained in all publications are solely those of the individual author(s) and contributor(s) and not of MDPI and/or the editor(s). MDPI and/or the editor(s) disclaim responsibility for any injury to people or property resulting from any ideas, methods, instructions or products referred to in the content. |
© 2023 by the authors. Licensee MDPI, Basel, Switzerland. This article is an open access article distributed under the terms and conditions of the Creative Commons Attribution (CC BY) license (https://creativecommons.org/licenses/by/4.0/).
Share and Cite
Popa, I.-L.; Bălgrădean, M.; Costin, M.; Bobircă, A.; Bologa, C.; Armășelu, T.; Bobircă, F.; Croitoru, A. Posterior Reversible Encephalopathy Syndrome in a Pediatric Patient with End-Stage Renal Disease. Children 2023, 10, 731. https://doi.org/10.3390/children10040731
Popa I-L, Bălgrădean M, Costin M, Bobircă A, Bologa C, Armășelu T, Bobircă F, Croitoru A. Posterior Reversible Encephalopathy Syndrome in a Pediatric Patient with End-Stage Renal Disease. Children. 2023; 10(4):731. https://doi.org/10.3390/children10040731
Chicago/Turabian StylePopa, Ionela-Loredana, Mihaela Bălgrădean, Mariana Costin, Anca Bobircă, Cristina Bologa, Teodora Armășelu, Florin Bobircă, and Anca Croitoru. 2023. "Posterior Reversible Encephalopathy Syndrome in a Pediatric Patient with End-Stage Renal Disease" Children 10, no. 4: 731. https://doi.org/10.3390/children10040731
APA StylePopa, I.-L., Bălgrădean, M., Costin, M., Bobircă, A., Bologa, C., Armășelu, T., Bobircă, F., & Croitoru, A. (2023). Posterior Reversible Encephalopathy Syndrome in a Pediatric Patient with End-Stage Renal Disease. Children, 10(4), 731. https://doi.org/10.3390/children10040731

