A Fluorescence-Based Histidine-Imidazole Polyacrylamide Gel Electrophoresis (HI-PAGE) Method for Rapid and Practical Lipoprotein Profiling and LDL-C Quantification in Clinical Samples
Abstract
1. Introduction
2. Materials and Methods
2.1. Reagents
2.2. Study Subject
2.3. Isolation of HDL, LDL, and VLDL
2.4. Acrylamide Gel Preparation of HI-PAGE
2.5. Running Buffers for HI-PAGE
2.6. Preparation of the Pre-Staining Solution
2.7. Sample Preparation
2.8. Sample Application and Electrophoresis Conditions
2.9. Detection of Lipoproteins and Densitometric Quantification
2.10. Disc PAGE
3. Results
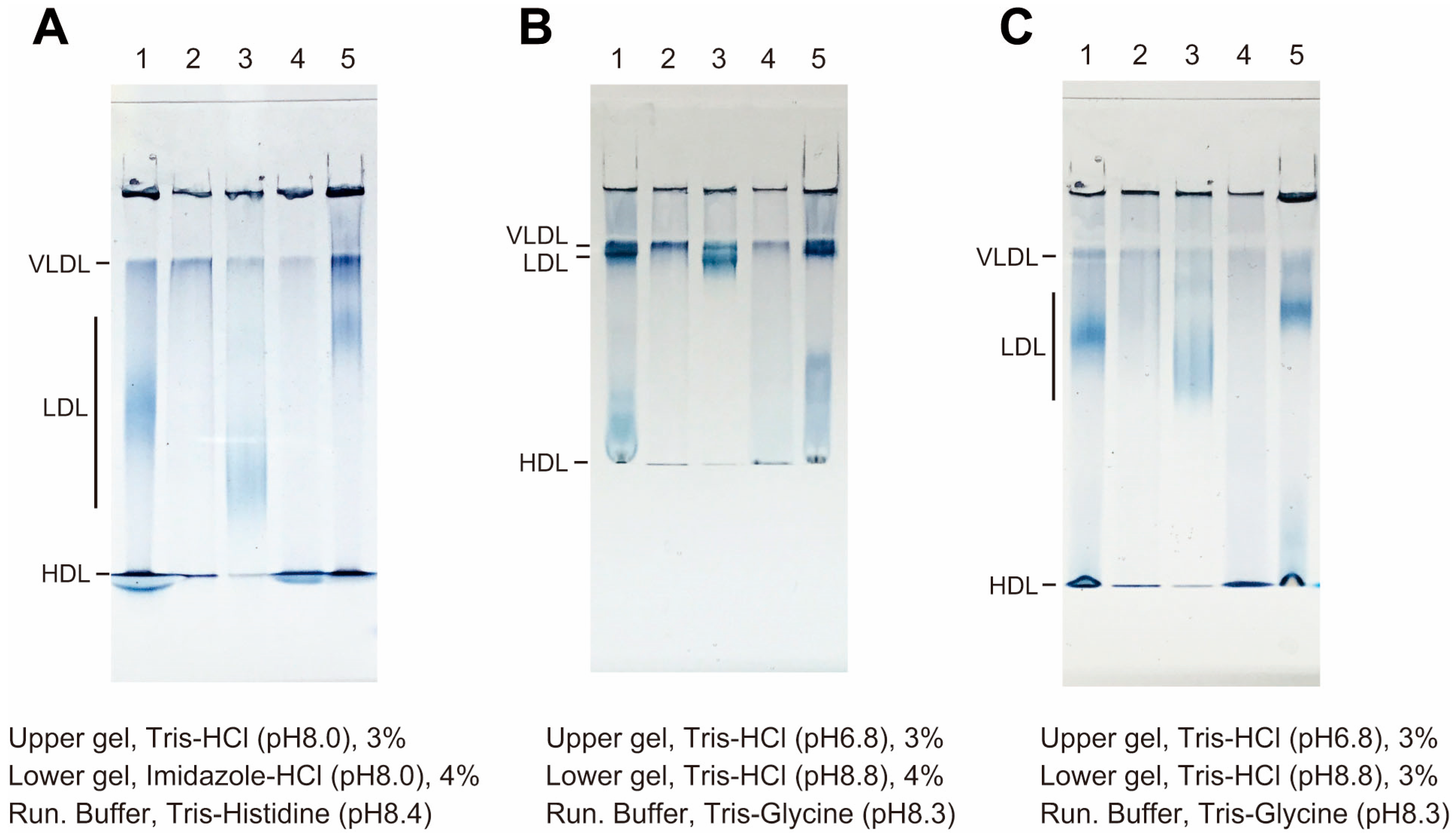
3.1. Colorimetric Analysis of Human Lipoproteins Using HI-PAGE
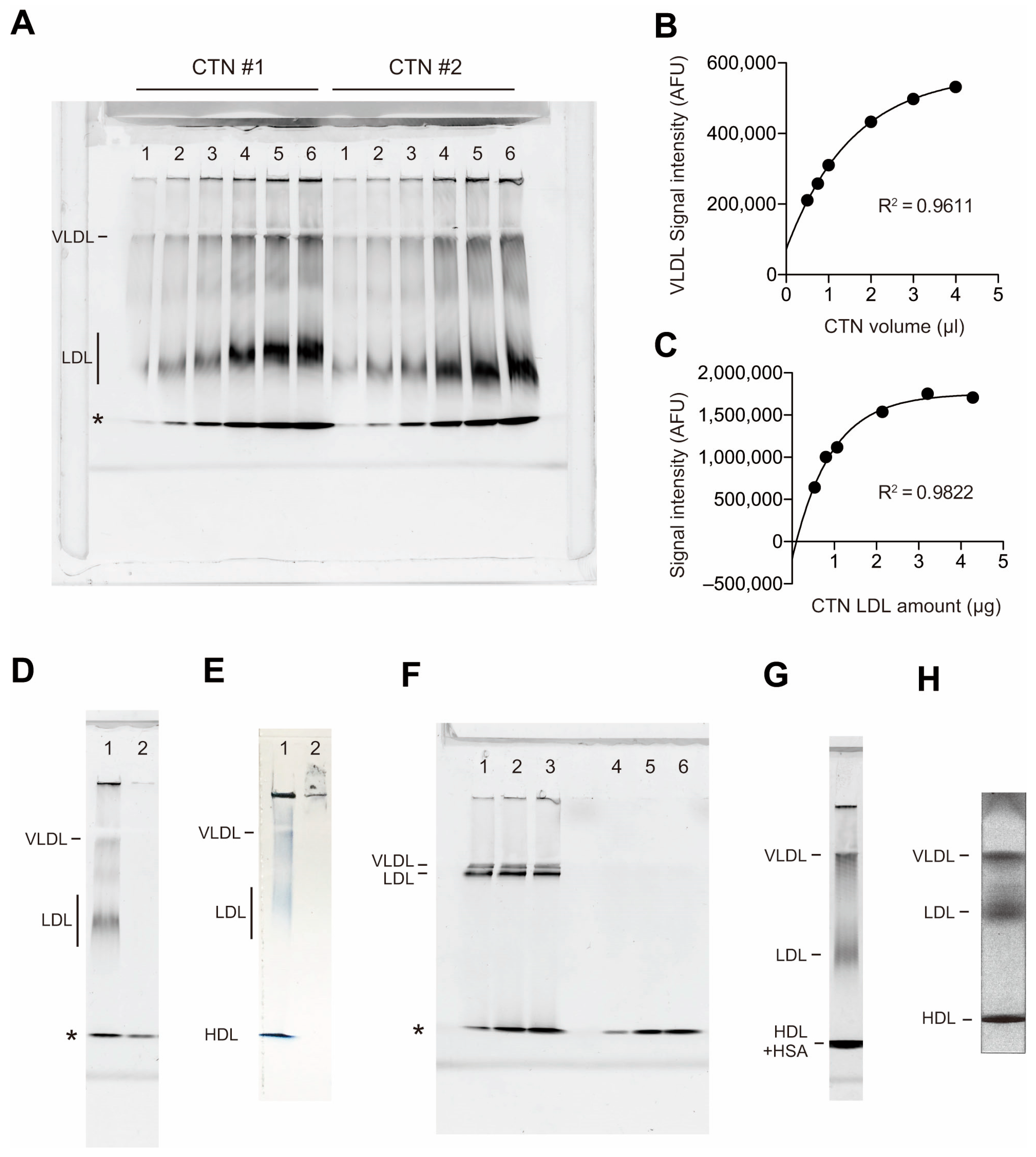
3.2. Fluorescence Analysis of Human Lipoproteins Using HI-PAGE
3.3. Fluorescence Analysis of LDL in Clinical Samples Using HI-PAGE
4. Discussion
5. Conclusions
Author Contributions
Funding
Data Availability Statement
Acknowledgments
Conflicts of Interest
References
- Feingold, K.R. Introduction to Lipids and Lipoproteins; Feingold, K.R., Anawalt, B., Blackman, M.R., Boyce, A., Chrousos, G., Corpas, E., Eds.; MDText.com, Inc.: South Dartmouth, MA, USA, 2000. [Google Scholar]
- Qiao, Y.N.; Zou, Y.L.; Guo, S.D. Low-density lipoprotein particles in atherosclerosis. Front. Physiol. 2022, 13, 931931. [Google Scholar] [CrossRef]
- Singh, Y.; Lakshmy, R.; Gupta, R.; Kranthi, V. A rapid 3% polyacrylamide slab gel electrophoresis method for high through put screening of LDL phenotype. Lipids Health Dis. 2008, 7, 47. [Google Scholar]
- Hoefner, D.M.; Hodel, S.D.; O’Brien, J.F.; Branum, E.L.; Sun, D.; Meissner, I.; McConnell, J.P. Development of a rapid, quantitative method for LDL subfractionation with use of the Quantimetrix Lipoprint LDL System. Clin. Chem. 2001, 47, 266–274. [Google Scholar] [CrossRef]
- Fonda, M.; Semolic, A.M.; Soranzo, M.R.; Cattin, L. Production of polyacrylamide gradient gel for lipoprotein electrophoretic separation. Clin. Chim. Acta. 2003, 338, 73–78. [Google Scholar] [CrossRef]
