Clinical Characteristics and Immune Responses in Children with Primary Ciliary Dyskinesia during Pneumonia Episodes: A Case–Control Study
Abstract
:1. Introduction
2. Materials and Methods
2.1. Study Design
2.1.1. Patient Enrollment
2.1.2. Criteria for Diagnosing PCD
2.2. Data Extraction
2.3. Laboratory Evaluations
2.4. Ethics
2.5. Statistical Analyses
3. Results
3.1. Patient Characteristics
3.2. Inflammatory Factors
3.3. Prevalence of Respiratory Pathogens
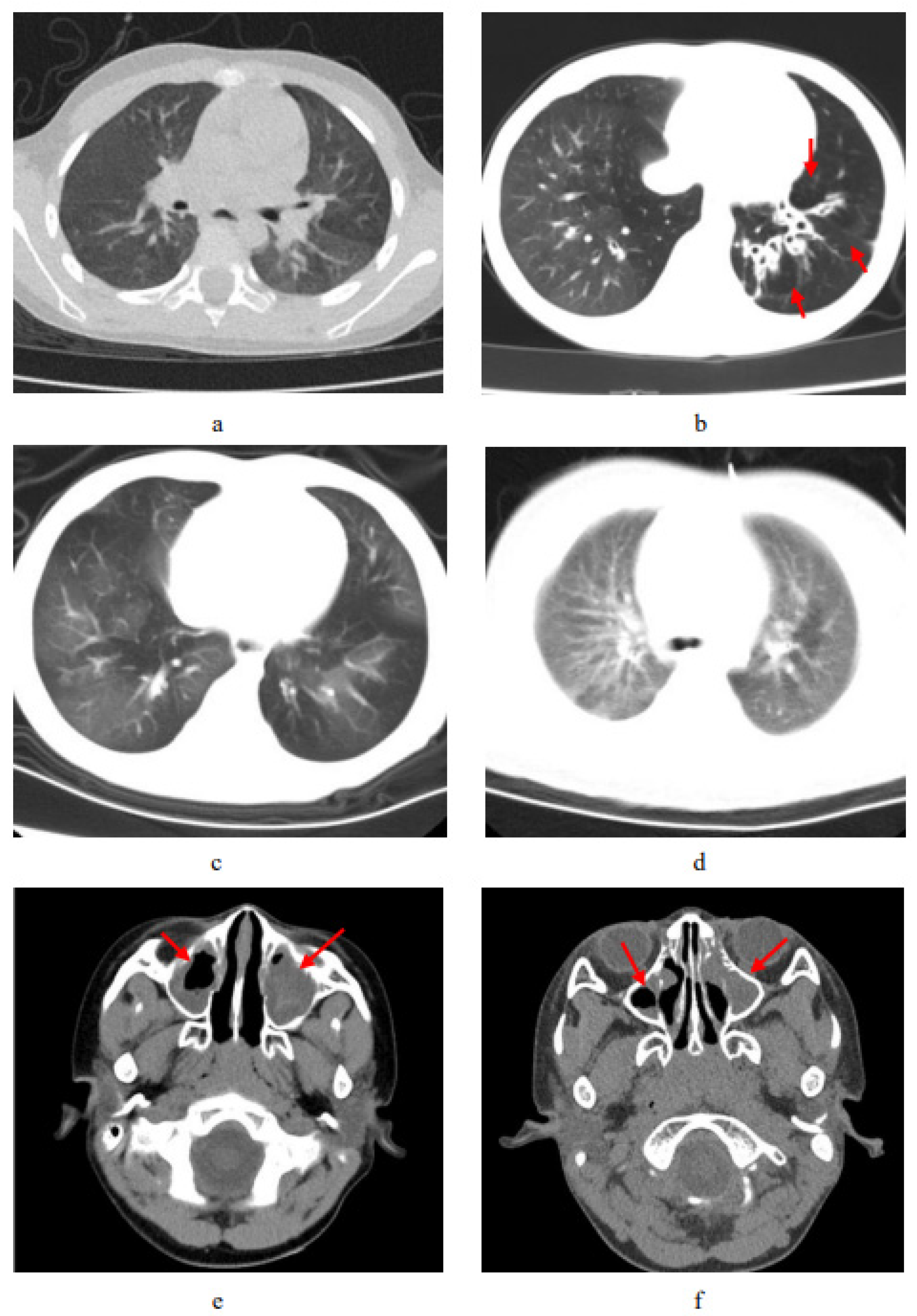
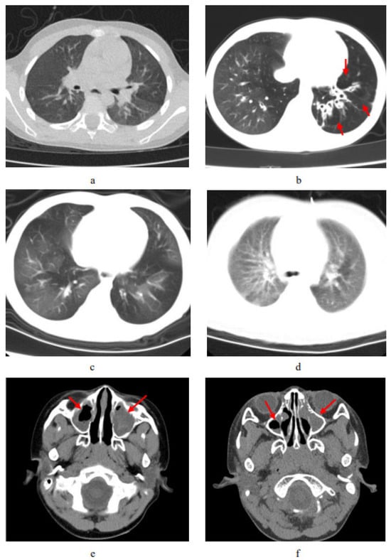
3.4. Imaging Features of Chest and Nasopharynx
4. Discussion
5. Conclusions
Author Contributions
Funding
Institutional Review Board Statement
Informed Consent Statement
Data Availability Statement
Conflicts of Interest
References
- Dunsky, K.; Menezes, M.; Ferkol, T.W. Advances in the Diagnosis and Treatment of Primary Ciliary Dyskinesia: A Review. JAMA Otolaryngol.—Head Neck Surg. 2021, 147, 753–759. [Google Scholar] [CrossRef]
- Amjad, H.; Ferkol, T.W. Advances in the Genetics of Primary Ciliary dyskinesia: Clinical Implications. Chest 2018, 154, 645–652. [Google Scholar]
- Chapelin, C.A.; Coste, P.; Reinert, M.; Boucherat, M.C.; Millepied, F.P.; Escudier, E. Incidence of Primary Ciliary Dyskinesia in Children with Recurrent Respiratory Diseases. Ann. Otol. Rhinol. Laryngol. 1997, 106 Pt 1, 854–858. [Google Scholar]
- Shoemark, A.; Harman, K. Primary Ciliary Dyskinesia. Semin. Respir. Crit. Care Med. 2021, 42, 537–548. [Google Scholar] [CrossRef]
- Wallmeier, J.; Nielsen, K.G.; Kuehni, C.E.; Lucas, J.S.; Leigh, M.W.; Zariwala, M.A.; Omran, H. Motile Ciliopathies. Nat. Rev. Dis. Primers 2020, 6, 77. [Google Scholar] [CrossRef]
- Damseh, N.; Quercia, N.; Rumman, N.; Dell, S.D.; Kim, R.H. Primary Ciliary Dyskinesia: Mechanisms and Management. Appl. Clin. Genet. 2017, 10, 67–74. [Google Scholar] [CrossRef]
- Behan, L.; Rubbo, B.; Lucas, J.S.; Galvin, A.D. The Patient’s Experience of Primary Ciliary Dyskinesia: A Systematic Review. Qual. Life Res. Int. J. Qual. Life Asp. Treat. Care Rehabil. 2017, 26, 2265–2285. [Google Scholar] [CrossRef]
- Collins, S.A.; Woolf, T.W.; Lucas, J.S. Genetic Testing in the Diagnosis of Primary Ciliary Dyskinesia: State-of-the-Art and Future Perspectives. J. Clin. Med. 2014, 3, 491–503. [Google Scholar] [CrossRef]
- Guan, Y.; Yang, H.; Yao, X.; Xu, H.; Liu, H.; Tang, X.; Hao, C.; Zhang, X.; Zhao, S.; Ge, W.; et al. Clinical and Genetic Spectrum of Children with Primary Ciliary Dyskinesia in China. Chest 2021, 159, 1768–1781. [Google Scholar] [CrossRef]
