Utility of Radiological Follow Up of Main-Duct Intraductal Papillary Mucinous Neoplasms and Mixed-Type Intraductal Papillary Mucinous Neoplasms
Abstract
1. Introduction
2. Materials and Methods
2.1. Study Population
2.2. Statistical Analysis
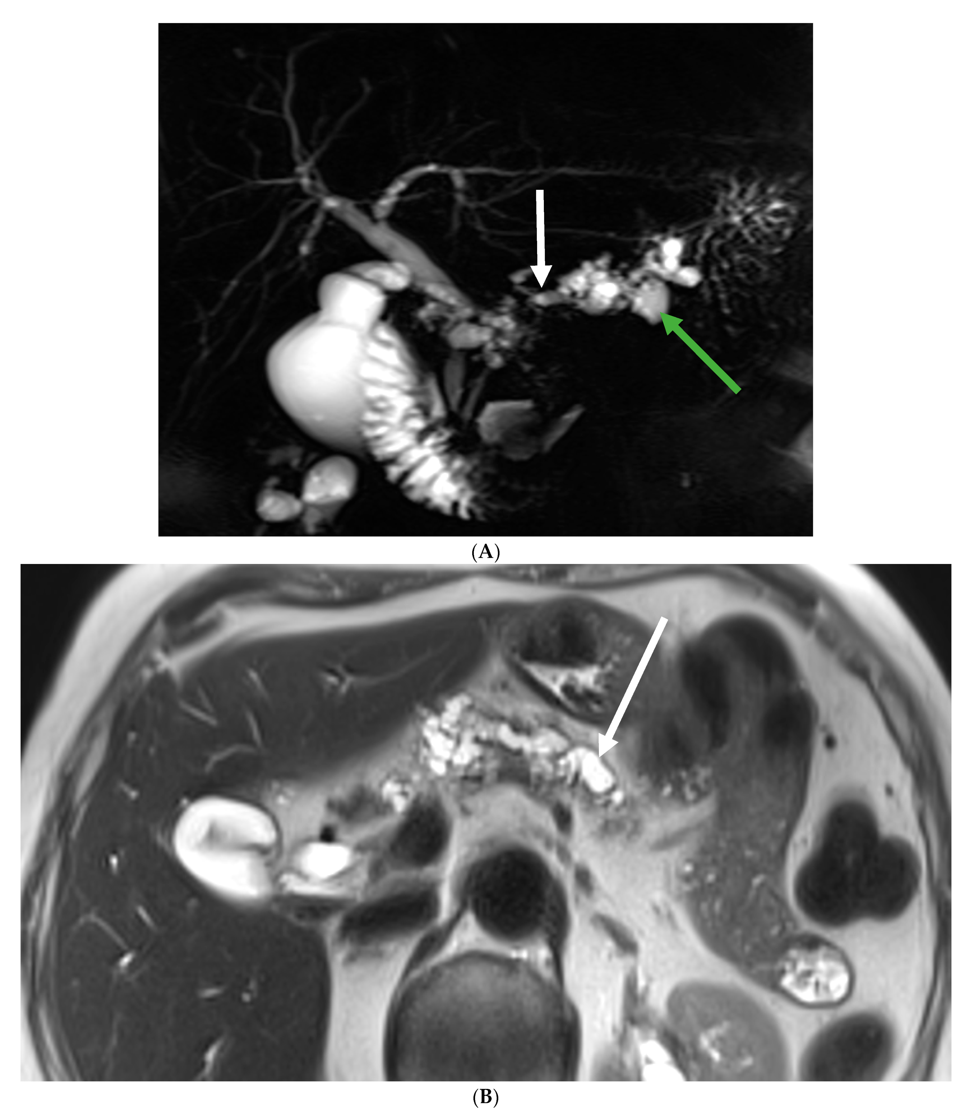
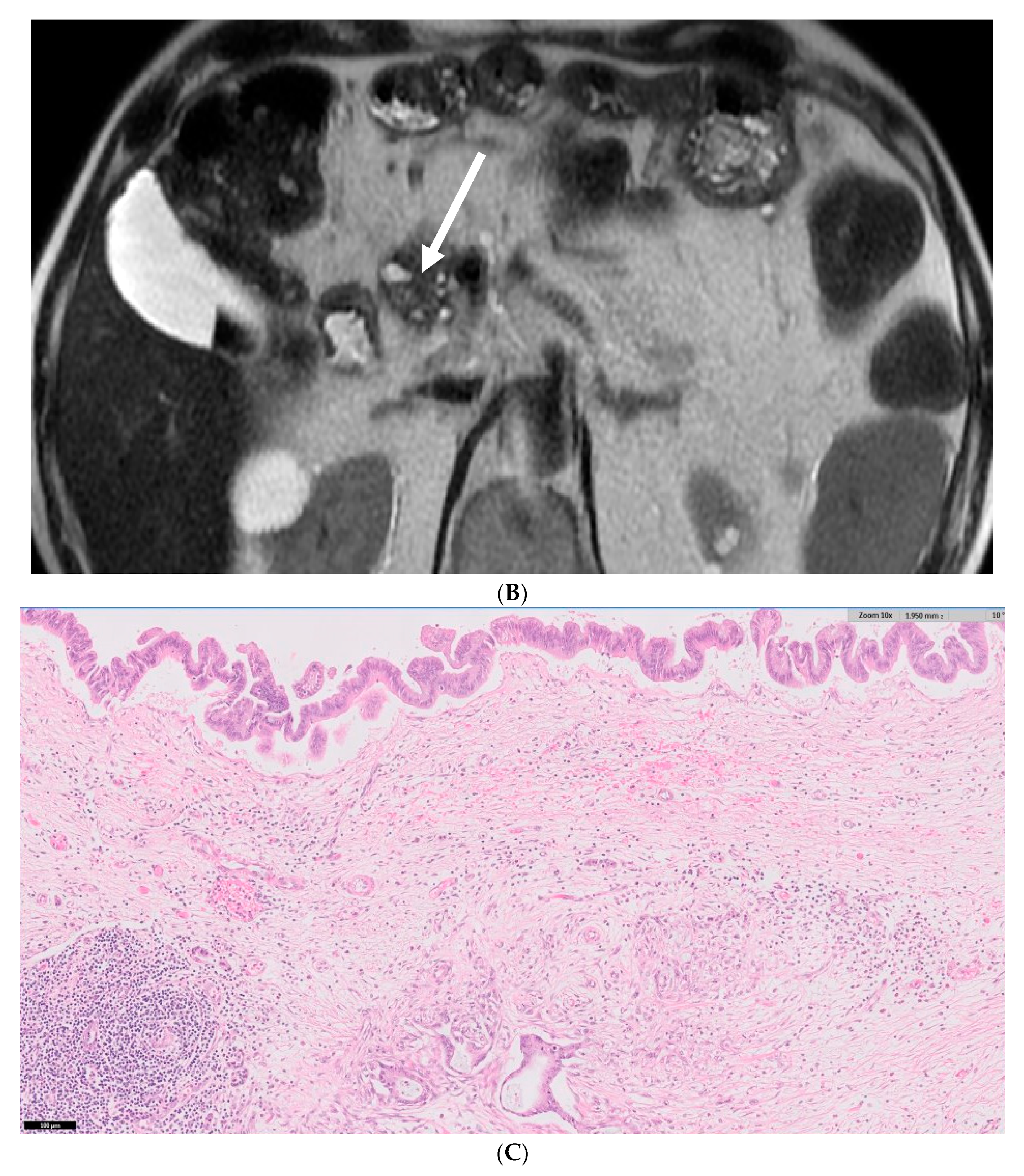
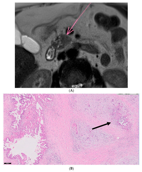
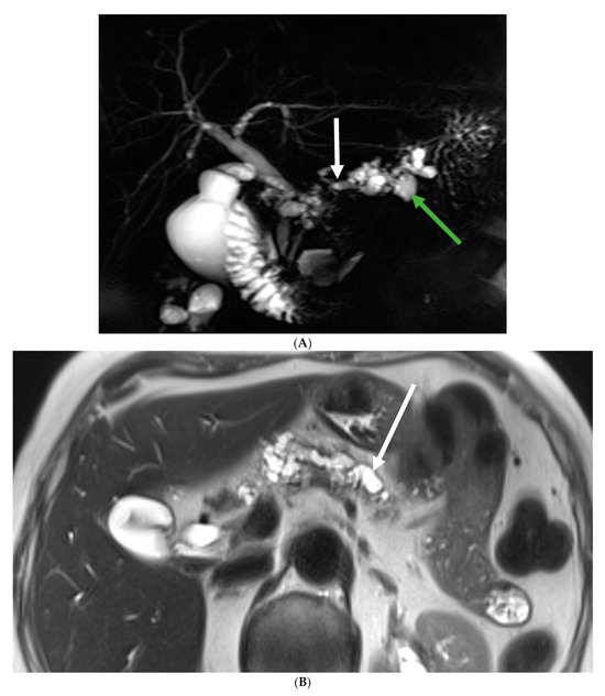
3. Results
4. Discussion
Author Contributions
Funding
Institutional Review Board Statement
Informed Consent Statement
Data Availability Statement
Conflicts of Interest
Appendix A
| Demographic | |
|---|---|
| Age | |
| Gender | |
| Clinical | |
| IPMN diagnosis date | |
| MRCP date | |
| Duration from IPMN diagnosis to first MRCP | |
| Age (at diagnosis and every MRCP) | |
| Symptoms | Bloating, nausea, abdominal pain, weight loss, jaundice |
| Prior medical history | Diabetes mellitus, BMI, dyslipidemia, smoking history, ethanol abuse, liver diseases |