- Krauss, R.M.; Burke, D.J. Identification of multiple subclasses of plasma low density lipoproteins in normal humans. J. Lipid Res. 1982, 23, 97–104. [Google Scholar] [CrossRef]
- Narayan, K.A.; Creinin, H.L.; Kummerow, F.A. Disc electrophoresis of rat plasma lipoproteins. J. Lipid Res. 1966, 7, 150–157. [Google Scholar] [CrossRef]
- Inoue, I.; Koh, H.S.; Mizotani, K.; Goto, S.; Tanaka, K.; Yagasaki, F.; Katayama, S. A patient with severe hypertriglyceridemia associated with anemia and hypoalbuminemia. J. Atheroscler. Thromb. 2003, 10, 192–201. [Google Scholar] [CrossRef] [PubMed]
- Bando, Y.; Tohyama, H.; Aoki, K.; Kanehara, H.; Hisada, A.; Okafuji, K.; Toya, D. Ipragliflozin lowers small, dense low-density lipoprotein cholesterol levels in Japanese patients with type 2 diabetes mellitus. J. Clin. Transl. Endocrinol. 2016, 6, 1–7. [Google Scholar] [CrossRef] [PubMed]
- Koizumi, T.; Kaneda, H.; Komiyama, N.; Inoue, I.; Muramatsu, T.; Nakajima, K. Lipoprotein Profiles before Heparin Administration in Patients with or without Coronary Thrombosis Following Atherosclerosis. Ann. Vasc. Dis. 2021, 14, 31–38. [Google Scholar] [CrossRef] [PubMed]
- Davis, B.J. Disc electrophoresis—II Method and application to human serum proteins. Ann. N. Y. Acad. Sci. 1964, 121, 404–427. [Google Scholar] [CrossRef]
- Freeman, L.A.; Shamburek, R.D.; Sampson, M.L.; Neufeld, E.B.; Sato, M.; Karathanasis, S.K.; Remaley, A.T. Plasma lipoprotein-X quantification on filipin-stained gels: Monitoring recombinant LCAT treatment ex vivo. J. Lipid Res. 2019, 60, 1050–1057. [Google Scholar] [CrossRef]
- Burstein, M.; Scholnick, H.R.; Morfin, R. Rapid method for the isolation of lipoproteins from human serum by precipitation with polyanions. J. Lipid Res. 1970, 11, 583–595. [Google Scholar] [CrossRef]
- Kido, T.; Kurata, H.; Matsumoto, A.; Tobiyama, R.; Musha, T.; Hayashi, K.; Kondo, K. Lipoprotein analysis using agarose gel electrophoresis and differential staining of lipids. J. Atheroscler. Thromb. 2001, 8, 7–13. [Google Scholar] [CrossRef]
