Insulin-like Growth Factor-I Reduces Collagen Production by Hepatic Stellate Cells Through Stimulation of Collagen Degradation System via mTOR-Dependent Signaling Pathway
Abstract
1. Introduction
Effects of IGF-I on Hepatic Fibrogenesis Are Controversial
2. Materials and Methods
2.1. Cell Culture
2.2. Experiments
2.3. Assays
2.3.1. Determination of DNA Synthesis, Number of Cells, and Collagen Deposition of cHSC
2.3.2. Quantitative Reverse-Transcription Polymerase Chain Reaction (RT-PCR) for Type I Alfa 1 Procollagen mRNA
2.3.3. Determination of TGF-Beta 1 Levels and MMPs Activity in the Medium
2.3.4. Determination of Expression of MMP-9, TIMP-I, Akt, ERK1/2, p70 S6 Kinase, and 4E-BP1 by Western Blotting
2.4. Statistical Analyses
3. Results
3.1. Proliferation of cHSC Stimulated by IGF-I
3.2. Effect of IGF-I Treatment on Collagen Deposition, Type I Alfa 1 Procollagen mRNA Expression, and TGF-Beta 1 Levels in the Culture Medium of cHSC
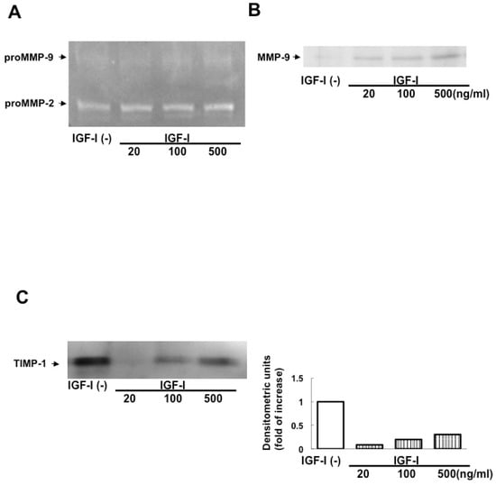
3.3. Expression of MMPs and TIMP-1 by cHSC in the Presence of IGF-I
3.4. Activation of Akt, ERK1/2, p70 S6 Kinase, and 4E-BP1 in cHSC Stimulated by IGF-I and Inhibitory Effect of Rapamycin on the Activation
3.5. Effect of Rapamycin on Expression of MMPs and TIMP-1 by cHSC in the Presence of IGF-I
4. Discussion
5. Conclusions
Author Contributions
Funding
Institutional Review Board Statement
Informed Consent Statement
Data Availability Statement
Conflicts of Interest
References
- Caregaro, L.; Alberino, F.; Amodio, P.; Merkel, C.; Angeli, P.; Plebani, M.; Bolognesi, M.; Gatta, A. Nutritional and prognostic significance of insulin-like growth factor 1 in patients with liver cirrhosis. Nutrition 1997, 13, 185–190. [Google Scholar] [CrossRef] [PubMed]
- Moller, S.; Becker, U.; Juul, A.; Skakkebaek, N.E.; Christensen, E. Prognostic value of insulinlike growth factor I and its binding protein in patients with alcohol-induced liver disease. EMALD Group Hepatol. 1996, 23, 1073–1078. [Google Scholar] [CrossRef] [PubMed]
- Castilla-Cortazar, I.; Prieto, J.; Urdaneta, E.; Pascual, M.; Nunez, M.; Zudaire, E.; Garcia, M.; Quiroga, J.; Santidrian, S. Impaired intestinal sugar transport in cirrhotic rats: Correction by low doses of insulin-like growth factor I. Gastroenterology 1997, 113, 1180–1187. [Google Scholar] [CrossRef]
- Castilla-Cortazar, I.N.M.A.; Garcia, M.A.R.I.A.; Muguerza, B.E.G.O.N.A.; Quiroga, J.O.R.G.E.; Perez, R.A.Q.U.E.L.; Santidrian, S.A.N.T.I.A.G.O.; Prieto, J.E.S.U.S. Hepatoprotective effects of insulin-like growth factor I in rats with carbon tetrachloride-induced cirrhosis. Gastroenterology 1997, 113, 1682–1691. [Google Scholar] [CrossRef] [PubMed]
- Sobrevals, L.; Rodriguez, C.; Romero-Trevejo, J.L.; Gondi, G.; Monreal, I.; Pañeda, A.; Juanarena, N.; Arcelus, S.; Razquin, N.; Guembe, L.; et al. Insulin-like growth factor I gene transfer to cirrhotic liver induces fibrolysis and reduces fibrogenesis leading to cirrhosis reversion in rats. Hepatology 2010, 51, 912–921. [Google Scholar] [CrossRef]
- Conchillo, M.; de Knegt, R.J.; Payeras, M.; Quiroga, J.; Sangro, B.; Herrero, J.-I.; Castilla-Cortazar, I.; Frystyk, J.; Flyvbjerg, A.; Yoshizawa, C.; et al. Insulin-like growth factor I (IGF-I) replacement therapy increases albumin concentration in liver cirrhosis: Results of a pilot randomized controlled clinical trial. J. Hepatol. 2005, 43, 630–636. [Google Scholar] [CrossRef] [PubMed]
