Metabolomic Profiling of Mice with Tacrolimus-Induced Nephrotoxicity: Carnitine Deficiency in Renal Tissue
Abstract
1. Introduction
2. Materials and Methods
2.1. Animals and TAC Administration Protocol
2.2. Pathological Analysis
2.3. Quantitative PCR Analysis
2.4. Metabolome Analysis
2.5. Detailed Analysis of Carnitine and Acylcarnitines
2.6. Statistical Analysis
3. Results
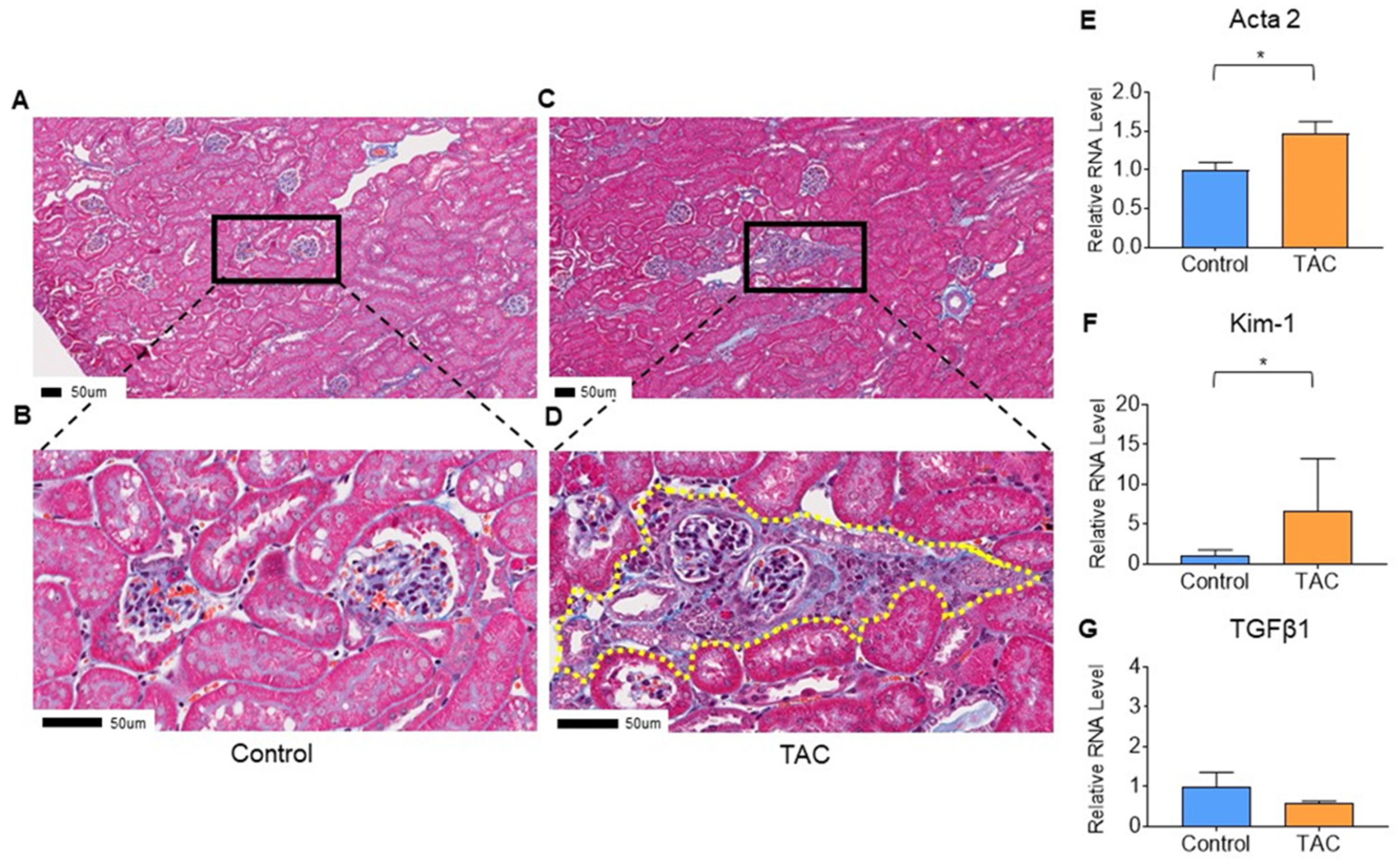
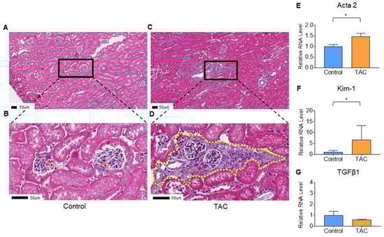
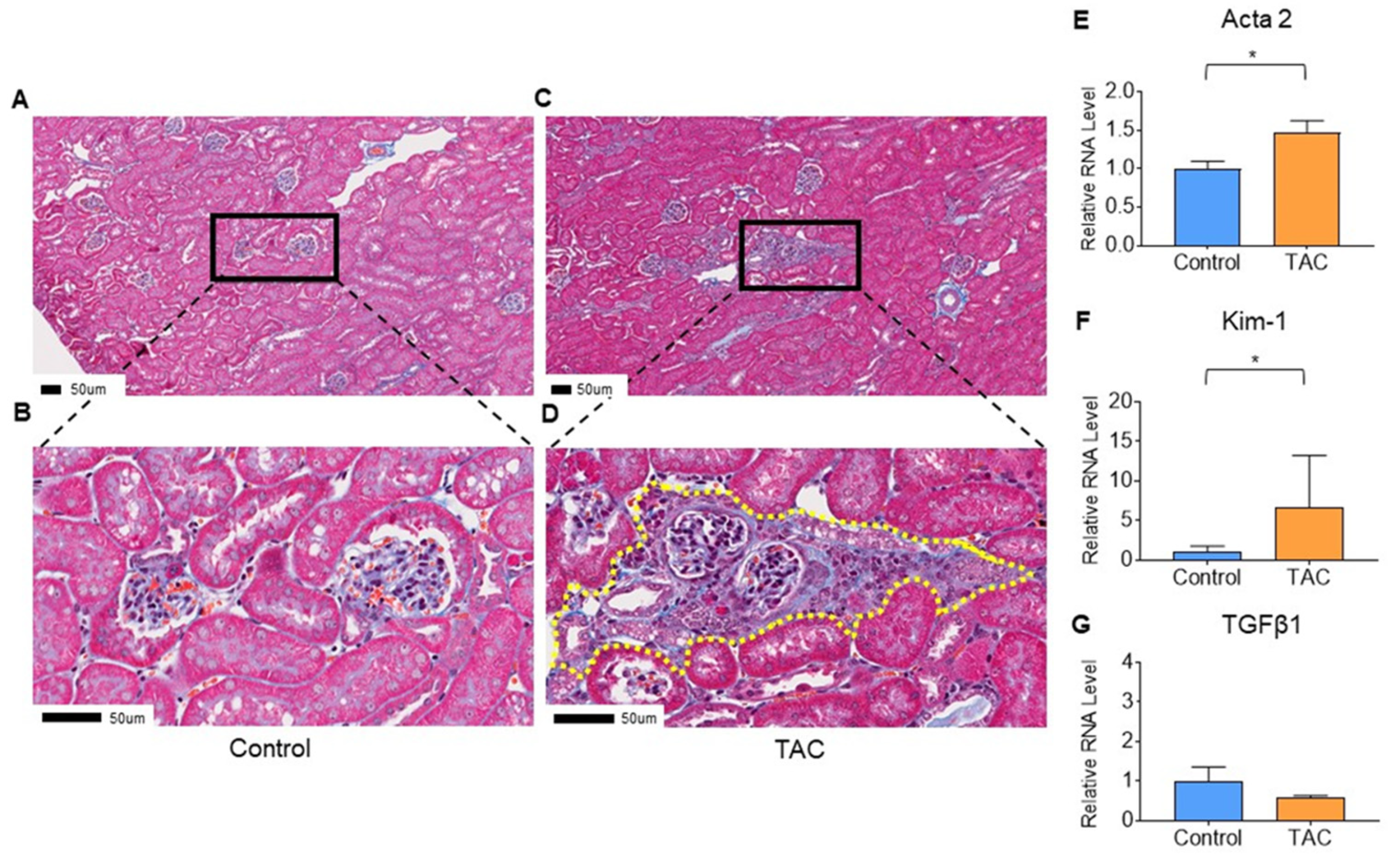
3.1. Evaluation of Mice and Renal Fibrosis
3.2. Quantitative PCR
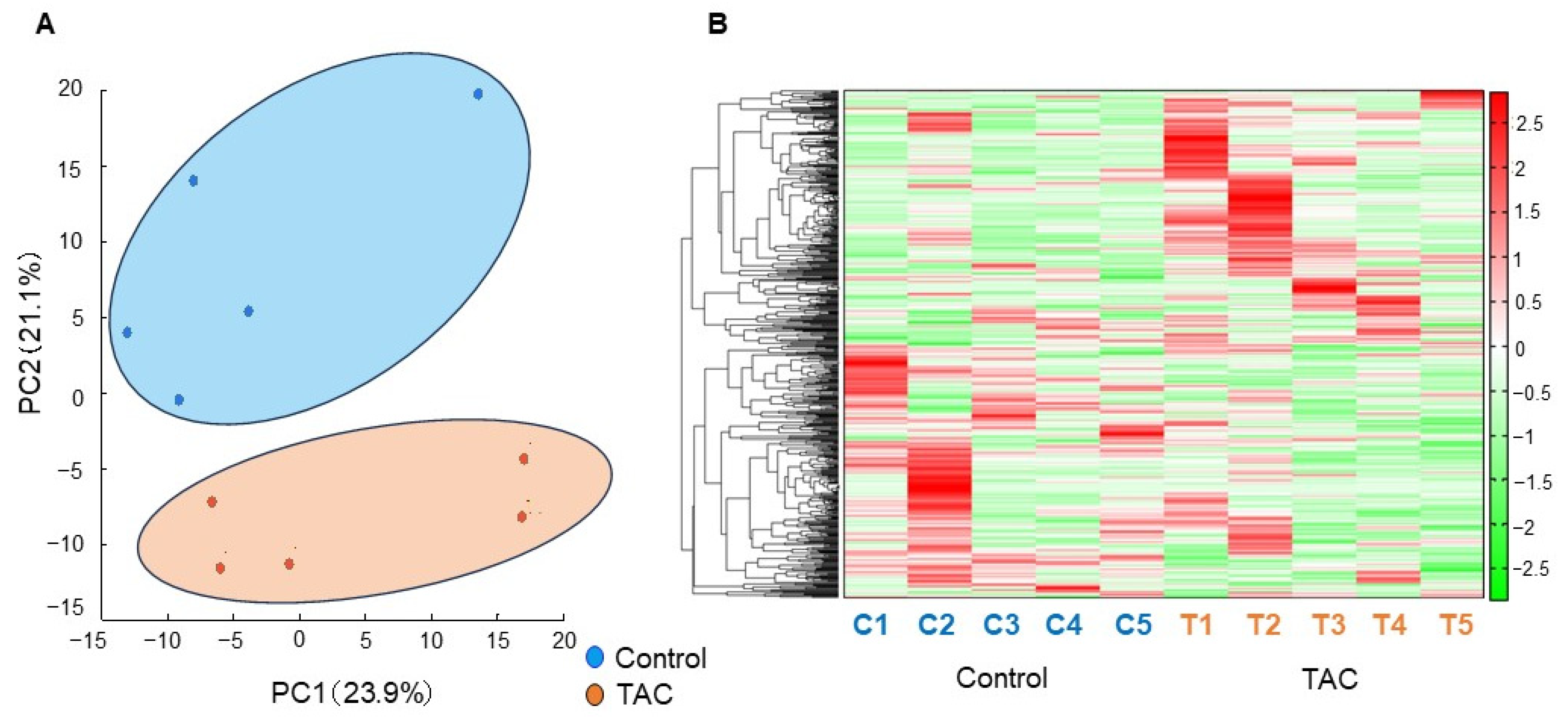
3.3. Metabolite Detection Results by Metabolome Analysis
3.4. Detailed Analysis of Carnitine and Acylcarnitine in Renal Tissue
4. Discussion
5. Conclusions
Supplementary Materials
Author Contributions
Funding
Institutional Review Board Statement
Informed Consent Statement
Data Availability Statement
Conflicts of Interest
References
- Ekberg, H.; Tedesco-Silva, H.; Demirbas, A.; Vítko, Š.; Nashan, B.; Gürkan, A.; Margreiter, R.; Hugo, C.; Grinyó, J.M.; Frei, U.; et al. Reduced Exposure to Calcineurin Inhibitors in Renal Transplantation. N. Engl. J. Med. 2007, 357, 2562–2575. [Google Scholar] [CrossRef]
- Wojciechowski, D.; Wiseman, A. Long-Term Immunosuppression Management: Opportunities and Uncertainties. Clin. J. Am. Soc. Nephrol. 2021, 16, 1264–1271. [Google Scholar] [CrossRef]
- Farouk, S.S.; Rein, J.L. The Many Faces of Calcineurin Inhibitor Toxicity—What the FK? Adv. Chronic Kidney Dis. 2020, 27, 56–66. [Google Scholar] [CrossRef]
- Nankivell, B.J.; Borrows, R.J.; Fung, C.L.S.; O’Connell, P.J.; Allen, R.D.M.; Chapman, J.R. The Natural History of Chronic Allograft Nephropathy. N. Engl. J. Med. 2003, 349, 2326–2333. [Google Scholar] [CrossRef]