- Lucas, J.S.; Barbato, A.; Collins, S.A.; Goutaki, M.; Behan, L.; Caudri, D.; Dell, S.; Eber, E.; Escudier, E.; Hirst, R.A.; et al. European Respiratory Society Guidelines for the Diagnosis of Primary Ciliary Dyskinesia. Eur. Respir. J. 2017, 49, 1601090. [Google Scholar] [CrossRef]
- Lucas, J.S.; Davis, S.D.; Omran, H.; Shoemark, A. Primary Ciliary Dyskinesia in the Genomics Age. Lancet Respir. Med. 2020, 8, 202–216. [Google Scholar] [CrossRef] [PubMed]
- Shapiro, A.J.; Davis, S.D.; Polineni, D.; Manion, M.; Rosenfeld, M.; Dell, S.D.; Chilvers, M.A.; Ferkol, T.W.; Zariwala, M.A.; Sagel, S.D.; et al. Diagnosis of Primary Ciliary Dyskinesia. An Official American Thoracic Society Clinical Practice Guideline. Am. J. Respir. Crit. Care Med. 2018, 197, e24–e39. [Google Scholar] [CrossRef] [PubMed]
- Paff, T.; Omran, H.; Nielsen, K.G.; Haarman, E.G. Current and Future Treatments in Primary Ciliary Dyskinesia. Int. J. Mol. Sci. 2021, 22, 9834. [Google Scholar] [CrossRef] [PubMed]
- Kobbernagel, H.E.; Buchvald, F.F.; Haarman, E.G.; Casaulta, C.; Collins, S.A.; Hogg, C.; Kuehni, C.E.; Lucas, J.S.; Moser, C.E.; Quittner, A.L.; et al. Efficacy and Safety of Azithromycin Maintenance Therapy in Primary Ciliary Dyskinesia (Bestcilia): A Multicentre, Double-Blind, Randomised, Placebo-Controlled Phase 3 Trial. Lancet Respir. Med. 2020, 8, 493–505. [Google Scholar] [CrossRef] [PubMed]
- Magnin, M.L.; Cros, P.; Beydon, N.; Mahloul, M.; Tamalet, A.; Escudier, E.; Clément, A.; Ducou Le Pointe, H.; Blanchon, S. Longitudinal Lung Function and Structural Changes in Children with Primary Ciliary Dyskinesia. Pediatr. Pulmonol. 2012, 47, 816–825. [Google Scholar] [CrossRef] [PubMed]
- Bush, A.; Cole, P.; Hariri, M.; Mackay, I.; Phillips, G.; O’Callaghan, C.; Wilson, R.; Warner, J.O. Primary Ciliary Dyskinesia: Diagnosis and Standards of Care. Eur. Respir. J. 1998, 12, 982–988. [Google Scholar] [CrossRef]
- Horani, A.; Ferkol, T.W. Understanding Primary Ciliary Dyskinesia and Other Ciliopathies. J. Pediatr. 2021, 230, 15–22. [Google Scholar] [CrossRef] [PubMed]
- Goutaki, M.; Meier, A.B.; Halbeisen, F.S.; Lucas, J.S.; Dell, S.D.; Maurer, E.; Casaulta, C.; Jurca, M.; Spycher, B.D.; Kuehni, C.E. Clinical Manifestations in Primary Ciliary Dyskinesia: Systematic Review and Meta-Analysis. Eur. Respir. J. 2016, 48, 1081–1095. [Google Scholar] [CrossRef]
