Reduced Interleukin-17-Expressing Cells in Cutaneous Melanoma
Abstract
:1. Introduction
2. Materials and Methods
2.1. Patients
2.2. Cell Culture
2.3. Immunohistochemistry
2.4. TIL Isolation and Growth
2.5. Flow Cytometric Analysis
2.6. ELISA
2.7. Real-Time RT-PCR
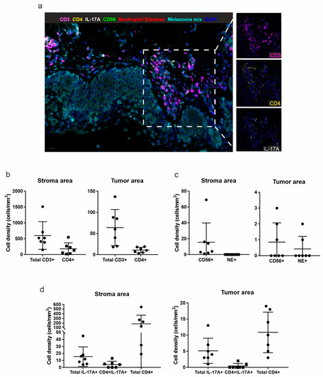
2.8. Multiplex Fluorescence Immunohistochemistry
2.9. Statistical Analysis
3. Results
3.1. Low Amounts of IL-17A-Expressing Cells Are Present among the TILs
3.2. Low Amount of Th-17 Cells Are Present in the Original Melanoma Biopsies
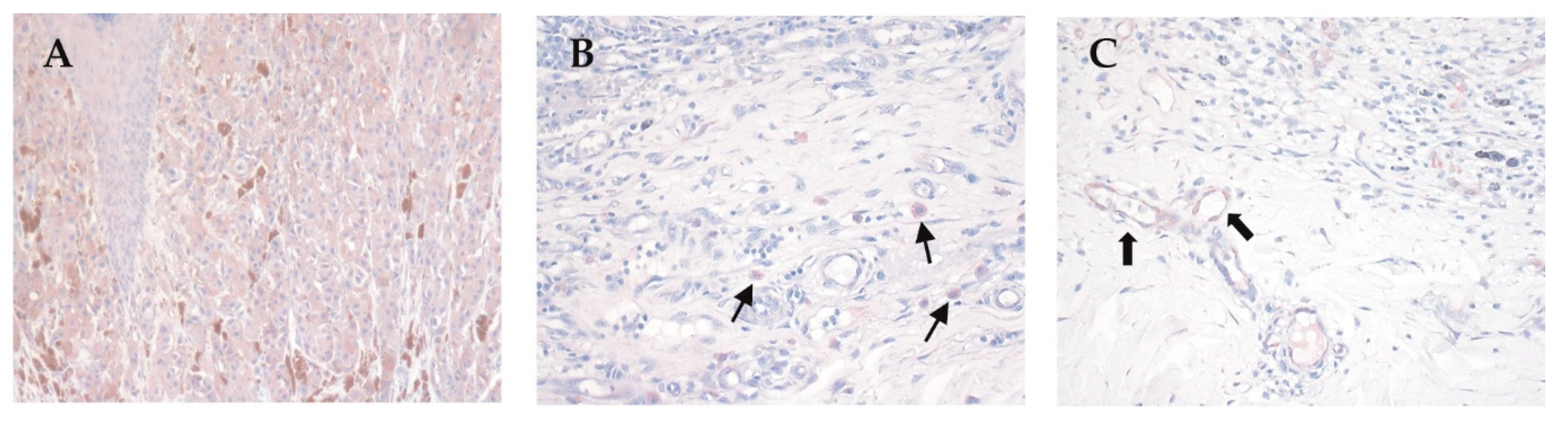
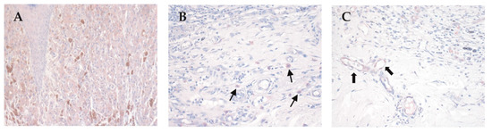
3.3. Placenta Growth Factor Expression in Melanoma Does Not Support Differentiation of IL-17A-Expressing Cells
3.4. Melanoma Cell Lines Did Not Express IL-17A Receptor In Vitro
4. Discussion
Supplementary Materials
Author Contributions
Funding
Institutional Review Board Statement
Informed Consent Statement
Data Availability Statement
Conflicts of Interest
References
- Fridman, W.H.; Zitvogel, L.; Sautès-Fridman, C.; Kroemer, G. The immune contexture in cancer prognosis and treatment. Nat. Rev. Clin. Oncol. 2017, 14, 717–734. [Google Scholar] [CrossRef]
- Dvorak, H.F. Tumors: Wounds that do not heal. Similarities between tumor stroma generation and wound healing. N. Engl. J. Med. 1986, 315, 1650–1659. [Google Scholar] [PubMed]
- Clark, W.H., Jr.; Elder, D.K.; Guerry, D., IV; Braitman, L.E.; Trock, B.J.; Schultz, D.; Synnestvedt, M.; Halpern, A.C. Model predicting survival in stage I melanoma based on tumor progression. J. Natl. Cancer Inst. 1989, 81, 1893–1904. [Google Scholar] [CrossRef] [PubMed]
- Clemente, C.G.; Mihm, M.C., Jr.; Bufalino, R.; Zurrida, S.; Collini, P.; Cascinelli, N. Prognostic value of tumor infiltrating lymphocytes in the vertical growth phase of primary cutaneous melanoma. Cancer 1996, 77, 1303–1310. [Google Scholar] [CrossRef]
- Fortes, C.; Mastroeni, S.; Mannooranparampil, T.J.; Passarelli, F.; Zappalà, A.; Annessi, G.; Marino, C.; Caggiati, A.; Russo, N.; Michelozzi, P. Tumor-infiltrating lymphocytes predict cutaneous melanoma survival. Melanoma Res. 2015, 25, 306–311. [Google Scholar] [CrossRef] [PubMed] [Green Version]
- Lee, N.; Zakka, L.R.; Mihm, M.C.; Schatton, T. Tumour-infiltrating lymphocytes in melanoma prognosis and cancer immunotherapy. Pathology 2016, 48, 177–187. [Google Scholar] [CrossRef] [PubMed]