- Svegliati-Baroni, G.; Ridolfi, F.; Di Sario, A.; Casini, A.; Marucci, L.; Gaggiotti, G.; Orlandoni, P.; Macarri, G.; Perego, L.; Benedetti, A.; et al. Insulin and insulin-like growth factor-1 stimulate proliferation and type I collagen accumulation by human hepatic stellate cells: Differential effects on signal transduction pathways. Hepatology 1999, 29, 1743–1751. [Google Scholar] [CrossRef] [PubMed]
- Scharf, J.-G.; Knittel, T.; Dombrowski, F.; Müller, L.; Saile, B.; Braulke, T.; Hartmann, H.; Ramadori, G. Characterization of the IGF axis components in isolated rat hepatic stellate cells. Hepatology 1998, 27, 1275–1284. [Google Scholar] [CrossRef]
- Fiore, E.J.; Bayo, J.M.; Garcia, M.G.; Malvicini, M.; Lloyd, R.; Piccioni, F.; Rizzo, M.; Peixoto, E.; Sola, M.B.; Atorrasagasti, C.; et al. Mesenchymal stromal cells engineered to produce IGF-I by recombinant adenovirus ameliorate liver fibrosis in mice. Stem Cells Dev. 2015, 24, 791–801. [Google Scholar] [CrossRef]
- Greenwel, P.; Schwartz, M.; Rosas, M.; Peyrol, S.; Grimaud, J.A.; Rojkind, M. Characterization of fat-storing cell lines derived from normal and CCl4-cirrhotic livers. Differences in the production of interleukin-6. Lab. Investig. 1991, 65, 644–653. [Google Scholar] [PubMed]
- Greenwel, P.; Rubin, J.; Schwartz, M.; Hertzberg, E.L.; Rojkind, M. Liver fat-storing cell clones obtained from a CCl4-cirrhotic rat are heterogeneous with regard to proliferation, expression of extracellular matrix components, interleukin-6, and connexin 43. Lab. Investig. 1993, 69, 210–216. [Google Scholar] [PubMed]
- Tomiya, T.; Nishikawa, T.; Inoue, Y.; Ohtomo, N.; Ikeda, H.; Tejima, K.; Watanabe, N.; Tanoue, Y.; Omata, M.; Fujiwara, K. Leucine stimulates HGF production by hepatic stellate cells through mTOR pathway. Biochem. Biophys. Res. Commun. 2007, 358, 176–180. [Google Scholar] [CrossRef] [PubMed]
- Nishikawa, T.; Tomiya, T.; Ohtomo, N.; Inoue, Y.; Ikeda, H.; Tejima, K.; Watanabe, N.; Tanoue, Y.; Omata, M.; Fujiwara, K. Stimulation by glutamine and proline of HGF production in hepatic stellate cells. Biochem. Biophys. Res. Commun. 2007, 363, 978–982. [Google Scholar] [CrossRef]
- Issa, R.; Zhou, X.; Constandinou, C.M.; Fallowfield, J.; Millward-Sadler, H.; Gaca, M.D.A.; Sands, E.; Suliman, I.; Trim, N.; Knorr, A.; et al. Spontaneous recovery from micronodular cirrhosis: Evidence for incomplete resolution associated with matrix cross-linking. Gastroenterology 2004, 126, 1795–1808. [Google Scholar] [CrossRef]
- Théret, N.; Lehti, K.; Musso, O.; Clément, B. MMP2 activation by collagen I and concanavalin A in cultured human hepatic stellate cells. Hepatology 1999, 30, 462–468. [Google Scholar] [CrossRef]
- Han, Y.-P.; Zhou, L.; Wang, J.; Xiong, S.; Garner, W.L.; French, S.W.; Tsukamoto, H. Essential role of matrix metalloproteinases in interleukin-1-induced myofibroblastic activation of hepatic stellate cell in collagen. J. Biol. Chem. 2004, 279, 4820–4828. [Google Scholar] [CrossRef] [PubMed]
- Han, S.; Ritzenthaler, J.D.; Sitaraman, S.V.; Roman, J. Fibronectin increases matrix metalloproteinase 9 expression through activation of c-Fos via extracellular-regulated kinase and phosphatidylinositol 3-kinase pathways in human lung carcinoma cells. J. Biol. Chem. 2006, 281, 29614–29624. [Google Scholar] [CrossRef] [PubMed]