- Cockx, M.; Gouwy, M.; Van Damme, J.; Struyf, S. Chemoattractants and Cytokines in Primary Ciliary Dyskinesia and Cystic Fibrosis: Key Players in Chronic Respiratory Diseases. Cell. Mol. Immunol. 2018, 15, 312–323. [Google Scholar] [CrossRef]
- Koh, Y.Y.; Sun, Y.H.; Min, Y.-G.; Chi, J.G.; Kim, C.K. Chemotaxis of Blood Neutrophils from Patients with Primary Ciliary Dyskinesia. J. Korean Med. Sci. 2003, 18, 36–41. [Google Scholar] [CrossRef]
- Cockx, M.; Gouwy, M.; Godding, V.; De Boeck, K.; Van Damme, J.; Boon, M.; Struyf, S. Neutrophils from Patients with Primary Ciliary Dyskinesia Display Reduced Chemotaxis to Cxcr2 Ligands. Front. Immunol. 2017, 8, 1126. [Google Scholar] [CrossRef] [PubMed]
- Cockx, M.; Blanter, M.; Gouwy, M.; Ruytinx, P.; Abouelasrar Salama, S.; Knoops, S.; Pörtner, N.; Vanbrabant, L.; Lorent, N.; Boon, M.; et al. The Antimicrobial Activity of Peripheral Blood Neutrophils Is Altered in Patients with Primary Ciliary Dyskinesia. Int. J. Mol. Sci. 2021, 22, 6172. [Google Scholar] [CrossRef] [PubMed]
- Shoemark, A.; Dell, S.; Shapiro, A.; Lucas, J.S. Ers and Ats Diagnostic Guidelines for Primary Ciliary Dyskinesia: Similarities and Differences in Approach to Diagnosis. Eur. Respir. J. 2019, 54, 1901066. [Google Scholar] [CrossRef] [PubMed]
- Behan, L.; Dimitrov, B.D.; Kuehni, C.E.; Hogg, C.; Carroll, M.; Evans, H.J.; Goutaki, M.; Harris, A.; Packham, S.; Walker, W.T.; et al. Picadar: A Diagnostic Predictive Tool for Primary Ciliary Dyskinesia. Eur. Respir. J. 2016, 47, 1103–1112. [Google Scholar] [CrossRef] [PubMed]
- Harris, M.; Clark, J.; Coote, N.; Fletcher, P.; Harnden, A.; McKean, M.; Thomson, A. British Thoracic Society Guidelines for the Management of Community Acquired Pneumonia in Children: Update 2011. Thorax 2011, 66 (Suppl. S2), ii1–ii23. [Google Scholar] [CrossRef]
- Lucas, J.S.; Gahleitner, F.; Amorim, A.; Boon, M.; Brown, P.; Constant, C.; Cook, S.; Crowley, S.; Destouches, D.M.S.; Eber, E.; et al. Pulmonary Exacerbations in Patients with Primary Ciliary Dyskinesia: An Expert Consensus Definition for Use in Clinical Trials. ERJ Open Res. 2019, 5, 00147. [Google Scholar] [CrossRef]
- Harrison, M.J.; Shapiro, A.J.; Kennedy, M.P. Congenital Heart Disease and Primary Ciliary Dyskinesia. Paediatr. Respir. Rev. 2016, 18, 25–32. [Google Scholar] [CrossRef]
- Knowles, M.R.; Daniels, L.A.; Davis, S.D.; Zariwala, M.A.; Leigh, M.W. Primary Ciliary Dyskinesia. Recent Advances in Diagnostics, Genetics, and Characterization of Clinical Disease. Am. J. Respir. Crit. Care Med. 2013, 188, 913–922. [Google Scholar] [CrossRef]
