Longevity of Aesthetic Fixed Space Maintainers in the Anterior Area of the Pediatric Dental Patient
Abstract
:1. Introduction
2. Materials and Methods
2.1. Data Collection
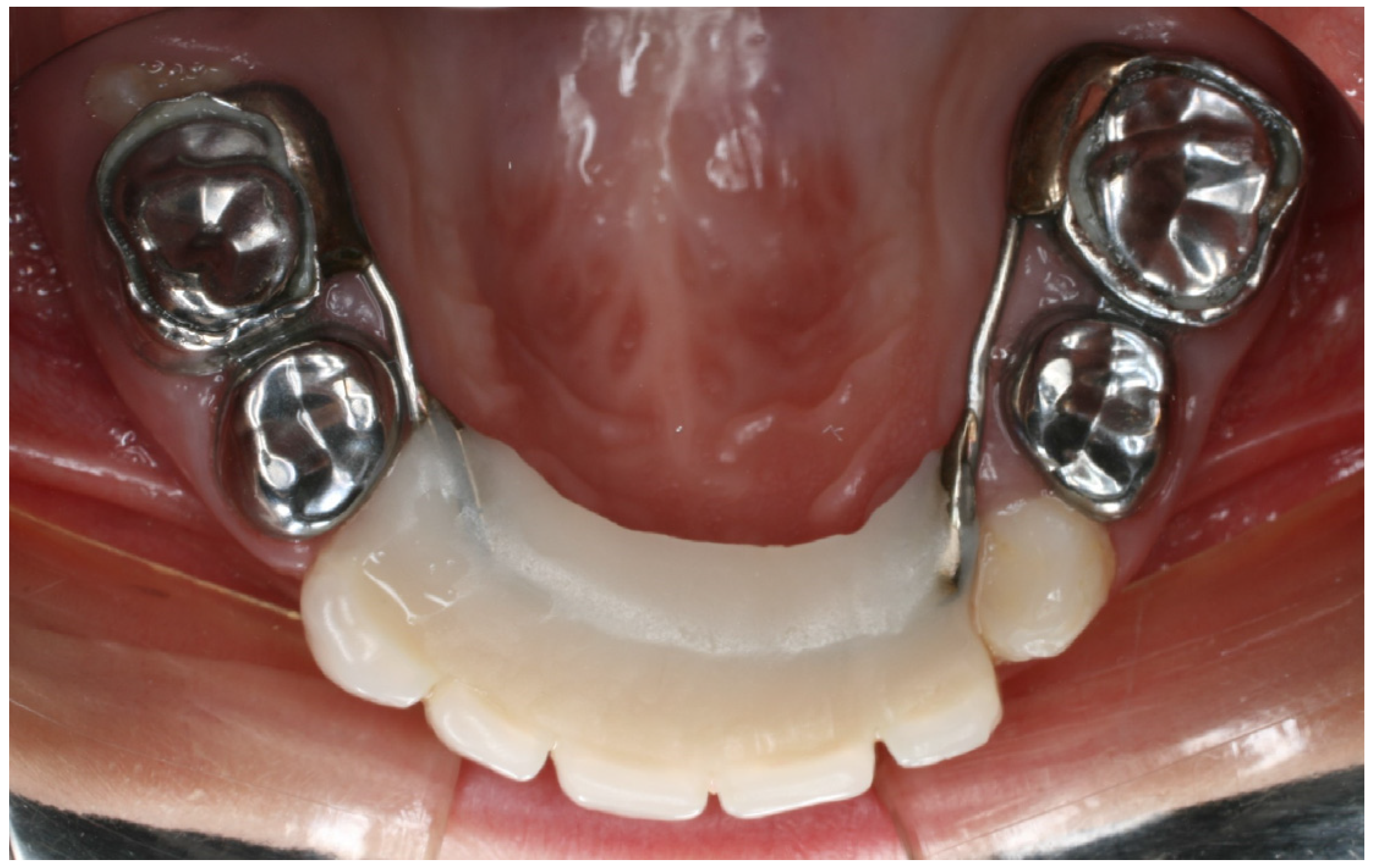
2.2. Treatment Protocol
2.3. Statistical Analysis
3. Results
3.1. Sample Characteristics
3.2. Correlation of Variables
4. Discussion
5. Conclusions
- Fixed space maintainers are a good management option in the case of premature loss of anterior teeth because they offer good aesthetics, are well tolerated and durable, avoid the appearance of malocclusions and contribute to functional rehabilitation.
