Possible Association between Bladder Wall Morphological Changes on Computed Tomography and Bladder-Centered Interstitial Cystitis/Bladder Pain Syndrome
Abstract
:1. Introduction
2. Materials and Methods
Statistical Analysis
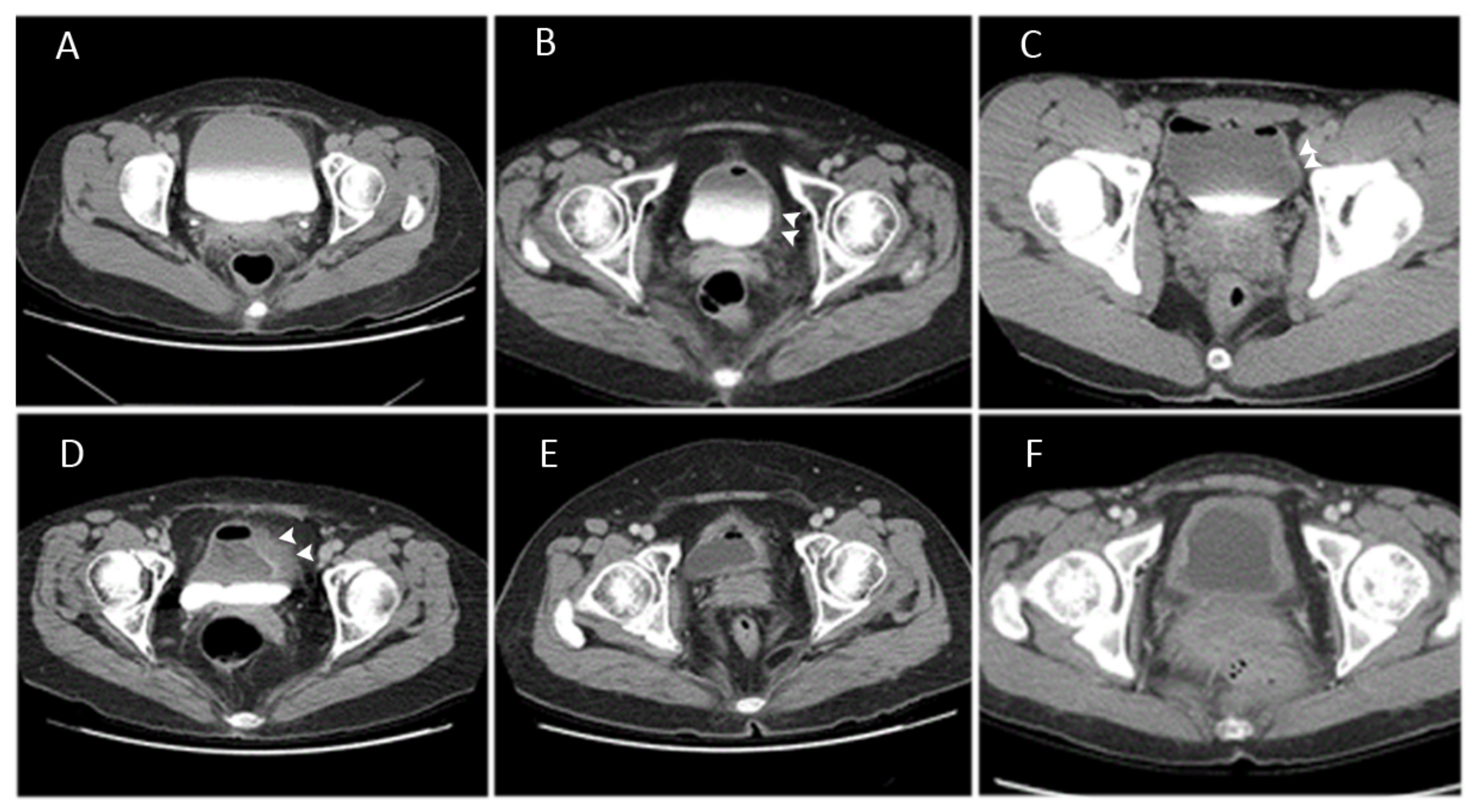
3. Results
4. Discussion
5. Conclusions
Supplementary Materials
Author Contributions
Funding
Institutional Review Board Statement
Informed Consent Statement
Data Availability Statement
Conflicts of Interest
Abbreviations
| BOO | bladder outlet obstruction |
| CT | computerized tomography |
| ESSIC | European Society for the Study of Interstitial Cystitis |
| GRA | global response assessment |
| HD | hydrodistention |
| HIC | IC/BPS patients with Hunner’s lesion |
| IC/BPS | Interstitial cystitis/bladder pain syndrome |
| ICPI | Interstitial Cystitis Problem index score |
| ICSI | Interstitial cystitis Symptom Index score |
| MBC | maximal bladder capacity during cystoscopic hydrodistention |
| MRI | magnetic resonance imaging |
| NHIC | IC/BPS patients without Hunner’s lesion |
| OSS | O’Leary Sant symptom score |
| Pdet | detrusor pressure at maximal urinary flow rate |
| VAS | visual analog scale for pain |
References
- Hanno, P.M.; Erickson, D.; Moldwin, R.; Faraday, M.M.; American Urological Association. Diagnosis and treatment of interstitial cystitis/bladder pain syndrome: AUA guideline amendment. J. Urol. 2015, 193, 1545–1553. [Google Scholar] [CrossRef]
- Jhang, J.F.; Hsu, Y.H.; Jiang, Y.H.; Ho, H.C.; Kuo, H.C. Clinical Relevance of Bladder Histopathological Findings and Their Impact on Treatment Outcomes among Patients with Interstitial Cystitis/Bladder Pain Syndrome: An Investigation of the European Society for the Study of Interstitial Cystitis Histopathological Classification. J. Urol. 2021, 205, 226–235. [Google Scholar] [CrossRef] [PubMed]
- Kim, H.J. Update on the Pathology and Diagnosis of Interstitial Cystitis/Bladder Pain Syndrome: A Review. Int. Neurourol. J. 2016, 20, 13–17. [Google Scholar] [CrossRef] [PubMed] [Green Version]
- Yu, W.R.; Jhang, J.F.; Ho, H.C.; Jiang, Y.H.; Lee, C.L.; Hsu, Y.H.; Kuo, H.C. Cystoscopic hydrodistention characteristics provide clinical and long-term prognostic features of interstitial cystitis after treatment. Sci. Rep. 2021, 11, 455. [Google Scholar] [CrossRef] [PubMed]
