Salvia miltiorrhiza Root Extract as a Potential Therapeutic Agent for IgE/Ag-Induced Allergic Reactions and Atopic Dermatitis via the Syk/MAPK Pathway
Abstract
1. Introduction
2. Materials and Methods
2.1. Reagents
2.2. Extraction Preparation of S. miltiorrhiza Extract
2.3. Cell Culture
2.4. Cytotoxicity Assay
2.5. β-Hexosaminidase Release Assay
2.6. Passive Cutaneous Anaphylaxis
2.7. Immunoblotting and Antibodies
2.8. AD-like Mice Model
2.9. Evaluation of Skin Dermatitis Severity
2.10. Ear Condition in AD-like Mice Model
2.11. Histopathological Observation of Skin Tissues
2.12. Measuring Spleen Weight
2.13. Determination of Serum IgE Level
2.14. Statistical Analyses
3. Results
3.1. SME Suppressed Mast Cell Degranulation
3.2. SME Suppressed IgE/Ag-Induced Passive Cutaneous Anaphylaxis (PCA) In Vivo
3.3. SME Inhibited Phosphorylation of Allergic Response-Related Signaling Proteins
3.4. SME Improved Skin Condition and Reduced AD Symptoms in an AD-like Model
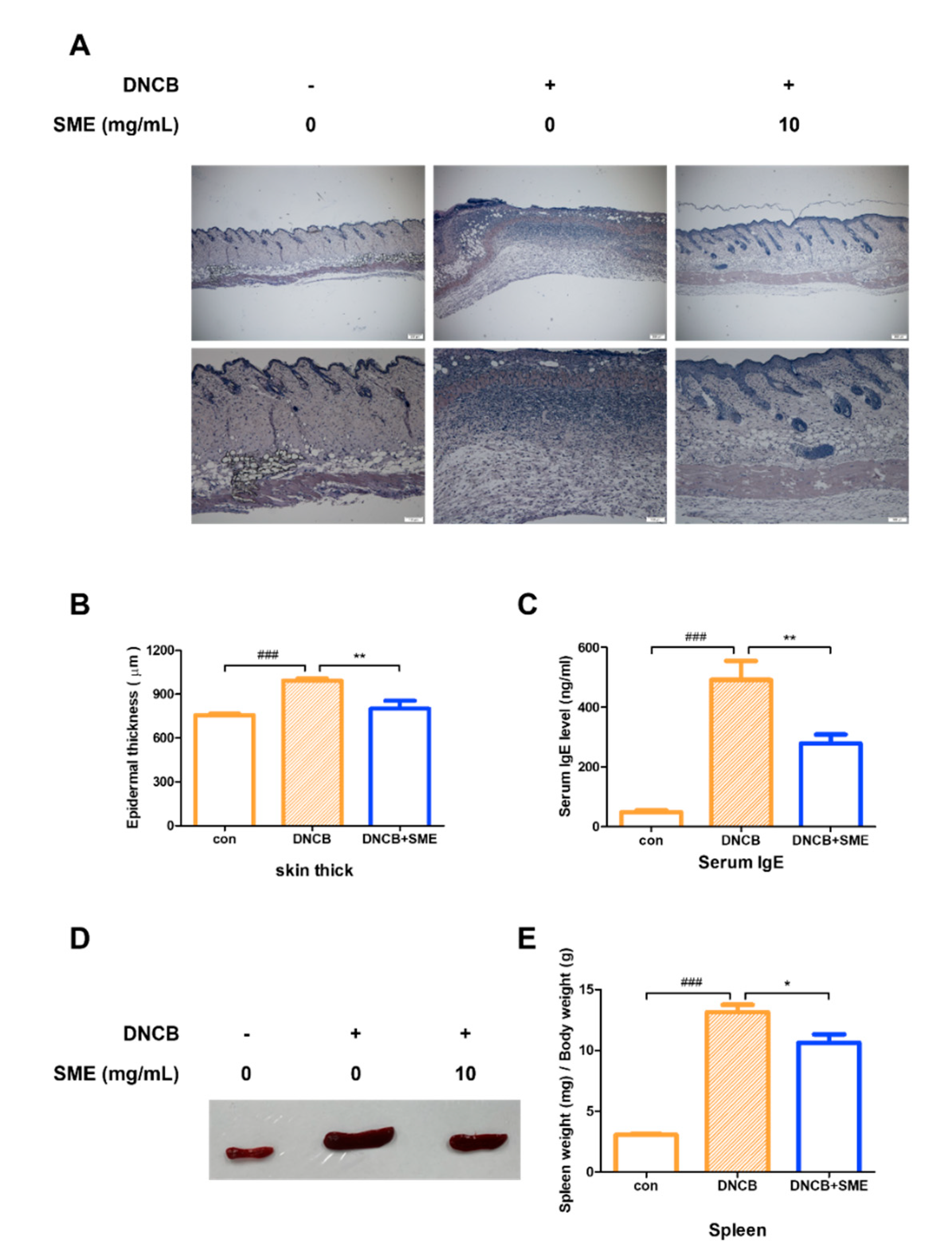
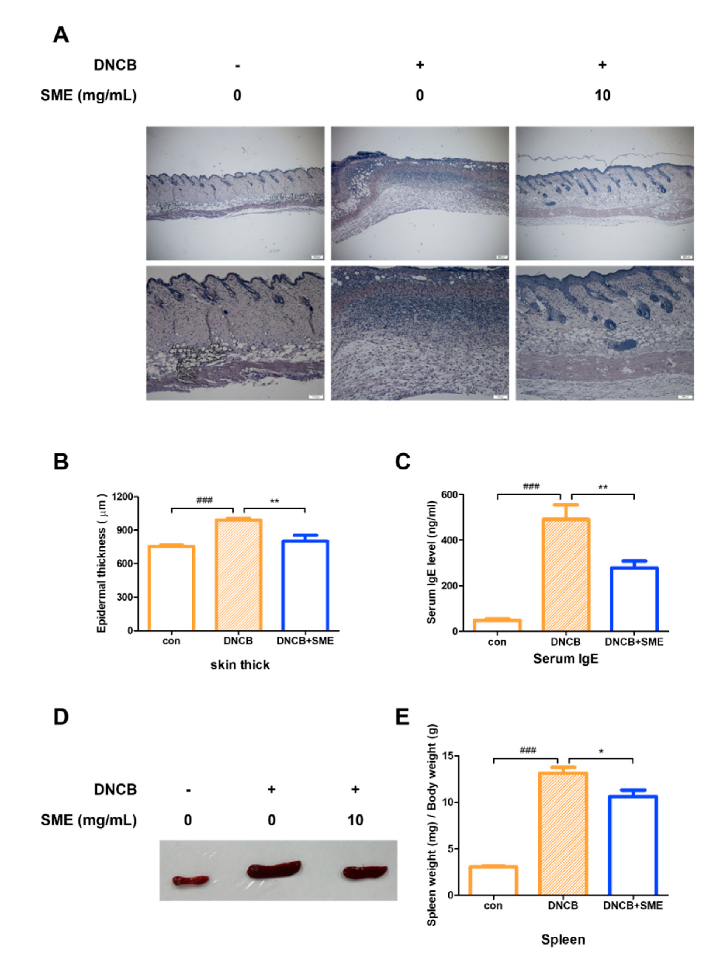
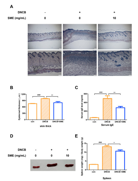
3.5. SME Reduced Skin Thickness, Spleen Enlargement, and Serum IgE Levels in AD-like Model
4. Discussion
Supplementary Materials
Author Contributions
Funding
Institutional Review Board Statement
Informed Consent Statement
Data Availability Statement
Acknowledgments
Conflicts of Interest
Abbreviations
| AD | atopic dermatitis |
| DNCB | 2,4-dinitrochlorobenzene |
| DPH | diphenhydramine |
| FcɛRI | high-affinity IgE receptors |
| FcRs | Fc receptors |
| PCA | passive cutaneous anaphylaxis |
| SME | Salvia miltiorrhiza extract |
| Syk | spleen tyrosine kinase |
References
- Foucard, T. Allergy and allergy-like symptoms in 1050 medical students. Allergy 1991, 46, 20–26. [Google Scholar] [CrossRef] [PubMed]
- Sedghy, F.; Varasteh, A.R.; Sankian, M.; Moghadam, M. Interaction between air pollutants and pollen grains: The role on the rising trend in allergy. Rep. Biochem. Mol. Biol. 2018, 6, 219. [Google Scholar]
- Simons, F.E.R.; Ardusso, L.R.F.; Bilò, M.B.; El-Gamal, Y.M.; Ledford, D.K.; Ring, J.; Sanchez-Borges, M.; Senna, G.E.; Sheikh, A.; Thong, B.Y.; et al. World allergy organization guidelines for the assessment and management of anaphylaxis. World Allergy Organ. J. 2011, 4, 13–37. [Google Scholar] [CrossRef]
