Diagnostic and Therapeutic Management of Primary Orbital Neuroendocrine Tumors (NETs): Systematic Literature Review and Clinical Case Presentation
Abstract
1. Introduction
2. Materials and Methods
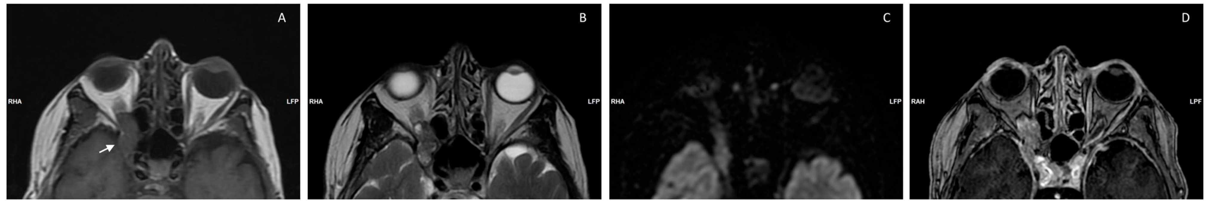
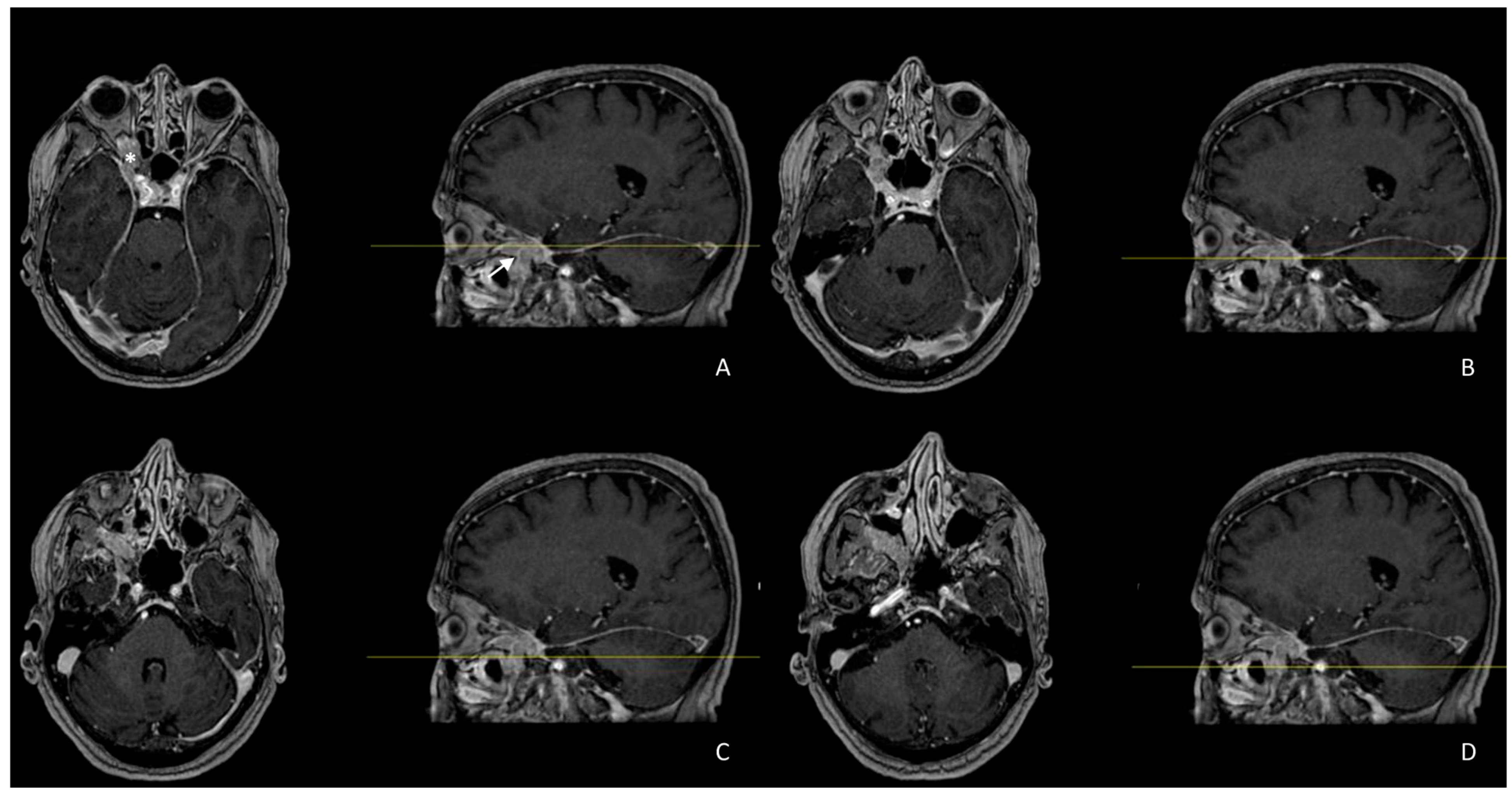
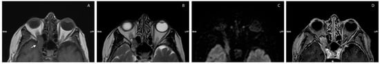
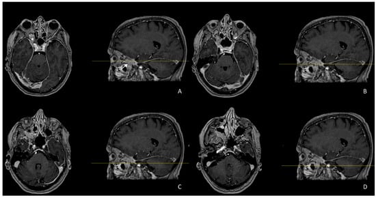
3. Case Presentation: Clinical History and Findings
4. Results
| First Author, Year of Publication | Type of the Study | Patients (n) | Age or Median Age | Site of Primary Tumor | Histotypes of Primary Tumor (WHO) | Treatment | Outcomes |
|---|---|---|---|---|---|---|---|
| Font, R.L., 1966 [31] | case report | 1 | 74 | Lung | NEN | Surgery | NA |
| Rush, J.A., 1980 [32] | case report | 1 | 58 | Colon | NEN | Surgery, radiotherapy | NA |
| Harris, A.L., 1981 [33] | case report | 1 | NA | NA | NA | NA | NA |
| Riddle, P.J., 1982 [17] | retrospective | 15 | 53 | LUNG (53.3%), GI (26.6%), NA (20%) | NETs | Surgery (80%), Chemotherapy (6.6%), Radiation (13.3) | OS 5.2 y |
| Zimmerman, L.E., 1983 [16] | case report | 1 | 71 | Orbit | Mixture of the histologic patterns | NA | NA |
| Shields, C.L., 1987 [15] | case report | 1 | 63 | Ileum | NEN | Surgery | NA |
| Harris, G.J., 1989 [34] | review | NA | NA | GI | NA | NA | NA |
| Shetlar, D.J., 1990 [8] | case report | 3 | 53.3 | GI (33.3%); Liver (33.3%); Unknown (33.3%) | NETs (66.6%); Unknown (33.3%) | Surgery (100%) | OS 4 y (33.3%), PFS 7.5y (33.3%); NA (33.3%) |
| Nida, T.Y., 1992 [35] | case report | 1 | 63 | Respiratory Tract | NEC | surgery | NA |
| Aburn, N.S., 1995 [36] | case report | 1 | 64 | Lung | AC | Local radiotherapy, chemotherapy | OS 1 y |
| Fan, J.T., 1995 [9] | case series | 7 | 59 | Bronchus (42.8%); Ileum (28.6%); Colon (14.3%); Unknown (14.3%) | NENs (100%) | Iodine 125 brachytherapy (28.6%); Chemotherapy (71.4%); Ruthenium brachytherapy (14.3%); Enucleation (14.3%); External beam irradiation (42.8%) | FU 7–8 y (57.1%); FU 1–2 y (42.9%) |
| El-Toukhy, E., 1996 [37] | case report | 1 | 45 | GI | NET | Surgery, Radiotherapy | NA |
| Hanson, M.W., 1998 [38] | case report | 1 | 76 | Ileum | Carcinoid tumor from Kulchitsky cells | NA | NA |
| Couch, D.A., 2000 [39] | case report | 2 | 50 | Pancreas; ileocecal tumour | Carcinoid tumor | Radiotherapy; Surgery | OS 2 mo; disappearance of symptoms after surgery |
| Khaw, P., 2001 [40] | case report | 2 | 58 | Mediastinum (50%); Kidney (50%) | AC (50%), NEN (50%) | Radiotherapy (100%) | No symptoms after treatment |
| Takemoto, Y., 2003 [41] | case report | 1 | 39 | Duodenum | NEN | Surgery | NA |
| Sivagnanavel, V., 2004 [42] | case report | 1 | 70 | NA | NET | Ocreotide therapy, | NA |
| Borota, O.C., 2005 [43] | case report | 1 | 61 | GI | NEN | Surgery, Interferon/Sandostatin | NA |
| Mehta, J.S., 2005 [11] | case series | 13 | 65.3 | Ileal (53.8%); Colon (30.7%); Bronchus (7.6%); Breast (7.6%) | NEN | Exenteration (30.7%); Radiotherapy after tumor debulking (38.4%); Radiotherapy alone (15.3%); Local radiotherapy with receptor-targeted chemotherapy (15.3%). | 5 y OS 72% |
| Kiratli, H., 2008 [44] | case report | 1 | 74 | Lung | AC | Cisplatin/Etoposide | NA |
| Mititelu, M., 2008 [23] | case report | 1 | 60 | Orbit | NET | Chemotherapy | OS 4 y |
| Bohman, E., 2009 [45] | case report | 1 | 69 | Midgut | NEN | Sandostatin | NA |
| Matsuo, T., 2010 [46] | case report | 1 | 72 | Retroperitoneum | WD-NET | Radiation | NA |
| Sira, M., 2010 [7] | case report | 1 | 78 | NA | NET | Octreotide therapy | OS 1 y |
| Gupta, A., 2011 [47] | case report | 4 | 61.9 | Pancreas (14.3%); Unknown (85.7%) | NETs (100%) | Chemotherapy (14.3%), Unknown (85.7%) | NA |
| Turaka, K., 2011 [48] | case series | 4 | 58–66 | GI (50%); lung (25%); testicle (25%). | NETs | Surgery (75%); external beam radiotherapy (50%) | FU 39 mo |
| Yang, M., 2011 [49] | case series | 3 | 63 | GI (33.3%), NA (66.6%) | NETs (66.6%), NEC (33.3%) | Surgery (100%), Radiotherapy (66.6%) | FU 3.5 y |
| Mehta, P., 2012 [50] | case series | 2 | 50 | Unspecified, with bone metastases; ileal carcinoid tumour | NENs | Octreotide therapy | In the first case, it was necessary to use occlusive lenses to control diplopia; in the second case, complete resolution of ptosis after treatment |
| Atik, A., 2013 [20] | case report | 1 | 35 | Right orbit | NEC | Surgery, Chemotherapy and Radiotherapy | OS 2 y |
| Dobson, R., 2013 [51] | case report | 1 | 65 | Midgut | NET | PRRT using Lu-DOTATATE | FU 14 mo |
| Peixoto, R.D., 2013 [52] | case report | 1 | 79 | GI | NET | Octreotide therapy, radiotherapy and Capecitabine/Temozolamide | NA |
| Kiratli, H., 2015 [53] | case report | 1 | 57 | Kidney | NET | Octreotide therapy, Capecitabine/Temozolomide | FU 24 mo |
| MacIntosh, P.W., 2015 [54] | review | 1 | 35 | Antrum and Orbit | SNEC | Surgery, chemotherapy and radiotherapy | NA |
| Parikh, D., 2015 [55] | case report | 1 | 70 | Kidney | NEN | Octreotide therapy, everolimus | FU 6 mo (stable proptosis without diplopia) |
| Makis, W., 2016 [56] | retrospective | 4 | 67 | GI (75%), LUNG (25%) | NETs (100%) | Lu-DOTATATE (50%); I-MIBG (50%) | PFS 27.75 mo |
| Matějka, V.M., 2016 [57] | review | 1 | 50 | Appendix | GCC | Surgery, Chemotherapy | Death a few months after diagnosis |
