Estrogen-like Activity of Scrophularia buergeriana Root Extracts in MCF-7 Cells
Abstract
1. Introduction
2. Materials and Methods
2.1. Preparation of S. buergeriana Root Extracts
2.2. Chemical Reagent
2.3. In Silico Estrogen Receptor α Molecular Docking
2.4. Cell Culture
2.5. Estrogen-like Activity of SB-R in MCF-7 Cells (E-Screen Assay)
2.6. Cell Cycle Analysis
2.7. Western Blot Analysis
2.8. Immunofluorescence Analysis
2.9. Statistical Analysis
3. Results
3.1. Estrogen Receptor α Molecular Docking
3.2. Estrogen-like Activity of SB-R in the E-Screen Assay
3.3. Effects of SB-R on Cell Cycle Progression
3.4. Effect of SB-R on ERα Expression
3.5. Immunofluorescence Analysis of ERα Expression
3.6. Effects of SB-R on AKT and ERK Phosphorylation
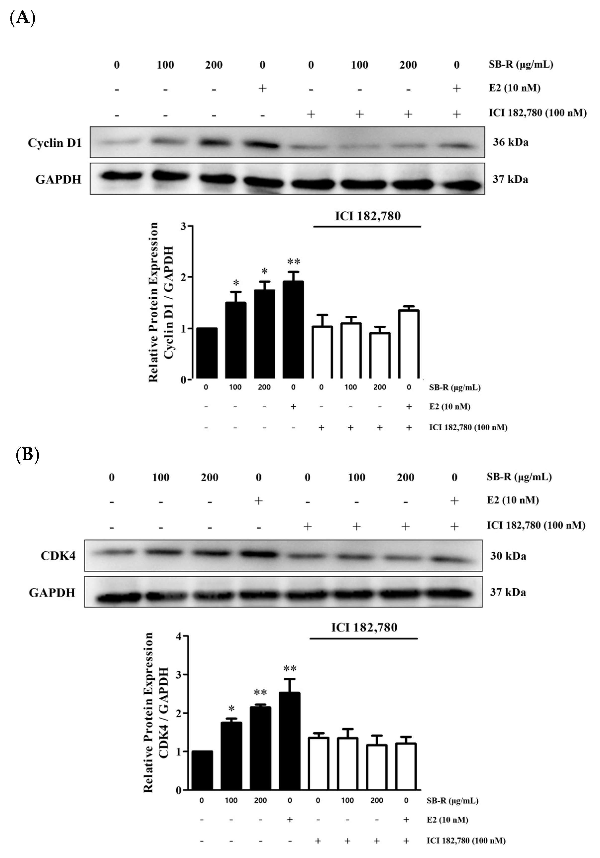
3.7. Effects of SB-R on Cyclin D1 and CDK4 Expression
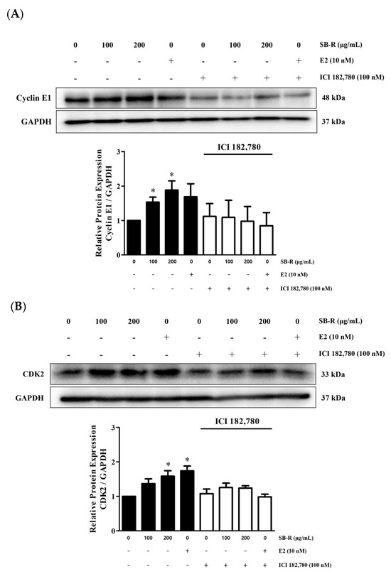
3.8. Effects of SB-R on the Expression of Cyclin E1 and CDK2
4. Discussion
5. Conclusions
Author Contributions
Funding
Institutional Review Board Statement
Informed Consent Statement
Data Availability Statement
Acknowledgments
Conflicts of Interest
References
- Minkin, M.J. Menopause: Hormones, lifestyle, and optimizing aging. Obstet. Gynecol. Clin. N. Am. 2019, 46, 501–514. [Google Scholar] [CrossRef]
- Hill, K. The demography of menopause. Maturitas 1996, 23, 113–127. [Google Scholar] [CrossRef]
- Fitzpatrick, L.A. Selective estrogen receptor modulators and phytoestrogens: New therapies for the postmenopausal woman. Mayo Clin. Proc. 1999, 74, 601–607. [Google Scholar] [CrossRef] [PubMed]
- Gruber, C.J.; Tschugguel, W.; Schneeberger, C.; Huber, J.C. Production and actions of estrogens. N. Engl. J. Med. 2002, 346, 340–352. [Google Scholar] [CrossRef] [PubMed]
- Carr, M.C. The emergence of the metabolic syndrome with menopause. J. Clin. Endocrinol. Metab. 2003, 88, 2404–2411. [Google Scholar] [CrossRef] [PubMed]
- Manson, J.E.; Chlebowski, R.T.; Stefanick, M.L.; Aragaki, A.K.; Rossouw, J.E.; Prentice, R.L.; Anderson, G.L.; Howard, B.V.; Thomson, C.A.; Lacroix, A.Z.; et al. Menopausal hormone therapy and health outcomes during the intervention and extended poststopping phases of the Women’s Health Initiative randomized trials. JAMA 2013, 310, 1353–1368. [Google Scholar] [CrossRef]
- Persson, I.; Weiderpass, E.; Bergkvist, L.; Bergström, R.; Schairer, C. Risks of breast and endometrial cancer after estrogen and estrogen–progestin replacement. Cancer Causes Control 1999, 10, 253–260. [Google Scholar] [CrossRef]
- Adlercreutz, H.; Mazur, W. Phyto-oestrogens and Western diseases. Ann. Med. 1997, 29, 95–120. [Google Scholar] [CrossRef]
- Davis, S.R.; Dalais, F.S.; Simpson, E.R.; Murkies, A.L. Phytoestrogens in health and disease. Recent Prog. Horm. Res. 1999, 54, 185–210. [Google Scholar]
- Kenneth, D.S. Phytoestrogens: The biochemistry, physiology, and implications for human health of soy isoflavones. Am. J. Clin. Nutr. 1998, 68, 1333S–1346S. [Google Scholar] [CrossRef]