- An early patient age when placing the space maintainer may pose an increased risk of failure, with a greater incidence of root reabsorptions, so they must be checked every 6 months to ensure the early identification of possible complications.
- Further studies involving larger sample sizes and longer periods of follow-up are needed in order to draw more solid conclusions.
Author Contributions
Funding
Institutional Review Board Statement
Informed Consent Statement
Data Availability Statement
Conflicts of Interest
References
- Nadelman, P.; Bedran, N.; Magno, M.B.; Masterson, D.; de Castro, A.C.R.; Maia, L.C. Premature loss of primary anterior teeth and its consequences to primary dental arch and speech pattern: A systematic review and meta-analysis. Int. J. Paediatr. Dent. 2020, 30, 687–712. [Google Scholar] [CrossRef]
- Holan, G.; Needleman, P. Premature loss of primary anterior teeth due to trauma—Potential short- and long-term sequelae. Dent. Traumatol. 2014, 30, 100–106. [Google Scholar] [CrossRef]
- Abdelrahman, M.; Hsu, K.L.; Melo, M.A.; Dhar, V.; Tinanoff, N. Mapping Evidence on Early Childhood Caries Prevalence: Complexity of Worldwide Data Reporting. Int. J. Clin. Pediatr. Dent. 2021, 14, 1–7. [Google Scholar] [CrossRef]
- Kalia, G.; Tandon, S.; Bhupali, N.R.; Rathore, A.; Mathur, R.; Rathore, K. Speech evaluation in children with missing anterior teeth and after prosthetic rehabilitation with fixed functional space maintainer. J. Indian Soc. Pedod. Prev. Dent. 2018, 36, 391–395. [Google Scholar] [CrossRef]
- Da Silva, K.; Roy, B.; Yoon, R.K. Early loss of primary incisors due to parafunctional tendency. N. Y. State Dent. J. 2012, 78, 26–30. [Google Scholar]
- Monte-Santo, A.S.; Viana, S.V.C.; Moreira, K.M.S.; Imparato, J.C.P.; Mendes, F.M.; Bonini, G.A.V.C. Prevalence of early loss of primary molar and its impact in schoolchildren’s quality of life. Int. J. Paediatr. Dent. 2018, 28, 595–601. [Google Scholar] [CrossRef]
- Goldenfum, G.M.; de Almeida, J. Esthetic Rehabilitation in Early Childhood Caries: A Case Report. Int. J. Clin. Pediatr. Dent. 2019, 12, 157–159. [Google Scholar] [CrossRef]
- Khare, V.; Nayak, P.A.; Khandelwal, V.; Nayak, U.A. Fixed functional space maintainer: Novel aesthetic approach for missing maxillary primary anterior teeth. BMJ Case Rep. 2013, 2013, bcr2013009585. [Google Scholar] [CrossRef]
- Deshpande, S.S.; Bendgude, V.D.; Kokkali, V.V. Survival of bonded space maintainers: A systematic review. Int. J. Clin. Pediatr. Dent. 2018, 11, 440–445. [Google Scholar] [CrossRef]
- Volpato, L.E.; Crivelli, A.S.; Oliveira, E.T.; Nobreza, A.M.; Rosa, A. Rehabilitation with esthetic functional fixed space maintainer: A report of two cases. Int. J. Clin. Pediatr. Dent. 2021, 14, 315–318. [Google Scholar] [CrossRef]
- Goenka, P.; Sarawgi, A.; Marwah, N.; Gumber, P.; Dutta, S. Simple Fixed Functional Space Maintainer. Int. J. Clin. Pediatr. Dent. 2014, 7, 225–228. [Google Scholar] [CrossRef] [PubMed]
- Rodrigues, G.; de Oliveira, R.; Martins, C.R.; Guedes-Pinto, A.C. Primary anterior tooth replacement with a fixed prosthesis using a precision connection system: A case report. Quintessence Int. 2002, 33, 303–308. [Google Scholar]