- Gabriel, G.C.; Young, C.B.; Lo, C.W. Role of Cilia in the Pathogenesis of Congenital Heart Disease. Semin. Cell Dev. Biol. 2021, 110, 2–10. [Google Scholar] [CrossRef]
- Halbeisen, F.S.; Goutaki, M.; Spycher, B.D.; Amirav, I.; Behan, L.; Boon, M.; Hogg, C.; Casaulta, C.; Crowley, S.; Haarman, E.G.; et al. Lung Function in Patients with Primary Ciliary Dyskinesia: An Ipcd Cohort Study. Eur. Respir. J. 2018, 52, 1801040. [Google Scholar] [CrossRef]
- Simoneau, T.; Zandieh, S.O.; Rao, D.R.; Vo, P.; Palm, K.E.; McCown, M.; Kopel, L.S.; Dias, A.; Casey, A.; Perez-Atayde, A.R.; et al. Impact of Cilia Ultrastructural Examination on the Diagnosis of Primary Ciliary Dyskinesia. Pediatr. Dev. Pathol. Off. J. Soc. Pediatr. Pathol. Paediatr. Pathol. Soc. 2013, 16, 321–326. [Google Scholar] [CrossRef]
- Shoemark, A.; Dixon, M.; Corrin, B.; Dewar, A. Twenty-Year Review of Quantitative Transmission Electron Microscopy for the Diagnosis of Primary Ciliary Dyskinesia. J. Clin. Pathol. 2012, 65, 267–271. [Google Scholar] [CrossRef] [PubMed]
- Braun, J.J.; Boehm, N.; Metz-Favre, C.; Koscinski, I.; Teletin, M.; Debry, C. Diagnosis of Primary Ciliary Dyskinesia: When and How? Eur. Ann. Otorhinolaryngol. Head Neck Dis. 2017, 134, 377–382. [Google Scholar] [CrossRef]
- Dettmer, S.; Ringshausen, F.; Vogel-Claussen, J.; Fuge, J.; Faschkami, A.; Shin, H.-O.; Schwerk, N.; Welte, T.; Wacker, F.; Rademacher, J. Computed Tomography in Adult Patients with Primary Ciliary Dyskinesia: Typical Imaging Findings. PLoS ONE 2018, 13, e0191457. [Google Scholar] [CrossRef] [PubMed]
- Guo, Z.; Chen, W.; Wang, L.; Qian, L. Clinical and Genetic Spectrum of Children with Primary Ciliary Dyskinesia in China. J. Pediatr. 2020, 225, 157–165. [Google Scholar] [CrossRef] [PubMed]
- Mogensen, T.H. Pathogen Recognition and Inflammatory Signaling in Innate Immune Defenses. Clin. Microbiol. Rev. 2009, 22, 240–273. [Google Scholar] [CrossRef] [PubMed]
- Whitsett, J.A.; Alenghat, T. Respiratory Epithelial Cells Orchestrate Pulmonary Innate Immunity. Nat. Immunol. 2015, 16, 27–35. [Google Scholar] [CrossRef]
- Ratjen, F.; Waters, V.; Klingel, M.; McDonald, N.; Dell, S.; Leahy, T.R.; Yau, Y.; Grasemann, H. Changes in Airway Inflammation During Pulmonary Exacerbations in Patients with Cystic Fibrosis and Primary Ciliary Dyskinesia. Eur. Respir. J. 2016, 47, 829–836. [Google Scholar] [CrossRef]