| Ruiz, J.B., 2016 [58] | case report | 1 | 53 | Thyroid | medullary thyroid carcinoma | Surgery, External radiation | 4 mo later: morphological stability and reduction in calcitonin levels. |
| Warren, C.C., 2016 [59] | case report | 1 | 70 | GI | Carcinoid tumor | Resection, chemotherapy | NA |
| Kamaleshwaran, K.K., 2017 [60] | case report | 1 | 45 | Respiratory Tract | NET | LU_DOTATATE | NA |
| Chen, Y.J., 2018 [61] | case report | 1 | 69 | Pancreas | NET | Surgery, Octreotide therapy | NA |
| Das, S., 2018 [62] | case series | 5 | 67.2 | Ileal (100%) | NETs | Chemotherapy (20%); Radiation Therapy (IGRT) (40%;) 177Lu-DOTATATE (PRRT) (20%); surveillance (20%) | NA |
| Guo, Y., 2018 [63] | case report | 1 | 86 | Bronchial | NEN | Octreotide acetate, dacarbazine, carboplatin, etoposide | NA |
| Rasmussen, J.Ø., 2018 [64] | case report | 1 | 71 | Liver | NEC | Surgery, radiotherapy, IntronA/Sandostatin/Nexavar/Dotatoc, Temodal, etoposide monotherapy | FU 15 y |
| Thyparampil, P.J., 2018 [24] | case report | 1 | 64 | Orbit | NET | Surgery | NA |
| Beam, A.S., 2019 [65] | case report | 1 | 86 | GI | NET | Octreotide therapy | NA |
| Hafiz, A.A., 2019 [66] | case report | 1 | 50 | Small bowel | NET | Surgery. Octreotide therapy | NA |
| Kozubowska, K., 2019 [67] | case report | 1 | 73 | GI | NET | Surgery | NA |
| Mittal, R., 2019 [19] | case report | 1 | 25 | Left orbit | NEC | Chemotherapy | OS 21 mo |
| Parghane, R.V., 2019 [68] | case report | 1 | 53 | Kidney | NET | Radiotherapy, Octreotide therapy, (Lu)—DOTATATE PRRT | PFS 18 mo |
| Bacorn, C., 2020 [69] | case report | 1 | 65 | GI | NET | Radiotherapy, octreotide therapy | FU 1 y |
| Kamieniarz, L., 2020 [70] | retrospective | 27 | 53 | Small bowel (66.4%); Pancreas (14.8%). Hepatic with or without concomitant skeletal metastases (85%) | NEN | External bema radiotherapy (45.4%) | 5 y OS 84.1% |
| La Salvia, A., 2020 [13] | review | 64 | NA | Lung (43.7%); Iileum (21.8%); Unknown (21.8%); Colon (4.6%); Rectum (1.5%); Esophagus (1.5%); Thymus (1.5%); Testicle (1.5%); Liver (1.5%) | NETs (39%) | Surgery (7.8%); External bema radiotherapy (29.6%); brachytherapy (7.8%); Photocoaugulation (1.5%) | NA |
| Mustak, H., 2021 [71] | observational cross-sectional cohort, retrospective | 28 | 58.8 | Gastrointestinal tract (GI) (50%); lung (7.1%); kidney (7.1%) and ovary (3.6%) | NETs | Observation (14.3%); Radiation (35.7%); Octreotide (39.3%); Chemotherapy (32.1%); Steroids (10.7%); Surgery (60.7%) | 5 y OS 81.8% |
| Albanese, G., 2022 [14] | case report and review | 95 | 63.8 | GI (62–85%) | NETs | NA | |
| Isidori, A.M., 2002 [72] | case series | 6 | 52.8 | Bronchial (50%), Ileum (16.6%), Unknown (33.3%) | NENs (83.3%), NA (16.6%) | External Beam Radiotherapy (16.6%), 200 mCi I[MIBG] (16.6%); Surgery (16.6%); Radiotherapy (33.3%); Chemotherapy (50%) | OS 1 y (16.6%), FU 3 y (16.6%); FU 6 y (16.6%); NA (50%) |
| Matsuo, S., 2022 [73] | case report | 1 | 71 | GI | NET | Surgery | NA |
| Meinhardt A, 2022 [74] | case report | 1 | 47 | Extrapulmonary | NEC | Cisplatin/Etoposide, radiotherapy | OS 1–2 y |
| Morland, D., 2022 [75] | retrospective | 4 | NA | GI (100%) | NETs (100%) | NA | NA |
| Ryan, T.G., 2022 [76] | retrospective | 9 | 53 | Bowel (33%), kidney (22%) pancreas (11%) | NETs | Chemotherapy and Radiotherapy | Died after diagnosis |
| Shen, A., 2022 [10] | case series | 2 | 29.5 | GI (100%) | NET (50%), SNEC (50%) | Capecitabine/Temozolamide (50%); Cisplatin/Etoposide, radiotherapy, Topotecan, Paclitaxel and Nivolumab (50%) | NA |
| Agrawal, S., 2023 [18] | case report | 1 | 33 | Respiratory Tract | SNEC | Chemotherapy | NA |
| Woods, M.D., 2023 [77] | case report | 1 | 79 | GI | carcinoid | Somatostatin analogue | OS 6 y |
| Zhang, Y.S., 2023 [27] | case report | 1 | 70 | Without a systemic primary site | NEC | Chemotherapy | OS 1 mo |
| Study, Year | Age/Sex | Clinical Presentation | Exams at Diagnosis | Histotypes (WHO) * | Histological Pattern | Laterality | Treatments | Outcomes |
|---|---|---|---|---|---|---|---|---|
| Zimmerman et al., 1983 [16] | 71/F | Exophthalmos; loss of vision | 5-HIAA levels; CT scan | Carcinoid 1/70 HPF | Mixture of basaloid, trabecular, tubular and rosetted histologic patterns, positive argentaffin reaction, foci of PASS positive; Neurosecretory granules | Right Orbit | NA | NA |
| El-Toukhy et al., 1996 [37] | 45/M | Proptosis, increased tearing, painless swelling | Visual field, CT scan; arteriogram | Carcinoid | Positive argentaffin and argyrophilic reactions | Right Orbit | Surgery; radiation | 1976 first orbital tumor; 1979 orbital relapse; 1982 ileal carcinoid; 1986 orbital tumor (pt alive in 1996) OS 20 y |
| Mititelu et al., 2008 [26] | 60/M | Cranial neuropathies, pupillary abnormalities, ptosis, ocular motility disturbance | MRI brain, MRI venography, MRI angiography, cerebral angiogram, CT chest/abdomen, cerebrospinal fluid cytology | Poorly differentiated neuroendocrine carcinoma | Synaptophysin, positive perinuclear distribution, negative for Cam 5.2, chromogranin, CD56, neuron-specific enolase, S100 protein, thyroid transcription factor-1 | Left Orbit | Surgery and CT (CBDCA VP-16) | OS 4 y (dead for meningitis spread) |
