Tattoo-Associated Sarcoid-like Uveitis: A Multicenter Registry Study
Abstract
1. Introduction
2. Materials and Methods
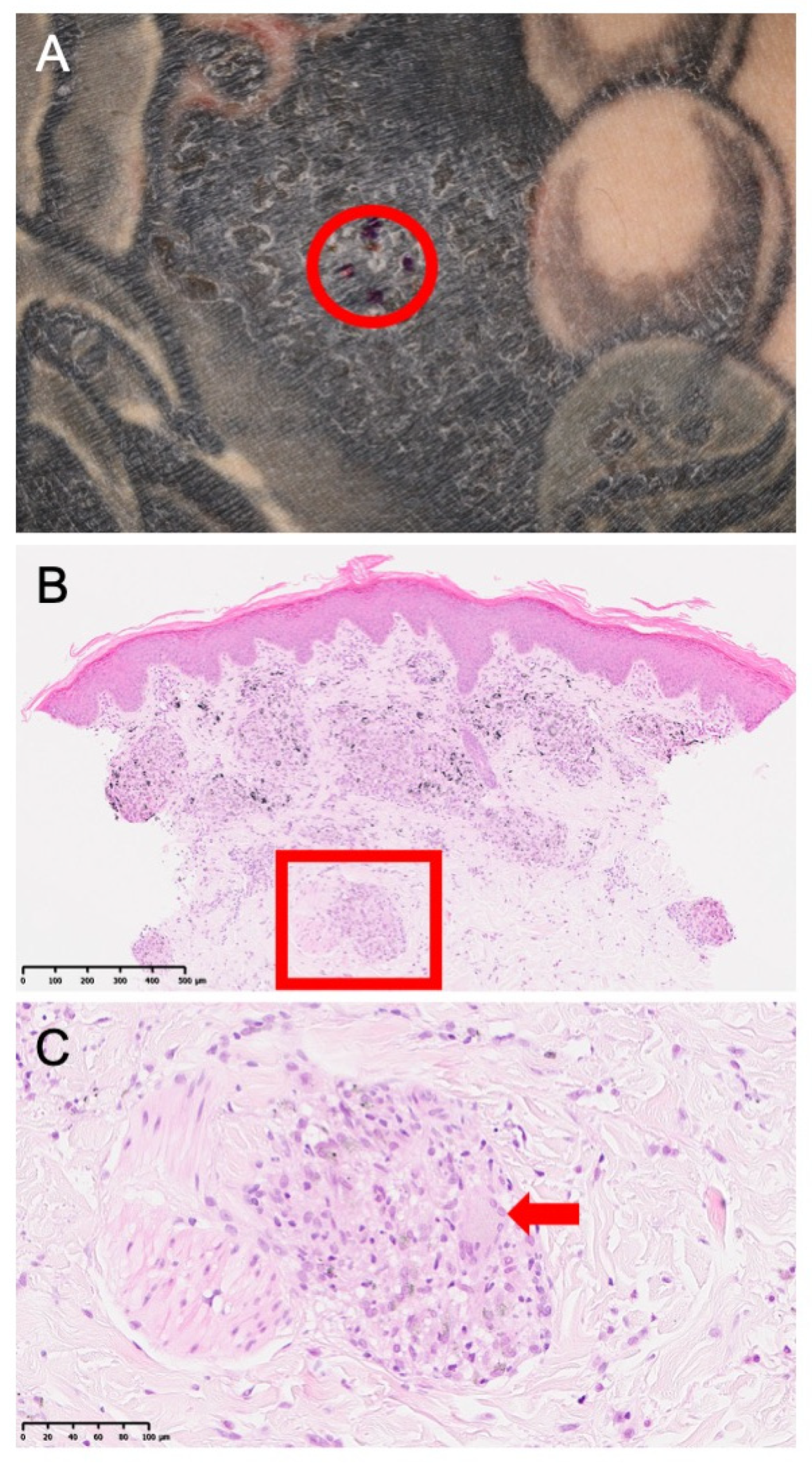
3. Results
4. Discussion
Author Contributions
Funding
Institutional Review Board Statement
Informed Consent Statement
Data Availability Statement
Acknowledgments
Conflicts of Interest
References
- Kluger, N. Epidemiology of tattoos in industrialized countries. Curr. Probl. Dermatol. 2015, 48, 6–20. [Google Scholar] [CrossRef] [PubMed]
- Kluger, N.; Seité, S.; Taieb, C. The prevalence of tattooing and motivations in five major countries over the world. J. Eur. Acad. Dermatol. Venereol. 2019, 33, e484–e486. [Google Scholar] [CrossRef] [PubMed]
- Theune, L.E.; Ghoreishi, N.; Weikert, C.; Müller-Graf, C.; Engel, C.; Wirkner, K.; Baber, R.; Laux, P.; Luch, A.; Giulbudagian, M. Characteristics of a tattooed population and a possible role of tattoos as a risk factor for chronic diseases: Results from the LIFE-adult-study. PLoS ONE 2025, 20, e0319229. [Google Scholar] [CrossRef]
- Baranska, A.; Shawket, A.; Jouve, M.; Baratin, M.; Malosse, C.; Voluzan, O.; Vu Manh, T.P.; Fiore, F.; Bajénoff, M.; Benaroch, P.; et al. Unveiling skin macrophage dynamics explains both tattoo persistence and strenuous removal. J. Exp. Med. 2018, 215, 1115–1133. [Google Scholar] [CrossRef] [PubMed] [PubMed Central]
- Strandt, H.; Voluzan, O.; Niedermair, T.; Ritter, U.; Thalhamer, J.; Malissen, B.; Stoecklinger, A.; Henri, S. Macrophages and fibroblasts differentially contribute to tattoo stability. Dermatology 2021, 237, 296–302. [Google Scholar] [CrossRef] [PubMed]
- Lin, C.; Marquardt, Y.; Rütten, S.; Liao, L.; Rahimi, K.; Haraszti, T.; Baron, J.M.; Bartneck, M. Macrophage-like rapid uptake and toxicity of tattoo ink in human monocytes. Immunology 2024, 171, 388–401. [Google Scholar] [CrossRef] [PubMed]
- Ostheimer, T.A.; Burkholder, B.M.; Leung, T.G.; Butler, N.J.; Dunn, J.P.; Thorne, J.E. Tattoo-associated uveitis. Am. J. Ophthalmol. 2014, 158, 637–643.e1. [Google Scholar] [CrossRef] [PubMed]
- Kluger, N. Tattoo-associated uveitis with or without systemic sarcoidosis: A comparative review of the literature. J. Eur. Acad. Dermatol. Venereol. 2018, 32, 1852–1861. [Google Scholar] [CrossRef] [PubMed]
- de Castro-Abeger, A.; Gangaputra, S. Tattoo inflammation and sarcoid uveitis. Ophthalmology 2019, 126, 1089. [Google Scholar] [CrossRef] [PubMed]
- Muñoz-Ortiz, J.; Gómez-López, M.T.; Echeverry-Hernández, P.; Ramos-Santodomingo, M.F.; de-la-Torre, A. Dermatological and ophthalmological inflammatory, infectious, and tumoral tattoo-related reactions: A systematic review. Perm J. 2021, 25, 20–225. [Google Scholar] [CrossRef] [PubMed] [PubMed Central]