- Afzelius, B.A.; Ewetz, L.; Palmblad, J.; Uden, A.M.; Venizelos, N. Structure and Function of Neutrophil Leukocytes from Patients with the Immotile-Cilia Syndrome. Acta Medica Scand. 1980, 208, 145–154. [Google Scholar] [CrossRef] [PubMed]
- Corkey, C.W.; Minta, J.O.; Turner, J.A.; Biggar, W.D. Neutrophil Function in the Immotile Cilia Syndrome. J. Lab. Clin. Med. 1982, 99, 838–844. [Google Scholar]
- Yang, W.; Chen, L.; Guo, J.; Shi, F.; Yang, Q.; Xie, L.; Lu, D.; Li, Y.; Luo, J.; Wang, L.; et al. Multiomics Analysis of a Dnah5-Mutated Pcd Organoid Model Revealed the Key Role of the Tgf-Β/Bmp and Notch Pathways in Epithelial Differentiation and the Immune Response in Dnah5-Mutated Patients. Cells 2022, 11, 4013. [Google Scholar] [CrossRef]
- Cockx, M.; Gouwy, M.; Ruytinx, P.; Lodewijckx, I.; Van Hout, A.; Knoops, S.; Pörtner, N.; Ronsse, I.; Vanbrabant, L.; Godding, V.; et al. Monocytes from Patients with Primary Ciliary Dyskinesia Show Enhanced Inflammatory Properties and Produce Higher Levels of Pro-Inflammatory Cytokines. Sci. Rep. 2017, 7, 14657. [Google Scholar] [CrossRef]
- Walter, R.J.; Danielson, J.R.; Reyes, H.H. Characterization of a Chemotactic Defect in Patients with Kartagener Syndrome. Arch. Otolaryngol. Head Neck Surg. 1990, 116, 465–469. [Google Scholar] [CrossRef]
- Weller, P.F.; Spencer, L.A. Functions of Tissue-Resident Eosinophils. Nat. Rev. Immunol. 2017, 17, 746–760. [Google Scholar] [CrossRef]
- Volanakis, J.E. Human C-Reactive Protein: Expression, Structure, and Function. Mol. Immunol. 2001, 38, 189–197. [Google Scholar] [CrossRef]
- Li, J.; Chen, J.; Kirsner, R. Pathophysiology of Acute Wound Healing. Clin. Dermatol. 2007, 25, 9–18. [Google Scholar] [CrossRef]
- Trial, J.; Potempa, L.A.; Entman, M.L. The Role of C-Reactive Protein in Innate and Acquired Inflammation: New Perspectives. Inflamm. Cell Signal. 2016, 3, 5058362. [Google Scholar]
- Kobayashi, S.; Inoue, N.; Ohashi, Y.; Terashima, M.; Matsui, K.; Mori, T.; Fujita, H.; Awano, K.; Kobayashi, K.; Azumi, H.; et al. Interaction of Oxidative Stress and Inflammatory Response in Coronary Plaque Instability: Important Role of C-Reactive Protein. Arterioscler. Thromb. Vasc. Biol. 2003, 23, 1398–1404. [Google Scholar] [CrossRef]
- Påhlman, L.I.; Mörgelin, M.; Kasetty, G.; Olin, A.I.; Schmidtchen, A.; Herwald, H. Antimicrobial Activity of Fibrinogen and Fibrinogen-Derived Peptides—A Novel Link between Coagulation and Innate Immunity. Thromb. Haemost. 2013, 109, 930–939. [Google Scholar]