- Fu, Q.; Chen, N.; Ge, C.; Li, R.; Li, Z.; Zeng, B.; Li, C.; Wang, Y.; Xue, Y.; Song, X.; et al. Prognostic value of tumor-infitrating lymphocytes in melanoma: A systematic review and meta-analysis. Oncoimmunology 2019, 8, e1593806. [Google Scholar] [CrossRef] [PubMed] [Green Version]
- Azimi, F.; Scolyer, R.A.; Rumcheva, P.; Moncrieff, M.; Murali, R.; McCarthy, S.W.; Saw, R.P.; Thompson, J.F. Tumor-infiltrating lymphocyte grade is an independent predictor of sentinel lymph node status and survival in patients with cutaneous melanoma. J. Clin. Oncol. 2012, 30, 2678–2683. [Google Scholar] [CrossRef]
- Galluzzi, L.; Buqué, A.; Kepp, O.; Zitvogel, L.; Kroemer, G. Immunological effects of conventional chemotherapy and targeted anticancer agents. Cancer Cell 2015, 28, 690–714. [Google Scholar] [CrossRef] [Green Version]
- Thorsson, V.; Gibbs, D.L.; Brown, S.D.; Wolf, D.; Bortone, D.S.; Porta-Pardo, E.; Gao, G.F.; Plaisier, C.L.; Eddy, J.A.; Ziv, E.; et al. The immune landscape of cancer. Immunity 2018, 48, 812–830. [Google Scholar] [CrossRef] [Green Version]
- Motz, G.T.; Coukos, G. Deciphering and reversing tumor immune suppression. Immunity 2013, 39, 61–73. [Google Scholar] [CrossRef] [PubMed] [Green Version]
- Weiss, S.A.; Han, S.W.; Lui, K.; Tchack, J.; Shapiro, R.; Berman, R.; Zhong, J.; Krogsgaard, M.; Osman, I.; Darvishian, F. Immunologic heterogeneity of tumor-infiltrating lymphocyte composition in primary melanoma. Hum. Pathol. 2016, 57, 116–125. [Google Scholar] [CrossRef] [PubMed] [Green Version]
- Gartrell, R.D.; Marks, D.K.; Hart, T.D.; Li, G.; Davari, D.R.; Wu, A.; Blake, Z.; Lu, Y.; Askin, K.N.; Monod, A.; et al. Quantitative analysis of immune infiltrates in primary melanoma. Cancer Immunol. Res. 2018, 6, 481–493. [Google Scholar] [CrossRef] [PubMed] [Green Version]
- Antohe, M.; Nedelcu, R.I.; Nichita, L.; Popp, C.G.; Cioplea, M.; Brinzea, A.; Hodorogea, A.; Calinescu, A.; Balaban, M.; Ion, D.A.; et al. Tumor infiltrating lymphocytes: The regulator of melanoma evolution. Oncol. Lett. 2019, 17, 4155–4161. [Google Scholar] [CrossRef] [PubMed]
- Bai, R.; Lv, Z.; Xu, D.; Cui, J. Predictive biomarkers for cancer immunotherapy with immune checkpoint inhibitors. Biomarker Res. 2020, 8, 34. [Google Scholar] [CrossRef]
- Fridman, W.H.; Pagès, F.; Sautès-Fridman, C.; Galon, J. The immune contexture in human tumours: Impact on clinical outcome. Nat. Rev. Cancer 2012, 12, 298–306. [Google Scholar] [CrossRef]
- Gerber, A.L.; Münst, A.; Schlapbach, C.; Shafighi, M.; Kiermeir, D.; Hüsler, R.; Hunger, R.E. High expression of FOXP3 in primary melanoma is associated with tumour progression. Br. J. Dermatol. 2014, 170, 103–109. [Google Scholar] [CrossRef] [PubMed]