| Yang et al., 2011 [49] |
| Proptosis, loss of vision, abdominal pain | MRI imaging; best-corrected visual acuity (BCVA) | Low grade carcinoid | Ovoid monomorphic cells with “salt and pepper” chromatin and nucleoli | Right Orbit | Surgery | NA |
| Proptosis | BVCA, MRI | Poorly differentiated carcinoma | Epithelioid cells with pleomorphic nuclei | Right Orbit | Surgery + adjuvant radiotherapy (60 Gy in 30 fractions | OS 5 y | |
| Asyntomatic | BVCA, MRI | Poorly differentiated | Cells with hyperchromatic, angulated, nuclei and scanty cytoplasm. Mitotic figures were readily found. | Right Orbit | Surgery + radiotherapy | OS 3.5 y ** | |
| Atik et al., 2013 [20] | 35/F | Periorbital pain, progressive swelling and blurred vision | Visual acuity exam, MRI, CT scan, PET | Small-cell neuroendocrine carcinoma (SCNEC) | Small blue cells arranged in broad sheets, nests and cords | Right Orbit | CT (CCDP 5FU) followed by surgery, adjuvant CT CDDP-based + RT | OS 2 y |
| Thyparampil et al., 2018 [27] | 64/F | Proptosis, orbital pain, eyelid swelling after several weeks of ipsilateral headaches | MRI, chest/abdomen/pelvis CT scan, octreoscan | WD-NET (KI67 3–5%) | Cells with abundant cytoplasm, fine granular (salt and pepper) chromatin, rare mitoses | Right Orbit | Surgery | OS 1 y |
| Mittal et al., 2019 [19] | 25/F | Pain, proptosis, swelling | Visual acuity exam, CT scan | Small-cell neuroendocrine carcinoma (Ki67 90%) | Small round blue cells with scant cytoplasm, and dense nuclei amidst necrotic debris | Left Orbit | Surgery + CT (CDDP VP-16) +RT | OS 21 mo |
| Tan, H. et al., 2020 [29] | 48/F | Cushing’s syndrome | ACTH test, MRI | Typical Carcinoid | positive staining of ACTH, chromogranin A, Syn, PCK and EMA | Left Orbit | Surgery | NA |
| Agrawal et al., 2023 [18] | 33/M | Proptosis, swelling | PET-CT Ga-68, PET-CT 18-F, MRI | High grade SCNEC | Small round blue cells with scanty intervening stroma, abundant necrosis and apoptosis | Right Orbit | CT 6 cycles + RT | NA |
| Jun, Y.Q., 2023 [28] |
| Proptosis | Abdominal CT and bone marrow evaluation | Carcinoma (Ki67 80%) | Poorly differentiated | Right Orbit | Surgery | OS 3 mo |
| Progressive mass on the lower eyelid | Total body CT, bone marrow evaluation | Carcinoma (Ki67 90%) | Poorly differentiated | Left Orbit | Surgery | OS 3 mo | |
| Cushing syndrome | Cortisol/ACTH levels, pituitary/orbital MRI, abdominal CT | Carcinoid | Carcinoid | Left Orbit | Surgery | OS 4 y | |
| Zhang, Y.S., 2023 [30] | 70/M | painless bilateral eyelid oedema and vertical diplopia | MRI, chest X-ray, Total body CT, PET-CT 18-F | Carcinoma (Ki67 70%) | Poorly differentiated high-grade neuroendocrine carcinoma | Right Orbit | CT (CBDCA VP-16) | OS 1 mo |
| Arrivi et al., 2023 (our case) | 77/F | Proptosis, loss of vision | PET-CT Ga-68 PET-CT 18-F, MRI, total body CT, CT Enterography Visual acuity exam | WD-NET G2 (Ki-67 6%) | WD-NET | Right Orbit | Lanreotide | OS 3 y |
5. Discussion
6. Conclusions
Author Contributions
Funding
Informed Consent Statement
Acknowledgments
Conflicts of Interest
References
- Klimstra, D.S.; Modlin, I.R.; Coppola, D.; Lloyd, R.V.; Suster, S. The Pathologic Classification of Neuroendocrine Tumors: A Review of Nomenclature, Grading, and Staging Systems. Pancreas 2010, 39, 707–712. [Google Scholar] [CrossRef]
- Zheng, Z.; Chen, C.; Jiang, L.; Zhou, X.; Dai, X.; Song, Y.; Li, Y. Incidence and Risk Factors of Gastrointestinal Neuroendocrine Neoplasm Metastasis in Liver, Lung, Bone, and Brain: A Population-based Study. Cancer Med. 2019, 8, 7288–7298. [Google Scholar] [CrossRef] [PubMed]
- Seifter, E.J. Cancer: Principles and Practice of Oncology, 5th ed.; DeVita, V.T., Jr., Hellman, S., Rosenberg, S.A., Eds.; Lippincott-Raven Publishers, 1997.3125 pp., Illus. $199. ISBN 0-397-51573-4. JNCI J. Natl. Cancer Inst. 1997, 89, 353. [Google Scholar] [CrossRef]
- Pavel, M.; Grossman, A.; Arnold, R.; Perren, A.; Kaltsas, G.; Steinmüller, T.; De Herder, W.; Nikou, G.; Plöckinger, U.; Lopes, J.M.; et al. ENETS Consensus Guidelines for the Management of Brain, Cardiac and Ovarian Metastases from Neuroendocrine Tumors. Neuroendocrinology 2010, 91, 326–332. [Google Scholar] [CrossRef]
- Eliassi-Rad, B.; Albert, D.M.; Green, W.R. Frequency of Ocular Metastases in Patients Dying of Cancer in Eye Bank Populations. Br. J. Ophthalmol. 1996, 80, 125–128. [Google Scholar] [CrossRef] [PubMed]
- Leung, V.; Wei, M.; Roberts, T.V. Metastasis to the Extraocular Muscles: A Case Report, Literature Review and Pooled Data Analysis. Clin. Experiment. Ophthalmol. 2018, 46, 687–694. [Google Scholar] [CrossRef] [PubMed]
- Sira, M.; Clauss, R.P.; Maclean, C.; Rose, G.E. Orbital Metastases from Neuroendocrine Carcinoma, Masquerading as Graves Orbitopathy. Orbit 2010, 29, 94–96. [Google Scholar] [CrossRef]
- Shetlar, D.J.; Font, R.L.; Ordóñez, N.; El-Naggar, A.; Boniuk, M. A Clinicopathologic Study of Three Carcinoid Tumors Metastatic to the Orbit. Ophthalmology 1990, 97, 257–264. [Google Scholar] [CrossRef]
- Fan, J.T.; Buettner, H.; Bartley, G.B.; Bolling, J.P. Clinical Features and Treatment of Seven Patients with Carcinoid Tumor Metastatic to the Eye and Orbit. Am. J. Ophthalmol. 1995, 119, 211–218. [Google Scholar] [CrossRef]
