Lifesaving Treatments for the Tiniest Patients—A Narrative Description of Old and New Minimally Invasive Approaches in the Arena of Fetal Surgery
Abstract
1. Biography
2. Introduction
2.1. What It “Should” Take to Become a Fetal Surgeon
2.2. Materno–Fetal Pain Management and the Safety of Fetal Surgery
2.3. Partial Amniotic Carbon Dioxide Insufflation (PACI)
- When planning to perform PACI during general materno–fetal anesthesia, ventilate maternal CO2 levels within the physiologic range of 30–35 mm Hg. Use muscle relaxants during longer procedures in order to keep the insufflation pressures as low as possible. Maintain maternal systolic blood pressures around 120 mm Hg.
- When employing a fully percutaneous setup, place all trocars that you want to use before insufflation. This is particularly important when the placenta is situated anteriorly.
- If the workspace is too narrow, perform an amnioinfusion with crystalloid solution before insufflation. Limit the infusion to no more than 400–600 mL, which is an amount that is usually well tolerated and does not result in excessive overdistension.
- In the case of more severe polyhydramnios, perform an amniodrainage until the uterine tone begins to soften. This maneuver is important to avoid excessively high insufflation pressures.
- Before insufflation, once again check the feto–placental blood flow. If you encounter absent or reverse end diastolic blood flows within the umbilical artery (which is rare; estimated 1–2%), do not begin with the insufflation. In case you cannot obtain a normalization of the Doppler flow profile by normalizing the maternal blood pressure or utero–placental blood flow by maneuvers such as corrections of maternal lie, volume administration, catecholamines, or amniodrainage, abort the procedure. You may try another day with a different anesthetic protocol of modified dosages. If you have a normal fetoplacental Doppler flow signal, you can begin with the insufflation.
- Begin with insufflator settings of 8 mm Hg insufflation pressure and a flow rate of 4–6 L/min. Press the insufflator start button and fill the insufflation tubing with carbon dioxide. In case you insufflate via several trocars, connect the various tubes to all but one of the trocar locks and keep their valves closed. Now open the valve of the last trocar and bring the insufflation tubing and the lock in close contact. Now reset the flow meter to “0” and immediately connect the tubing with the open trocar lock. Have an assistant hold up the tubings such that the amniotic fluid can not escape into the main insufflation tube or the insufflator.
- Now increase the insufflation pressure of the insufflator by increments of 2 mm Hg until the flow meter measures the release of carbon dioxide into the amniotic cavity. This pressure is what I define as the “opening pressure”. Once you have reached the opening pressure, you insert the fetoscope and inspect the fetus, placenta, and amniotic cavity. Insufflation pressures can range between 8 mm Hg (in multipara) up to 30 mm Hg or more (nullipara, polyhydramnios, stressed patients). The mean insufflation pressure is about 15 mm Hg.
- If you operate via only one trocar, insert a suction rod and remove a sufficient amount of amniotic fluid such that you can perform the procedure. If you operate via several trocars, you can monitor the removal of amniotic fluid with the suction rod by fetoscopy.
- The workspace must be checked by paying attention with the fetoscope every 5–10 min.
- Overinsufflation must be avoided by all means in order to avoid placental abruption and prevent chorioamniotic separation.