- Bentata, Y. Tacrolimus: 20 years of use in adult kidney transplantation. What we should know about its nephrotoxicity. Artif. Organs 2020, 44, 140–152. [Google Scholar] [CrossRef]
- Ojo, A.O. Renal disease in recipients of nonrenal solid organ transplantation. Semin. Nephrol. 2007, 27, 498–507. [Google Scholar] [CrossRef] [PubMed]
- Zhou, X.; Yang, G.; Davis, C.A.; Doi, S.Q.; Hirszel, P.; Wingo, C.S.; Agarwal, A. Hydrogen peroxide mediates FK506-induced cytotoxicity in renal cells. Kidney Int. 2004, 65, 139–147. [Google Scholar] [CrossRef] [PubMed][Green Version]
- Randhawa, P.S.; Shapiro, R.; Jordan, M.L.; Starzl, T.E.; Demetris, A.J. The Histopathological Changes Associated with Allograft Rejection and Drug Toxicity in Renal Transplant Recipients Maintained on FK506. Am. J. Surg. Pathol. 1993, 17, 60–68. [Google Scholar] [CrossRef] [PubMed]
- Wang, Y.-N.; Ma, S.-X.; Chen, Y.-Y.; Chen, L.; Liu, B.-L.; Liu, Q.-Q.; Zhao, Y.-Y. Chronic kidney disease: Biomarker diagnosis to therapeutic targets. Clin. Chim. Acta 2019, 499, 54–63. [Google Scholar] [CrossRef]
- Khattri, R.B.; Thome, T.; Ryan, T.E. Tissue-Specific 1H-NMR Metabolomic Profiling in Mice with Adenine-Induced Chronic Kidney Disease. Metabolites 2021, 11, 45. [Google Scholar] [PubMed]
- Kikuchi, H.; Sasaki, E.; Nomura, N.; Mori, T.; Minamishima, Y.A.; Yoshizaki, Y.; Takahashi, N.; Furusho, T.; Arai, Y.; Mandai, S.; et al. Failure to sense energy depletion may be a novel therapeutic target in chronic kidney disease. Kidney Int. 2019, 95, 123–137. [Google Scholar] [CrossRef]
- Vandenbussche, C.; Van der Hauwaert, C.; Dewaeles, E.; Franczak, J.; Hennino, M.F.; Gnemmi, V.; Savary, G.; Tavernier, Q.; Nottet, N.; Paquet, A.; et al. Tacrolimus-induced nephrotoxicity in mice is associated with microRNA deregulation. Arch. Toxicol. 2018, 92, 1539–1550. [Google Scholar] [CrossRef]