- Luyendyk, J.P.; Schoenecker, J.G.; Flick, M.J. The Multifaceted Role of Fibrinogen in Tissue Injury and Inflammation. Blood 2019, 133, 511–520. [Google Scholar] [CrossRef]
- Kutty, P.K.; Jain, S.; Taylor, T.H.; Bramley, A.M.; Diaz, M.H.; Ampofo, K.; Arnold, S.R.; Williams, D.J.; Edwards, K.M.; McCullers, J.A.; et al. Mycoplasma Pneumoniae among Children Hospitalized with Community-Acquired Pneumonia. Clin. Infect. Dis. Off. Publ. Infect. Dis. Soc. Am. 2019, 68, 5–12. [Google Scholar] [CrossRef]
- Ma, Y.J.; Wang, S.M.; Cho, Y.H.; Shen, C.F.; Liu, C.C.; Chi, H.; Huang, Y.C.; Huang, L.M.; Huang, Y.C.; Lin, H.C.; et al. Clinical and Epidemiological Characteristics in Children with Community-Acquired Mycoplasma Pneumonia in Taiwan: A Nationwide Surveillance. J. Microbiol. Immunol. Infect. 2015, 48, 632–638. [Google Scholar] [CrossRef]
- Oumei, H.; Xuefeng, W.; Jianping, L.; Kunling, S.; Rong, M.; Zhenze, C.; Li, D.; Huimin, Y.; Lining, W.; Zhaolan, L.; et al. Etiology of Community-Acquired Pneumonia in 1500 Hospitalized Children. J. Med. Virol. 2018, 90, 421–428. [Google Scholar] [CrossRef]
- Miyata, M. Unique Centipede Mechanism of Mycoplasma Gliding. Annu. Rev. Microbiol. 2010, 64, 519–537. [Google Scholar] [CrossRef]
- Walker, W.T.; Jackson, C.L.; Allan, R.N.; Collins, S.A.; Kelso, M.J.; Rineh, A.; Yepuri, N.R.; Nicholas, B.; Lau, L.; Johnston, D.; et al. Primary Ciliary Dyskinesia Ciliated Airway cells Show Increased Susceptibility to Biofilm Formation. Eur. Respir. J. 2017, 50, 1700612. [Google Scholar] [CrossRef]
- Langereis, J.D.; Hermans, P.W.M. Novel Concepts in Nontypeable Haemophilus Influenzae Biofilm Formation. FEMS Microbiol. Lett. 2013, 346, 81–89. [Google Scholar] [CrossRef]
- Walker, W.T.; Jackson, C.L.; Coles, J.; Lackie, P.M.; Faust, S.N.; Hall-Stoodley, L.; Lucas, J.S. Ciliated Cultures from Patients with Primary Ciliary Dyskinesia Produce Nitric Oxide in Response to Haemophilus Influenzae Infection and Proinflammatory Cytokines. Chest 2014, 145, 668–669. [Google Scholar] [CrossRef]





| Characteristic | PCD Group (n = 61) | Control Group (n = 61) | p |
|---|---|---|---|
| Mean age, years (SD) | 5.60 ± 3.43 | 5.54 ± 3.39 | 0.932 |
| Female | 29 (47.54%) | 32 (52.46%) | 0.587 |
| Height, m (SD) | 1.18 ± 0.23 | 1.13 ± 0.24 | 0.292 |
| Z-scores for height (SD) | −0.07 ± 1.32 | −0.18 ± 1.27 | 0.648 |
| Weight, kg (SD) | 21.55 ± 10.76 | 21.09 ± 11.21 | 0.819 |
