A Comparative Analysis of Radiological Imaging and Surgical Treatments for Maxillary Artery Pseudoaneurysms, Based on a Literature Review and Our Clinical Experience
Abstract
1. Introduction
2. Materials and Methods
3. Results
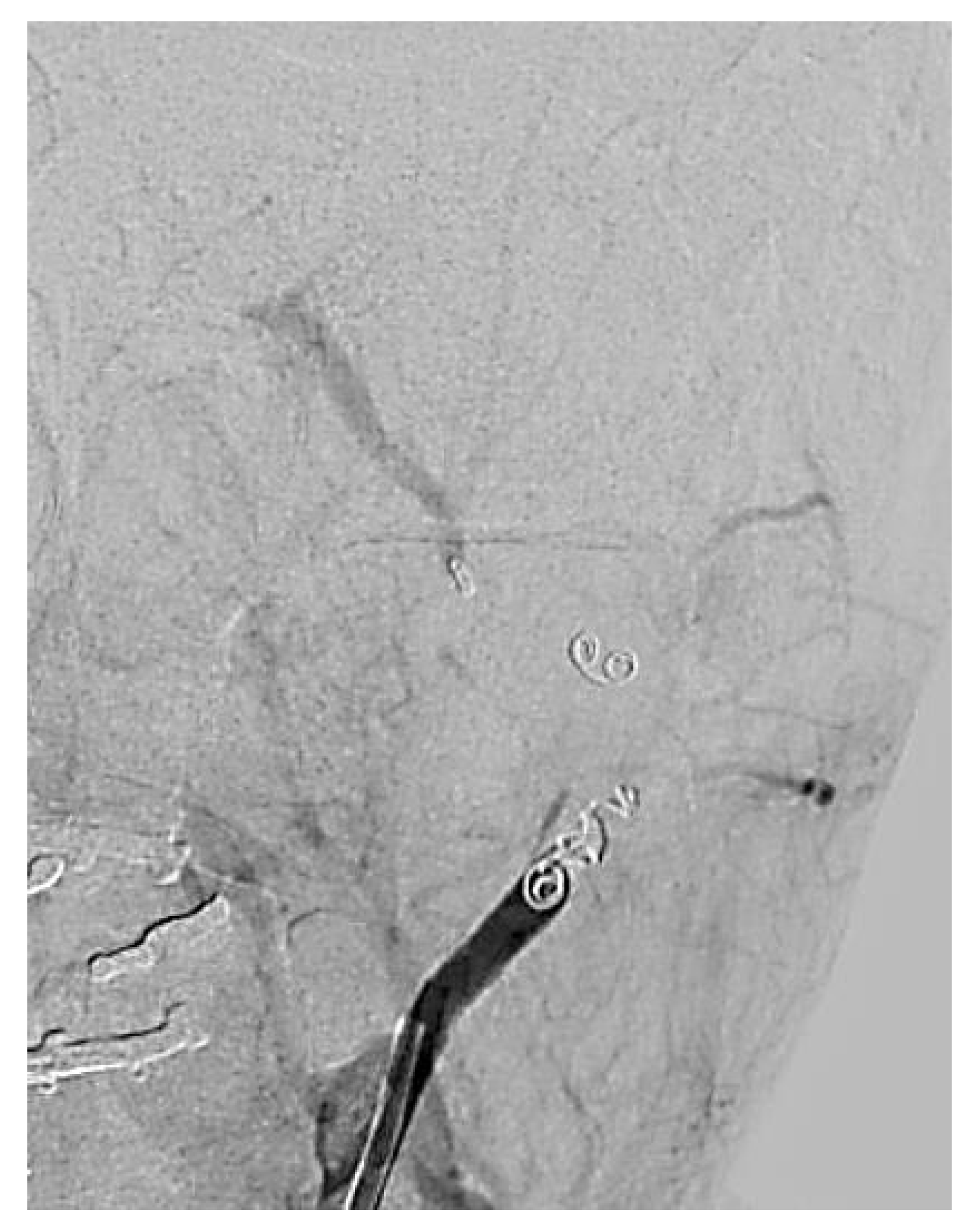
Case Series
4. Discussion
4.1. Radiological Diagnosis
4.2. Differential Diagnosis
4.3. Treatment Methods
5. Conclusions
Author Contributions
Funding
Institutional Review Board Statement
Informed Consent Statement
Data Availability Statement
Acknowledgments
Conflicts of Interest
References
- Chakrabarty, S.; Majumdar, S.K.; Ghatak, A.; Bansal, A. Management of Pseudoaneurysm of Internal Maxillary Artery Resulting from Trauma. J. Maxillofac. Oral Surg. 2015, 14, 203–208. [Google Scholar] [CrossRef] [PubMed][Green Version]
- Niazi, M.H.; El-Ghanem, M.; Al-Mufti, F.; Wajswol, E.; Dodson, V.; Abdulrazzaq, A.; Sami, T.; Nuoman, R.; Aziz, S.; Gandhi, C.D. Endovascular Management of Epistaxis Secondary to Dissecting Pseudoaneurysm of the Descending Palatine Artery Following Orthognathic Surgery. J. Vasc. Interv. Neurol. 2018, 10, 41–46. [Google Scholar]
- Zachariades, N.; Rallis, G.; Papademetriou, G.; Papakosta, V.; Spanomichos, G.; Souelem, M. Embolization for the Treatment of Pseudoaneurysm and Transection of Facial Vessels. Oral Surg. Oral Med. Oral Pathol. Oral Radiol. Endod. 2001, 92, 491–494. [Google Scholar] [CrossRef]
- Katakol, B.; Govindaraj, E. Pseudoaneurysm of the Internal Maxillary Artery Following Mandibular Condylar Fracture. Ann. Maxillofac. Surg. 2014, 4, 201. [Google Scholar] [CrossRef]
- Alonso, N.; De Oliveira Bastos, E.; Massenburg, B.B. Pseudoaneurysm of the Internal Maxillary Artery: A Case Report of Facial Trauma and Recurrent Bleeding. Int. J. Surg. Case Rep. 2016, 21, 63–66. [Google Scholar] [CrossRef] [PubMed]
- Moro, A.; Todaro, M.; Pedicelli, A.; Alexandre, A.; Pelo, S.; Doneddu, P.; Gasparini, G.; Garagiola, U.; D’Amato, G.; Saponaro, G. Pseudoaneurysm of the Internal Maxillary Artery Secondary to Subcondylar Fracture: Case Report and Literature Review. J. Surg. Case Rep. 2018, 2018, rjy080. [Google Scholar] [CrossRef] [PubMed]
- Akiyama, O.; Güngör, A.; Middlebrooks, E.H.; Kondo, A.; Arai, H. Microsurgical Anatomy of the Maxillary Artery for Extracranial-Intracranial Bypass in the Pterygopalatine Segment of the Maxillary Artery. Clin. Anat. 2018, 31, 724–733. [Google Scholar] [CrossRef]
