Chamomile Tincture and Lidocaine Hydrochloride Gel Ameliorates Periodontitis: A Preclinical Study
Abstract
1. Introduction
2. Materials and Methods
2.1. Gel Preparation and Animals
2.2. Sample Collection
2.3. Clinical Attachment Loss (CAL) and Probing Pocket Depth (PPD)
2.4. Micro-CT and Three-Dimensional (3D) Reconstruction of the Alveolar Bone
2.5. Histochemical and Histomorphometric Microscopic Analysis
2.5.1. H&E and Masson’s Trichrome Staining
2.5.2. Tartrate-Resistant Acid Phosphatase (TRAP) Staining
2.5.3. Immunohistochemical Staining
2.6. RNA Isolation and Quantitative Real-Time PCR (RT-PCR)
2.7. Enzyme-Linked Immunosorbent Assay (ELISA) Analysis
2.8. Cell Culture and Bacteria Culture
2.9. Cytotoxicity Assay
2.10. Western Blotting
2.11. RNA Sequencing
2.12. Statistical Analysis
3. Results
3.1. CLH Gel Suppressed Ligature-Induced Periodontal Tissue Destruction
3.2. CLH Gel Protected Against Ligature-Induced Alveolar Bone Loss
3.3. CLH Gel Enhanced Osteogenic Differentiation and Reduced Osteoclastogenesis in Ligature-Induced Periodontitis
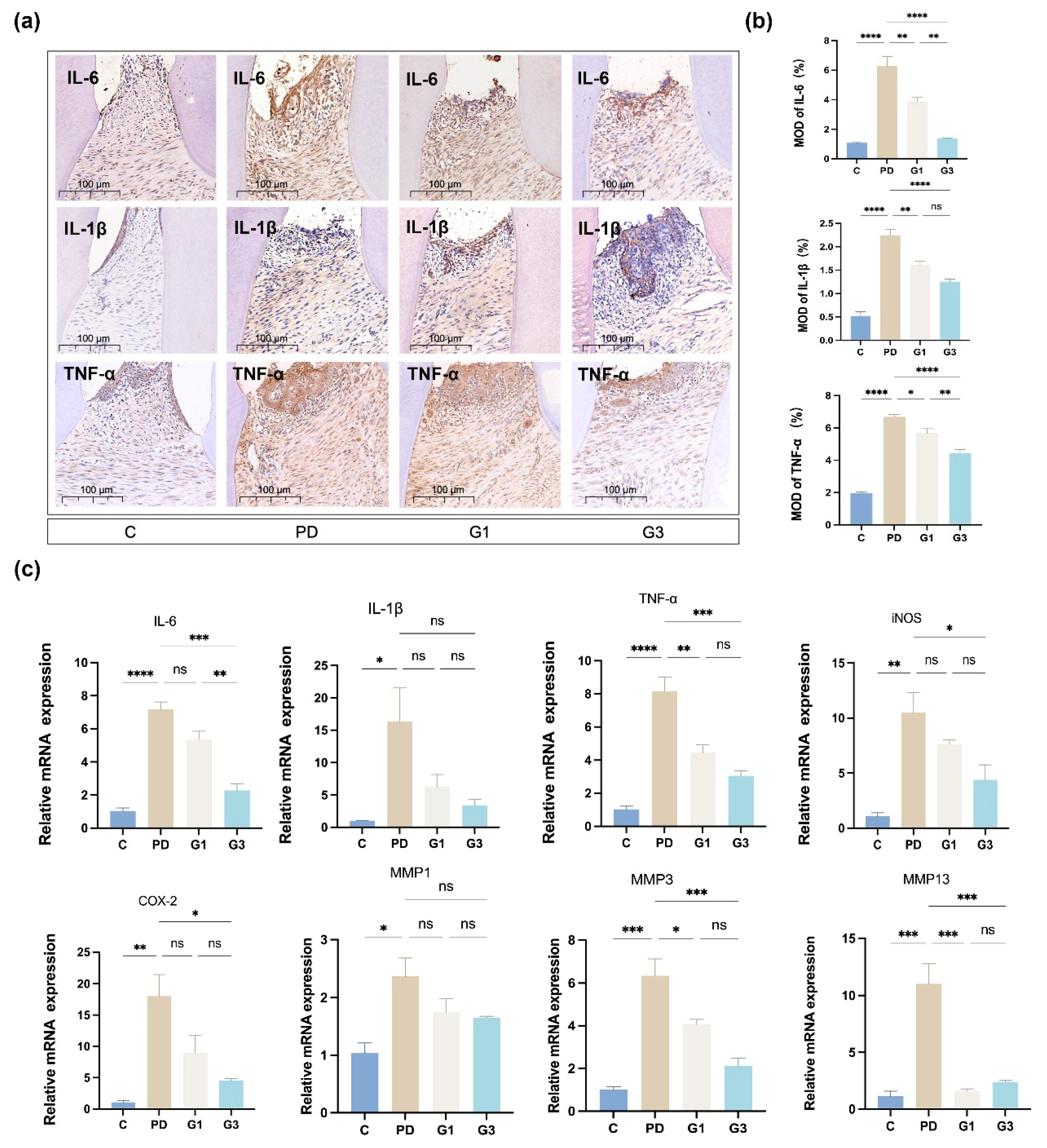
3.4. CLH Gel Attenuated Ligature-Induced Inflammation in Gingival Tissues
3.5. CLH Gel Curbed Ligature-Induced Accumulation of Inflammatory Cells and the Secretion of Cytokines in Circulation
3.6. CLH Gel Inhibited the Transformation of Macrophages into an Inflammatory Phenotype Under Stimulation by P. gingivalis
3.7. CLH Gel Reduced Macrophage Inflammation in Periodontitis by Modulating Type II Interferon Networks
4. Discussion
5. Conclusions
Supplementary Materials
Author Contributions
Funding
Institutional Review Board Statement
Data Availability Statement
Acknowledgments
Conflicts of Interest
References
- Chapple, I.L.C.; Mealey, B.L.; Van Dyke, T.E.; Bartold, P.M.; Dommisch, H.; Eickholz, P.; Geisinger, M.L.; Genco, R.J.; Glogauer, M.; Goldstein, M.; et al. Periodontal health and gingival diseases and conditions on an intact and a reduced periodontium: Consensus report of workgroup 1 of the 2017 World Workshop on the Classification of Periodontal and Peri-Implant Diseases and Conditions. J. Periodontol. 2018, 89 (Suppl. 1), S74–S84. [Google Scholar] [CrossRef]
- Sun, X.; Gao, J.; Meng, X.; Lu, X.; Zhang, L.; Chen, R. Polarized Macrophages in Periodontitis: Characteristics, Function, and Molecular Signaling. Front. Immunol. 2021, 12, 763334. [Google Scholar] [CrossRef] [PubMed]
- Teles, R.P.; Haffajee, A.D.; Socransky, S.S. Microbiological goals of periodontal therapy. Periodontol. 2000 2006, 42, 180–218. [Google Scholar] [CrossRef]