- Shen, A.; Haghighi, A.; Liang, T.; Lee, O.-T.; Gange, W.; DeBoer, C.; Akhter, M.; Saber, M.S.; Patel, V.R.; Berry, J.L.; et al. Metastatic Neuroendocrine Tumors Mimicking as Primary Ocular Disease. Am. J. Ophthalmol. Case Rep. 2022, 26, 101425. [Google Scholar] [CrossRef]
- Mehta, J.S.; Abou-Rayyah, Y.; Rose, G.E. Orbital Carcinoid Metastases. Ophthalmology 2006, 113, 466–472. [Google Scholar] [CrossRef]
- Demirci, H.; Shields, C.L.; Chao, A.-N.; Shields, J.A. Uveal Metastasis from Breast Cancer in 264 Patients. Am. J. Ophthalmol. 2003, 136, 264–271. [Google Scholar] [CrossRef]
- La Salvia, A.; Persano, I.; Trevisi, E.; Parlagreco, E.; Muratori, L.; Scagliotti, G.V.; Brizzi, M.P. Ocular Metastases from Neuroendocrine Tumors: A Literature Review. Semin. Oncol. 2020, 47, 144–147. [Google Scholar] [CrossRef] [PubMed]
- Albanese, G.; Harieaswar, S.; Sampath, R. Orbital Metastasis from Neuroendocrine Tumour: Case Report and Literature Review. Eur. J. Ophthalmol. 2022, 32, 2498–2504. [Google Scholar] [CrossRef] [PubMed]
- Shields, J.A.; Shields, C.L.; Brotman, H.K.; Carvalho, C.; Perez, N.; Eagle, R.C. Cancer Metastatic to the Orbit: The 2000 Robert M. Curts Lecture. Ophthal. Plast. Reconstr. Surg. 2001, 17, 346–354. [Google Scholar] [CrossRef]
- Zimmerman, L.E. Primary Carcinoid Tumor of the Orbit: A Clinicopathologic Study with Histochemical and Electron Microscopic Observations. Arch. Ophthalmol. 1983, 101, 1395. [Google Scholar] [CrossRef] [PubMed]
- Riddle, P.J.; Font, R.L.; Zimmerman, L.E. Carcinoid Tumors of the Eyeand Orbit: A Clinicopathologic Study of 15 Cases, with Histochemical and Electron Microscopic Observations. Hum. Pathol. 1982, 13, 459–469. [Google Scholar] [CrossRef] [PubMed]
- Agrawal, S.; Deora, A.; Sen, S.; Gupta, S.; Das, D. Small Cell Neuroendocrine Carcinoma with Primary Orbital Involvement—The Unseen, and a Review of Literature. Indian J. Pathol. Microbiol. 2023, 66, 155. [Google Scholar] [CrossRef]
- Mittal, R.; Kaza, H.; Agarwal, S.; Rath, S.; Gowrishankar, S. Small Cell Neuroendocrine Carcinoma of the Orbit Presenting as an Orbital Abscess in a Young Female. Saudi J. Ophthalmol. 2019, 33, 308–311. [Google Scholar] [CrossRef]
- Atik, A.; Krilis, M.; Shannon, K. Small Cell Neuroendocrine Carcinoma Masquerading as Cellulitis and Causing Blindness via Bilateral Orbital Involvement. Orbit 2013, 32, 197–199. [Google Scholar] [CrossRef]
- Moher, D.; Liberati, A.; Tetzlaff, J.; Altman, D.G.; for the PRISMA Group. Preferred Reporting Items for Systematic Reviews and Meta-Analyses: The PRISMA Statement. BMJ 2009, 339, b2535. [Google Scholar] [CrossRef] [PubMed]
- Organisation Mondiale de la Santé e Centre International de Recherche sur le Cancer. Digestive system tumours. In World Health Organization Classification of Tumours, No. 1, 5th ed.; International Agency for Research on Cancer: Lyon, France, 2019. [Google Scholar]
- Rindi, G.; Klimstra, D.S.; Abedi-Ardekani, B.; Asa, S.L.; Bosman, F.T.; Brambilla, E.; Busam, K.J.; De Krijger, R.R.; Dietel, M.; El-Naggar, A.K.; et al. A common classification framework for neuroendocrine neoplasms: An International Agency for Research on Cancer (IARC) and World Health Organization (WHO) expert consensus proposal. Mod. Pathol. 2018, 31, 1770–1786. [Google Scholar] [CrossRef] [PubMed]
- Zee, S.Y.; Hochwald, S.N.; Conlon, K.C.; Brennan, M.F.; Klimstra, D.S. Pleomorphic Pancreatic Endocrine Neoplasms: A Variant Commonly Confused with Adenocarcinoma. Am. J. Surg. Pathol. 2005, 29, 1194–1200. [Google Scholar] [CrossRef] [PubMed]
- Koo, J.; Mertens, R.B.; Mirocha, J.M.; Wang, H.L.; Dhall, D. Value of Islet 1 and PAX8 in identifying metastatic neuroendocrine tumors of pancreatic origin. Mod. Pathol. 2012, 25, 893–901. [Google Scholar] [CrossRef]
- Mititelu, M.; Stanton, C.A.; Yeatts, R.P. Primary Neuroendocrine Tumor of the Orbit Progressing to Neoplastic Meningitis. Ophthal. Plast. Reconstr. Surg. 2008, 24, 231–233. [Google Scholar] [CrossRef] [PubMed]
- Thyparampil, P.J.; Yen, M.T.; Dhingra, S.; Shetlar, D.J.; Zarrin-Khameh, N.; Musher, B.L. Primary Neuroendocrine Tumor of the Orbit Presenting with Acute Proptosis. Ophthal. Plast. Reconstr. Surg. 2018, 34, e17–e19. [Google Scholar] [CrossRef] [PubMed]
- Qiao, J.; Wang, Y.; He, W. Neuroendocrine Neoplasms of the Orbit: Report of Three Cases and a Literature Review. J. Int. Med. Res. 2023, 51, 03000605231199762. [Google Scholar] [CrossRef]
- Tan, H.; Chen, D.; Yu, Y.; Yu, K.; He, W.; Cai, B.; Jiang, S.; Tang, Y.; Tong, N.; An, Z. Unusual Ectopic ACTH Syndrome in a Patient with Orbital Neuroendocrine Tumor, Resulted False-Positive Outcome of BIPSS: A Case Report. BMC Endocr. Disord. 2020, 20, 116. [Google Scholar] [CrossRef]
- Zhang, Y.S.; Jiro, M.; Pekmezci, M.; Winn, B. Poorly Differentiated Orbital Neuroendocrine Carcinoma. BMJ Case Rep. 2023, 16, e254844. [Google Scholar] [CrossRef]
- Font, R.L.; Kaufer, G.; Winstanley, R.A. Metastasis of Bronchial Carcinoid Tumor to the Eye. Am. J. Ophthalmol. 1966, 62, 723–727. [Google Scholar] [CrossRef]
- Rush, J.A.; Waller, R.R.; Campbell, R.J. Orbital Carcinoid Tumor Metastatic from the Colon. Am. J. Ophthalmol. 1980, 89, 636–640. [Google Scholar] [CrossRef] [PubMed]