- Ottone, N.E.; Sandoval, C.; Cid-Gutierrez, P.; Vásquez-Balboa, M.L.; Tubbs, R.S.; Fuentes, R. Systematic Review and Meta-Analysis of the Anatomy of the Maxillary Artery Using the Anatomical Quality Assurance (AQUA) Checklist. Surg. Radiol. Anat. 2021, 43, 1875–1886. [Google Scholar] [CrossRef]
- Hussain, A.; Binahmed, A.; Karim, A.; Sándor, G.K.B. Relationship of the Maxillary Artery and Lateral Pterygoid Muscle in a Caucasian Sample. Oral Surg. Oral Med. Oral Pathol. Oral Radiol. Endodontology 2008, 105, 32–36. [Google Scholar] [CrossRef]
- Maeda, S.; Aizawa, Y.; Kumaki, K.; Kageyama, I. Variations in the Course of the Maxillary Artery in Japanese Adults. Anat. Sci. Int. 2012, 87, 187–194. [Google Scholar] [CrossRef]
- Arimoto, S.; Hasegawa, T.; Okamoto, N.; Shioyasono, A.; Tateishi, C.; Akashi, M.; Suzuki, H.; Furudoi, S.; Komori, T. Determining the Location of the Internal Maxillary Artery on Ultrasonography and Unenhanced Magnetic Resonance Imaging before Orthognathic Surgery. Int. J. Oral Maxillofac. Surg. 2015, 44, 977–983. [Google Scholar] [CrossRef] [PubMed]
- Morton, A.L.; Khan, A. Internal maxillary artery variability in the pterygopalatine fossa. Otolaryngol. Head Neck Surg. 1991, 104, 204–409. [Google Scholar] [CrossRef] [PubMed]
- Wang, D.; Su, L.; Han, Y.; Fan, X. Embolization Treatment of Pseudoaneurysms Originating from the External Carotid Artery. J. Vasc. Surg. 2015, 61, 920–926. [Google Scholar] [CrossRef]
- Shetty, N.K.; Shandilya, R.; Pawar, S.; Gadre, P.K.; Gadre, K.; Singh, D. Management of Late Post-Traumatic Facial Artery Pseudoaneurysmal Cyst: Review of Literature. J. Maxillofac. Oral Surg. 2015, 14, 201–205. [Google Scholar] [CrossRef]
- Nicholson, A.T.; Sullivan, M.A.; Corliss, B.M. Maxillary Artery Pseudoaneurysm Causing Retinal Artery Occlusion. Am. J. Ophthalmol. Case Rep. 2023, 30, 101830. [Google Scholar] [CrossRef]
- Piccioni, A.; Vaccaro, V.; Manca, F.; Nonno, C.; Zanza, C.; Savioli, G.; Candelli, M.; Covino, M.; Franceschi, F. Management of Maxillary Artery Pseudoaneurysm in Emergency Department: A Narrative Review. Clin. Ter. 2022, 173, 496–499. [Google Scholar]
- Kamath, G.; Naalla, R.; Pai, V.B.; Narayanan, R. Left Maxillary Artery Pseudoaneurysm: A Rare and Late Postoperative Complication after Head and Neck Cancer Treatment. BMJ Case Rep. 2014, 2014, bcr2013203078. [Google Scholar] [CrossRef] [PubMed]