- Hemdan, N.Y.A. Anti-cancer versus cancer-promoting effects of the interleukin-17-producing T helper cells. Immunol. Lett. 2013, 149, 123–133. [Google Scholar] [CrossRef]
- Lee, Y.K.; Turner, H.; Maynard, C.L.; Oliver, J.R.; Chen, D.; Elson, C.O.; Weaver, C.T. Late developmental plasticity in the T helper 17 lineage. Immunity 2009, 30, 92–107. [Google Scholar] [CrossRef] [PubMed] [Green Version]
- Bending, D.; De La Peña, H.; Veldhoen, M.; Phillips, J.M.; Uyttenhove, C.; Stockinger, B.; Cooke, A. Highly purified Th17 cells from BDC2.5NOD mice convert into Th1-like cells in NOD/SCID recipient mice. J. Clin. Investig. 2009, 1119, 565–572. [Google Scholar] [CrossRef] [Green Version]
- Ye, J.; Su, X.; Hsueh, E.C.; Zhang, Y.; Koenig, J.M.; Hoft, D.F.; Peng, G. Human tumor-infiltrating Th17 cells have the capacity to differentiate into IFN-g+ and FOXP3+ T cells with potent suppressive function. Eur. J. Immunol. 2011, 41, 936–951. [Google Scholar] [CrossRef]
- Bailey, S.R.; Nelson, M.H.; Himes, R.A.; Li, Z.; Mehrotra, S.; Paulos, C.M. Th17 cells in cancer: The ultimate identity crisis. Front. Immunol. 2014, 5, 1664–3224. [Google Scholar] [CrossRef] [PubMed] [Green Version]
- Chen, C.; Gao, F.-H. Th17 cells paradoxical roles in melanoma and potential application in immunotherapy. Front. Immunol. 2019, 10, 187. [Google Scholar] [CrossRef] [PubMed] [Green Version]
- Su, X.; Ye, J.; Hsueh, E.C.; Zhang, Y.; Hoft, D.F.; Peng, G. Tumor microenvironments direct the recruitment and expansion of human Th17. J. Immunol. 2010, 184, 1630–1641. [Google Scholar] [CrossRef] [PubMed]
- Yan, B.Y.; Garcet, S.; Gulati, N.; Kiecker, F.; Fuentes-Duculan, J.; Gilleaudeau, P.; Sullivan-Whalen, M.; Shemer, A.; Mitsui, H.; Krueger, J.G. Novel immune signatures associated with dysplastic naevi and primary cutaneous melanoma in human skin. Exp. Dermatol. 2019, 28, 35–44. [Google Scholar] [CrossRef]
- Muranski, P.; Boni, A.; Antony, P.A.; Cassard, L.; Irvine, K.R.; Kaiser, A.; Paulos, C.M.; Palmer, D.C.; Touloukian, C.E.; Ptak, K.; et al. Tumor-specific Th17-polarized cells eradicate large established melanoma. Blood 2008, 112, 362–373. [Google Scholar] [CrossRef] [Green Version]
- Martin-Orozco, N.; Muranski, P.; Chung, Y.; Yang, X.O.; Yamazaki, T.; Lu, S.; Hwu, P.; Restifo, N.P.; Overwijk, W.W.; Dong, C. T helper 17 cells promote cytotoxic T cell activation in tumor immunity. Immunity 2009, 31, 787–798. [Google Scholar] [CrossRef] [PubMed] [Green Version]
