PET CT Imaging with FDG in the Therapeutical Management of Locally Advanced Cervical Cancer Diagnosed in a 43-Year-Old Patient: Case Report and Review of the Literature
Abstract
1. Introduction
2. Case Presentation
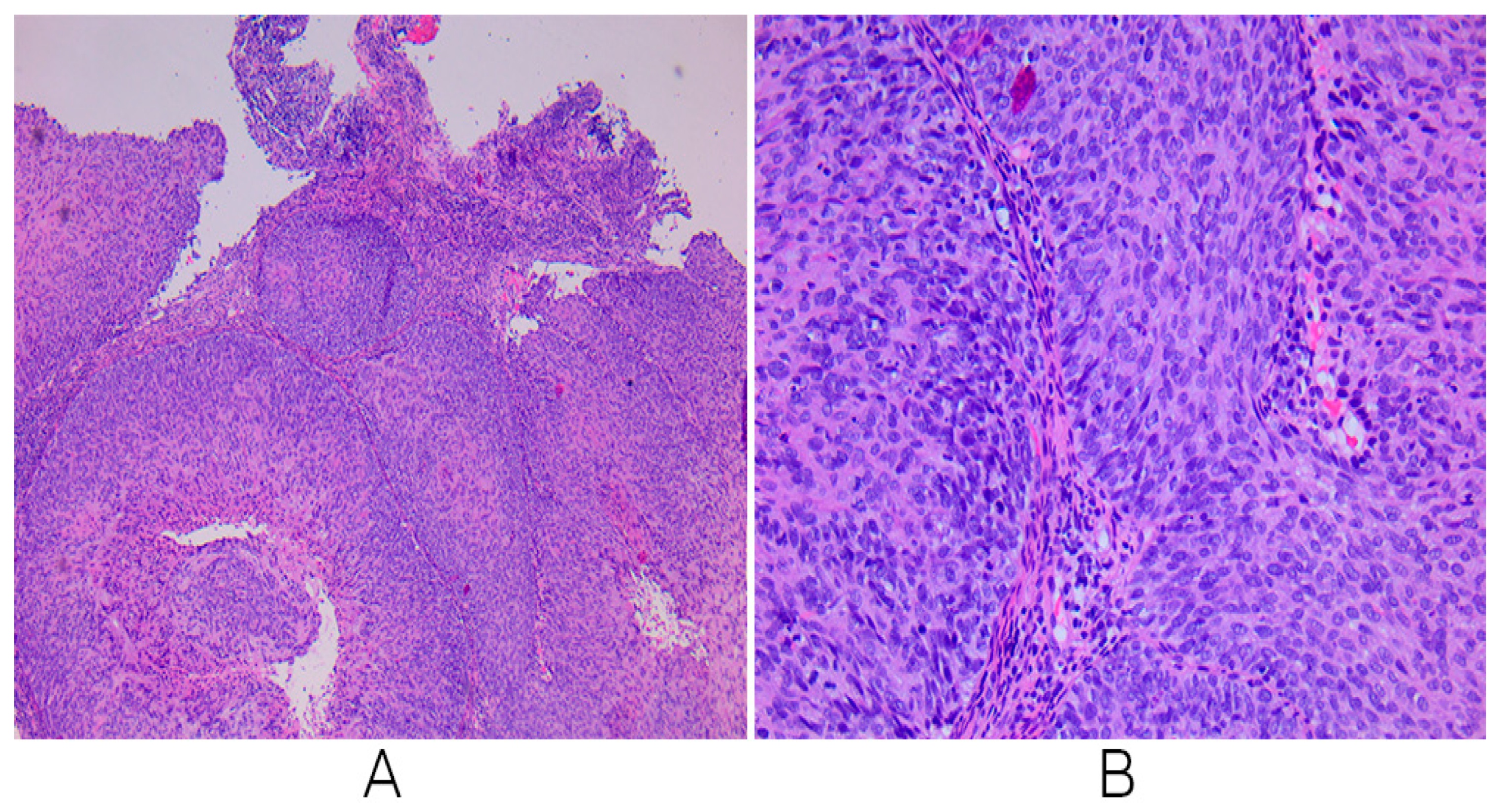
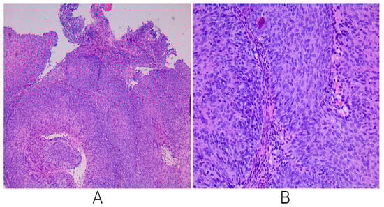
2.1. Clinical History
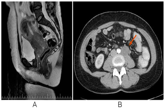
2.2. Imaging, Treatment Strategies, and Response
3. Discussion
4. Conclusions
Author Contributions
Funding
Institutional Review Board Statement
Informed Consent Statement
Data Availability Statement
Conflicts of Interest
Abbreviations
| FIGO | International Federation of Gynecology and Obstetrics |
| CCRT | concurrent chemoradiotherapy |
| PET | positron emission tomography |
| SCC | squamous cell carcinoma |
| CT | computed tomography |
| CRT | concurrent radiotherapy |
| FDG | 18F-fluoro-D-glucose |
| MRI | Magnetic Resonance Imaging |
| SUV | standardized uptake value |
| SUVmax | maximum standardized uptake value |
| LACC | locally advanced cervical cancer |
| NACT | neoadjuvant chemotherapy |
| OS | overall survival |
| Ir192 | Iridium-192 |
| CC | cervical cancer |
References
- Cohen, P.A.; Jhingran, A.; Oaknin, A.; Denny, L. Cervical cancer. Lancet 2019, 393, 169–182. [Google Scholar] [CrossRef]
- Pfaendler, K.S.; Tewari, K.S. Changing paradigms in the systemic treatment of advanced cervical cancer. Am. J. Obstet. Gynecol. 2016, 214, 22–30. [Google Scholar] [CrossRef] [PubMed]
- Peiretti, M.; Zapardiel, I.; Zanagnolo, V.; Landoni, F.; Morrow, C.P.; Maggioni, A. Management of recurrent cervical cancer: A review of the literature. Surg. Oncol. 2012, 21, 59–66. [Google Scholar] [CrossRef]
- Lima, G.M.; Matti, A.; Vara, G.; Dondi, G.; Naselli, N.; De Crescenzo, E.M.; Giuseppe, A.; Perrone, A.M.; De Iaco, P.; Nanni, C.; et al. Prognostic value of posttreatment 18F-FDG PET/CT and predictors of metabolic response to therapy in patients with locally advanced cervical cancer treated with concomitant chemoradiation therapy: An analysis of intensity- and volume-based PET parameters. Eur. J. Nucl. Med. Mol. Imaging 2018, 45, 2139–2146. [Google Scholar] [CrossRef]
- Son, H.; Kositwattanarerk, A.; Hayes, M.P. PET/CT evaluation of cervical cancer: Spectrum of disease. Radiographics 2010, 30, 1251–1268. [Google Scholar] [CrossRef]