| Z-scores for weight (SD) | −0.003 ± 1.99 | −0.08 ± 1.36 | 0.808 |
| Body mass index, kg/m2 (SD) | 16.27 ± 2.60 | 16.04 ± 3.29 | 0.712 |
| Symptoms | |||
| Cough | 61 (100.00%) | 61 (100.00%) | NA |
| Expectoration | 50 (81.97%) | 55 (90.16%) | 0.191 |
| Gasp | 13 (21.31%) | 16 (26.23%) | 0.523 |
| Wheezing | 27 (44.26%) | 17 (27.87%) | 0.059 |
| Stuffing nose | 26 (42.62%) | 20 (32.79%) | 0.262 |
| Running nose | 28 (45.90%) | 23 (37.70%) | 0.359 |
| Congenital heart disease | 4 (6.56%) | 0 (0) | 0.042 * |
| Asthma | 7 (11.00%) | 0 (0) | 0.006 * |
| Lung function | |||
| FEV1 percent predicted | 77.94 ± 14.14 | NA | NA |
| FEV1/FVC percent predicted | 89.67 ± 7.97 | NA | NA |
| FEV1/VC MAX percent predicted | 89.27 ± 7.85 | NA | NA |
| MMEF percent predicted | 50.31 ± 23.36 | NA | NA |
| TEM | |||
| Normal ultrastructure | 11 (18.03%) | NA | NA |
| Fail to recognize | 17 (27.87%) | NA | NA |
| Abnormal ultrastructure | 33 (54.10%) | NA | NA |
| ODA and IDA deficiency | 30 (90.90%) | NA | NA |
| CP abnormalities | 3 (9.10%) | NA | NA |
| Parameters | PCD Group (n = 61) | Control Group (n = 61) | p |
|---|---|---|---|
| White blood cell, ×109/L | 8.39 ± 3.57 | 9.89 ± 4.90 | 0.055 |
| Lymphocytes, ×109/L | 3.52 ± 2.16 | 3.21 ± 1.93 | 0.397 |
| Percentage of lymphocytes, % | 42.80 ± 17.03 | 36.00 ±17.09 | 0.029 * |
| Monocytes, ×109/L | 0.52 (0.40, 0.76) | 0.60 (0.43, 0.78) | 0.303 |
| Percentage of monocytes, % | 7.05 ±2.20 | 7.46 ±3.14 | 0.408 |
| Neutrophils, ×109/L | 3.99 ± 2.72 | 5.75 ± 4.55 | 0.011 * |
| Percentage of neutrophils, % | 46.39 ±17.08 | 54.24 ±17.76 | 0.014 * |
| Eosinophils, ×109/L | 0.18 (0.08, 0.34) | 0.11 (0.02, 0.23) | 0.059 |
| Percentage of eosinophiles, % | 2.40 (1.25, 4.70) | 1.25 (0.13, 2.83) | 0.020 * |
| C-reactive protein, mg/L | 0.40 (0.40, 0.95) | 4.20 (0.40, 16.50) | <0.001 * |
| Fibrinogen | 257.50 (229.25, 289.75) | 338.00 (232.00, 437.00) | 0.010 * |
| Species | PCD Group (n = 61) | Control Group (n = 54) | p Value | ||
|---|---|---|---|---|---|
| n | Frequency, % | n | Frequency, % | ||
| Bacteria | 21 | 34.4 | 9 | 16.7 | 0.030 * |
| Haemophilus influenzae | 12 | 19.7 | 6 | 9.8 | 0.207 |
| Streptococcus pneumoniae | 2 | 3.3 | 1 | 1.9 | 0.632 |
| Streptococci viridans group | 2 | 3.3 | 1 | 1.9 | 0.632 |
| Klebsiella pneumoniae | 2 | 3.3 | 0 | 0 | 0.179 |
| Acinetobacter baumannii | 1 | 1.6 | 0 | 0 | 0.345 |
| Escherichia coli | 1 | 1.6 | 0 | 0 | 0.345 |
