Concentric Circles: A New Ultrasonographic Sign for the Diagnosis of Normal Infantile Hip Development
Abstract
1. Introduction
2. Patients and Methods
2.1. Study Group
2.2. Clinical Examination
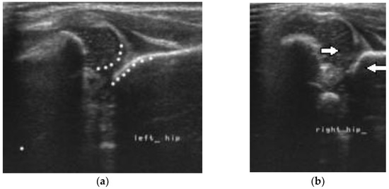
2.3. Ultrasound Examination
3. Results
4. Discussion
5. Conclusions
Author Contributions
Funding
Institutional Review Board Statement
Informed Consent Statement
Data Availability Statement
Conflicts of Interest
References
- Roposch, A.; Protopapa, E.; Malaga-Shaw, O.; Gelfer, Y.; Humphries, P.; Ridout, D.; Wedge, J.H. Predicting developmental dysplasia of the hip in at-risk newborns. BMC Musculoskelet. Disord. 2020, 21, 442. [Google Scholar] [CrossRef] [PubMed]
- Oh, E.J.; Min, J.J.; Kwon, S.-S.; Kim, S.B.; Choi, C.W.; Jung, Y.H.; Oh, K.J.; Park, J.Y.; Park, M.S. Breech Presentation in Twins as a Risk Factor for Developmental Dysplasia of the Hip. J.Pediatr. Orthop. 2022, 42, e55–e58. [Google Scholar] [CrossRef] [PubMed]
- Harsanyi, S.; Zamborsky, R.; Krajciova, L.; Kokavec, M.; Danisovic, L. Developmental Dysplasia of the Hip: A Review of Etiopathogenesis, Risk Factors, and Genetic Aspects. Medicina 2020, 56, 153. [Google Scholar] [CrossRef] [PubMed]
- Graf, R. Hip sonography: Background; technique and common mistakes; results; debate and politics; challenges. Hip Int. 2017, 27, 215–219. [Google Scholar] [CrossRef] [PubMed]
- Gerscovich, E.O. A radiologist’s guide to the imaging in the diagnosis and treatment of developmental dysplasia of the hip. II. Ultrasonography: Anatomy, technique, acetabular angle measurements, acetabular coverage of femoral head, acetabular cartilage thickness, three-dimensional technique, screening of newborns, study of older children. Skelet. Radiol. 1997, 26, 447–456. [Google Scholar]
- KPrice, R.; Dove, R.; Hunter, J.B. The use of X-ray at 5 months in a selective screening programme for developmental dysplasia of the hip. J. Child. Orthop. 2011, 5, 195–200. [Google Scholar]
- Graf, R.; Mohajer, M.; Plattner, F. Hip sonography update. Quality-management, catastrophes—Tips and tricks. Med. Ultrason. 2013, 15, 299–303. [Google Scholar] [CrossRef]
- Rosendahl, K.; Markestad, T.; Lie, R. Ultrasound in the early diagnosis of congenital dislocation of the hip: The significance of hip stability versus acetabular morphology. Pediatr. Radiol. 1992, 22, 430–433. [Google Scholar] [CrossRef]
- Harcke, H.T.; Grissom, L.E. Performing dynamic sonography of the infant hip. Am. J. Roentgenol. 1990, 155, 837–844. [Google Scholar] [CrossRef]
- Schams, M.; Labruyère, R.; Zuse, A.; Walensi, M. Diagnosing developmental dysplasia of the hip using the Graf ultrasound method: Risk and protective factor analysis in 11,820 universally screened newborns. Eur. J. Pediatr. 2017, 176, 1193–1200. [Google Scholar] [CrossRef]
- Roposch, A.A.; Graf, R.; Wright, J.G. Determining the reliability of the Graf classification for hip dysplasia. Clin. Orthop. Relat. Res. 2006, 447, 119–124. [Google Scholar] [CrossRef] [PubMed]
- Wilkinson, A.G.; Wilkinson, S.; Elton, R.A. Values for bony acetabular roof angle and percentage femoral head cover in a selective ultrasoundneonatalhip-screening programme: Effect of age, sex and side. J. Pediatr. Orthop. Part B 2018, 27, 236–243. [Google Scholar] [CrossRef] [PubMed]
- Kolb, A.; Benca, E.; Willegger, M.; Puchner, S.; Windhager, R.; Chiari, C. Measurement considerations on examiner-dependent factors in the ultrasound assessment of developmental dysplasia of the hip. Int. Orthop. 2017, 41, 1245–1250. [Google Scholar] [CrossRef] [PubMed]
- Bilgili, F.; Bilgili, Ç.Ö.; Çetinkaya, E.; Polat, A.; Sungur, İ.; Saglam, Y. Reliability of computer-assisted and manual measurement methods for assessment of Graf Type 1 and Type 2 hip sonograms. J. Ultrasound Med. 2016, 35, 1269–1275. [Google Scholar] [CrossRef] [PubMed]
- Terjesen, T. Ultrasound as the primary imaging method in the diagnosis of hip dysplasia in children aged < 2 years. J. Pediatr. Orthop. Part B 1996, 5, 123–128. [Google Scholar]
- Clarke, N.M.; Harcke, H.T.; McHugh, P.; Lee, M.S.; Borns, P.F.; MacEwen, G.D. Real-time ultrasound in the diagnosis of congenital dislocation and dysplasia of the hip. J. Bone Jt. Surg. Br. Vol. 1985, 67, 406–412. [Google Scholar] [CrossRef]