| History of pancreatitis or malignancies | |
| Family history | FH of PDAC |
| Laboratory | Liver enzymes; CA 19-9; CEA; HbA1C |
| Radiologic | |
| Cyst number and location, maximal cyst size, MPD diameter, IPMN type, SCA, NET | |
| Cyst and MPD size progression | Time taken for cyst to progess to 3 and 5 mm in size |
| Signs of pancreatitis | Acute and chronic pancreatitis |
| Presence of PDAC | |
| Extra pancreatic findings | Choledocholithiasis; cholelithiasis; status post cholecystectomy; cholangitis; cholangiocarcinoma; gallbladder polyp |
| Endoscopic |
|
References
- De Jong, K.; Nio, C.Y.; Hermans, J.J.; Dijkgraaf, M.G.; Gouma, D.J.; van Eijck, C.H.J.; van Heel, E.; Klass, G.; Fockens, P.; Bruno, M.J. High prevalence of pancreatic cysts detected by screening magnetic resonance imaging examinations. Clin. Gastroenterol. Hepatol. 2010, 8, 806–811. [Google Scholar] [CrossRef]
- Ohhashi: Four Cases of Mucous Secreting Pancreatic Cancer—Google Scholar. Available online: https://scholar.google.com/scholar_lookup?journal=Prog+Digest+Endosc&title=Four+cases+of+mucus-secreting+pancreatic+cancer&author=K+Ohashi&author=Y+Murakami&author=M+Maruyama&author=T+Takekoshi&author=H+Ohta&volume=20&publication_year=1982&pages=348-351& (accessed on 12 October 2023).
- Werner, J.; Fritz, S.; Büchler, M.W. Intraductal papillary mucinous neoplasms of the pancreas—A surgical disease. Nat. Rev. Gastroenterol. Hepatol. 2012, 9, 253–259. [Google Scholar] [CrossRef]
- Klöppel, G.; Solcia, E.; Sobin, L.H.; Longnecker, D.S.; Capella, C. (Eds.) Histological Classification of Tumours of the Exocrine Pancreas. In Histological Typing of Tumours of the Exocrine Pancreas; World Health Organization International Histological Classification of Tumours; Springer: Berlin/Heidelberg, Germany, 1996; pp. 7–9. Available online: https://link.springer.com/chapter/10.1007/978-3-642-61024-0_2 (accessed on 12 October 2023).