- Park, W.; Park, Y.J.; Huh, S.J. The usefulness of MRI and PET imaging for the detection of parametrial involvement and lymph node metastasis in patients with cervical cancer. Jpn. J. Clin. Oncol. 2005, 35, 260–264. [Google Scholar] [CrossRef] [PubMed]
- Pecorelli, S. Revised FIGO staging for carcinoma of the vulva, cervix, and endometrium. Int. J. Gynaecol. Obstet. 2009, 105, 103–104. [Google Scholar] [CrossRef] [PubMed]
- Molnar, O.; Straciuc, O.M.; Mihutiu, S.; Lazar, L. Impact of PET/CT Imaging with FDG in Locally Advanced Cervical Carcinoma- A Literature Review. Curr. Oncol. 2024, 31, 2508–2526. [Google Scholar] [CrossRef]
- Kidd, E.A.; Siegel, B.A.; Dehdashti, F.; Grigsby, P.W. The standardized uptake value for F-18 fluorodeoxyglucose is a sensitive predictive biomarker for cervical cancer treatment response and survival. Cancer 2007, 110, 1738–1744. [Google Scholar] [CrossRef] [PubMed]
- Kidd, E.A.; Spencer, C.R.; Huettner, P.C.; Siegel, B.A.; Dehdashti, F.; Rader, J.S. Cervical cancer histology and tumor differentiation affect 18F-fluorodeoxyglucose uptake. Cancer 2009, 115, 3548–3554. [Google Scholar] [CrossRef] [PubMed]
- Azizah, A.M.; Hashimah, B.; Nirmal, K.; Siti Zubaidah, A.R.; Puteri, N.A.; Nabihah, A.; Sukumaran, R.; Balqis, B.; Nadia, S.M.R.; Sharifah, S.S.S. Malaysia National Cancer Registry Report (MNCR) 2012–2016; National Cancer Institute: Putrajaya, Malaysia, 2019; pp. 1–116. [Google Scholar]
- Norsaadah, B.; Rampal, K.G.; Rahmah, M.A.; Naing, N.N.; Biswal, B.M. Diagnosis delay of breast cancer and its associated factors in Malaysian women. BMC Cancer 2011, 11, 141. [Google Scholar] [CrossRef]
- Meechan, G.; Collins, J.; Petrie, K.J. The relationship of symptoms and psychological factors to delay in seeking medical care for breast symptoms. Prev. Med. 2003, 36, 374–378. [Google Scholar] [CrossRef] [PubMed]
- Ma, D.J.; Zhu, J.M.; Grigsby, P.W. Tumor volume discrepancies between FDG-PET and MRI for cervical cancer. Radiother. Oncol. 2011, 98, 139–142. [Google Scholar] [CrossRef] [PubMed]
- Viswanathan, C.; Silvana, F.; Patnana, M.; Sagebiel, T.; Iyer, R.B. FDG-PET assessment of cervical cancer. PET Clin. 2018, 13, 165–177. [Google Scholar] [CrossRef] [PubMed]