- Warren, J.W. Bladder pain syndrome/interstitial cystitis as a functional somatic syndrome. J. Psychosom. Res. 2014, 77, 510–515. [Google Scholar] [CrossRef] [PubMed]
- Akiyama, Y.; Hanno, P. Phenotyping of interstitial cystitis/bladder pain syndrome. Int. J. Urol. 2019, 26 (Suppl. 1), 17–19. [Google Scholar] [CrossRef] [Green Version]
- van de Merwe, J.P.; Nordling, J.; Bouchelouche, P.; Bouchelouche, K.; Cervigni, M.; Daha, L.K.; Elneil, S.; Fall, M.; Hohlbrugger, G.; Irwin, P.; et al. Diagnostic criteria, classification, and nomenclature for painful bladder syndrome/interstitial cystitis: An ESSIC proposal. Eur. Urol. 2008, 53, 60–67. [Google Scholar] [CrossRef]
- Homma, Y. Interstitial cystitis, bladder pain syndrome, hypersensitive bladder, and interstitial cystitis/bladder pain syndrome—Clarification of definitions and relationships. Int. J. Urol. 2019, 26 (Suppl. 1), 20–24. [Google Scholar] [CrossRef] [Green Version]
- Homma, Y.; Akiyama, Y.; Tomoe, H.; Furuta, A.; Ueda, T.; Maeda, D.; Lin, A.T.; Kuo, H.C.; Lee, M.H.; Oh, S.J.; et al. Clinical guidelines for interstitial cystitis/bladder pain syndrome. Int. J. Urol. 2020, 27, 578–589. [Google Scholar] [CrossRef] [PubMed]
- Wu, S.Y.; Jiang, Y.H.; Kuo, H.C. Long-term Outcomes of Augmentation Enterocystoplasty in Patients with End-Stage Bladder Diseases: A Single-Institute Experience Involving 102 Patients. Int. Neurourol. J. 2017, 21, 133–138. [Google Scholar] [CrossRef] [PubMed] [Green Version]
- Towner, R.A.; Wisniewski, A.B.; Wu, D.H.; Van Gordon, S.B.; Smith, N.; North, J.C.; McElhaney, R.; Aston, C.E.; Shobeiri, S.A.; Kropp, B.P.; et al. A Feasibility Study to Determine Whether Clinical Contrast Enhanced Magnetic Resonance Imaging can Detect Increased Bladder Permeability in Patients with Interstitial Cystitis. J. Urol. 2016, 195, 631–638. [Google Scholar] [CrossRef] [PubMed]
- Daniele, P.; Cesare, R.; Bright, O.H.; Nicolo, F.; Barbara, G.; Federica, M.; Catherine, K.; Gabriella, S.M.; Alfredo, F.; Daniela, B.; et al. Role of Diffusion-Weighted Magnetic Resonance Imaging in the Diagnosis of Bladder Pain Syndrome/Interstitial Cystitis. Urology 2020, 141, 55–59. [Google Scholar] [CrossRef] [PubMed]