- Kronenberg, F.; Fugh-Berman, A. Complementary and alternative medicine for menopausal symptoms: A review of randomized, controlled trials. Ann. Intern. Med. 2002, 137, 805–813. [Google Scholar] [CrossRef]
- Boué, S.M.; Tilghman, S.L.; Elliott, S.; Zimmerman, M.C.; Williams, K.; Payton-Stewart, F.; Miraflor, A.P.; Howell, M.H.; Shih, B.Y.; Carter-Wientjes, C.H.; et al. Identification of the potent phytoestrogen glycinol in elicited soybean (Glycine max). Endocrinology 2009, 150, 2446–2453. [Google Scholar] [CrossRef]
- Chan, R.Y.; Chen, W.-F.; Dong, A.; Guo, D.; Wong, M.-S. Estrogen-like activity of ginsenoside Rg1 derived from Panax notoginseng. J. Clin. Endocrinol. Metab. 2002, 87, 3691–3695. [Google Scholar] [CrossRef]
- Cassidy, A. Potential risks and benefits of phytoestrogen-rich diets. Int. J. Vitam. Nutr. Res. 2003, 73, 120–126. [Google Scholar] [CrossRef] [PubMed]
- Mahady, G.B.; Dog, T.L.; Barrett, M.L.; Chavez, M.L.; Gardiner, P.; Ko, R.; Marles, R.J.; Pellicore, L.S.; Giancaspro, G.I.; Sarma, D.N. United States Pharmacopeia review of the black cohosh case reports of hepatotoxicity. Menopause 2008, 15, 628–638. [Google Scholar] [CrossRef] [PubMed]
- Park, S.U.; Li, X.; Eom, S.H.; Lee, C.Y.; Lee, S.Y. EP-Methoxycinnamic acid production in hairy root cultures of Scrophularia buergeriana miquel. Arch. Biol. Sci. 2010, 62, 649–652. [Google Scholar] [CrossRef]
- Na, H.S.; Oh, S.M.; Shin, W.C.; Bo, J.H.; Kim, H.G.; Yoon, D.; Yang, S.H.; Lee, Y.-S.; Kim, G.-S.; Baek, N.-I.; et al. Isolation and quantitative analysis of metabolites from Scrophularia buergeriana and their hepatoprotective effects against HepG2 cells. J. Appl. Biol. Chem. 2019, 62, 399–406. [Google Scholar] [CrossRef]
- Byun, S.H.; Yang, C.H.; Kim, S.C. Inhibitory effect of Scrophulariae Radix extract on TNF-α, IL-1β, IL-6 and nitric oxide production in lipopolysaccharide-activated Raw 264.7 cells. Korean J. Herbology 2005, 20, 7–16. [Google Scholar]
- Jeong, E.J.; Ma, C.J.; Lee, K.Y.; Kim, S.H.; Sung, S.H.; Kim, Y.C. KD-501, a standardized extract of Scrophularia buergeriana has both cognitive-enhancing and antioxidant activities in mice given scopolamine. J. Ethnopharmacol. 2009, 121, 98–105. [Google Scholar] [CrossRef]
- Lee, H.J.; Spandidos, D.A.; Tsatsakis, A.; Margina, D.; Izotov, B.N.; Yang, S.H. Neuroprotective effects of Scrophularia buergeriana extract against glutamate-induced toxicity in SH-SY5Y cells. Int. J. Mol. Med. 2019, 43, 2144–2152. [Google Scholar] [CrossRef]
- Shin, H.; Medriano, C.A.; Park, B.; Park, Y.H.; Lee, K.Y. Screening and identification of neuroprotective compounds from Scrophularia buergeriana using cell extraction coupled with LC–MS. J. Pharm. Biomed. Anal. 2018, 148, 355–360. [Google Scholar] [CrossRef]
- O’Boyle, N.M.; Banck, M.; James, C.A.; Morley, C.; Vandermeersch, T.; Hutchison, G.R. Open Babel: An open chemical toolbox. J. Cheminform. 2011, 3, 33. [Google Scholar] [CrossRef] [PubMed]
