Investigation of High Frequency Irreversible Electroporation for Canine Spontaneous Primary Lung Tumor Ablation
Abstract
1. Introduction
2. Materials and Methods
2.1. Canine Clinical Study
2.1.1. Patient Selection
2.1.2. Treatment Planning
2.1.3. Delivery of H-FIRE Ablation
Delivery of Intra-Operative H-FIRE Treatment
Delivery of CT-Guided Percutaneous H-FIRE Treatment
2.1.4. Tissue Conductivity Assessment
2.1.5. Surgical Tumor Resection
2.1.6. Adverse Event Reporting
2.1.7. Gross and Microscopic Tumor Evaluation
2.1.8. Immunohistochemistry (IHC)
2.1.9. Gene Expression Arrays
2.2. In Vitro Study
2.2.1. In Vitro H-FIRE Ablation of 3D Hydrogel Cell Culture Scaffold for Cell Death Assessment
Cell Culture
Collagen Scaffold Fabrication
H-FIRE Treatment and Viability Assessment of Collagen Scaffolds
2.2.2. Immune Evaluation of CLAC Cells Treated In Vitro with H-FIRE
2.2.3. Statistical Analysis
3. Results
3.1. In Vivo H-FIRE Ablation: Intraoperative Delivery
3.1.1. Patient Clinical Data
3.1.2. H-FIRE Ablation
3.2. In Vivo H-FIRE Ablation: Percutaneous Delivery
3.2.1. Patient Clinical Data
3.2.2. H-FIRE Ablation
3.3. Evaluations of H-FIRE Ablation Histopathology in Canine Patients
3.3.1. Gross and Histological Outcomes of Intraoperative H-FIRE Ablation
3.3.2. Gross and Histological Outcomes of Percutaneous H-FIRE Ablation
3.4. Evaluation of Cell Death and Immune Cell Infiltration Associated with In Vivo H-FIRE Ablation
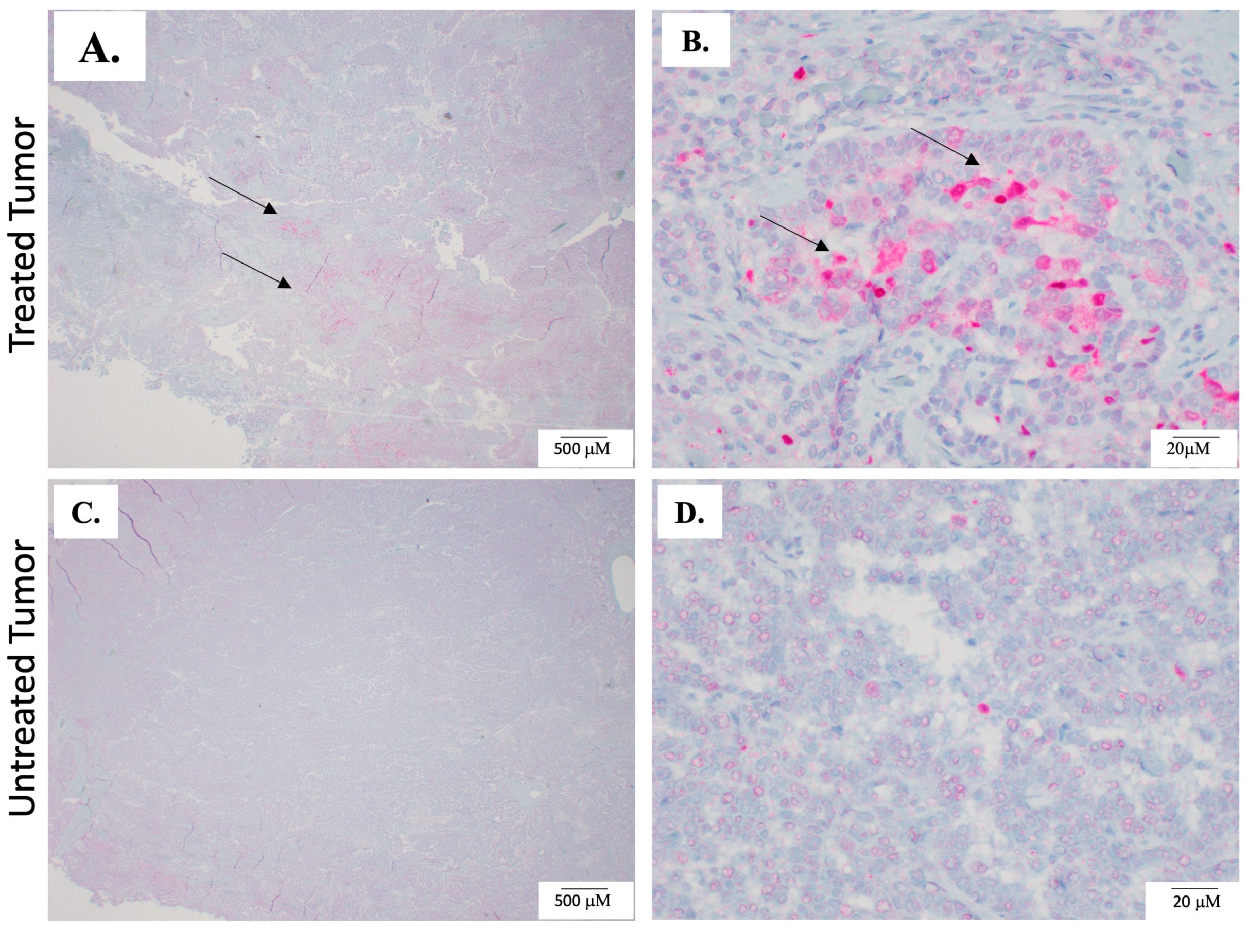
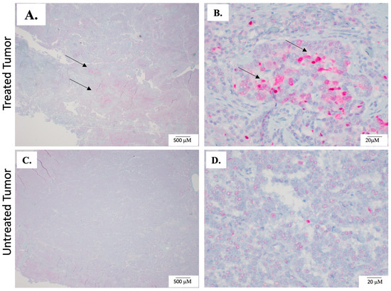
3.4.1. Evaluation of Cell Death and Macrophage Phenotype via Immunohistochemistry
3.4.2. Changes in Immune and Inflammatory Genetic Signatures in Intra-Operatively Treated Tumor Samples
3.5. In Vitro Studies
3.5.1. Analysis of H-FIRE Lesion Ablation Size and Lethal Threshold in CLAC Cell Collagen Scaffolds
3.5.2. In Vitro Immune Evaluation of CLAC Cell Suspensions Post H-FIRE Treatment
4. Discussion
5. Conclusions
Supplementary Materials
Author Contributions
Funding
Institutional Review Board Statement
Informed Consent Statement
Data Availability Statement
Acknowledgments
Conflicts of Interest
References
- Hahn, F.F.; Muggenburg, B.A.; Griffith, W.C. Primary lung neoplasia in a beagle colony. Vet. Pathol. 1996, 33, 633–638. [Google Scholar] [CrossRef]
- Dobson, J.M.; Samuel, S.; Milstein, H.; Rogers, K.; Wood, J.L. Canine neoplasia in the UK: Estimates of incidence rates from a population of insured dogs. J. Small Anim. Pract. 2002, 43, 240–246. [Google Scholar] [CrossRef] [PubMed]
- de Groot, P.M.; Wu, C.C.; Carter, B.W.; Munden, R.F. The epidemiology of lung cancer. Transl. Lung Cancer Res. 2018, 7, 220–233. [Google Scholar] [CrossRef] [PubMed]
- Siegel, R.L.; Miller, K.D.; Jemal, A. Cancer statistics, 2020. CA Cancer J. Clin. 2020, 70, 7–30. [Google Scholar] [CrossRef] [PubMed]
- McPhetridge, J.B.; Scharf, V.F.; Regier, P.J.; Toth, D.; Lorange, M.; Tremolada, G.; Dornbusch, J.A.; Selmic, L.E.; Bae, S.; Townsend, K.L.; et al. Distribution of histopathologic types of primary pulmonary neoplasia in dogs and outcome of affected dogs: 340 cases (2010–2019). J. Am. Vet. Med. Assoc. 2021, 260, 234–243. [Google Scholar] [CrossRef]