- Tyagi, P.; Janicki, J.; Moon, C.H.; Kaufman, J.; Chermansky, C. Novel contrast mixture achieves contrast resolution of human bladder wall suitable for T1 mapping: Applications in interstitial cystitis and beyond. Int. Urol. Nephrol. 2018, 50, 401–409. [Google Scholar] [CrossRef] [PubMed]
- Volikova, A.I.; Marshall, B.J.; Yin, J.M.A.; Goodwin, R.; Chow, P.E.; Wise, M.J. Structural, biomechanical and hemodynamic assessment of the bladder wall in healthy subjects. Res. Rep. Urol. 2019, 11, 233–245. [Google Scholar] [CrossRef] [Green Version]
- Fall, M.; Nordling, J.; Cervigni, M.; Dinis Oliveira, P.; Fariello, J.; Hanno, P.; Kabjorn-Gustafsson, C.; Logadottir, Y.; Meijlink, J.; Mishra, N.; et al. Hunner lesion disease differs in diagnosis, treatment and outcome from bladder pain syndrome: An ESSIC working group report. Scand. J. Urol. 2020, 54, 91–98. [Google Scholar] [CrossRef]
- Whitmore, K.E.; Fall, M.; Sengiku, A.; Tomoe, H.; Logadottir, Y.; Kim, Y.H. Hunner lesion versus non-Hunner lesion interstitial cystitis/bladder pain syndrome. Int. J. Urol. 2019, 26 (Suppl. 1), 26–34. [Google Scholar] [CrossRef] [PubMed] [Green Version]
- Ronstrom, C.; Lai, H.H. Presenting an atlas of Hunner lesions in interstitial cystitis which can be identified with office cystoscopy. Neurourol. Urodyn. 2020, 39, 2394–2400. [Google Scholar] [CrossRef] [PubMed]
- Han, J.Y.; Shin, J.H.; Choo, M.S. Patterns and predictors of Hunner lesion recurrence in patients with interstitial cystitis. Neurourol. Urodyn. 2019, 38, 1392–1398. [Google Scholar] [CrossRef] [PubMed]
- Maeda, D.; Akiyama, Y.; Morikawa, T.; Kunita, A.; Ota, Y.; Katoh, H.; Niimi, A.; Nomiya, A.; Ishikawa, S.; Goto, A.; et al. Hunner-Type (Classic) Interstitial Cystitis: A Distinct Inflammatory Disorder Characterized by Pancystitis, with Frequent Expansion of Clonal B-Cells and Epithelial Denudation. PLoS ONE 2015, 10, e0143316. [Google Scholar] [CrossRef] [PubMed] [Green Version]
- Jiang, Y.H.; Jhang, J.F.; Hsu, Y.H.; Ho, H.C.; Wu, Y.H.; Kuo, H.C. Urine cytokines as biomarkers for diagnosing interstitial cystitis/bladder pain syndrome and mapping its clinical characteristics. Am. J. Physiol. Ren. Physiol. 2020, 318, F1391–F1399. [Google Scholar] [CrossRef] [PubMed]




| (A) Smooth Bladder Wall (n = 49) | (B) Focal Thickening (n = 36) | (C) Diffuse Thickening (n = 15) | p Value (Significant in Post Hoc Analysis) | p-Value Excluding HIC(Significant in Post Hoc Analysis) | |