- Schaefer, B.; Rivas-Estilla, A.M.; Meraz-Cruz, N.; Reyes-Romero, M.A.; Hernández-Nazara, Z.H.; Domínguez-Rosales, J.-A.; Schuppan, D.; Greenwel, P.; Rojkind, M. Reciprocal modulation of matrix metalloproteinase-13 and type I collagen genes in rat hepatic stellate cells. Am. J. Pathol. 2003, 162, 1771–1780. [Google Scholar] [CrossRef]
- Skrtic, S.; Wallenius, V.; Ekberg, S.; Brenzel, A.; Gressner, A.M.; Jansson, J.O. Insulin-like growth factors stimulate expression of hepatocyte growth factor but not transforming growth factor beta1 in cultured hepatic stellate cells. Endocrinology 1997, 138, 4683–4689. [Google Scholar] [CrossRef]
- Friedman, S.L. Mechanisms of hepatic fibrogenesis. Gastroenterology 2008, 134, 1655–1669. [Google Scholar] [CrossRef]
- Gressner, A.M.; Weiskirchen, R. Modern pathogenetic concepts of liver fibrosis suggest stellate cells and TGF-beta as major players and therapeutic targets. J. Cell. Mol. Med. 2006, 10, 76–99. [Google Scholar] [CrossRef] [PubMed]
- Roderfeld, M.; Weiskirchen, R.; Wagner, S.; Berres, M.; Henkel, C.; Grötzinger, J.; Gressner, A.M.; Matern, S.; Roeb, E. Inhibition of hepatic fibrogenesis by matrix metalloproteinase-9 mutants in mice. FASEB J. 2006, 20, 444–454. [Google Scholar] [CrossRef]
- Yoshiji, H.; Kuriyama, S.; Yoshii, J.; Ikenaka, Y.; Noguchi, R.; Nakatani, T.; Tsujinoue, H.; Yanase, K.; Namisaki, T.; Imazu, H.; et al. Tissue inhibitor of metalloproteinases-1 attenuates spontaneous liver fibrosis resolution in the transgenic mouse. Hepatology 2002, 36 Pt 1, 850–860. [Google Scholar] [CrossRef]
- Hemmann, S.; Graf, J.; Roderfeld, M.; Roeb, E. Expression of MMPs and TIMPs in liver fibrosis—A systematic review with special emphasis on anti-fibrotic strategies. J. Hepatol. 2007, 46, 955–975. [Google Scholar] [CrossRef]
- Guo, J.; Friedman, S.L. Hepatic fibrogenesis. Semin. Liver Dis. 2007, 27, 413–426. [Google Scholar] [CrossRef]
- Bigg, H.F.; Rowan, A.D.; Barker, M.D.; Cawston, T.E. Activity of matrix metalloproteinase-9 against native collagen types I and III. FASEB J. 2007, 274, 1246–1255. [Google Scholar] [CrossRef]
- Coolican, S.A.; Samuel, D.S.; Ewton, D.Z.; McWade, F.J.; Florini, J.R. The Mitogenic and Myogenic Actions of Insulin-like Growth Factors Utilize Distinct Signaling Pathways. J. Biol. Chem. 1997, 272, 6653–6662. [Google Scholar] [CrossRef] [PubMed]
- Saltiel, A.R. Insulin-like Growth Factor 1Inhibits Apoptosis Using the Phosphatidylinositol 3′-Kinase and Mitogen-activated Protein Kinase Pathways. J. Biol. Chem. 1997, 272, 154–161. [Google Scholar]
- Gentilini, A.; Marra, F.; Gentilini, P.; Pinzani, M. Phosphatidylinositol-3 kinase and extracellular signal-regulated kinase mediate the chemotactic and mitogenic effects of insulin-like growth factor-I in human hepatic stellate cells. J. Hepatol. 2000, 32, 227–234. [Google Scholar] [CrossRef] [PubMed]
- Borkham-Kamphorst, E.; Herrmann, J.; Stoll, D.; Treptau, J.; Gressner, A.M.; Weiskirchen, R. Dominant-negative soluble PDGF-beta receptor inhibits hepatic stellate cell activation and attenuates liver fibrosis. Lab. Investig. 2004, 84, 766–777. [Google Scholar] [CrossRef] [PubMed]
- Svegliati-Baroni, G.; Ridolfi, F.; Di Sario, A.; Saccomanno, S.; Bendia, E.; Benedetti, A.; Greenwel, P. Intracellular signaling pathways involved in acetaldehyde-induced collagen and fibronectin gene expression in human hepatic stellate cells. Hepatology 2001, 33, 1130–1140. [Google Scholar] [CrossRef]