- Sanz, M.; Herrera, D.; Kebschull, M.; Chapple, I.; Jepsen, S.; Beglundh, T.; Sculean, A.; Tonetti, M.S.; Participants, E.F.P.W.; Methodological, C. Treatment of stage I-III periodontitis-The EFP S3 level clinical pract ice guideline. J. Clin. Periodontol. 2020, 47 (Suppl. 22), 4–60. [Google Scholar] [CrossRef] [PubMed]
- Soeroso, Y.; Akase, T.; Sunarto, H.; Kemal, Y.; Salim, R.; Octavia, M.; Viandita, A.; Setiawan, J.; Bachtiar, B.M. The risk reduction of recurrent periodontal pathogens of local application minocycline HCl 2% gel, used as an adjunct to scaling and root planing for chronic periodontitis treatment. Ther. Clin. Risk Manag. 2017, 13, 307–314. [Google Scholar] [CrossRef] [PubMed]
- Nazarian, S.; Akhondi, H. Minocycline. In StatPearls; StatPearls Publishing: Treasure Island, FL, USA, 2023. [Google Scholar]
- Donos, N.; Calciolari, E.; Brusselaers, N.; Goldoni, M.; Bostanci, N.; Belibasakis, G.N. The adjunctive use of host modulators in non-surgical periodontal therapy. A systematic review of randomized, placebo-controlled clinical studies. J. Clin. Periodontol. 2020, 47 (Suppl. 22), 199–238. [Google Scholar] [CrossRef]
- Kulkarni, R.; Mehta, R.; Goswami, S.K.; Hammock, B.D.; Morisseau, C.; Hwang, S.H.; Mallappa, O.; Azeemuddin, M.M.; Rafiq, M.; Manjula, S.N. Neuroprotective effect of herbal extracts inhibiting soluble epoxide hydrolase (sEH) and cyclooxygenase (COX) against chemotherapy-induced cognitive impairment in mice. Biochem. Biophys. Res. Commun. 2023, 667, 64–72. [Google Scholar] [CrossRef]
- Lee, H.E.; Yang, G.; Han, S.H.; Lee, J.H.; An, T.J.; Jang, J.K.; Lee, J.Y. Anti-obesity potential of Glycyrrhiza uralensis and licochalcone A through induction of adipocyte browning. Biochem. Biophys. Res. Commun. 2018, 503, 2117–2123. [Google Scholar] [CrossRef]
- Yu, J.; Mao, L.; Guan, L.; Zhang, Y.; Zhao, J. Ginsenoside Rg1 enhances lymphatic transport of intrapulmonary silica via VEGF-C/VEGFR-3 signaling in silicotic rats. Biochem. Biophys. Res. Commun. 2016, 472, 182–188. [Google Scholar] [CrossRef]
- Cai, X.; Li, C.; Du, G.; Cao, Z. Protective effects of baicalin on ligature-induced periodontitis in rats. J. Periodontal Res. 2008, 43, 14–21. [Google Scholar] [CrossRef]
- Tang, M.; Wang, G.; Li, J.; Wang, Y.; Peng, C.; Chang, X.; Guo, J.; Gui, S. Flavonoid extract from propolis alleviates periodontitis by boosting periodontium regeneration and inflammation resolution via regulating TLR4/MyD88/NF-κB and RANK/NF-κB pathway. J. Ethnopharmacol. 2024, 319, 117324. [Google Scholar] [CrossRef] [PubMed]