|---|---|---|---|---|---|
| Age (years old) | 53.2 ± 14.5 | 57.4 ± 10.8 | 52.1 ± 12.2 | 0.251 | 0.771 |
| Gender | 45 F, 4 M | 28 F, 8 M | 13 F, 2 M | 0.181 | 0.139 |
| Abdominal-pelvic surgery history | 21 (42.9%) | 10 (27.8%) | 5 (33.3%) | 0.349 | |
| Duration (year) | 11.8 ± 8.8 | 13 ± 10.1 | 8.7 ± 6.6 | 0.313 | 0.234 |
| HIC | 0 | 11 (30.6%) | 13 (86.7%) | <0.0001 | |
| NHIC | 49 (64.5%) | 25 (32.9%) | 2 (2.6%) | ||
| ICSI | 11.9 ± 3.9 | 12.9 ± 3.9 | 16.7 ± 3.4 | <0.001 (A v B; B v C) | 0.410 |
| ICPI | 12 ± 3.5 | 12.7 ± 2.8 | 14.2 ± 3.4 | 0.080 | 0.411 |
| OSS | 23.4 ± 7.8 | 24.9 ± 7.5 | 26.8 ± 12.5 | 0.378 | 0.496 |
| VAS | 5.4 ± 2.6 | 5.5 ± 3.4 | 6.5 ± 3.4 | 0.448 | 0.346 |
| GRA | 1.2 ± 1.4 | 1.2 ± 1.0 | 2.0 ± 0.9 | 0.245 | |
| FSF (mL) | 131.7 ± 51.3 | 125.9 ± 43.2 | 73.3 ± 32.9 | <0.001 (A v C; B v C) | 0.734 |
| FS (mL) | 208 ± 76 | 185.4 ± 58.3 | 100.9 ± 46.8 | <0.001A v C; B v C | 0.563 |
| CBC (mL) | 271.6 ± 111.8 | 249.5 ± 87.6 | 135.0 ± 76.1 | <0.001 (A v C; B v C) | 0.040 (A V C) |
| Compliance | 63.9 ± 54.3 | 55.9 ± 37.8 | 34.5 ± 24.3 | 0.095 | 0.782 |
| Pdet (cm H2O) | 17.8 ± 8.7 | 19.1 ± 11 | 17.8 ± 8.7 | ||
| Qmax (mL/s) | 10.8 ± 5.0 | 10.7 ± 5.7 | 7.9 ± 4 | 0.157 | 0.205 |
| Voided volume (mL) | 237 ± 114 | 189 ± 96.7 | 111 ± 76.6 | <0.001 (A v C; B v C) | 0.081 |
| PVR (mL) | 39.0 ± 77.1 | 66.0 ± 114 | 26.6 ± 38.4 | 0.249 | 0.920 |
| MBC (mL) | 838.8 ± 182.1 | 663.1 ± 178.7 | 392.7 ± 182.0 | <0.001 (A v C; B v C; A v B) | 0.006 (Av B) |
| (A) Smooth Bladder Wall (n = 49) | (B) Focal Thickening (n = 36) | (C) Diffuse Thickening (n = 15) | p-Value | ||
|---|---|---|---|---|---|
| Inflammatory cells infiltration | None | 12 (25.4%) | 3 (8.3%) | 0 | 0.045 |
| Mild | 28 (57.1%) | 24 (66.7%) | 10 (66.7%) | ||
| Moderate | 9 (18.4%) | 9 (25.0%) | 4 (33.3%) | ||
| Severe | 0 | 0 | 1 (6.7%) | ||
| Uroepithelial cells denudation | None | 29 (59.2%) | 15 (41.7%) | 2 (13.3%) | 0.002 |
| Mild | 17 (34.7%) | 13 (36.1%) | 5 (33.3%) | ||
| Moderate | 3 (6.1%) | 4 (11.1%) | 5 (33.3%) | ||
| Severe | 0 | 4 (11.1%) | 3 (20%) | ||
| Fibrosis | Present | 18 (36.7%) | 10 (27.8%) | 5 (33.3%) | 0.686 |
| Non-Present | 31 (63.3%) | 26 (72.2%) | 10 (66.7%) | ||