- Soh, H.Y.; Muda, A.S.; Jabar, N.A.; Nordin, R.; Nabil, S.; Ramli, R. Non-Pulsatile Traumatic Pseudoaneurysm of the Internal Maxillary Artery Following Trauma to Mandible. Oral Maxillofac. Surg. 2015, 19, 423–425. [Google Scholar] [CrossRef]
- Thakkur, R.K.; Kapadia, S.; Merchant, R. Traumatic Internal Maxillary Artery Pseudoaneurysm with a Malunited Mandibular Fracture. J. Maxillofac. Oral Surg. 2015, 14, 19–20. [Google Scholar] [CrossRef][Green Version]
- Nastro Siniscalchi, E.; Catalfamo, L.; Pitrone, A.; Papa, R.; Famà, F.; Lo Giudice, G.; Cervino, G.; Cicciu, M.; De Ponte, F.S. Traumatic Pseudoaneurysm of the Internal Maxillary Artery: A Rare Life-Threatening Hemorrhage as a Complication of Maxillofacial Fractures. Case Rep. Med. 2016, 2016, 9168429. [Google Scholar] [CrossRef]
- Lee, E.J.; Hwang, H.J.; Kim, K.S. Pseudoaneurysm in the Internal Maxillary Artery Occurring after Endoscopic Sinus Surgery. J. Craniofacial Surg. 2016, 27, 1013–1014. [Google Scholar] [CrossRef] [PubMed][Green Version]
- Gold, M. Partially Thrombosed Internal Maxillary Pseudoaneurysm after Gunshot Wound. Craniomaxillofac. Trauma Reconstr. 2016, 9, 335–337. [Google Scholar] [CrossRef] [PubMed]
- Debelmas, A.; Lanciaux, S.; Schouman, T. A Case of Epistaxis. J. Stomatol. Oral Maxillofac. Surg. 2017, 118, 383–384. [Google Scholar] [CrossRef] [PubMed][Green Version]
- Shan, J.P.; Xu, X.J.; Wu, J.; Ji, W.B. Transcatheter arterial embolization in the treatment of maxillary artery pseudoaneurysm hemorrhage: A case report. Lin Chuang Er Bi Yan Hou Tou Jing Wai Ke Za Zhi 2017, 31, 1130–1132. (In Chinese) [Google Scholar] [CrossRef] [PubMed]
- Tao, P.; Amott, D.; Mitchell, P.; Iseli, T.A. Massive Epistaxis from Sphenopalatine Pseudoaneurysm 5 Months after Facial Trauma. ANZ J. Surg. 2017, 87, 94–96. [Google Scholar] [CrossRef][Green Version]
- Neres, B.; Figueiredo, E.; Aires, C.; Nogueira, E.; Andrade, E. Pseudoaneurysm in Internal Maxillary Artery after Gunshot Wound: Critical Review and Case Report. J. Clin. Exp. Dent. 2018, 10, e716–e720. [Google Scholar] [CrossRef]
- Kim, N.Y.; Kim, J.Y.; Pyen, J.S.; Whan, K.; Cho, S.M.; Choi, J.W. Treatment of Pseudoaneurysm of Internal Maxillary Artery Resulting from Needle Injury. Korean J. Neurotrauma 2019, 15, 176–181. [Google Scholar] [CrossRef]
