Morphometry and Immunoexpression of Metalloproteinase 2 and Its Inhibitor in the Fibrotic and Non-Fibrotic Grafted Kidney—Digital Analysis
Abstract
1. Introduction
2. Materials and Methods
2.1. Biopsies Protocols
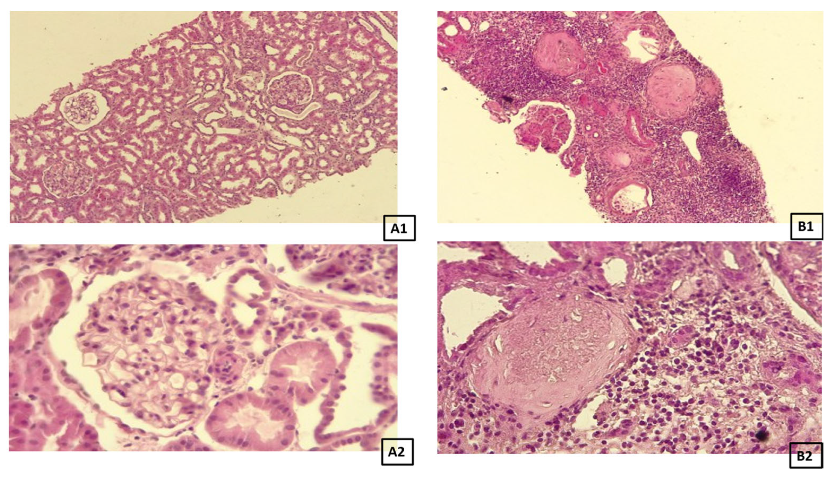
2.2. Histological Analysis
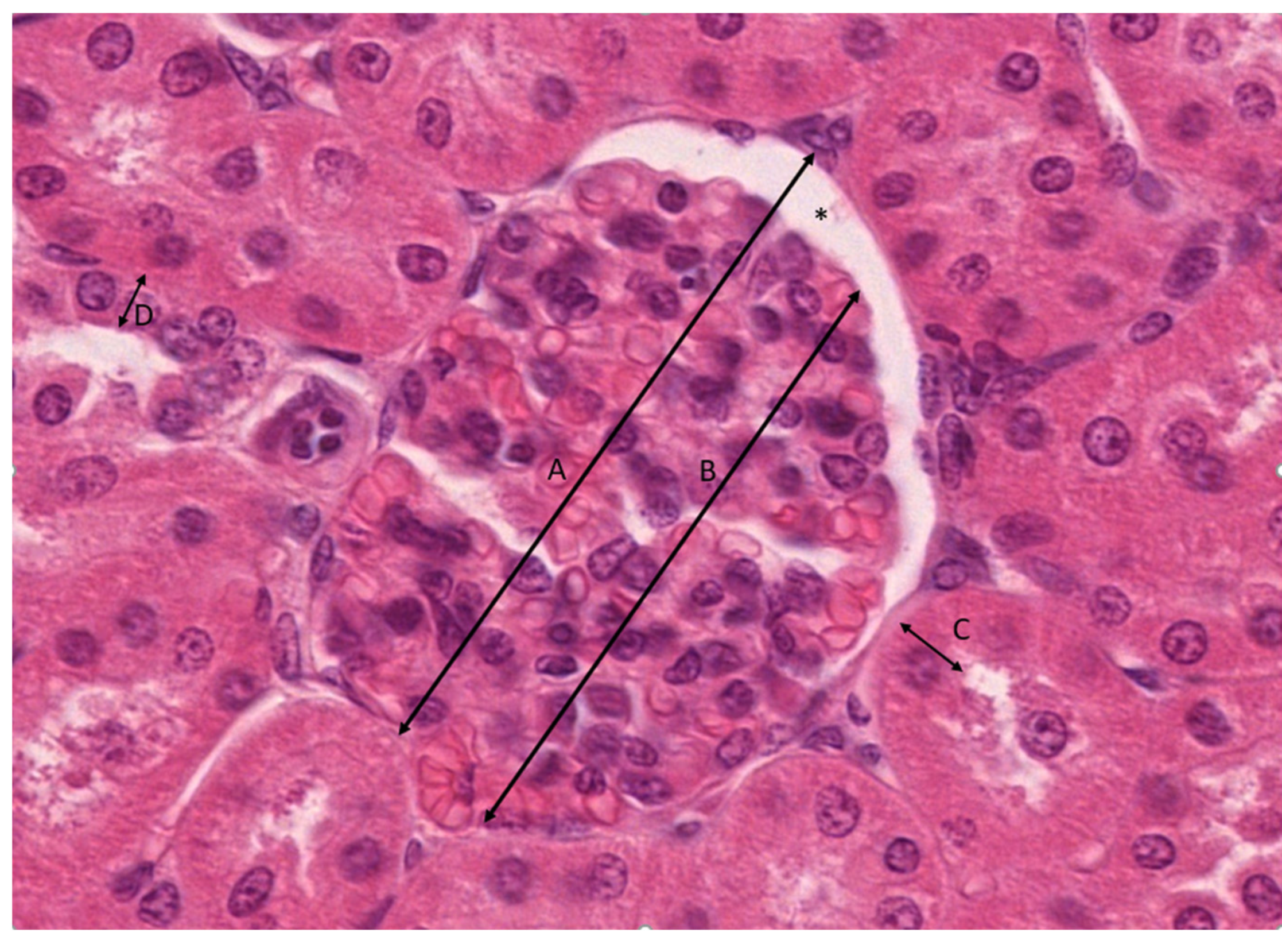
2.3. Morphometry
2.4. Immunohistochemical Analysis
2.5. Statistical Analysis
3. Results
3.1. Morphometry
Renal Corpuscle, Glomerulus, Urinary Space
4. Discussion
5. Conclusions
Author Contributions
Funding
Institutional Review Board Statement
Informed Consent Statement
Data Availability Statement
Acknowledgments
Conflicts of Interest
Abbreviations
| CKD | Chronic kidney disease |
| ECM | Extracellular matrix |
| MMPs | Metalloproteinases |
| TIMPs | Tissue inhibitors for MMPs |
| H&E | Hematoxylin and eosin |
| IQR | Interquartile range |
References
- Zhou, D.; Liu, Y. Understanding the mechanisms of kidney fibrosis. Nat. Rev. Nephrol. 2016, 12, 68–70. [Google Scholar] [CrossRef] [PubMed]
- Sun, Y.B.Y.; Qu, X.; Caruana, G.; Li, J. The origin of renal fibroblasts/myofibroblasts and the signals that trigger fibrosis. Differentiation 2016, 92, 102–107. [Google Scholar] [CrossRef] [PubMed]
- Soliman, A.; Sadek, K.; Thabet, K.; Ahmed, D.; Mohamed, O. The role of matrix metalloproteinases 2 in atherosclerosis of patients with chronic kidney disease in type 2 diabetes. Saudi J. Kidney Dis. Transplant. 2019, 30, 387. [Google Scholar] [CrossRef] [PubMed]
- Nikolov, A.; Popovski, N. Role of Gelatinases MMP-2 and MMP-9 in Healthy and Complicated Pregnancy and Their Future Potential as Preeclampsia Biomarkers. Diagnostics 2021, 11, 480. [Google Scholar] [CrossRef]
- Cabral-Pacheco, G.A.; Garza-Veloz, I.; Castruita-De la Rosa, C.; Ramirez-Acuña, J.M.; Perez-Romero, B.A.; Guerrero-Rodriguez, J.F.; Martinez-Avila, N.; Martinez-Fierro, M.L. The Roles of Matrix Metalloproteinases and Their Inhibitors in Human Diseases. Int. J. Mol. Sci. 2020, 21, 9739. [Google Scholar] [CrossRef]
- Nagase, H.; Visse, R.; Murphy, G. Structure and function of matrix metalloproteinases and TIMPs. Cardiovasc. Res. 2006, 69, 562–573. [Google Scholar] [CrossRef]
- Zakiyanov, O.; Kalousová, M.; Zima, T.; Tesař, V. Matrix Metalloproteinases in Renal Diseases: A Critical Appraisal. Kidney Blood Press. Res. 2019, 44, 298–330. [Google Scholar] [CrossRef]