| Enterobacter cloacae | 1 | 1.6 | 0 | 0 | 0.345 |
| Staphylococcus aureus | 0 | 0 | 1 | 1.9 | 0.286 |
| Atypical pathogen | 21 | 34.4 | 31 | 57.4 | 0.013 * |
| Mycoplasma pneumoniae | 15 | 24.6 | 28 | 51.9 | 0.003 * |
| Chlamydia pneumoniae | 6 | 9.8 | 9 | 16.7 | 0.278 |
| Fungus | 4 | 6.6 | 0 | 0 | 0.055 |
| Candida albicans | 2 | 3.3 | 0 | 0 | 0.179 |
| Lodderomyces elongisporus | 1 | 1.6 | 0 | 0 | 0.345 |
| Candida parapsilosis | 1 | 1.6 | 0 | 0 | 0.345 |
| Virus | 3 | 4.9 | 6 | 9.8 | 0.217 |
| Influenza A virus | 1 | 1.6 | 0 | 0 | 0.345 |
| Rhinovirus | 1 | 1.6 | 3 | 5.6 | 0.253 |
| Human adenovirus | 1 | 1.6 | 1 | 1.9 | 0.931 |
| Bocavirus | 0 | 0 | 2 | 3.7 | 0.124 |
Disclaimer/Publisher’s Note: The statements, opinions and data contained in all publications are solely those of the individual author(s) and contributor(s) and not of MDPI and/or the editor(s). MDPI and/or the editor(s) disclaim responsibility for any injury to people or property resulting from any ideas, methods, instructions or products referred to in the content. |
© 2023 by the authors. Licensee MDPI, Basel, Switzerland. This article is an open access article distributed under the terms and conditions of the Creative Commons Attribution (CC BY) license (https://creativecommons.org/licenses/by/4.0/).
Share and Cite
Lu, D.; Yang, W.; Zhang, R.; Li, Y.; Cheng, T.; Liao, Y.; Chen, L.; Liu, H. Clinical Characteristics and Immune Responses in Children with Primary Ciliary Dyskinesia during Pneumonia Episodes: A Case–Control Study. Children 2023, 10, 1727. https://doi.org/10.3390/children10111727
Lu D, Yang W, Zhang R, Li Y, Cheng T, Liao Y, Chen L, Liu H. Clinical Characteristics and Immune Responses in Children with Primary Ciliary Dyskinesia during Pneumonia Episodes: A Case–Control Study. Children. 2023; 10(11):1727. https://doi.org/10.3390/children10111727
Chicago/Turabian StyleLu, Danli, Wenhao Yang, Rui Zhang, Yan Li, Tianyu Cheng, Yue Liao, Lina Chen, and Hanmin Liu. 2023. "Clinical Characteristics and Immune Responses in Children with Primary Ciliary Dyskinesia during Pneumonia Episodes: A Case–Control Study" Children 10, no. 11: 1727. https://doi.org/10.3390/children10111727
APA StyleLu, D., Yang, W., Zhang, R., Li, Y., Cheng, T., Liao, Y., Chen, L., & Liu, H. (2023). Clinical Characteristics and Immune Responses in Children with Primary Ciliary Dyskinesia during Pneumonia Episodes: A Case–Control Study. Children, 10(11), 1727. https://doi.org/10.3390/children10111727