- Han, D.H.; Piao, S.G.; Song, J.H.; Ghee, J.Y.; Hwang, H.S.; Choi, B.S.; Kim, J.; Yang, C.W. Effect of sirolimus on calcineurin inhibitor-induced nephrotoxicity using renal expression of KLOTHO, an antiaging gene. Transplantation 2010, 90, 135–141. [Google Scholar] [CrossRef]
- Ooga, T.; Sato, H.; Nagashima, A.; Sasaki, K.; Tomita, M.; Soga, T.; Ohashi, Y. Metabolomic anatomy of an animal model revealing homeostatic imbalances in dyslipidaemia. Mol. Biosyst. 2011, 7, 1217–1223. [Google Scholar] [CrossRef]
- Sasaki, K.; Sagawa, H.; Suzuki, M.; Yamamoto, H.; Tomita, M.; Soga, T.; Ohashi, Y. Metabolomics Platform with Capillary Electrophoresis Coupled with High-Resolution Mass Spectrometry for Plasma Analysis. Anal. Chem. 2019, 91, 1295–1301. [Google Scholar] [CrossRef]
- Sugimoto, M.; Wong, D.T.; Hirayama, A.; Soga, T.; Tomita, M. Capillary electrophoresis mass spectrometry-based saliva metabolomics identified oral, breast and pancreatic cancer-specific profiles. Metabolomics 2010, 6, 78–95. [Google Scholar] [CrossRef]
- Xie, D.; Guo, J.; Dang, R.; Li, Y.; Si, Q.; Han, W.; Wang, S.; Wei, N.; Meng, J.; Wu, L. The effect of tacrolimus-induced toxicity on metabolic profiling in target tissues of mice. BMC Pharmacol. Toxicol. 2022, 23, 87. [Google Scholar] [CrossRef] [PubMed]
- Chen, S.; Liu, Y.H.; Dai, D.P.; Zhu, Z.B.; Dai, Y.; Wu, Z.M.; Zhang, L.P.; Duan, Z.F.; Lu, L.; Ding, F.H.; et al. Using circulating O-sulfotyrosine in the differential diagnosis of acute kidney injury and chronic kidney disease. BMC Nephrol. 2021, 22, 66. [Google Scholar] [CrossRef] [PubMed]
- Dutta, S.; Sengupta, P. Men and mice: Relating their ages. Life Sci. 2016, 152, 244–248. [Google Scholar] [CrossRef] [PubMed]
- Oyanagi, E.; Yano, H.; Uchida, M.; Utsumi, K.; Sasaki, J. Protective action of L-carnitine on cardiac mitochondrial function and structure against fatty acid stress. Biochem. Biophys. Res. Commun. 2011, 412, 61–67. [Google Scholar] [CrossRef]