- Ohnishi, J.; Ohnishi, E.; Shibuya, H.; Takahashi, T. Functions for proteinases in the ovulatory process. Biochim. Biophys. Acta (BBA) Proteins Proteom. 2005, 1751, 95–109. [Google Scholar] [CrossRef]
- Pushpakumar, S.; Kundu, S.; Pryor, T.; Givvimani, S.; Lederer, E.; Tyagi, S.C.; Sen, U. Angiotensin-II induced hypertension and renovascular remodelling in tissue inhibitor of metalloproteinase 2 knockout mice. J. Hypertens. 2013, 31, 2270–2281. [Google Scholar] [CrossRef]
- Costanzo, L.; Soto, B.; Meier, R.; Geraghty, P. The Biology and Function of Tissue Inhibitor of Metalloproteinase 2 in the Lungs. Pulm. Med. 2022, 2022, 3632764. [Google Scholar] [CrossRef]
- Lenz, O.; Elliot, S.J.; Stetler-Stevenson, G.W. Matrix Metalloproteinases in Renal Development and Disease. J. Am. Soc. Nephrol. 2000, 11, 574–581. [Google Scholar] [CrossRef] [PubMed]
- Rysz, J.; Banach, M.; Stolarek, R.A.; Pasnik, J.; Cialkowska-Rysz, A.; Koktysz, R.; Piechota, M.; Baj, Z. Serum matrix metalloproteinases MMP-2 and MMP-9 and metalloproteinase tissue inhibitors TIMP-1 and TIMP-2 in diabetic nephropathy. J. Nephrol. 2007, 20, 444–452. [Google Scholar] [CrossRef] [PubMed]
- Han, S.Y.; Jee, Y.H.; Han, K.H.; Kang, Y.S.; Kim, H.K.; Han, J.Y.; Kim, Y.S.; Cha, D.R. An imbalance between matrix metalloproteinase-2 and tissue inhibitor of matrix metalloproteinase-2 contributes to the development of early diabetic nephropathy. Nephrol. Dial. Transplant. 2006, 21, 2406–2416. [Google Scholar] [CrossRef] [PubMed]
- Du, X.; Shimizu, A.; Masuda, Y.; Kuwahara, N.; Arai, T.; Kataoka, M.; Uchiyama, M.; Kaneko, T.; Akimoto, T.; Iino, Y.; et al. Involvement of matrix metalloproteinase-2 in the development of renal interstitial fibrosis in mouse obstructive nephropathy. Lab. Investig. 2012, 92, 1149–1160. [Google Scholar] [CrossRef]
- Cheng, S.; Pollock, A.S.; Mahimkar, R.; Olson, J.L.; Lovett, D.H.; Cheng, S.; Pollock, A.S.; Mahimkar, R.; Olson, J.L.; Lovert, D.H. Matrix metalloproteinase 2 and basement membrane integrity: A unifying mechanism for progressive renal injury. FASEB J. 2006, 20, 1898–1900. [Google Scholar] [CrossRef]
- Kunugi, S.; Shimizu, A.; Kuwahara, N.; Du, X.; Takahashi, M.; Terasaki, Y.; Fujita, E.; Mii, A.; Nagasaka, S.; Akimoto, T.; et al. Inhibition of matrix metalloproteinases reduces ischemia-reperfusion acute kidney injury. Lab. Investig. 2011, 91, 170–180. [Google Scholar] [CrossRef]
- Zhang, Z.G.; Liu, X.G.; Chen, G.P.; Zhang, X.R.; Guo, M.Y. Significance of MMP-2 and TIMP-2 mRNA expressions on glomerular cells in the development of glomerulosclerosis. Chin. Med. Sci. J. 2004, 19, 84–88. [Google Scholar]