- Behling-Kelly, E.; Wong, C. Agarose gel electrophoresis determination of bovine lipoproteins compared with a wet chemistry method. JDS Commun. 2022, 3, 373–376. [Google Scholar] [CrossRef]
- Chopra, M.; Fitzsimons, P.; Hopkins, M.; Thurnham, D.I. Dialysis and gel filtration of isolated low density lipoproteins do not cause a significant loss of low density lipoprotein tocopherol and carotenoid concentration. Lipids 2001, 36, 205–209. [Google Scholar] [CrossRef]
- Vedie, B.; Myara, I.; Pech, M.A.; Maziere, J.C.; Maziere, C.; Caprani, A.; Moatti, N. Fractionation of charge-modified low density lipoproteins by fast protein liquid chromatography. J. Lipid Res. 1991, 32, 1359–1369. [Google Scholar] [CrossRef]
- Matsuo, K.; Inoue, I.; Matsuda, T.; Arai, T.; Nakano, S. Relative increase in production ratio of small dense low-density lipoprotein in acute coronary syndrome with high coronary plaque burden: An ex-vivo analysis. Heart Vessels 2024, 40, 26–35. [Google Scholar] [CrossRef] [PubMed]
- Nakano, T.; Inoue, I.; Seo, M.; Takahashi, S.; Awata, T.; Komoda, T.; Katayama, S. Rapid and simple profiling of lipoproteins by polyacrylamide-gel disc electrophoresis to determine the heterogeneity of low-density lipoproteins (LDLs) including small, dense LDL. Recent Pat. Cardiovasc. Drug Discov. 2009, 4, 31–36. [Google Scholar] [CrossRef] [PubMed]
- Cole, T.G.; Ferguson, C.A.; Gibson, D.W.; Nowatzke, W.L. Optimization of beta-quantification methods for high-throughput applications. Clin. Chem. 2001, 47, 712–721. [Google Scholar] [CrossRef] [PubMed]
- Schumaker, V.N.; Puppione, D.L. Sequential flotation ultracentrifugation. Methods Enzymol. 1986, 128, 155–170. [Google Scholar]
- Hochstrasser, D.F.; Patchornik, A.; Merril, C.R. Development of polyacrylamide gels that improve the separation of proteins and their detection by silver staining. Anal. Biochem. 1988, 173, 412–423. [Google Scholar] [CrossRef] [PubMed]