- Lee, Y.-C.G.; Chou, H.-C.; Chen, Y.-T.; Tung, S.-Y.; Ko, T.-L.; Buyandelger, B.; Wen, L.-L.; Juan, S.-H. L-Carnitine reduces reactive oxygen species/endoplasmic reticulum stress and maintains mitochondrial function during autophagy-mediated cell apoptosis in perfluorooctanesulfonate-treated renal tubular cells. Sci. Rep. 2022, 12, 4673. [Google Scholar] [CrossRef]
- Zambrano, S.; Blanca, A.J.; Ruiz-Armenta, M.V.; Miguel-Carrasco, J.L.; Arévalo, M.; Mate, A.; Vázquez, C.M. L-carnitine attenuates the development of kidney fibrosis in hypertensive rats by upregulating PPAR-γ. Am. J. Hypertens. 2014, 27, 460–470. [Google Scholar] [CrossRef]
- Zheng, H.-L.; Zhang, H.-Y.; Zhu, C.-L.; Li, H.-Y.; Cui, S.; Jin, J.; Piao, S.-G.; Jiang, Y.-J.; Xuan, M.-Y.; Jin, J.-Z.; et al. L-Carnitine protects against tacrolimus-induced renal injury by attenuating programmed cell death via PI3K/AKT/PTEN signaling. Acta Pharmacol. Sin. 2021, 42, 77–87. [Google Scholar] [CrossRef]
- Longo, N.; Frigeni, M.; Pasquali, M. Carnitine transport and fatty acid oxidation. Biochim. Biophys. Acta (BBA) Mol. Cell Res. 2016, 1863, 2422–2435. [Google Scholar] [CrossRef]
- Wang, J.; Zhou, Y.; Zhang, D.; Zhao, W.; Lu, Y.; Liu, C.; Lin, W.; Zhang, Y.; Chen, K.; Wang, H.; et al. CRIP1 suppresses BBOX1-mediated carnitine metabolism to promote stemness in hepatocellular carcinoma. Embo J. 2022, 41, e110218. [Google Scholar] [CrossRef]
- Vaz, F.M.; van Gool, S.; Ofman, R.; Ijlst, L.; Wanders, R.J. Carnitine biosynthesis: Identification of the cDNA encoding human gamma-butyrobetaine hydroxylase. Biochem. Biophys. Res. Commun. 1998, 250, 506–510. [Google Scholar] [CrossRef]
- Glube, N.; Closs, E.; Langguth, P. OCTN2-mediated carnitine uptake in a newly discovered human proximal tubule cell line (Caki-1). Mol. Pharm. 2007, 4, 160–168. [Google Scholar] [CrossRef] [PubMed]
