Clinical and Evolutive Features of Tuberculous Meningitis in an Immunosuppressed Adolescent During the COVID 19 Pandemic
Abstract
1. Introduction
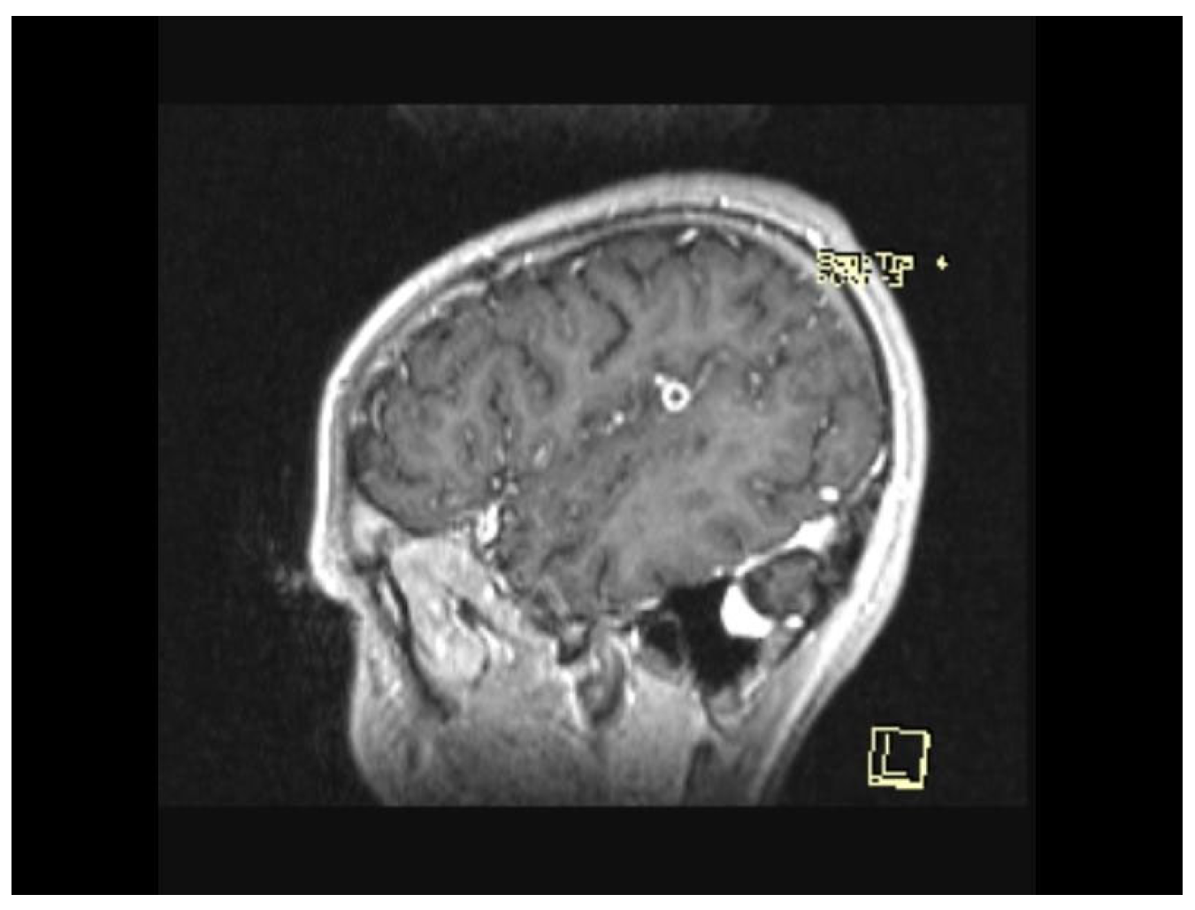
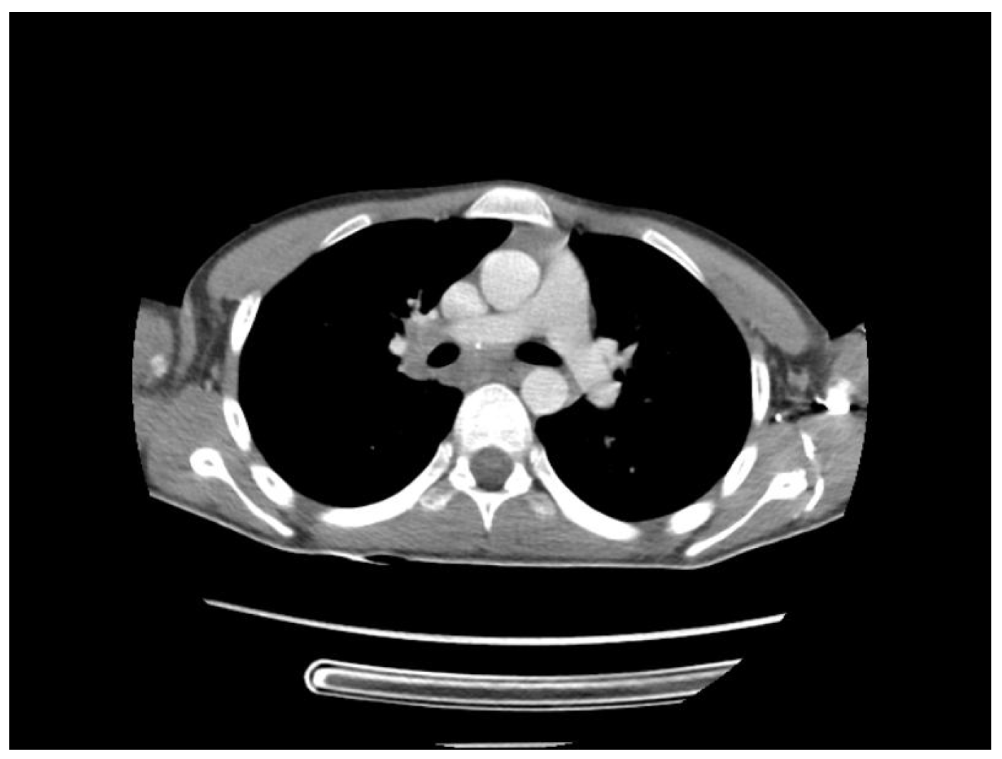
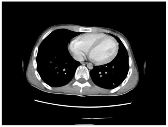
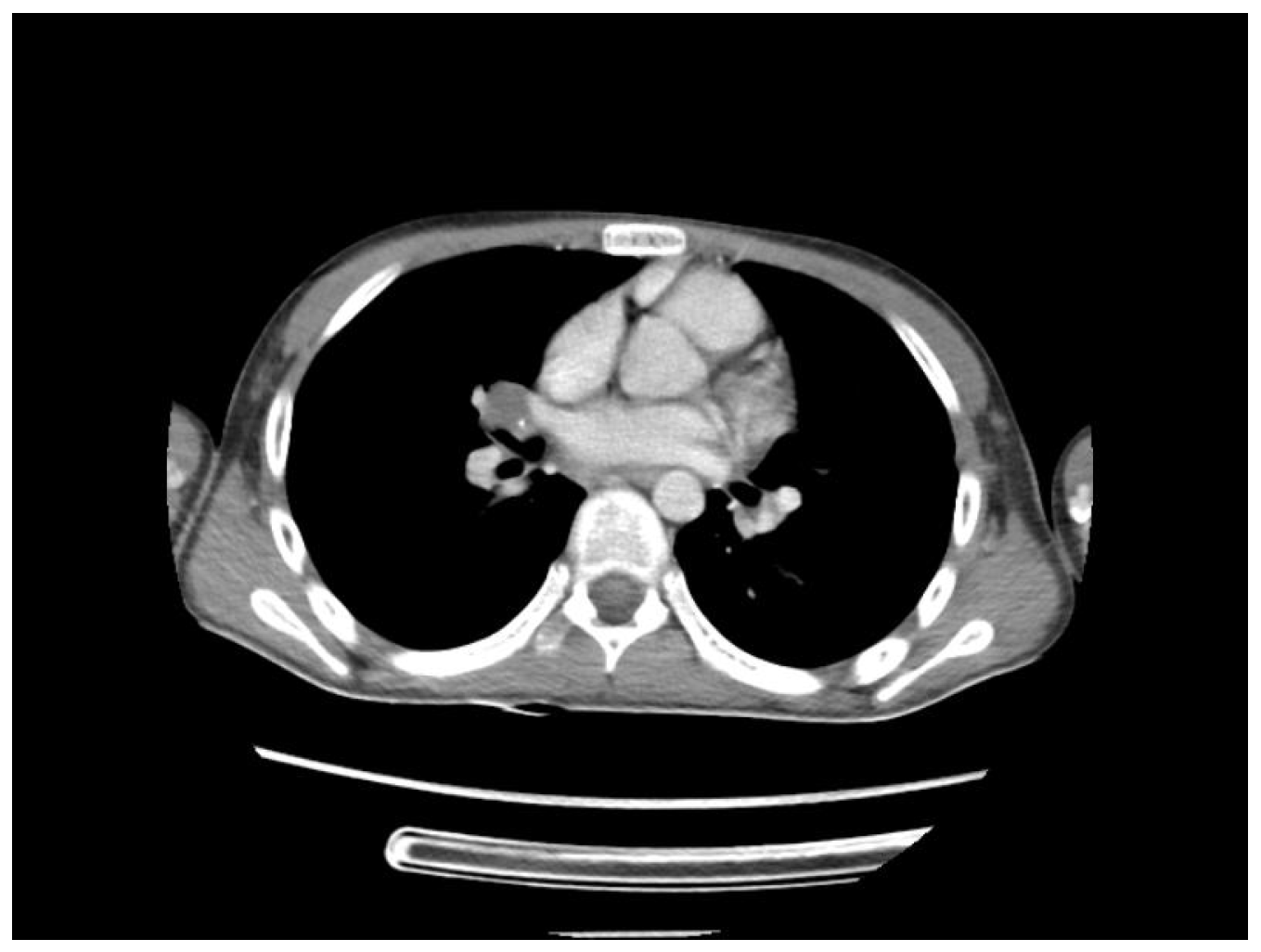
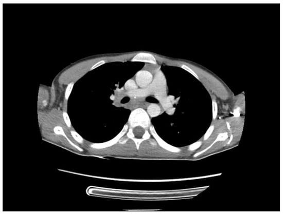
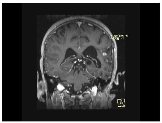
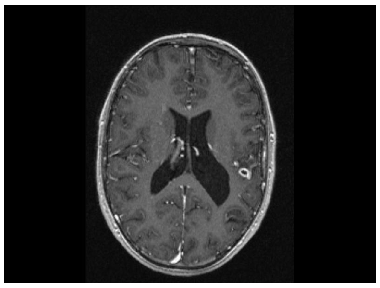
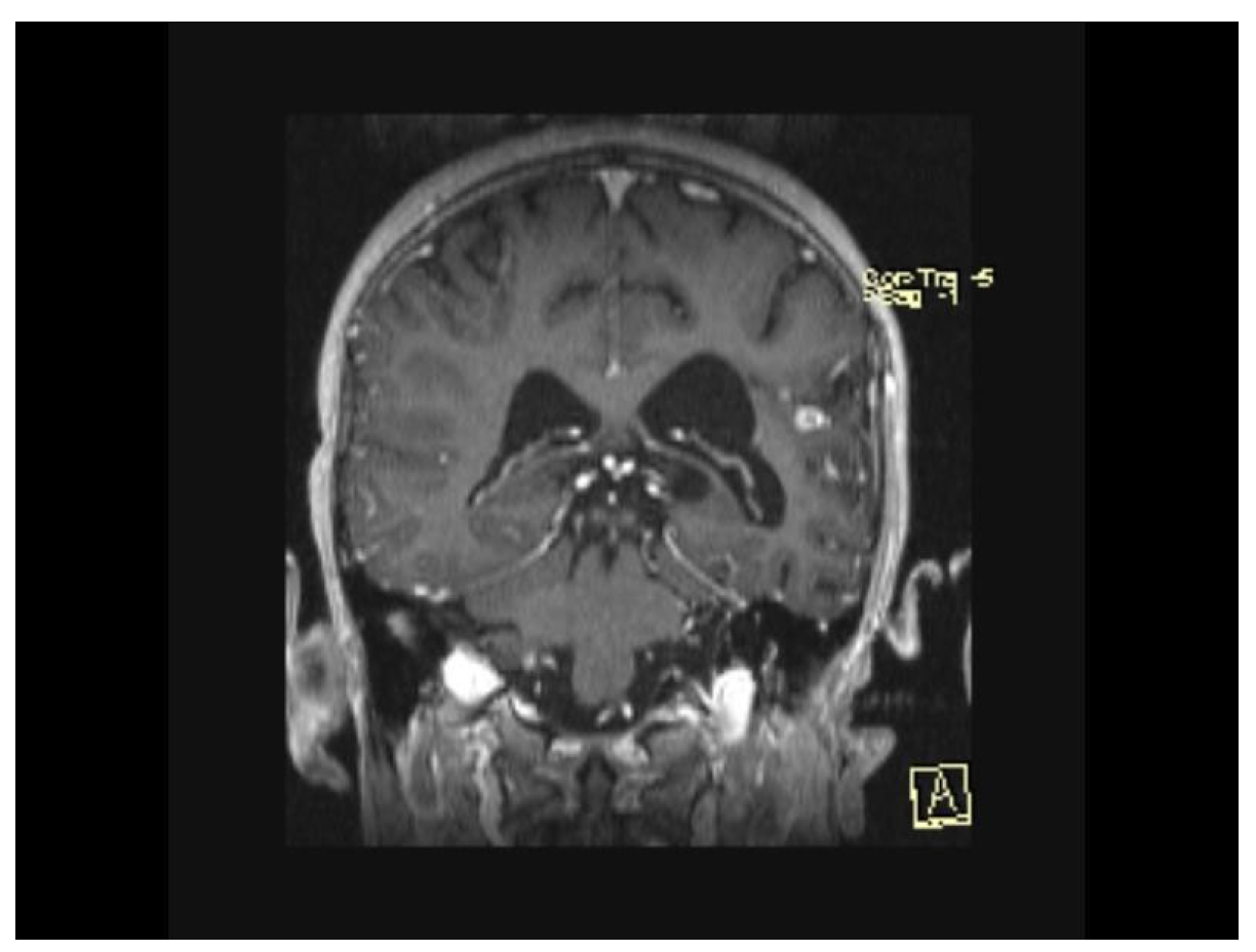
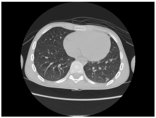
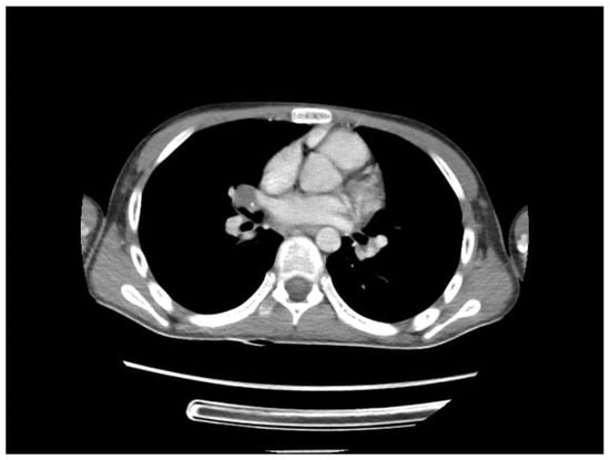
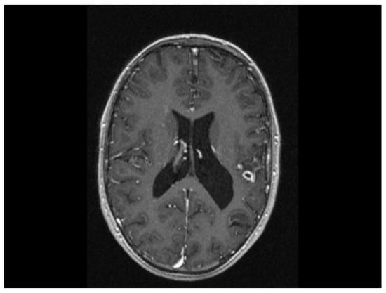
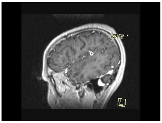
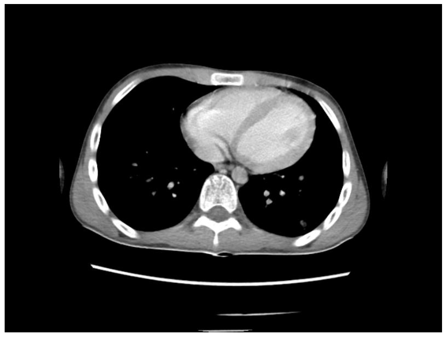
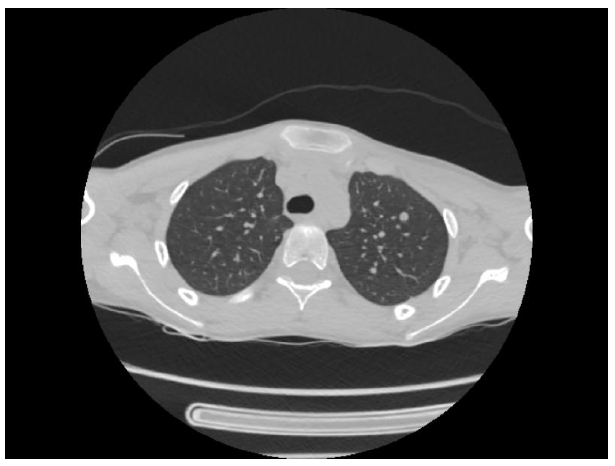
2. Case Presentation
3. Discussion