- Kallakury, B.V.; Karikehalli, S.; Haholu, A.; Sheehan, C.E.; Azumi, N.; Ross, J.S. Increased expression of matrix metalloproteinases 2 and 9 and tissue inhibitors of metalloproteinases 1 and 2 correlate with poor prognostic variables in renal cell carcinoma. Clin. Cancer Res. 2001, 7, 3113–3119. [Google Scholar]
- Sharma, A.K.; Mauer, S.M.; Kim, Y.; Michael, A.F. Altered expression of matrix metalloproteinase-2, TIMP, and TIMP-2 in obstructive nephropathy. J. Lab. Clin. Med. 1995, 125, 754–761. [Google Scholar]
- Boor, P.; Sebekova, K.; Ostendorf, T.; Floege, J. Treatment targets in renal fibrosis. Nephrol. Dial. Transplant. 2007, 22, 3391–3407. [Google Scholar] [CrossRef]
- Kotyk, T.; Dey, N.; Ashour, A.S.; Balas-Timar, D.; Chakraborty, S.; Ashour, A.S.; Tavares, J.M.R. Measurement of glomerulus diameter and Bowman’s space width of renal albino rats. Comput. Methods Programs Biomed. 2016, 126, 143–153. [Google Scholar] [CrossRef]
- Tobar, A.; Ori, Y.; Benchetrit, S.; Milo, G.; Herman-Edelstein, M.; Zingerman, B.; Lev, N.; Gafter, U.; Chagnac, A. Proximal Tubular Hypertrophy and Enlarged Glomerular and Proximal Tubular Urinary Space in Obese Subjects with Proteinuria. PLoS ONE 2013, 8, e75547. [Google Scholar] [CrossRef] [PubMed]
- Yan, Q.; Sui, W.; Wang, B.; Zou, H.; Zou, G.; Luo, H. Expression of MMP-2 and TIMP-1 in Renal Tissue of Patients with Chronic Active Antibody-mediated Renal Graft Rejection. Diagn. Pathol. 2012, 7, 141. [Google Scholar] [CrossRef] [PubMed]
- Mengel, M.; Bock, O.; Priess, M.; Haller, H.; Kreipe, H.; Gwinner, W. Expression of pro- and antifibrotic genes in protocol biopsies from renal allografts with interstitial fibrosis and tubular atrophy. Clin. Nephrol. 2008, 69, 408–416. [Google Scholar] [CrossRef] [PubMed]
- Kobusiak-Prokopowicz, M.; Kaaz, K.; Marciniak, D.; Karolko, B.; Mysiak, A. Relationships between Circulating Matrix Metalloproteinases, Tissue Inhibitor TIMP-2, and Renal Function in Patients with Myocarditis. Kidney Blood Press. Res. 2021, 46, 749–757. [Google Scholar] [CrossRef]
- Wong, W.; DeVito, J.; Nguyen, H.; Sarracino, D.; Porcheray, F.; Dargon, I.; Pelle, P.D.; Collins, A.B.; Tolkoff-Rubin, N.; Smith, R.N.; et al. Chronic Humoral Rejection of Human Kidney Allografts Is Associated with MMP-2 Accumulation in Podocytes and its Release in the Urine. Am. J. Transplant. 2010, 10, 2463–2471. [Google Scholar] [CrossRef]