- Marwaha, M.; Bhat, M.; Nanda, K.D. Building-up a smile in a 5 year old child: A case report. Int. J. Clin. Pediatr. Dent. 2012, 5, 151–154. [Google Scholar] [CrossRef] [PubMed]
- Patil, R.B.; Rachappa, M.M. A simple modification of fixed space maintainers for replacement of an avulsed maxillary primary central incisor. Int. J. Dent. Clin. 2011, 3, 117. [Google Scholar]
- Pipa Vallejo, A.; López-Arranz Monje, E.; González García, M.; Martínez Fernández, M.; Blanco-Moreno Alvarez-Buylla, F. Treatment with removable prosthesis in hypohidrotic ectodermal dysplasia: A clinical case. Med. Oral Patol. Oral Cir. Bucal. 2008, 13, E119–E123. [Google Scholar]
- Qudeimat, M.A.; Sasa, I.S. Clinical success and longevity of band and loop compared to crown and loop space maintainers. Eur. Arch. Paediatr. Dent. 2015, 16, 391–396. [Google Scholar] [CrossRef]
- Sasa, I.S.; Hasan, A.A.; Qudeimat, M.A. Longevity of band and loop space maintainers using glass ionomer cement: A prospective study. Eur. Arch. Paediatr. Dent. 2009, 10, 6–10. [Google Scholar] [CrossRef]
- Hosseinipour, Z.S.; Poorzandpoush, K.; Heidari, A.; Ahmadi, M. Assessment of periodontal parameters following the use of fixed and removable space maintainers in 6–12 years old. Int. J. Clin. Pediatr. Dent. 2019, 12, 405–409. [Google Scholar] [CrossRef]
- Al Nuaimi, R.; Mansoor, M. Prosthetic rehabilitation with fixed prosthesis of a 5-year-old child with Hypohidrotic Ectodermal Dysplasia and Oligodontia: A case report. J. Med. Case Rep. 2019, 13, 329. [Google Scholar] [CrossRef]
- Janiani, P.; Ravindran, V. Comparative evaluation of the antimicrobial effects of probiotic milk and probiotic powder on the salivary Streptococcus mutans counts and the plaque scores in children aged 3–6 years: A randomized controlled trial. Dent. Med. Probl. 2022, 59, 99–104. [Google Scholar] [CrossRef]
- Uysal, T.; Ramoglu, S.I.; Ertas, H.; Ulker, M. Microleakage of orthodontic band cement at the cement-enamel and cement-band interfaces. Am. J. Orthod. Dentofac. Orthop. 2010, 137, 534–539. [Google Scholar] [CrossRef] [PubMed]
- Kaur, J.; Singh, A.; Sadana, G.; Mehra, M.; Mahajan, M. Evaluation of shear peel bond strength of different adhesive cements used for fixed space maintainer cementation: An in vitro study. Int. J. Clin. Pediatr. Dent. 2021, 14, 175–179. [Google Scholar] [CrossRef] [PubMed]
- Prabhakar, A.R.; Mahantesh, T.; Ahuja, V. Comparison of retention and demineralization inhibition potential of adhesive banding cements in primary teeth. J. Dent. Child. 2010, 77, 66–71. [Google Scholar]
- Millett, D.T.; Duff, S.; Morrison, L.; Cummings, A.; Gilmour, W.H. In vitro comparison of orthodontic band cements. Am. J. Orthod. Dentofac. Orthop. 2003, 123, 15–20. [Google Scholar] [CrossRef] [PubMed]
- Cantekin, K.; Delikan, E.; Cetin, S. In vitro bond strength and fatigue stress test evaluation of different adhesive cements used for fixed space maintainer cementation. Eur. J. Dent. 2014, 8, 314–319. [Google Scholar] [CrossRef]
- Garg, A.; Samadi, F.; Jaiswal, J.N.; Saha, S. ‘Metal to resin’: A comparative evaluation of conventional band and loop space maintainer with the fiber reinforced composite resin space maintainer in children. J. Indian Soc. Pedod. Prev. Dent. 2014, 32, 111–116. [Google Scholar] [CrossRef]
