Melittin Nanoparticles Mitigate Glyphosate-Induced Nephrotoxicity via Cytokine Modulation and Bax/Nrf2 Pathways
Abstract
1. Introduction
2. Materials and Methods
2.1. Chemicals and Reagents
2.2. Preparation of Nano-Formulated Melittin
2.3. Evaluation and Characterization of Melittin Nanoparticles
2.3.1. Particle Size, Distribution, and Morphology
2.3.2. Determination of Free Melittin Content by UV–Vis Spectroscopy
2.3.3. Fourier Transform Infrared Spectroscopy (FTIR)
2.3.4. Determination of Encapsulation Efficiency (EE) and Drug Loading Capacity (DLC)
2.4. Animals and Ethical Statement
2.5. Experimental Design
2.6. Sample Collection and Tissue Processing
2.7. Kidney Weight Measurement
2.8. Analysis of Kidney Biomarkers
2.9. Western Blot
2.9.1. Protein Extraction and Purification
2.9.2. Sodium Dodecyl Sulfate-Polyacrylamide Gel Electrophoresis (SDS-PAGE) and Western Blotting
2.10. Histopathological Studies
2.11. Immunohistochemical Studies
2.12. Statistical Analysis
3. Results
3.1. Transmission Electron Microscopy (TEM) and Particle Size Distribution of Melittin Nanoparticles
3.2. FTIR Spectral Characterization of Chitosan, Melittin, and Melittin Nanoparticles
3.3. Encapsulation Efficiency, Drug Loading Capacity, and UV–Vis Analysis
3.4. Kidney Weight
3.5. Serum Iron Profile
3.6. Renal Function Biomarkers
3.7. Pro-Inflammatory Cytokines
3.8. Effect of Treatments on Oxidative Stress Biomarkers
3.9. Correlation Between Oxidative/Antioxidant Status and Renal Function Parameters
3.10. Effect of Treatments on Total Protein, Albumin, and Globulin Levels
3.11. Nrf2 and NGAL Protein Expression
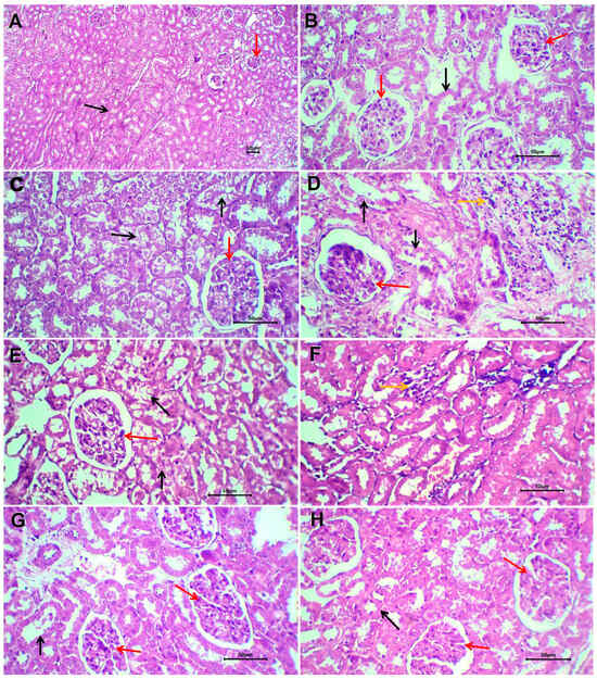
3.12. Histological Results
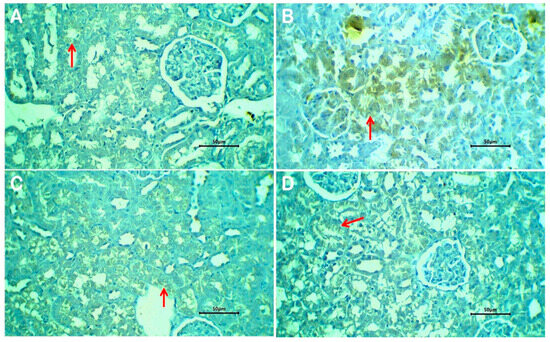
3.13. Immunohistochemical Investigation of Bax Expression
4. Discussion
5. Conclusions
Supplementary Materials
Author Contributions
Funding
Informed Consent Statement
Data Availability Statement
Conflicts of Interest
Abbreviations
| GBHs | Glyphosate-based herbicides |
| ROS | Reactive oxygen species |
| MDA | Malondialdehyde |
| GSH | Reduced glutathione |
| GPX4 | Glutathione peroxidase 4 |
| mTOR | Mammalian target of rapamycin |
| TPP | Tripolyphosphate |
| EE% | Encapsulation efficiency |
| DLC% | Drug loading capacity |
| TEM | Transmission electron microscopy |
| FTIR | Fourier-transform infrared spectroscopy |
| UV–Vis | Ultraviolet–visible spectroscopy |
| OD | Optical density |
| ELISA | Enzyme-linked immunosorbent assay |
| PBS | Phosphate-buffered saline |
| STPP | Sodium tripolyphosphate |
| H&E | Hematoxylin and eosin |
| DPX | Dibutylphthalate Polystyrene Xylene (mounting medium) |
| IHC | Immunohistochemistry |
| HRP | Horseradish peroxidase |
| DAB | 3,3′-diaminobenzidine |
| SDS-PAGE | Sodium dodecyl sulfate–polyacrylamide gel electrophoresis |
| TBST | Tris-buffered saline with Tween 20 |
| BSA | Bovine serum albumin |
| ECL | Enhanced chemiluminescence |
| CAT | Catalase |
| SOD | Superoxide dismutase |
| NO | Nitric oxide |
| TNF-α | Tumor necrosis factor-alpha |