- The lower the opening pressure, the higher the risk for overinsufflation.
- Very high opening/insufflation pressures beyond 20 mm Hg are well tolerated. Yet over the course of the procedure, uterine tone often decreases, demanding a substantial downregulation of the insufflation pressure.
- Over the course of the insufflation, the workspace may become smaller for three reasons: first, from increases in uterine tonus (deepen anesthesia), second, from increases in maternal abdominal muscle tonus (provide additional muscle relaxants), and third, from continuous leakage of small amounts of amniotic insufflation gas into the maternal abdominal cavity resulting in an equalization of pressures (evacuate gas by placing an additional hemodynamic sheath or 14-gauge indwelling catheter into the maternal peritoneal cavity).
- Special care must be taken when a trocar dislodges or during extensive trocar excursions in the presences of high insufflation pressures beyond 20 mm Hg! In this situation, a sudden gas leakage along the trocar shaft into the maternal abdominal cavity may occur. The sudden steep increase of intraabdominal pressure may acutely impair infracardiac venous return and result in a sharp drop of maternal cardiac output. This potentially dangerous situation is immediately corrected by evacuation of the insufflation gas by suction or opening of all trocar valves.
- The most feared complications are maternal gas embolism or fetal demise from acidosis. From September 2002 to December 2022, I have used PACI more than 300 times and have never observed either event. Over the past decade, PACI has been adopted and its safety has been confirmed by a growing number of international fetal centers [22,23,24].
- In my opinion, warming and moistening the insufflation gas is not a definitive prerequisite, as the insufflation gas volumes used are small and mostly stagnant such that the intraamniotic conditions swiftly serve the same purpose.
2.4. Fetoscopic Tracheal Balloon Occlusion in Fetuses with Diaphragmatic Hernia
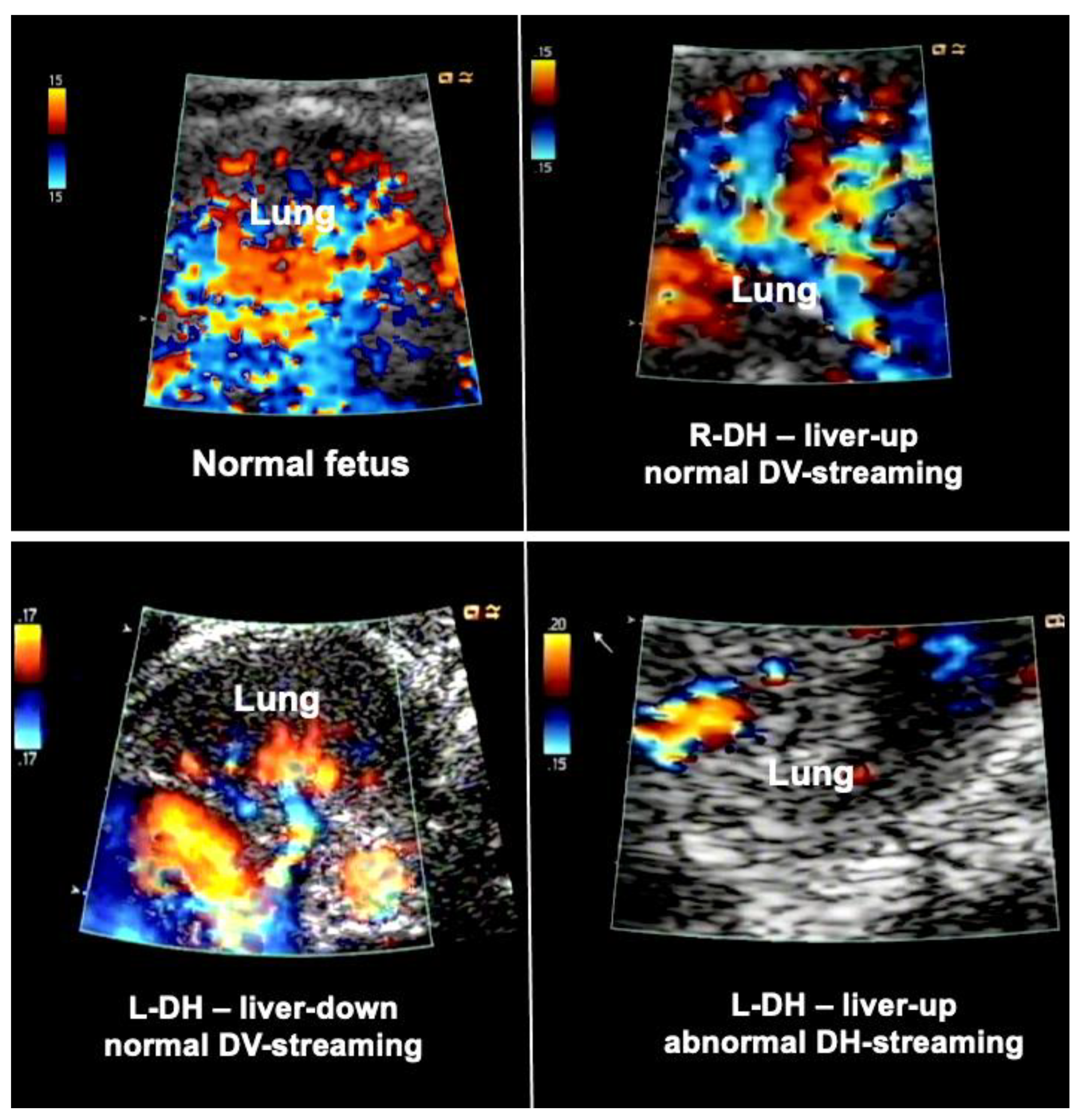
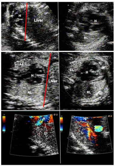
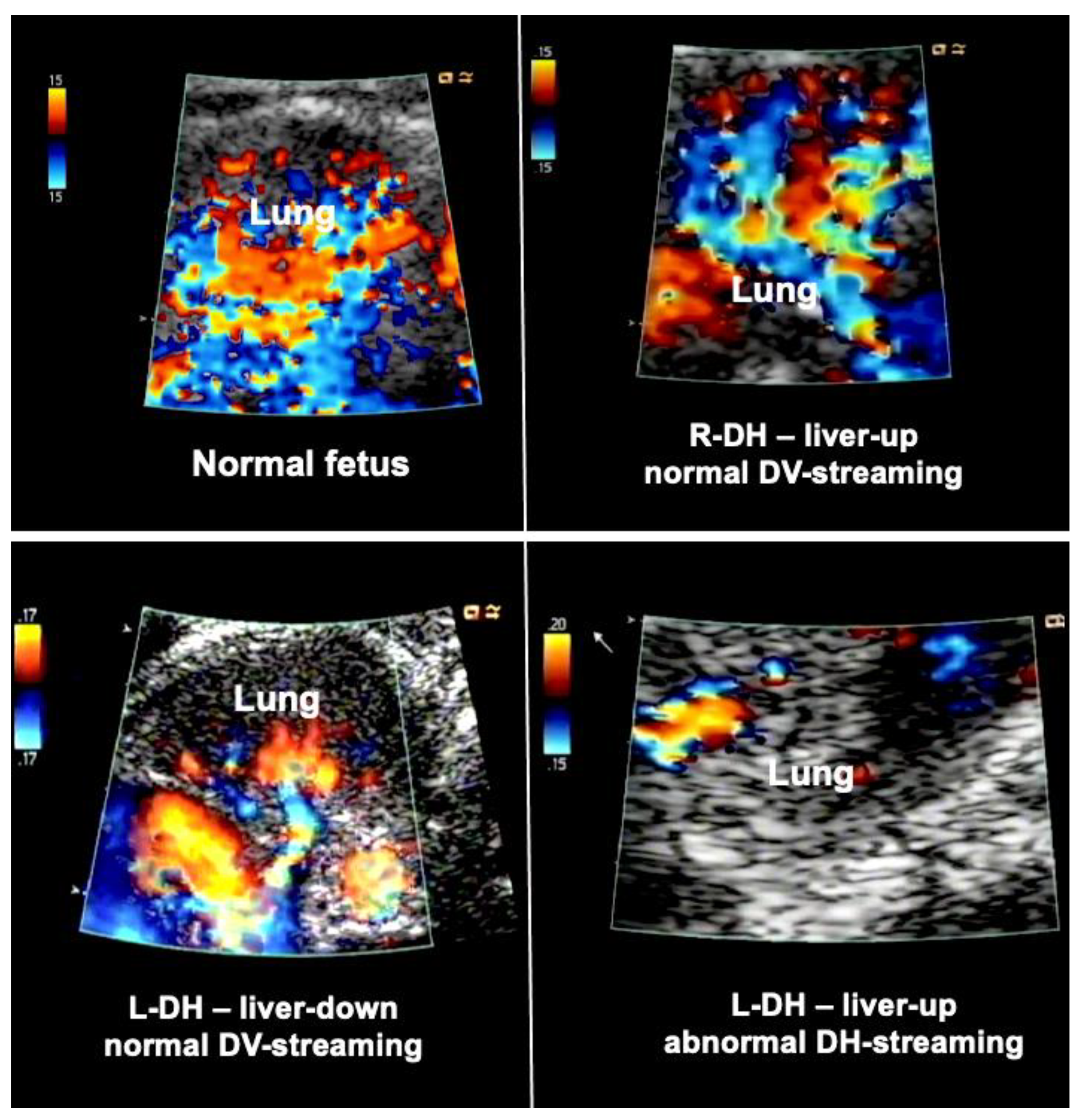
2.5. Additional Hemodynamic Assessment of Fetuses with Diaphragmatic Hernia
2.6. Fetoscopic Tracheal Balloon Occlusion (FETO) in Fetuses at Risk for Severe Pulmonary Hypoplasia from Other Conditions
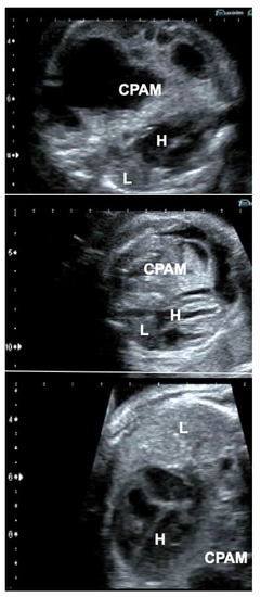
2.7. CPAM
2.8. How to Detect Fetuses with Life-Threatening Pulmonary Hypoplasia
- -
- Fetuses with normal or near normal heart–lung area relationships (i.e., a normal four-chamber view), a normal chest shape, a heart–lung base below the 5th rib (i.e., normal/near normal cardiac four-chamber views), and well demonstrable color flow signals are at low risk.
- -
- Fetuses with the beginnings of pseudocardiomegaly, a heart–lung base around the 4th rib, demonstrable lung areas within either chest cavity, and demonstrable color flow signals are at moderate risk. For their treatment, oxygen, NO, and surfactant as well as chest tubes should be readily available in the resuscitation suite.
- -
- Fetuses with marked pseudocardiomegaly, a heart–lung base around or higher than the 4th rib, a bell-shaped thorax, only small lung areas within either chest cavity (Figure 4), and barely or no demonstrable color flow signals during hyperoxygenation are those with the highest risk of dying. The need for immediate and intense resuscitation efforts can be expected, and the entire available arsenal must be employed. If the clinical status of the mother allows it, it is this latter group that I have chosen for FETO.