- Bieniaś, B.; Sikora, P. Selected Metal Matrix Metalloproteinases and Tissue Inhibitors of Metalloproteinases as Potential Biomarkers for Tubulointerstitial Fibrosis in Children with Unilateral Hydronephrosis. Dis. Markers 2020, 2020, 9520309. [Google Scholar] [CrossRef]
- Ahmed, A.K.; El Nahas, A.M.; Johnson, T.S. Changes in Matrix Metalloproteinases and Their Inhibitors in Kidney Transplant Recipients. Exp. Clin. Transplant. 2012, 10, 332–343. [Google Scholar] [CrossRef]
- Schanz, M.; Kimmel, M.; Alscher, M.D.; Amann, K.; Daniel, C. TIMP-2 and IGFBP7 in human kidney biopsies in renal disease. Clin. Kidney J. 2023, 16, 1434–1446. [Google Scholar] [CrossRef]





| n | Me | Min | Max | |
|---|---|---|---|---|
| Time from Tx (months) | 44 | 69 | 12 | 182 |
| Age (years) | 44 | 42 | 24 | 71 |
| eGFR on last visit (mL/min/1.73m2) | 44 | 36 | 15 | 89 |
| Protein in urine (mg/dL) | 44 | 0 | 0 | 865.7 |
| Time of dialysis before Tx (months) | 44 | 15 | 6 | 102 |
| CIT (min) | 44 | 1260 | 72 | 2100 |
| PRA (%) | 44 | 3 | 0 | 56 |
| ZENITH eGFR (mL/min/1.73m2) | 44 | 31.0 | 98.0 | 118.0 |
| Cause of Renal Failure | ||||
| Chronic glomerulonephritis | 14 | |||
| Diabetes | 7 | |||
| Unknown | 7 | |||
| Autosomal dominant polycystic kidney disease | 6 | |||
| Inflammatory diseases | 4 | |||
| Hypertension | 3 | |||
| Other | 4 | |||
| SEX | Female: 21 | Male: 23 | ||
| Variable | Control (n = 22) | Fibrosis (n = 22) |
|---|---|---|
| Renal corpuscle (A) | 122.1 * # (100.8; 142) | 165.45 & @ (140.3; 191.9) |
| Glomerulus (B) | 110.7 * (87.8; 126) | 115.95 @ $ (86.6; 134.7) |
| Urinary space (*) | 11.7 # (7.7; 16.5) | 47.95 & $ (30.4; 69.9) |
| Proximal convoluted tubule (C) | 13.2 (11.7; 15.1) | 12.5 (11.1; 14.6) |
| Distal convoluted tubule (D) | 8.4 (7.4; 9.4) | 6.4 (5.6; 7.4) |
| Variable | Control (n = 22) | Fibrosis (n = 22) |
|---|---|---|
| MMP-2 (mm2) | 1753.59 | 1321.08 |
| TIMP-2 (mm2) | 3382.8 | 1685.2 |
| MMP-2/TIMP-2 ratio | 0.51 | 0.784 |
| Variable | Control (n = 22) | Fibrosis (n = 22) | p-Value (Kruskal–Wallis) | ||||
|---|---|---|---|---|---|---|---|
| Median | Q1 | Q3 | Median | Q1 | Q3 | ||
| + (mm2/%) | 61.35/44.82 * # | 1.38/25.49 | 253/61.74 | 42.68/33.27 & @ $ | 0.043/26.06 | 122.55/41.48 | 0.27 |
| ++ (mm2/%) | 20.65/12.09 * | 0.28/3.04 | 40.6/20.08 | 1.71/8.35 & ^ ~ | 0.04/0.002 | 22.68/13.1 | 0.02 |
| +++ (mm2/%) | 0.18/0.25 | 0.001/0.01 | 0.35/0.67 | 0.008/0.41 @ ^ ! | 0.002/0.01 | 0.45/3.47 | 0.47 |