- Pettersen, E.F.; Goddard, T.D.; Huang, C.C.; Couch, G.S.; Greenblatt, D.M.; Meng, E.C.; Ferrin, T.E. UCSF Chimera—A visualization system for exploratory research and analysis. J. Comput. Chem. 2004, 25, 1605–1612. [Google Scholar] [CrossRef] [PubMed]
- Valdés-Tresanco, M.S.; Valdés-Tresanco, M.E.; Valiente, P.A.; Moreno, E. AMDock: A versatile graphical tool for assisting molecular docking with Autodock Vina and Autodock4. Biol. Direct 2020, 15, 12. [Google Scholar] [CrossRef] [PubMed]
- Trott, O.; Olson, A.J. AutoDock Vina: Improving the speed and accuracy of docking with a new scoring function, efficient optimization, and multithreading. J. Comput. Chem. 2010, 31, 455–461. [Google Scholar] [CrossRef]
- Yamashita, S.; Lin, I.; Oka, C.; Kumazoe, M.; Komatsu, S.; Murata, M.; Kamachi, S.; Tachibana, H. Soy isoflavone metabolite equol inhibits cancer cell proliferation in a PAP associated domain containing 5-dependent and an estrogen receptor-independent manner. Nutr. Biochem. 2022, 100, 108910. [Google Scholar] [CrossRef]
- Berthois, Y.; Katzenellenbogen, J.A.; Katzenellenbogen, B.S. Phenol red in tissue culture media is a weak estrogen: Implications concerning the study of estrogen-responsive cells in culture. Proc. Natl. Acad. Sci. USA 1986, 83, 2496–2500. [Google Scholar] [CrossRef]
- Oh, S.M.; Choung, S.Y.; Sheen, Y.Y.; Chung, K.H. Quantitative assessment of estrogenic activity in the water environment of Korea by the E-SCREEN assay. Sci. Total Environ. 2000, 263, 161–169. [Google Scholar] [CrossRef]
- Soto, A.M.; Sonnenschein, C.; Chung, K.L.; Fernandez, M.F.; Olea, N.; Serrano, F.O. The E-SCREEN assay as a tool to identify estrogens: An update on estrogenic environmental pollutants. Environ. Health Perspect. 1995, 103, 113–122. [Google Scholar] [CrossRef]
- Song, J.; Cheng, M.; Xie, Y.; Li, K.; Zang, X. Efficient tumor synergistic chemoimmunotherapy by self-augmented ROS-responsive immunomodulatory polymeric nanodrug. J. Nanobiotechnology 2023, 21, 93. [Google Scholar] [CrossRef]
- Amado, P.; Dillinger, C.; Bahou, C.; Hashemi Gheinani, A.; Obrist, D.; Burkhard, F.; Ahmed, D.; Clavica, F. Ultrasound-activated cilia for biofilm control in indwelling medical devices. Proc. Natl. Acad. Sci. USA 2025, 122, e2418938122. [Google Scholar] [CrossRef] [PubMed]
- Piña, R.; Santos-Díaz, A.I.; Orta-Salazar, E.; Aguilar-Vazquez, A.R.; Mantellero, C.A.; Acosta-Galeana, I.; Estrada-Mondragon, A.; Prior-Gonzalez, M.; Martinez-Cruz, J.I.; Rosas-Arellano, A. Ten approaches that improve immunostaining: A review of the latest advances for the optimization of immunofluorescence. Int. J. Mol. Sci. 2022, 23, 1426. [Google Scholar] [CrossRef]
- Cui, X.A.; Palazzo, A.F. Visualization of endoplasmic reticulum localized mRNAs in mammalian cells. J. Vis. Exp. 2012, 70, 50066. [Google Scholar]
- Levenson, A.S.; Jordan, V.C. MCF-7: The first hormone-responsive breast cancer cell line. Cancer Res. 1997, 57, 3071–3078. [Google Scholar]