- Maurer, M.; Theoharides, T.; Granstein, R.D.; Bischoff, S.C.; Bienenstock, J.; Henz, B.; Kovanen, P.; Piliponsky, A.M.; Kambe, N.; Vliagoftis, H.; et al. What is the physiological function of mast cells? Exp. Dermatol. 2003, 12, 886–910. [Google Scholar] [CrossRef] [PubMed]
- Athari, S.S.; Nasab, E.M. Allergic Asthma Immunopathogenesis: Immunopathology of the Allergic Asthma; Elsevier: Amsterdam, The Netherlands, 2024. [Google Scholar]
- Chang, T.W.; Wu, P.C.; Hsu, C.L.; Hung, A.F. Anti-IgE antibodies for the treatment of IgE-mediated allergic diseases. Adv. Immunol. 2007, 93, 63–119. [Google Scholar] [CrossRef]
- Vitte, J.; Vibhushan, S.; Bratti, M.; Montero-Hernandez, J.E.; Blank, U. Allergy, anaphylaxis, and nonallergic hypersensitivity: IgE, mast cells, and beyond. Med Princ. Pr. 2022, 31, 501–515. [Google Scholar] [CrossRef]
- Brown, J.M.; Wilson, T.M.; Metcalfe, D.D. The mast cell and allergic diseases: Role in pathogenesis and implications for therapy. Clin. Exp. Allergy 2008, 38, 4–18. [Google Scholar] [CrossRef]
- Mu, Z.; Zhao, Y.; Liu, X.; Chang, C.; Zhang, J. Molecular biology of atopic dermatitis. Clin. Rev. Allergy Immunol. 2014, 47, 193–218. [Google Scholar] [CrossRef] [PubMed]
- Fadal, R.G. The immunobiology and immunopharmacology of the allergic response. Otolaryngol. Clin. North Am. 1985, 18, 649–676. [Google Scholar] [CrossRef]
- Kumar, S.; Verma, A.K.; Das, M.; Dwivedi, P.D. Molecular mechanisms of IgE mediated food allergy. Int. Immunopharmacol. 2012, 13, 432–439. [Google Scholar] [CrossRef]
- Zhang, J.; Li, G.; Guo, Q.; Yang, Y.; Yang, J.; Feng, X.; Yao, Z. Allergens in atopic dermatitis. Clin. Rev. Allergy Immunol. 2025, 68, 11. [Google Scholar] [CrossRef]
- Cork, M.J.; Robinson, D.A.; Vasilopoulos, Y.; Ferguson, A.; Moustafa, M.; MacGowan, A.; Duff, G.W.; Ward, S.J.; Tazi-Ahnini, R. New perspectives on epidermal barrier dysfunction in atopic dermatitis: Gene–environment interactions. J. Allergy Clin. Immunol. 2006, 118, 3–21. [Google Scholar] [CrossRef]