- Chalakkal, P.; Devi, R.S.; Srinivas, G.V.; Venkataramana, P. Dentulous appliance for upper anterior edentulous span. J. Clin. Diagn. Res. 2013, 7, 3086–3087. [Google Scholar] [CrossRef]
- Christensen, J.R.; Fields, H.W. Space Maintenance in the primary dentition. In Pediatric Dentistry—Infancy through Adolescence; Casamassimo, S.P., Fields, H.W., McTigue, D.J., Nowak, A.J., Eds.; Elsevier: St. Louis, MO, USA, 2013; p. 379. [Google Scholar]
- Turgut, M.D.; Genç, G.A.; Başar, F.; Tekçiçek, M.U. The effect of early loss of anterior primary tooth on speech production in preschool children. Turk. J. Med. Sci. 2012, 42, 867–875. [Google Scholar] [CrossRef]
- To, E.W.H. A study of natal teeth in Hong Kong Chinese. Int. J. Paediatr. Dent. 1991, 1, 73–76. [Google Scholar] [CrossRef]
- Watson, L.; Danley, B.; Versluis, A.; Tantbirojn, D.; Brooks, J.; Wells, M.H. A structural analysis of 3D printed pediatric space maintainers. Pediatr. Dent. 2023, 45, 342–347. [Google Scholar]
- Kiran, G.S.; Rupinder, B. Digitainers—Digital space maintainers: A review. Int. J. Clin. Pediatr. Dent. 2021, 14 (Suppl. S1), S69–S75. [Google Scholar] [CrossRef]
- Ierardo, G.; Luzzi, V.; Lesti, M.; Vozza, I.; Brugnoletti, O.; Polimeni, A.; Bossù, M. Peek polymer in orthodontics: A pilot study on children. J. Clin. Exp. Dent. 2017, 9, e1271–e1275. [Google Scholar] [CrossRef] [PubMed]
- Kun, J.; Dinggui, Z.; Wei, L.; Li, D.; Wang, X.; Jing, J.L.; Wu, G. Clinical application of digital space maintainer fabricated by polyetherketoneketone for premature loss of deciduous teeth. Chin. J. Stomatol. 2019, 13, 368–372. [Google Scholar]
- Lee, J.H. Fully digital workflow for the fabrication of a tooth-colored space maintainer for a young patient. J. Esthet. Restor. Dent. 2023, 35, 561–566. [Google Scholar] [CrossRef] [PubMed]
- Tokuc, M.; Yilmaz, H. Comparison of fit accuracy between conventional and CAD/CAM-fabricated band–loop space maintainers. Int. J. Paediatr. Dent. 2022, 32, 764–771. [Google Scholar] [CrossRef] [PubMed]
- Thurzo, A.; Urbanová, W.; Neuschlová, I.; Paouris, D.; Čverha, M. Use of optical scanning and 3D printing to fabricate customized appliances for patients with craniofacial disorders. Semin. Orthod. 2022, 28, 92–99. [Google Scholar] [CrossRef]










| Inclusion Criteria | Exclusion Criteria |
|---|---|
| Patient with aesthetic fixed space maintainer due to caries or traumatism | Patients with systemic diseases |
| Clinical check every 6 months | Follow-up of less than 3 years |
| Radiological check every 6 months |
| Study Variables | Sample (n = 100) | Study Variables | Sample (n = 100) |
|---|---|---|---|
| Gende | Detachments | ||
| Male | 63% | Yes | 28% |
| Female | 37% | No | 72% |
| Age | Gingivitis | ||
| 12–24 months | 58% | Yes | 26% |
| 25–36 months | 23% | No | 74% |
| 37–48 months | 17% | ||
| 49–60 months | 2% | ||
| Cause | Root resorptions | ||
| Caries | 38% | Yes | 8% |
| Traumatism | 62% | No | 92% |
| No. teeth replaced | Time of tooth fracture | ||
| 1 | 47% | Less than one year | 12% |
| 2 | 25% | 1–2 years | 27% |
| 3 | 1% | 2–3 years | 1% |
| 4 | 26% | 3–4 years | 1% |
| 5 | 0% | ||
| 6 | 1% | ||
| Anchoring teeth | Time of welding fracture | ||
| First molars | 78% | Less than one year | 4% |