| IL-6 | Interleukin-6 |
| NGAL | Neutrophil gelatinase-associated lipocalin |
| Nrf2 | Nuclear factor erythroid 2-related factor 2 |
| BAX | BCL2 Associated X-protein |
| KIM-1 | Kidney injury molecule-1 |
| ANOVA | Analysis of variance |
| SD | Standard deviation |
| NS | Non-significant |
References
- Qi, L.; Zhu, J.; Qi, Y.; Chao, H.; Cheng, Y.; Yang, X.; Li, H.; Li, G.; Liu, J. Glyphosate Based-Herbicide Induced Nephrotoxicity through Oxidative Stress and the Imbalance of Osmotic Pressure in Mice. Biomed. Environ. Sci. 2024, 37, 1453–1457. [Google Scholar] [PubMed]
- Rihani, R.; Charles, A.-L.; Oulehri, W.; Geny, B. The Effects of Glyphosate and Roundup® Herbicides on the Kidneys’ Cortex and the Medulla and on Renal Tubular Cells’ Mitochondrial Respiration and Oxidative Stress. Molecules 2025, 30, 2335. [Google Scholar] [CrossRef] [PubMed]
- Kim, J.-Y.; Leem, J.; Hong, H.-L. Melittin ameliorates endotoxin-induced acute kidney injury by inhibiting inflammation, oxidative stress, and cell death in mice. Oxidative Med. Cell. Longev. 2021, 2021, 8843051. [Google Scholar] [CrossRef]
- Zan, H.; Liu, J.; Yang, M.; Zhao, H.; Gao, C.; Dai, Y.; Wang, Z.; Liu, H.; Zhang, Y. Melittin alleviates sepsis-induced acute kidney injury by promoting GPX4 expression to inhibit ferroptosis. Redox Rep. 2024, 29, 2290864. [Google Scholar] [CrossRef]
- Zhang, Y.; Xu, H.; Qiao, H.; Zhao, Y.; Jiang, M. Melittin induces autophagy to alleviate chronic renal failure in 5/6-nephrectomized rats and angiotensin II-induced damage in podocytes. Nutr. Res. Pract. 2024, 18, 210–222. [Google Scholar] [CrossRef]
- Abdelmagid, A.D.; Said, A.M.; Gawad, E.A.A.; Shalaby, S.A.; Dawood, M.A. Propolis nanoparticles relieved the impacts of glyphosate-induced oxidative stress and immunosuppression in Nile tilapia. Environ. Sci. Pollut. Res. 2022, 29, 19778–19789. [Google Scholar] [CrossRef]
- EL-Sawi, N.M.; Hamed, A.M.; Ali, S.S.; El-Shahawy, N.A.; Marie, O.M. Ameliorative Effects of Melittin Nanoparticles Against Zearalenone Induced Hepatotoxicity in Female Rats. Egypt. J. Chem. 2023, 66, 239–250. [Google Scholar] [CrossRef]
- Taher, F.; Moselhy, W.; Mohamed, A.; Didamony, S.; Metwalley, K.; Zayed, A. Preparation and characterization of shrimp derived chitosan and evaluation of its efficiency as bee venom delivery for cancer treatment. Int. J. Adv. Res. 2017, 5, 370–388. [Google Scholar] [CrossRef]
- Agarwal, M.; Agarwal, M.K.; Shrivastav, N.; Pandey, S.; Das, R.; Gaur, P. Preparation of chitosan nanoparticles and their in-vitro characterization. Int. J. Life-Sci. Sci. Res. 2018, 4, 1713–1720. [Google Scholar] [CrossRef]
- Benamer Oudih, S.; Tahtat, D.; Nacer Khodja, A.; Mahlous, M.; Hammache, Y.; Guittoum, A.E.; Kebbouche Gana, S. Chitosan nanoparticles with controlled size and zeta potential. Polym. Eng. Sci. 2023, 63, 1011–1021. [Google Scholar] [CrossRef]