- Furukawa, T.; Klöppel, G.; Volkan Adsay, N.; Albores-Saavedra, J.; Fukushima, N.; Horii, A.; Hruban, R.H.; Kato, Y.; Klimstra, D.S.; Longnecker, D.S.; et al. Classification of types of intraductal papillary-mucinous neoplasm of the pancreas: A consensus study. Virchows Arch. Int. J. Pathol. 2005, 447, 794–799. [Google Scholar] [CrossRef]
- Tanaka, M.; Chari, S.; Adsay, V.; Castillo, F.-D.C.; Falconi, M.; Shimizu, M.; Yamaguchi, K.; Yamao, K.; Matsuno, S. International consensus guidelines for management of intraductal papillary mucinous neoplasms and mucinous cystic neoplasms of the pancreas. Pancreatology 2006, 6, 17–32. [Google Scholar] [CrossRef]
- Tanaka, M.; Fernández-del Castillo, C.; Adsay, V.; Chari, S.; Falconi, M.; Jang, J.-Y.; Kimura, W.; Levy, P.; Pitman, M.B.; Schmidt, C.M.; et al. International consensus guidelines 2012 for the management of IPMN and MCN of the pancreas. Pancreatology 2012, 12, 183–197. [Google Scholar] [CrossRef] [PubMed]
- Elta, G.H.; Enestvedt, B.K.; Sauer, B.G.; Lennon, A.M. ACG Clinical Guideline: Diagnosis and Management of Pancreatic Cysts. Am. J. Gastroenterol. 2018, 113, 464–479. [Google Scholar] [CrossRef]
- Stark, A.; Donahue, T.R.; Reber, H.A.; Hines, O.J. Pancreatic Cyst Disease: A Review. JAMA 2016, 315, 1882–1893. [Google Scholar] [CrossRef]
- Roch, A.M.; Ceppa, E.P.; Al-Haddad, M.A.; DeWitt, J.M.; House, M.G.; Zyromski, N.J.; Nakeeb, A.; Schmidt, C.M. The natural history of main duct-involved, mixed-type intraductal papillary mucinous neoplasm: Parameters predictive of progression. Ann. Surg. 2014, 260, 680–688, discussion 688–690. [Google Scholar] [CrossRef]
- Klibansky, D.A.; Reid-Lombardo, K.M.; Gordon, S.R.; Gardner, T.B. The clinical relevance of the increasing incidence of intraductal papillary mucinous neoplasm. Clin. Gastroenterol. Hepatol. 2012, 10, 555–558. [Google Scholar] [CrossRef] [PubMed]
- SEER. Cancer of the Pancreas—Cancer Stat Facts. Available online: https://seer.cancer.gov/statfacts/html/pancreas.html (accessed on 19 October 2023).
- Gardner, T.B.; Glass, L.M.; Smith, K.D.; Ripple, G.H.; Barth, R.J.; Klibansky, D.A.; Colacchio, T.A.; Tsapakos, M.J.; Suriawinata, A.A.; Tsongalis, G.J.; et al. Pancreatic cyst prevalence and the risk of mucin-producing adenocarcinoma in US adults. Am. J. Gastroenterol. 2013, 108, 1546–1550. [Google Scholar] [CrossRef] [PubMed]
- Choi, S.H.; Park, S.H.; Kim, K.W.; Lee, J.Y.; Lee, S.S. Progression of Unresected Intraductal Papillary Mucinous Neoplasms of the Pancreas to Cancer: A Systematic Review and Meta-analysis. Clin. Gastroenterol. Hepatol. 2017, 15, 1509–1520.e4. [Google Scholar] [CrossRef]
- Scheiman, J.M.; Hwang, J.H.; Moayyedi, P. American gastroenterological association technical review on the diagnosis and management of asymptomatic neoplastic pancreatic cysts. Gastroenterology 2015, 148, 824–848.e22. [Google Scholar] [CrossRef] [PubMed]
- Rodriguez, J.R.; Salvia, R.; Crippa, S.; Warshaw, A.L.; Bassi, C.; Falconi, M.; Thayer, S.P.; Lauwers, G.Y.; Capelli, P.; Mino-Kenudson, M.; et al. Branch-duct intraductal papillary mucinous neoplasms: Observations in 145 patients who underwent resection. Gastroenterology 2007, 133, 72–79, quiz 309–310. [Google Scholar] [CrossRef]