- Harris, A.L.; Montgomery, A.; Reyes, R.R.; Gazet, J.C.; Smith, I.E. Carcinoid Tumour Presenting as an Orbital Metastasis. Clin. Oncol. 1981, 7, 365–372. [Google Scholar] [PubMed]
- Harris, G.J.; Urdaneta, L.F.; Mitros, F.A. Gastrointestinal Carcinoid Tumor Metastatic to the Orbit. South Med. J. 1989, 82, 1549–1551. [Google Scholar] [CrossRef] [PubMed]
- Nida, T.Y.; Hall, W.A.; Glantz, M.J.; Clark, H.B. Metastatic Carcinoid Tumor to the Orbit and Brain. Neurosurgery 1992, 31, 949–954. [Google Scholar] [CrossRef] [PubMed]
- Aburn, N.S.; Whitehead, K.; Sullivan, T.J. Bronchopulmonary Atypical Carcinoid Tumour Metastatic to the Orbit. Aust. N. Z. J. Ophthalmol. 1995, 23, 241–244. [Google Scholar] [CrossRef] [PubMed]
- El-Toukhy, E.; Levine, M.R.; Abdul-Karim, F.W.; Larson, D.W. Carcinoid Tumors of the Orbit: A Dilemma of Diagnosis and Treatment. Ophthal. Plast. Reconstr. Surg. 1996, 12, 279–283. [Google Scholar] [CrossRef]
- Hanson, M.W.; Schneider, A.M.; Enterline, D.S.; Feldman, J.M.; Gockerman, J.P. Iodine-131-Metaiodobenzylguanidine Uptake in Metastatic Carcinoid Tumor to the Orbit. J. Nucl. Med. Off. Publ. Soc. Nucl. Med. 1998, 39, 647–650. [Google Scholar]
- Couch, D.A.; O’Halloran, H.S.; Hainsworth, K.M.; Cowen, D.E.; Baker, R.S. Carcinoid Metastasis to Extraocular Muscles: Case Reports and Review of the Literature. Orbit 2000, 19, 263–269. [Google Scholar] [CrossRef]
- Khaw, P.; Ball, D.; Duchesne, G. Carcinoid Tumour of the Orbital Muscles: A Rare Occurrence. Australas. Radiol. 2001, 45, 179–181. [Google Scholar] [CrossRef]
- Takemoto, Y.; Nishida, N.; Kojiro, S.; Jimi, A.; Kojiro, M. Metastatic Carcinoid Tumor in the Orbit. Kurume Med. J. 2003, 50, 165–167. [Google Scholar] [CrossRef]
- Sivagnanavel, V.; Riordan-Eva, P.; Jarosz, J.; Portmann, B.; Buxton-Thomas, M. Bilateral Orbital Metastases from a Neuroendocrine Tumor. J. Neuroophthalmol. 2004, 24, 240–242. [Google Scholar] [CrossRef]
- Borota, O.C.; Kloster, R.; Lindal, S. Carcinoid Tumour Metastatic to the Orbit with Infiltration to the Extraocular Orbital Muscle: Case Report. APMIS 2005, 113, 135–139. [Google Scholar] [CrossRef] [PubMed]
- Kiratli, H.; Yilmaz, P.T.; Yildiz, Z.I. Metastatic Atypical Carcinoid Tumor of the Inferior Rectus Muscle. Ophthal. Plast. Reconstr. Surg. 2008, 24, 482–484. [Google Scholar] [CrossRef] [PubMed]
- Bohman, E.; Sahlin, S.; Seregard, S. Carcinoid Presenting as Extrinsic Eye Muscle Metastasis. Acta Ophthalmol. 2009, 87, 916–917. [Google Scholar] [CrossRef] [PubMed]
- Matsuo, T.; Ichimura, K.; Tanaka, T.; Takenaka, T.; Nakayama, T. Neuroendocrine Tumor (Carcinoid) Metastatic to Orbital Extraocular Muscle: Case Report and Literature Review. Strabismus 2010, 18, 123–128. [Google Scholar] [CrossRef] [PubMed]
- Gupta, A.; Chazen, J.L.; Phillips, C.D. Carcinoid Tumor Metastases to the Extraocular Muscles: MR Imaging and CT Findings and Review of the Literature. Am. J. Neuroradiol. 2011, 32, 1208–1211. [Google Scholar] [CrossRef] [PubMed]
- Turaka, K.; Mashayekhi, A.; Shields, C.; Lally, S.; Kligman, B.; Shields, J. A Case Series of Neuroendocrine (Carcinoid) Tumor Metastasis to the Orbit. Oman J. Ophthalmol. 2011, 4, 125. [Google Scholar] [CrossRef] [PubMed]
- Yang, M.; Loh, A.; Seah, L.L.; Jajeh, I.A.; Looi, A. Neuroendocrine Tumors of the Orbit—Clinicopathological Findings in 3 More Cases of This Rare Entity and Review of the Literature. Orbit 2011, 30, 145–149. [Google Scholar] [CrossRef] [PubMed]
- Mehta, P.; Malik, S.; Adesanya, O.; Snead, D.; Ahluwalia, H. Orbital Carcinoid Metastasis: Diverse Presentations and Value of Indium-Octreotide Imaging. Orbit 2012, 31, 379–382. [Google Scholar] [CrossRef]
- Dobson, R.; Vinjamuri, S.; Hsuan, J.; Banks, M.; Terlizzo, M.; Wieshmann, H.; Daousi, C.; Poston, G.P.; Cuthbertson, D.J. Treatment of Orbital Metastases from a Primary Midgut Neuroendocrine Tumor with Peptide-Receptor Radiolabeled Therapy Using 177 Lutetium-DOTATATE. J. Clin. Oncol. 2013, 31, e272–e275. [Google Scholar] [CrossRef]
- Peixoto, R.D. Neuroendocrine Tumor Metastatic to the Orbit Treated with Radiotherapy. World J. Gastrointest. Oncol. 2013, 5, 177. [Google Scholar] [CrossRef] [PubMed]
- Kiratli, H.; Uzun, S.; Tarlan, B.; Ateş, D.; Baydar, D.E.; Söylemezoğlu, F. Renal Carcinoid Tumor Metastatic to the Uvea, Medial Rectus Muscle, and the Contralateral Lacrimal Gland. Ophthal. Plast. Reconstr. Surg. 2015, 31, e91–e93. [Google Scholar] [CrossRef] [PubMed]
- MacIntosh, P.W.; Jakobiec, F.A.; Stagner, A.M.; Gilani, S.; Fay, A. High Grade Neuroendocrine Neoplasm of the Antrum and Orbit. Surv. Ophthalmol. 2015, 60, 486–494. [Google Scholar] [CrossRef] [PubMed]
- Parikh, D.; Shinder, R. Primary Renal Carcinoid Metastatic to the Orbit. Ophthal. Plast. Reconstr. Surg. 2015, 31, e37–e38. [Google Scholar] [CrossRef] [PubMed]
- Makis, W.; McCann, K.; McEwan, A.J.B. Orbital Metastases of Neuroendocrine Tumors Treated with 177Lu-DOTATATE PRRT or 131I-MIBG Therapies. Clin. Nucl. Med. 2016, 41, 137–141. [Google Scholar] [CrossRef] [PubMed]