| − (mm2/%) | 364.85/42.17 # | 285.7/25.42 | 1040/53.99 | 306.1/55.24 $ ~ ! | 51.75/42.61 | 648.2/67.8 | 0.2 |
| Variable | Control (n = 22) | Fibrosis (n = 22) | p-Value (Kruskal–Wallis) | ||||
|---|---|---|---|---|---|---|---|
| Median | Q1 | Q3 | Median | Q1 | Q3 | ||
| + (mm2/%) | 346.4/28.5 * | 54.5/19.67 | 488.4/32.17 | 173.2/28.54 | 88.2/24.68 | 318.3/30.68 | 0.41 |
| ++ (mm2/%) | 222.1/23.32 * # | 111.6/20.97 | 424.5/25.9 | 96.95/20.95 | 75.9/16.46 | 145.7/22.75 | 0.01 |
| +++ (mm2/%) | 128.4/11.08 # | 18.8/8.94 | 150.5/13.62 | 38.41/9.65 | 25.4/7.71 | 111.55/16.01 | 0.19 |
| − (mm2/%) | 482/35.94 | 82/31.07 | 908/38.34 | 124.45/39.19 | 98.2/32.78 | 338.85/41.4 | 0.25 |
Disclaimer/Publisher’s Note: The statements, opinions and data contained in all publications are solely those of the individual author(s) and contributor(s) and not of MDPI and/or the editor(s). MDPI and/or the editor(s) disclaim responsibility for any injury to people or property resulting from any ideas, methods, instructions or products referred to in the content. |
© 2026 by the authors. Licensee MDPI, Basel, Switzerland. This article is an open access article distributed under the terms and conditions of the Creative Commons Attribution (CC BY) license.
Share and Cite
Szypulska-Koziarska, D.; Kwiatkowska, E.; Opara-Bajerowicz, M.; Wilk, A. Morphometry and Immunoexpression of Metalloproteinase 2 and Its Inhibitor in the Fibrotic and Non-Fibrotic Grafted Kidney—Digital Analysis. Biomedicines 2026, 14, 524. https://doi.org/10.3390/biomedicines14030524
Szypulska-Koziarska D, Kwiatkowska E, Opara-Bajerowicz M, Wilk A. Morphometry and Immunoexpression of Metalloproteinase 2 and Its Inhibitor in the Fibrotic and Non-Fibrotic Grafted Kidney—Digital Analysis. Biomedicines. 2026; 14(3):524. https://doi.org/10.3390/biomedicines14030524
Chicago/Turabian StyleSzypulska-Koziarska, Dagmara, Ewa Kwiatkowska, Martyna Opara-Bajerowicz, and Aleksandra Wilk. 2026. "Morphometry and Immunoexpression of Metalloproteinase 2 and Its Inhibitor in the Fibrotic and Non-Fibrotic Grafted Kidney—Digital Analysis" Biomedicines 14, no. 3: 524. https://doi.org/10.3390/biomedicines14030524
APA StyleSzypulska-Koziarska, D., Kwiatkowska, E., Opara-Bajerowicz, M., & Wilk, A. (2026). Morphometry and Immunoexpression of Metalloproteinase 2 and Its Inhibitor in the Fibrotic and Non-Fibrotic Grafted Kidney—Digital Analysis. Biomedicines, 14(3), 524. https://doi.org/10.3390/biomedicines14030524