- Nardinocchi, L.; Sonego, G.; Passarelli, F.; Avitabile, S.; Scarponi, C.; Failla, C.M.; Simoni, S.; Albanesi, C.; Cavani, A. Interleukin-17 and interleukin-22 promote tumorprogression in human nonmelanoma skin cancer. Eur. J. Immunol. 2015, 45, 922–931. [Google Scholar] [CrossRef]
- Lacal, P.; Failla, C.M.; Pagani, E.; Odorisio, T.; Schietroma, C.; Cianfarani, F.; Falcinelli, S.; Zambruno, G.; D’Atri, S. Human melanoma cells secrete and respond to placenta growth factor and vascular endothelial growth factor. J. Investig. Dermatol. 2000, 115, 1000–1007. [Google Scholar] [CrossRef] [Green Version]
- Acosta-Rodriguez, E.V.; Napolitani, G.; Lanzavecchia, A.; Sallusto, F. Interleukins 1b and 6 but not transforming growth factor-b are essential for the differentiation of interleukin 17-producing human T helper cells. Nat. Immunol. 2007, 8, 942–949. [Google Scholar] [CrossRef] [PubMed]
- Cosmi, L.; De Palma, R.; Santarlasci, V.; Maggi, L.; Capone, M.; Frosali, F.; Rodolico, G.; Querci, V.; Abbate, G.; Angeli, R.; et al. Human interleukin 17-producing cells originate from CD161+ CD4+ T cell precursor. J. Exp. Med. 2008, 205, 1903–1916. [Google Scholar] [CrossRef] [PubMed]
- Ghoreschi, K.; Laurence, A.; Yang, X.-P.; Tato, C.M.; McGeachy, M.J.; Konkel, J.E.; Ramos, H.L.; Wei, L.; Davidson, T.S.; Bouladoux, N.; et al. Generation of pathogenic Th17 cells in the absence of TGF-b signalling. Nature 2010, 467, 967–971. [Google Scholar] [CrossRef] [PubMed] [Green Version]
- Fortes, C.; Mastroeni, S.; Caggiati, A.; Passarelli, F.; Ricci, F.; Michelozzi, P. High level of TILs is an independent predictor of negative sentinel lymph node in women but not in men. Arch. Dermatol. Res. 2021, 313, 57–61. [Google Scholar] [CrossRef] [PubMed]
- Guenova, E.; Skabytska, Y.; Hoetzenecker, W.; Weindl, G.; Sauer, K.; Tham, M.; Kim, K.-W.; Park, J.-H.; Seo, J.H.; Ignatova, D.; et al. IL-4 abrogates Th17 cell-mediated inflammation by selectively silencing of IL-23 in antigen-presenting cells. Proc. Natl. Acad. Sci. USA 2015, 112, 2163–2168. [Google Scholar] [CrossRef] [PubMed] [Green Version]
- Zielinski, C.E.; Mele, F.; Aschenbrenner, D.; Jarrossay, D.; Ronchi, F.; Gattorno, M.; Monticelli, S.; Lanzavecchia, A.; Sallusto, F. Pathogen-induced human TH17 cells produce IFN-γ or IL-10 and are regulated by IL-1β. Nature 2012, 484, 514–518. [Google Scholar] [CrossRef]