- Yi, Y.-S.; Son, Y.-J.; Ryou, C.; Sung, G.-H.; Kim, J.-H.; Cho, J.Y. Functional roles of Syk in macrophage-mediated inflammatory responses. Mediat. Inflamm. 2014, 2014, 270302. [Google Scholar] [CrossRef]
- Yang, B.-G.; Kim, A.-R.; Lee, D.; An, S.B.; Shim, Y.A.; Jang, M.H. Degranulation of mast cells as a target for drug development. Cells 2023, 12, 1506. [Google Scholar] [CrossRef] [PubMed]
- Wong, B.R.; Grossbard, E.B.; Payan, D.G.; Masuda, E.S. Targeting Syk as a treatment for allergic and autoimmune disorders. Expert Opin. Investig. Drugs 2004, 13, 743–762. [Google Scholar] [CrossRef]
- Nakamura, A.; Akiyama, K.; Takai, T. Fc receptor targeting in the treatment of allergy, autoimmune diseases and cancer. Expert Opin. Ther. Targets 2005, 9, 169–190. [Google Scholar] [CrossRef]
- Sim, K.H.; Lee, E.; Shrestha, P.; Choi, B.-H.; Hong, J.; Lee, Y.J. Isobavachin attenuates FcεRI-mediated inflammatory allergic responses by regulating SHP-1-dependent Fyn/Lyn/Syk/Lck signaling. Biochem. Pharmacol. 2025, 232, 116698. [Google Scholar] [CrossRef] [PubMed]
- Crozier, R.W.; Yousef, M.; Coish, J.M.; Fajardo, V.A.; Tsiani, E.; MacNeil, A.J. Carnosic acid inhibits secretion of allergic inflammatory mediators in IgE-activated mast cells via direct regulation of Syk activation. J. Biol. Chem. 2023, 299, 102867. [Google Scholar] [CrossRef] [PubMed]
- Su, C.Y.; Ming, Q.L.; Rahman, K.; Han, T.; Qin, L.P. Salvia miltiorrhiza: Traditional medicinal uses, chemistry, and pharmacology. Chin. J. Nat. Med. 2015, 13, 163–182. [Google Scholar] [CrossRef]
- Lu, S. Biosynthesis and regulatory mechanisms of bioactive compounds in Salvia miltiorrhiza, a model system for medicinal plant biology. Crit. Rev. Plant Sci. 2021, 40, 243–283. [Google Scholar] [CrossRef]
- Liu, S.; Yang, G.; Wu, F.; Ge, Y.; Liu, F.; Pu, C.; Wang, Z.; Shen, Y.; Zhou, X.; Luo, Y.; et al. Traditional Chinese medicine residues promote the growth and quality of Salvia miltiorrhiza Bunge by improving soil health under continuous monoculture. Front Plant Sci 2023, 14, 1112382. [Google Scholar] [CrossRef] [PubMed]