- Kitajima, K.; Suenaga, Y.; Ueno, Y. Fusion of PET and MRI for staging of uterine cervical cancer: Comparison with contrast-enhanced 18F-FDG PET/CT and pelvic MRI. Clin. Imaging 2014, 38, 464–469. [Google Scholar] [CrossRef]
- Ponisio, M.R.; Fowler, K.J.; Dehdashti, F. The Emerging Role of PET/MR Imaging in Gynecologic Cancers. PET Clin. 2016, 11, 425–440. [Google Scholar] [CrossRef]
- Metser, U.; Golan, O.; Levine, C.D.; Even-Sapir, E. Tumor lesion detection: When is integrated positron emission tomography/computed tomography more accurate than side-by-side interpretation of positron emission tomography and computed tomography? J. Comput. Assist. Tomogr. 2005, 29, 554–559. [Google Scholar] [CrossRef] [PubMed][Green Version]
- Lin, L.L.; Yang, Z.; Mutic, S.; Miller, T.R.; Grigsby, P.W. FDG-PET imaging for the assessment of physiologic volume response during radiotherapy in cervix cancer. Int. J. Radiat. Oncol. Biol. Phys. 2006, 65, 177–181. [Google Scholar] [CrossRef]
- Dicu-Andreescu, I.; Marincaș, A.; Ungureanu, V.; Ionescu, S.; Prunoi, V.; Brătucu, E.; Simion, L. Current Therapeutic Approaches in Cervical Cancer Based on the Stage of the Disease: Is There Room for Improvement? Medicina 2023, 59, 1229. [Google Scholar] [CrossRef]
- Ho, J.C.; Fang, P.; Cardenas, C.E.; Mohamed, A.S.R.; Fuller, C.D.; Allen, P.K. Volumetric assessment of apparent diffusion coefficient predicts outcome following chemoradiation for cervical cancer. Radiother. Oncol. J. Eur. Soc. Ther. Radiol. Oncol. 2019, 135, 58–64. [Google Scholar] [CrossRef]
- Liu, B.; Ma, W.L.; Zhang, G.W.; Sun, Z.; Zhong, J.M.; Wei, M.Q. Changes in magnetic resonance T2-weighted imaging signal intensity correlate with concurrent chemoradiotherapy response in cervical cancer. J. Contemp. Brachyther. 2019, 11, 41–47. [Google Scholar] [CrossRef] [PubMed]
- Chupradit, S.; Jalil, A.T.; Enina, Y.; Neganov, D.A.; Alhassan, M.S.; Aravindhan, S.; Davarpanah, A. Use of organic and copper-based nanoparticles on the turbulator installment in a shell tube heat exchanger: A CFD-based simulation approach by using nanofluid. J. Nanomater. 2021, 10, 3250058. [Google Scholar] [CrossRef]
- Raya, I.; Chuprad, S.; Kadhim, M.M. Role of compositional changes on thermal, magnetic, and mechanical properties of Fe-PC-based amorphous alloys. Chin. Phys. 2022, 31, 016401. [Google Scholar] [CrossRef]