- Mason, N.J. Comparative Immunology and Immunotherapy of Canine Osteosarcoma. Adv. Exp. Med. Biol. 2020, 1258, 199–221. [Google Scholar] [CrossRef]
- Rowell, J.L.; McCarthy, D.O.; Alvarez, C.E. Dog models of naturally occurring cancer. Trends Mol. Med. 2011, 17, 380–388. [Google Scholar] [CrossRef]
- Schiffman, J.D.; Breen, M. Comparative oncology: What dogs and other species can teach us about humans with cancer. Philos. Trans. R. Soc. Lond. B Biol. Sci. 2015, 370, 20140231. [Google Scholar] [CrossRef]
- Griffey, S.M.; Kraegel, S.A.; Madewell, B.R. Rapid detection of K-ras gene mutations in canine lung cancer using single-strand conformational polymorphism analysis. Carcinogenesis 1998, 19, 959–963. [Google Scholar] [CrossRef]
- Able, H.; Wolf-Ringwall, A.; Rendahl, A.; Ober, C.P.; Seelig, D.M.; Wilke, C.T.; Lawrence, J. Computed tomography radiomic features hold prognostic utility for canine lung tumors: An analytical study. PLoS ONE 2021, 16, e0256139. [Google Scholar] [CrossRef]
- Rose, R.J.; Worley, D.R. A Contemporary Retrospective Study of Survival in Dogs With Primary Lung Tumors: 40 Cases (2005–2017). Front. Vet. Sci. 2020, 7, 519703. [Google Scholar] [CrossRef] [PubMed]
- McNiel, E.A.; Ogilvie, G.K.; Powers, B.E.; Hutchison, J.M.; Salman, M.D.; Withrow, S.J. Evaluation of prognostic factors for dogs with primary lung tumors: 67 cases (1985–1992). J. Am. Vet. Med. Assoc. 1997, 211, 1422–1427. [Google Scholar] [CrossRef] [PubMed]
- Jones, G.S.; Baldwin, D.R. Recent advances in the management of lung cancer. Clin. Med. 2018, 18, s41–s46. [Google Scholar] [CrossRef] [PubMed]
- Chang, A.T.C.; Ng, C.S.H.; Nezami, N. Treatment strategies for malignant pulmonary nodule: Beyond lobectomy. Point-counterpoint. Curr. Opin. Pulm. Med. 2024, 30, 35–47. [Google Scholar] [CrossRef]
- Xu, Z.; Wang, X.; Ke, H.; Lyu, G. Cryoablation is superior to radiofrequency ablation for the treatment of non-small cell lung cancer: A meta-analysis. Cryobiology 2023, 112, 104560. [Google Scholar] [CrossRef]
- Zhao, Q.; Wang, J.; Fu, Y.L.; Hu, B. Radiofrequency ablation for stage <IIB non-small cell lung cancer: Opportunities, challenges, and the road ahead. Thorac. Cancer 2023, 14, 3181–3190. [Google Scholar] [CrossRef]
- Ni, Y.; Xu, H.; Ye, X. Image-guided percutaneous microwave ablation of early-stage non-small cell lung cancer. Asia Pac. J. Clin. Oncol. 2020, 16, 320–325. [Google Scholar] [CrossRef]
- Savic, L.J.; Chapiro, J.; Hamm, B.; Gebauer, B.; Collettini, F. Irreversible Electroporation in Interventional Oncology: Where We Stand and Where We Go. Rofo 2016, 188, 735–745. [Google Scholar] [CrossRef]
- Tasu, J.P.; Tougeron, D.; Rols, M.P. Irreversible electroporation and electrochemotherapy in oncology: State of the art. Diagn. Interv. Imaging 2022, 103, 499–509. [Google Scholar] [CrossRef]
- Davalos, R.V.; Mir, I.L.; Rubinsky, B. Tissue ablation with irreversible electroporation. Ann. Biomed. Eng. 2005, 33, 223–231. [Google Scholar] [CrossRef]
- Fujimori, M.; Kimura, Y.; Ueshima, E.; Dupuy, D.E.; Adusumilli, P.S.; Solomon, S.B.; Srimathveeravalli, G. Lung Ablation with Irreversible Electroporation Promotes Immune Cell Infiltration by Sparing Extracellular Matrix Proteins and Vasculature: Implications for Immunotherapy. Bioelectricity 2021, 3, 204–214. [Google Scholar] [CrossRef]