- Al-Saadi, N.J.; Bakathir, A.; Al-Mashaikhi, A.; Al-Hashmi, A.; Al-Habsi, A.; Al-Azri, F. Maxillary Artery Pseudoaneurysm as a Complication of Maxillofacial Injuries: Report of Three Cases and Literature Review. Sultan Qaboos Univ. Med. J. 2019, 19, e364–e368. [Google Scholar] [CrossRef]
- Chaudhary, H.A.; Ibrahim, W.H.; Yousaf, Z.; Abubeker, I.Y.; Kartha, A. Fungal Malignant Otitis Externa Involves a Cascade of Complications Culminating in Pseudoaneurysm of Internal Maxillary Artery: A Case Report. Am. J. Case Rep. 2019, 20, 562–566. [Google Scholar] [CrossRef]
- Chun, J.J.; Choi, C.Y.; Wee, S.Y.; Song, W.J.; Jeong, H.G. Embolization for Treating Posttraumatic Pseudoaneurysm of the Sphenopalatine Artery. Arch. Craniofac. Surg. 2019, 20, 251–254. [Google Scholar] [CrossRef]
- Rawat, S.K.; Singh, D.; Suresh Babu, P.; George, R.; Mongia, P. Traumatic Pseudoaneurysm: A Life-Threatening Complication After Surgical Extraction of Impacted Maxillary Third Molar. J. Maxillofac. Oral Surg. 2019, 18, 57–60. [Google Scholar] [CrossRef] [PubMed]
- Maleux, O.; da Costa Senior, O.; Politis, C.; Maleux, G. Glue Embolisation of a Bleeding Pseudoaneurysm Related to Surgically-Assisted Rapid Palatal Expansion. Br. J. Oral Maxillofac. Surg. 2019, 57, 597–599. [Google Scholar] [CrossRef] [PubMed]
- Park, B.; Jang, W.H.; Lee, B.K. An Idiopathic Delayed Maxillary Hemorrhage after Orthognathic Surgery with Le Fort I Osteotomy: A Case Report. J. Korean Assoc. Oral. Maxillofac. Surg. 2019, 45, 364–368. [Google Scholar] [CrossRef] [PubMed]
- Manoj Kumar, K.P.; Mullath, A.; Vijayakumar, D.; Vinod, A. An Extremely Rare Pseudoaneurysm of Posterior Superior Alveolar Artery Arising after Orthognathic Surgery. Natl. J. Maxillofac. Surg. 2021, 12, 96–99. [Google Scholar] [CrossRef]
- Kumar, A.; Kaur, A.; Singh, M.; Rattan, V.; Rai, S. “Signs and Symptoms Tell All”–Pseudoaneurysm as a Cause of Postoperative Bleeding after Orthognathic Surgery–Report of a Case and a Systematic Review of Literature. J. Maxillofac. Oral Surg. 2021, 20, 345–355. [Google Scholar] [CrossRef]
- Słotwińska, A.; Orzechowska-Wylęgała, B.; Latusek, K.; Katra, M. Bilateral Maxillary Pseudoaneurysms as a Complication of Craniofacial Fracture: A Case Report. Am. J. Case Rep. 2021, 22, e932443. [Google Scholar] [CrossRef]