- Matějka, V.M.; Mukenšnabl, P.; Tupý, R.; Fiala, O.; Fínek, J. Carcinoid of the Appendix Goblet Cells Metastasize to the Orbit—A Clinical Case Report and Review of the Literature. Klin. Onkol. 2016, 29, 220–223. [Google Scholar] [CrossRef] [PubMed]
- Ruiz, J.-B.; Orré, M.; Cazeau, A.-L.; De Figueiredo, B.H.; Godbert, Y. 18F-DOPA PET/CT in Orbital Metastasis from Medullary Thyroid Carcinoma. Clin. Nucl. Med. 2016, 41, e296–e297. [Google Scholar] [CrossRef]
- Warren, C.C.; Liao, J.C.; Griepentrog, G.J. Bilateral Extraocular Muscle Metastases from a Gastrointestinal Carcinoid Tumor. JAMA Ophthalmol. 2016, 134, e153651. [Google Scholar] [CrossRef]
- Kamaleshwaran, K.; Joseph, J.; Upadhya, I.; Shinto, A. Image Findings of a Rare Case of Neuroendocrine Tumor Metastatic to Orbital Extraocular Muscle in Gallium-68 DOTANOC Positron Emission Tomography/Computed Tomography and Therapy with Lutetium-177 DOTATATE. Indian J. Nucl. Med. 2017, 32, 125. [Google Scholar] [CrossRef]
- Chen, Y.J.; Farwell, M.D. Incidental Orbital Neuroendocrine Metastases on 111In-OctreoScan and MRI. Clin. Nucl. Med. 2018, 43, 864–866. [Google Scholar] [CrossRef]
- Das, S.; Pineda, G.; Goff, L.; Sobel, R.; Berlin, J.; Fisher, G. The Eye of the Beholder: Orbital Metastases from Midgut Neuroendocrine Tumors, a Two Institution Experience. Cancer Imaging 2018, 18, 47. [Google Scholar] [CrossRef]
- Guo, Y.; Shao, C.; Blau, T.; Tannapfel, A.; Koch, K.R.; Heindl, L.M. Ocular Metastasis of Bronchial Typical Carcinoid. J. Thorac. Oncol. 2018, 13, 1422–1423. [Google Scholar] [CrossRef] [PubMed]
- Rasmussen, J.Ø.; Von Holstein, S.L.; Prause, J.U.; Vainer, B.; Hansen, A.B.; Fehr, A.; Stenman, G.; Heegaard, S. Genetic Analysis of an Orbital Metastasis from a Primary Hepatic Neuroendocrine Carcinoma. Oncol. Rep. 2014, 32, 1447–1450. [Google Scholar] [CrossRef] [PubMed]
- Beam, A.S.; Moore, K.G.; Stephens, C.P.; West, S.J.; Barfield, J.; Dean, C.; Eldridge, T.; Green, J.; Vijayakumar, V. Rare Orbital Metastasis Originating from a Neuroendocrine Tumor. Radiol. Technol. 2019, 91, 112–119. [Google Scholar] [PubMed]
- Hafiz, A.A.; Ali, S.M.; Sidahmed, S.M.; Al-Hassan, A.; El-Naggar, N.M.M. Mid-Gut Carcinoid Tumour Presenting as Suspected Orbital Metastasis. Sultan Qaboos Univ. Med. J. SQUMJ 2019, 19, 253. [Google Scholar] [CrossRef] [PubMed]
- Kozubowska, K.; Skorek, A.; Pęksa, R. Neuroendocrine Tumour Metastasis to the Orbit. Endokrynol. Pol. 2019, 70, 455–456. [Google Scholar] [CrossRef] [PubMed]
- Parghane, R.V.; Basu, S. Bilateral Orbital Soft-Tissue Metastases from Renal Neuroendocrine Tumor: Successful Theranostic Application of 68 Ga/177 Lu-DOTATATE with Improvement of Vision. J. Nucl. Med. Technol. 2019, 47, 171–172. [Google Scholar] [CrossRef] [PubMed]
- Bacorn, C.; Kim, E.; Borowsky, A.D.; Lin, L.K. Previously Undiagnosed Neuroendocrine Tumour Mimicking Breast Cancer Metastasis to the Orbit. BMJ Case Rep. 2020, 13, e234629. [Google Scholar] [CrossRef] [PubMed]
- Kamieniarz, L.; Armeni, E.; O’Mahony, L.F.; Leigh, C.; Miah, L.; Narayan, A.; Bhatt, A.; Cox, N.; Mandair, D.; Navalkissoor, S.; et al. Orbital Metastases from Neuroendocrine Neoplasms: Clinical Implications and Outcomes. Endocrine 2020, 67, 485–493. [Google Scholar] [CrossRef]
- Mustak, H.; Liu, W.; Murta, F.; Ozgur, O.; Couch, S.; Garrity, J.; Shinder, R.; Kazim, M.; Callahan, A.; Hayek, B.; et al. Carcinoid Tumors of the Orbit and Ocular Adnexa. Ophthal. Plast. Reconstr. Surg. 2021, 37, 217–225. [Google Scholar] [CrossRef]
- Isidori, A.M.; Kaltsas, G.; Frajese, V.; Kola, B.; Whitelocke, R.A.F.; Plowman, P.N.; Britton, K.E.; Monson, J.P.; Grossman, A.B.; Besser, G.M. Ocular Metastases Secondary to Carcinoid Tumors: The Utility of Imaging with [123I]Meta-Iodobenzylguanidine and [111In]DTPA Pentetreotide. J. Clin. Endocrinol. Metab. 2002, 87, 1627–1633. [Google Scholar] [CrossRef] [PubMed]
- Matsuo, S.; Amano, T.; Miyamatsu, Y.; Hayashi, D.; Yamashita, S.; Momosaki, S.; Kawabe, K.; Nakamizo, A. Discrepancy in the Ki67 Labeling Index of Brain and Orbital Metastatic Lesions from Gastrointestinal Neuroendocrine Tumors: A Case Report. Neurocir. Engl. Ed. 2022, 33, 345–349. [Google Scholar] [CrossRef]
- Meinhardt, A.-L.; Uppuluri, A.; Shkolnik, E.; Chang, V.T. Extrapulmonary Small Cell Carcinoma Presenting as an Orbital Mass: A Case Report. Cureus 2022, 14, e26012. [Google Scholar] [CrossRef] [PubMed]
- Morland, D.; Jallet, L.; Deguelte, S.; Cadiot, G.; Papathanassiou, D. Orbital Metastasis: A Rare but Typical Location of Small Intestine Neuroendocrine Tumor on 18F-FDOPA PET/CT. Clin. Nucl. Med. 2022, 47, 717–718. [Google Scholar] [CrossRef] [PubMed]
- Ryan, T.G.; Juniat, V.; Stewart, C.; Malhotra, R.; Hardy, T.G.; McNab, A.A.; Davis, G.; Selva, D. Clinico-Radiological Findings of Neuroendocrine Tumour Metastases to the Orbit. Orbit 2022, 41, 44–52. [Google Scholar] [CrossRef]
- Woods, M.D.; Afkhamnejad, E.; Pakravan, M.; Charoenkijkajorn, C.; Lee, A.G. Optic Neuropathy as the Presenting Manifestation of Carcinoid. Can. J. Ophthalmol. 2023, 58, e255–e257. [Google Scholar] [CrossRef] [PubMed]
- Roth, M. Eyelid, Conjunctival, and Orbital Tumors: An Atlas and Textbook. Clin. Exp. Optom. 2018, 101, 618–619. [Google Scholar] [CrossRef]