- Kim, H.B.; Lee, S.; Shen, Y.; Ryu, P.D.; Lee, Y.; Chung, J.H.; Sung, C.K.; Baik, K.Y. Physicochemical factors that affect electroporation of lung cancer and normal cell lines. Biochem. Biophys. Res. Commun. 2019, 517, 703–708. [Google Scholar] [CrossRef] [PubMed]
- Lv, Y.; Tang, X.; Peng, W.; Cheng, X.; Chen, S.; Yao, C. Analysis on reversible/irreversible electroporation region in lung adenocarcinoma cell model in vitro with electric pulses delivered by needle electrodes. Phys. Med. Biol. 2020, 65, 225001. [Google Scholar] [CrossRef]
- Usman, M.; Moore, W.; Talati, R.; Watkins, K.; Bilfinger, T.V. Irreversible electroporation of lung neoplasm: A case series. Med. Sci. Monit. 2012, 18, Cs43–Cs47. [Google Scholar] [CrossRef] [PubMed][Green Version]
- Dupuy, D.E.; Aswad, B.; Ng, T. Irreversible electroporation in a Swine lung model. Cardiovasc. Interv. Radiol. 2011, 34, 391–395. [Google Scholar] [CrossRef] [PubMed]
- Sun, J.H.; Zhu, T.Y.; Chen, X.H.; Nie, C.H.; Ren, Z.G.; Zhou, G.H.; Zhou, T.Y.; Yin, S.Y.; Peng, Z.Y.; Wu, L.M.; et al. In vivo evaluation of bronchial injury of irreversible electroporation in a porcine lung ablation model by using laboratory, pathological, and CT findings. Int. J. Clin. Exp. Pathol. 2018, 11, 1273–1280. [Google Scholar]
- Ricke, J.; Jürgens, J.H.; Deschamps, F.; Tselikas, L.; Uhde, K.; Kosiek, O.; De Baere, T. Irreversible electroporation (IRE) fails to demonstrate efficacy in a prospective multicenter phase II trial on lung malignancies: The ALICE trial. Cardiovasc. Interv. Radiol. 2015, 38, 401–408. [Google Scholar] [CrossRef]
- van Gemert, M.J.; Wagstaff, P.G.; de Bruin, D.M.; van Leeuwen, T.G.; van der Wal, A.C.; Heger, M.; van der Geld, C.W. Irreversible electroporation: Just another form of thermal therapy? Prostate 2015, 75, 332–335. [Google Scholar] [CrossRef]
- Maor, E.; Ivorra, A.; Leor, J.; Rubinsky, B. The effect of irreversible electroporation on blood vessels. Technol. Cancer Res. Treat. 2007, 6, 307–312. [Google Scholar] [CrossRef]
- Zhang, Y.; Lyu, C.; Liu, Y.; Lv, Y.; Chang, T.T.; Rubinsky, B. Molecular and histological study on the effects of non-thermal irreversible electroporation on the liver. Biochem. Biophys. Res. Commun. 2018, 500, 665–670. [Google Scholar] [CrossRef]
- Wagstaff, P.G.; Buijs, M.; van den Bos, W.; de Bruin, D.M.; Zondervan, P.J.; de la Rosette, J.J.; Laguna Pes, M.P. Irreversible electroporation: State of the art. Onco Targets Ther. 2016, 9, 2437–2446. [Google Scholar] [CrossRef] [PubMed]
- Mercadal, B.; Beitel-White, N.; Aycock, K.N.; Castellví, Q.; Davalos, R.V.; Ivorra, A. Dynamics of Cell Death After Conventional IRE and H-FIRE Treatments. Ann. Biomed. Eng. 2020, 48, 1451–1462. [Google Scholar] [CrossRef] [PubMed]
- Batista Napotnik, T.; Polajžer, T.; Miklavčič, D. Cell death due to electroporation—A review. Bioelectrochemistry 2021, 141, 107871. [Google Scholar] [CrossRef]
- Sano, M.B.; Fan, R.E.; Cheng, K.; Saenz, Y.; Sonn, G.A.; Hwang, G.L.; Xing, L. Reduction of Muscle Contractions during Irreversible Electroporation Therapy Using High-Frequency Bursts of Alternating Polarity Pulses: A Laboratory Investigation in an Ex Vivo Swine Model. J. Vasc. Interv. Radiol. 2018, 29, 893–898.e894. [Google Scholar] [CrossRef]