- Han, D.H.; Tachibana, H.; Yamada, K. Inhibition of environmental estrogen-induced proliferation of human breast carcinoma MCF-7 cells by flavonoids. Vitr. Cell. Dev. Biol.-Anim. 2001, 37, 275–282. [Google Scholar]
- Wardell, S.E.; Marks, J.R.; McDonnell, D.P. The turnover of estrogen receptor α by the selective estrogen receptor degrader (SERD) fulvestrant is a saturable process that is not required for antagonist efficacy. Biochem. Pharmacol. 2011, 82, 122–130. [Google Scholar] [CrossRef]
- Dauvois, S.; White, R.; Parker, M.G. The antiestrogen ICI 182,780 disrupts estrogen receptor nucleocytoplasmic shuttling. J. Cell Sci. 1993, 106, 1377–1388. [Google Scholar] [CrossRef]
- Yeh, W.L.; Shioda, K.; Coser, K.R.; Rivizzigno, D.; McSweeney, K.R.; Shioda, T. Fulvestrant-induced cell death and proteasomal degradation of estrogen receptor α protein in MCF-7 cells require the CSK c-Src tyrosine kinase. PLoS ONE 2013, 8, e60889. [Google Scholar] [CrossRef]
- Welshons, W.V.; Wolf, M.F.; Murphy, C.S.; Jordan, V.C. Estrogenic activity of phenol red. Mol. Cell. Endocrinol. 1988, 57, 169–178. [Google Scholar] [CrossRef] [PubMed]
- Agu, P.C.; Afiukwa, C.A.; Orji, O.; Ezeh, E.; Ofoke, I.; Ogbu, C.; Ugwuja, E.I.; Aja, P.M. Molecular docking as a tool for the discovery of molecular targets of nutraceuticals in diseases management. Sci. Rep. 2023, 13, 13398. [Google Scholar] [CrossRef] [PubMed]
- McConkey, B.J.; Sobolev, V.; Edelman, M. The performance of current methods in ligand–protein docking. Curr. Sci. 2002, 83, 845–856. [Google Scholar]
- Chang, M.W.; Lindstrom, W.; Olson, A.J.; Belew, R.K. Analysis of HIV wild-type and mutant structures via in silico docking against diverse ligand libraries. J. Chem. Inf. Model. 2007, 47, 1258–1262. [Google Scholar] [CrossRef]
- Hiremath, S.; Kumar, H.V.; Nandan, M.; Mantesh, M.; Shankarappa, K.; Venkataravanappa, V.; Basha, C.R.J.; Reddy, C.N.L. In silico docking analysis revealed the potential of phytochemicals present in Phyllanthus amarus and Andrographis paniculata, used in Ayurveda medicine in inhibiting SARS-CoV-2. 3 Biotech 2021, 11, 193. [Google Scholar] [CrossRef]
- Trujillo-Correa, A.I.; Quintero-Gil, D.C.; Diaz-Castillo, F.; Quiñones, W.; Robledo, S.M.; Martinez-Gutierrez, M. In vitro and in silico anti-dengue activity of compounds obtained from Psidium guajava through bioprospecting. BMC Complement. Altern. Med. 2019, 19, 298. [Google Scholar] [CrossRef] [PubMed]
- Wong, F.; Krishnan, A.; Zheng, E.J.; Stärk, H.; Manson, A.L.; Earl, A.M.; Jaakkola, T.; Collins, J.J. Benchmarking AlphaFold-enabled molecular docking predictions for antibiotic discovery. Mol. Syst. Biol. 2022, 18, e11081. [Google Scholar] [CrossRef] [PubMed]
- García-Ortegón, M.; Simm, G.N.; Tripp, A.J.; Hernández-Lobato, J.M.; Bender, A.; Bacallado, S. DOCKSTRING: Easy molecular docking yields better benchmarks for ligand design. J. Chem. Inf. Model. 2022, 62, 3486–3502. [Google Scholar] [CrossRef] [PubMed]