4. Conclusions
Author Contributions
Funding
Institutional Review Board Statement
Informed Consent Statement
Data Availability Statement
Conflicts of Interest
Abbreviations
| ANA | antinuclear antibodies |
| BMI | body mass index |
| CT | computed tomography |
| COVID-19 | coronavirus disease 2019 |
| CRP | C-reactive protein |
| dsDNA | double-stranded deoxyribonucleic acid |
| ESR | erythrocyte sedimentation rate |
| HIV | human immunodeficiency virus |
| Ig G | immunoglobulin G |
| Ig M | immunoglobulin M |
| MRI | magnetic resonance imaging |
| MT | Mycobacterium tuberculosis |
| WBC | white blood cell |
| PLT | platelet |
| SARS-CoV-2 | severe acute respiratory syndrome coronavirus 2 |
| SLE | systemic lupus erythematosus |
| TB | tuberculosis |
| TBM | tuberculous meningitis |
References
- Bourgi, K.; Fiske, C.; Sterling, T.R. Tuberculosis Meningitis. Curr. Infect. Dis. Rep. 2017, 19, 39. [Google Scholar] [CrossRef] [PubMed]
- Preez, K.D.; Jenkins, H.E.; Donald, P.R.; Solomons, R.; Graham, S.M.; Schaaf, H.S.; Starke, J.R.; Hesseling, A.C.; Seddon, J.A. Tuberculous Meningitis in Children: A Forgotten Public Health Emergency. Front. Neurol. 2022, 13, 751133. [Google Scholar] [CrossRef] [PubMed]
- Schoeman, J.; Wait, J.; Burger, M.; van Zyl, F.; Fertig, G.; van Rensburg, A.J.; Springer, P.; Donald, P. Long-term follow up of childhood tuberculous meningitis. Dev. Med. Child. Neurol. 2002, 44, 522–526. [Google Scholar] [CrossRef] [PubMed]