- Luo, L.; Xue, J.; Shao, Z.; Zhou, Z.; Tang, W.; Liu, J.; Hu, H.; Yang, F. Recent developments in Salvia miltiorrhiza polysaccharides: Isolation, purification, structural characteristics and biological activities. Front. Pharmacol. 2023, 14, 1139201. [Google Scholar] [CrossRef] [PubMed]
- Wang, L.; Fang, Y.; Ma, Y.; Zhao, Z.; Ma, R.; Zhang, Y.; Qiao, Y.; Wang, X.; Zhang, Y. A novel natural Syk inhibitor suppresses IgE-mediated mast cell activation and passive cutaneous anaphylaxis. Bioorganic Chem. 2024, 146, 107320. [Google Scholar] [CrossRef] [PubMed]
- Kim, W.J.; Cha, H.S.; Lee, M.H.; Kim, S.Y.; Kim, S.H.; Kim, T.J. Effects of Cymbidium root ethanol extract on atopic dermatitis. Evid. Based Complement. Altern. Med. 2016, 2016, 5362475. [Google Scholar] [CrossRef]
- Choi, K.S.; Shin, T.S.; Chun, J.; Ahn, G.; Han, E.J.; Kim, M.J.; Kim, J.B.; Kim, S.H.; Kho, K.H.; Kim, D.H.; et al. Sargahydroquinoic acid isolated from Sargassum serratifolium as inhibitor of cellular basophils activation and passive cutaneous anaphylaxis in mice. Int. Immunopharmacol. 2022, 105, 108567. [Google Scholar] [CrossRef]
- Cha, H.S.; Kim, W.J.; Lee, M.H.; Kim, S.Y.; Kim, S.H.; Lee, K.H.; Kim, T.J. Inhibitory effect of Pterocarpus indicus Willd water extract on IgE/Ag-induced mast cell and atopic dermatitis-like mouse models. Biosci. Biotechnol. Biochem. 2016, 80, 911–919. [Google Scholar] [CrossRef]
- Leung, D.Y. Role of IgE in atopic dermatitis. Curr. Opin. Immunol. 1993, 5, 956–962. [Google Scholar] [CrossRef]
- Jenerowicz, D.; Silny, W.; Dańczak-Pazdrowska, A.; Polańska, A.; Osmola-Mańkowska, A.; Olek-Hrab, K. Environmental factors and allergic diseases. Ann. Agric. Environ. Med. 2012, 19, 475–481. [Google Scholar]
- Yodsaoue, O.; Cheenpracha, S.; Karalai, C.; Ponglimanont, C.; Tewtrakul, S. Antiallergic activity of principles from the roots and heartwood of Caesalpinia sappan on antigen-induced β-hexosaminidase release. Phytother. Res. 2009, 23, 1028–1031. [Google Scholar] [CrossRef]
- He, S.-H.; Zhang, H.-Y.; Zeng, X.-N.; Chen, D.; Yang, P.-C. Mast cells and basophils are essential for allergies: Mechanisms of allergic inflammation and a proposed procedure for diagnosis. Acta Pharmacol. Sin. 2013, 34, 1270–1283. [Google Scholar] [CrossRef]