- Greenspan, P.; Gutman, R.L. Detection by nile red of agarose gel electrophoresed native and modified low density lipoprotein. Electrophoresis 1993, 14, 65–68. [Google Scholar] [CrossRef] [PubMed]
- Greenspan, P.; Lou, P. Spectrofluorometric studies of nile red treated native and oxidized low density lipoprotein. Int. J. Biochem. 1993, 25, 987–991. [Google Scholar] [CrossRef] [PubMed]
- Jacobsen, J. Binding of bilirubin to human serum albumin–determination of the dissociation constants. FEBS Lett. 1969, 5, 112–114. [Google Scholar] [CrossRef]
- Yamashita, S.; Okazaki, M.; Okada, T.; Masuda, D.; Yokote, K.; Arai, H.; Ishibashi, S. Distinct Differences in Lipoprotein Particle Number Evaluation between GP-HPLC and NMR: Analysis in Dyslipidemic Patients Administered a Selective PPARα Modulator, Pemafibrate. J. Atheroscler. Thromb. 2021, 28, 974–996. [Google Scholar] [CrossRef]



| Unit | ||
|---|---|---|
| Acrylamide | 11.4 | g |
| N,N′-ethylenebisacrylamide | 0.6 | g |
| Ultrapure water | Appropriate volume | mL |
| Total | 40 | mL |
| Upper Gel | Lower Gel | |||
|---|---|---|---|---|
| Volume (mL) | Concentration | Volume (mL) | Concentration | |
| 1 M Tris-HCl, pH 8.0 | 0.375 | 0.125 M | 0 | |
| 1 M imidazole-HCl, pH 8.0 | 0 | 2.40 | 0.370 M | |
| 30% acrylamide-bisacrylamide mixture (19:1) | 0.300 | 3.00% | 0.870 | 4.00% |
| Ultrapure water | 2.33 | 3.14 | ||
| 10% APS | 0.0380 | 0.0820 | ||
| TEMED | 0.00450 | 0.0100 | ||
| Total | 3.05 | 6.50 | ||
| Final Concentration | ||
|---|---|---|
| Tris | 0.91 g | 0.025 M |
| Histidine | 6.0 g | 0.13 M |
| Ultrapure water | up to 300 mL |
| Volume (µL) | Final Concentration | |
|---|---|---|
| 3% Sudan Black DMSO solution | 40 | 0.12% |
| 10% DDM | 10 | 0.10% |
| 80% glycerol | 250 | 20% |
| 1 M Tris-HCl, pH 7.4 | 50 | 0.05 M |
| Ultrapure water | 650 | |
| Total | 1000 |
| Volume (µL) | Final Concentration | |
|---|---|---|
| 20 mg/mL Nile Red DMSO solution | 25 | 0.5 mg/mL |
| 1% bromophenol blue | 37.5 | 0.0375% |
| 80% glycerol | 625 | 50% |