- Partridge, B.R.; O’Brien, T.J.; Lorenzo, M.F.; Coutermarsh-Ott, S.L.; Barry, S.L.; Stadler, K.; Muro, N.; Meyerhoeffer, M.; Allen, I.C.; Davalos, R.V.; et al. High-Frequency Irreversible Electroporation for Treatment of Primary Liver Cancer: A Proof-of-Principle Study in Canine Hepatocellular Carcinoma. J. Vasc. Interv. Radiol. 2020, 31, 482–491.e484. [Google Scholar] [CrossRef]
- LeBlanc, A.K.; Atherton, M.; Bentley, R.T.; Boudreau, C.E.; Burton, J.H.; Curran, K.M.; Dow, S.; Giuffrida, M.A.; Kellihan, H.B.; Mason, N.J.; et al. Veterinary Cooperative Oncology Group-Common Terminology Criteria for Adverse Events (VCOG-CTCAE v2) following investigational therapy in dogs and cats. Vet. Comp. Oncol. 2021, 19, 311–352. [Google Scholar] [CrossRef]
- Arena, C.B.; Sano, M.B.; Rossmeisl, J.H., Jr.; Caldwell, J.L.; Garcia, P.A.; Rylander, M.N.; Davalos, R.V. High-frequency irreversible electroporation (H-FIRE) for non-thermal ablation without muscle contraction. Biomed. Eng. Online 2011, 10, 102. [Google Scholar] [CrossRef]
- Polajžer, T.; Dermol-Černe, J.; Reberšek, M.; O’Connor, R.; Miklavčič, D. Cancellation effect is present in high-frequency reversible and irreversible electroporation. Bioelectrochemistry 2020, 132, 107442. [Google Scholar] [CrossRef]
- Latouche, E.L.; Arena, C.B.; Ivey, J.W.; Garcia, P.A.; Pancotto, T.E.; Pavlisko, N.; Verbridge, S.S.; Davalos, R.V.; Rossmeisl, J.H. High-Frequency Irreversible Electroporation for Intracranial Meningioma: A Feasibility Study in a Spontaneous Canine Tumor Model. Technol. Cancer Res. Treat. 2018, 17, 1533033818785285. [Google Scholar] [CrossRef]
- Byron, C.R.; DeWitt, M.R.; Latouche, E.L.; Davalos, R.V.; Robertson, J.L. Treatment of Infiltrative Superficial Tumors in Awake Standing Horses Using Novel High-Frequency Pulsed Electrical Fields. Front. Vet. Sci. 2019, 6, 265. [Google Scholar] [CrossRef]
- Fesmire, C.C.; Peal, B.; Ruff, J.; Moyer, E.; McParland, T.J.; Derks, K.; O’Neil, E.; Emke, C.; Johnson, B.; Ghosh, S.; et al. Investigation of integrated time nanosecond pulse irreversible electroporation against spontaneous equine melanoma. Front. Vet. Sci. 2024, 11, 1232650. [Google Scholar] [CrossRef]
- Fesmire, C.C.; Petrella, R.A.; Williamson, R.; Derks, K.; Ruff, J.; McParkland, T.; O’Neil, E.; Fogle, C.; Prange, T.; Sano, M.B. Treatment of Spontaneous Tumors with Algorithmically Controlled Electroporation. IEEE Trans. Biomed. Eng. 2024, 1–9. [Google Scholar] [CrossRef] [PubMed]
- Campelo, S.N.; Lorenzo, M.F.; Partridge, B.; Alinezhadbalalami, N.; Kani, Y.; Garcia, J.; Saunier, S.; Thomas, S.C.; Hinckley, J.; Verbridge, S.S.; et al. High-frequency irreversible electroporation improves survival and immune cell infiltration in rodents with malignant gliomas. Front. Oncol. 2023, 13, 1171278. [Google Scholar] [CrossRef] [PubMed]
- Imran, K.M.; Nagai-Singer, M.A.; Brock, R.M.; Alinezhadbalalami, N.; Davalos, R.V.; Allen, I.C. Exploration of Novel Pathways Underlying Irreversible Electroporation Induced Anti-Tumor Immunity in Pancreatic Cancer. Front. Oncol. 2022, 12, 853779. [Google Scholar] [CrossRef] [PubMed]