- Touyz, R.M.; Alves-Lopes, R.; Rios, F.J.; Camargo, L.L.; Anagnostopoulou, A.; Arner, A.; Montezano, A.C. Vascular smooth muscle contraction in hypertension. Cardiovasc. Res. 2018, 114, 529–539. [Google Scholar] [CrossRef]
- Li, L.; Liu, R.; Peng, C.; Chen, X.; Li, J. Pharmacogenomics for the efficacy and side effects of antihistamines. Exp. Dermatol. 2022, 31, 993–1004. [Google Scholar] [CrossRef]
- Wang, B.-Q. Salvia miltiorrhiza: Chemical and pharmacological review of a medicinal plant. J. Med. Plants Res. 2010, 4, 2813–2820. [Google Scholar]
- Hogan, A.D.; Schwartz, L.B. Markers of mast cell degranulation. Methods 1997, 13, 43–52. [Google Scholar] [CrossRef] [PubMed]
- Kinet, J.-P. The high-affinity IgE receptor (FcϵRI): From physiology to pathology. Annu. Rev. Immunol. 1999, 17, 931–972. [Google Scholar] [CrossRef] [PubMed]
- Kopeć, A.; Panaszek, B.; Fal, A.M. Intracellular signaling pathways in IgE-dependent mast cell activation. Arch. Immunol. Ther. Exp. 2006, 54, 393–401. [Google Scholar] [CrossRef] [PubMed]
- Ma, P.; Che, D.; Zhao, T.; Zhang, Y.; Li, C.; An, H.; Zhang, T.; He, H. Magnolin inhibits IgE/Ag-induced allergy in vivo and in vitro. Int. Immunopharmacol. 2019, 76, 105867. [Google Scholar] [CrossRef]
- Kemp, S.F.; Lockey, R.F. Pathophysiology and Organ Damage in Anaphylaxis, Anaphylaxis and Hypersensitivity Reactions; Springer: Berlin/Heidelberg, Germany, 2010; pp. 33–46. [Google Scholar]
- Kemp, S.F.; Lockey, R.F. Anaphylaxis: A review of causes and mechanisms. J. Allergy Clin. Immunol. 2002, 110, 341–348. [Google Scholar] [CrossRef]
- Lee, J.H.; Kim, N.W.; Her, E.; Kim, B.K.; Hwang, K.H.; Choi, D.K.; Lim, B.O.; Han, J.W.; Kim, Y.M.; Choi, W.S. Rubiae Radix suppresses the activation of mast cells through the inhibition of Syk kinase for anti-allergic activity. J. Pharm. Pharmacol. 2006, 58, 503–512. [Google Scholar] [CrossRef]
- Furue, M.; Chiba, T.; Tsuji, G.; Ulzii, D.; Kido-Nakahara, M.; Nakahara, T.; Kadono, T. Atopic dermatitis: Immune deviation, barrier dysfunction, IgE autoreactivity and new therapies. Allergol. Int. 2017, 66, 398–403. [Google Scholar] [CrossRef]