- Jacob, J.; Van Calster, J. Skin tattoos and the development of uveitis. Acta Ophthalmol. 2013, 91, e650–e652. [Google Scholar] [CrossRef] [PubMed]
- Rorsman, H.; Brehmer-Andersson, E.; Dahlquist, I.; Ehinger, B.; Jacobsson, S.; Linell, F.; Rorsman, G. Tattoo granuloma and uveitis. Lancet 1969, 2, 27–28. [Google Scholar] [CrossRef] [PubMed]
- Nso, N.; Toz, B.; Ching, T.H.; Kondaveeti, R.; Abrudescu, A. Tattoo-associated sarcoidosis with severe uveitis successfully treated with mycophenolate mofetil: A report of two cases. Cureus 2021, 13, e17197. [Google Scholar] [CrossRef] [PubMed] [PubMed Central]
- Correia, M.S.; Romana, J.; Madeira, M.F.; Guedes, M.; Cordeiro, M. Tattoo-associated uveitis successfully controlled with methotrexate-case report and review of literature. Indian J. Ophthalmol. Case Rep. 2025, 5, 503–508. [Google Scholar] [CrossRef]
- Bose, R.; Sibley, C.; Fahim, S. Granulomatous and systemic inflammatory reactions from tattoo ink: Case report and concise review. SAGE Open Med. Case Rep. 2020, 8, 2050313X20936036. [Google Scholar] [CrossRef] [PubMed] [PubMed Central]
- Schubert, S.; Kluger, N.; Schreiver, I. Hypersensitivity to permanent tattoos: Literature summary and comprehensive review of patch tested tattoo patients 1997–2022. Contact Dermat. 2023, 88, 331–350. [Google Scholar] [CrossRef] [PubMed]
- Yoon, S.; Kondakala, S.; Daddy-Gaoh, S.; Foley, S.; Kweon, O.; Kim, S.J. Causes, patterns, and epidemiology of tattoo-associated infections since 1820. Lancet Microbe 2025, 6, 101006. [Google Scholar] [CrossRef] [PubMed]
- Kondakala, S.; Yoon, S.; Daddy-Gaoh, S.; Foley, S.; Kweon, O.; Kim, S.J. Microbiology of tattoo-associated infections since 1820. Lancet Microbe 2025, 6, 101005. [Google Scholar] [CrossRef] [PubMed]
- Nielsen, C.; Jerkeman, M.; Jöud, A.S. Tattoos as a risk factor for malignant lymphoma: A population-based case-control study. eClinicalMedicine 2024, 72, 102649. [Google Scholar] [CrossRef] [PubMed] [PubMed Central]
- Schreiver, I.; Hesse, B.; Seim, C.; Castillo-Michel, H.; Villanova, J.; Laux, P.; Dreiack, N.; Penning, R.; Tucoulou, R.; Cotte, M.; et al. Synchrotron-based ν-XRF mapping and μ-FTIR microscopy enable to look into the fate and effects of tattoo pigments in human skin. Sci. Rep. 2017, 7, 11395. [Google Scholar] [CrossRef] [PubMed] [PubMed Central]
- Mansour, A.M.; Chan, C.C. Recurrent uveitis preceded by swelling of skin tattoos. Am. J. Ophthalmol. 1991, 111, 515–516. [Google Scholar] [CrossRef] [PubMed]



| Characteristic | Value |
|---|---|
| No. of patients | 10 |
| No. of eyes | 20 |
| Age, years | 35.1 ± 7.8 |
| Male sex, n (%) | 7 (70%) |
| Follow-up, months | 19.1 (8.3–26.0) |
| Bilateral involvement, n (%) | 10 (100%) |