2.9. Improving the Outcome of Fetuses with Lower Urinary Tract Obstruction (LUTO)
2.10. Further Lifesaving Options for Fetuses with Renal Failure and Anhydramnios from Congenital Anomalies of the Kidneys and Urinary Tract (CACUT)
2.11. Fetal Spina Bifida Surgery
2.12. How to Close Fetal Spina Bifida?
2.13. New Technique for Shunt Placement in Severely Hydropic Fetuses with Hydrothorax
2.14. Materno–Fetal Hyperoxygenation for Fetal Heart Malformations
2.15. Fetal Cardiac Interventions and Resuscitation
2.16. Not an Easy Path…
2.17. Another Hidden Mortality
2.18. Quo Vadis, Fetal Surgery
Funding
Institutional Review Board Statement
Informed Consent Statement
Data Availability Statement
Acknowledgments
Conflicts of Interest
Dedication
References
- Harrison, M.R.; Gilbus, M.S.; Filly, R.A. The Unborn Patient: Prenatal Diagnosis and Treatment; Grune & Stratton, Inc.: London, UK, 1984; ISBN 0-8089-1608-4. [Google Scholar]
- Harrison, M.R.; Evans, M.; Adzick, N.S.; Holzgreve, W. The Unborn Patient: The Art and Science of Fetal Therapy, 3rd ed.; WB Saunders Company: Philadelphia, PA, USA, 2001; ISBN 0-7216-8446-7. [Google Scholar]
- Delia, J.E.; Cukierski, M.A.; Lundergan, D.K.; Kochenour, N.K. Neodymium: Yttrium-aluminum-garnet laser occlusion of rhesus placental vasculature via fetoscopy. Am. J. Obstet. Gynecol. 1989, 160, 485–489. [Google Scholar] [CrossRef] [PubMed]
- Chervenak, F.A.; McCullough, L.B. The ethics of maternal-fetal surgery. In Seminars in Fetal and Neonatal Medicine; WB Saunders: Philadelphia, PA, USA, 2018; Volume 23, pp. 64–67. [Google Scholar] [CrossRef]
- Kolata, G. The Baby Doctors: Probing the Limits of Fetal Medicine; Delacorte Press Bantam Doubleday Dell Publishing Group, Inc.: New York, NY, USA, 1990; ISBN 0-385-29938-9. [Google Scholar]
- De Lia, J.E.; Rogers, J.G.; Dixon, J.A. Treatment of placental vasculature with a neodymium-ytrium-aluminum-garnet laser via fetoscopy. Am. J. Obstet. Gynecol. 1985, 151, 1126–1127. [Google Scholar] [CrossRef] [PubMed]
- De Lia, J.E.; Cruikshank, D.P.; Keye, W.R., Jr. Fetoscopic neodymium: YAG laser occlusion of placental vessels in severe twin-twin transfusion syndrome. Obstet. Gynecol. 1990, 75, 1046–1053. [Google Scholar] [CrossRef] [PubMed]
- Quintero, R.A. Diagnostic and Operative Fetoscopy; The Parthenon Publishing Group: Boca Raton, FL, USA; London, UK; New York, NY, USA; Washington, DC, USA, 2002; ISBN 1-85070-714-6. [Google Scholar]
- Ericsson, K.A.; Krampe, R.T.; Tesch-Romer, C. The Role of Deliberate Practice in the Acquisition of Expert Performance. Psychol. Rev. 1993, 100, 363–406. [Google Scholar] [CrossRef]
- Colvin, G. Talent is Overrated: What Really Separates World Class Performers from Everybody Else; Nicholas Brealey Publishing: London, UK, 2018; ISBN 978-1-52930-913-3. [Google Scholar]
- Leonard, G. Mastery: The Keys to Success and Long-Term Fulfilment; Penguin: London, UK, 1991; ISBN 9780452267565. [Google Scholar]
- Schneck, E.; Koch, C.; Arens, C.; Schürg, R.; Zajonz, T.; Kohl, T.; Weigand, M.A.; Sander, M. Anesthesiological Management of Fetal Surgery. Anasthesiol. Intensiv. Notf. Schmerzther 2017, 52, 204–213. [Google Scholar]
- Hering, R.; Hoeft, A.; Putensen, C.; Tchatcheva, K.; Stressig, R.; Gembruch, U.; Kohl, T. Maternal haemodynamics and lung water content during percutaneous fetoscopic interventions under general anaesthesia. Br. J. Anaesth. 2009, 102, 523–527. [Google Scholar] [CrossRef]
- Bealer, J.F.; Raisanen, J.; Skarsgard, E.D.; Long, S.R.; Wong, K.; Filly, R.A.; Adzick, N.; Harrison, M.R. The incidence and spectrum of neurological injury after open fetal surgery. J. Pediatr. Surg. 1995, 30, 1150–1154. [Google Scholar] [CrossRef]
- Kohl, T.; Witteler, R.; Strümper, D.; Gogarten, W.; Asfour, B.; Reckers, J.; Merschhoff, G.; Marcus, A.E.; Weyand, M.; Van Aken, H.; et al. Operative techniques and strategies for minimally invasive fetoscopic fetal cardiac interventions in sheep. Surg. Endosc. 2000, 14, 424–430. [Google Scholar] [CrossRef]
- Kohl, T.; Reckers, J.; Strümper, D.; Hartlage, M.G.; Gogarten, W.; Gembruch, U.; Vogt, J.; Van Aken, H.; Scheld, H.H.; Paulus, W.; et al. Amniotic air insufflation during minimally invasive fetoscopic fetal cardiac interventions is safe for the fetal brain in sheep. J. Thorac. Cardiovasc. Surg. 2004, 128, 467–471. [Google Scholar] [CrossRef][Green Version]
- Kohl, T.; Tchatcheva, K.; Berg, C.; Geipel, A.; Van De Vondel, P.; Gembruch, U. Partial amniotic carbon dioxide insufflation (PACI) facilitates fetoscopic interventions in complicated monochorionic twin pregnancies. Surg. Endosc. 2007, 21, 1428–1433. [Google Scholar] [CrossRef]
- Kohl, T.; Ziemann, M.; Weinbach, J.; Tchatcheva, K.; Hasselblatt, M. Partial amniotic carbon dioxide insufflation (PACI) during minimally invasive fetoscopic interventions seems safe for the fetal brain in sheep. J. Laparoendosc. Adv. Surg. Tech. 2010, 20, 651–653. [Google Scholar] [CrossRef] [PubMed]
- Kohl, T.; Tchatcheva, K.; Weinbach, J.; Hering, R.; Kozlowski, P.; Stressig, R.; Gembruch, U. Partial amniotic carbon dioxide insufflation (PACI) during minimally invasive fetoscopic surgery: Early clinical experience in humans. Surg. Endosc. 2010, 24, 432–444. [Google Scholar] [CrossRef] [PubMed]
- Ziemann, M.; Fimmers, R.; Khaleeva, A.; Schürg, R.; Weigand, M.A.; Kohl, T. Partial amniotic carbon dioxide insufflation (PACI) during minimally invasive fetoscopic interventions on fetuses with spina bifida aperta. Surg. Endosc. 2018, 32, 3138–3148. [Google Scholar] [CrossRef] [PubMed]
- Kohl, T. Letter to the Editor—Impact of partial amniotic carbon dioxide insufflation (PACI) on middle cerebral artery blood flow in mid-gestation human fetuses undergoing minimally-invasive fetoscopic surgery for spina bifida. Ultrasound Obstet. Gynecol. 2016, 47, 521–522. [Google Scholar] [CrossRef] [PubMed][Green Version]