- Cevher, E.; Orhan, Z.; Mülazımoğlu, L.; Şensoy, D.; Alper, M.; Yıldız, A.; Özsoy, Y. Characterization of biodegradable chitosan microspheres containing vancomycin and treatment of experimental osteomyelitis caused by methicillin-resistant Staphylococcus aureus with prepared microspheres. Int. J. Pharm. 2006, 317, 127–135. [Google Scholar] [CrossRef]
- Al-Rejaie, S.S.; Abuohashish, H.M.; Alkhamees, O.A.; Aleisa, A.M.; Alroujayee, A.S. Gender difference following high cholesterol diet induced renal injury and the protective role of rutin and ascorbic acid combination in Wistar albino rats. Lipids Health Dis. 2012, 11, 41. [Google Scholar] [CrossRef]
- Gubrelay, U.; Mehta, A.; Singh, M.; Flora, S.J. Comparative hepatic and renal toxicity of cadmium in male and female rats. J. Env. Biol. 2004, 25, 65–73. [Google Scholar]
- Chargui, I.; Grissa, I.; Bensassi, F.; Hrira, M.Y.; Haouem, S.; Haouas, Z.; Bencheikh, H. Oxidative stress, biochemical and histopathological alterations in the liver and kidney of female rats exposed to low doses of deltamethrin (DM): A molecular assessment. Biomed. Environ. Sci. 2012, 25, 672–683. [Google Scholar] [CrossRef] [PubMed]
- Nacano, B.R.M.; Convento, M.B.; Oliveira, A.S.d.; Castino, R.; Castino, B.; Razvickas, C.V.; Bondan, E.; Borges, F.T. Effects of glyphosate herbicide ingestion on kidney function in rats on a balanced diet. Braz. J. Nephrol. 2023, 46, e20230043. [Google Scholar] [CrossRef]
- Gui, Z.; Zhu, J.; Ye, S.; Ye, J.; Chen, J.; Ling, Y.; Cai, X.; Cao, P.; He, Z.; Hu, C. Prolonged melittin release from polyelectrolyte-based nanocomplexes decreases acute toxicity and improves blood glycemic control in a mouse model of type II diabetes. Int. J. Pharm. 2020, 577, 119071. [Google Scholar] [CrossRef]
- Nouroozi, R.V.; Noroozi, M.V.; Ahmadizadeh, M. Determination of protein concentration using Bradford microplate protein quantification assay. Dis. Diagn. 2015, 4, 11–17. [Google Scholar] [CrossRef]
- Laemmli, U.K. Cleavage of structural proteins during the assembly of the head of bacteriophage T4. Nature 1970, 227, 680–685. [Google Scholar] [CrossRef] [PubMed]
- Yu, X.; Dai, Y.; Zhao, Y.; Qi, S.; Liu, L.; Lu, L.; Luo, Q.; Zhang, Z. Melittin-lipid nanoparticles target to lymph nodes and elicit a systemic anti-tumor immune response. Nat. Commun. 2020, 11, 1110. [Google Scholar] [CrossRef]
- Zia, K.M. Characterization Techniques for the Chitosan Nanoparticles and Derivatives. In Chitosan; Springer: Berlin/Heidelberg, Germany, 2025; pp. 135–176. [Google Scholar] [CrossRef]
- Pan, C.; Qian, J.; Zhao, C.; Yang, H.; Zhao, X.; Guo, H. Study on the relationship between crosslinking degree and properties of TPP crosslinked chitosan nanoparticles. Carbohydr. Polym. 2020, 241, 116349. [Google Scholar] [CrossRef]
- Obeidat, W.M.; Gharaibeh, S.F.; Jaradat, A. The influence of drugs solubilities and chitosan-TPP formulation parameters on the mean hydrodynamic diameters and drugs entrapment efficiencies into chitosan-TPP nanoparticles. AAPS PharmSciTech 2022, 23, 262. [Google Scholar] [CrossRef] [PubMed]