- Partridge, B.R.; Kani, Y.; Lorenzo, M.F.; Campelo, S.N.; Allen, I.C.; Hinckley, J.; Hsu, F.C.; Verbridge, S.S.; Robertson, J.L.; Davalos, R.V.; et al. High-Frequency Irreversible Electroporation (H-FIRE) Induced Blood-Brain Barrier Disruption Is Mediated by Cytoskeletal Remodeling and Changes in Tight Junction Protein Regulation. Biomedicines 2022, 10, 1384. [Google Scholar] [CrossRef] [PubMed]
- Polajžer, T.; Miklavčič, D. Immunogenic Cell Death in Electroporation-Based Therapies Depends on Pulse Waveform Characteristics. Vaccines 2023, 11, 1036. [Google Scholar] [CrossRef]
- Ringel-Scaia, V.M.; Beitel-White, N.; Lorenzo, M.F.; Brock, R.M.; Huie, K.E.; Coutermarsh-Ott, S.; Eden, K.; McDaniel, D.K.; Verbridge, S.S.; Rossmeisl, J.H., Jr.; et al. High-frequency irreversible electroporation is an effective tumor ablation strategy that induces immunologic cell death and promotes systemic anti-tumor immunity. EBioMedicine 2019, 44, 112–125. [Google Scholar] [CrossRef]
- Burbach, B.J.; O’Flanagan, S.D.; Shao, Q.; Young, K.M.; Slaughter, J.R.; Rollins, M.R.; Street, T.J.L.; Granger, V.E.; Beura, L.K.; Azarin, S.M.; et al. Irreversible electroporation augments checkpoint immunotherapy in prostate cancer and promotes tumor antigen-specific tissue-resident memory CD8+ T cells. Nat. Commun. 2021, 12, 3862. [Google Scholar] [CrossRef]
- Yang, J.; Eresen, A.; Shangguan, J.; Ma, Q.; Yaghmai, V.; Zhang, Z. Irreversible electroporation ablation overcomes tumor-associated immunosuppression to improve the efficacy of DC vaccination in a mice model of pancreatic cancer. Oncoimmunology 2021, 10, 1875638. [Google Scholar] [CrossRef]
- Jacobs, E.J.t.; Aycock, K.N.; Santos, P.P.; Tuohy, J.L.; Davalos, R.V. Rapid estimation of electroporation-dependent tissue properties in canine lung tumors using a deep neural network. Biosens. Bioelectron. 2024, 244, 115777. [Google Scholar] [CrossRef]
- Sel, D.; Cukjati, D.; Batiuskaite, D.; Slivnik, T.; Mir, L.M.; Miklavcic, D. Sequential finite element model of tissue electropermeabilization. IEEE Trans. Biomed. Eng. 2005, 52, 816–827. [Google Scholar] [CrossRef] [PubMed]
- Sano, M.B.; Arena, C.B.; DeWitt, M.R.; Saur, D.; Davalos, R.V. In-vitro bipolar nano- and microsecond electro-pulse bursts for irreversible electroporation therapies. Bioelectrochemistry 2014, 100, 69–79. [Google Scholar] [CrossRef]
- Rajan, N.; Habermehl, J.; Coté, M.F.; Doillon, C.J.; Mantovani, D. Preparation of ready-to-use, storable and reconstituted type I collagen from rat tail tendon for tissue engineering applications. Nat. Protoc. 2006, 1, 2753–2758. [Google Scholar] [CrossRef]
- Arena, C.B.; Szot, C.S.; Garcia, P.A.; Rylander, M.N.; Davalos, R.V. A three-dimensional in vitro tumor platform for modeling therapeutic irreversible electroporation. Biophys. J. 2012, 103, 2033–2042. [Google Scholar] [CrossRef]
- Murphy, K.R.; Aycock, K.N.; Hay, A.N.; Rossmeisl, J.H.; Davalos, R.V.; Dervisis, N.G. High-frequency irreversible electroporation brain tumor ablation: Exploring the dynamics of cell death and recovery. Bioelectrochemistry 2021, 144, 108001. [Google Scholar] [CrossRef]