- Chang, T.T.; Stevens, S.R. Atopic dermatitis: The role of recombinant interferon-γ therapy. Am. J. Clin. Dermatol. 2002, 3, 175–183. [Google Scholar] [CrossRef] [PubMed]
- Heo, J.H.; Heo, Y.; Lee, H.J.; Kim, M.; Shin, H.Y. Topical anti-inflammatory and anti-oxidative effects of porcine placenta extracts on 2,4-dinitrochlorobenzene-induced contact dermatitis. BMC Complement. Altern. Med. 2018, 18, 331. [Google Scholar] [CrossRef] [PubMed]






Disclaimer/Publisher’s Note: The statements, opinions and data contained in all publications are solely those of the individual author(s) and contributor(s) and not of MDPI and/or the editor(s). MDPI and/or the editor(s) disclaim responsibility for any injury to people or property resulting from any ideas, methods, instructions or products referred to in the content. |
© 2025 by the authors. Licensee MDPI, Basel, Switzerland. This article is an open access article distributed under the terms and conditions of the Creative Commons Attribution (CC BY) license (https://creativecommons.org/licenses/by/4.0/).
Share and Cite
Kim, M.-a.; Lee, J.-H.; Woo, K.; Jeong, E.; Kim, T.-J. Salvia miltiorrhiza Root Extract as a Potential Therapeutic Agent for IgE/Ag-Induced Allergic Reactions and Atopic Dermatitis via the Syk/MAPK Pathway. Biomedicines 2025, 13, 1547. https://doi.org/10.3390/biomedicines13071547
Kim M-a, Lee J-H, Woo K, Jeong E, Kim T-J. Salvia miltiorrhiza Root Extract as a Potential Therapeutic Agent for IgE/Ag-Induced Allergic Reactions and Atopic Dermatitis via the Syk/MAPK Pathway. Biomedicines. 2025; 13(7):1547. https://doi.org/10.3390/biomedicines13071547
Chicago/Turabian StyleKim, Min-ah, Jin-Ho Lee, Keunjung Woo, Eunwoo Jeong, and Tack-Joong Kim. 2025. "Salvia miltiorrhiza Root Extract as a Potential Therapeutic Agent for IgE/Ag-Induced Allergic Reactions and Atopic Dermatitis via the Syk/MAPK Pathway" Biomedicines 13, no. 7: 1547. https://doi.org/10.3390/biomedicines13071547
APA StyleKim, M.-a., Lee, J.-H., Woo, K., Jeong, E., & Kim, T.-J. (2025). Salvia miltiorrhiza Root Extract as a Potential Therapeutic Agent for IgE/Ag-Induced Allergic Reactions and Atopic Dermatitis via the Syk/MAPK Pathway. Biomedicines, 13(7), 1547. https://doi.org/10.3390/biomedicines13071547