- Stefanache, A.; Lungu, I.I.; Anton, N.; Damir, D.; Gutu, C.; Olaru, I.; Plesea Condratovici, A.; Duceac, M.; Constantin, M.; Calin, G. Chitosan Nanoparticle-Based Drug Delivery Systems: Advances, Challenges, and Future Perspectives. Polymers 2025, 17, 1453. [Google Scholar] [CrossRef]
- Rebai, O.; Fattouch, S.; Amri, M. Nephroprotective effect of aqueous acetonic extract of Morus alba and its underlying mechanisms against glyphosate-induced toxicity-in vivo model. Pestic. I Fitomed. 2021, 36, 45–59. [Google Scholar] [CrossRef]
- Romo-García, M.F.; Mendoza-Cano, O.; Murillo-Zamora, E.; Camacho-delaCruz, A.A.; Ríos-Silva, M.; Bricio-Barrios, J.A.; Cuevas-Arellano, H.B.; Rivas-Santiago, B.; Maeda-Gutiérrez, V.; Galván-Tejada, C.E. Glyphosate exposure increases early kidney injury biomarker KIM-1 in the pediatric population: A cross-sectional study. Sci. Total Environ. 2025, 980, 179533. [Google Scholar] [CrossRef]
- Abdul, K.; De Silva, P.M.C.; Ekanayake, E.; Thakshila, W.; Gunarathna, S.; Gunasekara, T.; Jayasinghe, S.; Asanthi, H.; Chandana, E.; Chaminda, G. Occupational paraquat and glyphosate exposure may decline renal functions among rural farming communities in Sri Lanka. Int. J. Environ. Res. Public Health 2021, 18, 3278. [Google Scholar] [CrossRef]
- Gadotti, C.P.; Oliveira, J.M.; de Oliveira Bender, J.M.; de Souza Lima, M.D.F.; Taques, G.R.; Quináia, S.P.; Romano, M.A.; Romano, R.M. Prepubertal to adulthood exposure to low doses of glyphosate-based herbicide increases the expression of the Havcr1 (Kim1) biomarker and causes mild kidney alterations. Toxicol. Appl. Pharmacol. 2023, 467, 116496. [Google Scholar] [CrossRef]
- Verma, S.; Goand, U.K.; Husain, A.; Katekar, R.A.; Garg, R.; Gayen, J.R. Challenges of peptide and protein drug delivery by oral route: Current strategies to improve the bioavailability. Drug Dev. Res. 2021, 82, 927–944. [Google Scholar] [CrossRef]
- Shirazi, A.N.; Vadlapatla, R.; Koomer, A.; Nguyen, A.; Khoury, V.; Parang, K. Peptide-Based Inorganic Nanoparticles as Efficient Intracellular Delivery Systems. Pharmaceutics 2025, 17, 1123. [Google Scholar] [CrossRef] [PubMed]
- An, H.-J.; Kim, J.-Y.; Kim, W.-H.; Han, S.-M.; Park, K.-K. The protective effect of melittin on renal fibrosis in an animal model of unilateral ureteral obstruction. Molecules 2016, 21, 1137. [Google Scholar] [CrossRef] [PubMed]
- Zhang, L.; Chen, L.; Qi, M.; Yu, F.; Ni, X.; Hong, H.; Xu, H.; Xu, S. Glyphosate induces autophagy in hepatic L8824 cell line through NO-mediated activation of RAS/RAF/MEK/ERK signaling pathway and energy metabolism disorders. Fish Shellfish Immunol. 2023, 137, 108772. [Google Scholar] [CrossRef]
- Klátyik, S.; Simon, G.; Oláh, M.; Takács, E.; Mesnage, R.; Antoniou, M.N.; Zaller, J.G.; Székács, A. Aquatic ecotoxicity of glyphosate, its formulations, and co-formulants: Evidence from 2010 to 2023. Environ. Sci. Eur. 2024, 36, 22. [Google Scholar] [CrossRef]
- Wang, A.; Zheng, Y.; Zhu, W.; Yang, L.; Yang, Y.; Peng, J. Melittin-Based Nano-Delivery Systems for Cancer Therapy. Biomolecules 2022, 12. [Google Scholar] [CrossRef] [PubMed]