- O’Brien, M.A.; Power, D.G.; Clover, A.J.; Bird, B.; Soden, D.M.; Forde, P.F. Local tumour ablative therapies: Opportunities for maximising immune engagement and activation. Biochim. Biophys. Acta 2014, 1846, 510–523. [Google Scholar] [CrossRef] [PubMed]
- Aycock, K.N.; Campelo, S.N.; Davalos, R.V. A Comparative Modeling Study of Thermal Mitigation Strategies in Irreversible Electroporation Treatments. J. Heat. Transf. 2022, 144, 031206. [Google Scholar] [CrossRef]
- Campana, L.G.; Cesari, M.; Dughiero, F.; Forzan, M.; Rastrelli, M.; Rossi, C.R.; Sieni, E.; Tosi, A.L. Electrical resistance of human soft tissue sarcomas: An ex vivo study on surgical specimens. Med. Biol. Eng. Comput. 2016, 54, 773–787. [Google Scholar] [CrossRef]
- Ghazikhanlou-Sani, K.; Firoozabadi, S.M.; Agha-Ghazvini, L.; Mahmoodzadeh, H. Evaluation of Soft Tissue Sarcoma Tumors Electrical Conductivity Anisotropy Using Diffusion Tensor Imaging for Numerical Modeling on Electroporation. J. Biomed. Phys. Eng. 2016, 6, 71–80. [Google Scholar]
- Balmer, T.W.; Vesztergom, S.; Broekmann, P.; Stahel, A.; Büchler, P. Characterization of the electrical conductivity of bone and its correlation to osseous structure. Sci. Rep. 2018, 8, 8601. [Google Scholar] [CrossRef]
- Casas, R.; Sevostianov, I. Electrical resistivity of cortical bone: Micromechanical modeling and experimental verification. Int. J. Eng. Sci. 2013, 62, 106–112. [Google Scholar] [CrossRef]
- Wasson, E.M.; Alinezhadbalalami, N.; Brock, R.M.; Allen, I.C.; Verbridge, S.S.; Davalos, R.V. Understanding the role of calcium-mediated cell death in high-frequency irreversible electroporation. Bioelectrochemistry 2020, 131, 107369. [Google Scholar] [CrossRef]
- Abbott, M.; Ustoyev, Y. Cancer and the Immune System: The History and Background of Immunotherapy. Semin. Oncol. Nurs. 2019, 35, 150923. [Google Scholar] [CrossRef] [PubMed]
- Cavallo, F.; De Giovanni, C.; Nanni, P.; Forni, G.; Lollini, P.L. 2011: The immune hallmarks of cancer. Cancer Immunol. Immunother. 2011, 60, 319–326. [Google Scholar] [CrossRef] [PubMed]
- Costa, A.C.; Santos, J.M.O.; Gil da Costa, R.M.; Medeiros, R. Impact of immune cells on the hallmarks of cancer: A literature review. Crit. Rev. Oncol. Hematol. 2021, 168, 103541. [Google Scholar] [CrossRef]
- Hanahan, D.; Weinberg, R.A. Hallmarks of cancer: The next generation. Cell 2011, 144, 646–674. [Google Scholar] [CrossRef]
- Tokunaga, R.; Zhang, W.; Naseem, M.; Puccini, A.; Berger, M.D.; Soni, S.; McSkane, M.; Baba, H.; Lenz, H.J. CXCL9, CXCL10, CXCL11/CXCR3 axis for immune activation—A target for novel cancer therapy. Cancer Treat. Rev. 2018, 63, 40–47. [Google Scholar] [CrossRef]
- Korbecki, J.; Grochans, S.; Gutowska, I.; Barczak, K.; Baranowska-Bosiacka, I. CC Chemokines in a Tumor: A Review of Pro-Cancer and Anti-Cancer Properties of Receptors CCR5, CCR6, CCR7, CCR8, CCR9, and CCR10 Ligands. Int. J. Mol. Sci. 2020, 21, 7619. [Google Scholar] [CrossRef]
- Neves, M.; Fumagalli, A.; van den Bor, J.; Marin, P.; Smit, M.J.; Mayor, F. The Role of ACKR3 in Breast, Lung, and Brain Cancer. Mol. Pharmacol. 2019, 96, 819–825. [Google Scholar] [CrossRef]
- Wu, C.; Spector, S.A.; Theodoropoulos, G.; Nguyen, D.J.M.; Kim, E.Y.; Garcia, A.; Savaraj, N.; Lim, D.C.; Paul, A.; Feun, L.G.; et al. Dual inhibition of IDO1/TDO2 enhances anti-tumor immunity in platinum-resistant non-small cell lung cancer. Cancer Metab. 2023, 11, 7. [Google Scholar] [CrossRef]