- Chen, Y.; Liang, C.; Li, J.; Ma, L.; Wang, B.; Yuan, Z.; Yang, S.; Nong, X. Effect of artesunate on cardiovascular complications in periodontitis in a type I diabetes rat model and related mechanisms. J. Endocrinol. Invest. 2023, 46, 2031–2053. [Google Scholar] [CrossRef]
- Zhou, S.; Ji, Y.; Yao, H.; Guo, H.; Zhang, Z.; Wang, Z.; Du, M. Application of Ginsenoside Rd in Periodontitis With Inhibitory Effects on Pathogenicity, Inflammation, and Bone Resorption. Front. Cell Infect. Microbiol. 2022, 12, 813953. [Google Scholar] [CrossRef]
- Gościniak, A.; Paczkowska-Walendowska, M.; Skotnicka, A.; Ruchała, M.A.; Cielecka-Piontek, J. Can Plant Materials Be Valuable in the Treatment of Periodontal Diseases? Practical Review. Pharmaceutics 2021, 13, 2185. [Google Scholar] [CrossRef] [PubMed]
- Srivastava, J.K.; Shankar, E.; Gupta, S. Chamomile: A herbal medicine of the past with bright future. Mol. Med. Rep. 2010, 3, 895–901. [Google Scholar] [CrossRef]
- de Lima Dantas, J.B.; Freire, T.F.C.; Sanches, A.C.B.; Julião, E.L.D.; Medrado, A.; Martins, G.B. Action of Matricaria recutita (chamomile) in the management of radiochemotherapy oral mucositis: A systematic review. Phytother. Res. 2022, 36, 1115–1125. [Google Scholar] [CrossRef]
- Pourabbas, R.; Delazar, A.; Chitsaz, M.T. The Effect of German Chamomile Mouthwash on Dental Plaque and Gingival Inflammation. Iran. J. Pharm. Res. 2005, 4, 105–109. [Google Scholar]
- Hans, V.M.; Grover, H.S.; Deswal, H.; Agarwal, P. Antimicrobial Efficacy of Various Essential Oils at Varying Concentrations against Periopathogen Porphyromonas gingivalis. J. Clin. Diagn. Res. 2016, 10, zc16–zc19. [Google Scholar] [CrossRef] [PubMed]
- Naghsh, N.; Moghareabed, A.; Nematnejad, M.; Yaghini, J.; Sadeghi, S.M. A comparative evaluation of the antimicrobial effect of chamomile, Aloe vera-green tea, and chlorhexidine mouthwashes on some oral bacterial species. Dent. Res. J. 2023, 20, 70. [Google Scholar] [CrossRef]
- Batista, A.L.; Lins, R.D.; de Souza Coelho, R.; do Nascimento Barbosa, D.; Moura Belém, N.; Alves Celestino, F.J. Clinical efficacy analysis of the mouth rinsing with pomegranate and chamomile plant extracts in the gingival bleeding reduction. Complement. Ther. Clin. Pract. 2014, 20, 93–98. [Google Scholar] [CrossRef]
- Li, N.; Sun, X.; Zhang, X.; Chen, R. Clinical Efficacy of Compound Chamomile and Lidocaine Hydrochloride Gel in Treatment of Wisdom Tooth Periodontitis. J. Oral. Sci. Res. 2021, 37, 914–918. [Google Scholar] [CrossRef]