- Ilias, I.; Torpy, D.J.; Pacak, K.; Mullen, N.; Wesley, R.A.; Nieman, L.K. Cushing’s Syndrome Due to Ectopic Corticotropin Secretion: Twenty Years’ Experience at the National Institutes of Health. J. Clin. Endocrinol. Metab. 2005, 90, 4955–4962. [Google Scholar] [CrossRef]
- Morton, A. Ectopic Adrenocorticotropin Syndrome. Intern. Med. J. 2017, 47, 1328–1329. [Google Scholar] [CrossRef]
- Fleseriu, M.; Auchus, R.; Bancos, I.; Ben-Shlomo, A.; Bertherat, J.; Biermasz, N.R.; Boguszewski, C.L.; Bronstein, M.D.; Buchfelder, M.; Carmichael, J.D.; et al. Consensus on Diagnosis and Management of Cushing’s Disease: A Guideline Update. Lancet Diabetes Endocrinol. 2021, 9, 847–875. [Google Scholar] [CrossRef]
- Grozinsky-Glasberg, S.; Davar, J.; Hofland, J.; Dobson, R.; Prasad, V.; Pascher, A.; Denecke, T.; Tesselaar, M.E.T.; Panzuto, F.; Albåge, A.; et al. European Neuroendocrine Tumor Society (ENETS) 2022 Guidance Paper for Carcinoid Syndrome and Carcinoid Heart Disease. J. Neuroendocrinol. 2022, 34, e13146. [Google Scholar] [CrossRef] [PubMed]
- Sundin, A.; Arnold, R.; Baudin, E.; Cwikla, J.B.; Eriksson, B.; Fanti, S.; Fazio, N.; Giammarile, F.; Hicks, R.J.; Kjaer, A.; et al. ENETS Consensus Guidelines for the Standards of Care in Neuroendocrine Tumors: Radiological, Nuclear Medicine and Hybrid Imaging. Neuroendocrinology 2017, 105, 212–244. [Google Scholar] [CrossRef]
- Pavel, M.; Öberg, K.; Falconi, M.; Krenning, E.P.; Sundin, A.; Perren, A.; Berruti, A. Gastroenteropancreatic Neuroendocrine Neoplasms: ESMO Clinical Practice Guidelines for Diagnosis, Treatment and Follow-Up. Ann. Oncol. 2020, 31, 844–860. [Google Scholar] [CrossRef] [PubMed]
- Martin, S.; Iravani, A.; Shetty, A.S.; Zulfiqar, M.; Morani, A.; Yano, M.; Bhosale, P.R.; Itani, M. Neuroendocrine Neoplasm Imaging: Protocols by Site of Origin. Abdom. Radiol. 2022, 47, 4081–4095. [Google Scholar] [CrossRef]
- Vlachou, E.; Koffas, A.; Toumpanakis, C.; Keuchel, M. Updates in the Diagnosis and Management of Small-Bowel Tumors. Best Pract. Res. Clin. Gastroenterol. 2023, 64–65, 101860. [Google Scholar] [CrossRef] [PubMed]
- Geijer, H.; Breimer, L.H. Somatostatin Receptor PET/CT in Neuroendocrine Tumours: Update on Systematic Review and Meta-Analysis. Eur. J. Nucl. Med. Mol. Imaging 2013, 40, 1770–1780. [Google Scholar] [CrossRef] [PubMed]
- Chen, D.; Yang, S.; Chen, J.; Li, T.; Liu, Y.; Zhao, X.; Zhang, T.; Xu, M.; Wang, H.; Zhao, K.; et al. Comparison of [18F]-OC PET/CT and Contrast-Enhanced CT/MRI in the Detection and Evaluation of Neuroendocrine Neoplasms. Eur. J. Nucl. Med. Mol. Imaging 2023, 50, 2420–2431. [Google Scholar] [CrossRef]
- Bozkurt, M.F.; Virgolini, I.; Balogova, S.; Beheshti, M.; Rubello, D.; Decristoforo, C.; Ambrosini, V.; Kjaer, A.; Delgado-Bolton, R.; Kunikowska, J.; et al. Guideline for PET/CT Imaging of Neuroendocrine Neoplasms with 68Ga-DOTA-Conjugated Somatostatin Receptor Targeting Peptides and 18F–DOPA. Eur. J. Nucl. Med. Mol. Imaging 2017, 44, 1588–1601. [Google Scholar] [CrossRef]
- Sadowski, S.M.; Neychev, V.; Millo, C.; Shih, J.; Nilubol, N.; Herscovitch, P.; Pacak, K.; Marx, S.J.; Kebebew, E. Prospective Study of 68 Ga-DOTATATE Positron Emission Tomography/Computed Tomography for Detecting Gastro-Entero-Pancreatic Neuroendocrine Tumors and Unknown Primary Sites. J. Clin. Oncol. 2016, 34, 588–596. [Google Scholar] [CrossRef]
- Binderup, T.; Knigge, U.; Loft, A.; Federspiel, B.; Kjaer, A. 18F-Fluorodeoxyglucose Positron Emission Tomography Predicts Survival of Patients with Neuroendocrine Tumors. Clin. Cancer Res. 2010, 16, 978–985. [Google Scholar] [CrossRef]
- Simsek, D.H.; Kuyumcu, S.; Turkmen, C.; Sanlı, Y.; Aykan, F.; Unal, S.; Adalet, I. Can Complementary 68 Ga-DOTATATE and 18 F-FDG PET/CT Establish the Missing Link Between Histopathology and Therapeutic Approach in Gastroenteropancreatic Neuroendocrine Tumors? J. Nucl. Med. 2014, 55, 1811–1817. [Google Scholar] [CrossRef] [PubMed]
- Naswa, N.; Sharma, P.; Gupta, S.K.; Karunanithi, S.; Reddy, R.M.; Patnecha, M.; Lata, S.; Kumar, R.; Malhotra, A.; Bal, C. Dual Tracer Functional Imaging of Gastroenteropancreatic Neuroendocrine Tumors Using 68Ga-DOTA-NOC PET-CT and 18F-FDG PET-CT: Competitive or Complimentary? Clin. Nucl. Med. 2014, 39, e27–e34. [Google Scholar] [CrossRef] [PubMed]
- Reubi, J.C.; Horisberger, U.; Waser, B.; Gebbers, J.O.; Laissue, J. Preferential Location of Somatostatin Receptors in Germinal Centers of Human Gut Lymphoid Tissue. Gastroenterology 1992, 103, 1207–1214. [Google Scholar] [CrossRef] [PubMed]
- Reubi, J.C.; Schaer, J.C.; Markwalder, R.; Waser, B.; Horisberger, U.; Laissue, J. Distribution of Somatostatin Receptors in Normal and Neoplastic Human Tissues: Recent Advances and Potential Relevance. Yale J. Biol. Med. 1997, 70, 471–479. [Google Scholar] [PubMed]
- Csaba, Z.; Dournaud, P. Cellular Biology of Somatostatin Receptors. Neuropeptides 2001, 35, 1–23. [Google Scholar] [CrossRef] [PubMed]
- Rindi, G.; Mete, O.; Uccella, S.; Basturk, O.; La Rosa, S.; Brosens, L.A.A.; Ezzat, S.; De Herder, W.W.; Klimstra, D.S.; Papotti, M.; et al. Overview of the 2022 WHO Classification of Neuroendocrine Neoplasms. Endocr. Pathol. 2022, 33, 115–154. [Google Scholar] [CrossRef] [PubMed]
- Available online: https://www.enets.org/coe.html (accessed on 1 November 2023).