- Park, J.Y.; Yun, H.; Jo, J.; Baek, J.Y.; Lee, S.C.; Choi, Y.J.; Shim, J.S.; Choi, H.J.; Lee, S.; Kang, K.S. Beneficial effects of Cirsium japonicum var. maackii on menopausal symptoms in ovariectomized rats. Food Funct. 2018, 9, 2480–2489. [Google Scholar]
- Veselik, D.J.; Divekar, S.; Dakshanamurthy, S.; Storchan, G.B.; Turner, J.M.; Graham, K.L.; Huang, L.; Stoica, A.; Martin, M.B. Activation of estrogen receptor-α by the anion nitrite. Cancer Res. 2008, 68, 3950–3958. [Google Scholar] [CrossRef]
- Yuriev, E.; Ramsland, P.A. Latest developments in molecular docking: 2010–2011 in review. J. Mol. Recognit. 2013, 26, 215–239. [Google Scholar] [CrossRef]
- Lee, S.; Barron, M.G. Structure-based understanding of binding affinity and mode of estrogen receptor α agonists and antagonists. PLoS ONE 2017, 12, e0169607. [Google Scholar] [CrossRef]
- Tian, F.; Sun, S.; Ge, Z.; Ge, Y.; Ge, X.; Shi, Z.; Qian, X. Understanding the anti-cancer effects of phytochemicals: From molecular docking to anti-carcinogenic signaling. J. Nutr. 2025, 155, 431–444. [Google Scholar] [CrossRef]
- Liu, H.; He, S.; Wang, T.; Orang-Ojong, B.; Lu, Q.; Zhang, Z.; Pan, L.; Chai, X.; Wu, H.; Fan, G.; et al. Selected phytoestrogens distinguish roles of ER α transactivation and ligand binding for anti-inflammatory activity. Endocrinology 2018, 159, 3351–3364. [Google Scholar] [CrossRef]
- Haynes, M.P.; Sinha, D.; Russell, K.S.; Collinge, M.; Fulton, D.; Morales-Ruiz, M.; Sessa, W.C.; Bender, J.R. Membrane estrogen receptor engagement activates endothelial nitric oxide synthase via the PI3-kinase–Akt pathway in human endothelial cells. Circ. Res. 2000, 87, 677–682. [Google Scholar] [CrossRef]
- Hisamoto, K.; Ohmichi, M.; Kurachi, H.; Hayakawa, J.; Kanda, Y.; Nishio, Y.; Adachi, K.; Tasaka, K.; Miyoshi, E.; Fujiwara, N.; et al. Estrogen induces the Akt-dependent activation of endothelial nitric-oxide synthase in vascular endothelial cells. J. Biol. Chem. 2001, 276, 3459–3464. [Google Scholar] [CrossRef]
- Lee, Y.R.; Park, J.; Yu, H.N.; Kim, J.S.; Youn, H.J.; Jung, S.H. Up-regulation of PI3K/Akt signaling by 17β-estradiol through activation of estrogen receptor-α, but not estrogen receptor-β, and stimulates cell growth in breast cancer cells. Biochem. Biophys. Res. Commun. 2005, 336, 1221–1226. [Google Scholar] [CrossRef] [PubMed]
- Liu, Y.; Ma, H.; Yao, J. ERα, a key target for cancer therapy: A review. OncoTargets Ther. 2020, 13, 2183–2191. [Google Scholar] [CrossRef] [PubMed]
- Song, R.X.D.; McPherson, R.A.; Adam, L.; Bao, Y.; Shupnik, M.; Kumar, R.; Santen, R.J. Linkage of rapid estrogen action to MAPK activation by ERα-Shc association and Shc pathway activation. Mol. Endocrinol. 2002, 16, 116–127. [Google Scholar] [CrossRef][Green Version]
- Thu, K.; Soria-Bretones, I.; Mak, T.; Cescon, D. Targeting the cell cycle in breast cancer: Towards the next phase. Cell Cycle 2018, 17, 1871–1888. [Google Scholar] [CrossRef] [PubMed]