- Gould, H.J., III; Norleans, J.; Ward, T.D.; Reid, C.; Paul, D. Selective lysis of breast carcinomas by simultaneous stimulation of sodium channels and blockade of sodium pumps. Oncotarget 2018, 9, 15606–15615. [Google Scholar] [CrossRef][Green Version]
- Vora, C.; Gupta, S. Targeted therapy in cervical cancer. ESMO Open 2019, 3, e000462. [Google Scholar] [CrossRef]





Disclaimer/Publisher’s Note: The statements, opinions and data contained in all publications are solely those of the individual author(s) and contributor(s) and not of MDPI and/or the editor(s). MDPI and/or the editor(s) disclaim responsibility for any injury to people or property resulting from any ideas, methods, instructions or products referred to in the content. |
© 2025 by the authors. Licensee MDPI, Basel, Switzerland. This article is an open access article distributed under the terms and conditions of the Creative Commons Attribution (CC BY) license (https://creativecommons.org/licenses/by/4.0/).
Share and Cite
Molnar, O.; Mihuțiu, S.; Straciuc, O.M.; Vesa, A.; Lazar, L. PET CT Imaging with FDG in the Therapeutical Management of Locally Advanced Cervical Cancer Diagnosed in a 43-Year-Old Patient: Case Report and Review of the Literature. Biomedicines 2025, 13, 83. https://doi.org/10.3390/biomedicines13010083
Molnar O, Mihuțiu S, Straciuc OM, Vesa A, Lazar L. PET CT Imaging with FDG in the Therapeutical Management of Locally Advanced Cervical Cancer Diagnosed in a 43-Year-Old Patient: Case Report and Review of the Literature. Biomedicines. 2025; 13(1):83. https://doi.org/10.3390/biomedicines13010083
Chicago/Turabian StyleMolnar, Ottó, Simona Mihuțiu, Oreste Mihai Straciuc, Alexandra Vesa, and Liviu Lazar. 2025. "PET CT Imaging with FDG in the Therapeutical Management of Locally Advanced Cervical Cancer Diagnosed in a 43-Year-Old Patient: Case Report and Review of the Literature" Biomedicines 13, no. 1: 83. https://doi.org/10.3390/biomedicines13010083
APA StyleMolnar, O., Mihuțiu, S., Straciuc, O. M., Vesa, A., & Lazar, L. (2025). PET CT Imaging with FDG in the Therapeutical Management of Locally Advanced Cervical Cancer Diagnosed in a 43-Year-Old Patient: Case Report and Review of the Literature. Biomedicines, 13(1), 83. https://doi.org/10.3390/biomedicines13010083