- He, X.; Shi, J. The efficacy of compound chamomile lidocaine gel in the adjunctive treatment of chronic periodontitis. J. Pract. Stomatol. 2021, 37, 212. [Google Scholar]
- Wong, R.L.; Hiyari, S.; Yaghsezian, A.; Davar, M.; Lin, Y.L.; Galvan, M.; Tetradis, S.; Camargo, P.M.; Pirih, F.Q. Comparing the Healing Potential of Late-Stage Periodontitis and Peri-Implantitis. J. Oral. Implantol. 2017, 43, 437–445. [Google Scholar] [CrossRef]
- de Molon, R.S.; de Avila, E.D.; Boas Nogueira, A.V.; Chaves de Souza, J.A.; Avila-Campos, M.J.; de Andrade, C.R.; Cirelli, J.A. Evaluation of the host response in various models of induced periodontal disease in mice. J. Periodontol. 2014, 85, 465–477. [Google Scholar] [CrossRef]
- de Molon, R.S.; Park, C.H.; Jin, Q.; Sugai, J.; Cirelli, J.A. Characterization of ligature-induced experimental periodontitis. Microsc. Res. Tech. 2018, 81, 1412–1421. [Google Scholar] [CrossRef] [PubMed]
- Nakatsu, S.; Yoshinaga, Y.; Kuramoto, A.; Nagano, F.; Ichimura, I.; Oshino, K.; Yoshimura, A.; Yano, Y.; Hara, Y. Occlusal trauma accelerates attachment loss at the onset of experimental periodontitis in rats. J. Periodontal Res. 2014, 49, 314–322. [Google Scholar] [CrossRef]
- Lee, J.; Min, H.K.; Park, C.Y.; Kang, H.K.; Jung, S.Y.; Min, B.M. A vitronectin-derived peptide prevents and restores alveolar bone loss by modulating bone re-modelling and expression of RANKL and IL-17A. J. Clin. Periodontol. 2022, 49, 799–813. [Google Scholar] [CrossRef]
- Xiao, J.; Huang, X.; Wang, H.; Peng, Y.; Liu, H.; Huang, H.; Ma, L.; Wang, C.; Wang, X.; Cao, Z. CKIP-1 Promotes P. gingivalis-Induced Inflammation of Periodontal Soft Tissues by Inhibiting Autophagy. Inflammation 2023, 46, 1997–2010. [Google Scholar] [CrossRef]
- Bueno, C.R.E.; Sumida, D.H.; Duarte, M.A.H.; Ordinola-Zapata, R.; Azuma, M.M.; Guimarães, G.; Pinheiro, T.N.; Cintra, L.T.A. Accuracy of radiographic pixel linear analysis in detecting bone loss in periodontal disease: Study in diabetic rats. Saudi Dent. J. 2021, 33, 987–996. [Google Scholar] [CrossRef] [PubMed]
- Khuda, F.; Baharin, B.; Anuar, N.N.M.; Satimin, B.S.F.; Nasruddin, N.S. Effective Modalities of Periodontitis Induction in Rat Model. J. Vet. Dent. 2024, 41, 49–57. [Google Scholar] [CrossRef] [PubMed]
- Ozdemir, H.; Kara, M.I.; Erciyas, K.; Ozer, H.; Ay, S. Preventive effects of thymoquinone in a rat periodontitis model: A morphometric and histopathological study. J. Periodontal Res. 2012, 47, 74–80. [Google Scholar] [CrossRef] [PubMed]