- Tanaka, M.; Nakamura, F.; Mizokawa, S.; Matsumura, A.; Matsumura, K.; Watanabe, Y. Role of acetyl-L-carnitine in the brain: Revealed by Bioradiography. Biochem. Biophys. Res. Commun. 2003, 306, 1064–1069. [Google Scholar] [CrossRef] [PubMed]
- Hatse, S.; De Clercq, E.; Balzarini, J. Role of antimetabolites of purine and pyrimidine nucleotide metabolism in tumor cell differentiation. Biochem. Pharmacol. 1999, 58, 539–555. [Google Scholar] [CrossRef] [PubMed]
- Chen, L.; Chen, D.-Q.; Liu, J.-R.; Zhang, J.; Vaziri, N.D.; Zhuang, S.; Chen, H.; Feng, Y.-L.; Guo, Y.; Zhao, Y.-Y. Unilateral ureteral obstruction causes gut microbial dysbiosis and metabolome disorders contributing to tubulointerstitial fibrosis. Exp. Mol. Med. 2019, 51, 1–18. [Google Scholar] [CrossRef] [PubMed]
- Dubin, R.F.; Rhee, E.P. Proteomics and Metabolomics in Kidney Disease, including Insights into Etiology, Treatment, and Prevention. Clin. J. Am. Soc. Nephrol. 2020, 15, 404–411. [Google Scholar] [CrossRef]
- Distelmaier, F.; Klopstock, T. Neuroimaging in mitochondrial disease. Handb. Clin. Neurol. 2023, 194, 173–185. [Google Scholar]
- Luo, K.; Yu, J.H.; Quan, Y.; Shin, Y.J.; Lee, K.E.; Kim, H.L.; Ko, E.J.; Chung, B.H.; Lim, S.W.; Yang, C.W. Therapeutic potential of coenzyme Q10 in mitochondrial dysfunction during tacrolimus-induced beta cell injury. Sci. Rep. 2019, 9, 7995. [Google Scholar] [CrossRef]
- Mlejnek, P.; Dolezel, P.; Kriegova, E.; Pastvova, N. N-acetylcysteine Can Induce Massive Oxidative Stress, Resulting in Cell Death with Apoptotic Features in Human Leukemia Cells. Int. J. Mol. Sci. 2021, 22, 12635. [Google Scholar] [CrossRef] [PubMed]