- Sangara, R.N.; Chon, A.H.; Van Speybroeck, A.L.; Chu, J.K.; Llanes, A.S.; Kontopoulos, E.V.; Quintero, R.A.; Chmait, R.H. Fetal blood gases after in utero carbon dioxide insufflation for percutaneous fetoscopic spina bifida repair. J. Obstet. Gynecol. MFM 2021, 3, 100409. [Google Scholar] [CrossRef]
- Baschat, A.A.; Ahn, E.S.; Murphy, J.; Miller, J.L. Fetal blood-gas values during fetoscopic myelomeningocele repair performed under carbon dioxide insufflation. Ultrasound Obstet. Gynecol. 2018, 52, 400–402. [Google Scholar] [CrossRef]
- Belfort, M.A.; Whitehead, W.E.; Shamshirsaz, A.A.; Bateni, Z.H.; Olutoye, O.O.; Olutoye, O.A.; Mann, D.G.; Espinoza, J.; Williams, E.; Lee, T.C.; et al. Fetoscopic Open Neural Tube Defect Repair: Development and Refinement of a Two-Port, Carbon Dioxide Insufflation Technique. Obstet. Gynecol. 2017, 129, 734–743. [Google Scholar] [CrossRef]
- VanderWall, K.J.; Bruch, S.W.; Meuli, M.; Kohl, T.; Szabo, Z.; Adzick, N.S.; Harrison, M.R. Fetal endoscopic (‘Fetendo’) tracheal clip. J. Ped. Surg. 1996, 31, 1101–1103. [Google Scholar] [CrossRef]
- Quintero, R.A.; Morales, W.J.; Bornick, P.W.; Allen, M.H.; Johnson, P.K. Minimally invasive intraluminal tracheal occlusion in a human fetus with left congenital diaphragmatic hernia at 27 weeks’ gestation via direct fetal laryngoscopy. Prenat. Neonatal Med. 2000, 5, 134–140. [Google Scholar]
- Kohl, T.; Große Hartlage, M.; Kienitz, D.; Westphal, M.; Brentrup, A.; Aryee, S.; Achenbach, S.; Buller, T.; Bizjak, G.I.; Stressig, R. Percutaneous fetoscopic tracheal balloon occlusion in sheep—A minimally invasive approach aimed at reduction of maternal injury during fetal surgery for diaphragmatic hernia. Surg. Endosc. Other Interv. Tech. 2003, 17, 1454–1460. [Google Scholar] [CrossRef]
- Wilson, J.M.; DiFiore, J.W.; Peters, C.A. Experimental fetal tracheal ligation prevents the pulmonary hypoplasia associated with fetal nephrectomy: Possible application for congenital di- aphragmatic hernia. J. Pediatr. Surg. 1993, 28, 1433–1439. [Google Scholar] [CrossRef] [PubMed]
- Deprest, J.; Gratacos, E.; Nicolaides, K.H. Fetoscopic tracheal occlusion (FETO) for severe congenital diaphragmatic hernia: Evolution of a technique and preliminary results. Ultrasound Obstet. Gynecol. 2004, 24, 121–126. [Google Scholar] [CrossRef] [PubMed]
- Kohl, T.; Gembruch, U.; Filsinger, B.; Hering, R.; Bruhn, J.; Tchatcheva, K.; Aryee, S.; Franz, A.; Heep, A.; Müller, A.; et al. Encouraging Early Clinical Experience with Deliberately Delayed Temporary Fetoscopic Tracheal Occlusion for the Prenatal Treatment of Life-Threatening Right and Left Congenital Diaphragmatic Hernias. Fetal Diagn. Ther. 2006, 21, 314–318. [Google Scholar] [CrossRef] [PubMed]
- Ruano, R.; Yoshisaki, C.T.; Da Silva, M.M.; Ceccon, M.E.J.; Grasi, M.S.; Tannuri, U.; Zugaib, M. A randomized controlled trial of fetal endoscopic tracheal occlusion versus postnatal management of severe isolated congenital diaphragmatic hernia. Ultrasound Obstet. Gynecol. 2012, 39, 20–27. [Google Scholar] [CrossRef] [PubMed]
- Deprest, J.A.; Nicolaides, K.H.; Benachi, A.; Gratacos, E.; Ryan, G.; Persico, N.; Sago, H.; Johnson, A.; Wielgoś, M.; Berg, C.; et al. Randomized Trial of Fetal Surgery for Severe Left Diaphragmatic Hernia. N. Engl. J. Med. 2021, 385, 107–118. [Google Scholar] [CrossRef] [PubMed]
- Deprest, J.A.; Benachi, A.; Gratacos, E.; Nicolaides, K.H.; Berg, C.; Persico, N.; Belfort, M.; Gardener, G.J.; Ville, Y.; Johnson, A.; et al. Randomized Trial of Fetal Surgery for Moderate Left Diaphragmatic Hernia. N. Engl. J. Med. 2021, 385, 119–129. [Google Scholar] [CrossRef]
- Schaible, T.; Kohl, T.; Reinshagen, K.; Brade, J.; Stressig, R.; Büsing, K. Right- versus left-sided congenital diaphragmatic hernia—Postnatal outcome at a specialized tertiary care center. Pediatr. Crit. Care Med. 2012, 13, 66–67. [Google Scholar] [CrossRef] [PubMed]
- Snoek, K.G.; Greenough, A.; Van Rosmalen, J.; Capolupo, I.; Schaible, T.; Ali, K.; Wijnen, R.M.; Tibboel, D. Congenital Diaphragmatic Hernia: 10-Year Evaluation of Survival, Extracorporeal Membrane Oxygenation, and Foetoscopic Endotracheal Occlusion in Four High-Volume Centres. Neonatology 2018, 113, 63–68. [Google Scholar] [CrossRef]
- Cruz-Martínez, R.; Martínez-Rodríguez, M.; Gámez-Varela, A.; Nieto-Castro, B.; Luna-García, J.; Juárez-Martínez, I.; López-Briones, H.; Guadarrama-Mora, R.; Torres-Torres, J.; Coronel-Cruz, F.; et al. Survival outcome in severe left-sided congenital diaphragmatic hernia with and without fetal endoscopic tracheal occlusion in a country with suboptimal neonatal management. Ultrasound Obstet. Gynecol. 2020, 56, 516–521. [Google Scholar] [CrossRef]
- Jiménez, J.A.; Eixarch, E.; DeKoninck, P.; Bennini, J.R.; Devlieger, R.; Peralta, C.F.; Gratacos, E.; Deprest, J. Balloon removal after fetoscopic endoluminal tracheal occlusion for congenital diaphragmatic hernia. Am. J. Obstet. Gynecol. 2017, 217, 78.e1–78.e11. [Google Scholar] [CrossRef]
- Basurto, D.; Sananès, N.; Bleeser, T.; Valenzuela, I.; De Leon, N.; Joyeux, L.; Verbeken, E.; Vergote, S.; Van der Veeken, L.; Russo, F.M.; et al. Safety and efficacy of smart tracheal occlusion device in diaphragmatic hernia lamb model. Ultrasound Obstet. Gynecol. 2021, 57, 105–112. [Google Scholar] [CrossRef] [PubMed]
- Kastenholz, K.E.; Weis, M.; Hagelstein, C.; Weiss, C.; Kehl, S.; Schaible, T.; Neff, K.W. Correlation of Observed-to-Expected MRI Fetal Lung Volume and Ultrasound Lung-to-Head Ratio at Different Gestational Times in Fetuses With Congenital Diaphragmatic Hernia. Am. J. Roentgenol. 2016, 206, 856–866. [Google Scholar] [CrossRef] [PubMed]