- França, L.F.C.; Vasconcelos, A.; da Silva, F.R.P.; Alves, E.H.P.; Carvalho, J.S.; Lenardo, D.D.; de Souza, L.K.M.; Barbosa, A.L.R.; Medeiros, J.R.; de Oliveira, J.S.; et al. Periodontitis changes renal structures by oxidative stress and lipid peroxidation. J. Clin. Periodontol. 2017, 44, 568–576. [Google Scholar] [CrossRef] [PubMed]
- Chandran, A.; Bhandary, R.; Shenoy, N.; Shetty, U.A. Analysis of collagen fibers in human gingival tissues using picrosirius red stain under polarized microscope. J. Indian. Soc. Periodontol. 2021, 25, 106–111. [Google Scholar] [CrossRef] [PubMed]
- Khan, A.A.; Alsahli, M.A.; Rahmani, A.H. Myeloperoxidase as an Active Disease Biomarker: Recent Biochemical and Pathological Perspectives. Med. Sci. 2018, 6, 33. [Google Scholar] [CrossRef]
- Wang, H.J.; Wang, S.S.; Wang, G.Y. Effect of compound chamomile and lidocaine hydrochloride gel on oropharyngeal complications after the use of laryngeal mask airway with positive pressure ventilation. Zhonghua Yi Xue Za Zhi 2023, 103, 2420–2426. [Google Scholar] [CrossRef]
- Yin, L.; Li, X.; Hou, J. Macrophages in periodontitis: A dynamic shift between tissue destruction and repair. Jpn. Dent. Sci. Rev. 2022, 58, 336–347. [Google Scholar] [CrossRef]
- Barbato, L.; Francioni, E.; Bianchi, M.; Mascitelli, E.; Marco, L.B.; Tonelli, D.P. Periodontitis and bone metabolism. Clin. Cases Miner. Bone Metab. 2015, 12, 174–177. [Google Scholar] [CrossRef]
- Ashby, M.T. Inorganic chemistry of defensive peroxidases in the human oral cavity. J. Dent. Res. 2008, 87, 900–914. [Google Scholar] [CrossRef] [PubMed]
- Nizam, N.; Gümüş, P.; Pitkänen, J.; Tervahartiala, T.; Sorsa, T.; Buduneli, N. Serum and salivary matrix metalloproteinases, neutrophil elastase, myeloperoxidase in patients with chronic or aggressive periodontitis. Inflammation 2014, 37, 1771–1778. [Google Scholar] [CrossRef]
- Mizutani, H.; Ishihara, Y.; Izawa, A.; Fujihara, Y.; Kobayashi, S.; Gotou, H.; Okabe, E.; Takeda, H.; Ozawa, Y.; Kamiya, Y.; et al. Lipopolysaccharide of Aggregatibacter actinomycetemcomitans up-regulates inflammatory cytokines, prostaglandin E2 synthesis and osteoclast formation in interleukin-1 receptor antagonist-deficient mice. J. Periodontal Res. 2013, 48, 748–756. [Google Scholar] [CrossRef]
- Lappin, D.F.; Kjeldsen, M.; Sander, L.; Kinane, D.F. Inducible nitric oxide synthase expression in periodontitis. J. Periodontal Res. 2000, 35, 369–373. [Google Scholar] [CrossRef]
- Offenbacher, S.; Heasman, P.A.; Collins, J.G. Modulation of host PGE2 secretion as a determinant of periodontal disease expression. J. Periodontol. 1993, 64, 432–444. [Google Scholar] [CrossRef]