- Catanesi, M.; Brandolini, L.; d’Angelo, M.; Tupone, M.G.; Benedetti, E.; Alfonsetti, M.; Quintiliani, M.; Fratelli, M.; Iaconis, D.; Cimini, A.; et al. S-Carboxymethyl Cysteine Protects against Oxidative Stress and Mitochondrial Impairment in a Parkinson’s Disease In Vitro Model. Biomedicines 2021, 9, 1467. [Google Scholar] [CrossRef]
- Chen, M.; Tan, M.; Jing, M.; Liu, A.; Liu, Q.; Wen, S.; Chen, Z.; Chao, X.; He, X.; Ramassamy, C.; et al. Berberine protects homocysteic acid-induced HT-22 cell death: Involvement of Akt pathway. Metab. Brain Dis. 2015, 30, 137–142. [Google Scholar] [CrossRef]
- Holdsworth, S.R.; Summers, S.A. Role of mast cells in progressive renal diseases. J. Am. Soc. Nephrol. 2008, 19, 2254–2261. [Google Scholar] [CrossRef]
- Grange, C.; Gurrieri, M.; Verta, R.; Fantozzi, R.; Pini, A.; Rosa, A.C. Histamine in the kidneys: What is its role in renal pathophysiology? Br. J. Pharmacol. 2020, 177, 503–515. [Google Scholar] [CrossRef]
- Li, Y.; Liu, F.Y.; Peng, Y.M.; Li, J.; Chen, J. Mast cell, a promising therapeutic target in tubulointerstitial fibrosis. Med. Hypotheses 2007, 69, 99–103. [Google Scholar] [CrossRef] [PubMed]
- Pini, A.; Grange, C.; Veglia, E.; Argenziano, M.; Cavalli, R.; Guasti, D.; Calosi, L.; Ghè, C.; Solarino, R.; Thurmond, R.L.; et al. Histamine H(4) receptor antagonism prevents the progression of diabetic nephropathy in male DBA2/J mice. Pharmacol. Res. 2018, 128, 18–28. [Google Scholar] [CrossRef] [PubMed]







| Tissue Metabolites | Ratio | p-Value |
|---|---|---|
| Carboxymethyllysine | 1.3 | 0.040 |
| myo-Inositol 2-phosphate | 1.3 | 0.010 |
| Imidazole-4-methanol | 1.3 | 0.043 |
| 3-Guanidinopropionic acid | 1.3 | 0.034 |
| Lactic acid | 1.3 | 0.039 |
| H-Asp(Gly-OH)-OH | 1.4 | 0.004 |
| Sedoheptulose 7-phosphate | 1.4 | 0.042 |
| Thymine | 1.4 | 0.030 |
| N-Acetylthreonine | 1.5 | 0.026 |
| N-Acetyltaurine | 1.5 | 0.030 |
| γ-Carboxyglutamic acid | 1.5 | 0.001 |