- Terris, B.; Ponsot, P.; Paye, F.; Hammel, P.; Sauvanet, A.; Molas, G.; Bernades, P.; Belghiti, J.; Ruszniewski, P.; Fléjou, J.F. Intraductal papillary mucinous tumors of the pancreas confined to secondary ducts show less aggressive pathologic features as compared with those involving the main pancreatic duct. Am. J. Surg. Pathol. 2000, 24, 1372–1377. [Google Scholar] [CrossRef] [PubMed]
- Tanaka, M.; Fernández-del Castillo, C.; Kamisawa, T.; Jang, J.Y.; Levy, P.; Ohtsuka, T.; Salvia, R.; Shimizu, Y.; Tada, M.; Wolfgang, C.L. Revisions of international consensus Fukuoka guidelines for the management of IPMN of the pancreas. Pancreatology 2017, 17, 738–753. [Google Scholar] [CrossRef] [PubMed]
- Vege, S.S.; Ziring, B.; Jain, R.; Moayyedi, P.; Adams, M.A.; Dorn, S.D.; Dudley-Brown, S.L.; Flamm, S.L.; Gellad, Z.F.; Gruss, C.B.; et al. American gastroenterological association institute guideline on the diagnosis and management of asymptomatic neoplastic pancreatic cysts. Gastroenterology 2015, 148, 819–822, quiz 12–13. [Google Scholar] [CrossRef]
- European Study Group on Cystic Tumours of the Pancreas. European evidence-based guidelines on pancreatic cystic neoplasms. Gut 2018, 67, 789–804. [Google Scholar] [CrossRef]
- Dbouk, M.; Gutierrez, O.I.B.; Lennon, A.M.; Chuidian, M.; Shin, E.J.; Kamel, I.R.; Fishman, E.K.; He, J.; Burkhart, R.A.; Wolfgang, C.L.; et al. Guidelines on management of pancreatic cysts detected in high-risk individuals: An evaluation of the 2017 Fukuoka guidelines and the 2020 International Cancer of the Pancreas Screening (CAPS) consortium statements. Pancreatology 2021, 21, 613–621. [Google Scholar] [CrossRef]
- Overbeek, K.A.; Koopmann, B.D.; Levink, I.J.; Tacelli, M.; Erler, N.S.; Arcidiacono, P.G.; Ausems, M.G.; Wagner, A.; van Eijck, C.H.; Koerkamp, B.G.; et al. Intraductal Papillary Mucinous Neoplasms in High-Risk Individuals: Incidence, Growth Rate, and Malignancy Risk. Clin. Gastroenterol. Hepatol. 2024, 22, 62–71.e7. [Google Scholar] [CrossRef]
- Gomez, D.; Rahman, S.H.; Wong, L.F.; Verbeke, C.S.; Menon, K.V. Predictors of malignant potential of cystic lesions of the pancreas. Eur. J. Surg. Oncol. 2008, 34, 876–882. [Google Scholar] [CrossRef]
- Zhang, C.; Dong, S.; Wang, L.; Yu, S.; Zheng, Y.; Geng, Y.; Shen, X.; Ying, H.; Guo, Y.; Yu, J.; et al. Prognostic values of common clinical parameters in advanced pancreatic ductal adenocarcinoma: A large multicenter cohort study of ten years. Discov. Med. 2018, 25, 91–98. [Google Scholar]
- He, M.; Liu, Y.; Huang, H.; Wu, J.; Wu, J.; Wang, R.; Wang, D. Serum aspartate aminotransferase is an adverse prognostic indicator for patients with resectable pancreatic ductal adenocarcinoma. Lab. Med. 2023, 54, 608–612. [Google Scholar] [CrossRef] [PubMed]
- Wiesenauer, C.A.; Schmidt, C.M.; Cummings, O.W.; Yiannoutsos, C.T.; Howard, T.J.; Wiebke, E.A.; Madura, J.A. Preoperative predictors of malignancy in pancreatic intraductal papillary mucinous neoplasms. Arch. Surg. 2003, 138, 610–617, discussion 617–618. [Google Scholar] [CrossRef] [PubMed]