- Garcia-Carbonero, R.; Sorbye, H.; Baudin, E.; Raymond, E.; Wiedenmann, B.; Niederle, B.; Sedlackova, E.; Toumpanakis, C.; Anlauf, M.; Cwikla, J.B.; et al. ENETS Consensus Guidelines for High-Grade Gastroenteropancreatic Neuroendocrine Tumors and Neuroendocrine Carcinomas. Neuroendocrinology 2016, 103, 186–194. [Google Scholar] [CrossRef]
- Moertel, C.G.; Kvols, L.K.; O’Connell, M.J.; Rubin, J. Treatment of Neuroendocrine Carcinomas with Combined Etoposide and Cisplatin. Evidence of Major Therapeutic Activity in the Anaplastic Variants of These Neoplasms. Cancer 1991, 68, 227–232. [Google Scholar] [CrossRef]
- Mitry, E.; Baudin, E.; Ducreux, M.; Sabourin, J.-C.; Rufié, P.; Aparicio, T.; Lasser, P.; Elias, D.; Duvillard, P.; Schlumberger, M.; et al. Treatment of Poorly Differentiated Neuroendocrine Tumours with Etoposide and Cisplatin. Br. J. Cancer 1999, 81, 1351–1355. [Google Scholar] [CrossRef]
- Iwasa, S.; Morizane, C.; Okusaka, T.; Ueno, H.; Ikeda, M.; Kondo, S.; Tanaka, T.; Nakachi, K.; Mitsunaga, S.; Kojima, Y.; et al. Cisplatin and Etoposide as First-Line Chemotherapy for Poorly Differentiated Neuroendocrine Carcinoma of the Hepatobiliary Tract and Pancreas. Jpn. J. Clin. Oncol. 2010, 40, 313–318. [Google Scholar] [CrossRef]
- Sorbye, H.; Welin, S.; Langer, S.W.; Vestermark, L.W.; Holt, N.; Osterlund, P.; Dueland, S.; Hofsli, E.; Guren, M.G.; Ohrling, K.; et al. Predictive and Prognostic Factors for Treatment and Survival in 305 Patients with Advanced Gastrointestinal Neuroendocrine Carcinoma (WHO G3): The NORDIC NEC Study. Ann. Oncol. 2013, 24, 152–160. [Google Scholar] [CrossRef] [PubMed]
- Pavel, M.; O’Toole, D.; Costa, F.; Capdevila, J.; Gross, D.; Kianmanesh, R.; Krenning, E.; Knigge, U.; Salazar, R.; Pape, U.-F.; et al. ENETS Consensus Guidelines Update for the Management of Distant Metastatic Disease of Intestinal, Pancreatic, Bronchial Neuroendocrine Neoplasms (NEN) and NEN of Unknown Primary Site. Neuroendocrinology 2016, 103, 172–185. [Google Scholar] [CrossRef] [PubMed]
- Del Rivero, J.; Perez, K.; Kennedy, E.B.; Mittra, E.S.; Vijayvergia, N.; Arshad, J.; Basu, S.; Chauhan, A.; Dasari, A.N.; Bellizzi, A.M.; et al. Systemic Therapy for Tumor Control in Metastatic Well-Differentiated Gastroenteropancreatic Neuroendocrine Tumors: ASCO Guideline. J. Clin. Oncol. 2023, 41, 5049–5067. [Google Scholar] [CrossRef] [PubMed]
- Available online: https://www.aiom.it/Linee-Guida-Aiom-2021-Neoplasie-Neuroendocrine/ (accessed on 1 November 2023).
- Kunz, P.L.; Reidy-Lagunes, D.; Anthony, L.B.; Bertino, E.M.; Brendtro, K.; Chan, J.A.; Chen, H.; Jensen, R.T.; Kim, M.K.; Klimstra, D.S.; et al. Consensus Guidelines for the Management and Treatment of Neuroendocrine Tumors. Pancreas 2013, 42, 557–577. [Google Scholar] [CrossRef] [PubMed]
- Forrest, L.M.; McMillan, D.C.; McArdle, C.S.; Dunlop, D.J. An Evaluation of the Impact of a Multidisciplinary Team, in a Single Centre, on Treatment and Survival in Patients with Inoperable Non-Small-Cell Lung Cancer. Br. J. Cancer 2005, 93, 977–978. [Google Scholar] [CrossRef] [PubMed]
- Wright, F.C.; De Vito, C.; Langer, B.; Hunter, A. Multidisciplinary Cancer Conferences: A Systematic Review and Development of Practice Standards. Eur. J. Cancer 2007, 43, 1002–1010. [Google Scholar] [CrossRef]






Disclaimer/Publisher’s Note: The statements, opinions and data contained in all publications are solely those of the individual author(s) and contributor(s) and not of MDPI and/or the editor(s). MDPI and/or the editor(s) disclaim responsibility for any injury to people or property resulting from any ideas, methods, instructions or products referred to in the content. |
© 2024 by the authors. Licensee MDPI, Basel, Switzerland. This article is an open access article distributed under the terms and conditions of the Creative Commons Attribution (CC BY) license (https://creativecommons.org/licenses/by/4.0/).
Share and Cite
Arrivi, G.; Specchia, M.; Pilozzi, E.; Rinzivillo, M.; Caruso, D.; Santangeli, C.; Prosperi, D.; Ascolese, A.M.; Panzuto, F.; Mazzuca, F. Diagnostic and Therapeutic Management of Primary Orbital Neuroendocrine Tumors (NETs): Systematic Literature Review and Clinical Case Presentation. Biomedicines 2024, 12, 379. https://doi.org/10.3390/biomedicines12020379
Arrivi G, Specchia M, Pilozzi E, Rinzivillo M, Caruso D, Santangeli C, Prosperi D, Ascolese AM, Panzuto F, Mazzuca F. Diagnostic and Therapeutic Management of Primary Orbital Neuroendocrine Tumors (NETs): Systematic Literature Review and Clinical Case Presentation. Biomedicines. 2024; 12(2):379. https://doi.org/10.3390/biomedicines12020379
Chicago/Turabian StyleArrivi, Giulia, Monia Specchia, Emanuela Pilozzi, Maria Rinzivillo, Damiano Caruso, Curzio Santangeli, Daniela Prosperi, Anna Maria Ascolese, Francesco Panzuto, and Federica Mazzuca. 2024. "Diagnostic and Therapeutic Management of Primary Orbital Neuroendocrine Tumors (NETs): Systematic Literature Review and Clinical Case Presentation" Biomedicines 12, no. 2: 379. https://doi.org/10.3390/biomedicines12020379
APA StyleArrivi, G., Specchia, M., Pilozzi, E., Rinzivillo, M., Caruso, D., Santangeli, C., Prosperi, D., Ascolese, A. M., Panzuto, F., & Mazzuca, F. (2024). Diagnostic and Therapeutic Management of Primary Orbital Neuroendocrine Tumors (NETs): Systematic Literature Review and Clinical Case Presentation. Biomedicines, 12(2), 379. https://doi.org/10.3390/biomedicines12020379