- Weis, M.; Hoffmann, S.; Henzler, C.; Weiss, C.; Schoenberg, S.; Schaffelder, R.; Schaible, T.; Neff, K. Isolated impact of liver herniation on outcome in fetuses with congenital diaphragmatic hernia—A matched-pair analysis based on fetal MRI relative lung volume. Eur. J. Radiol. 2018, 105, 148–152. [Google Scholar] [CrossRef] [PubMed]
- Stressig, R.; Fimmers, R.; Eising, K.; Gembruch, U.; Kohl, T. Intrathoracic herniation of the liver (“liver-up”) is associated with predominant left heart hypoplasia in human fetuses with left diaphragmatic hernia. Ultrasound Obstet. Gynecol. 2011, 37, 272–276. [Google Scholar] [CrossRef]
- Stressig, R.; Fimmers, R.; Eising, K.; Gembruch, U.; Kohl, T. Preferential streaming of the ductus venosus and inferior caval vein toward the right heart is associated with left heart hypoplasia in human fetuses with left-sided diaphragmatic hernia. Heart 2010, 96, 1564–1568. [Google Scholar] [CrossRef]
- Stressig, R.; Fimmers, R.; Axt-Fliedner, R.; Gembruch, U.; Kohl, T. Association of Intrathoracic Herniation of the Liver with Left Heart Hypoplasia in Fetuses with a Left Diaphragmatic Hernia but not in Fetuses with a Right Diaphragmatic Hernia. Ultraschall Der Med. Eur. J. Ultrasound 2011, 32 (Suppl. 2), E151–E156. [Google Scholar] [CrossRef]
- Stressig, R.; Fimmers, R.; Schaible, T.; Degenhardt, J.; Axt-Fliedner, R.; Gembruch, U.; Kohl, T. Preferential streaming of the ductus venosus toward the right atrium is associated with a worse outcome despite a higher rate of invasive procedures in human fetuses with left diaphragmatic hernia. Ultraschall Der Med. Eur. J. Ultrasound 2013, 34, 568–572. [Google Scholar]
- Kohl, T.; Müller, A.; Franz, A.; Heep, A.; Willinek, W.A.; Bartmann, P.; Gembruch, U. Temporary fetoscopic tracheal balloon occlusion enhanced by hyperoncotic lung distension—Is there a role in the treatment of fetal pulmonary hypoplasia from early preterm premature rupture of membranes (ePPROM)? Fet. Diagn. Ther. 2007, 22, 462–465. [Google Scholar] [CrossRef]
- Kohl, T.; Geipel, A.; Tchatcheva, K.; Stressig, R.; Willinek, W.A.; Gembruch, U.; Müller, A. Live-saving effects of fetal tracheal occlusion on pulmonary hypoplasia from preterm premature rupture of membranes. Obstet. Gynecol. 2009, 113, 480–483. [Google Scholar] [CrossRef]
- Kunisaki, S.M. Narrative review of congenital lung lesions. Transl. Pediatr. 2021, 10, 1418–1431. [Google Scholar] [CrossRef]
- Bermúdez, C.; Pérez-Wulff, J.; Arcadipane, M.; Bufalino, G.; Gómez, L.; Flores, L.; Sosa, C.; Bornick, P.W.; Kontopoulos, E.; Quintero, R.A. Percutaneous Fetal Sclerotherapy for Congenital Cystic Adenomatoid Malformation of the Lung. Fetal Diagn. Ther. 2008, 24, 237–240. [Google Scholar] [CrossRef] [PubMed]
- Rosenblat, O.; Furman, Y.; Kimhi, G.; Leibovitch, L.; Mazkereth, R.; Yinon, Y.; Lipitz, S.; Strauss, T.; Weisz, B. In-utero treatment of prenatal thoracic abnormalities by thoraco-amniotic shunts, short and long term neuro developmental outcome: A single center experience. J. Pediatr. Surg. 2022, 57, 364–368. [Google Scholar] [CrossRef] [PubMed]
- Klinkner, D.B.; Atwell, T.; Trad, A.T.A.; Callstrom, M.R.; Qureshi, M.Y.; Stenzel, E.B.; Schenone, M.; Ruano, R. Innovative fetal therapy for a giant congenital pulmonary airway malformation with hydrops. Fetal Diagn. Ther. 2022, 49, 250–255. [Google Scholar] [CrossRef] [PubMed]
- Baud, D.; Windrim, R.; Kachura, J.R.; Jefferies, A.; Pantazi, S.; Shah, P.; Langer, J.C.; Forsey, J.; Chaturvedi, R.R.; Jaeggi, E.; et al. Minimally invasive fetal therapy for hydropic lung masses: Three different approaches and review of the literature. Ultrasound Obstet. Gynecol. 2013, 42, 440–448. [Google Scholar] [CrossRef]
- Morris, L.M.; Lim, F.-Y.; Livingston, J.C.; Polzin, W.J.; Crombleholme, T.M. High-risk fetal congenital pulmonary airway malformations have a variable response to steroids. J. Pediatr. Surg. 2009, 44, 60–65. [Google Scholar] [CrossRef]
- Bruner, J.P.; Jarnagin, B.K.; Reinisch, L. Percutaneous Laser Ablation of Fetal Congenital Cystic Adenomatoid Malformation: Too Little, Too Late? Fetal Diagn. Ther. 2000, 15, 359–363. [Google Scholar] [CrossRef]
- Kafali, H.; Yurtseven, S.; Ozardali, I. Aspiration and alcohol sclerotherapy: A novel method for management of Bartholin’s cyst or abscess. Eur. J. Obstet. Gynecol. Reprod. Biol. 2004, 112, 98–101. [Google Scholar] [CrossRef]
- Lee, F.L.; Said, N.; Grikscheit, T.C.; Shin, C.E.; Llanes, A.; Chmait, R.H. Treatment of congenital pulmonary airway malformation induced hydrops fetalis via percutaneous sclerotherapy. Fetal Diagn. Ther. 2012, 31, 264–268. [Google Scholar] [CrossRef]
- Chon, A.H.; Takeda, M.R.; Felix, J.C.; Chmait, R.H. A Complication of Percutaneous Sclerotherapy for Congenital Pulmonary Airway Malformation: Intravascular Injection and Cardiac Necrosis. Fetal Pediatr. Pathol. 2017, 36, 437–444. [Google Scholar] [CrossRef]
- Gonçalves, A.N.; Correia-Pinto, J.; Nogueira-Silva, C. Imagiological methods for prediction of fetal pulmonary hypoplasia: A systematic review. J. Matern. Neonatal Med. 2021, 34, 1459–1468. [Google Scholar] [CrossRef]
- Barss, V.A.; Benacerraf, B.R.; Frigoletto, F.D. Second trimester oligohydramnios, a predictor of poor fetal outcome. Obstet. Gynecol. 1984, 64, 608–610. [Google Scholar] [PubMed]
- Morris, R.K.; Malin, G.L.; Quinlan-Jones, E.; Middleton, L.J.; Hemming, K.; Burke, D.; Daniels, J.P.; Khan, K.S.; Deeks, J.; Kilby, M.D. Percutaneous vesicoamniotic shunting versus conservative management for fetal lower urinary tract obstruction (PLUTO): A randomised trial. Lancet 2013, 382, 1496–1506. [Google Scholar] [CrossRef] [PubMed]
- Harrison, M.R.; Ross, N.; Noall, R.; de Lorimier, A.A. Correction of congenital hydronephrosis in utero I. The model: Fetal urethral obstruction produces hydronephrosis and pulmonary hypoplasia in fetal lambs. J. Pediatr. Surg. 1983, 18, 247–256. [Google Scholar] [CrossRef] [PubMed]