- O’Garra, A.; Redford, P.S.; McNab, F.W.; Bloom, C.I.; Wilkinson, R.J.; Berry, M.P.R. The immune response in tuberculosis. Annu. Rev. Immunol. 2013, 31, 475–527. [Google Scholar] [CrossRef]
- Davis, A.G.; Rohlwink, U.K.; Proust, A.; Figaji, A.A.; Wilkinson, R.J. The pathogenesis of tuberculous meningitis. J. Leukoc. Biol. 2019, 105, 267–280. [Google Scholar] [CrossRef]
- Zaharie, S.D.; Franken, D.J.; van der Kuip, M.; van Elsland, S.; de Bakker, B.S.; Hagoort, J.; Roest, S.L.; van Dam, C.S.; Timmers, C.; Solomons, R.; et al. The immunological architecture of granulomatous inflammation in central nervous system tuberculosis. Tuberculosis 2020, 125, 102016. [Google Scholar] [CrossRef]
- Jain, S.K.; Paul-Satyaseela, M.; Lamichhane, G.; Kim, K.S.; Bishai, W.R. Mycobacterium tuberculosis invasion and traversal across an in vitro human blood-brain barrier as a pathogenic mechanism for central nervous system tuberculosis. J. Infect. Dis. 2006, 193, 1287–1295. [Google Scholar] [CrossRef]
- Huynh, J.; Abo, Y.N.; du Preez, K.; Solomons, R.; Dooley, K.E.; Seddon, J.A. Tuberculous Meningitis in Children: Reducing the Burden of Death and Disability. Pathogens. 2021, 11, 38. [Google Scholar] [CrossRef] [PubMed] [PubMed Central]
- Iliopoulos, A.G.; Tsokos, G.C. Immunopathogenesis and spectrum of infections in systemic lupus erythematosus. Semin. Arthritis Rheum. 1996, 25, 318–336. [Google Scholar] [CrossRef]
- Xiao, X.; Da, G.; Xie, X.; Liu, X.; Zhang, L.; Zhou, B.; Li, H.; Li, P.; Yang, H.; Chen, H.; et al. Tuberculosis in patients with systemic lupus erythematosus—A 37-year longitudinal survey-based study. J. Intern. Med. 2021, 290, 101–115. [Google Scholar] [CrossRef] [PubMed]
- Belard, E.; Semb, S.; Ruhwald, M.; Werlinrud, A.M.; Soborg, B.; Jensen, F.K.; Thomsen, H.; Brylov, A.; Hetland, M.L.; Nordgaard-Lassen, I.; et al. Prednisolone treatment affects the performance of the QuantiFERON gold in-tube test and the tuberculin skin test in patients with autoimmune disorders screened for latent tuberculosis infection. Inflamm. Bowel Dis. 2011, 17, 2340–2349. [Google Scholar] [CrossRef] [PubMed]
- Available online: https://www.who.int/teams/global-programme-on-tuberculosis-and-lung-health/tb-reports/global-tuberculosis-report-2023 (accessed on 7 June 2025).