- Hwang, J.H.; Kim, W.H.; Choi, J.H.; Kim, K.S.; Lee, S.Y. Delayed Rupture of a Posttraumatic Retromaxillary Pseudoaneurysm Causing Massive Bleeding: A Case Report. Arch. Craniofac. Surg. 2021, 22, 168–172. [Google Scholar] [CrossRef] [PubMed]
- Miller, J.E.; McCormick, J.P.; Raskin, J.; Borrelli, M.; Nasrollahi, T.; Suh, J.D. Endoscopic Management of a Post-Traumatic Internal Maxillary Artery Pseudoaneurysm: Case Report and Review of the Literature. Ear Nose Throat J. 2022, 101, 40S–43S. [Google Scholar] [CrossRef]
- Lim, S.Y.; Lee, H.G.; Kim, K.N.; Kim, H.; Oh, D.H.; Koh, I.C. Ruptured Pseudoaneurysm of the Internal Maxillary Artery in Zygomaticomaxillary Fracture: A Case Report. Arch. Craniofac. Surg. 2022, 23, 89–92. [Google Scholar] [CrossRef]
- Tokuyama, K.; Kiyosue, H.; Shimada, R.; Miyamoto, S.; Abe, A.; Kawano, K.; Asayama, Y. Selective Transarterial Embolization for Arterial Hemorrhage after Upper Third Molar Extraction: Illustrative Cases. J. Neurosurg. Case Lessons 2023, 6, CASE23118. [Google Scholar] [CrossRef]
- Botella-Casas, G.; Marqués-Mateo, M.; Miragall-Alba, L.; Río-Vega, D.M.; González-Soler, E.; Puche-Torres, M. Management of Pseudoaneurysms of the Internal Maxillary Artery Derived from Orthognathic Surgery Based on One Case. Oral Maxillofac. Surg. 2024, 28, 963–966. [Google Scholar] [CrossRef] [PubMed]
- Lozman, H.; Nussbaum, M. Aneurysm of the Temporal Artery Superficial. Am. J. Otolaryngol. 1982, 3, 376–378. [Google Scholar] [CrossRef] [PubMed]
- Silva, A.C.; O’Ryan, F.; Beckley, M.L.; Young, H.Y.; Poor, D. Pseudoaneurysm of a Branch of the Maxillary Artery Following Mandibular Sagittal Split Ramus Osteotomy: Case Report and Review of the Literature. J. Oral Maxillofac. Surg. 2007, 65, 1807–1816. [Google Scholar] [CrossRef]
- Lö, L.; Olmarker, A.; Geterud, K.; Risberg, B. Prospective Randomized Study Comparing Ultrasound-Guided Thrombin Injection to Compression in the Treatment of Femoral Pseudoaneurysms. J. Endovasc. Ther. 2004, 11, 570–576. [Google Scholar]
- Cybulak-Naczke, J.A.; Poleniewicz, A.; Garbacewicz, Ł.M.; Polcyn, A.; Drogoszewska, B.T. Tętniak Rzekomy Tętnicy Szczękowej Jako Rzadkie Powikłanie Złamania Wyrostka Kłykciowego Żuchwy. Mag. Stomatol. 2019, 4, 46–48. Available online: https://ppm.gumed.edu.pl/info/article/GUM85b17ca75cd34d10925e2fc7bf7e1716/ (accessed on 4 June 2025).