- Harrison, M.R.; Nakayama, D.K.; Noall, R.; de Lorimier, A.A. Correction of congenital hydronephrosis in utero. II. Decompression reverses the effects of obstruction on the fetal lung and urinay tract. J. Pediatr. Surg. 1982, 17, 965–974. [Google Scholar] [CrossRef] [PubMed]
- Kohl, T.; Fimmers, R.; Axt-Fliedner, R.; Degenhardt, J.; Brückmann, M. Vesico-amniotic shunt insertion prior to the completion of 16 weeks results in improved preservation of renal function in surviving fetuses with isolated severe lower urinary tract obstruction (LUTO). J. Pediatr. Urol. 2022, 18, 116–126. [Google Scholar] [CrossRef] [PubMed]
- Strizek, B.; Gottschalk, I.; Recker, F.; Weber, E.; Flöck, A.; Gembruch, U.; Geipel, A.; Berg, C. Vesicoamniotic shunting for fetal megacystis in the first trimester with a Somatex® intrauterine shunt. Arch. Gynecol. Obstet. 2020, 302, 133–140. [Google Scholar] [CrossRef] [PubMed]
- Quintero, R.A.; Gomez Castro, L.A.; Bermudez, C.; Chmait, R.H.; Kontopoulos, E.V. In utero management of fetal lower urinary tract obstruction with a novel shunt: A landmark development in fetal therapy. J. Matern. Fetal Neonatal Med. 2010, 23, 806–812. [Google Scholar] [CrossRef]
- Dębska, M.; Koleśnik, A.; Kretowicz, P.; Olędzka, A.; Rebizant, B.; Gastoł, P.; Dębski, R. Urethroplasty with balloon catheterization in fetal lower urinary tract obstruction: Observational study of 10 fetuses. Ultrasound Obstet. Gynecol. 2020, 56, 916–920. [Google Scholar] [CrossRef]
- Strizek, B.; Spicher, T.; Gottschalk, I.; Böckenhoff, P.; Simonini, C.; Berg, C.; Gembruch, U.; Geipel, A. Vesicoamniotic Shunting before 17 + 0 Weeks in Fetuses with Lower Urinary Tract Obstruction (LUTO): Comparison of Somatex vs. Harrison Shunt Systems. J. Clin. Med. 2022, 11, 2359. [Google Scholar] [CrossRef]
- Capone, V.; Persico, N.; Berrettini, A.; Decramer, S.; De Marco, E.A.; De Palma, D.; Familiari, A.; Feitz, W.; Herthelius, M.; Kazlauskas, V.; et al. Definition, diagnosis and management of fetal lower urinary tract obstruction: Consensus of the ERKNet CAKUT-Obstructive Uropathy Work Group. Nat. Rev. Urol. 2022, 19, 295–303. [Google Scholar] [CrossRef]
- Farrugia, M.-K. Vesico-amniotic shunt insertion prior to the completion of 16 weeks results in improved preservation of renal function in surviving fetuses with isolated severe lower urinary tract obstruction (LUTO). J. Pediatr. Urol. 2022, 18, 129–130. [Google Scholar] [CrossRef] [PubMed]
- Capone, V.; Persico, N.; Montini, G. Reply to ‘Management of very young fetuses with LUTO’. Nat. Rev. Urol. 2022, 19, 628–629. [Google Scholar] [CrossRef] [PubMed]
- Kohl, T. Letter to the Editor—Early 2nd trimester vesico-amniotic shunt insertion promises a new era of better outcomes for fetuses with isolated severe lower urinary tract obstruction (LUTO). J. Pediatr. Urol. 2022, 18, 127–128. [Google Scholar] [CrossRef] [PubMed]
- Kohl, T. Correspondence—Management of very young fetuses with LUTO. Nat. Rev. Urol. 2022, 19, 628–629. [Google Scholar] [CrossRef] [PubMed]
- Cameron, D.; Lupton, B.A.; Farquharson, D.; Hiruki, T. Amnioinfusions in renal agenesis. Obstet. Gynecol. 1994, 83, 872–876. [Google Scholar] [PubMed]
- O’Hare, E.M.; Jelin, A.C.; Miller, J.L.; Ruano, R.; Atkinson, M.A.; Baschat, A.A.; Jelin, E.B. Amnioinfusions to Treat Early Onset Anhydramnios Caused by Renal Anomalies: Background and Rationale for the Renal Anhydramnios Fetal Therapy Trial. Fetal Diagn. Ther. 2019, 45, 365–372. [Google Scholar] [CrossRef]
- Adzick, N.S.; Thom, E.A.; Spong, C.Y.; Brock, J.W.; Burrows, P.K.; Johnson, M.P.; Howell, L.J.; Farrell, J.A.; Dabrowiak, M.E.; Sutton, L.N.; et al. A Randomized Trial of Prenatal versus Postnatal Repair of Myelomeningocele. N. Engl. J. Med. 2011, 364, 993–1004. [Google Scholar] [CrossRef]
- Simpson, J.L.; Greene, M.F. Fetal surgery for myelomeningocele? N. Engl. J. Med. 2011, 364, 1076–1077. [Google Scholar] [CrossRef]
- Kitagawa, H.; Pringle, K.C. Fetal surgery: A critical review. Pediatr. Surg. Int. 2017, 33, 421–433. [Google Scholar] [CrossRef]
- Bruner, J.P.; Tulipan, N.E.; Richards, W.O. Endoscopic coverage of fetal open myelomeningocele in utero. Am. J. Obstet. Gynecol. 1997, 176, 256–257. [Google Scholar] [CrossRef]
- Kohl, T.; Hartlage, M.G.; Kiehitz, D.; Westphal, M.; Buller, T.; Achenbach, S.; Aryee, S.; Gembruch, U.; Brentrup, A. Percutaneous fetoscopic patch coverage of experimental lumbosacral full-thickness skin lesions in sheep. Surg. Endosc. 2003, 17, 1218–1223. [Google Scholar] [CrossRef] [PubMed]
- Kohl, T. Stand der intrauterinen Therapie bei Spina bifida. Geburtshilfe Frauenheilkd. 2004, 64, 1228–1231. [Google Scholar] [CrossRef]
- Kohl, T.; Hering, R.; Heep, A.; Schaller, C.; Meyer, B.; Greive, C.; Bizjak, G.; Buller, T.; van de Vondel, P.; Gogarten, W.; et al. Percutaneous Fetoscopic Patch Coverage of Spina Bifida Aperta in the Human—Early Clinical Experience and Potential. Fetal Diagn. Ther. 2006, 21, 185–193. [Google Scholar] [CrossRef] [PubMed]
- Kohl, T.; Tchatcheva, K.; Merz, W.; Wartenberg, H.C.; Heep, A.; Müller, A.; Franz, A.; Stressig, R.; Willinek, W.; Gembruch, U. Percutaneous fetoscopic patch closure of spina bifida aperta in the human—Advances in fetal surgical techniques may now obviate the need for early postnatal neurosurgical intervention. Surg. Endosc. 2009, 23, 890–895. [Google Scholar] [CrossRef] [PubMed]
- Kohl, T. Fetoscopic surgery for spina bifida: Surgically important differences between the ovine model and the clinical situation encountered with humans. Surg. Endosc. 2010, 24, 2642–2643. [Google Scholar] [CrossRef]