| Histological confirmation (including tattoo biopsy), n (%) | 4 (40%) |
| Prior systemic sarcoidosis, n (%) | 3 (30%) |
| Initial visual acuity, logMAR (eyes) | 0.12 |
| Final visual acuity, logMAR (eyes) | 0.15 |
| Case No. | Age | Sex | Latency from Tattooing to Uveitis Onset (Year) | Histology Confirmed | Extraocular Involvement | BHL | ACE | sIL-2R | T-Spot | Initial Mean logMAR | Final Mean logMAR | Macular Edema (Eyes) |
|---|---|---|---|---|---|---|---|---|---|---|---|---|
| 1 | 40 | Male | Unknown | Yes | Skin | No | Yes | Yes | No | 0.2 | 0.43 | Both |
| 2 | 34 | Male | Unknown | Yes | Skin | No | No | No | No | −0.05 | −0.1 | |
| 3 | 49 | Female | 29 | No | None | No | No | No | No | 0.2 | 0.0 | Both |
| 4 | 31 | Male | 1 | No | Skin | No | No | No | No | −0.2 | −0.02 | Both |
| 5 | 44 | Female | Unknown | No | None | nm | nm | No | No | −0.2 | −0.1 | |
| 6 | 28 | Male | Unknown | No | Axillary LN | No | No | Yes | No | 0.8 | 0.75 | Left |
| 7 | 27 | Male | 7 | Yes | Skin | No | No | No | No | −0.1 | −0.1 | Both |
| 8 | 40 | Male | Unknown | Yes | Skin | No | Yes | Yes | No | 0.2 | 0.43 | Both |
| 9 | 26 | Male | Unknown | No | Skin | No | nm | Yes | No | 0.25 | 0.15 | Both |
| 10 | 32 | Female | 10 | No | Skin | No | No | No | nm | 0.7 | 0.2 | Both |
| Case | Mutton-Fat Keratic Precipitates | Anterior Chamber Inflammatory Cells | Iris Nodules | Angle Nodules | Clumped Vitreous Opacities | Diffuse Vitreous Opacities | Retinal Periphlebitis | Perivascular Nodules | Candle Wax Drippings (Retinochoroidal Exudates) | Optic Disc Granuloma | Choroidal Granuloma | Tent-Shaped or Trapezoidal Peripheral Anterior Synechiae | Photocoagulation-like Retinochoroidal Atrophic Lesions |
|---|---|---|---|---|---|---|---|---|---|---|---|---|---|
| 3 | Yes | Yes | Yes | Yes | |||||||||
| 4 | Yes | Yes | Yes | ||||||||||
| 5 | Yes | Yes | Yes | Yes | Yes | Yes | Yes | Yes | |||||
| 6 | Yes | Yes | Yes | Yes | Yes | Yes | Yes | Yes | Yes | Yes | |||
| 9 | Yes | Yes | Yes | Yes | Yes | ||||||||
| 10 | Yes | Yes | Yes | Yes | Yes | Yes | Yes | Yes | Yes |
| Characteristic | Value |
|---|---|
| Topical corticosteroids | 10 (100.0%) |
| Periocular corticosteroid injection (e.g., STTA) | 7 (70.0%) |
| Systemic corticosteroids | 5 (50.0%) |
| Cyclosporin | 1 (10.0%) |
| Adalimumab | 2 (20.0%) |
| Uveitis recurrence | 7 (70.0%) |
| Uveitis-related glaucoma | 8 (80.0%) |
| Glaucoma related to sarcoidosis or uveitis | 7 (70.0%) |
| Steroid glaucoma | 5 (50.0%) |
| Cataract surgery | 4 eyes (20.0%) |
| Glaucoma surgery | 1 eyes (5.0%) |
| Vitreous surgery | 3 eyes (15.0%) |
| Extraocular inflammation: skin | 7 (70.0%) |
| Extraocular inflammation: axillary lymph nodes | 1 (10.0%) |