| Plasma cell infiltration | Present | 8 (16.3%) | 11 (30.6%) | 5 (33.3%) | 0.207 |
| Non-Present | 41 (83.7%) | 24 (69.4%) | 10 (66.7%) | ||
| Eosinophil infiltration | Present | 6 (12.2%) | 7 (19.4%) | 6 (40%) | 0.056 |
| Non-Present | 43 (87.8%) | 29 (80.6%) | 9 (60%) | ||
| Hemorrhage of lamina propria | Present | 2 (4.1%) | 3 (8.3%) | 0 | 0.423 |
| Non-Present | 47 (95.9%) | 33 (91.7%) | 15 (100%) | ||
| Granulation tissue | Present | 4 (8.2%) | 7 (19.4%) | 7 (46.7%) | 0.005 |
| Non-Present | 45 (91.8%) | 29 (80.6%) | 8 (53.3%) | ||
| ESSIC classification | Type A Type C | 12 (24.5%) 37 (75.5%) | 2 (5.6%) 34 (94.4) | 0 15 (100%) | 0.011 |
Publisher’s Note: MDPI stays neutral with regard to jurisdictional claims in published maps and institutional affiliations. |
© 2021 by the authors. Licensee MDPI, Basel, Switzerland. This article is an open access article distributed under the terms and conditions of the Creative Commons Attribution (CC BY) license (https://creativecommons.org/licenses/by/4.0/).
Share and Cite
Jhang, J.-F.; Hsu, Y.-H.; Ho, H.-C.; Jiang, Y.-H.; Lee, C.-L.; Yu, W.-R.; Kuo, H.-C. Possible Association between Bladder Wall Morphological Changes on Computed Tomography and Bladder-Centered Interstitial Cystitis/Bladder Pain Syndrome. Biomedicines 2021, 9, 1306. https://doi.org/10.3390/biomedicines9101306
Jhang J-F, Hsu Y-H, Ho H-C, Jiang Y-H, Lee C-L, Yu W-R, Kuo H-C. Possible Association between Bladder Wall Morphological Changes on Computed Tomography and Bladder-Centered Interstitial Cystitis/Bladder Pain Syndrome. Biomedicines. 2021; 9(10):1306. https://doi.org/10.3390/biomedicines9101306
Chicago/Turabian StyleJhang, Jia-Fong, Yung-Hsiang Hsu, Han-Chen Ho, Yuan-Hong Jiang, Cheng-Ling Lee, Wan-Ru Yu, and Hann-Chorng Kuo. 2021. "Possible Association between Bladder Wall Morphological Changes on Computed Tomography and Bladder-Centered Interstitial Cystitis/Bladder Pain Syndrome" Biomedicines 9, no. 10: 1306. https://doi.org/10.3390/biomedicines9101306
APA StyleJhang, J.-F., Hsu, Y.-H., Ho, H.-C., Jiang, Y.-H., Lee, C.-L., Yu, W.-R., & Kuo, H.-C. (2021). Possible Association between Bladder Wall Morphological Changes on Computed Tomography and Bladder-Centered Interstitial Cystitis/Bladder Pain Syndrome. Biomedicines, 9(10), 1306. https://doi.org/10.3390/biomedicines9101306