- Kohl, T. Percutaneous minimally invasive fetoscopic surgery for spina bifida aperta. Part I: Surgical technique and perioperative outcome. Ultrasound Obstet. Gynecol. 2014, 44, 515–524. [Google Scholar] [CrossRef]
- Degenhardt, J.; Schürg, R.; Winarno, A.; Oehmke, F.; Khaleeva, A.; Kawecki, A.; Enzensberger, C.; Tinneberg, H.-R.; Faas, D.; Ehrhardt, H.; et al. Percutaneous minimal-access fetoscopic surgery for spina bifida aperta. Part II: Maternal management and outcome. Ultrasound Obstet. Gynecol. 2014, 44, 525–531. [Google Scholar] [CrossRef] [PubMed]
- Degenhardt, J.; Axt-Fliedner, R.; Enzensberger, C.; Tenzer, A.; Kawecki, A.; Kohl, T. Peri- and postoperative management for minimally invasive fetoscopic surgery of spina bifida. Z. Geburtshilfe Neonatol. 2014, 218, 244–247. [Google Scholar]
- Graf, K.; Kohl, T.; Neubauer, B.A.; Dey, F.; Faas, D.; Wanis, F.A.; Reinges, M.H.; Uhl, E.; Kolodziej, M. Percutaneous minimally-invasive fetoscopic surgery for spina bifida aperta—Part III—Postnatal neurosurgical interventions in the first year of life. Ultrasound Obstet. Gynecol. 2015, 47, 158–161. [Google Scholar] [CrossRef] [PubMed]
- Arens, C.; Koch, C.; Veit, M.; Greenberg, R.S.; Lichtenstern, C.; Weigand, M.A.; Khaleeva, A.; Schuerg, R.; Kohl, T. Anesthetic management for percutaneous minimally invasive fetoscopic surgery of spina bifida aperta—A retrospective, descriptive report of clinical experience. Anesth. Analg. 2017, 125, 219–222. [Google Scholar] [CrossRef]
- Kohl, T. Minimally invasive fetoscopic surgery for spina bifida aperta: Learning and doing. Ultrasound Obstet. Gynecol. 2020, 56, 633. [Google Scholar] [CrossRef]
- Pedreira, D.A.; Zanon, N.; Nishikuni, K.; de Sá, R.A.M.; Acacio, G.L.; Chmait, R.H.; Kontopoulos, E.V.; Quintero, R.A. Endoscopic surgery for the antenatal treatment of myelomeningocele: The CECAM trial. Am. J. Obstet. Gynecol. 2016, 214, 111.e1–111.e11. [Google Scholar] [CrossRef]
- Alatas, I.; Canaz, H.; Özel, K.; Gedikbasi, A.; Kohl, T. Repair of spina bifida aperta with percutaneous minimally-invasive fetoscopic method: First two cases in Turkey. Perinat. J. 2016, 24, 54–60. [Google Scholar] [CrossRef]
- Kosinski, P.; Samaha, R.B.B.; Lipa, M.; Wielgos, M.; Kohl, T. Contemporary management of prenatally diagnosed spina bifida aperta—An update. Ginekol. Pol. 2018, 89, 637–641. [Google Scholar] [CrossRef]
- Cortes, M.S.; Chmait, R.H.; Lapa, D.A.; Belfort, M.A.; Carreras, E.; Miller, J.L.; Samaha, R.B.B.; Gonzalez, G.S.; Gielchinsky, Y.; Yamamoto, M.; et al. Experience of 300 cases of prenatal fetoscopic open spina bifida repair: Report of the International Fetoscopic Neural Tube Defect Repair Consortium. Am. J. Obstet. Gynecol. 2021, 225, 678.e1–678.e11. [Google Scholar] [CrossRef]
- Belfort, M.A.; Whitehead, W.E.; Shamshirsaz, A.A.; Espinoza, J.; Nassr, A.A.; Lee, T.C.; Olutoye, O.O.; Keswani, S.G.; Cortes, M.S. Comparison of two fetoscopic open neural tube defect repair techniques: Single- vs three-layer closure. Ultrasound Obstet. Gynecol. 2020, 56, 532–540. [Google Scholar] [CrossRef]
- Chmait, R.H.; Monson, M.A.; Pham, H.Q.; Chu, J.K.; Van Speybroeck, A.; Chon, A.H.; Kontopoulos, E.V.; Quintero, R.A. Percutaneous/mini-laparotomy fetoscopic repair of open spina bifida: A novel surgical technique. Am. J. Obstet. Gynecol. 2022, 227, 375–383. [Google Scholar] [CrossRef]
- Tubbs, R.S.; Chambers, M.R.; Smyth, M.D.; Bartolucci, A.A.; Bruner, J.P.; Tulipan, N.; Oakes, W.J. Late gestation intrauterine myelomeningocele repair does not improve lower extremity function. Pediatr. Neurosurg. 2003, 38, 128–132. [Google Scholar] [CrossRef]
- Diehl, D.; Belke, F.; Axt-Fliedner, R.; Degenhardt, J.; Khaleeva, A.; Oehmke, F.; Faas, D.; Ehrhardt, H.; Kolodziej, M.; Uhl, E.; et al. Intrauterine Percutaneous Fetoscopic Repair of Myelomeningocele—30 months follow up data. Ultrasound Obstet. Gynecol. 2021, 57, 113–118. [Google Scholar] [CrossRef]
- Verbeek, R.J.; Heep, A.; Maurits, N.; Cremer, R.; Hoving, E.W.; Brouwer, O.F.; Van Der Hoeven, J.H.; Sival, D.A. Fetal endoscopic myelomeningocele closure preserves segmental neurological function. Dev. Med. Child Neurol. 2012, 54, 15–22. [Google Scholar] [CrossRef]
- Ewing, D.C.; Dempsey, R.; Belfort, M.A.; Olutoye, O.O.; Whitehead, W.E.; Hollier, L.H.; Buchanan, E.P. An Unreported Complication After Fetoscopic Myelomeningocele Closure. J. Craniofacial Surg. 2019, 30, 578–580. [Google Scholar] [CrossRef] [PubMed]
- Verbeek, R.; Pastuszka, A.; Koszutski, T.; van der Hoeven, J.; Hoving, E.; Sival, D. The effect of fetally open, fetoscopic and postnatal meningomyelocele closure on neuromuscular outcome in spina bifida aperta—Preliminary data. Eur. J. Paediatr. Neurol. 2017, 21 (Suppl. 1), e83. [Google Scholar] [CrossRef]
- Herrera, S.R.F.; Leme, R.J.D.A.; Valente, P.R.; Caldini, É.G.; Saldiva, P.H.N.; Pedreira, D.A.L. Comparison between two surgical techniques for prenatal correction of meningomyelocele in sheep. Einstein (Sao Paulo) 2012, 10, 455–461. [Google Scholar] [CrossRef] [PubMed]
- Hanson MASpencer, J.A.D.; Rodeck, C.H. Fetus and Neonate—Physiology and Clinical Applications: Volume 1, The Circulation; University Press: Cambridge, UK, 1993; ISBN 0-521-42327-9. [Google Scholar]
- Rasanen, J.; Wood, D.C.; Debbs, R.H.; Cohen, J.; Weiner, S.; Huhta, J.C. Reactivity of the human fetal pulmonary circulation to materno-fetal hyperoxygenation increases during the second half of pregnancy. A randomized study. Circulation 1998, 97, 257–262. [Google Scholar] [CrossRef] [PubMed]
- Kohl, T. Chronic Intermittent Materno-Fetal Hyperoxygenation in Late Gestation May Improve on Hypoplastic Cardiovascular Structures Associated with Cardiac Malformations in Human Fetuses. Pediatr. Cardiol. 2010, 31, 250–263. [Google Scholar] [CrossRef] [PubMed]