- Harcke, H.; Grissom, L.E. Infant hip sonography: Current concepts. In Seminars in Ultrasound, CT and MRI; WB Saunders: Philadelphia, AR, USA, 1994; Volume 15, pp. 256–263. [Google Scholar]
- Morin, C.; Harcke, H.T.; MacEwen, G.D. The infant hip: Real-time US assessment of acetabular development. Radiology 1985, 157, 673–677. [Google Scholar] [CrossRef]
- Hosny, G.; Koizumi, W.; Benson, M. Ultrasound screening of the infant’s hip: Introduction of a new combined angle. J. Pediatr. Orthop. Part B 2002, 11, 204–211. [Google Scholar]
- Peterlein, C.D.; Schüttler, K.F.; Lakemeier, S.; Timmesfeld, N.; Görg, C.; Fuchs-Winkelmann, S.; Schofer, M.D. Reproducibility of different screening classifications in ultrasonography of the newbornhip. BMC Pediatr. 2010, 10, 98. [Google Scholar] [CrossRef]
- Falliner, A.; Schwinzer, D.; Hahne, H.J.; Hedderich, J.; Hassenpflug, J. Comparing ultrasound measurements of neonatal hips using the methods of Graf and Terjesen. J. Bone Jt. Surgery. Br. Vol. 2006, 88, 104–106. [Google Scholar] [CrossRef]
- Rosendahl, K.; Aslaksen, A.; Lie, R.T.; Markestad, T.T. Reliability of ultrasound in the early diagnosis of developmental dysplasia of the hip. Pediatr. Radiol. 1995, 25, 219–224. [Google Scholar] [CrossRef]
- Broadhurst, C.; Rhodes, A.M.L.; Harper, P.; Perry, D.C.; Clarke, N.M.P.; Aarvold, A. Incidence of late presentation of DDH in England. Bone Jt. J. 2019, 101-B, 281–287. [Google Scholar] [CrossRef]
- Milligan, D.; Cosgrove, A. Monitoring of a hip surveillance programme protects infants from radiation and surgical intervention. Bone Jt. J. 2020, 102-B, 495–500. [Google Scholar] [CrossRef]
- Marson, A.; Hunter, J.B.; Price, K.R. Value of the ’Clicky Hip’ in Selective screening for developmental dysplasia of the hip. Bone Jt. J. 2019, 101-B, 635–638. [Google Scholar] [CrossRef]
- Humphry, S.; Thompson, D.; Price, N.; Williams, P.R. Clicky hip, to refer or not to refer? Bone Jt. J. 2018, 100-B, 1249. [Google Scholar] [CrossRef]
- Kyung, B.S.; Lee, S.H.; Jeong, W.K.; Park, S.Y. Disparity between clinical and ultrasound examinations in neonatalhip screening. Clin. Orthop. Surg. 2016, 8, 203–209. [Google Scholar] [CrossRef]





| Numberof Infants | Percentage % | |
|---|---|---|
| 2628 | 72% |
|
|
|
| 475 | 13% |
| Number of Infants | Percentage (%) | |
|---|---|---|
| Reduced Abduction | 1798 | 64% |
| LLD and Pelvic Tilt | 56 | 2% |
| Asymmetry of Creases | 168 | 6% |
| Ortolani Positive | 674 | 24% |
| Foot Abnormalities | 112 | 4% |
Disclaimer/Publisher’s Note: The statements, opinions and data contained in all publications are solely those of the individual author(s) and contributor(s) and not of MDPI and/or the editor(s). MDPI and/or the editor(s) disclaim responsibility for any injury to people or property resulting from any ideas, methods, instructions or products referred to in the content. |
© 2023 by the authors. Licensee MDPI, Basel, Switzerland. This article is an open access article distributed under the terms and conditions of the Creative Commons Attribution (CC BY) license (https://creativecommons.org/licenses/by/4.0/).
Share and Cite
Laliotis, N.; Chrysanthou, C.; Konstandinidis, P. Concentric Circles: A New Ultrasonographic Sign for the Diagnosis of Normal Infantile Hip Development. Children 2023, 10, 168. https://doi.org/10.3390/children10010168
Laliotis N, Chrysanthou C, Konstandinidis P. Concentric Circles: A New Ultrasonographic Sign for the Diagnosis of Normal Infantile Hip Development. Children. 2023; 10(1):168. https://doi.org/10.3390/children10010168
Chicago/Turabian StyleLaliotis, Nikolaos, Chrysanthos Chrysanthou, and Panagiotis Konstandinidis. 2023. "Concentric Circles: A New Ultrasonographic Sign for the Diagnosis of Normal Infantile Hip Development" Children 10, no. 1: 168. https://doi.org/10.3390/children10010168
APA StyleLaliotis, N., Chrysanthou, C., & Konstandinidis, P. (2023). Concentric Circles: A New Ultrasonographic Sign for the Diagnosis of Normal Infantile Hip Development. Children, 10(1), 168. https://doi.org/10.3390/children10010168