| Sulfotyrosine | 1.6 | 0.003 |
| 2′-Deoxycytidine | 1.6 | 0.006 |
| Orotidine | 1.7 | 0.030 |
| N-Ethylmaleimide_+H O2 | 1.7 | 0.046 |
| Propionyl CoA_divalent | 1.8 | 0.039 |
| Imidazolelactic acid | 1.8 | 0.032 |
| Nicotinamide riboside | 1.8 | 0.039 |
| N-Acetylalanine | 1.8 | 0.023 |
| Acetylcholine | 1.8 | 0.032 |
| Glucaric acid | 1.9 | 0.002 |
| 1-Methyl-4-imidazoleacetic acid | 2.0 | 0.030 |
| 1-Methylnicotinamide | 2.0 | 0.036 |
| Ascorbate 2-sulfate | 2.3 | 0.034 |
| Dihydroxyacetone phosphate | 2.3 | 0.027 |
| Homocysteic acid | 2.4 | 0.036 |
| Histamine | 2.6 | 0.050 |
| 1-Methyladenosine | 2.8 | 0.048 |
| 2-Aminoisobutyric acid | 2.9 | 0.020 |
| 3-Methylcytidine | 2.9 | 0.043 |
| cCMP,2′,3′-cCMP | 3.0 | 0.017 |
| threo-β-Methylaspartic acid | 21 | 0.027 |
| Tissue Metabolites | Ratio | p-Value |
|---|---|---|
| S-Carboxymethylcysteine | 0.4 | 0.041 |
| Octanoyl CoA_divalent | 0.5 | 0.023 |
| Ethyl glucuronide | 0.5 | 0.020 |
| Lauroylcarnitine | 0.5 | 0.018 |
| Homoarginine | 0.5 | 0.002 |
| Malonylcarnitine | 0.6 | 0.0 |
| Capryloylglycine | 0.6 | 0.037 |
| Carnitine | 0.6 | 0.017 |
| Propionylcarnitine | 0.6 | 0.014 |
| N-Acetylcysteine | 0.6 | 0.007 |
| Tiglylcarnitine | 0.6 | 0.015 |
| Ala-Ala | 0.6 | 0.026 |
| 3-Hydroxykynurenine | 0.7 | 0.033 |
| Gamma-Glu-Asp | 0.7 | 0.0007 |
| Octanoylcarnitine | 0.7 | 0.043 |
| Homoserine | 0.7 | 0.005 |
| Ornithine | 0.7 | 0.034 |
| Guanidoacetic acid | 0.7 | 0.023 |
| O-Acetylcarnitine | 0.7 | 0.006 |
| Creatine | 0.7 | 0.027 |
| N -Acetyllysine | 0.7 | 0.009 |
| 3-Hydroxyisovalerylcarnitine | 0.7 | 0.050 |
| Asparatic acid | 0.8 | 0.0007 |
| Citramalic acid | 0.8 | 0.047 |
| AMP | 0.8 | 0.020 |
| UMP | 0.8 | 0.001 |
| GDP-mannose, GDP-glucose | 0.8 | 0.003 |
| FAD_divalent | 0.8 | 0.037 |
| Pyridoxamine 5′-phosphate | 0.8 | 0.010 |
| Acetylpyrazine | 0.8 | 0.028 |