- Xiao, Y.; Yang, H.; Lu, J.; Li, D.; Xu, C.; Risch, H.A. Serum gamma-glutamyltransferase and the overall survival of metastatic pancreatic cancer. BMC Cancer 2019, 19, 1020. [Google Scholar] [CrossRef] [PubMed]
- Mok, Y.; Son, D.K.; Yun, Y.D.; Jee, S.H.; Samet, J.M. γ-Glutamyltransferase and cancer risk: The Korean cancer prevention study. Int. J. Cancer 2016, 138, 311–319. [Google Scholar] [CrossRef]
- Kunutsor, S.K.; Laukkanen, J.A. Gamma-glutamyltransferase and risk of prostate cancer: Findings from the KIHD prospective cohort study. Int. J. Cancer 2017, 140, 818–824. [Google Scholar] [CrossRef]
- Strasak, A.M.; Goebel, G.; Concin, H.; Pfeiffer, R.M.; Brant, L.J.; Nagel, G.; Oberaigner, W.; Concin, N.; Diem, G.; Ruttmann, E.; et al. Prospective study of the association of serum gamma-glutamyltransferase with cervical intraepithelial neoplasia III and invasive cervical cancer. Cancer Res. 2010, 70, 3586–3593. [Google Scholar] [CrossRef] [PubMed]
- Maker, A.V.; Katabi, N.; Qin, L.X.; Klimstra, D.S.; Schattner, M.; Brennan, M.F.; Jarnagin, W.R.; Allen, P.J. Cyst fluid interleukin-1beta (IL1beta) levels predict the risk of carcinoma in intraductal papillary mucinous neoplasms of the pancreas. Clin. Cancer Res. 2011, 17, 1502–1508. [Google Scholar] [CrossRef]
- Sadot, E.; Basturk, O.; Klimstra, D.S.; Gönen, M.; Lokshin, A.; Do, R.K.G.; D’Angelica, M.I.; DeMatteo, R.P.; Kingham, T.P.; Jarnagin, W.R.; et al. Tumor-associated Neutrophils and Malignant Progression in Intraductal Papillary Mucinous Neoplasms: An Opportunity for Identification of High-risk Disease. Ann. Surg. 2015, 262, 1102–1107. [Google Scholar] [CrossRef]
- Masaki, Y.; Koshita, S.; Noda, Y.; Kanno, Y.; Ogawa, T.; Masu, K.; Sawai, T.; Ito, K. Should we regard all main duct type intraductal papillary mucinous neoplasms of the pancreas (MD-IPMN) as an indication of surgery?—A retrospective study in 29 patients with MD-IPMN showing mural nodules. Pancreatology 2019, 19, 352–359. [Google Scholar] [CrossRef]
- Uehara, H.; Abe, Y.; Kai, Y.; Takada, R.; Yamai, T.; Nakabori, T.; Ikezawa, K.; Takahashi, H.; Ohkawa, K. Predictors of malignancy in main duct intraductal papillary mucinous neoplasm of the pancreas. Gastrointest. Endosc. 2022, 95, 291–296. [Google Scholar] [CrossRef] [PubMed]
- Kim, T.H.; Song, T.J.; Lee, S.O.; Park, C.H.; Moon, J.H.; Pih, G.Y.; Oh, D.W.; Woo, S.M.; Yang, Y.J.; Kim, M.H. Main duct and mixed type intraductal papillary mucinous neoplasms without enhancing mural nodules: Duct diameter of less than 10 mm and segmental dilatation of main pancreatic duct are findings support surveillance rather than immediate surgery. Pancreatology 2019, 19, 1054–1060. [Google Scholar] [CrossRef] [PubMed]
- Sugimoto, M.; Elliott, I.A.; Nguyen, A.H.; Kim, S.; Muthusamy, V.R.; Watson, R.; Hines, O.J.; Dawson, D.W.; Reber, H.A.; Donahue, T.R. Assessment of a Revised Management Strategy for Patients with Intraductal Papillary Mucinous Neoplasms Involving the Main Pancreatic Duct. JAMA Surg. 2017, 152, e163349. [Google Scholar] [CrossRef]