- Cox, M.W.; Whittaker, D.R.; Martinez, C.; Fox, C.J.; Feuerstein, I.M.; Gillespie, D.L. Traumatic Pseudoaneurysms of the Head and Neck: Early Endovascular Intervention. J. Vasc. Surg. 2007, 46, 1227–1233. [Google Scholar] [CrossRef]
- Radvany, M.G.; Gailloud, P. Endovascular Management of Neurovascular Arterial Injuries in the Face and Neck. Semin. Interv. Radiol. 2010, 27, 44–54. [Google Scholar] [CrossRef] [PubMed]
- Mohanty, S.; Gulati, U.; Kathuria, S. Pseudoaneurysm of the Internal Maxillary Artery: A Rare Complication of Condylar Fracture. Craniomaxillofac. Trauma Reconstr. 2013, 6, 271–273. [Google Scholar] [CrossRef]
- Rennert, R.C.; Nguyen, V.N.; Abedi, A.; Atai, N.A.; Carey, J.N.; Tenser, M.; Amar, A.; Mack, W.J.; Russin, J.J. Combined Open Revascularization and Endovascular Treatment of Complex Intracranial Aneurysms: Case Series. Front. Neurol. 2023, 14, 1102496. [Google Scholar] [CrossRef]








| Characteristic | N | % | |
|---|---|---|---|
| Gender | Male | 38 | 76 |
| Female | 12 | 24 | |
| Age | 10s | 4 | 8 |
| 20s | 14 | 28 | |
| 30s | 11 | 22 | |
| 40s | 9 | 18 | |
| 50s | 6 | 12 | |
| 60s | 4 | 8 | |
| 70s | 2 | 4 | |
| Etiology of the MAPs | Trauma | 33 | 66 |
| Radiotherapy | 1 | 2 | |
| Iatrogenic | 14 | 28 | |
| Idiopathic | 1 | 2 | |
| Infection | 1 | 2 | |
| Symptoms | Swelling | 27 | 54 |
| Bleeding | 27 | 54 | |
| Trismus | 1 | 2 | |
| Facial palsy | 2 | 4 | |
| Dental maloclusion | 1 | 2 | |
| Nasal obstruction | 2 | 4 | |
| Pain | 10 | 20 | |
| Latency time | Unknown | 17 | 34 |
| Few hours | 3 | 6 | |
| 1–10 days | 12 | 24 | |
| 11–30 days | 8 | 16 | |
| 1–12 months | 8 | 16 | |
| 1–10 years | 1 | 2 | |
| >10 years | 1 | 2 |
| Nr. | Author | Year | Etiology | Treatment | Radiological Imaging Method |
|---|---|---|---|---|---|
| 1. | Katakol et al. [4] | 2014 | Trauma (fracture of the mandibular condylar process) | Intravascular embolization | CT angiography |
| 2. | Kamath et al. [17] | 2014 | Head and neck radiotherapy | Surgical resection | CT angiography |
| 3. | Wang et al. [13] | 2015 | Trauma (13 of 17 cases) Iatrogenic (3 of 17 cases) Idiopathic (1 of 17 cases) | Intravascular embolization | CT angiography |
| 4. | Chakrabarty et al. [1] | 2015 | Trauma (fracture of the mandibular condylar process) | Surgical resection | CT angiography |
| 5. | Soh et al. [18] | 2015 | Trauma (fracture of the mandibular condylar process) | Intravascular embolization | CT scan |
| 6. | Thakkur et al. [19] | 2015 | Trauma (fracture of the mandibular condylar process) | Surgical resection | CT angiography |
| 7. | Alonso et al. [5] | 2016 | Trauma (gunshot) | Intravascular embolization | Conventional angiography |
| 8. | Nastro Siniscalchi et al. [20] | 2016 | Trauma (Le Fort III fracture) | Intravascular embolization | CT angiography and conventional angiography |
| 9. | Lee et al. [21] | 2016 | Iatrogenic (endoscopic sinus procedure) | Intravascular embolization | CT angiography |
| 10. | Gold et al. [22] | 2016 | Trauma (gunshot) | Intravascular embolization | CT angiography |
| 11. | Debelmas et al. [23] | 2017 | Trauma (Le Fort I fracture) | Intravascular embolization | CT angiography |
| 12. | Shan JP et al. [24] | 2017 | Iatrogenic (endoscopic sinus procedure) | Intravascular embolization | Digital subtraction angiography |
| 13. | Tao et al. [25] | 2017 | Trauma (zygomatico-maxillo-orbital fracture) | Intravascular embolization | CT angiography and digital subtraction angiography |
| 14. | Moro et al. [6] | 2018 | Trauma (fracture of the mandibular condylar process) | Intravascular embolization | Conventional angiography |
| 15. | Neres et al. [26] | 2018 | Trauma (gunshot) | Intravascular embolization | Conventional angiography |
| 16. | Kim et al. [27] | 2019 | Iatrogenic (injection in the masseter muscle) | Intravascular embolization | Conventional angiography |
| 17. | Al-Saadi et al. [28] | 2019 | Trauma (3 cases) | Intravascular embolization | Digital subtraction angiography |