| 1 M Tris-HCl, pH 8.0 | 50 | 0.05 M |
| Ultrapure water | 262.5 | |
| Total | 1000 |
Disclaimer/Publisher’s Note: The statements, opinions and data contained in all publications are solely those of the individual author(s) and contributor(s) and not of MDPI and/or the editor(s). MDPI and/or the editor(s) disclaim responsibility for any injury to people or property resulting from any ideas, methods, instructions or products referred to in the content. |
© 2025 by the authors. Licensee MDPI, Basel, Switzerland. This article is an open access article distributed under the terms and conditions of the Creative Commons Attribution (CC BY) license (https://creativecommons.org/licenses/by/4.0/).
Share and Cite
Takenaka, Y.; Inoue, I.; Ikeda, M.; Kakinuma, Y. A Fluorescence-Based Histidine-Imidazole Polyacrylamide Gel Electrophoresis (HI-PAGE) Method for Rapid and Practical Lipoprotein Profiling and LDL-C Quantification in Clinical Samples. Biomedicines 2025, 13, 2560. https://doi.org/10.3390/biomedicines13102560
Takenaka Y, Inoue I, Ikeda M, Kakinuma Y. A Fluorescence-Based Histidine-Imidazole Polyacrylamide Gel Electrophoresis (HI-PAGE) Method for Rapid and Practical Lipoprotein Profiling and LDL-C Quantification in Clinical Samples. Biomedicines. 2025; 13(10):2560. https://doi.org/10.3390/biomedicines13102560
Chicago/Turabian StyleTakenaka, Yasuhiro, Ikuo Inoue, Masaaki Ikeda, and Yoshihiko Kakinuma. 2025. "A Fluorescence-Based Histidine-Imidazole Polyacrylamide Gel Electrophoresis (HI-PAGE) Method for Rapid and Practical Lipoprotein Profiling and LDL-C Quantification in Clinical Samples" Biomedicines 13, no. 10: 2560. https://doi.org/10.3390/biomedicines13102560
APA StyleTakenaka, Y., Inoue, I., Ikeda, M., & Kakinuma, Y. (2025). A Fluorescence-Based Histidine-Imidazole Polyacrylamide Gel Electrophoresis (HI-PAGE) Method for Rapid and Practical Lipoprotein Profiling and LDL-C Quantification in Clinical Samples. Biomedicines, 13(10), 2560. https://doi.org/10.3390/biomedicines13102560