- Winstone, J.K.; Pathak, K.V.; Winslow, W.; Piras, I.S.; White, J.; Sharma, R.; Huentelman, M.J.; Pirrotte, P.; Velazquez, R. Glyphosate infiltrates the brain and increases pro-inflammatory cytokine TNFα: Implications for neurodegenerative disorders. J. Neuroinflammation 2022, 19, 193. [Google Scholar] [CrossRef]
- Mazuryk, J.; Klepacka, K.; Kutner, W.; Sharma, P.S. Glyphosate: Hepatotoxicity, nephrotoxicity, hemotoxicity, carcinogenicity, and clinical cases of endocrine, reproductive, cardiovascular, and pulmonary system intoxication. ACS Pharmacol. Transl. Sci. 2024, 7, 1205–1236. [Google Scholar] [CrossRef]
- Qi, L.; Dong, Y.-M.; Chao, H.; Zhao, P.; Ma, S.-L.; Li, G. Glyphosate based-herbicide disrupts energy metabolism and activates inflammatory response through oxidative stress in mice liver. Chemosphere 2023, 315, 137751. [Google Scholar] [CrossRef]
- Vaidya, V.S.; Ramirez, V.; Ichimura, T.; Bobadilla, N.A.; Bonventre, J.V. Urinary kidney injury molecule-1: A sensitive quantitative biomarker for early detection of kidney tubular injury. Am. J. Physiol.-Ren. Physiol. 2006, 290, F517–F529. [Google Scholar] [CrossRef] [PubMed]
- Bortolon Ribas, E.; Colombo Dal-Pont, G.; Centa, A.; Bueno, M.O.; Cervini, R.; Silva Ogoshi, R.C.; Locatelli, C. Effects of Low Concentration of Glyphosate-Based Herbicide on Genotoxic, Oxidative, Inflammatory, and Behavioral Meters in Danio rerio (Teleostei and Cyprinidae). Biochem. Res. Int. 2024, 2024, 1542152. [Google Scholar] [CrossRef]
- Ahuja, M.; Kumar, L.; Kumar, K.; Shingatgeri, V.M.; Kumar, S. Glyphosate: A review on its widespread prevalence and occurrence across various systems. Environ. Sci. Adv. 2024, 3, 1030–1038. [Google Scholar] [CrossRef]
- Izumi, Y.; O’Dell, K.A.; Zorumski, C.F. Glyphosate as a direct or indirect activator of pro-inflammatory signaling and cognitive impairment. Neural Regen. Res. 2024, 19, 2212–2218. [Google Scholar] [CrossRef]
- Chibanda, Y.; Brookes, M.; Churchill, D.; Al-Hassi, H. The ferritin, hepcidin and cytokines link in the diagnoses of iron deficiency anaemia during pregnancy: A review. Int. J. Mol. Sci. 2023, 24, 13323. [Google Scholar] [CrossRef]
- Rohr, M.; Brandenburg, V.; Brunner-La Rocca, H.-P. How to diagnose iron deficiency in chronic disease: A review of current methods and potential marker for the outcome. Eur. J. Med. Res. 2023, 28, 15. [Google Scholar] [CrossRef]
- Chu, P.-L.; Wang, C.-S.; Wang, C.; Lin, C.-Y. Association of urinary glyphosate levels with iron homeostasis among a representative sample of US adults: NHANES 2013–2018. Ecotoxicol. Environ. Saf. 2024, 284, 116962. [Google Scholar] [CrossRef]
- Lu, L.; Lian, C.-Y.; Lv, Y.-T.; Zhang, S.-H.; Wang, L.; Wang, L. Glyphosate drives autophagy-dependent ferroptosis to inhibit testosterone synthesis in mouse Leydig cells. Sci. Total Environ. 2024, 914, 169927. [Google Scholar] [CrossRef]