- Yoo, S.-A.; Kim, M.; Kang, M.-C.; Kong, J.-S.; Kim, K.-M.; Lee, S.; Hong, B.-K.; Jeong, G.H.; Lee, J.; Shin, M.-G.; et al. Placental growth factor regulates the generation of T H 17 cells to link angiogenesis with autoimmunity. Nat. Immunol. 2019, 20, 1348–1359. [Google Scholar] [CrossRef]
- Kryczek, I.; Wei, S.; Zou, L.; Altuwaijri, S.; Szeliga, W.; Kolls, J.; Chang, A.; Zou, W. Cuttimg Edge: Th17 and regulatory T cell dynamics and the regulation by IL-2 in the tumor microenvironment. J. Immunol. 2007, 178, 6730–6733. [Google Scholar] [CrossRef]
- Kryczek, I.; Banerjee, M.; Cheng, P.; Vatan, L.; Szeliga, W.; Wei, S.; Huang, E.; Finlayson, E.; Simeone, D.; Welling, T.H.; et al. Phenotype, distribution, generation, and functional and clinical relevance of Th17 cells in the human tumor environments. Blood 2009, 114, 1141–1149. [Google Scholar] [CrossRef] [Green Version]
- Paradisi, A.; Tabolli, S.; Didona, B.; Sobrino, L.; Russo, N.; Abeni, D. Reduced frequency of melanoma in 72,739 patients with psoriasis: A retrospective study. Eur. J. Dermatol. 2015, 25, 133–137. [Google Scholar] [CrossRef]
- Paradisi, A.; Didona, B.; Tabolli, S.; Ricci, F.; Sobrino, L.; Panebianco, A.; Abeni, D. Reduced frequency of non-melanoma skin cancer in 72,739 patients with psoriasis: A retrospective study. Eur. J. Dermatol. 2017, 27, 359–362. [Google Scholar] [CrossRef]
- Sinnamon, A.J.; Sharon, C.E.; Song, Y.; Neuwirth, M.G.; Elder, D.E.; Xu, X.; Chu, E.Y.; Ming, M.E.; Fraker, D.L.; Gimotty, P.A.; et al. The prognostic significance of tumor-infiltrating lymphocytes for primary melanoma varies by sex. J. Am. Acad. Dermatol. 2018, 79, 245–251. [Google Scholar] [CrossRef] [PubMed]
- Ganzetti, G.; Rubini, C.; Campanati, A.; Zizzi, A.; Molinelli, E.; Rosa, L.; Simonacci, F.; Offidani, A. IL-17, IL-23, and p73 expression in cutaneous melanoma: A pilot study. Melanoma Res. 2015, 25, 232–238. [Google Scholar] [CrossRef] [PubMed]
- Suzuki, T.; Hirakawa, S.; Shimauchi, T.; Ito, T.; Sakabe, J.-i.; Detmar, M.; Tokura, Y. VEGF-A promotes IL-17A-producing γδ T cell accumulation in mouse skin and serves as a chemotactic factor for plasmacytoid dendritic cells. J. Dermatol. Sci. 2014, 74, 116–124. [Google Scholar] [CrossRef] [PubMed] [Green Version]
- Chung, A.S.; Wu, X.; Zhauang, G.; Ngu, H.; Kasman, I.; Zhang, J.; Vernes, J.-M.; Jiang, Z.; Meng, Y.G.; Peale, F.V.; et al. An interleukin-17-mediated paracrine network promotes tumor resistance to anti-angiogenic therapy. Nat. Med. 2013, 19, 1114–1123. [Google Scholar] [CrossRef] [PubMed]