| 18. | Chaudhary et al. [29] | 2019 | Infection (complication of malignant otitis externa) | Intravascular embolization | Conventional angiography |
| 19. | Chun et al. [30] | 2019 | Trauma (zygomatico-maxillo-orbital fracture) (2 cases) | Intravascular embolization | Conventional angiography |
| 20. | Rawat et al. [31] | 2019 | Iatrogenic (surgical extraction of impacted upper third molar) | Intravascular embolization | Digital subtraction angiography |
| 21. | Maleux et al. [32] | 2019 | Iatrogenic (SARPE procedure) | Intravascular embolization | CT angiography |
| 22. | Park et al. [33] | 2019 | Iatrogenic (Le Fort I osteotomy) | Direct cauterization with endoscopic transnasal access | Endoscopic nasal approach |
| 23. | ManojKumar et al. [34] | 2021 | Iatrogenic (Le Fort I osteotomy) | Intravascular embolization | Conventional angiography |
| 24. | Kumar et al. [35] | 2021 | Iatrogenic (Le Fort I osteotomy with simultaneous BSSO procedure) | Intravascular embolization | CT angiography |
| 25. | Słotwińska et al. [36] | 2021 | Trauma (bilateral fracture of the mandibular condylar process) | Intravascular embolization | CT angiography |
| 26. | Hwang et al. [37] | 2021 | Trauma (zygomatico-maxillo-orbital fracture) | Compression tamponade using endoscopic access | CT scan |
| 27. | Miller et al. [38] | 2022 | Trauma (zygomatico-maxillo-orbital fracture) | Direct cauterization with endoscopic transnasal access | CT angiography |
| 28. | Lim et al. [39] | 2022 | Trauma (zygomatico-maxillo-orbital fracture) | Intravascular embolization | Conventional angiography |
| 29. | Tokuyama et al. [40] | 2023 | Iatrogenic (surgical extraction of impacted upper third molar) (2 cases) | Intravascular embolization | CT angiography |
| 30. | Botella-Casas et al. [41] | 2024 | Iatrogenic (sagittal osteotomy) | Intravascular embolization | CT angiography |
Disclaimer/Publisher’s Note: The statements, opinions and data contained in all publications are solely those of the individual author(s) and contributor(s) and not of MDPI and/or the editor(s). MDPI and/or the editor(s) disclaim responsibility for any injury to people or property resulting from any ideas, methods, instructions or products referred to in the content. |
© 2025 by the authors. Licensee MDPI, Basel, Switzerland. This article is an open access article distributed under the terms and conditions of the Creative Commons Attribution (CC BY) license (https://creativecommons.org/licenses/by/4.0/).
Share and Cite
Samól, K.; Michcik, A.; Wojciechowska, B.; Polcyn, A.; Garbacewicz, Ł.; Drogoszewska, B. A Comparative Analysis of Radiological Imaging and Surgical Treatments for Maxillary Artery Pseudoaneurysms, Based on a Literature Review and Our Clinical Experience. Biomedicines 2025, 13, 1410. https://doi.org/10.3390/biomedicines13061410
Samól K, Michcik A, Wojciechowska B, Polcyn A, Garbacewicz Ł, Drogoszewska B. A Comparative Analysis of Radiological Imaging and Surgical Treatments for Maxillary Artery Pseudoaneurysms, Based on a Literature Review and Our Clinical Experience. Biomedicines. 2025; 13(6):1410. https://doi.org/10.3390/biomedicines13061410
Chicago/Turabian StyleSamól, Kinga, Adam Michcik, Barbara Wojciechowska, Adam Polcyn, Łukasz Garbacewicz, and Barbara Drogoszewska. 2025. "A Comparative Analysis of Radiological Imaging and Surgical Treatments for Maxillary Artery Pseudoaneurysms, Based on a Literature Review and Our Clinical Experience" Biomedicines 13, no. 6: 1410. https://doi.org/10.3390/biomedicines13061410
APA StyleSamól, K., Michcik, A., Wojciechowska, B., Polcyn, A., Garbacewicz, Ł., & Drogoszewska, B. (2025). A Comparative Analysis of Radiological Imaging and Surgical Treatments for Maxillary Artery Pseudoaneurysms, Based on a Literature Review and Our Clinical Experience. Biomedicines, 13(6), 1410. https://doi.org/10.3390/biomedicines13061410