| Second molars | 22% | 1–2 years | 10% |
| 2–3 years | 2% | ||
| 3–4 years | 0% | ||
| Pulp treatment of anchoring teeth | Time of detachment | ||
| Yes | 22% | Less than one year | 17% |
| No | 78% | 1–2 years | 7% |
| 2–3 years | 4% | ||
| 3–4 years | 0% | ||
| Fractured teeth | Time of gingivitis | ||
| Yes | 41% | Less than one year | 14% |
| No | 59% | 1–2 years | 9% |
| 2–3 years | 3% | ||
| 3–4 years | 0% | ||
| Fractured welding | Time of root resorption | ||
| Yes | 16% | Less than one year | 0% |
| No | 84% | 1–2 years | 3% |
| 2–3 years | 5% | ||
| 3–4 years | 0% |
| Type of Complication | No. of Cases | Time of First Case (Months) | Median Months |
|---|---|---|---|
| Root resorption | 8 | 16 | 26 (±1.4) |
| Tooth fracture | 35 | 2 | 16 (±1.0) |
| Welding fracture | 14 | 7 | 15 (±0.9) |
| Detachment | 28 | 3 | 10 (±1.8) |
| Gingivitis | 26 | 3 | 8 (±2.3) |
| Study Variables | p-Value | Study Variables | p-Value |
|---|---|---|---|
| Age at placement | Anchoring tooth | ||
| Root resorption | 0.010 * | Root resorption | 0.831 |
| Resin tooth fracture | 0.701 | Resin tooth fracture | 0.062 |
| Welding fracture | 0.384 | Welding fracture | 0.228 |
| Detachments | 0.189 | Detachments | 0.533 |
| Gingivitis | 0.709 | Gingivitis | 0.210 |
| Pulp treatment of abutment teeth | No. teeth replaced | ||
| Root resorption | 0.831 | Root resorption | 0.844 |
| Resin tooth fracture | 0.200 | Resin tooth fracture | 0.065 |
| Welding fracture | 0.279 | Welding fracture | 0.319 |
| Detachments | 0.931 | Detachments | 0.677 |
| Gingivitis | 0.481 | Gingivitis | 0.060 |
Disclaimer/Publisher’s Note: The statements, opinions and data contained in all publications are solely those of the individual author(s) and contributor(s) and not of MDPI and/or the editor(s). MDPI and/or the editor(s) disclaim responsibility for any injury to people or property resulting from any ideas, methods, instructions or products referred to in the content. |
© 2023 by the authors. Licensee MDPI, Basel, Switzerland. This article is an open access article distributed under the terms and conditions of the Creative Commons Attribution (CC BY) license (https://creativecommons.org/licenses/by/4.0/).
Share and Cite
Biedma-Perea, M.; Caleza-Jiménez, C.; Mendoza-Mendoza, A.; Ribas-Pérez, D. Longevity of Aesthetic Fixed Space Maintainers in the Anterior Area of the Pediatric Dental Patient. Children 2023, 10, 1734. https://doi.org/10.3390/children10111734
Biedma-Perea M, Caleza-Jiménez C, Mendoza-Mendoza A, Ribas-Pérez D. Longevity of Aesthetic Fixed Space Maintainers in the Anterior Area of the Pediatric Dental Patient. Children. 2023; 10(11):1734. https://doi.org/10.3390/children10111734
Chicago/Turabian StyleBiedma-Perea, María, Carolina Caleza-Jiménez, Asunción Mendoza-Mendoza, and David Ribas-Pérez. 2023. "Longevity of Aesthetic Fixed Space Maintainers in the Anterior Area of the Pediatric Dental Patient" Children 10, no. 11: 1734. https://doi.org/10.3390/children10111734
APA StyleBiedma-Perea, M., Caleza-Jiménez, C., Mendoza-Mendoza, A., & Ribas-Pérez, D. (2023). Longevity of Aesthetic Fixed Space Maintainers in the Anterior Area of the Pediatric Dental Patient. Children, 10(11), 1734. https://doi.org/10.3390/children10111734