| Characteristics | All | IL-17A Low (≤10.0) | IL-17A Medium (10.1–17.9) | IL-17A High (≥18.0) | p Value b |
|---|---|---|---|---|---|
| N = 26 | (n = 9) | (n = 9) | (n = 8) | ||
| N a (%) | N a (%) | N a (%) | N a (%) | ||
| Sex | |||||
| Males | 12 (46.1) | 1 (11.1) | 5 (55.6) | 6 (75.0) | |
| Females | 14 (53.9) | 8 (88.9) | 4 (44.4) | 2 (25.0) | 0.026 |
| Age, years | |||||
| median (IQR) | 61 (49–73) | 55 (46–81) | 60 (41–68) | 65 (54–72) | 0.576 c |
| <60 | 12 (46.1) | 5 (55.6) | 4 (44.4) | 3 (37.5) | |
| ≥60 | 14 (53.9) | 4 (44.4) | 5 (55.6) | 5 (62.5) | 0.885 |
| Breslow thickness, mm | |||||
| median (IQR) | 5.0 (3.3–8.0) | 7.0 (5.0–9.0) | 5.0 (4.0–5.0) | 4.5 (2.9–6.3) | 0.402 c |
| ≤4.00 | 9 (34.6) | 2 (22.2) | 3 (33.3) | 4 (50.0) | |
| ≥4.01 | 17 (65.4) | 7 (77.8) | 6 (66.7) | 4 (50.0) | 0.521 |
| Anatomic site | |||||
| Head/neck | 3 (11.5) | 2 (22.2) | 1 (11.1) | 0 (-) | |
| Trunk | 10 (38.5) | 3 (33.3) | 4 (44.4) | 3 (37.5) | |
| Limbs | 13 (50.0) | 4 (44.4) | 4 (44.4) | 5 (62.5) | 0.894 |
| Histological type | |||||
| superficial spreading | 9 (36.0) | 2 (22.2) | 5 (62.5) | 2 (25.0) | |
| nodular | 16 (64.0) | 7 (77.8) | 3 (37.5) | 6 (75.0) | 0.264 |
| Mitotic rate | |||||
| low (<1 mitosis/mm2) | 4 (25.0) | 2 (28.6) | 1 (20.0) | 1 (25.0) | |
| high (≥1 mitoses/mm2) | 12 (75.0) | 5 (71.4) | 4 (80.0) | 3 (75.0) | 1 |
| Presence of ulceration | |||||
| no | 17 (65.4) | 6 (66.7) | 4 (44.4) | 7 (87.5) | |
| yes | 9 (34.6) | 3 (33.3) | 5 (55.6) | 1 (12.5) | 0.264 |
| Cell type | |||||
| epithelioid | 20 (80.0) | 8 (88.9) | 6 (75.0) | 6 (75.0) | |
| other | 5 (20.0) | 1 (11.1) | 2 (25.0) | 2 (25.0) | 0.696 |
| TILs | |||||
| scantly | 10 (76.9) | 4 (100.0) | 2 (50.0) | 4 (80.0) | |
| moderate | 3 (23.1) | 0 (-) | 2 (50.0) | 1 (20.0) | |
| marked | 0 (-) | 0 (-) | 0 (-) | 0 (-) | 0.441 |
| Sentinel lymph node status | |||||
| negative | 7 (70.0) | 2 (50.0) | 2 (66.7) | 3 (100.0) | |
| positive | 3 (30.0) | 2 (50.0) | 1 (33.3) | 0 (-) | 0.700 |
| Patient | Sex | Age at Diagnosis | Anatomic Site | Breslow Thickness | Histological Type | Mitotic Rate a | Ulceration | Extraction Biopsy | BRAF Mutation |
|---|---|---|---|---|---|---|---|---|---|
| 1 | F | 49.3 | trunk | 2.5 mm | SSM | high | no | primary | yes |
| 2 | M | 55.5 | lower limb | 1.4 mm | nodular | high | no | metastasis | yes |
| 3 | F | 84.6 | lower limb | 5.0 mm | SSM | high | yes | metastasis | yes |
| 4 | M | 41.4 | trunk | 1.1 mm | SSM | high | no | primary | no |
| 5 | M | 64.6 | lower limb | 4.9 mm | nodular | high | yes | metastasis | no |