- Abdelrahaman, D.; Shanab, O.; Abdeen, A.; Abdelkader, A.; Elazab, K.M.; Kouriem, H.; Maher, Z.M.; Abu-Almakarem, A.S.; Mohamed, M.E.; Elbastawisy, Y.M. Bee venom ameliorates gentamicin-induced kidney injury by restoring renal aquaporins and enhancing antioxidant and anti-inflammatory activities in rats. Front. Pharmacol. 2025, 16, 1525529. [Google Scholar] [CrossRef]
- Sharaf, M.; Zahra, A.A.; Alharbi, M.; Mekky, A.E.; Shehata, A.M.; Alkhudhayri, A.; Ali, A.M.; Al Suhaimi, E.A.; Zakai, S.A.; Al Harthi, N. Bee chitosan nanoparticles loaded with apitoxin as a novel approach to eradication of common human bacterial, fungal pathogens and treating cancer. Front. Microbiol. 2024, 15, 1345478. [Google Scholar] [CrossRef]
- Farid, A.; Mohamed, A.; Ahmed, A.; Mehanny, F.; Safwat, G. Preparation of bee venom-loaded chitosan nanoparticles for treatment of streptozotocin-induced diabetes in male Sprague Dawley rats. Beni-Suef Univ. J. Basic Appl. Sci. 2024, 13, 97. [Google Scholar] [CrossRef]
- Eissa, M.E.; Hendam, B.M.; ElBanna, N.I.; Aly, S.M. Nano-chitosan encapsulation of bee venom: A potential therapeutic strategy for enhancing tilapia health and resistance to Aeromonas hydrophila. Aquac. Int. 2025, 33, 368. [Google Scholar] [CrossRef]
- Ng, C.; Kim, M.; Yanti; Kwak, M.-K. Oxidative stress and NRF2 signaling in kidney injury. Toxicol. Res. 2024, 41, 131–147. [Google Scholar] [CrossRef]
- Hejazian, S.M.; Khatibi, S.M.H.; Barzegari, A.; Pavon-Djavid, G.; Soofiyani, S.R.; Hassannejhad, S.; Ahmadian, E.; Ardalan, M.; Vahed, S.Z. Nrf-2 as a therapeutic target in acute kidney injury. Life Sci. 2021, 264, 118581. [Google Scholar] [CrossRef]
- Mohamed, F.; Endre, Z.H.; Buckley, N.A. Role of biomarkers of nephrotoxic acute kidney injury in deliberate poisoning and envenomation in less developed countries. Br. J. Clin. Pharmacol. 2015, 80, 3–19. [Google Scholar] [CrossRef]
- Chatzi Memet, B.; Demirpolat, E.; Yildirim, T.; Aydin, O. Development of polymer-based nanoparticles for the reduction of melittin toxicity. In Proceedings of the Mediterranean Conference on Medical and Biological Engineering and Computing, Sarajevo, Bosnia and Herzegovina, 14–16 September 2023; pp. 45–50. [Google Scholar]
- Nezu, M.; Suzuki, N. Nrf2 activation for kidney disease treatment—A mixed blessing? Kidney Int. 2021, 99, 20–22. [Google Scholar] [CrossRef]
- Lin, D.-W.; Hsu, Y.-C.; Chang, C.-C.; Hsieh, C.-C.; Lin, C.-L. Insights into the molecular mechanisms of NRF2 in kidney injury and diseases. Int. J. Mol. Sci. 2023, 24, 6053. [Google Scholar] [CrossRef] [PubMed]









| Groups/Parameters | CAT (U/mg Protein) | MDA (nmol/mg Protein) | SOD (U/mg Protein) | GSH (mg/g Protein) | NO (Umol/mL) |
|---|---|---|---|---|---|
| Control | 764.93 ± 0.76 | 1.86 ± 0.13 | 98. ± 0.71 | 7.82 ± 0.25 | 15.39± 0.29 |
| Gly | 875.14 ± 0.34 *** | 4.28 ± 0.09 *** | 85.84 ± 0.73 *** | 3.37 ± 0.07 *** | 29.45± 0.65 *** |
| Gly + MEL | 816.83 ± 0.75 *,# | 3.29 ± 0.18 **,## | 89.38 ± 0.76 *,## | 5.15 ± 0.13 **,## | 22.90± 0.49 **,## |
| Gly + MEL NPs | 794 ± 0.28 NS,## | 2.56 ± 0.16 *,### | 96.37 ± 0.47 NS,### | 7.08 ± 0.15 NS,### | 19.38± 0.48 *,### |