| Extraocular inflammation: unknown/none documented | 2 (20.0%) |
| Case | Periocular Steroid | Oral Steroid | Cyclosporin | Adalimumab | Recurrence | Glaucoma/ IOP Therapy | Chronic Inflammation | Steroid Glaucoma |
|---|---|---|---|---|---|---|---|---|
| 1 | Yes | Yes | No | Yes | Yes | Yes | Yes | Yes |
| 2 | No | No | No | No | No | Yes | Yes | Yes |
| 3 | Yes | No | No | No | No | No | - | - |
| 4 | Yes | No | No | No | Unknown | No | - | - |
| 5 | No | Yes | No | No | Yes | Yes | Yes | No |
| 6 | Yes | No | No | No | Yes | Yes | Yes | Yes |
| 7 | Yes | Yes | No | No | Yes | Yes | Yes | Yes |
| 8 | Yes | Yes | No | Yes | Yes | Yes | Yes | No |
| 9 | Yes | No | No | No | Yes | Yes | Yes | No |
| 10 | Yes | No | Yes | No | Yes | Yes | No | Yes |
Disclaimer/Publisher’s Note: The statements, opinions and data contained in all publications are solely those of the individual author(s) and contributor(s) and not of MDPI and/or the editor(s). MDPI and/or the editor(s) disclaim responsibility for any injury to people or property resulting from any ideas, methods, instructions or products referred to in the content. |
© 2026 by the authors. Licensee MDPI, Basel, Switzerland. This article is an open access article distributed under the terms and conditions of the Creative Commons Attribution (CC BY) license.
Share and Cite
Yanai, R.; Misaki, Y.; Egawa, M.; Nagaki, S.; Shirai, K.; Kaburaki, T.; Nakagawa, S.; Hiramatsu, Y.; Tsubota, K.; Usui, Y.; et al. Tattoo-Associated Sarcoid-like Uveitis: A Multicenter Registry Study. Biomedicines 2026, 14, 702. https://doi.org/10.3390/biomedicines14030702
Yanai R, Misaki Y, Egawa M, Nagaki S, Shirai K, Kaburaki T, Nakagawa S, Hiramatsu Y, Tsubota K, Usui Y, et al. Tattoo-Associated Sarcoid-like Uveitis: A Multicenter Registry Study. Biomedicines. 2026; 14(3):702. https://doi.org/10.3390/biomedicines14030702
Chicago/Turabian StyleYanai, Ryoji, Yuko Misaki, Mariko Egawa, Shido Nagaki, Kumi Shirai, Toshikatsu Kaburaki, Suguru Nakagawa, Yukako Hiramatsu, Kinya Tsubota, Yoshihiko Usui, and et al. 2026. "Tattoo-Associated Sarcoid-like Uveitis: A Multicenter Registry Study" Biomedicines 14, no. 3: 702. https://doi.org/10.3390/biomedicines14030702
APA StyleYanai, R., Misaki, Y., Egawa, M., Nagaki, S., Shirai, K., Kaburaki, T., Nakagawa, S., Hiramatsu, Y., Tsubota, K., Usui, Y., Uchi, S.-H., Aoki, T., Nagata, K., Sotozono, C., Kuramoto, S., Yawata, N., Sonoda, K.-H., & on behalf of Multicenter Tattoo-Associated Sarcoid Uveitis Registry institutions in the Japanese Ocular Inflammatory Association. (2026). Tattoo-Associated Sarcoid-like Uveitis: A Multicenter Registry Study. Biomedicines, 14(3), 702. https://doi.org/10.3390/biomedicines14030702