- Ceppa, E.P.; Roch, A.M.; Cioffi, J.L.; Sharma, N.; Easler, J.J.; DeWitt, J.M.; House, M.G.; Zyromski, N.J.; Nakeeb, A.; Schmidt, C.M. Invasive, mixed-type intraductal papillary mucinous neoplasm: Superior prognosis compared to invasive main-duct intraductal papillary mucinous neoplasm. Surgery 2015, 158, 937–944, discussion 944–945. [Google Scholar] [CrossRef] [PubMed]








| Gender, male (%) | 40 (47.6) | IPMN type | |
| Age at IPMN diagnosis (mean, SD) | 72.4, 9.3 | Mixed-IPMN | 65 (82.1) |
| Age at first MRCP (mean, SD) | 74.0, 9.0 | MD-IPMN | 15 (17.9) |
| Time (months) from diagnosis to first MRCP (median, IQR) | 6.3, 2.4–19.2 | Pancreatic cyst location | |
| DM (%) | 35 (41.7) | Head | 23 (27.4) |
| BMI | Uncinate | 7 (8.4) | |
| 18.5> | 3 (3.6) | Neck | 1 (1.2) |
| 24.9–18.5 | 15 (17.9) | Body | 18 (21.4) |
| 29.9–25 | 44 (52.4) | Tail | 6 (7.1) |
| 30< | 22 (26.2) | Multiple location | 29 (34.5) |
| Dyslipidemia (%) | 48 (57.1) | ||
| Smoking (past/present) (%) | 29 (34.5) | ||
| Ethanol use (%) | 1 (1) | ||
| Previous pancreatitis (%) | 6 (7.1) | ||
| Liver diseases (%) | 18 (21.4) | ||
| Previous malignancies (%) | 18 (21.4) | ||
| FH of PDAC (%) | 12 (14.3) | ||
Disclaimer/Publisher’s Note: The statements, opinions and data contained in all publications are solely those of the individual author(s) and contributor(s) and not of MDPI and/or the editor(s). MDPI and/or the editor(s) disclaim responsibility for any injury to people or property resulting from any ideas, methods, instructions or products referred to in the content. |
© 2024 by the authors. Licensee MDPI, Basel, Switzerland. This article is an open access article distributed under the terms and conditions of the Creative Commons Attribution (CC BY) license (https://creativecommons.org/licenses/by/4.0/).
Share and Cite
Tzadok, R.; Kessner, R.; Ritter, E.; Aizic, A.; Yashar, H.; Lazar, S.; Katz, Y.; Ronen-Amsalem, Z.; Chernomorets, A.; Shibolet, O.; et al. Utility of Radiological Follow Up of Main-Duct Intraductal Papillary Mucinous Neoplasms and Mixed-Type Intraductal Papillary Mucinous Neoplasms. Biomedicines 2024, 12, 1437. https://doi.org/10.3390/biomedicines12071437
Tzadok R, Kessner R, Ritter E, Aizic A, Yashar H, Lazar S, Katz Y, Ronen-Amsalem Z, Chernomorets A, Shibolet O, et al. Utility of Radiological Follow Up of Main-Duct Intraductal Papillary Mucinous Neoplasms and Mixed-Type Intraductal Papillary Mucinous Neoplasms. Biomedicines. 2024; 12(7):1437. https://doi.org/10.3390/biomedicines12071437
Chicago/Turabian StyleTzadok, Roie, Rivka Kessner, Einat Ritter, Asaf Aizic, Hila Yashar, Sapir Lazar, Yuval Katz, Zur Ronen-Amsalem, Arthur Chernomorets, Oren Shibolet, and et al. 2024. "Utility of Radiological Follow Up of Main-Duct Intraductal Papillary Mucinous Neoplasms and Mixed-Type Intraductal Papillary Mucinous Neoplasms" Biomedicines 12, no. 7: 1437. https://doi.org/10.3390/biomedicines12071437
APA StyleTzadok, R., Kessner, R., Ritter, E., Aizic, A., Yashar, H., Lazar, S., Katz, Y., Ronen-Amsalem, Z., Chernomorets, A., Shibolet, O., & Ben-Ami Shor, D. (2024). Utility of Radiological Follow Up of Main-Duct Intraductal Papillary Mucinous Neoplasms and Mixed-Type Intraductal Papillary Mucinous Neoplasms. Biomedicines, 12(7), 1437. https://doi.org/10.3390/biomedicines12071437