- Colosimo, M.; Caruso, A.; Nisticò, S.; Minchella, P.; Cutruzzolà, A.; Tiburzi, S.P.; Vescio, V.; Luciani, F.; Marcianò, G.; Gallelli, L. A Fatal Case of Tuberculosis Meningitis in Previously Health Children. Pediatr. Rep. 2022, 14, 175–180. [Google Scholar] [CrossRef] [PubMed] [PubMed Central]
- Van Toorn, R.; Solomons, R. Update on the diagnosis and management of tuberculous meningitis in children. Semin. Pediatr. Neurol. 2014, 21, 12–18. [Google Scholar] [CrossRef] [PubMed]
- Schaaf, H.S.; Seddon, J.A. Management of tuberculous meningitis in children. Paediatr. Int. Child. Health. 2021, 41, 231–236. [Google Scholar] [CrossRef] [PubMed]
- Basu Roy, R.; Thee, S.; Blázquez-Gamero, D.; Falcón-Neyra, L.; Neth, O.; Noguera-Julian, A.; Lillo, C.; Galli, L.; Venturini, E.; Buonsenso, D.; et al. Performance of immune-based and microbiological tests in children with tuberculosis meningitis in Europe: A multicentre Paediatric Tuberculosis Network European Trials Group (ptbnet) study. Eur. Respir. J. 2020, 56, 1902004. [Google Scholar] [CrossRef] [PubMed] [PubMed Central]
- Andronikou, S.; Smith, B.; Hatherhill, M.; Douis, H.; Wilmshurst, J. Definitive neuroradiological diagnostic features of tuberculous meningitis in children. Pediatr. Radiol. 2004, 34, 876–885. [Google Scholar] [CrossRef]
- Raghavan, S.; Gonakoti, S.; Asemota, I.R.; Mba, B. A case of systemic lupus erythematosus flare triggered by severe coronavirus disease 2019. J. Clin. Rheumatol. 2020, 26, 234–235. [Google Scholar] [CrossRef]
- Kondo, Y.; Kaneko, Y.; Oshige, T.; Fukui, H.; Saito, S.; Okayama, M.; Kamata, H.; Ishii, M.; Hasegawa, N.; Fukunaga, K.; et al. Exacerbation of immune thrombocytopaenia triggered by COVID-19 in patients with systemic lupus erythematosus. Ann. Rheum. Dis. 2020, 80, e77. [Google Scholar] [CrossRef]
- Hayden, A.; Vyas-Lahar, A.; Rella, V.; Rudinskaya, A. Severe refractory thrombocytopenia in a woman positive for coronavirus disease 2019 with lupus and antiphospholipid syndrome. Lupus 2020, 29, 1472–1474. [Google Scholar] [CrossRef]
- Celhar, T.; Fairhurst, A.M. Toll-like receptors in systemic lupus erythematosus: Potential for personalized treatment. Front. Pharmacol. 2014, 5, 265. [Google Scholar] [CrossRef]
- Mills, K.H. TLR-dependent T cell activation in autoimmunity. Nat. Rev. Immunol. 2011, 11, 807–822. [Google Scholar] [CrossRef] [PubMed]
- Ma, H.; Wang, Y.; Liu, J.; Du, L.; Wang, X.; Wang, Y. Misdiagnosis of Systemic Lupus Erythematosus Combined with Urinary Tuberculosis Leading to Tuberculous Meningitis: A Case Report and Literature Review. Infect. Drug Resist. 2023, 16, 4677–4686. [Google Scholar] [CrossRef] [PubMed] [PubMed Central]
- Martinez-Longoria, C.A.; Rubio-Perez, N.E.; Rios-Solis, J.E.; Garcia-Rodriguez, F. Severe meningoencephalitis co-infection due to Cryptococcus neoformans and Mycobacterium tuberculosis in a child with systemic lupus erythematosus. Int. J. Infect. Dis. 2015, 33, 106–108. [Google Scholar] [CrossRef] [PubMed]
- Macauley, P.; Rapp, M.; Park, S.; Lamikanra, O.; Sharma, P.; Marcelin, M.; Sharma, K. Miliary Tuberculosis Presenting with Meningitis in a Patient Treated With Mycophenolate for Lupus Nephritis: Challenges in Diagnosis and Review of the Literature. J. Investig. Med. High Impact Case Rep. 2018, 6, 2324709618770226. [Google Scholar] [CrossRef]