- Proud, C.G. Regulation of mammalian translation factors by nutrients. Eur. J. Biochem. 2002, 269, 5338–5349. [Google Scholar] [CrossRef] [PubMed]
- Kimball, S.R.; Jefferson, L.S. Regulation of global and specific mRNA translation by oral administration of branched-chain amino acids. Biochem. Biophys. Res. Commun. 2004, 313, 423–427. [Google Scholar] [CrossRef] [PubMed]
- Fingar, D.C.; Blenis, J. Target of rapamycin (TOR): An integrator of nutrient and growth factor signals and coordinator of cell growth and cell cycle progression. Oncogene 2004, 23, 3151–3171. [Google Scholar] [CrossRef] [PubMed]
- Rowinsky, E.K. Targeting the molecular target of rapamycin (mTOR). Curr. Opin. Oncol. 2004, 16, 564–575. [Google Scholar] [CrossRef] [PubMed]
- Chung, J.; Kuo, C.J.; Crabtree, G.R.; Blenis, J. Rapamycin-FKBP specifically blocks growth-dependent activation of and signaling by the 70 kd S6 protein kinases. Cell 1992, 69, 1227–1236. [Google Scholar] [CrossRef] [PubMed]
- Kaeberlein, T.L.; Green, A.S.; Haddad, G.; Hudson, J.; Isman, A.; Nyquist, A.; Rosen, B.S.; Suh, Y.; Zalzala, S.; Zhang, X.; et al. Evaluation of off-label rapamycin use to promote healthspan in 333 adults. Geroscience 2023, 45, 2757–2768. [Google Scholar] [CrossRef] [PubMed]





Disclaimer/Publisher’s Note: The statements, opinions and data contained in all publications are solely those of the individual author(s) and contributor(s) and not of MDPI and/or the editor(s). MDPI and/or the editor(s) disclaim responsibility for any injury to people or property resulting from any ideas, methods, instructions or products referred to in the content. |
© 2025 by the authors. Licensee MDPI, Basel, Switzerland. This article is an open access article distributed under the terms and conditions of the Creative Commons Attribution (CC BY) license (https://creativecommons.org/licenses/by/4.0/).
Share and Cite
Nishikawa, T.; Ohtomo, N.; Inoue, Y.; Takahashi, M.; Ikeda, H.; Koike, K.; Yamamichi, N.; Fujishiro, M.; Tomiya, T. Insulin-like Growth Factor-I Reduces Collagen Production by Hepatic Stellate Cells Through Stimulation of Collagen Degradation System via mTOR-Dependent Signaling Pathway. Biomedicines 2025, 13, 566. https://doi.org/10.3390/biomedicines13030566
Nishikawa T, Ohtomo N, Inoue Y, Takahashi M, Ikeda H, Koike K, Yamamichi N, Fujishiro M, Tomiya T. Insulin-like Growth Factor-I Reduces Collagen Production by Hepatic Stellate Cells Through Stimulation of Collagen Degradation System via mTOR-Dependent Signaling Pathway. Biomedicines. 2025; 13(3):566. https://doi.org/10.3390/biomedicines13030566
Chicago/Turabian StyleNishikawa, Takako, Natsuko Ohtomo, Yukiko Inoue, Mami Takahashi, Hitoshi Ikeda, Kazuhiko Koike, Nobutake Yamamichi, Mitsuhiro Fujishiro, and Tomoaki Tomiya. 2025. "Insulin-like Growth Factor-I Reduces Collagen Production by Hepatic Stellate Cells Through Stimulation of Collagen Degradation System via mTOR-Dependent Signaling Pathway" Biomedicines 13, no. 3: 566. https://doi.org/10.3390/biomedicines13030566
APA StyleNishikawa, T., Ohtomo, N., Inoue, Y., Takahashi, M., Ikeda, H., Koike, K., Yamamichi, N., Fujishiro, M., & Tomiya, T. (2025). Insulin-like Growth Factor-I Reduces Collagen Production by Hepatic Stellate Cells Through Stimulation of Collagen Degradation System via mTOR-Dependent Signaling Pathway. Biomedicines, 13(3), 566. https://doi.org/10.3390/biomedicines13030566