- Meloche, S.; Pouysségur, J. The ERK1/2 mitogen-activated protein kinase pathway as a master regulator of the G1-to S-phase transition. Oncogene 2007, 26, 3227–3239. [Google Scholar] [CrossRef] [PubMed]
- Pellarin, I.; Dall’Acqua, A.; Favero, A.; Segatto, I.; Rossi, V.; Crestan, N.; Karimbayli, J.; Belletti, B.; Baldassarre, G. Cyclin-dependent protein kinases and cell cycle regulation in biology and disease. Signal Transduct. Target. Ther. 2025, 10, 11. [Google Scholar] [CrossRef] [PubMed]
- Sherr, C.J. Cancer cell cycles. Science 1996, 274, 1672–1677. [Google Scholar] [CrossRef] [PubMed]
- Xiao, L.; Luo, Y.; Tai, R.; Zhang, N. Estrogen receptor β suppresses inflammation and the progression of prostate cancer. Mol. Med. Rep. 2019, 19, 3555–3563. [Google Scholar] [CrossRef] [PubMed]
- Adu-Amankwaah, J.; Bushi, A.; Tan, R.; Adekunle, A.O.; Adzika, G.K.; Ndzie Noah, M.L.; Nadeem, I.; Adzraku, S.Y.; Koda, S.; Mprah, R.; et al. Estradiol mitigates stress-induced cardiac injury and inflammation by downregulating ADAM17 via the GPER-1/PI3K signaling pathway. Cell. Mol. Life Sci. 2023, 80, 246. [Google Scholar] [CrossRef] [PubMed]









Disclaimer/Publisher’s Note: The statements, opinions and data contained in all publications are solely those of the individual author(s) and contributor(s) and not of MDPI and/or the editor(s). MDPI and/or the editor(s) disclaim responsibility for any injury to people or property resulting from any ideas, methods, instructions or products referred to in the content. |
© 2025 by the authors. Licensee MDPI, Basel, Switzerland. This article is an open access article distributed under the terms and conditions of the Creative Commons Attribution (CC BY) license (https://creativecommons.org/licenses/by/4.0/).
Share and Cite
Song, H.-Y.; Choi, J.; Jeong, E.; Park, H.; Moon, J.; Kim, M.-a.; Rustamov, J.; Yoo, H.-S.; Kim, T.-J. Estrogen-like Activity of Scrophularia buergeriana Root Extracts in MCF-7 Cells. Biomedicines 2025, 13, 2151. https://doi.org/10.3390/biomedicines13092151
Song H-Y, Choi J, Jeong E, Park H, Moon J, Kim M-a, Rustamov J, Yoo H-S, Kim T-J. Estrogen-like Activity of Scrophularia buergeriana Root Extracts in MCF-7 Cells. Biomedicines. 2025; 13(9):2151. https://doi.org/10.3390/biomedicines13092151
Chicago/Turabian StyleSong, Hye-Yeong, Jinsu Choi, Eunwoo Jeong, Harang Park, Juyeong Moon, Min-ah Kim, Javokhir Rustamov, Hwan-Soo Yoo, and Tack-Joong Kim. 2025. "Estrogen-like Activity of Scrophularia buergeriana Root Extracts in MCF-7 Cells" Biomedicines 13, no. 9: 2151. https://doi.org/10.3390/biomedicines13092151
APA StyleSong, H.-Y., Choi, J., Jeong, E., Park, H., Moon, J., Kim, M.-a., Rustamov, J., Yoo, H.-S., & Kim, T.-J. (2025). Estrogen-like Activity of Scrophularia buergeriana Root Extracts in MCF-7 Cells. Biomedicines, 13(9), 2151. https://doi.org/10.3390/biomedicines13092151