- Petrea Cliveți, C.L.; Ciortea, D.A.; Miulescu, M.; Candussi, I.L.; Chirila, S.I.; Verga Răuță, G.I.; Bergheș, S.E.; Râșcu, M.C.; Berbece, S.I. A New Case of Paediatric Systemic Lupus Erythematosus with Onset after SARS-CoV-2 and Epstein-Barr Infection-A Case Report and Literature Review. Curr. Issues Mol. Biol. 2024, 46, 8642–8657. [Google Scholar] [CrossRef] [PubMed] [PubMed Central]
- Diaconu, R.; Popescu, L.; Voicu, A.; Donoiu, I. Subacute effusive-constrictive pericarditis in a patient with COVID-19. BMJ Case Rep. 2021, 14, e242443. [Google Scholar] [CrossRef]
- Marcu, I.R.; Dop, D.; Pădureanu, V.; Niculescu, E.C.; Padureanu, R.; Padureanu, R.; Niculescu, C.E.; Rogoveanu, O.C. Non-Steroidal Anti-Inflammatory Drug Etoricoxib Facilitates the Application of Individualized Exercise Programs in Patients with Ankylosing Spondylitis. Medicina 2020, 56, 270. [Google Scholar] [CrossRef]
- Diaconu, R.; Golumbeanu, E.; Constantin, A.; Donoiu, I. Native valve endocarditis with Staphylococcus warneri. BMJ Case Rep. 2019, 12, e229546. [Google Scholar] [CrossRef]
- Pădureanu, V.; Drăgoescu, A.N.; Pădureanu, R.; Roșu, M.M.; Rădulescu, D.; Dop, D.; Forțofoiu, M.C. Treatment approaches in autoimmune pancreatitis. Biomed. Rep. 2024, 20, 26. [Google Scholar] [CrossRef]

















Disclaimer/Publisher’s Note: The statements, opinions and data contained in all publications are solely those of the individual author(s) and contributor(s) and not of MDPI and/or the editor(s). MDPI and/or the editor(s) disclaim responsibility for any injury to people or property resulting from any ideas, methods, instructions or products referred to in the content. |
© 2025 by the authors. Licensee MDPI, Basel, Switzerland. This article is an open access article distributed under the terms and conditions of the Creative Commons Attribution (CC BY) license (https://creativecommons.org/licenses/by/4.0/).
Share and Cite
Dop, D.; Pădureanu, V.; Pădureanu, R.; Marcu, I.R.; Măceș, S.; Mușetescu, A.E.; Niculescu, Ș.A.; Niculescu, C.E. Clinical and Evolutive Features of Tuberculous Meningitis in an Immunosuppressed Adolescent During the COVID 19 Pandemic. Biomedicines 2025, 13, 1721. https://doi.org/10.3390/biomedicines13071721
Dop D, Pădureanu V, Pădureanu R, Marcu IR, Măceș S, Mușetescu AE, Niculescu ȘA, Niculescu CE. Clinical and Evolutive Features of Tuberculous Meningitis in an Immunosuppressed Adolescent During the COVID 19 Pandemic. Biomedicines. 2025; 13(7):1721. https://doi.org/10.3390/biomedicines13071721
Chicago/Turabian StyleDop, Dalia, Vlad Pădureanu, Rodica Pădureanu, Iulia Rahela Marcu, Suzana Măceș, Anca Emanuela Mușetescu, Ștefan Adrian Niculescu, and Carmen Elena Niculescu. 2025. "Clinical and Evolutive Features of Tuberculous Meningitis in an Immunosuppressed Adolescent During the COVID 19 Pandemic" Biomedicines 13, no. 7: 1721. https://doi.org/10.3390/biomedicines13071721
APA StyleDop, D., Pădureanu, V., Pădureanu, R., Marcu, I. R., Măceș, S., Mușetescu, A. E., Niculescu, Ș. A., & Niculescu, C. E. (2025). Clinical and Evolutive Features of Tuberculous Meningitis in an Immunosuppressed Adolescent During the COVID 19 Pandemic. Biomedicines, 13(7), 1721. https://doi.org/10.3390/biomedicines13071721