| 6 | F | 39.9 | lower limb | 2.5 mm | nodular | high | no | metastasis | no |
| 7 | M | 58.4 | trunk | 0.5 mm | SSM | NA | no | metastasis | no |
| Characteristics | Tumor PlGF-Expressing Cells | p Value b | PlGF-Expressing Vessels | p Value b | PlGF-Expressing Infiltrating Cells | p Value b | ||||
|---|---|---|---|---|---|---|---|---|---|---|
| Low (n = 10) | Medium (n = 10) | High (n = 6) | Yes (n = 22) | No (n = 4) | Yes (n = 11) | No (n = 15) | ||||
| N a (%) | N a (%) | N a (%) | N a (%) | N a (%) | N a (%) | N a (%) | ||||
| Sex | ||||||||||
| Males | 5 (50.0) | 3 (30.0) | 4 (66.7) | 12 (54.6) | 0 (-) | 5 (45.5) | 9 (60.0) | |||
| Females | 5 (50.0) | 7 (70.0) | 2 (33.3) | 0.372 | 10 (45.5) | 4 (100.0) | 0.100 | 6 (54.6) | 6 (40.0) | 0.692 |
| Age, years | ||||||||||
| median (IQR) | 49 (41–75) | 67 (54–77) | 64 (55–69) | 0.344 c | 61 (49–73) | 52 (48–65) | 0.570 c | 68 (55–75) | 54 (46–72) | 0.204 c |
| <60 | 6 (60.0) | 4 (40.0) | 2 (33.3) | 9 (40.9) | 3 (75.0) | 4 (36.4) | 8 (53.3) | |||
| ≥60 | 4 (40.0) | 6 (60.0) | 4 (66.7) | 0.682 | 13 (59.1) | 1 (25.0) | 0.306 | 7 (63.6) | 7 (46.7) | 0.453 |
| Breslow thickness, mm | ||||||||||
| median (IQR) | 5.0 (4.5–8.0) | 4.5 (2.5–9.0) | 5.0 (4.0–7.0) | 0.840 c | 5.0 (3.3–7.0) | 6.9 (3.9–8.5) | 0.617 c | 5.0 (2.5–10.0) | 5.0 (4.0–7.0) | 0.876 c |
| ≤4.00 | 2 (20.0) | 5 (50.0) | 2 (33.3) | 8 (36.4) | 1 (25.0) | 5 (45.5) | 4 (26.7) | |||
| ≥4.01 | 8 (80.0) | 5 (50.0) | 4 (66.7) | 0.344 | 14 (63.6) | 3 (75.0) | 1 | 6 (54.6) | 11 (73.3) | 0.419 |
| Anatomic site | ||||||||||
| Head/neck | 1 (10.0) | 2 (20.0) | 0 (-) | 2 (9.1) | 1 (25.0) | 0 (-) | 3 (20.0) | |||
| Trunk | 5 (50.0) | 3 (30.0) | 2 (33.3) | 10 (45.5) | 0 (-) | 6 (54.6) | 4 (26.7) | |||
| Limbs | 4 (40.0) | 5 (50.0) | 4 (66.7) | 0.764 | 10 (45.5) | 3 (75.0) | 0.196 | 5 (45.4) | 8 (53.3) | 0.366 |
| Histological type | ||||||||||
| superficial spreading | 3 (30.0) | 2 (22.2) | 4 (66.7) | 8 (38.1) | 1 (25.0) | 5 (45.5) | 4 (28.6) | |||
| nodular | 7 (70.0) | 7 (77.8) | 2 (33.3) | 0.239 | 13 (61.9) | 3 (75.0) | 1 | 6 (54.6) | 10 (71.4) | 0.434 |
| Mitotic rate | ||||||||||
| low (<1 mitosis/mm2) | 2 (28.6) | 1 (20.0) | 1 (25.0) | 2 (16.7) | 2 (50.0) | 0 (-) | 4 (40.0) | |||
| high (≥1 mitoses/mm2) | 5 (71.4) | 4 (80.0) | 3 (75.0) | 1 | 10 (83.3) | 2 (50.0) | 0.245 | 6 (100.0) | 6 (60.0) | 0.234 |
| Presence of ulceration | ||||||||||
| no | 6 (60.0) | 8 (80.0) | 3 (50.0) | 15 (68.2) | 2 (50.0) | 8 (72.7) | 9 (60.0) | |||