- Holzhausen, M.; Rossa Júnior, C.; Marcantonio Júnior, E.; Nassar, P.O.; Spolidório, D.M.; Spolidório, L.C. Effect of selective cyclooxygenase-2 inhibition on the development of ligature-induced periodontitis in rats. J. Periodontol. 2002, 73, 1030–1036. [Google Scholar] [CrossRef]
- Hannas, A.R.; Pereira, J.C.; Granjeiro, J.M.; Tjäderhane, L. The role of matrix metalloproteinases in the oral environment. Acta Odontol. Scand. 2007, 65, 1–13. [Google Scholar] [CrossRef]
- Alpagot, T.; Bell, C.; Lundergan, W.; Chambers, D.W.; Rudin, R. Longitudinal evaluation of GCF MMP-3 and TIMP-1 levels as prognostic factors for progression of periodontitis. J. Clin. Periodontol. 2001, 28, 353–359. [Google Scholar] [CrossRef]
- Ilgenli, T.; Vardar-Sengul, S.; Gürkan, A.; Sorsa, T.; Stackelberg, S.; Köse, T.; Atilla, G. Gingival crevicular fluid matrix metalloproteinase-13 levels and molecular forms in various types of periodontal diseases. Oral. Dis. 2006, 12, 573–579. [Google Scholar] [CrossRef] [PubMed]
- Miao, L.; Zhan, S.; Liu, J. Interleukin-12-mediated expression of matrix metalloproteinases in human periodontal ligament fibroblasts involves in NF-κB activation. Biosci. Rep. 2017, 37, BSR20170973. [Google Scholar] [CrossRef]
- Ono, T.; Hayashi, M.; Sasaki, F.; Nakashima, T. RANKL biology: Bone metabolism, the immune system, and beyond. Inflamm. Regen. 2020, 40, 2. [Google Scholar] [CrossRef]
- Kassi, E.; Papoutsi, Z.; Fokialakis, N.; Messari, I.; Mitakou, S.; Moutsatsou, P. Greek plant extracts exhibit selective estrogen receptor modulator (SERM)-like properties. J. Agric. Food Chem. 2004, 52, 6956–6961. [Google Scholar] [CrossRef] [PubMed]
- Raja, A.; Singh, G.P.; Fadil, S.A.; Elhady, S.S.; Youssef, F.S.; Ashour, M.L. Prophylactic Anti-Osteoporotic Effect of Matricaria chamomilla L. Flower Using Steroid-Induced Osteoporosis in Rat Model and Molecular Modelling Approaches. Antioxidants 2022, 11, 1316. [Google Scholar] [CrossRef] [PubMed]
- Guimarães, M.V.; Melo, I.M.; Adriano Araújo, V.M.; Tenazoa Wong, D.V.; Roriz Fonteles, C.S.; Moreira Leal, L.K.; Ribeiro, R.A.; Lima, V. Dry Extract of Matricaria recutita L. (Chamomile) Prevents Ligature-Induced Alveolar Bone Resorption in Rats via Inhibition of Tumor Necrosis Factor-α and Interleukin-1β. J. Periodontol. 2016, 87, 706–715. [Google Scholar] [CrossRef] [PubMed]
- Cheng, J.; Liu, J.; Shi, Z.; Jules, J.; Xu, D.; Luo, S.; Wei, S.; Feng, X. Molecular mechanisms of the biphasic effects of interferon-γ on osteoclastogenesis. J. Interferon Cytokine Res. 2012, 32, 34–45. [Google Scholar] [CrossRef] [PubMed]