| Phosphoenolpyruvic acid | 0.8 | 0.037 |
| Arginine | 0.9 | 0.033 |
| UDP-N-acetylglucosamine | 0.9 | 0.042 |
Disclaimer/Publisher’s Note: The statements, opinions and data contained in all publications are solely those of the individual author(s) and contributor(s) and not of MDPI and/or the editor(s). MDPI and/or the editor(s) disclaim responsibility for any injury to people or property resulting from any ideas, methods, instructions or products referred to in the content. |
© 2024 by the authors. Licensee MDPI, Basel, Switzerland. This article is an open access article distributed under the terms and conditions of the Creative Commons Attribution (CC BY) license (https://creativecommons.org/licenses/by/4.0/).
Share and Cite
Nishida, S.; Ishima, T.; Kimura, N.; Iwami, D.; Nagai, R.; Imai, Y.; Aizawa, K. Metabolomic Profiling of Mice with Tacrolimus-Induced Nephrotoxicity: Carnitine Deficiency in Renal Tissue. Biomedicines 2024, 12, 521. https://doi.org/10.3390/biomedicines12030521
Nishida S, Ishima T, Kimura N, Iwami D, Nagai R, Imai Y, Aizawa K. Metabolomic Profiling of Mice with Tacrolimus-Induced Nephrotoxicity: Carnitine Deficiency in Renal Tissue. Biomedicines. 2024; 12(3):521. https://doi.org/10.3390/biomedicines12030521
Chicago/Turabian StyleNishida, Sho, Tamaki Ishima, Natsuka Kimura, Daiki Iwami, Ryozo Nagai, Yasushi Imai, and Kenichi Aizawa. 2024. "Metabolomic Profiling of Mice with Tacrolimus-Induced Nephrotoxicity: Carnitine Deficiency in Renal Tissue" Biomedicines 12, no. 3: 521. https://doi.org/10.3390/biomedicines12030521
APA StyleNishida, S., Ishima, T., Kimura, N., Iwami, D., Nagai, R., Imai, Y., & Aizawa, K. (2024). Metabolomic Profiling of Mice with Tacrolimus-Induced Nephrotoxicity: Carnitine Deficiency in Renal Tissue. Biomedicines, 12(3), 521. https://doi.org/10.3390/biomedicines12030521