| yes | 4 (40.0) | 2 (20.0) | 3 (50.0) | 0.581 | 7 (31.8) | 2 (50.0) | 0.591 | 3 (27.3) | 6 (40.0) | 0.683 |
| Cell type | ||||||||||
| epithelioid | 9 (90.0) | 7 (77.8) | 4 (66.7) | 16 (76.2) | 4 (100.0) | 8 (72.7) | 12 (85.7) | |||
| other | 1 (10.0) | 2 (22.2) | 2 (33.3) | 0.581 | 5 (23.8) | 0 (-) | 0.549 | 3 (27.3) | 2 (14.3) | 0.623 |
| TILs | ||||||||||
| scantly | 3 (60.0) | 4 (80.0) | 3 (100.0) | 7 (70.0) | 3 (100.0) | 4 (80.0) | 6 (75.0) | |||
| moderate | 2 (40.0) | 1 (20.0) | 0 (-) | 3 (30.0) | 0 (-) | 1 (20.0) | 2 (25.0) | |||
| marked | 0 (-) | 0 (-) | 0 (-) | 0.738 | 0 (-) | 0 (-) | 0.528 | 0 (-) | 0 (-) | 1 |
| Sentinel lymph node status | ||||||||||
| negative | 2 (66.7) | 4 (80.0) | 1 (50.0) | 6 (75.0) | 1 (50.0) | 5 (100.0) | 2 (40.0) | |||
| positive | 1 (33.3) | 1 (20.0) | 1 (50.0) | 1 | 2 (25.0) | 1 (50.0) | 1 | 0 (-) | 3 (60.0) | 0.167 |
Publisher’s Note: MDPI stays neutral with regard to jurisdictional claims in published maps and institutional affiliations. |
© 2021 by the authors. Licensee MDPI, Basel, Switzerland. This article is an open access article distributed under the terms and conditions of the Creative Commons Attribution (CC BY) license (https://creativecommons.org/licenses/by/4.0/).
Share and Cite
Tosi, A.; Nardinocchi, L.; Carbone, M.L.; Capriotti, L.; Pagani, E.; Mastroeni, S.; Fortes, C.; Scopelliti, F.; Cattani, C.; Passarelli, F.; et al. Reduced Interleukin-17-Expressing Cells in Cutaneous Melanoma. Biomedicines 2021, 9, 1930. https://doi.org/10.3390/biomedicines9121930
Tosi A, Nardinocchi L, Carbone ML, Capriotti L, Pagani E, Mastroeni S, Fortes C, Scopelliti F, Cattani C, Passarelli F, et al. Reduced Interleukin-17-Expressing Cells in Cutaneous Melanoma. Biomedicines. 2021; 9(12):1930. https://doi.org/10.3390/biomedicines9121930
Chicago/Turabian StyleTosi, Anna, Lavinia Nardinocchi, Maria Luigia Carbone, Lorena Capriotti, Elena Pagani, Simona Mastroeni, Cristina Fortes, Fernanda Scopelliti, Caterina Cattani, Francesca Passarelli, and et al. 2021. "Reduced Interleukin-17-Expressing Cells in Cutaneous Melanoma" Biomedicines 9, no. 12: 1930. https://doi.org/10.3390/biomedicines9121930
APA StyleTosi, A., Nardinocchi, L., Carbone, M. L., Capriotti, L., Pagani, E., Mastroeni, S., Fortes, C., Scopelliti, F., Cattani, C., Passarelli, F., Rosato, A., D’Atri, S., Failla, C. M., & Cavani, A. (2021). Reduced Interleukin-17-Expressing Cells in Cutaneous Melanoma. Biomedicines, 9(12), 1930. https://doi.org/10.3390/biomedicines9121930