- Tan, J.; Dai, A.; Pan, L.; Zhang, L.; Wang, Z.; Ke, T.; Sun, W.; Wu, Y.; Ding, P.H.; Chen, L. Inflamm-Aging-Related Cytokines of IL-17 and IFN-γ Accelerate Osteoclastogenesis and Periodontal Destruction. J. Immunol. Res. 2021, 2021, 9919024. [Google Scholar] [CrossRef]
- Li, S.; Liu, G.; Hu, S. Osteoporosis: Interferon-gamma-mediated bone remodeling in osteoimmunology. Front. Immunol. 2024, 15, 1396122. [Google Scholar] [CrossRef] [PubMed]
- de Molon, R.S.; de Avila, E.D.; Cirelli, J.A. Host responses induced by different animal models of periodontal disease: A literature review. J. Investig. Clin. Dent. 2013, 4, 211–218. [Google Scholar] [CrossRef]






| Disclaimer/Publisher’s Note: The statements, opinions and data contained in all publications are solely those of the individual author(s) and contributor(s) and not of MDPI and/or the editor(s). MDPI and/or the editor(s) disclaim responsibility for any injury to people or property resulting from any ideas, methods, instructions or products referred to in the content. | 
© 2024 by the authors. Licensee MDPI, Basel, Switzerland. This article is an open access article distributed under the terms and conditions of the Creative Commons Attribution (CC BY) license (https://creativecommons.org/licenses/by/4.0/).
Share and Cite
Sun, J.; Wang, H.; Xiao, J.; Yang, Q.; Liu, H.; Yang, Z.; Liu, Y.; Huang, X.; Yang, L.; Ma, L.; et al. Chamomile Tincture and Lidocaine Hydrochloride Gel Ameliorates Periodontitis: A Preclinical Study. Biomedicines 2024, 12, 2629. https://doi.org/10.3390/biomedicines12112629
Sun J, Wang H, Xiao J, Yang Q, Liu H, Yang Z, Liu Y, Huang X, Yang L, Ma L, et al. Chamomile Tincture and Lidocaine Hydrochloride Gel Ameliorates Periodontitis: A Preclinical Study. Biomedicines. 2024; 12(11):2629. https://doi.org/10.3390/biomedicines12112629
Chicago/Turabian StyleSun, Jiahui, Huiyi Wang, Junhong Xiao, Qiudong Yang, Heyu Liu, Zhengkun Yang, Yuqi Liu, Xin Huang, Liu Yang, Li Ma, and et al. 2024. "Chamomile Tincture and Lidocaine Hydrochloride Gel Ameliorates Periodontitis: A Preclinical Study" Biomedicines 12, no. 11: 2629. https://doi.org/10.3390/biomedicines12112629
APA StyleSun, J., Wang, H., Xiao, J., Yang, Q., Liu, H., Yang, Z., Liu, Y., Huang, X., Yang, L., Ma, L., & Cao, Z. (2024). Chamomile Tincture and Lidocaine Hydrochloride Gel Ameliorates Periodontitis: A Preclinical Study. Biomedicines, 12(11), 2629. https://doi.org/10.3390/biomedicines12112629
 
        