- Kohl, T. Effects of maternal–fetal hyperoxygenation on aortic arch flow in a late-gestation human fetus with closed oval foramen at risk for coarctation. J. Thorac. Cardiovasc. Surg. 2011, 142, e67–e69. [Google Scholar] [CrossRef][Green Version]
- Stressig, R.; Axt-Fliedner, R.; Gembruch, U.; Kohl, T. Preferential Ductus Venosus Streaming Toward the Right Heart Is Associated with Left Heart Underdevelopment and Aortic Arch Hypoplasia in Human Fetuses. Ultraschall der Med. Eur. J. Ultrasound 2011, 32, E115–E121. [Google Scholar] [CrossRef]
- Lee, F.-T.; Marini, D.; Seed, M.; Sun, L. Maternal hyperoxygenation in congenital heart disease. Transl. Pediatr. 2021, 10, 2197–2209. [Google Scholar] [CrossRef]
- Kohl, T. Hemodynamic peculiarities and timing may impact on assessment of risks and benefits of the Kohl procedure to treat flow-related cardiovascular hypoplasia in human fetuses. Ultrasound Obstet. Gynecol. 2016, 48, 405. [Google Scholar] [CrossRef]
- Edwards, L.A.; Lara, D.A.; Cortes, M.S.; Hunter, J.V.; Andreas, S.; Nguyen, M.J.; Schoppe, L.J.; Zhang, J.; Smith, E.M.; Maskatia, S.A.; et al. Chronic Maternal Hyperoxygenation and Effect on Cerebral and Placental Vasoregulation and Neurodevelopment in Fetuses with Left Heart Hypoplasia. Fetal Diagn. Ther. 2019, 46, 45–57. [Google Scholar] [CrossRef]
- Sun, L.; Macgowan, C.K.; Sled, J.G.; Yoo, S.J.; Manlhiot, C.; Porayette, P.; Grosse-Wortmann, L.; Jaeggi, E.; McCrindle, B.W.; Kingdom, J.; et al. Reduced fetal cerebral oxygen consumption is associated with smaller brain sizes in fetuses with congenital heart disease. Circulation 2015, 131, 1313–1323. [Google Scholar] [CrossRef]
- Xu, R.; Zhou, J.; Zhou, D.; Deng, W.; Xie, L.; Zhou, Q.; Zeng, S. Fetal brain biometric growth in response to maternal oxygenation in fetuses with left-sided obstructive lesions. Ultrasound Obstet. Gynecol. 2022, 60, 499–505. [Google Scholar] [CrossRef]
- Co-Vu, J.; Lopez-Colon, D.; Vyas, H.V.; Weiner, N.; DeGroff, C. Maternal hyperoxygenation: A potential therapy for congenital heart disease in the fetuses? A systematic review of the current literature. Echocardiography 2017, 34, 1822–1833. [Google Scholar] [CrossRef]
- Zeng, S.; Zhou, J.; Peng, Q.; Deng, W.; Zhang, M.; Zhao, Y.; Wang, T.; Zhou, Q. Sustained maternal hyperoxygenation improves aortic arch dimensions in fetuses with coarctation. Sci. Rep. 2016, 6, 39304. [Google Scholar] [CrossRef]
- Zeng, S.; Zhou, J.; Peng, Q.; Deng, W.; Zang, M.; Wang, T.; Zhou, Q. Sustained Chronic Maternal Hyperoxygenation Increases Myocardial Deformation in Fetuses with a Small Aortic Isthmus at Risk for Coarctation. J. Am. Soc. Echocardiogr. 2017, 30, 992–1000. [Google Scholar] [CrossRef]
- Krishnan, A.; Pike, J.I.; McCarter, R.; Fulgium, A.L.; Wilson, E.; Donofrio, M.T.; Sable, C.A. Predictive Models for Normal Fetal Cardiac Structures. J. Am. Soc. Echocardiogr. 2016, 29, 1197–1206. [Google Scholar] [CrossRef]
- Maxwell, D.; Allan, L.; Tynan, M.J. Balloon dilatation of the aortic valve in the fetus: A report of two cases. Heart 1991, 65, 256–258. [Google Scholar] [CrossRef]
- Kohl, T. Fetal cardiac intervention in congenital heart disease. In New Perspectives on the Fetus as a Patient, 2nd ed.; Chervenak, F., Kurjak, A., Eds.; The Parthenon Publishing Group: New York, NY, USA, 1996; Chapter 22; pp. 297–315. [Google Scholar]
- Pickard, S.S.; Wong, J.B.; Bucholz, E.M.; Newburger, J.W.; Tworetzky, W.; Lafranchi, T.; Benson, C.B.; Wilkins-Haug, L.E.; Porras, D.; Callahan, R.; et al. Fetal Aortic Valvuloplasty for Evolving Hypoplastic Left Heart Syndrome. Circ. Cardiovasc. Qual. Outcomes 2020, 13, e006127. [Google Scholar] [CrossRef]
- Tulzer, A.; Arzt, W.; Gitter, R.; Sames-Dolzer, E.; Kreuzer, M.; Mair, R.; Tulzer, G. Valvuloplasty in 103 fetuses with critical aortic stenosis: Outcome and new predictors for postnatal circulation. Ultrasound Obstet. Gynecol. 2022, 59, 633–641. [Google Scholar] [CrossRef]
- Viciano, A. Kleines Herz, Großer Eingriff, Gruner und Jahr Magazin; Stern: New York, NY, USA, 2014; Volume 3. [Google Scholar]
- Nicolaides, K.H.; Rodeck, C.H. In utero resuscitation after cardiac arrest in a fetus. BMJ 1984, 288, 900–901. [Google Scholar] [CrossRef]












Disclaimer/Publisher’s Note: The statements, opinions and data contained in all publications are solely those of the individual author(s) and contributor(s) and not of MDPI and/or the editor(s). MDPI and/or the editor(s) disclaim responsibility for any injury to people or property resulting from any ideas, methods, instructions or products referred to in the content. |
© 2022 by the author. Licensee MDPI, Basel, Switzerland. This article is an open access article distributed under the terms and conditions of the Creative Commons Attribution (CC BY) license (https://creativecommons.org/licenses/by/4.0/).
Share and Cite
Kohl, T. Lifesaving Treatments for the Tiniest Patients—A Narrative Description of Old and New Minimally Invasive Approaches in the Arena of Fetal Surgery. Children 2023, 10, 67. https://doi.org/10.3390/children10010067
Kohl T. Lifesaving Treatments for the Tiniest Patients—A Narrative Description of Old and New Minimally Invasive Approaches in the Arena of Fetal Surgery. Children. 2023; 10(1):67. https://doi.org/10.3390/children10010067
Chicago/Turabian StyleKohl, Thomas. 2023. "Lifesaving Treatments for the Tiniest Patients—A Narrative Description of Old and New Minimally Invasive Approaches in the Arena of Fetal Surgery" Children 10, no. 1: 67. https://doi.org/10.3390/children10010067
APA StyleKohl, T. (2023). Lifesaving Treatments for the Tiniest Patients—A Narrative Description of Old and New Minimally Invasive Approaches in the Arena of Fetal Surgery. Children, 10(1), 67. https://doi.org/10.3390/children10010067