- Liu, W.; Wang, H.; Bai, F.; Ding, L.; Huang, Y.; Lu, C.; Chen, S.; Li, C.; Yue, X.; Liang, X.; et al. IL-6 promotes metastasis of non-small-cell lung cancer by up-regulating TIM-4 via NF-κB. Cell Prolif. 2020, 53, e12776. [Google Scholar] [CrossRef] [PubMed]
- Zhou, T.; Chen, Y.; Hao, L.; Zhang, Y. DC-SIGN and immunoregulation. Cell Mol. Immunol. 2006, 3, 279–283. [Google Scholar] [PubMed]
- Kroemer, G.; Galluzzi, L.; Kepp, O.; Zitvogel, L. Immunogenic cell death in cancer therapy. Annu. Rev. Immunol. 2013, 31, 51–72. [Google Scholar] [CrossRef] [PubMed]
- Simpson, S.; Dunning, M.D.; de Brot, S.; Grau-Roma, L.; Mongan, N.P.; Rutland, C.S. Comparative review of human and canine osteosarcoma: Morphology, epidemiology, prognosis, treatment and genetics. Acta Vet. Scand. 2017, 59, 71. [Google Scholar] [CrossRef] [PubMed]







| Patient | Primary Tumor Type and Location | Breed | Gender | Age (yrs) | Weight (kg) | Tumor Size (cm) | Size of Treated Tumor Region (cm) |
|---|---|---|---|---|---|---|---|
| Patient 1 | Adenocarcinoma Right Caudal Lobe | Labrador Retriever | MN | 12 | 42 | 6.5 × 4.9 | 1.3 × 1.0 × 1.5 |
| Patient 2 | Adenocarcinoma Left Caudal Lobe | Labrador Retriever | MN | 8 | 33 | 4.1 × 4.6 × 2.8 | 3.0 × 1.0 × 2.5 |
| Patient 3 | Adenocarcinoma Right Middle Lung Lobe | Pitbull Mix | FS | 6 | 29 | 5.7 × 4 × 5.5 | 1.5 × 1.0 |
| Patient 4 | Adenocarcinoma Right Caudal Lung Lobe | Shih Tzu | MN | 11 | 7 | 4.5 × 4.5 × 4.5 | 1.2 × 1.2 × 1.0 |
| Patient 5 | Adenocarcinoma Left Cranial Lung Lobe | Retriever Mix | FS | 13 | 18 | 6.8 × 4.2 × 5.8 | 1.2 × 1.0 × 1.0 |
| Patient | Primary Tumor Type and Location | Breed | Gender | Age (yrs) | Weight (kg) | Tumor Size (cm) | Size of Treated Tumor Region (cm) |
|---|---|---|---|---|---|---|---|
| Patient 6 | Adenocarcinoma. Left cranial lung lobe. | Pitbull mix | FS | 6 | 29.2 | 4.7 × 4.1 × 3.1 cm | 3 × 1.2 × 0.8 |
| Patient 7 | Pulmonary carcinoma, papillary predominant. Right caudal lung lobe. | Shih Tzu | MN | 13 | 7.5 | 6.44 × 4.43 × 4.41 cm | Undefined |
| Gross Observations | Microscopic Observations | Immunohistochemistry | |||
|---|---|---|---|---|---|
| Necrosis | Hemorrhage | Caspase-3 | Macrophages | ||
| Patient 1 | Focus of reddening | Untrt: Limited | Untrt: Limited | Untrt: Limited | Untrt: CD206+ |
| Trt: Present, similar to untrt | Trt: Present, greater than untrt | Trt: Limited, similar to untrt | Trt: CD206+, similar to untrt | ||
| Patient 2 | Well demarcated focus of hemorrhage and necrosis | Untrt: Limited lytic debris | Untrt: None | Untrt: Limited | Untrt: CD206+ |
| Trt: Extensive lytic debris, greater than untrt | Trt: Present, greater than untrt | Trt: Present, greater than untrt | Trt: CD206+, similar to untrt | ||
| Patient 3 | Poorly demarcated focus of hemorrhage | Untrt: Present, mixed lytic and coagulative | Untrt: Limited | Untrt: Limited | Untrt: CD206+ |
| Trt: Present, predominantly lytic | Trt: Present, greater than untrt | Trt: Limited, similar to untrt | Trt: CD206+, similar to untrt | ||