| Parameters | TNF-α (r) | IL-6 (r) | p Value |
|---|---|---|---|
| MDA | 0.965 | 0.967 | p < 0.001 |
| NO | 0.973 | 0.967 | p < 0.001 |
| SOD | −0.953 | −0.981 | p < 0.001 |
| GSH | −0.981 | −0.983 | p < 0.001 |
| CAT | 0.982 | 0.971 | p < 0.001 |
| Urea | 0.984 | 0.980 | p < 0.001 |
| creatinine | 0.972 | 0.984 | p < 0.001 |
| Creatinine clearance | −0.901 | −0.936 | p < 0.001 |
| Groups/Parameters | Protein (g/dL) | Albumin (g/dL) | Globulin (g/dL) |
|---|---|---|---|
| Control | 8.01 ± 0.18 | 3.58 ± 0.10 | 4.42 ± 0.26 |
| Gly | 3.34 ± 0.17 *** | 2.10 ± 0.06 *** | 1.24 ± 0.21 *** |
| Gly + MEL | 5.84 ± 0.09 **,## | 3.61 ± 0.08 NS,### | 2.23 ± 0.11 **,## |
| Gly + MEL NPs | 7.49 ± 0.42 NS,### | 3.71 ± 0.18 NS,### | 3.78 ± 0.34 *,### |
Disclaimer/Publisher’s Note: The statements, opinions and data contained in all publications are solely those of the individual author(s) and contributor(s) and not of MDPI and/or the editor(s). MDPI and/or the editor(s) disclaim responsibility for any injury to people or property resulting from any ideas, methods, instructions or products referred to in the content. |
© 2025 by the authors. Licensee MDPI, Basel, Switzerland. This article is an open access article distributed under the terms and conditions of the Creative Commons Attribution (CC BY) license (https://creativecommons.org/licenses/by/4.0/).
Share and Cite
Hamed, A.M.; Eldeeb Mohana, Z.E.; Abouelella, A.M.A.; Abdellah, W.A.; Elbahy, D.A.; Fouda, N.A.R.; Monir, D.M.; Soliman, S.S.; Mahmoud Abdelfattah Elkassas, A.M.; Hamouda, E.E.M.; et al. Melittin Nanoparticles Mitigate Glyphosate-Induced Nephrotoxicity via Cytokine Modulation and Bax/Nrf2 Pathways. Biomedicines 2025, 13, 2607. https://doi.org/10.3390/biomedicines13112607
Hamed AM, Eldeeb Mohana ZE, Abouelella AMA, Abdellah WA, Elbahy DA, Fouda NAR, Monir DM, Soliman SS, Mahmoud Abdelfattah Elkassas AM, Hamouda EEM, et al. Melittin Nanoparticles Mitigate Glyphosate-Induced Nephrotoxicity via Cytokine Modulation and Bax/Nrf2 Pathways. Biomedicines. 2025; 13(11):2607. https://doi.org/10.3390/biomedicines13112607
Chicago/Turabian StyleHamed, Amany M., Zeyad Elsayed Eldeeb Mohana, Azza M. A. Abouelella, Wafaa A. Abdellah, Dalia A. Elbahy, Noha A. R. Fouda, Dina M. Monir, Safaa S. Soliman, Ahmed Mohamed Mahmoud Abdelfattah Elkassas, Elsayed Eldeeb Mehana Hamouda, and et al. 2025. "Melittin Nanoparticles Mitigate Glyphosate-Induced Nephrotoxicity via Cytokine Modulation and Bax/Nrf2 Pathways" Biomedicines 13, no. 11: 2607. https://doi.org/10.3390/biomedicines13112607
APA StyleHamed, A. M., Eldeeb Mohana, Z. E., Abouelella, A. M. A., Abdellah, W. A., Elbahy, D. A., Fouda, N. A. R., Monir, D. M., Soliman, S. S., Mahmoud Abdelfattah Elkassas, A. M., Hamouda, E. E. M., Abdel-Latif, H. M. R., Ahmed, A. R. H., & Mahrous, N. S. (2025). Melittin Nanoparticles Mitigate Glyphosate-Induced Nephrotoxicity via Cytokine Modulation and Bax/Nrf2 Pathways. Biomedicines, 13(11), 2607. https://doi.org/10.3390/biomedicines13112607