| Patient 4 | Poorly demarcated focus of hemorrhage | Untrt: Nuclear debris present | Untrt: Present | Untrt: Present | Untrt: Poor staining |
| Trt: Nuclear debris present, similar to untrt | Trt: Present, similar to untrt | Trt: Present, similar to untrt | Trt: Poor staining | ||
| Patient 5 | Well demarcated focus of tissue discoloration | Untrt: Limited necrotic debris | Untrt: None | Untrt: Limited | Untrt: Poor staining |
| Trt: Limited necrotic debris, similar to untrt | Trt: None | Trt: Present, greater than untrt | Trt: Poor staining | ||
| Burst Delivery Rate (Hz) | Lesion Area (mm2) | Lethal Threshold (V/cm) | N |
|---|---|---|---|
| 45 | 14.6 ± 0.7 | 926 ± 26 | 3 |
| 60 | 17.8 ± 2.0 | 846 ± 42 | 6 |
| 90 | 15.0 ± 0.8 | 802 ± 15 | 3 |
| ⌀ | Ablation Volume (cm3) | Ablation Height (cm) | Ablation Width (cm) | Ablation Depth (cm) | TD Volume (cm3) |
|---|---|---|---|---|---|
| 1 | 5.0647 | 2.8899 | 2.4112 | 1.0354 | 1.5801 |
| 2 | 5.3763 | 2.9618 | 2.334 | 0.97374 | 1.1622 |
| 3 | 5.2822 | 2.9513 | 2.3067 | 0.97006 | 1.1041 |
| 4 | 7.8625 | 3.0975 | 2.8627 | 1.2447 | 5.8559 |
| 5 | 4.0605 | 2.8589 | 2.0341 | 0.83084 | 0.05425 |
| all | 5.5 ± 1.4 | 3.0 ± 0.1 | 2.4 ± 0.3 | 1.0 ± 0.2 | 2.0 ± 2.3 |
Disclaimer/Publisher’s Note: The statements, opinions and data contained in all publications are solely those of the individual author(s) and contributor(s) and not of MDPI and/or the editor(s). MDPI and/or the editor(s) disclaim responsibility for any injury to people or property resulting from any ideas, methods, instructions or products referred to in the content. |
© 2024 by the authors. Licensee MDPI, Basel, Switzerland. This article is an open access article distributed under the terms and conditions of the Creative Commons Attribution (CC BY) license (https://creativecommons.org/licenses/by/4.0/).
Share and Cite
Hay, A.N.; Aycock, K.N.; Lorenzo, M.F.; David, K.; Coutermarsh-Ott, S.; Salameh, Z.; Campelo, S.N.; Arroyo, J.P.; Ciepluch, B.; Daniel, G.; et al. Investigation of High Frequency Irreversible Electroporation for Canine Spontaneous Primary Lung Tumor Ablation. Biomedicines 2024, 12, 2038. https://doi.org/10.3390/biomedicines12092038
Hay AN, Aycock KN, Lorenzo MF, David K, Coutermarsh-Ott S, Salameh Z, Campelo SN, Arroyo JP, Ciepluch B, Daniel G, et al. Investigation of High Frequency Irreversible Electroporation for Canine Spontaneous Primary Lung Tumor Ablation. Biomedicines. 2024; 12(9):2038. https://doi.org/10.3390/biomedicines12092038
Chicago/Turabian StyleHay, Alayna N., Kenneth N. Aycock, Melvin F. Lorenzo, Kailee David, Sheryl Coutermarsh-Ott, Zaid Salameh, Sabrina N. Campelo, Julio P. Arroyo, Brittany Ciepluch, Gregory Daniel, and et al. 2024. "Investigation of High Frequency Irreversible Electroporation for Canine Spontaneous Primary Lung Tumor Ablation" Biomedicines 12, no. 9: 2038. https://doi.org/10.3390/biomedicines12092038
APA StyleHay, A. N., Aycock, K. N., Lorenzo, M. F., David, K., Coutermarsh-Ott, S., Salameh, Z., Campelo, S. N., Arroyo, J. P., Ciepluch, B., Daniel, G., Davalos, R. V., & Tuohy, J. (2024). Investigation of High Frequency Irreversible Electroporation for Canine Spontaneous Primary Lung Tumor Ablation. Biomedicines, 12(9), 2038. https://doi.org/10.3390/biomedicines12092038

